About   Help   FAQ
Gene Expression Data
Assay Details
Assay
Reference: J:228563 Koscielny G, et al., The International Mouse Phenotyping Consortium Web Portal, a unified point of access for knockout mice and related phenotyping data. Nucleic Acids Res. 2014 Jan;42(Database issue):D802-9
Assay type: In situ reporter (knock in)
MGI Accession ID: MGI:6692817
Gene symbol: Tlcd5
Gene name: TLC domain containing 5
Reporter: lacZ
Direct Detection
Results
Specimen JAX_1314064: embryonic day 12.5; Tlcd5tm1.1(KOMP)Vlcg/Tlcd5+ (more )
Structure Level Pattern Image Note
TS20: embryo Present JAX_1314064

Specimen JAX_1314065: embryonic day 12.5; Tlcd5tm1.1(KOMP)Vlcg/Tlcd5+ (more )
Structure Level Pattern Image Note
TS20: embryo Present JAX_1314065

Specimen JAX_1314066: embryonic day 12.5; Tlcd5tm1.1(KOMP)Vlcg/Tlcd5+ (more )
Structure Level Pattern Image Note
TS20: embryo Present JAX_1314066

Specimen JAX_1314067: embryonic day 12.5; Tlcd5tm1.1(KOMP)Vlcg/Tlcd5+ (more )
Structure Level Pattern Image Note
TS20: embryo Present JAX_1314067

Specimen JAX_1469425: embryonic day 12.5; Tlcd5tm1.1(KOMP)Vlcg/Tlcd5+ (more )
Structure Level Pattern Image Note
TS20: embryo Present JAX_1469425

Specimen JAX_1469426: embryonic day 12.5; Tlcd5tm1.1(KOMP)Vlcg/Tlcd5+ (more )
Structure Level Pattern Image Note
TS20: embryo Present JAX_1469426

Specimen JAX_1469427: embryonic day 12.5; Tlcd5tm1.1(KOMP)Vlcg/Tlcd5+ (more )
Structure Level Pattern Image Note
TS20: embryo Present JAX_1469427

Specimen JAX_1469428: embryonic day 12.5; Tlcd5tm1.1(KOMP)Vlcg/Tlcd5+ (more )
Structure Level Pattern Image Note
TS20: embryo Present JAX_1469428

Specimen JAX_1798369: postnatal adult; Tlcd5tm1.1(KOMP)Vlcg/Tlcd5+ (more )
Structure Level Pattern Image Note
TS28: mammary gland Present JAX_1798369

Specimen JAX_1798347: postnatal adult; Tlcd5tm1.1(KOMP)Vlcg/Tlcd5+ (more )
Structure Level Pattern Image Note
TS28: thalamus Present JAX_1798347

Specimen JAX_1798348: postnatal adult; Tlcd5tm1.1(KOMP)Vlcg/Tlcd5+ (more )
Structure Level Pattern Image Note
TS28: midbrain Present JAX_1798348

Specimen JAX_1798349: postnatal adult; Tlcd5tm1.1(KOMP)Vlcg/Tlcd5+ (more )
Structure Level Pattern Image Note
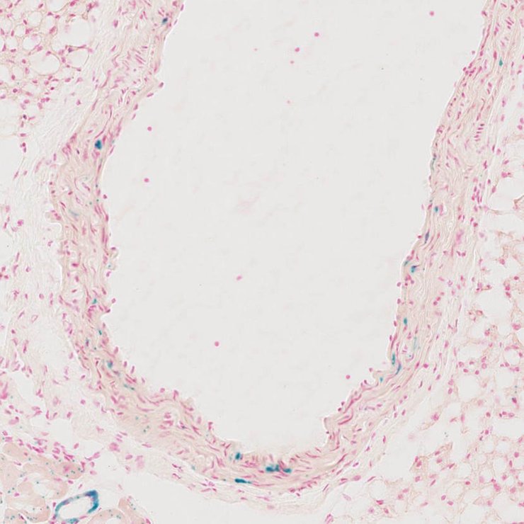
TS28: vascular system Present JAX_1798349

Specimen JAX_1798350: postnatal adult; Tlcd5tm1.1(KOMP)Vlcg/Tlcd5+ (more )
Structure Level Pattern Image Note
TS28: submandibular gland Present JAX_1798350

Specimen JAX_1798351: postnatal adult; Tlcd5tm1.1(KOMP)Vlcg/Tlcd5+ (more )
Structure Level Pattern Image Note
TS28: corpus striatum Present JAX_1798351

Specimen JAX_1798352: postnatal adult; Tlcd5tm1.1(KOMP)Vlcg/Tlcd5+ (more )
Structure Level Pattern Image Note
TS28: olfactory lobe Present JAX_1798352

Specimen JAX_1798353: postnatal adult; Tlcd5tm1.1(KOMP)Vlcg/Tlcd5+ (more )
Structure Level Pattern Image Note
TS28: hypothalamus Present JAX_1798353

Specimen JAX_1798354: postnatal adult; Tlcd5tm1.1(KOMP)Vlcg/Tlcd5+ (more )
Structure Level Pattern Image Note
TS28: hippocampus Present JAX_1798354

Specimen JAX_1798355: postnatal adult; Tlcd5tm1.1(KOMP)Vlcg/Tlcd5+ (more )
Structure Level Pattern Image Note
TS28: cerebellum Present JAX_1798355

Specimen JAX_1798356: postnatal adult; Tlcd5tm1.1(KOMP)Vlcg/Tlcd5+ (more )
Structure Level Pattern Image Note
TS28: cerebral cortex Present JAX_1798356

Specimen JAX_1798357: postnatal adult; Tlcd5tm1.1(KOMP)Vlcg/Tlcd5+ (more )
Structure Level Pattern Image Note
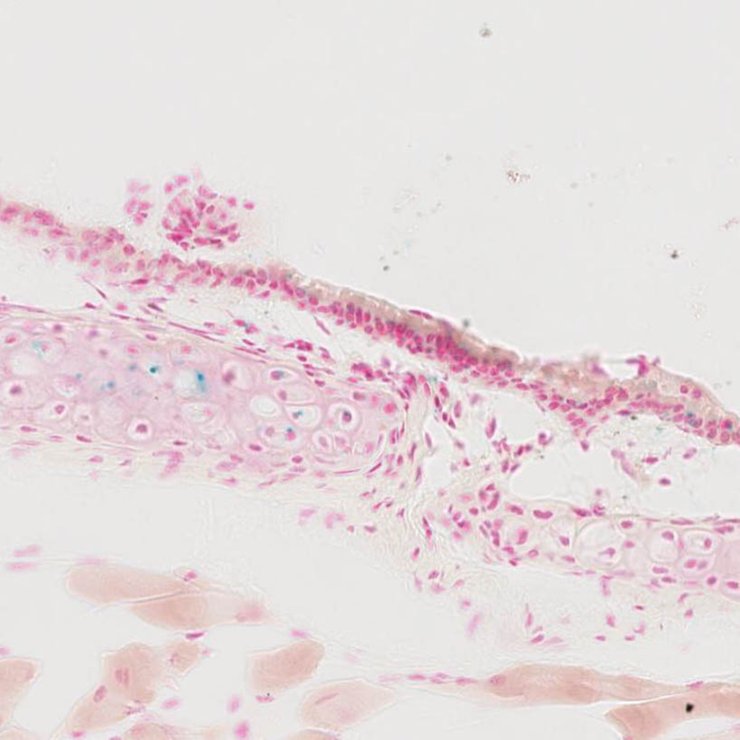
TS28: cartilage Present JAX_1798357

Specimen JAX_1798358: postnatal adult; Tlcd5tm1.1(KOMP)Vlcg/Tlcd5+ (more )
Structure Level Pattern Image Note
TS28: brainstem Present JAX_1798358

Specimen JAX_1798359: postnatal adult; Tlcd5tm1.1(KOMP)Vlcg/Tlcd5+ (more )
Structure Level Pattern Image Note
TS28: aorta Present JAX_1798359

Specimen JAX_1798360: postnatal adult; Tlcd5tm1.1(KOMP)Vlcg/Tlcd5+ (more )
Structure Level Pattern Image Note
TS28: pituitary gland Present JAX_1798360

Specimen JAX_1798361: postnatal adult; Tlcd5tm1.1(KOMP)Vlcg/Tlcd5+ (more )
Structure Level Pattern Image Note
TS28: spinal cord Present JAX_1798361

Specimen JAX_1798362: postnatal adult; Tlcd5tm1.1(KOMP)Vlcg/Tlcd5+ (more )
Structure Level Pattern Image Note
TS28: trachea Present JAX_1798362

Specimen JAX_1798363: postnatal adult; Tlcd5tm1.1(KOMP)Vlcg/Tlcd5+ (more )
Structure Level Pattern Image Note
TS28: testis Present JAX_1798363

Specimen JAX_1798364: postnatal adult; Tlcd5tm1.1(KOMP)Vlcg/Tlcd5+ (more )
Structure Level Pattern Image Note
TS28: metanephros Present JAX_1798364 kidney

Specimen JAX_1798365: postnatal adult; Tlcd5tm1.1(KOMP)Vlcg/Tlcd5+ (more )
Structure Level Pattern Image Note
TS28: heart Present JAX_1798365

Specimen JAX_1798366: postnatal adult; Tlcd5tm1.1(KOMP)Vlcg/Tlcd5+ (more )
Structure Level Pattern Image Note
TS28: eye Present JAX_1798366

Specimen JAX_1798367: postnatal adult; Tlcd5tm1.1(KOMP)Vlcg/Tlcd5+ (more )
Structure Level Pattern Image Note
TS28: brain Present JAX_1798367

Specimen JAX_1798368: postnatal adult; Tlcd5tm1.1(KOMP)Vlcg/Tlcd5+ (more )
Structure Level Pattern Image Note
TS28: adrenal gland Present JAX_1798368


Contributing Projects:
Mouse Genome Database (MGD), Gene Expression Database (GXD), Mouse Models of Human Cancer database (MMHCdb) (formerly Mouse Tumor Biology (MTB)), Gene Ontology (GO)
Citing These Resources
Funding Information
Warranty Disclaimer, Privacy Notice, Licensing, & Copyright
Send questions and comments to User Support.
last database update
12/30/2025
MGI 6.24
The Jackson Laboratory