About   Help   FAQ
Gene Expression Data
Assay Details
Assay
Reference: J:228563 Koscielny G, et al., The International Mouse Phenotyping Consortium Web Portal, a unified point of access for knockout mice and related phenotyping data. Nucleic Acids Res. 2014 Jan;42(Database issue):D802-9
Assay type: In situ reporter (knock in)
MGI Accession ID: MGI:6692792
Gene symbol: Slitrk1
Gene name: SLIT and NTRK-like family, member 1
Reporter: lacZ
Direct Detection
Results
Specimen UC Davis_1870845: postnatal adult; Slitrk1tm1.1(KOMP)Vlcg/Slitrk1+ (more )
Structure Level Pattern Image Note
TS28: ileum Present UC Davis_1870845

Specimen UC Davis_1870846: postnatal adult; Slitrk1tm1.1(KOMP)Vlcg/Slitrk1+ (more )
Structure Level Pattern Image Note
TS28: colon Present UC Davis_1870846

Specimen UC Davis_1870847: postnatal adult; Slitrk1tm1.1(KOMP)Vlcg/Slitrk1+ (more )
Structure Level Pattern Image Note
TS28: pituitary gland Present UC Davis_1870847

Specimen UC Davis_1870848: postnatal adult; Slitrk1tm1.1(KOMP)Vlcg/Slitrk1+ (more )
Structure Level Pattern Image Note
TS28: spinal cord Present UC Davis_1870848

Specimen UC Davis_1870849: postnatal adult; Slitrk1tm1.1(KOMP)Vlcg/Slitrk1+ (more )
Structure Level Pattern Image Note
TS28: spinal cord Present UC Davis_1870849

Specimen UC Davis_1870850: postnatal adult; Slitrk1tm1.1(KOMP)Vlcg/Slitrk1+ (more )
Structure Level Pattern Image Note
TS28: eye Present UC Davis_1870850

Specimen UC Davis_1870851: postnatal adult; Slitrk1tm1.1(KOMP)Vlcg/Slitrk1+ (more )
Structure Level Pattern Image Note
TS28: olfactory lobe Present UC Davis_1870851

Specimen UC Davis_1870855: postnatal adult; Slitrk1tm1.1(KOMP)Vlcg/Slitrk1+ (more )
Structure Level Pattern Image Note
TS28: midbrain Present UC Davis_1870855

Specimen UC Davis_1870857: postnatal adult; Slitrk1tm1.1(KOMP)Vlcg/Slitrk1+ (more )
Structure Level Pattern Image Note
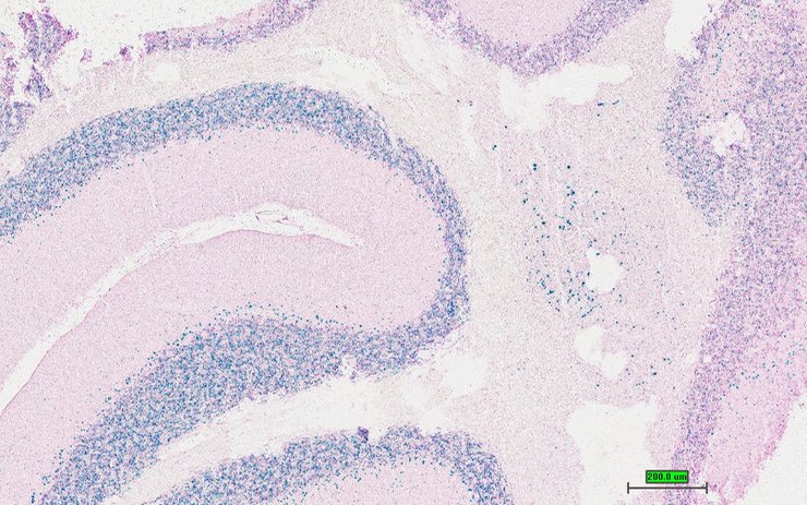
TS28: cerebellum Present UC Davis_1870857

Specimen UC Davis_1870858: postnatal adult; Slitrk1tm1.1(KOMP)Vlcg/Slitrk1+ (more )
Structure Level Pattern Image Note
TS28: cerebellum Present UC Davis_1870858

Specimen UC Davis_1870859: postnatal adult; Slitrk1tm1.1(KOMP)Vlcg/Slitrk1+ (more )
Structure Level Pattern Image Note
TS28: trigeminal nerve Present UC Davis_1870859

Specimen UC Davis_1870824: postnatal adult; Slitrk1tm1.1(KOMP)Vlcg/Slitrk1+ (more )
Structure Level Pattern Image Note
TS28: parotid gland Present UC Davis_1870824

Specimen UC Davis_1870825: postnatal adult; Slitrk1tm1.1(KOMP)Vlcg/Slitrk1+ (more )
Structure Level Pattern Image Note
TS28: parotid gland Present UC Davis_1870825

Specimen UC Davis_1870827: postnatal adult; Slitrk1tm1.1(KOMP)Vlcg/Slitrk1+ (more )
Structure Level Pattern Image Note
TS28: ileum Present UC Davis_1870827

Specimen UC Davis_1870828: postnatal adult; Slitrk1tm1.1(KOMP)Vlcg/Slitrk1+ (more )
Structure Level Pattern Image Note
TS28: adrenal gland Absent UC Davis_1870828

Specimen UC Davis_1870829: postnatal adult; Slitrk1tm1.1(KOMP)Vlcg/Slitrk1+ (more )
Structure Level Pattern Image Note
TS28: pituitary gland Present UC Davis_1870829

Specimen UC Davis_1870830: postnatal adult; Slitrk1tm1.1(KOMP)Vlcg/Slitrk1+ (more )
Structure Level Pattern Image Note
TS28: spinal cord Present UC Davis_1870830

Specimen UC Davis_1870831: postnatal adult; Slitrk1tm1.1(KOMP)Vlcg/Slitrk1+ (more )
Structure Level Pattern Image Note
TS28: spinal cord Present UC Davis_1870831

Specimen UC Davis_1870832: postnatal adult; Slitrk1tm1.1(KOMP)Vlcg/Slitrk1+ (more )
Structure Level Pattern Image Note
TS28: eye Present UC Davis_1870832

Specimen UC Davis_1870833: postnatal adult; Slitrk1tm1.1(KOMP)Vlcg/Slitrk1+ (more )
Structure Level Pattern Image Note
TS28: olfactory lobe Present UC Davis_1870833

Specimen UC Davis_1870837: postnatal adult; Slitrk1tm1.1(KOMP)Vlcg/Slitrk1+ (more )
Structure Level Pattern Image Note
TS28: midbrain Present UC Davis_1870837

Specimen UC Davis_1870839: postnatal adult; Slitrk1tm1.1(KOMP)Vlcg/Slitrk1+ (more )
Structure Level Pattern Image Note
TS28: cerebellum Present UC Davis_1870839

Specimen UC Davis_1870840: postnatal adult; Slitrk1tm1.1(KOMP)Vlcg/Slitrk1+ (more )
Structure Level Pattern Image Note
TS28: trigeminal nerve Present UC Davis_1870840

Specimen UC Davis_1870841: postnatal adult; Slitrk1tm1.1(KOMP)Vlcg/Slitrk1+ (more )
Structure Level Pattern Image Note
TS28: epididymis Present UC Davis_1870841

Specimen UC Davis_1870842: postnatal adult; Slitrk1tm1.1(KOMP)Vlcg/Slitrk1+ (more )
Structure Level Pattern Image Note
TS28: epididymis Present UC Davis_1870842

Specimen UC Davis_1870843: postnatal adult; Slitrk1tm1.1(KOMP)Vlcg/Slitrk1+ (more )
Structure Level Pattern Image Note
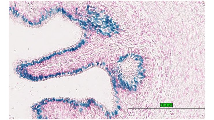
TS28: ductus deferens Present UC Davis_1870843 vas deferens

Specimen UC Davis_1870844: postnatal adult; Slitrk1tm1.1(KOMP)Vlcg/Slitrk1+ (more )
Structure Level Pattern Image Note
TS28: ductus deferens Present UC Davis_1870844 vas deferens


Contributing Projects:
Mouse Genome Database (MGD), Gene Expression Database (GXD), Mouse Models of Human Cancer database (MMHCdb) (formerly Mouse Tumor Biology (MTB)), Gene Ontology (GO)
Citing These Resources
Funding Information
Warranty Disclaimer, Privacy Notice, Licensing, & Copyright
Send questions and comments to User Support.
last database update
01/20/2026
MGI 6.24
The Jackson Laboratory