About   Help   FAQ
Gene Expression Data
Assay Details
Assay
Reference: J:228563 Koscielny G, et al., The International Mouse Phenotyping Consortium Web Portal, a unified point of access for knockout mice and related phenotyping data. Nucleic Acids Res. 2014 Jan;42(Database issue):D802-9
Assay type: In situ reporter (knock in)
MGI Accession ID: MGI:6692795
Gene symbol: Cep126
Gene name: centrosomal protein 126
Reporter: lacZ
Direct Detection
Results
Specimen JAX_1263267: embryonic day 12.5; Cep126tm1b(KOMP)Mbp/Cep126+ (more )
Structure Level Pattern Image Note
TS20: embryo Present JAX_1263267

Specimen JAX_1263269: embryonic day 12.5; Cep126tm1b(KOMP)Mbp/Cep126+ (more )
Structure Level Pattern Image Note
TS20: embryo Present JAX_1263269

Specimen JAX_1263271: embryonic day 12.5; Cep126tm1b(KOMP)Mbp/Cep126+ (more )
Structure Level Pattern Image Note
TS20: embryo Present JAX_1263271

Specimen JAX_1263273: embryonic day 12.5; Cep126tm1b(KOMP)Mbp/Cep126+ (more )
Structure Level Pattern Image Note
TS20: embryo Present JAX_1263273

Specimen JAX_1263259: embryonic day 12.5; Cep126tm1b(KOMP)Mbp/Cep126+ (more )
Structure Level Pattern Image Note
TS20: embryo Present JAX_1263259

Specimen JAX_1263261: embryonic day 12.5; Cep126tm1b(KOMP)Mbp/Cep126+ (more )
Structure Level Pattern Image Note
TS20: embryo Present JAX_1263261

Specimen JAX_1263263: embryonic day 12.5; Cep126tm1b(KOMP)Mbp/Cep126+ (more )
Structure Level Pattern Image Note
TS20: embryo Present JAX_1263263

Specimen JAX_1263265: embryonic day 12.5; Cep126tm1b(KOMP)Mbp/Cep126+ (more )
Structure Level Pattern Image Note
TS20: embryo Present JAX_1263265

Specimen JAX_1522038: postnatal adult; Cep126tm1b(KOMP)Mbp/Cep126+ (more )
Structure Level Pattern Image Note
TS28: bladder Present JAX_1522038

Specimen JAX_1522039: postnatal adult; Cep126tm1b(KOMP)Mbp/Cep126+ (more )
Structure Level Pattern Image Note
TS28: peripheral nervous system Present JAX_1522039

Specimen JAX_1522041: postnatal adult; Cep126tm1b(KOMP)Mbp/Cep126+ (more )
Structure Level Pattern Image Note
TS28: oviduct Present JAX_1522041

Specimen JAX_1522042: postnatal adult; Cep126tm1b(KOMP)Mbp/Cep126+ (more )
Structure Level Pattern Image Note
TS28: ovary Present JAX_1522042

Specimen JAX_1522043: postnatal adult; Cep126tm1b(KOMP)Mbp/Cep126+ (more )
Structure Level Pattern Image Note
TS28: mammary gland Present JAX_1522043

Specimen JAX_1522010: postnatal adult; Cep126tm1b(KOMP)Mbp/Cep126+ (more )
Structure Level Pattern Image Note
TS28: thalamus Present JAX_1522010

Specimen JAX_1522011: postnatal adult; Cep126tm1b(KOMP)Mbp/Cep126+ (more )
Structure Level Pattern Image Note
TS28: midbrain Present JAX_1522011

Specimen JAX_1522012: postnatal adult; Cep126tm1b(KOMP)Mbp/Cep126+ (more )
Structure Level Pattern Image Note
TS28: epididymis Present JAX_1522012

Specimen JAX_1522013: postnatal adult; Cep126tm1b(KOMP)Mbp/Cep126+ (more )
Structure Level Pattern Image Note
TS28: corpus striatum Present JAX_1522013

Specimen JAX_1522014: postnatal adult; Cep126tm1b(KOMP)Mbp/Cep126+ (more )
Structure Level Pattern Image Note
TS28: olfactory lobe Present JAX_1522014

Specimen JAX_1522015: postnatal adult; Cep126tm1b(KOMP)Mbp/Cep126+ (more )
Structure Level Pattern Image Note
TS28: hypothalamus Present JAX_1522015

Specimen JAX_1522016: postnatal adult; Cep126tm1b(KOMP)Mbp/Cep126+ (more )
Structure Level Pattern Image Note
TS28: hippocampus Present JAX_1522016

Specimen JAX_1522017: postnatal adult; Cep126tm1b(KOMP)Mbp/Cep126+ (more )
Structure Level Pattern Image Note
TS28: cerebellum Present JAX_1522017

Specimen JAX_1522018: postnatal adult; Cep126tm1b(KOMP)Mbp/Cep126+ (more )
Structure Level Pattern Image Note
TS28: cerebral cortex Present JAX_1522018

Specimen JAX_1522019: postnatal adult; Cep126tm1b(KOMP)Mbp/Cep126+ (more )
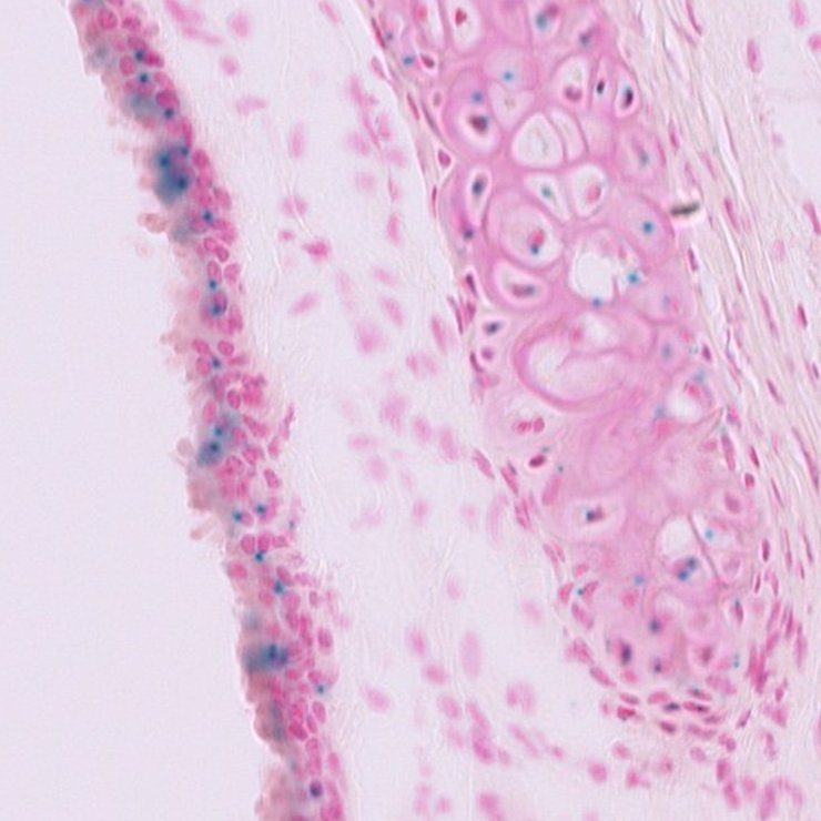
Structure Level Pattern Image Note
TS28: cartilage Present JAX_1522019

Specimen JAX_1522020: postnatal adult; Cep126tm1b(KOMP)Mbp/Cep126+ (more )
Structure Level Pattern Image Note
TS28: brainstem Present JAX_1522020

Specimen JAX_1522021: postnatal adult; Cep126tm1b(KOMP)Mbp/Cep126+ (more )
Structure Level Pattern Image Note
TS28: spleen Present JAX_1522021

Specimen JAX_1522022: postnatal adult; Cep126tm1b(KOMP)Mbp/Cep126+ (more )
Structure Level Pattern Image Note
TS28: pancreas Present JAX_1522022

Specimen JAX_1522023: postnatal adult; Cep126tm1b(KOMP)Mbp/Cep126+ (more )
Structure Level Pattern Image Note
TS28: aorta Present JAX_1522023

Specimen JAX_1522024: postnatal adult; Cep126tm1b(KOMP)Mbp/Cep126+ (more )
Structure Level Pattern Image Note
TS28: lung Present JAX_1522024

Specimen JAX_1522025: postnatal adult; Cep126tm1b(KOMP)Mbp/Cep126+ (more )
Structure Level Pattern Image Note
TS28: small intestine Present JAX_1522025

Specimen JAX_1522026: postnatal adult; Cep126tm1b(KOMP)Mbp/Cep126+ (more )
Structure Level Pattern Image Note
TS28: pituitary gland Present JAX_1522026

Specimen JAX_1522027: postnatal adult; Cep126tm1b(KOMP)Mbp/Cep126+ (more )
Structure Level Pattern Image Note
TS28: spinal cord Present JAX_1522027

Specimen JAX_1522028: postnatal adult; Cep126tm1b(KOMP)Mbp/Cep126+ (more )
Structure Level Pattern Image Note
TS28: large intestine Present JAX_1522028

Specimen JAX_1522029: postnatal adult; Cep126tm1b(KOMP)Mbp/Cep126+ (more )
Structure Level Pattern Image Note
TS28: trachea Present JAX_1522029

Specimen JAX_1522030: postnatal adult; Cep126tm1b(KOMP)Mbp/Cep126+ (more )
Structure Level Pattern Image Note
TS28: thymus Present JAX_1522030

Specimen JAX_1522031: postnatal adult; Cep126tm1b(KOMP)Mbp/Cep126+ (more )
Structure Level Pattern Image Note
TS28: testis Present JAX_1522031

Specimen JAX_1522032: postnatal adult; Cep126tm1b(KOMP)Mbp/Cep126+ (more )
Structure Level Pattern Image Note
TS28: stomach Present JAX_1522032

Specimen JAX_1522033: postnatal adult; Cep126tm1b(KOMP)Mbp/Cep126+ (more )
Structure Level Pattern Image Note
TS28: metanephros Present JAX_1522033 kidney

Specimen JAX_1522034: postnatal adult; Cep126tm1b(KOMP)Mbp/Cep126+ (more )
Structure Level Pattern Image Note
TS28: heart Present JAX_1522034

Specimen JAX_1522035: postnatal adult; Cep126tm1b(KOMP)Mbp/Cep126+ (more )
Structure Level Pattern Image Note
TS28: eye Present JAX_1522035

Specimen JAX_1522036: postnatal adult; Cep126tm1b(KOMP)Mbp/Cep126+ (more )
Structure Level Pattern Image Note
TS28: brain Present JAX_1522036

Specimen JAX_1522037: postnatal adult; Cep126tm1b(KOMP)Mbp/Cep126+ (more )
Structure Level Pattern Image Note
TS28: adrenal gland Present JAX_1522037


Contributing Projects:
Mouse Genome Database (MGD), Gene Expression Database (GXD), Mouse Models of Human Cancer database (MMHCdb) (formerly Mouse Tumor Biology (MTB)), Gene Ontology (GO)
Citing These Resources
Funding Information
Warranty Disclaimer, Privacy Notice, Licensing, & Copyright
Send questions and comments to User Support.
last database update
03/24/2026
MGI 6.24
The Jackson Laboratory