About   Help   FAQ
Gene Expression Data
Assay Details
Assay
Reference: J:228563 Koscielny G, et al., The International Mouse Phenotyping Consortium Web Portal, a unified point of access for knockout mice and related phenotyping data. Nucleic Acids Res. 2014 Jan;42(Database issue):D802-9
Assay type: In situ reporter (knock in)
MGI Accession ID: MGI:6692861
Gene symbol: Arl5c
Gene name: ADP-ribosylation factor-like 5C
Reporter: lacZ
Direct Detection
Results
Specimen UC Davis_1870649: postnatal adult; Arl5ctm1.1(KOMP)Vlcg/Arl5c+ (more )
Structure Level Pattern Image Note
TS28: ileum Present UC Davis_1870649

Specimen UC Davis_1870650: postnatal adult; Arl5ctm1.1(KOMP)Vlcg/Arl5c+ (more )
Structure Level Pattern Image Note
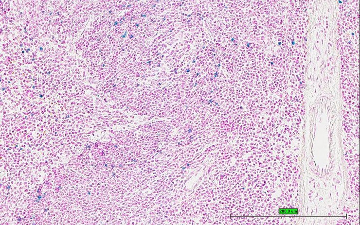
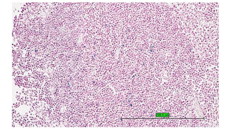
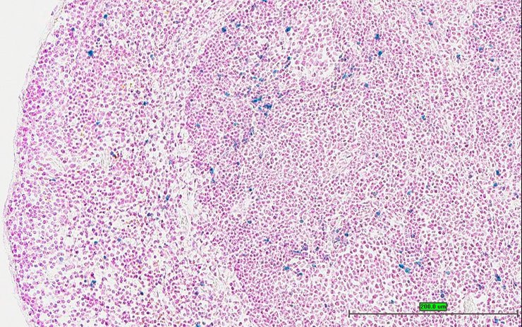
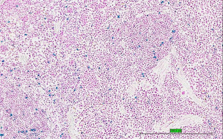
TS28: spleen Present UC Davis_1870650

Specimen UC Davis_1870651: postnatal adult; Arl5ctm1.1(KOMP)Vlcg/Arl5c+ (more )
Structure Level Pattern Image Note
TS28: spleen Present UC Davis_1870651

Specimen UC Davis_1870652: postnatal adult; Arl5ctm1.1(KOMP)Vlcg/Arl5c+ (more )
Structure Level Pattern Image Note
TS28: spleen Present UC Davis_1870652

Specimen UC Davis_1870655: postnatal adult; Arl5ctm1.1(KOMP)Vlcg/Arl5c+ (more )
Structure Level Pattern Image Note
TS28: midbrain Present UC Davis_1870655

Specimen UC Davis_1870656: postnatal adult; Arl5ctm1.1(KOMP)Vlcg/Arl5c+ (more )
Structure Level Pattern Image Note
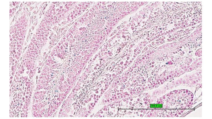
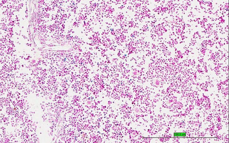
TS28: bone marrow Present UC Davis_1870656

Specimen UC Davis_1870657: postnatal adult; Arl5ctm1.1(KOMP)Vlcg/Arl5c+ (more )
Structure Level Pattern Image Note
TS28: bone marrow Present UC Davis_1870657

Specimen UC Davis_1870658: postnatal adult; Arl5ctm1.1(KOMP)Vlcg/Arl5c+ (more )
Structure Level Pattern Image Note
TS28: bone marrow Present UC Davis_1870658

Specimen UC Davis_1870660: postnatal adult; Arl5ctm1.1(KOMP)Vlcg/Arl5c+ (more )
Structure Level Pattern Image Note
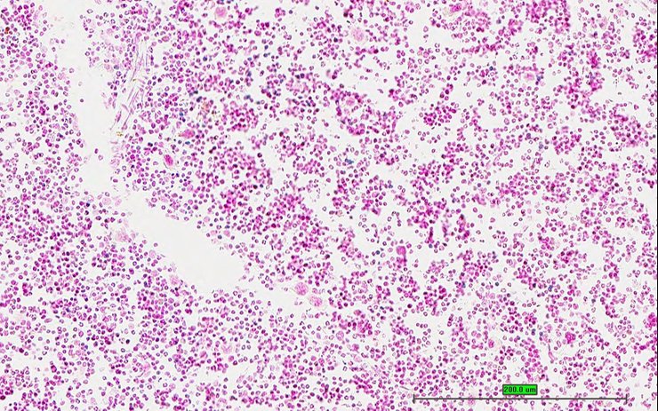
TS28: spleen Present UC Davis_1870660

Specimen UC Davis_1870661: postnatal adult; Arl5ctm1.1(KOMP)Vlcg/Arl5c+ (more )
Structure Level Pattern Image Note
TS28: spleen Present UC Davis_1870661

Specimen UC Davis_1870662: postnatal adult; Arl5ctm1.1(KOMP)Vlcg/Arl5c+ (more )
Structure Level Pattern Image Note
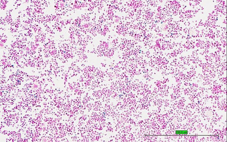
TS28: testis Present UC Davis_1870662

Specimen UC Davis_1870663: postnatal adult; Arl5ctm1.1(KOMP)Vlcg/Arl5c+ (more )
Structure Level Pattern Image Note
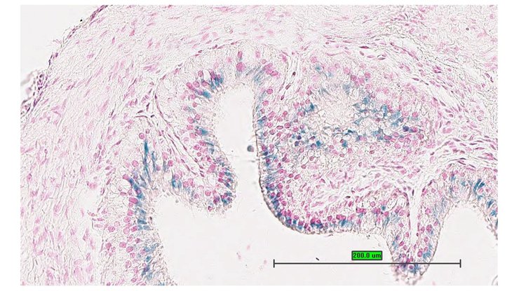
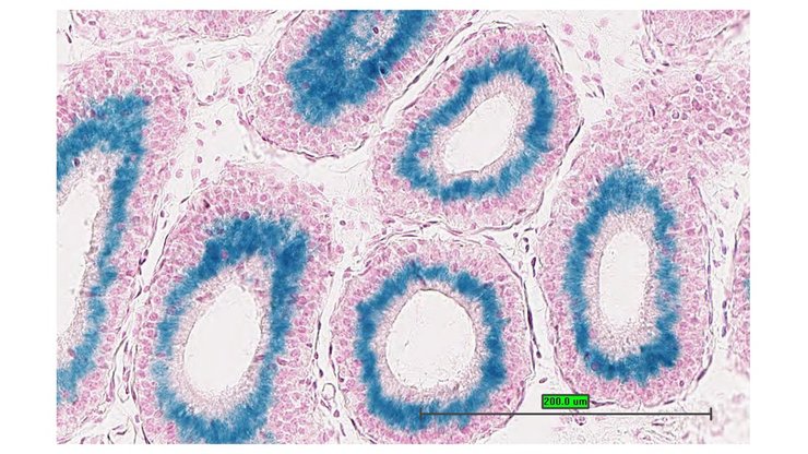
TS28: epididymis Present UC Davis_1870663

Specimen UC Davis_1870664: postnatal adult; Arl5ctm1.1(KOMP)Vlcg/Arl5c+ (more )
Structure Level Pattern Image Note
TS28: prostate gland Present UC Davis_1870664

Specimen UC Davis_1870665: postnatal adult; Arl5ctm1.1(KOMP)Vlcg/Arl5c+ (more )
Structure Level Pattern Image Note
TS28: ductus deferens Present UC Davis_1870665 vas deferens


Contributing Projects:
Mouse Genome Database (MGD), Gene Expression Database (GXD), Mouse Models of Human Cancer database (MMHCdb) (formerly Mouse Tumor Biology (MTB)), Gene Ontology (GO)
Citing These Resources
Funding Information
Warranty Disclaimer, Privacy Notice, Licensing, & Copyright
Send questions and comments to User Support.
last database update
12/30/2025
MGI 6.24
The Jackson Laboratory