About   Help   FAQ
Gene Expression Data
Assay Details
Assay
Reference: J:228563 Koscielny G, et al., The International Mouse Phenotyping Consortium Web Portal, a unified point of access for knockout mice and related phenotyping data. Nucleic Acids Res. 2014 Jan;42(Database issue):D802-9
Assay type: In situ reporter (knock in)
MGI Accession ID: MGI:6692925
Gene symbol: Elfn2
Gene name: leucine rich repeat and fibronectin type III, extracellular 2
Reporter: lacZ
Direct Detection
Results
Specimen UC Davis_1858528: postnatal adult; Elfn2tm1.1(KOMP)Vlcg/Elfn2+ (more )
Structure Level Pattern Image Note
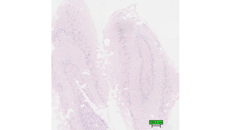
TS28: spinal cord Present UC Davis_1858528

Specimen UC Davis_1858529: postnatal adult; Elfn2tm1.1(KOMP)Vlcg/Elfn2+ (more )
Structure Level Pattern Image Note
TS28: spinal cord Present UC Davis_1858529

Specimen UC Davis_1858530: postnatal adult; Elfn2tm1.1(KOMP)Vlcg/Elfn2+ (more )
Structure Level Pattern Image Note
TS28: spinal cord Present UC Davis_1858530

Specimen UC Davis_1858531: postnatal adult; Elfn2tm1.1(KOMP)Vlcg/Elfn2+ (more )
Structure Level Pattern Image Note
TS28: eye Present UC Davis_1858531

Specimen UC Davis_1858532: postnatal adult; Elfn2tm1.1(KOMP)Vlcg/Elfn2+ (more )
Structure Level Pattern Image Note
TS28: olfactory lobe Present UC Davis_1858532

Specimen UC Davis_1858536: postnatal adult; Elfn2tm1.1(KOMP)Vlcg/Elfn2+ (more )
Structure Level Pattern Image Note
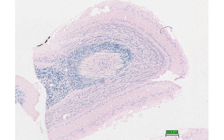
TS28: midbrain Present UC Davis_1858536

Specimen UC Davis_1858538: postnatal adult; Elfn2tm1.1(KOMP)Vlcg/Elfn2+ (more )
Structure Level Pattern Image Note
TS28: cerebellum Present UC Davis_1858538

Specimen UC Davis_1858506: postnatal adult; Elfn2tm1.1(KOMP)Vlcg/Elfn2+ (more )
Structure Level Pattern Image Note
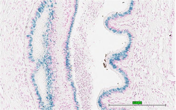
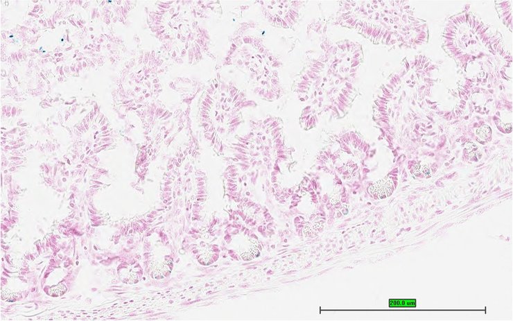
TS28: ileum Present UC Davis_1858506

Specimen UC Davis_1858507: postnatal adult; Elfn2tm1.1(KOMP)Vlcg/Elfn2+ (more )
Structure Level Pattern Image Note
TS28: colon Present UC Davis_1858507

Specimen UC Davis_1858508: postnatal adult; Elfn2tm1.1(KOMP)Vlcg/Elfn2+ (more )
Structure Level Pattern Image Note
TS28: cecum Present UC Davis_1858508

Specimen UC Davis_1858509: postnatal adult; Elfn2tm1.1(KOMP)Vlcg/Elfn2+ (more )
Structure Level Pattern Image Note
TS28: cecum Present UC Davis_1858509

Specimen UC Davis_1858510: postnatal adult; Elfn2tm1.1(KOMP)Vlcg/Elfn2+ (more )
Structure Level Pattern Image Note
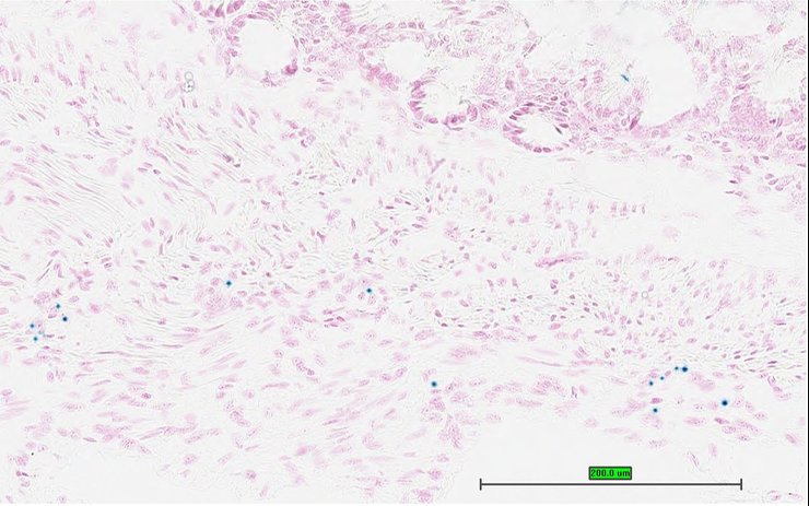
TS28: spinal cord Present UC Davis_1858510

Specimen UC Davis_1858511: postnatal adult; Elfn2tm1.1(KOMP)Vlcg/Elfn2+ (more )
Structure Level Pattern Image Note
TS28: spinal cord Present UC Davis_1858511

Specimen UC Davis_1858512: postnatal adult; Elfn2tm1.1(KOMP)Vlcg/Elfn2+ (more )
Structure Level Pattern Image Note
TS28: spinal cord Present UC Davis_1858512

Specimen UC Davis_1858513: postnatal adult; Elfn2tm1.1(KOMP)Vlcg/Elfn2+ (more )
Structure Level Pattern Image Note
TS28: eye Present UC Davis_1858513

Specimen UC Davis_1858514: postnatal adult; Elfn2tm1.1(KOMP)Vlcg/Elfn2+ (more )
Structure Level Pattern Image Note
TS28: olfactory lobe Present UC Davis_1858514

Specimen UC Davis_1858518: postnatal adult; Elfn2tm1.1(KOMP)Vlcg/Elfn2+ (more )
Structure Level Pattern Image Note
TS28: midbrain Present UC Davis_1858518

Specimen UC Davis_1858520: postnatal adult; Elfn2tm1.1(KOMP)Vlcg/Elfn2+ (more )
Structure Level Pattern Image Note
TS28: cerebellum Present UC Davis_1858520

Specimen UC Davis_1858521: postnatal adult; Elfn2tm1.1(KOMP)Vlcg/Elfn2+ (more )
Structure Level Pattern Image Note
TS28: cerebellum Present UC Davis_1858521

Specimen UC Davis_1858522: postnatal adult; Elfn2tm1.1(KOMP)Vlcg/Elfn2+ (more )
Structure Level Pattern Image Note
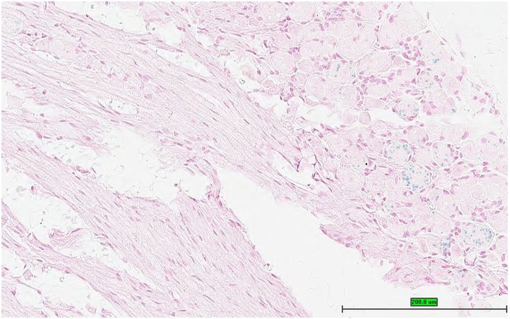
TS28: trigeminal nerve Present UC Davis_1858522

Specimen UC Davis_1858523: postnatal adult; Elfn2tm1.1(KOMP)Vlcg/Elfn2+ (more )
Structure Level Pattern Image Note
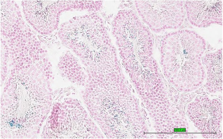
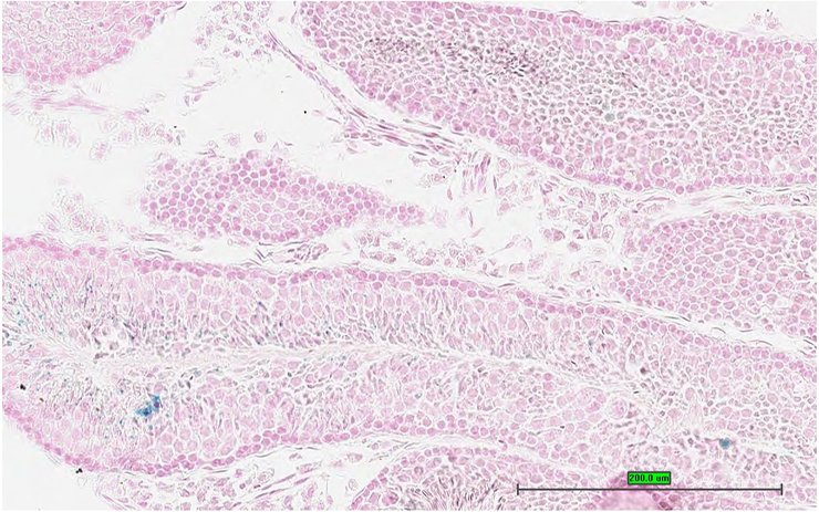
TS28: testis Present UC Davis_1858523

Specimen UC Davis_1858524: postnatal adult; Elfn2tm1.1(KOMP)Vlcg/Elfn2+ (more )
Structure Level Pattern Image Note
TS28: testis Present UC Davis_1858524

Specimen UC Davis_1858525: postnatal adult; Elfn2tm1.1(KOMP)Vlcg/Elfn2+ (more )
Structure Level Pattern Image Note
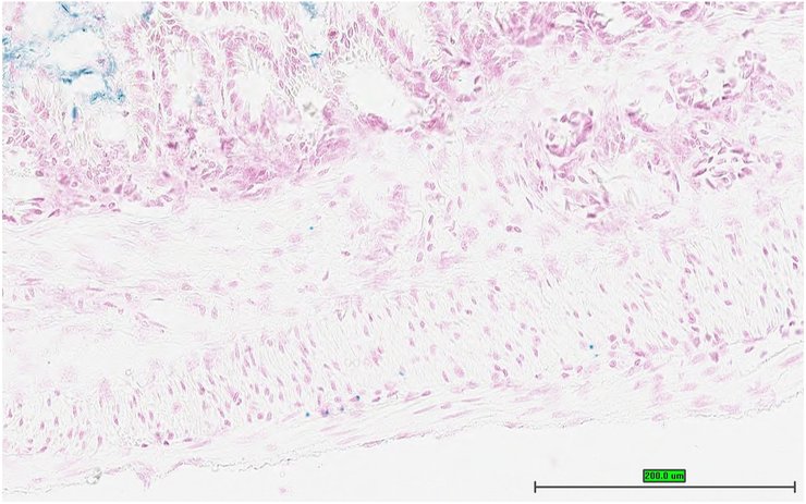
TS28: epididymis Present UC Davis_1858525

Specimen UC Davis_1858526: postnatal adult; Elfn2tm1.1(KOMP)Vlcg/Elfn2+ (more )
Structure Level Pattern Image Note
TS28: epididymis Present UC Davis_1858526

Specimen UC Davis_1858527: postnatal adult; Elfn2tm1.1(KOMP)Vlcg/Elfn2+ (more )
Structure Level Pattern Image Note
TS28: ductus deferens Present UC Davis_1858527 vas deferens

Specimen UC Davis_1858539: postnatal adult; Elfn2tm1.1(KOMP)Vlcg/Elfn2+ (more )
Structure Level Pattern Image Note
TS28: olfactory lobe Present UC Davis_1858539

Specimen UC Davis_1858542: postnatal adult; Elfn2tm1.1(KOMP)Vlcg/Elfn2+ (more )
Structure Level Pattern Image Note
TS28: midbrain Present UC Davis_1858542

Specimen UC Davis_1858544: postnatal adult; Elfn2tm1.1(KOMP)Vlcg/Elfn2+ (more )
Structure Level Pattern Image Note
TS28: cerebellum Present UC Davis_1858544

Specimen UC Davis_1858545: postnatal adult; Elfn2tm1.1(KOMP)Vlcg/Elfn2+ (more )
Structure Level Pattern Image Note
TS28: brain Present UC Davis_1858545

Specimen UC Davis_1858546: postnatal adult; Elfn2tm1.1(KOMP)Vlcg/Elfn2+ (more )
Structure Level Pattern Image Note
TS28: spinal cord Present UC Davis_1858546

Specimen UC Davis_1858547: postnatal adult; Elfn2tm1.1(KOMP)Vlcg/Elfn2+ (more )
Structure Level Pattern Image Note
TS28: eye Present UC Davis_1858547


Contributing Projects:
Mouse Genome Database (MGD), Gene Expression Database (GXD), Mouse Models of Human Cancer database (MMHCdb) (formerly Mouse Tumor Biology (MTB)), Gene Ontology (GO)
Citing These Resources
Funding Information
Warranty Disclaimer, Privacy Notice, Licensing, & Copyright
Send questions and comments to User Support.
last database update
01/28/2026
MGI 6.24
The Jackson Laboratory