About   Help   FAQ
Gene Expression Data
Assay Details
Assay
Reference: J:228563 Koscielny G, et al., The International Mouse Phenotyping Consortium Web Portal, a unified point of access for knockout mice and related phenotyping data. Nucleic Acids Res. 2014 Jan;42(Database issue):D802-9
Assay type: In situ reporter (knock in)
MGI Accession ID: MGI:6692850
Gene symbol: Cracr2a
Gene name: calcium release activated channel regulator 2A
Reporter: lacZ
Direct Detection
Results
Specimen UC Davis_1881802: postnatal adult; Cracr2atm1.1(KOMP)Vlcg/Cracr2a+ (more )
Structure Level Pattern Image Note
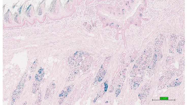
TS28: submandibular gland Present UC Davis_1881802

Specimen UC Davis_1881803: postnatal adult; Cracr2atm1.1(KOMP)Vlcg/Cracr2a+ (more )
Structure Level Pattern Image Note
TS28: submandibular gland Present UC Davis_1881803

Specimen UC Davis_1881804: postnatal adult; Cracr2atm1.1(KOMP)Vlcg/Cracr2a+ (more )
Structure Level Pattern Image Note
TS28: sublingual gland Present UC Davis_1881804

Specimen UC Davis_1881807: postnatal adult; Cracr2atm1.1(KOMP)Vlcg/Cracr2a+ (more )
Structure Level Pattern Image Note
TS28: stomach Present UC Davis_1881807

Specimen UC Davis_1881808: postnatal adult; Cracr2atm1.1(KOMP)Vlcg/Cracr2a+ (more )
Structure Level Pattern Image Note
TS28: stomach Present UC Davis_1881808

Specimen UC Davis_1881809: postnatal adult; Cracr2atm1.1(KOMP)Vlcg/Cracr2a+ (more )
Structure Level Pattern Image Note
TS28: ileum Present UC Davis_1881809

Specimen UC Davis_1881810: postnatal adult; Cracr2atm1.1(KOMP)Vlcg/Cracr2a+ (more )
Structure Level Pattern Image Note
TS28: colon Present UC Davis_1881810

Specimen UC Davis_1881811: postnatal adult; Cracr2atm1.1(KOMP)Vlcg/Cracr2a+ (more )
Structure Level Pattern Image Note
TS28: colon Present UC Davis_1881811

Specimen UC Davis_1881812: postnatal adult; Cracr2atm1.1(KOMP)Vlcg/Cracr2a+ (more )
Structure Level Pattern Image Note
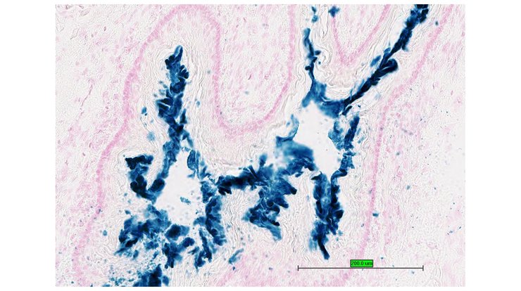
TS28: tongue Present UC Davis_1881812

Specimen UC Davis_1881813: postnatal adult; Cracr2atm1.1(KOMP)Vlcg/Cracr2a+ (more )
Structure Level Pattern Image Note
TS28: tongue Present UC Davis_1881813

Specimen UC Davis_1881814: postnatal adult; Cracr2atm1.1(KOMP)Vlcg/Cracr2a+ (more )
Structure Level Pattern Image Note
TS28: eye Present UC Davis_1881814

Specimen UC Davis_1881816: postnatal adult; Cracr2atm1.1(KOMP)Vlcg/Cracr2a+ (more )
Structure Level Pattern Image Note
TS28: cerebellum Present UC Davis_1881816

Specimen UC Davis_1881817: postnatal adult; Cracr2atm1.1(KOMP)Vlcg/Cracr2a+ (more )
Structure Level Pattern Image Note
TS28: cerebellum Present UC Davis_1881817

Specimen UC Davis_1881818: postnatal adult; Cracr2atm1.1(KOMP)Vlcg/Cracr2a+ (more )
Structure Level Pattern Image Note
TS28: trigeminal nerve Present UC Davis_1881818

Specimen UC Davis_1881819: postnatal adult; Cracr2atm1.1(KOMP)Vlcg/Cracr2a+ (more )
Structure Level Pattern Image Note
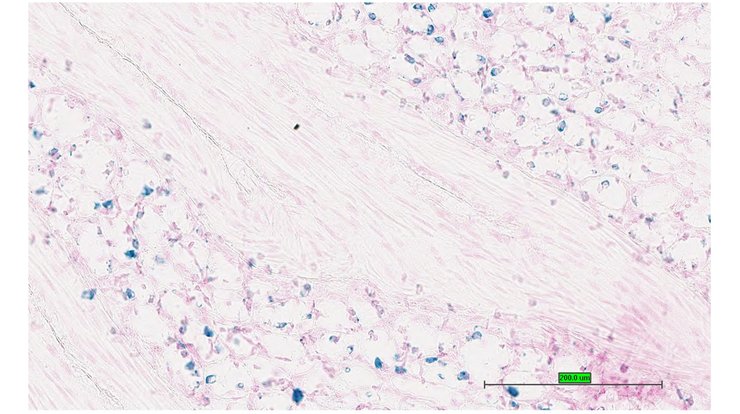
TS28: bladder Present UC Davis_1881819

Specimen UC Davis_1881780: postnatal adult; Cracr2atm1.1(KOMP)Vlcg/Cracr2a+ (more )
Structure Level Pattern Image Note
TS28: submandibular gland Present UC Davis_1881780

Specimen UC Davis_1881781: postnatal adult; Cracr2atm1.1(KOMP)Vlcg/Cracr2a+ (more )
Structure Level Pattern Image Note
TS28: submandibular gland Present UC Davis_1881781

Specimen UC Davis_1881782: postnatal adult; Cracr2atm1.1(KOMP)Vlcg/Cracr2a+ (more )
Structure Level Pattern Image Note
TS28: sublingual gland Present UC Davis_1881782

Specimen UC Davis_1881783: postnatal adult; Cracr2atm1.1(KOMP)Vlcg/Cracr2a+ (more )
Structure Level Pattern Image Note
TS28: sublingual gland Present UC Davis_1881783

Specimen UC Davis_1881784: postnatal adult; Cracr2atm1.1(KOMP)Vlcg/Cracr2a+ (more )
Structure Level Pattern Image Note
TS28: esophagus Present UC Davis_1881784

Specimen UC Davis_1881785: postnatal adult; Cracr2atm1.1(KOMP)Vlcg/Cracr2a+ (more )
Structure Level Pattern Image Note
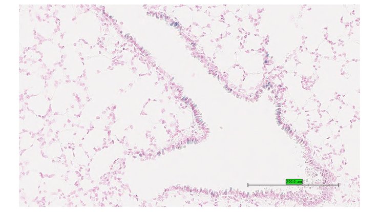
TS28: lung Present UC Davis_1881785

Specimen UC Davis_1881786: postnatal adult; Cracr2atm1.1(KOMP)Vlcg/Cracr2a+ (more )
Structure Level Pattern Image Note
TS28: lung Present UC Davis_1881786

Specimen UC Davis_1881789: postnatal adult; Cracr2atm1.1(KOMP)Vlcg/Cracr2a+ (more )
Structure Level Pattern Image Note
TS28: jejunum Present UC Davis_1881789

Specimen UC Davis_1881790: postnatal adult; Cracr2atm1.1(KOMP)Vlcg/Cracr2a+ (more )
Structure Level Pattern Image Note
TS28: ileum Present UC Davis_1881790

Specimen UC Davis_1881791: postnatal adult; Cracr2atm1.1(KOMP)Vlcg/Cracr2a+ (more )
Structure Level Pattern Image Note
TS28: colon Present UC Davis_1881791

Specimen UC Davis_1881792: postnatal adult; Cracr2atm1.1(KOMP)Vlcg/Cracr2a+ (more )
Structure Level Pattern Image Note
TS28: colon Present UC Davis_1881792

Specimen UC Davis_1881793: postnatal adult; Cracr2atm1.1(KOMP)Vlcg/Cracr2a+ (more )
Structure Level Pattern Image Note
TS28: tongue Present UC Davis_1881793

Specimen UC Davis_1881794: postnatal adult; Cracr2atm1.1(KOMP)Vlcg/Cracr2a+ (more )
Structure Level Pattern Image Note
TS28: tongue Present UC Davis_1881794

Specimen UC Davis_1881798: postnatal adult; Cracr2atm1.1(KOMP)Vlcg/Cracr2a+ (more )
Structure Level Pattern Image Note
TS28: cerebellum Present UC Davis_1881798

Specimen UC Davis_1881799: postnatal adult; Cracr2atm1.1(KOMP)Vlcg/Cracr2a+ (more )
Structure Level Pattern Image Note
TS28: trigeminal nerve Present UC Davis_1881799

Specimen UC Davis_1881800: postnatal adult; Cracr2atm1.1(KOMP)Vlcg/Cracr2a+ (more )
Structure Level Pattern Image Note
TS28: epididymis Present UC Davis_1881800

Specimen UC Davis_1881801: postnatal adult; Cracr2atm1.1(KOMP)Vlcg/Cracr2a+ (more )
Structure Level Pattern Image Note
TS28: prostate gland Present UC Davis_1881801


Contributing Projects:
Mouse Genome Database (MGD), Gene Expression Database (GXD), Mouse Models of Human Cancer database (MMHCdb) (formerly Mouse Tumor Biology (MTB)), Gene Ontology (GO)
Citing These Resources
Funding Information
Warranty Disclaimer, Privacy Notice, Licensing, & Copyright
Send questions and comments to User Support.
last database update
01/20/2026
MGI 6.24
The Jackson Laboratory