About   Help   FAQ
Gene Expression Data
Assay Details
Assay
Reference: J:228563 Koscielny G, et al., The International Mouse Phenotyping Consortium Web Portal, a unified point of access for knockout mice and related phenotyping data. Nucleic Acids Res. 2014 Jan;42(Database issue):D802-9
Assay type: In situ reporter (knock in)
MGI Accession ID: MGI:6692809
Gene symbol: Kcnh6
Gene name: potassium voltage-gated channel, subfamily H (eag-related), member 6
Reporter: lacZ
Direct Detection
Results
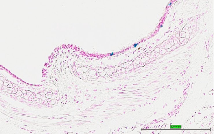
Specimen UC Davis_1871543: postnatal adult; Kcnh6tm1.1(KOMP)Vlcg/Kcnh6+ (more )
Structure Level Pattern Image Note
TS28: thymus Present UC Davis_1871543

Specimen UC Davis_1871544: postnatal adult; Kcnh6tm1.1(KOMP)Vlcg/Kcnh6+ (more )
Structure Level Pattern Image Note
TS28: thymus Present UC Davis_1871544

Specimen UC Davis_1871545: postnatal adult; Kcnh6tm1.1(KOMP)Vlcg/Kcnh6+ (more )
Structure Level Pattern Image Note
TS28: ileum Present UC Davis_1871545

Specimen UC Davis_1871546: postnatal adult; Kcnh6tm1.1(KOMP)Vlcg/Kcnh6+ (more )
Structure Level Pattern Image Note
TS28: ileum Present UC Davis_1871546

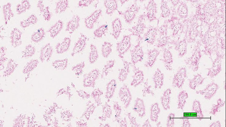
Specimen UC Davis_1871547: postnatal adult; Kcnh6tm1.1(KOMP)Vlcg/Kcnh6+ (more )
Structure Level Pattern Image Note
TS28: colon Present UC Davis_1871547

Specimen UC Davis_1871548: postnatal adult; Kcnh6tm1.1(KOMP)Vlcg/Kcnh6+ (more )
Structure Level Pattern Image Note
TS28: colon Present UC Davis_1871548

Specimen UC Davis_1871549: postnatal adult; Kcnh6tm1.1(KOMP)Vlcg/Kcnh6+ (more )
Structure Level Pattern Image Note
TS28: cecum Absent UC Davis_1871549

Specimen UC Davis_1871550: postnatal adult; Kcnh6tm1.1(KOMP)Vlcg/Kcnh6+ (more )
Structure Level Pattern Image Note
TS28: cecum Absent UC Davis_1871550

Specimen UC Davis_1871551: postnatal adult; Kcnh6tm1.1(KOMP)Vlcg/Kcnh6+ (more )
Structure Level Pattern Image Note
TS28: pancreas Present UC Davis_1871551

Specimen UC Davis_1871552: postnatal adult; Kcnh6tm1.1(KOMP)Vlcg/Kcnh6+ (more )
Structure Level Pattern Image Note
TS28: pancreas Present UC Davis_1871552

Specimen UC Davis_1871553: postnatal adult; Kcnh6tm1.1(KOMP)Vlcg/Kcnh6+ (more )
Structure Level Pattern Image Note
TS28: pancreas Present UC Davis_1871553

Specimen UC Davis_1871554: postnatal adult; Kcnh6tm1.1(KOMP)Vlcg/Kcnh6+ (more )
Structure Level Pattern Image Note
TS28: adrenal gland Present UC Davis_1871554

Specimen UC Davis_1871555: postnatal adult; Kcnh6tm1.1(KOMP)Vlcg/Kcnh6+ (more )
Structure Level Pattern Image Note
TS28: adrenal gland Present UC Davis_1871555

Specimen UC Davis_1871556: postnatal adult; Kcnh6tm1.1(KOMP)Vlcg/Kcnh6+ (more )
Structure Level Pattern Image Note
TS28: adrenal gland Present UC Davis_1871556

Specimen UC Davis_1871557: postnatal adult; Kcnh6tm1.1(KOMP)Vlcg/Kcnh6+ (more )
Structure Level Pattern Image Note
TS28: trigeminal nerve Present UC Davis_1871557

Specimen UC Davis_1871558: postnatal adult; Kcnh6tm1.1(KOMP)Vlcg/Kcnh6+ (more )
Structure Level Pattern Image Note
TS28: trachea Present UC Davis_1871558

Specimen UC Davis_1871559: postnatal adult; Kcnh6tm1.1(KOMP)Vlcg/Kcnh6+ (more )
Structure Level Pattern Image Note
TS28: stomach Present UC Davis_1871559

Specimen UC Davis_1871560: postnatal adult; Kcnh6tm1.1(KOMP)Vlcg/Kcnh6+ (more )
Structure Level Pattern Image Note
TS28: stomach Present UC Davis_1871560

Specimen UC Davis_1871561: postnatal adult; Kcnh6tm1.1(KOMP)Vlcg/Kcnh6+ (more )
Structure Level Pattern Image Note
TS28: stomach Present UC Davis_1871561

Specimen UC Davis_1871562: postnatal adult; Kcnh6tm1.1(KOMP)Vlcg/Kcnh6+ (more )
Structure Level Pattern Image Note
TS28: stomach Present UC Davis_1871562

Specimen UC Davis_1871563: postnatal adult; Kcnh6tm1.1(KOMP)Vlcg/Kcnh6+ (more )
Structure Level Pattern Image Note
TS28: colon Present UC Davis_1871563

Specimen UC Davis_1871564: postnatal adult; Kcnh6tm1.1(KOMP)Vlcg/Kcnh6+ (more )
Structure Level Pattern Image Note
TS28: colon Present UC Davis_1871564

Specimen UC Davis_1871565: postnatal adult; Kcnh6tm1.1(KOMP)Vlcg/Kcnh6+ (more )
Structure Level Pattern Image Note
TS28: colon Present UC Davis_1871565

Specimen UC Davis_1871566: postnatal adult; Kcnh6tm1.1(KOMP)Vlcg/Kcnh6+ (more )
Structure Level Pattern Image Note
TS28: cecum Present UC Davis_1871566

Specimen UC Davis_1871567: postnatal adult; Kcnh6tm1.1(KOMP)Vlcg/Kcnh6+ (more )
Structure Level Pattern Image Note
TS28: pancreas Present UC Davis_1871567

Specimen UC Davis_1871568: postnatal adult; Kcnh6tm1.1(KOMP)Vlcg/Kcnh6+ (more )
Structure Level Pattern Image Note
TS28: pancreas Present UC Davis_1871568

Specimen UC Davis_1871569: postnatal adult; Kcnh6tm1.1(KOMP)Vlcg/Kcnh6+ (more )
Structure Level Pattern Image Note
TS28: adrenal gland Present UC Davis_1871569

Specimen UC Davis_1871570: postnatal adult; Kcnh6tm1.1(KOMP)Vlcg/Kcnh6+ (more )
Structure Level Pattern Image Note
TS28: adrenal gland Present UC Davis_1871570

Specimen UC Davis_1871571: postnatal adult; Kcnh6tm1.1(KOMP)Vlcg/Kcnh6+ (more )
Structure Level Pattern Image Note
TS28: trigeminal nerve Present UC Davis_1871571

Specimen UC Davis_1871572: postnatal adult; Kcnh6tm1.1(KOMP)Vlcg/Kcnh6+ (more )
Structure Level Pattern Image Note
TS28: testis Present UC Davis_1871572

Specimen UC Davis_1871573: postnatal adult; Kcnh6tm1.1(KOMP)Vlcg/Kcnh6+ (more )
Structure Level Pattern Image Note
TS28: testis Present UC Davis_1871573

Specimen UC Davis_1871574: postnatal adult; Kcnh6tm1.1(KOMP)Vlcg/Kcnh6+ (more )
Structure Level Pattern Image Note
TS28: epididymis Present UC Davis_1871574

Specimen UC Davis_1871575: postnatal adult; Kcnh6tm1.1(KOMP)Vlcg/Kcnh6+ (more )
Structure Level Pattern Image Note
TS28: ductus deferens Present UC Davis_1871575 vas deferens


Contributing Projects:
Mouse Genome Database (MGD), Gene Expression Database (GXD), Mouse Models of Human Cancer database (MMHCdb) (formerly Mouse Tumor Biology (MTB)), Gene Ontology (GO)
Citing These Resources
Funding Information
Warranty Disclaimer, Privacy Notice, Licensing, & Copyright
Send questions and comments to User Support.
last database update
12/30/2025
MGI 6.24
The Jackson Laboratory