About   Help   FAQ
Gene Expression Data
Assay Details
Assay
Reference: J:228563 Koscielny G, et al., The International Mouse Phenotyping Consortium Web Portal, a unified point of access for knockout mice and related phenotyping data. Nucleic Acids Res. 2014 Jan;42(Database issue):D802-9
Assay type: In situ reporter (knock in)
MGI Accession ID: MGI:6692840
Gene symbol: Kcnk18
Gene name: potassium channel, subfamily K, member 18
Reporter: lacZ
Direct Detection
Results
Specimen UC Davis_1868791: postnatal adult; Kcnk18tm1.1(KOMP)Vlcg/Kcnk18+ (more )
Structure Level Pattern Image Note
TS28: esophagus Present UC Davis_1868791

Specimen UC Davis_1868794: postnatal adult; Kcnk18tm1.1(KOMP)Vlcg/Kcnk18+ (more )
Structure Level Pattern Image Note
TS28: ileum Present UC Davis_1868794

Specimen UC Davis_1868795: postnatal adult; Kcnk18tm1.1(KOMP)Vlcg/Kcnk18+ (more )
Structure Level Pattern Image Note
TS28: olfactory lobe Present UC Davis_1868795

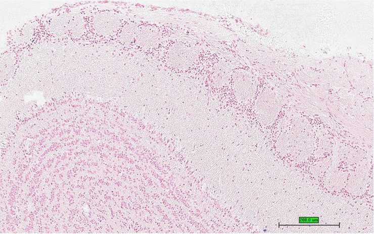
Specimen UC Davis_1868798: postnatal adult; Kcnk18tm1.1(KOMP)Vlcg/Kcnk18+ (more )
Structure Level Pattern Image Note
TS28: testis Present UC Davis_1868798

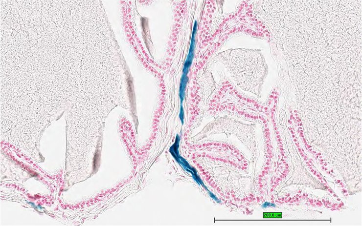
Specimen UC Davis_1868799: postnatal adult; Kcnk18tm1.1(KOMP)Vlcg/Kcnk18+ (more )
Structure Level Pattern Image Note
TS28: epididymis Present UC Davis_1868799

Specimen UC Davis_1868800: postnatal adult; Kcnk18tm1.1(KOMP)Vlcg/Kcnk18+ (more )
Structure Level Pattern Image Note
TS28: prostate gland Present UC Davis_1868800

Specimen UC Davis_1868801: postnatal adult; Kcnk18tm1.1(KOMP)Vlcg/Kcnk18+ (more )
Structure Level Pattern Image Note
TS28: prostate gland Present UC Davis_1868801

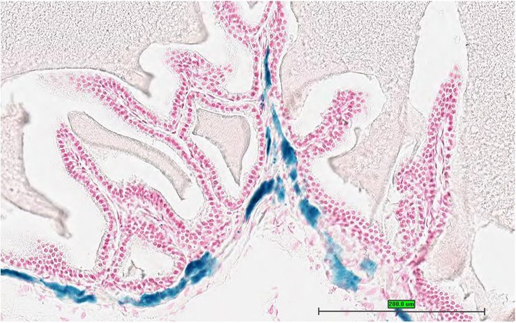
Specimen UC Davis_1868802: postnatal adult; Kcnk18tm1.1(KOMP)Vlcg/Kcnk18+ (more )
Structure Level Pattern Image Note
TS28: ductus deferens Present UC Davis_1868802 vas deferens

Specimen UC Davis_1868803: postnatal adult; Kcnk18tm1.1(KOMP)Vlcg/Kcnk18+ (more )
Structure Level Pattern Image Note
TS28: seminal vesicle Present UC Davis_1868803 vesicular gland

Specimen UC Davis_1868804: postnatal adult; Kcnk18tm1.1(KOMP)Vlcg/Kcnk18+ (more )
Structure Level Pattern Image Note
TS28: seminal vesicle Present UC Davis_1868804 vesicular gland


Contributing Projects:
Mouse Genome Database (MGD), Gene Expression Database (GXD), Mouse Models of Human Cancer database (MMHCdb) (formerly Mouse Tumor Biology (MTB)), Gene Ontology (GO)
Citing These Resources
Funding Information
Warranty Disclaimer, Privacy Notice, Licensing, & Copyright
Send questions and comments to User Support.
last database update
03/24/2026
MGI 6.24
The Jackson Laboratory