About   Help   FAQ
Gene Expression Data
Assay Details
Assay
Reference: J:228563 Koscielny G, et al., The International Mouse Phenotyping Consortium Web Portal, a unified point of access for knockout mice and related phenotyping data. Nucleic Acids Res. 2014 Jan;42(Database issue):D802-9
Assay type: In situ reporter (knock in)
MGI Accession ID: MGI:6692755
Gene symbol: Gpr156
Gene name: G protein-coupled receptor 156
Reporter: lacZ
Direct Detection
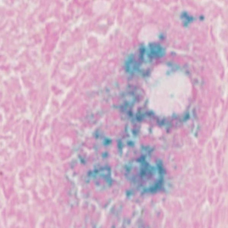
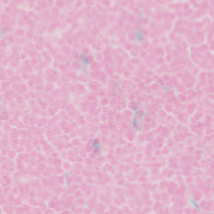
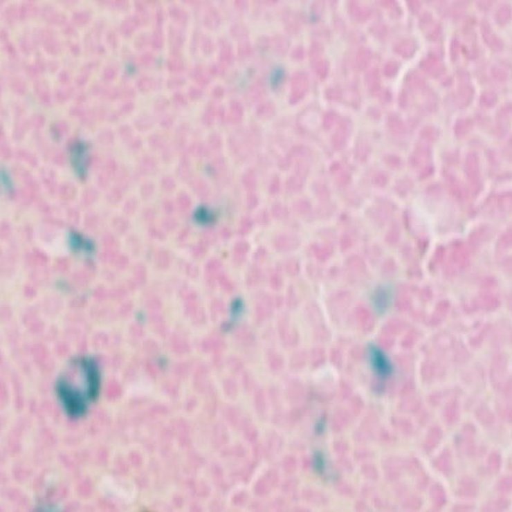
Results
Specimen JAX_1306223: postnatal adult; Gpr156tm1.1(KOMP)Vlcg/Gpr156+ (more )
Structure Level Pattern Image Note
TS28: hippocampus Present JAX_1306223

Specimen JAX_1306224: postnatal adult; Gpr156tm1.1(KOMP)Vlcg/Gpr156+ (more )
Structure Level Pattern Image Note
TS28: brainstem Present JAX_1306224

Specimen JAX_1306225: postnatal adult; Gpr156tm1.1(KOMP)Vlcg/Gpr156+ (more )
Structure Level Pattern Image Note
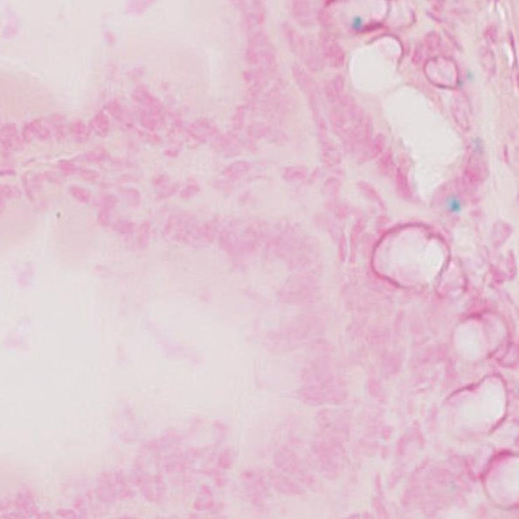
TS28: small intestine Present JAX_1306225

Specimen JAX_1306226: postnatal adult; Gpr156tm1.1(KOMP)Vlcg/Gpr156+ (more )
Structure Level Pattern Image Note
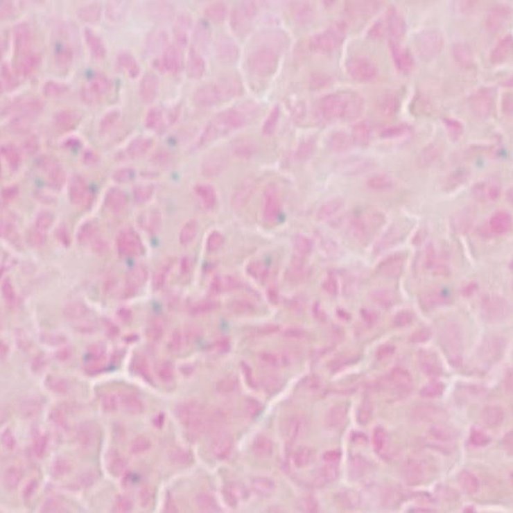
TS28: thyroid gland Present JAX_1306226

Specimen JAX_1306227: postnatal adult; Gpr156tm1.1(KOMP)Vlcg/Gpr156+ (more )
Structure Level Pattern Image Note
TS28: large intestine Present JAX_1306227

Specimen JAX_1306228: postnatal adult; Gpr156tm1.1(KOMP)Vlcg/Gpr156+ (more )
Structure Level Pattern Image Note
TS28: uterus Present JAX_1306228

Specimen JAX_1306229: postnatal adult; Gpr156tm1.1(KOMP)Vlcg/Gpr156+ (more )
Structure Level Pattern Image Note
TS28: ovary Present JAX_1306229

Specimen JAX_1306230: postnatal adult; Gpr156tm1.1(KOMP)Vlcg/Gpr156+ (more )
Structure Level Pattern Image Note
TS28: mammary gland Present JAX_1306230

Specimen JAX_1306231: postnatal adult; Gpr156tm1.1(KOMP)Vlcg/Gpr156+ (more )
Structure Level Pattern Image Note
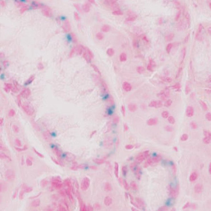
TS28: metanephros Present JAX_1306231 kidney

Specimen JAX_1306232: postnatal adult; Gpr156tm1.1(KOMP)Vlcg/Gpr156+ (more )
Structure Level Pattern Image Note
TS28: brain Present JAX_1306232

Specimen JAX_1306213: postnatal adult; Gpr156tm1.1(KOMP)Vlcg/Gpr156+ (more )
Structure Level Pattern Image Note
TS28: midbrain Present JAX_1306213

Specimen JAX_1306214: postnatal adult; Gpr156tm1.1(KOMP)Vlcg/Gpr156+ (more )
Structure Level Pattern Image Note
TS28: submandibular gland Present JAX_1306214

Specimen JAX_1306215: postnatal adult; Gpr156tm1.1(KOMP)Vlcg/Gpr156+ (more )
Structure Level Pattern Image Note
TS28: corpus striatum Present JAX_1306215

Specimen JAX_1306216: postnatal adult; Gpr156tm1.1(KOMP)Vlcg/Gpr156+ (more )
Structure Level Pattern Image Note
TS28: olfactory lobe Present JAX_1306216

Specimen JAX_1306217: postnatal adult; Gpr156tm1.1(KOMP)Vlcg/Gpr156+ (more )
Structure Level Pattern Image Note
TS28: hypothalamus Present JAX_1306217

Specimen JAX_1306218: postnatal adult; Gpr156tm1.1(KOMP)Vlcg/Gpr156+ (more )
Structure Level Pattern Image Note
TS28: spleen Present JAX_1306218

Specimen JAX_1306219: postnatal adult; Gpr156tm1.1(KOMP)Vlcg/Gpr156+ (more )
Structure Level Pattern Image Note
TS28: pituitary gland Present JAX_1306219

Specimen JAX_1306220: postnatal adult; Gpr156tm1.1(KOMP)Vlcg/Gpr156+ (more )
Structure Level Pattern Image Note
TS28: trachea Present JAX_1306220

Specimen JAX_1306222: postnatal adult; Gpr156tm1.1(KOMP)Vlcg/Gpr156+ (more )
Structure Level Pattern Image Note
TS28: heart Present JAX_1306222


Contributing Projects:
Mouse Genome Database (MGD), Gene Expression Database (GXD), Mouse Models of Human Cancer database (MMHCdb) (formerly Mouse Tumor Biology (MTB)), Gene Ontology (GO)
Citing These Resources
Funding Information
Warranty Disclaimer, Privacy Notice, Licensing, & Copyright
Send questions and comments to User Support.
last database update
01/20/2026
MGI 6.24
The Jackson Laboratory