About   Help   FAQ
Gene Expression Data
Assay Details
Assay
Reference: J:228563 Koscielny G, et al., The International Mouse Phenotyping Consortium Web Portal, a unified point of access for knockout mice and related phenotyping data. Nucleic Acids Res. 2014 Jan;42(Database issue):D802-9
Assay type: In situ reporter (knock in)
MGI Accession ID: MGI:6692762
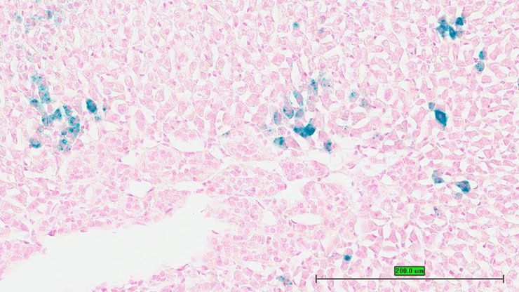
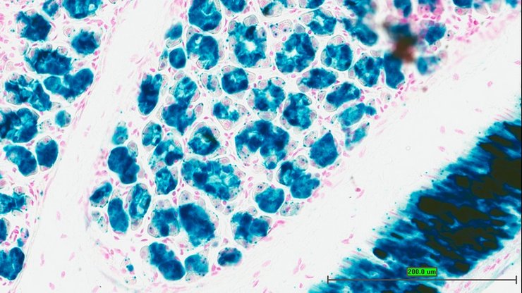
Gene symbol: Synm
Gene name: synemin, intermediate filament protein
Reporter: lacZ
Direct Detection
Results
Specimen UC Davis_1854479: postnatal adult; Synmtm1.1(KOMP)Vlcg/Synm+ (more )
Structure Level Pattern Image Note
TS28: trachea Present UC Davis_1854479

Specimen UC Davis_1854480: postnatal adult; Synmtm1.1(KOMP)Vlcg/Synm+ (more )
Structure Level Pattern Image Note
TS28: esophagus Present UC Davis_1854480

Specimen UC Davis_1854481: postnatal adult; Synmtm1.1(KOMP)Vlcg/Synm+ (more )
Structure Level Pattern Image Note
TS28: esophagus Present UC Davis_1854481

Specimen UC Davis_1854482: postnatal adult; Synmtm1.1(KOMP)Vlcg/Synm+ (more )
Structure Level Pattern Image Note
TS28: lung Present UC Davis_1854482

Specimen UC Davis_1854483: postnatal adult; Synmtm1.1(KOMP)Vlcg/Synm+ (more )
Structure Level Pattern Image Note
TS28: lung Present UC Davis_1854483

Specimen UC Davis_1854484: postnatal adult; Synmtm1.1(KOMP)Vlcg/Synm+ (more )
Structure Level Pattern Image Note
TS28: thymus Present UC Davis_1854484

Specimen UC Davis_1854485: postnatal adult; Synmtm1.1(KOMP)Vlcg/Synm+ (more )
Structure Level Pattern Image Note
TS28: thymus Present UC Davis_1854485

Specimen UC Davis_1854486: postnatal adult; Synmtm1.1(KOMP)Vlcg/Synm+ (more )
Structure Level Pattern Image Note
TS28: thymus Present UC Davis_1854486

Specimen UC Davis_1854491: postnatal adult; Synmtm1.1(KOMP)Vlcg/Synm+ (more )
Structure Level Pattern Image Note
TS28: stomach Present UC Davis_1854491

Specimen UC Davis_1854492: postnatal adult; Synmtm1.1(KOMP)Vlcg/Synm+ (more )
Structure Level Pattern Image Note
TS28: stomach Present UC Davis_1854492

Specimen UC Davis_1854493: postnatal adult; Synmtm1.1(KOMP)Vlcg/Synm+ (more )
Structure Level Pattern Image Note
TS28: stomach Present UC Davis_1854493

Specimen UC Davis_1854494: postnatal adult; Synmtm1.1(KOMP)Vlcg/Synm+ (more )
Structure Level Pattern Image Note
TS28: stomach Present UC Davis_1854494

Specimen UC Davis_1854495: postnatal adult; Synmtm1.1(KOMP)Vlcg/Synm+ (more )
Structure Level Pattern Image Note
TS28: stomach Present UC Davis_1854495

Specimen UC Davis_1854496: postnatal adult; Synmtm1.1(KOMP)Vlcg/Synm+ (more )
Structure Level Pattern Image Note
TS28: duodenum Present UC Davis_1854496

Specimen UC Davis_1854497: postnatal adult; Synmtm1.1(KOMP)Vlcg/Synm+ (more )
Structure Level Pattern Image Note
TS28: duodenum Present UC Davis_1854497

Specimen UC Davis_1854498: postnatal adult; Synmtm1.1(KOMP)Vlcg/Synm+ (more )
Structure Level Pattern Image Note
TS28: jejunum Present UC Davis_1854498

Specimen UC Davis_1854499: postnatal adult; Synmtm1.1(KOMP)Vlcg/Synm+ (more )
Structure Level Pattern Image Note
TS28: ileum Present UC Davis_1854499

Specimen UC Davis_1854500: postnatal adult; Synmtm1.1(KOMP)Vlcg/Synm+ (more )
Structure Level Pattern Image Note
TS28: colon Present UC Davis_1854500

Specimen UC Davis_1854501: postnatal adult; Synmtm1.1(KOMP)Vlcg/Synm+ (more )
Structure Level Pattern Image Note
TS28: colon Present UC Davis_1854501

Specimen UC Davis_1854502: postnatal adult; Synmtm1.1(KOMP)Vlcg/Synm+ (more )
Structure Level Pattern Image Note
TS28: cecum Present UC Davis_1854502

Specimen UC Davis_1854503: postnatal adult; Synmtm1.1(KOMP)Vlcg/Synm+ (more )
Structure Level Pattern Image Note
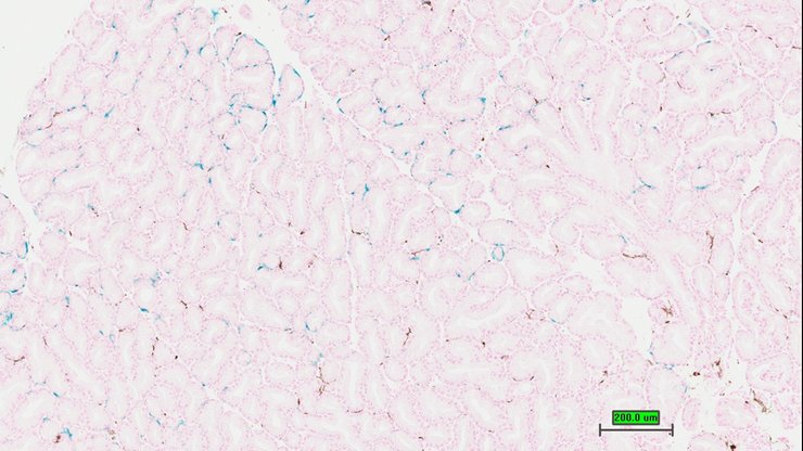
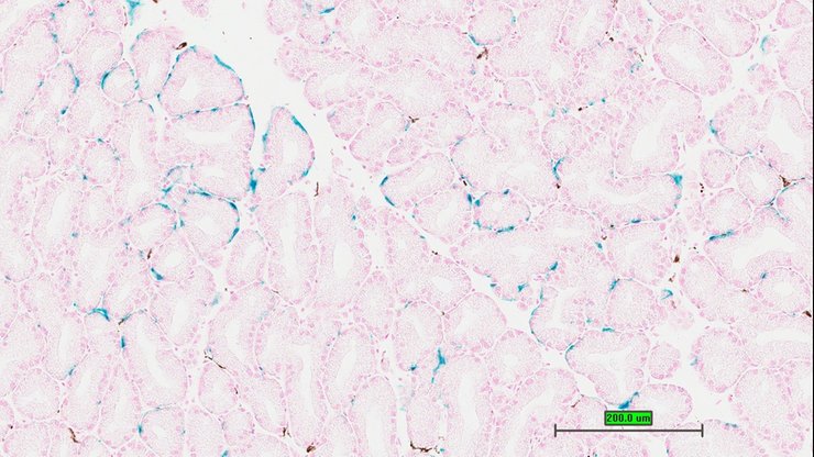
TS28: metanephros Present UC Davis_1854503 kidney

Specimen UC Davis_1854504: postnatal adult; Synmtm1.1(KOMP)Vlcg/Synm+ (more )
Structure Level Pattern Image Note
TS28: metanephros Present UC Davis_1854504 kidney

Specimen UC Davis_1854505: postnatal adult; Synmtm1.1(KOMP)Vlcg/Synm+ (more )
Structure Level Pattern Image Note
TS28: metanephros Present UC Davis_1854505 kidney

Specimen UC Davis_1854506: postnatal adult; Synmtm1.1(KOMP)Vlcg/Synm+ (more )
Structure Level Pattern Image Note
TS28: metanephros Present UC Davis_1854506 kidney

Specimen UC Davis_1854507: postnatal adult; Synmtm1.1(KOMP)Vlcg/Synm+ (more )
Structure Level Pattern Image Note
TS28: quadriceps femoris muscle Present UC Davis_1854507

Specimen UC Davis_1854508: postnatal adult; Synmtm1.1(KOMP)Vlcg/Synm+ (more )
Structure Level Pattern Image Note
TS28: tongue Present UC Davis_1854508

Specimen UC Davis_1854509: postnatal adult; Synmtm1.1(KOMP)Vlcg/Synm+ (more )
Structure Level Pattern Image Note
TS28: tongue Present UC Davis_1854509

Specimen UC Davis_1854510: postnatal adult; Synmtm1.1(KOMP)Vlcg/Synm+ (more )
Structure Level Pattern Image Note
TS28: adrenal gland Present UC Davis_1854510

Specimen UC Davis_1854511: postnatal adult; Synmtm1.1(KOMP)Vlcg/Synm+ (more )
Structure Level Pattern Image Note
TS28: adrenal gland Present UC Davis_1854511

Specimen UC Davis_1854512: postnatal adult; Synmtm1.1(KOMP)Vlcg/Synm+ (more )
Structure Level Pattern Image Note
TS28: adrenal gland Present UC Davis_1854512

Specimen UC Davis_1854513: postnatal adult; Synmtm1.1(KOMP)Vlcg/Synm+ (more )
Structure Level Pattern Image Note
TS28: spinal cord Present UC Davis_1854513

Specimen UC Davis_1854514: postnatal adult; Synmtm1.1(KOMP)Vlcg/Synm+ (more )
Structure Level Pattern Image Note
TS28: spinal cord Present UC Davis_1854514

Specimen UC Davis_1854515: postnatal adult; Synmtm1.1(KOMP)Vlcg/Synm+ (more )
Structure Level Pattern Image Note
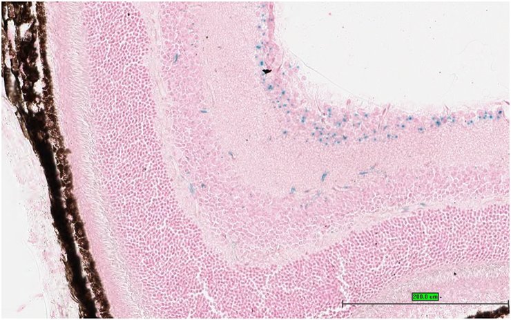
TS28: eye Present UC Davis_1854515

Specimen UC Davis_1854517: postnatal adult; Synmtm1.1(KOMP)Vlcg/Synm+ (more )
Structure Level Pattern Image Note
TS28: Harderian gland Present UC Davis_1854517

Specimen UC Davis_1854518: postnatal adult; Synmtm1.1(KOMP)Vlcg/Synm+ (more )
Structure Level Pattern Image Note
TS28: Harderian gland Present UC Davis_1854518

Specimen UC Davis_1854519: postnatal adult; Synmtm1.1(KOMP)Vlcg/Synm+ (more )
Structure Level Pattern Image Note
TS28: gonadal fat pad Present UC Davis_1854519

Specimen UC Davis_1854520: postnatal adult; Synmtm1.1(KOMP)Vlcg/Synm+ (more )
Structure Level Pattern Image Note
TS28: mesenteric adipose tissue Present UC Davis_1854520

Specimen UC Davis_1854521: postnatal adult; Synmtm1.1(KOMP)Vlcg/Synm+ (more )
Structure Level Pattern Image Note
TS28: mesenteric adipose tissue Present UC Davis_1854521

Specimen UC Davis_1854522: postnatal adult; Synmtm1.1(KOMP)Vlcg/Synm+ (more )
Structure Level Pattern Image Note
TS28: skin Present UC Davis_1854522

Specimen UC Davis_1854523: postnatal adult; Synmtm1.1(KOMP)Vlcg/Synm+ (more )
Structure Level Pattern Image Note
TS28: skin Present UC Davis_1854523

Specimen UC Davis_1854524: postnatal adult; Synmtm1.1(KOMP)Vlcg/Synm+ (more )
Structure Level Pattern Image Note
TS28: skin Present UC Davis_1854524

Specimen UC Davis_1854525: postnatal adult; Synmtm1.1(KOMP)Vlcg/Synm+ (more )
Structure Level Pattern Image Note
TS28: skin Present UC Davis_1854525

Specimen UC Davis_1854526: postnatal adult; Synmtm1.1(KOMP)Vlcg/Synm+ (more )
Structure Level Pattern Image Note
TS28: skin Present UC Davis_1854526

Specimen UC Davis_1854527: postnatal adult; Synmtm1.1(KOMP)Vlcg/Synm+ (more )
Structure Level Pattern Image Note
TS28: skin Present UC Davis_1854527

Specimen UC Davis_1854528: postnatal adult; Synmtm1.1(KOMP)Vlcg/Synm+ (more )
Structure Level Pattern Image Note
TS28: brown fat Present UC Davis_1854528

Specimen UC Davis_1854529: postnatal adult; Synmtm1.1(KOMP)Vlcg/Synm+ (more )
Structure Level Pattern Image Note
TS28: brown fat Present UC Davis_1854529

Specimen UC Davis_1854530: postnatal adult; Synmtm1.1(KOMP)Vlcg/Synm+ (more )
Structure Level Pattern Image Note
TS28: olfactory lobe Present UC Davis_1854530

Specimen UC Davis_1854534: postnatal adult; Synmtm1.1(KOMP)Vlcg/Synm+ (more )
Structure Level Pattern Image Note
TS28: midbrain Present UC Davis_1854534

Specimen UC Davis_1854536: postnatal adult; Synmtm1.1(KOMP)Vlcg/Synm+ (more )
Structure Level Pattern Image Note
TS28: cerebellum Present UC Davis_1854536

Specimen UC Davis_1854537: postnatal adult; Synmtm1.1(KOMP)Vlcg/Synm+ (more )
Structure Level Pattern Image Note
TS28: cerebellum Present UC Davis_1854537

Specimen UC Davis_1854538: postnatal adult; Synmtm1.1(KOMP)Vlcg/Synm+ (more )
Structure Level Pattern Image Note
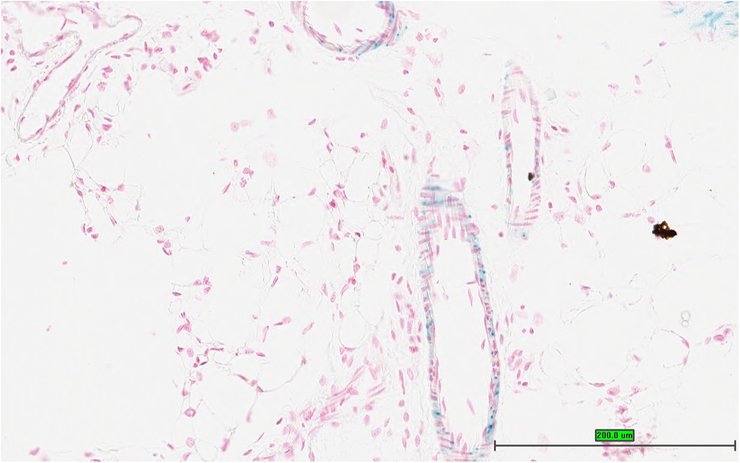
TS28: trigeminal nerve Present UC Davis_1854538

Specimen UC Davis_1854539: postnatal adult; Synmtm1.1(KOMP)Vlcg/Synm+ (more )
Structure Level Pattern Image Note
TS28: trigeminal nerve Present UC Davis_1854539

Specimen UC Davis_1854540: postnatal adult; Synmtm1.1(KOMP)Vlcg/Synm+ (more )
Structure Level Pattern Image Note
TS28: ovary Present UC Davis_1854540

Specimen UC Davis_1854541: postnatal adult; Synmtm1.1(KOMP)Vlcg/Synm+ (more )
Structure Level Pattern Image Note
TS28: ovary Present UC Davis_1854541

Specimen UC Davis_1854542: postnatal adult; Synmtm1.1(KOMP)Vlcg/Synm+ (more )
Structure Level Pattern Image Note
TS28: oviduct Present UC Davis_1854542

Specimen UC Davis_1854543: postnatal adult; Synmtm1.1(KOMP)Vlcg/Synm+ (more )
Structure Level Pattern Image Note
TS28: oviduct Present UC Davis_1854543

Specimen UC Davis_1854544: postnatal adult; Synmtm1.1(KOMP)Vlcg/Synm+ (more )
Structure Level Pattern Image Note
TS28: uterus Present UC Davis_1854544

Specimen UC Davis_1854545: postnatal adult; Synmtm1.1(KOMP)Vlcg/Synm+ (more )
Structure Level Pattern Image Note
TS28: uterus Present UC Davis_1854545

Specimen UC Davis_1854546: postnatal adult; Synmtm1.1(KOMP)Vlcg/Synm+ (more )
Structure Level Pattern Image Note
TS28: bladder Present UC Davis_1854546

Specimen UC Davis_1854547: postnatal adult; Synmtm1.1(KOMP)Vlcg/Synm+ (more )
Structure Level Pattern Image Note
TS28: bladder Present UC Davis_1854547

Specimen UC Davis_1854682: postnatal adult; Synmtm1.1(KOMP)Vlcg/Synm+ (more )
Structure Level Pattern Image Note
TS28: tongue Present UC Davis_1854682

Specimen UC Davis_1854683: postnatal adult; Synmtm1.1(KOMP)Vlcg/Synm+ (more )
Structure Level Pattern Image Note
TS28: pancreas Present UC Davis_1854683

Specimen UC Davis_1854684: postnatal adult; Synmtm1.1(KOMP)Vlcg/Synm+ (more )
Structure Level Pattern Image Note
TS28: brown fat Present UC Davis_1854684

Specimen UC Davis_1854685: postnatal adult; Synmtm1.1(KOMP)Vlcg/Synm+ (more )
Structure Level Pattern Image Note
TS28: ovary Present UC Davis_1854685

Specimen UC Davis_1854686: postnatal adult; Synmtm1.1(KOMP)Vlcg/Synm+ (more )
Structure Level Pattern Image Note
TS28: oviduct Present UC Davis_1854686

Specimen UC Davis_1854687: postnatal adult; Synmtm1.1(KOMP)Vlcg/Synm+ (more )
Structure Level Pattern Image Note
TS28: uterus Present UC Davis_1854687

Specimen UC Davis_1854548: postnatal adult; Synmtm1.1(KOMP)Vlcg/Synm+ (more )
Structure Level Pattern Image Note
TS28: submandibular gland Present UC Davis_1854548

Specimen UC Davis_1854549: postnatal adult; Synmtm1.1(KOMP)Vlcg/Synm+ (more )
Structure Level Pattern Image Note
TS28: submandibular gland Present UC Davis_1854549

Specimen UC Davis_1854550: postnatal adult; Synmtm1.1(KOMP)Vlcg/Synm+ (more )
Structure Level Pattern Image Note
TS28: submandibular gland Present UC Davis_1854550

Specimen UC Davis_1854551: postnatal adult; Synmtm1.1(KOMP)Vlcg/Synm+ (more )
Structure Level Pattern Image Note
TS28: submandibular gland Present UC Davis_1854551

Specimen UC Davis_1854555: postnatal adult; Synmtm1.1(KOMP)Vlcg/Synm+ (more )
Structure Level Pattern Image Note
TS28: lung Present UC Davis_1854555

Specimen UC Davis_1854556: postnatal adult; Synmtm1.1(KOMP)Vlcg/Synm+ (more )
Structure Level Pattern Image Note
TS28: lung Present UC Davis_1854556

Specimen UC Davis_1854557: postnatal adult; Synmtm1.1(KOMP)Vlcg/Synm+ (more )
Structure Level Pattern Image Note
TS28: lung Present UC Davis_1854557

Specimen UC Davis_1854558: postnatal adult; Synmtm1.1(KOMP)Vlcg/Synm+ (more )
Structure Level Pattern Image Note
TS28: thymus Present UC Davis_1854558

Specimen UC Davis_1854559: postnatal adult; Synmtm1.1(KOMP)Vlcg/Synm+ (more )
Structure Level Pattern Image Note
TS28: thymus Present UC Davis_1854559

Specimen UC Davis_1854560: postnatal adult; Synmtm1.1(KOMP)Vlcg/Synm+ (more )
Structure Level Pattern Image Note
TS28: thymus Present UC Davis_1854560

Specimen UC Davis_1854563: postnatal adult; Synmtm1.1(KOMP)Vlcg/Synm+ (more )
Structure Level Pattern Image Note
TS28: stomach Present UC Davis_1854563

Specimen UC Davis_1854564: postnatal adult; Synmtm1.1(KOMP)Vlcg/Synm+ (more )
Structure Level Pattern Image Note
TS28: stomach Present UC Davis_1854564

Specimen UC Davis_1854565: postnatal adult; Synmtm1.1(KOMP)Vlcg/Synm+ (more )
Structure Level Pattern Image Note
TS28: stomach Present UC Davis_1854565

Specimen UC Davis_1854566: postnatal adult; Synmtm1.1(KOMP)Vlcg/Synm+ (more )
Structure Level Pattern Image Note
TS28: duodenum Present UC Davis_1854566

Specimen UC Davis_1854567: postnatal adult; Synmtm1.1(KOMP)Vlcg/Synm+ (more )
Structure Level Pattern Image Note
TS28: duodenum Present UC Davis_1854567

Specimen UC Davis_1854568: postnatal adult; Synmtm1.1(KOMP)Vlcg/Synm+ (more )
Structure Level Pattern Image Note
TS28: duodenum Present UC Davis_1854568

Specimen UC Davis_1854569: postnatal adult; Synmtm1.1(KOMP)Vlcg/Synm+ (more )
Structure Level Pattern Image Note
TS28: jejunum Present UC Davis_1854569

Specimen UC Davis_1854570: postnatal adult; Synmtm1.1(KOMP)Vlcg/Synm+ (more )
Structure Level Pattern Image Note
TS28: jejunum Present UC Davis_1854570

Specimen UC Davis_1854571: postnatal adult; Synmtm1.1(KOMP)Vlcg/Synm+ (more )
Structure Level Pattern Image Note
TS28: jejunum Present UC Davis_1854571

Specimen UC Davis_1854572: postnatal adult; Synmtm1.1(KOMP)Vlcg/Synm+ (more )
Structure Level Pattern Image Note
TS28: ileum Present UC Davis_1854572

Specimen UC Davis_1854573: postnatal adult; Synmtm1.1(KOMP)Vlcg/Synm+ (more )
Structure Level Pattern Image Note
TS28: ileum Present UC Davis_1854573

Specimen UC Davis_1854574: postnatal adult; Synmtm1.1(KOMP)Vlcg/Synm+ (more )
Structure Level Pattern Image Note
TS28: ileum Present UC Davis_1854574

Specimen UC Davis_1854575: postnatal adult; Synmtm1.1(KOMP)Vlcg/Synm+ (more )
Structure Level Pattern Image Note
TS28: colon Present UC Davis_1854575

Specimen UC Davis_1854576: postnatal adult; Synmtm1.1(KOMP)Vlcg/Synm+ (more )
Structure Level Pattern Image Note
TS28: colon Present UC Davis_1854576

Specimen UC Davis_1854577: postnatal adult; Synmtm1.1(KOMP)Vlcg/Synm+ (more )
Structure Level Pattern Image Note
TS28: colon Present UC Davis_1854577

Specimen UC Davis_1854578: postnatal adult; Synmtm1.1(KOMP)Vlcg/Synm+ (more )
Structure Level Pattern Image Note
TS28: cecum Present UC Davis_1854578

Specimen UC Davis_1854579: postnatal adult; Synmtm1.1(KOMP)Vlcg/Synm+ (more )
Structure Level Pattern Image Note
TS28: cecum Present UC Davis_1854579

Specimen UC Davis_1854580: postnatal adult; Synmtm1.1(KOMP)Vlcg/Synm+ (more )
Structure Level Pattern Image Note
TS28: cecum Present UC Davis_1854580

Specimen UC Davis_1854581: postnatal adult; Synmtm1.1(KOMP)Vlcg/Synm+ (more )
Structure Level Pattern Image Note
TS28: metanephros Present UC Davis_1854581 kidney

Specimen UC Davis_1854582: postnatal adult; Synmtm1.1(KOMP)Vlcg/Synm+ (more )
Structure Level Pattern Image Note
TS28: metanephros Present UC Davis_1854582 kidney

Specimen UC Davis_1854583: postnatal adult; Synmtm1.1(KOMP)Vlcg/Synm+ (more )
Structure Level Pattern Image Note
TS28: metanephros Present UC Davis_1854583 kidney

Specimen UC Davis_1854584: postnatal adult; Synmtm1.1(KOMP)Vlcg/Synm+ (more )
Structure Level Pattern Image Note
TS28: quadriceps femoris muscle Present UC Davis_1854584

Specimen UC Davis_1854585: postnatal adult; Synmtm1.1(KOMP)Vlcg/Synm+ (more )
Structure Level Pattern Image Note
TS28: quadriceps femoris muscle Present UC Davis_1854585

Specimen UC Davis_1854586: postnatal adult; Synmtm1.1(KOMP)Vlcg/Synm+ (more )
Structure Level Pattern Image Note
TS28: sciatic nerve Present UC Davis_1854586

Specimen UC Davis_1854587: postnatal adult; Synmtm1.1(KOMP)Vlcg/Synm+ (more )
Structure Level Pattern Image Note
TS28: sciatic nerve Present UC Davis_1854587

Specimen UC Davis_1854588: postnatal adult; Synmtm1.1(KOMP)Vlcg/Synm+ (more )
Structure Level Pattern Image Note
TS28: sciatic nerve Present UC Davis_1854588

Specimen UC Davis_1854589: postnatal adult; Synmtm1.1(KOMP)Vlcg/Synm+ (more )
Structure Level Pattern Image Note
TS28: sciatic nerve Present UC Davis_1854589

Specimen UC Davis_1854590: postnatal adult; Synmtm1.1(KOMP)Vlcg/Synm+ (more )
Structure Level Pattern Image Note
TS28: sciatic nerve Present UC Davis_1854590

Specimen UC Davis_1854591: postnatal adult; Synmtm1.1(KOMP)Vlcg/Synm+ (more )
Structure Level Pattern Image Note
TS28: tongue Present UC Davis_1854591

Specimen UC Davis_1854592: postnatal adult; Synmtm1.1(KOMP)Vlcg/Synm+ (more )
Structure Level Pattern Image Note
TS28: tongue Present UC Davis_1854592

Specimen UC Davis_1854593: postnatal adult; Synmtm1.1(KOMP)Vlcg/Synm+ (more )
Structure Level Pattern Image Note
TS28: tongue Present UC Davis_1854593

Specimen UC Davis_1854594: postnatal adult; Synmtm1.1(KOMP)Vlcg/Synm+ (more )
Structure Level Pattern Image Note
TS28: adrenal gland Present UC Davis_1854594

Specimen UC Davis_1854595: postnatal adult; Synmtm1.1(KOMP)Vlcg/Synm+ (more )
Structure Level Pattern Image Note
TS28: adrenal gland Present UC Davis_1854595

Specimen UC Davis_1854596: postnatal adult; Synmtm1.1(KOMP)Vlcg/Synm+ (more )
Structure Level Pattern Image Note
TS28: spinal cord Present UC Davis_1854596

Specimen UC Davis_1854597: postnatal adult; Synmtm1.1(KOMP)Vlcg/Synm+ (more )
Structure Level Pattern Image Note
TS28: spinal cord Present UC Davis_1854597

Specimen UC Davis_1854598: postnatal adult; Synmtm1.1(KOMP)Vlcg/Synm+ (more )
Structure Level Pattern Image Note
TS28: eye Present UC Davis_1854598

Specimen UC Davis_1854599: postnatal adult; Synmtm1.1(KOMP)Vlcg/Synm+ (more )
Structure Level Pattern Image Note
TS28: eye Present UC Davis_1854599

Specimen UC Davis_1854600: postnatal adult; Synmtm1.1(KOMP)Vlcg/Synm+ (more )
Structure Level Pattern Image Note
TS28: Harderian gland Present UC Davis_1854600

Specimen UC Davis_1854601: postnatal adult; Synmtm1.1(KOMP)Vlcg/Synm+ (more )
Structure Level Pattern Image Note
TS28: Harderian gland Present UC Davis_1854601

Specimen UC Davis_1854602: postnatal adult; Synmtm1.1(KOMP)Vlcg/Synm+ (more )
Structure Level Pattern Image Note
TS28: Harderian gland Present UC Davis_1854602

Specimen UC Davis_1854603: postnatal adult; Synmtm1.1(KOMP)Vlcg/Synm+ (more )
Structure Level Pattern Image Note
TS28: skin Present UC Davis_1854603

Specimen UC Davis_1854604: postnatal adult; Synmtm1.1(KOMP)Vlcg/Synm+ (more )
Structure Level Pattern Image Note
TS28: skin Present UC Davis_1854604

Specimen UC Davis_1854605: postnatal adult; Synmtm1.1(KOMP)Vlcg/Synm+ (more )
Structure Level Pattern Image Note
TS28: olfactory lobe Present UC Davis_1854605

Specimen UC Davis_1854606: postnatal adult; Synmtm1.1(KOMP)Vlcg/Synm+ (more )
Structure Level Pattern Image Note
TS28: olfactory lobe Present UC Davis_1854606

Specimen UC Davis_1854609: postnatal adult; Synmtm1.1(KOMP)Vlcg/Synm+ (more )
Structure Level Pattern Image Note
TS28: midbrain Present UC Davis_1854609

Specimen UC Davis_1854610: postnatal adult; Synmtm1.1(KOMP)Vlcg/Synm+ (more )
Structure Level Pattern Image Note
TS28: midbrain Present UC Davis_1854610

Specimen UC Davis_1854612: postnatal adult; Synmtm1.1(KOMP)Vlcg/Synm+ (more )
Structure Level Pattern Image Note
TS28: cerebellum Present UC Davis_1854612

Specimen UC Davis_1854613: postnatal adult; Synmtm1.1(KOMP)Vlcg/Synm+ (more )
Structure Level Pattern Image Note
TS28: cerebellum Present UC Davis_1854613

Specimen UC Davis_1854614: postnatal adult; Synmtm1.1(KOMP)Vlcg/Synm+ (more )
Structure Level Pattern Image Note
TS28: trigeminal nerve Present UC Davis_1854614

Specimen UC Davis_1854615: postnatal adult; Synmtm1.1(KOMP)Vlcg/Synm+ (more )
Structure Level Pattern Image Note
TS28: trigeminal nerve Present UC Davis_1854615

Specimen UC Davis_1854616: postnatal adult; Synmtm1.1(KOMP)Vlcg/Synm+ (more )
Structure Level Pattern Image Note
TS28: bladder Present UC Davis_1854616

Specimen UC Davis_1854617: postnatal adult; Synmtm1.1(KOMP)Vlcg/Synm+ (more )
Structure Level Pattern Image Note
TS28: bladder Present UC Davis_1854617

Specimen UC Davis_1854618: postnatal adult; Synmtm1.1(KOMP)Vlcg/Synm+ (more )
Structure Level Pattern Image Note
TS28: bladder Present UC Davis_1854618

Specimen UC Davis_1854619: postnatal adult; Synmtm1.1(KOMP)Vlcg/Synm+ (more )
Structure Level Pattern Image Note
TS28: testis Present UC Davis_1854619

Specimen UC Davis_1854620: postnatal adult; Synmtm1.1(KOMP)Vlcg/Synm+ (more )
Structure Level Pattern Image Note
TS28: testis Present UC Davis_1854620

Specimen UC Davis_1854621: postnatal adult; Synmtm1.1(KOMP)Vlcg/Synm+ (more )
Structure Level Pattern Image Note
TS28: testis Present UC Davis_1854621

Specimen UC Davis_1854622: postnatal adult; Synmtm1.1(KOMP)Vlcg/Synm+ (more )
Structure Level Pattern Image Note
TS28: epididymis Present UC Davis_1854622

Specimen UC Davis_1854623: postnatal adult; Synmtm1.1(KOMP)Vlcg/Synm+ (more )
Structure Level Pattern Image Note
TS28: epididymis Present UC Davis_1854623

Specimen UC Davis_1854624: postnatal adult; Synmtm1.1(KOMP)Vlcg/Synm+ (more )
Structure Level Pattern Image Note
TS28: epididymis Present UC Davis_1854624

Specimen UC Davis_1854625: postnatal adult; Synmtm1.1(KOMP)Vlcg/Synm+ (more )
Structure Level Pattern Image Note
TS28: epididymis Present UC Davis_1854625

Specimen UC Davis_1854626: postnatal adult; Synmtm1.1(KOMP)Vlcg/Synm+ (more )
Structure Level Pattern Image Note
TS28: epididymis Present UC Davis_1854626

Specimen UC Davis_1854627: postnatal adult; Synmtm1.1(KOMP)Vlcg/Synm+ (more )
Structure Level Pattern Image Note
TS28: epididymis Present UC Davis_1854627

Specimen UC Davis_1854628: postnatal adult; Synmtm1.1(KOMP)Vlcg/Synm+ (more )
Structure Level Pattern Image Note
TS28: prostate gland Present UC Davis_1854628

Specimen UC Davis_1854629: postnatal adult; Synmtm1.1(KOMP)Vlcg/Synm+ (more )
Structure Level Pattern Image Note
TS28: prostate gland Present UC Davis_1854629

Specimen UC Davis_1854630: postnatal adult; Synmtm1.1(KOMP)Vlcg/Synm+ (more )
Structure Level Pattern Image Note
TS28: prostate gland Present UC Davis_1854630

Specimen UC Davis_1854634: postnatal adult; Synmtm1.1(KOMP)Vlcg/Synm+ (more )
Structure Level Pattern Image Note
TS28: ductus deferens Present UC Davis_1854634 vas deferens

Specimen UC Davis_1854635: postnatal adult; Synmtm1.1(KOMP)Vlcg/Synm+ (more )
Structure Level Pattern Image Note
TS28: ductus deferens Present UC Davis_1854635 vas deferens

Specimen UC Davis_1854636: postnatal adult; Synmtm1.1(KOMP)Vlcg/Synm+ (more )
Structure Level Pattern Image Note
TS28: ductus deferens Present UC Davis_1854636 vas deferens

Specimen UC Davis_1854637: postnatal adult; Synmtm1.1(KOMP)Vlcg/Synm+ (more )
Structure Level Pattern Image Note
TS28: seminal vesicle Present UC Davis_1854637 vesicular gland

Specimen UC Davis_1854638: postnatal adult; Synmtm1.1(KOMP)Vlcg/Synm+ (more )
Structure Level Pattern Image Note
TS28: seminal vesicle Present UC Davis_1854638 vesicular gland

Specimen UC Davis_1854639: postnatal adult; Synmtm1.1(KOMP)Vlcg/Synm+ (more )
Structure Level Pattern Image Note
TS28: seminal vesicle Present UC Davis_1854639 vesicular gland

Specimen UC Davis_1854640: postnatal adult; Synmtm1.1(KOMP)Vlcg/Synm+ (more )
Structure Level Pattern Image Note
TS28: quadriceps femoris muscle Present UC Davis_1854640

Specimen UC Davis_1854641: postnatal adult; Synmtm1.1(KOMP)Vlcg/Synm+ (more )
Structure Level Pattern Image Note
TS28: olfactory lobe Present UC Davis_1854641

Specimen UC Davis_1854644: postnatal adult; Synmtm1.1(KOMP)Vlcg/Synm+ (more )
Structure Level Pattern Image Note
TS28: midbrain Present UC Davis_1854644

Specimen UC Davis_1854646: postnatal adult; Synmtm1.1(KOMP)Vlcg/Synm+ (more )
Structure Level Pattern Image Note
TS28: cerebellum Present UC Davis_1854646

Specimen UC Davis_1854647: postnatal adult; Synmtm1.1(KOMP)Vlcg/Synm+ (more )
Structure Level Pattern Image Note
TS28: brain Present UC Davis_1854647

Specimen UC Davis_1854649: postnatal adult; Synmtm1.1(KOMP)Vlcg/Synm+ (more )
Structure Level Pattern Image Note
TS28: lung Present UC Davis_1854649

Specimen UC Davis_1854650: postnatal adult; Synmtm1.1(KOMP)Vlcg/Synm+ (more )
Structure Level Pattern Image Note
TS28: thymus Present UC Davis_1854650

Specimen UC Davis_1854651: postnatal adult; Synmtm1.1(KOMP)Vlcg/Synm+ (more )
Structure Level Pattern Image Note
TS28: metanephros Present UC Davis_1854651 kidney

Specimen UC Davis_1854652: postnatal adult; Synmtm1.1(KOMP)Vlcg/Synm+ (more )
Structure Level Pattern Image Note
TS28: adrenal gland Present UC Davis_1854652

Specimen UC Davis_1854653: postnatal adult; Synmtm1.1(KOMP)Vlcg/Synm+ (more )
Structure Level Pattern Image Note
TS28: skin Present UC Davis_1854653

Specimen UC Davis_1854654: postnatal adult; Synmtm1.1(KOMP)Vlcg/Synm+ (more )
Structure Level Pattern Image Note
TS28: trachea Present UC Davis_1854654

Specimen UC Davis_1854655: postnatal adult; Synmtm1.1(KOMP)Vlcg/Synm+ (more )
Structure Level Pattern Image Note
TS28: esophagus Present UC Davis_1854655

Specimen UC Davis_1854656: postnatal adult; Synmtm1.1(KOMP)Vlcg/Synm+ (more )
Structure Level Pattern Image Note
TS28: thyroid gland Present UC Davis_1854656

Specimen UC Davis_1854657: postnatal adult; Synmtm1.1(KOMP)Vlcg/Synm+ (more )
Structure Level Pattern Image Note
TS28: spinal cord Present UC Davis_1854657

Specimen UC Davis_1854658: postnatal adult; Synmtm1.1(KOMP)Vlcg/Synm+ (more )
Structure Level Pattern Image Note
TS28: eye Present UC Davis_1854658

Specimen UC Davis_1854659: postnatal adult; Synmtm1.1(KOMP)Vlcg/Synm+ (more )
Structure Level Pattern Image Note
TS28: Harderian gland Present UC Davis_1854659

Specimen UC Davis_1854660: postnatal adult; Synmtm1.1(KOMP)Vlcg/Synm+ (more )
Structure Level Pattern Image Note
TS28: stomach Present UC Davis_1854660

Specimen UC Davis_1854661: postnatal adult; Synmtm1.1(KOMP)Vlcg/Synm+ (more )
Structure Level Pattern Image Note
TS28: duodenum Present UC Davis_1854661

Specimen UC Davis_1854662: postnatal adult; Synmtm1.1(KOMP)Vlcg/Synm+ (more )
Structure Level Pattern Image Note
TS28: jejunum Present UC Davis_1854662

Specimen UC Davis_1854663: postnatal adult; Synmtm1.1(KOMP)Vlcg/Synm+ (more )
Structure Level Pattern Image Note
TS28: ileum Present UC Davis_1854663

Specimen UC Davis_1854664: postnatal adult; Synmtm1.1(KOMP)Vlcg/Synm+ (more )
Structure Level Pattern Image Note
TS28: cecum Present UC Davis_1854664

Specimen UC Davis_1854665: postnatal adult; Synmtm1.1(KOMP)Vlcg/Synm+ (more )
Structure Level Pattern Image Note
TS28: colon Present UC Davis_1854665

Specimen UC Davis_1854666: postnatal adult; Synmtm1.1(KOMP)Vlcg/Synm+ (more )
Structure Level Pattern Image Note
TS28: mesenteric lymph node Present UC Davis_1854666

Specimen UC Davis_1854667: postnatal adult; Synmtm1.1(KOMP)Vlcg/Synm+ (more )
Structure Level Pattern Image Note
TS28: mesenteric adipose tissue Present UC Davis_1854667

Specimen UC Davis_1854668: postnatal adult; Synmtm1.1(KOMP)Vlcg/Synm+ (more )
Structure Level Pattern Image Note
TS28: bladder Present UC Davis_1854668

Specimen UC Davis_1854669: postnatal adult; Synmtm1.1(KOMP)Vlcg/Synm+ (more )
Structure Level Pattern Image Note
TS28: gonadal fat pad Present UC Davis_1854669

Specimen UC Davis_1854670: postnatal adult; Synmtm1.1(KOMP)Vlcg/Synm+ (more )
Structure Level Pattern Image Note
TS28: testis Present UC Davis_1854670

Specimen UC Davis_1854671: postnatal adult; Synmtm1.1(KOMP)Vlcg/Synm+ (more )
Structure Level Pattern Image Note
TS28: prostate gland Present UC Davis_1854671

Specimen UC Davis_1854672: postnatal adult; Synmtm1.1(KOMP)Vlcg/Synm+ (more )
Structure Level Pattern Image Note
TS28: seminal vesicle Present UC Davis_1854672 vesicular gland

Specimen UC Davis_1854673: postnatal adult; Synmtm1.1(KOMP)Vlcg/Synm+ (more )
Structure Level Pattern Image Note
TS28: penis Present UC Davis_1854673

Specimen UC Davis_1854674: postnatal adult; Synmtm1.1(KOMP)Vlcg/Synm+ (more )
Structure Level Pattern Image Note
TS28: epididymis Present UC Davis_1854674

Specimen UC Davis_1854675: postnatal adult; Synmtm1.1(KOMP)Vlcg/Synm+ (more )
Structure Level Pattern Image Note
TS28: epididymis Present UC Davis_1854675

Specimen UC Davis_1854676: postnatal adult; Synmtm1.1(KOMP)Vlcg/Synm+ (more )
Structure Level Pattern Image Note
TS28: ductus deferens Present UC Davis_1854676 vas deferens

Specimen UC Davis_1854678: postnatal adult; Synmtm1.1(KOMP)Vlcg/Synm+ (more )
Structure Level Pattern Image Note
TS28: gallbladder Present UC Davis_1854678

Specimen UC Davis_1854679: postnatal adult; Synmtm1.1(KOMP)Vlcg/Synm+ (more )
Structure Level Pattern Image Note
TS28: thoracic segment skeleton Present UC Davis_1854679 chest bone


Contributing Projects:
Mouse Genome Database (MGD), Gene Expression Database (GXD), Mouse Models of Human Cancer database (MMHCdb) (formerly Mouse Tumor Biology (MTB)), Gene Ontology (GO)
Citing These Resources
Funding Information
Warranty Disclaimer, Privacy Notice, Licensing, & Copyright
Send questions and comments to User Support.
last database update
01/20/2026
MGI 6.24
The Jackson Laboratory