About   Help   FAQ
Gene Expression Data
Assay Details
Assay
Reference: J:228563 Koscielny G, et al., The International Mouse Phenotyping Consortium Web Portal, a unified point of access for knockout mice and related phenotyping data. Nucleic Acids Res. 2014 Jan;42(Database issue):D802-9
Assay type: In situ reporter (knock in)
MGI Accession ID: MGI:6692752
Gene symbol: Amigo1
Gene name: adhesion molecule with Ig like domain 1
Reporter: lacZ
Direct Detection
Results
Specimen JAX_1127859: embryonic day 12.5; Amigo1tm1.1(KOMP)Vlcg/Amigo1+ (more )
Structure Level Pattern Image Note
TS20: embryo Present JAX_1127859

Specimen JAX_1127861: embryonic day 12.5; Amigo1tm1.1(KOMP)Vlcg/Amigo1+ (more )
Structure Level Pattern Image Note
TS20: embryo Present JAX_1127861

Specimen JAX_1127863: embryonic day 12.5; Amigo1tm1.1(KOMP)Vlcg/Amigo1+ (more )
Structure Level Pattern Image Note
TS20: embryo Present JAX_1127863

Specimen JAX_1127865: embryonic day 12.5; Amigo1tm1.1(KOMP)Vlcg/Amigo1+ (more )
Structure Level Pattern Image Note
TS20: embryo Present JAX_1127865

Specimen JAX_1470624: embryonic day 12.5; Amigo1tm1.1(KOMP)Vlcg/Amigo1+ (more )
Structure Level Pattern Image Note
TS20: embryo Present JAX_1470624

Specimen JAX_1470625: embryonic day 12.5; Amigo1tm1.1(KOMP)Vlcg/Amigo1+ (more )
Structure Level Pattern Image Note
TS20: embryo Present JAX_1470625

Specimen JAX_1470626: embryonic day 12.5; Amigo1tm1.1(KOMP)Vlcg/Amigo1+ (more )
Structure Level Pattern Image Note
TS20: embryo Present JAX_1470626

Specimen JAX_1470627: embryonic day 12.5; Amigo1tm1.1(KOMP)Vlcg/Amigo1+ (more )
Structure Level Pattern Image Note
TS20: embryo Present JAX_1470627

Specimen JAX_1330062: postnatal adult; Amigo1tm1.1(KOMP)Vlcg/Amigo1+ (more )
Structure Level Pattern Image Note
TS28: uterus Present JAX_1330062

Specimen JAX_1330063: postnatal adult; Amigo1tm1.1(KOMP)Vlcg/Amigo1+ (more )
Structure Level Pattern Image Note
TS28: skin Present JAX_1330063

Specimen JAX_1330045: postnatal adult; Amigo1tm1.1(KOMP)Vlcg/Amigo1+ (more )
Structure Level Pattern Image Note
TS28: thalamus Present JAX_1330045

Specimen JAX_1330046: postnatal adult; Amigo1tm1.1(KOMP)Vlcg/Amigo1+ (more )
Structure Level Pattern Image Note
TS28: midbrain Present JAX_1330046

Specimen JAX_1330047: postnatal adult; Amigo1tm1.1(KOMP)Vlcg/Amigo1+ (more )
Structure Level Pattern Image Note
TS28: corpus striatum Present JAX_1330047

Specimen JAX_1330048: postnatal adult; Amigo1tm1.1(KOMP)Vlcg/Amigo1+ (more )
Structure Level Pattern Image Note
TS28: olfactory lobe Present JAX_1330048

Specimen JAX_1330049: postnatal adult; Amigo1tm1.1(KOMP)Vlcg/Amigo1+ (more )
Structure Level Pattern Image Note
TS28: hypothalamus Present JAX_1330049

Specimen JAX_1330050: postnatal adult; Amigo1tm1.1(KOMP)Vlcg/Amigo1+ (more )
Structure Level Pattern Image Note
TS28: hippocampus Present JAX_1330050

Specimen JAX_1330051: postnatal adult; Amigo1tm1.1(KOMP)Vlcg/Amigo1+ (more )
Structure Level Pattern Image Note
TS28: cerebellum Present JAX_1330051

Specimen JAX_1330052: postnatal adult; Amigo1tm1.1(KOMP)Vlcg/Amigo1+ (more )
Structure Level Pattern Image Note
TS28: cerebral cortex Present JAX_1330052

Specimen JAX_1330053: postnatal adult; Amigo1tm1.1(KOMP)Vlcg/Amigo1+ (more )
Structure Level Pattern Image Note
TS28: brainstem Present JAX_1330053

Specimen JAX_1330054: postnatal adult; Amigo1tm1.1(KOMP)Vlcg/Amigo1+ (more )
Structure Level Pattern Image Note
TS28: spleen Present JAX_1330054

Specimen JAX_1330055: postnatal adult; Amigo1tm1.1(KOMP)Vlcg/Amigo1+ (more )
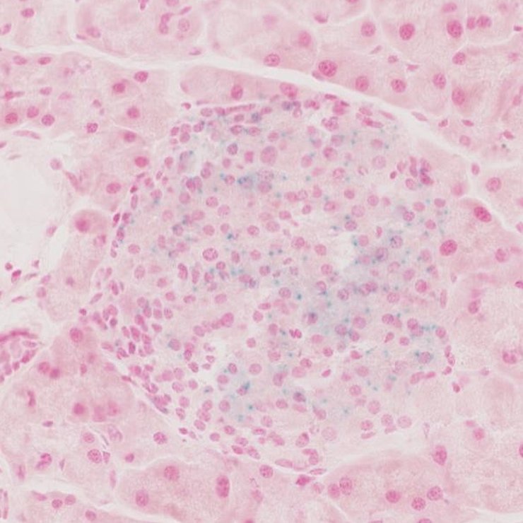
Structure Level Pattern Image Note
TS28: pancreas Present JAX_1330055

Specimen JAX_1330056: postnatal adult; Amigo1tm1.1(KOMP)Vlcg/Amigo1+ (more )
Structure Level Pattern Image Note
TS28: skeletal muscle tissue Present JAX_1330056

Specimen JAX_1330057: postnatal adult; Amigo1tm1.1(KOMP)Vlcg/Amigo1+ (more )
Structure Level Pattern Image Note
TS28: spinal cord Present JAX_1330057

Specimen JAX_1330058: postnatal adult; Amigo1tm1.1(KOMP)Vlcg/Amigo1+ (more )
Structure Level Pattern Image Note
TS28: trachea Present JAX_1330058

Specimen JAX_1330059: postnatal adult; Amigo1tm1.1(KOMP)Vlcg/Amigo1+ (more )
Structure Level Pattern Image Note
TS28: testis Present JAX_1330059

Specimen JAX_1330060: postnatal adult; Amigo1tm1.1(KOMP)Vlcg/Amigo1+ (more )
Structure Level Pattern Image Note
TS28: eye Present JAX_1330060

Specimen JAX_1330061: postnatal adult; Amigo1tm1.1(KOMP)Vlcg/Amigo1+ (more )
Structure Level Pattern Image Note
TS28: brain Present JAX_1330061


Contributing Projects:
Mouse Genome Database (MGD), Gene Expression Database (GXD), Mouse Models of Human Cancer database (MMHCdb) (formerly Mouse Tumor Biology (MTB)), Gene Ontology (GO)
Citing These Resources
Funding Information
Warranty Disclaimer, Privacy Notice, Licensing, & Copyright
Send questions and comments to User Support.
last database update
01/28/2026
MGI 6.24
The Jackson Laboratory