About   Help   FAQ
Gene Expression Data
Assay Details
Assay
Reference: J:228563 Koscielny G, et al., The International Mouse Phenotyping Consortium Web Portal, a unified point of access for knockout mice and related phenotyping data. Nucleic Acids Res. 2014 Jan;42(Database issue):D802-9
Assay type: In situ reporter (knock in)
MGI Accession ID: MGI:6692754
Gene symbol: Gpbar1
Gene name: G protein-coupled bile acid receptor 1
Reporter: lacZ
Direct Detection
Results
Specimen UC Davis_1870065: postnatal adult; Gpbar1tm1.1(KOMP)Vlcg/Gpbar1+ (more )
Structure Level Pattern Image Note
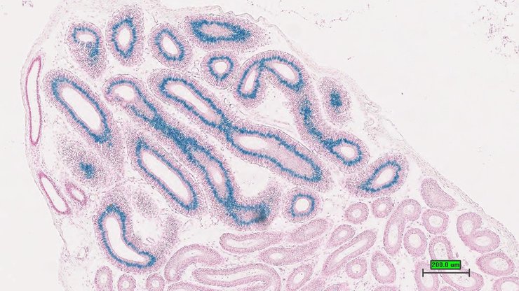
TS28: ileum Present UC Davis_1870065

Specimen UC Davis_1870066: postnatal adult; Gpbar1tm1.1(KOMP)Vlcg/Gpbar1+ (more )
Structure Level Pattern Image Note
TS28: ileum Present UC Davis_1870066

Specimen UC Davis_1870067: postnatal adult; Gpbar1tm1.1(KOMP)Vlcg/Gpbar1+ (more )
Structure Level Pattern Image Note
TS28: colon Present UC Davis_1870067

Specimen UC Davis_1870068: postnatal adult; Gpbar1tm1.1(KOMP)Vlcg/Gpbar1+ (more )
Structure Level Pattern Image Note
TS28: colon Present UC Davis_1870068

Specimen UC Davis_1870069: postnatal adult; Gpbar1tm1.1(KOMP)Vlcg/Gpbar1+ (more )
Structure Level Pattern Image Note
TS28: tongue Present UC Davis_1870069

Specimen UC Davis_1870053: postnatal adult; Gpbar1tm1.1(KOMP)Vlcg/Gpbar1+ (more )
Structure Level Pattern Image Note
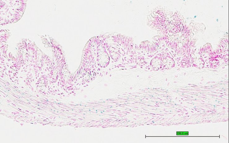
TS28: stomach Present UC Davis_1870053

Specimen UC Davis_1870054: postnatal adult; Gpbar1tm1.1(KOMP)Vlcg/Gpbar1+ (more )
Structure Level Pattern Image Note
TS28: stomach Present UC Davis_1870054

Specimen UC Davis_1870055: postnatal adult; Gpbar1tm1.1(KOMP)Vlcg/Gpbar1+ (more )
Structure Level Pattern Image Note
TS28: duodenum Present UC Davis_1870055

Specimen UC Davis_1870056: postnatal adult; Gpbar1tm1.1(KOMP)Vlcg/Gpbar1+ (more )
Structure Level Pattern Image Note
TS28: jejunum Present UC Davis_1870056

Specimen UC Davis_1870057: postnatal adult; Gpbar1tm1.1(KOMP)Vlcg/Gpbar1+ (more )
Structure Level Pattern Image Note
TS28: ileum Present UC Davis_1870057

Specimen UC Davis_1870058: postnatal adult; Gpbar1tm1.1(KOMP)Vlcg/Gpbar1+ (more )
Structure Level Pattern Image Note
TS28: colon Present UC Davis_1870058

Specimen UC Davis_1870059: postnatal adult; Gpbar1tm1.1(KOMP)Vlcg/Gpbar1+ (more )
Structure Level Pattern Image Note
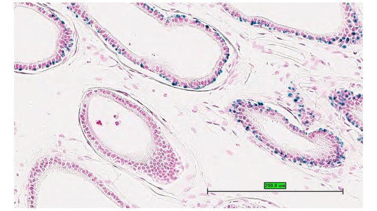
TS28: epididymis Present UC Davis_1870059

Specimen UC Davis_1870060: postnatal adult; Gpbar1tm1.1(KOMP)Vlcg/Gpbar1+ (more )
Structure Level Pattern Image Note
TS28: epididymis Present UC Davis_1870060

Specimen UC Davis_1870061: postnatal adult; Gpbar1tm1.1(KOMP)Vlcg/Gpbar1+ (more )
Structure Level Pattern Image Note
TS28: prostate gland Present UC Davis_1870061

Specimen UC Davis_1870062: postnatal adult; Gpbar1tm1.1(KOMP)Vlcg/Gpbar1+ (more )
Structure Level Pattern Image Note
TS28: prostate gland Present UC Davis_1870062

Specimen UC Davis_1870063: postnatal adult; Gpbar1tm1.1(KOMP)Vlcg/Gpbar1+ (more )
Structure Level Pattern Image Note
TS28: ductus deferens Present UC Davis_1870063 vas deferens

Specimen UC Davis_1870064: postnatal adult; Gpbar1tm1.1(KOMP)Vlcg/Gpbar1+ (more )
Structure Level Pattern Image Note
TS28: ductus deferens Present UC Davis_1870064 vas deferens


Contributing Projects:
Mouse Genome Database (MGD), Gene Expression Database (GXD), Mouse Models of Human Cancer database (MMHCdb) (formerly Mouse Tumor Biology (MTB)), Gene Ontology (GO)
Citing These Resources
Funding Information
Warranty Disclaimer, Privacy Notice, Licensing, & Copyright
Send questions and comments to User Support.
last database update
12/30/2025
MGI 6.24
The Jackson Laboratory