About   Help   FAQ
Gene Expression Data
Assay Details
Assay
Reference: J:228563 Koscielny G, et al., The International Mouse Phenotyping Consortium Web Portal, a unified point of access for knockout mice and related phenotyping data. Nucleic Acids Res. 2014 Jan;42(Database issue):D802-9
Assay type: In situ reporter (knock in)
MGI Accession ID: MGI:6692750
Gene symbol: Lrrc8a
Gene name: leucine rich repeat containing 8A VRAC subunit A
Reporter: lacZ
Direct Detection
Results
Specimen TCP_2460862: postnatal adult; Lrrc8atm1.1(KOMP)Vlcg/Lrrc8a+ (more )
Structure Level Pattern Image Note
TS28: vascular system Present TCP_2460862

Specimen TCP_2460863: postnatal adult; Lrrc8atm1.1(KOMP)Vlcg/Lrrc8a+ (more )
Structure Level Pattern Image Note
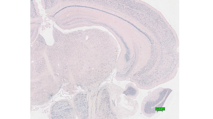
TS28: brain Present TCP_2460863

Specimen TCP_2460864: postnatal adult; Lrrc8atm1.1(KOMP)Vlcg/Lrrc8a+ (more )
Structure Level Pattern Image Note
TS28: brown fat Present TCP_2460864

Specimen TCP_2460865: postnatal adult; Lrrc8atm1.1(KOMP)Vlcg/Lrrc8a+ (more )
Structure Level Pattern Image Note
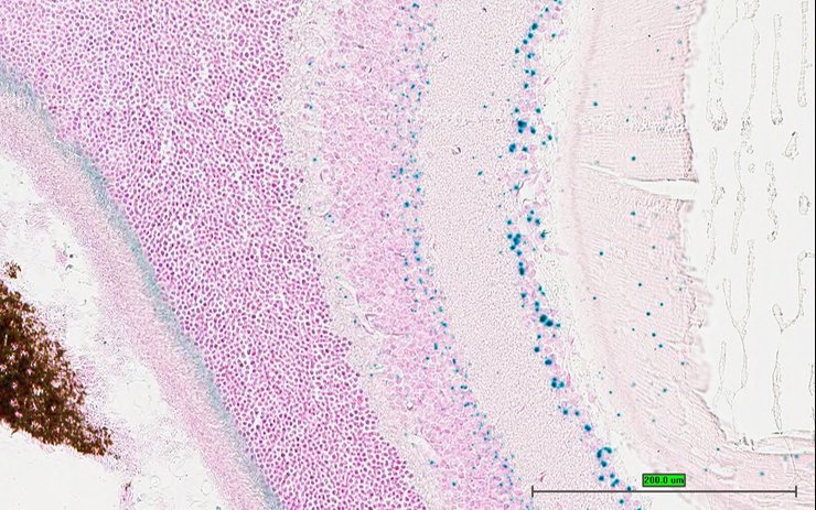
TS28: eye Present TCP_2460865

Specimen TCP_2460866: postnatal adult; Lrrc8atm1.1(KOMP)Vlcg/Lrrc8a+ (more )
Structure Level Pattern Image Note
TS28: heart Present TCP_2460866

Specimen TCP_2460867: postnatal adult; Lrrc8atm1.1(KOMP)Vlcg/Lrrc8a+ (more )
Structure Level Pattern Image Note
TS28: lung Present TCP_2460867

Specimen TCP_2460869: postnatal adult; Lrrc8atm1.1(KOMP)Vlcg/Lrrc8a+ (more )
Structure Level Pattern Image Note
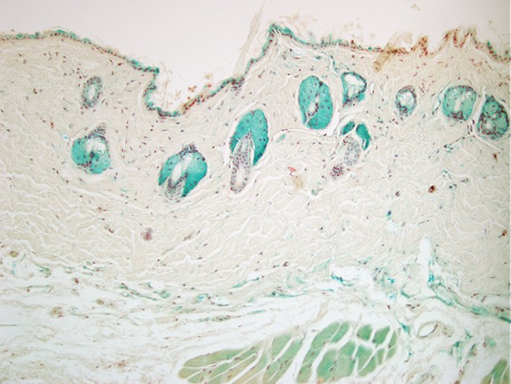
TS28: skin Present TCP_2460869

Specimen TCP_2460870: postnatal adult; Lrrc8atm1.1(KOMP)Vlcg/Lrrc8a+ (more )
Structure Level Pattern Image Note
TS28: spinal cord Present TCP_2460870

Specimen UC Davis_1885545: postnatal adult; Lrrc8atm1.1(KOMP)Vlcg/Lrrc8a+ (more )
Structure Level Pattern Image Note
TS28: submandibular gland Present UC Davis_1885545

Specimen UC Davis_1885546: postnatal adult; Lrrc8atm1.1(KOMP)Vlcg/Lrrc8a+ (more )
Structure Level Pattern Image Note
TS28: sublingual gland Present UC Davis_1885546

Specimen UC Davis_1885547: postnatal adult; Lrrc8atm1.1(KOMP)Vlcg/Lrrc8a+ (more )
Structure Level Pattern Image Note
TS28: sublingual gland Present UC Davis_1885547

Specimen UC Davis_1885548: postnatal adult; Lrrc8atm1.1(KOMP)Vlcg/Lrrc8a+ (more )
Structure Level Pattern Image Note
TS28: parotid gland Present UC Davis_1885548

Specimen UC Davis_1885549: postnatal adult; Lrrc8atm1.1(KOMP)Vlcg/Lrrc8a+ (more )
Structure Level Pattern Image Note
TS28: parotid gland Present UC Davis_1885549

Specimen UC Davis_1885550: postnatal adult; Lrrc8atm1.1(KOMP)Vlcg/Lrrc8a+ (more )
Structure Level Pattern Image Note
TS28: trachea Present UC Davis_1885550

Specimen UC Davis_1885551: postnatal adult; Lrrc8atm1.1(KOMP)Vlcg/Lrrc8a+ (more )
Structure Level Pattern Image Note
TS28: trachea Present UC Davis_1885551

Specimen UC Davis_1885552: postnatal adult; Lrrc8atm1.1(KOMP)Vlcg/Lrrc8a+ (more )
Structure Level Pattern Image Note
TS28: esophagus Present UC Davis_1885552

Specimen UC Davis_1885553: postnatal adult; Lrrc8atm1.1(KOMP)Vlcg/Lrrc8a+ (more )
Structure Level Pattern Image Note
TS28: esophagus Present UC Davis_1885553

Specimen UC Davis_1885554: postnatal adult; Lrrc8atm1.1(KOMP)Vlcg/Lrrc8a+ (more )
Structure Level Pattern Image Note
TS28: thyroid gland Present UC Davis_1885554

Specimen UC Davis_1885555: postnatal adult; Lrrc8atm1.1(KOMP)Vlcg/Lrrc8a+ (more )
Structure Level Pattern Image Note
TS28: thyroid gland Present UC Davis_1885555

Specimen UC Davis_1885556: postnatal adult; Lrrc8atm1.1(KOMP)Vlcg/Lrrc8a+ (more )
Structure Level Pattern Image Note
TS28: parathyroid gland Present UC Davis_1885556

Specimen UC Davis_1885557: postnatal adult; Lrrc8atm1.1(KOMP)Vlcg/Lrrc8a+ (more )
Structure Level Pattern Image Note
TS28: aorta Present UC Davis_1885557

Specimen UC Davis_1885558: postnatal adult; Lrrc8atm1.1(KOMP)Vlcg/Lrrc8a+ (more )
Structure Level Pattern Image Note
TS28: aorta Present UC Davis_1885558

Specimen UC Davis_1885559: postnatal adult; Lrrc8atm1.1(KOMP)Vlcg/Lrrc8a+ (more )
Structure Level Pattern Image Note
TS28: lung Present UC Davis_1885559

Specimen UC Davis_1885560: postnatal adult; Lrrc8atm1.1(KOMP)Vlcg/Lrrc8a+ (more )
Structure Level Pattern Image Note
TS28: lung Present UC Davis_1885560

Specimen UC Davis_1885561: postnatal adult; Lrrc8atm1.1(KOMP)Vlcg/Lrrc8a+ (more )
Structure Level Pattern Image Note
TS28: lung Present UC Davis_1885561

Specimen UC Davis_1885562: postnatal adult; Lrrc8atm1.1(KOMP)Vlcg/Lrrc8a+ (more )
Structure Level Pattern Image Note
TS28: thymus Present UC Davis_1885562

Specimen UC Davis_1885567: postnatal adult; Lrrc8atm1.1(KOMP)Vlcg/Lrrc8a+ (more )
Structure Level Pattern Image Note
TS28: stomach Present UC Davis_1885567

Specimen UC Davis_1885568: postnatal adult; Lrrc8atm1.1(KOMP)Vlcg/Lrrc8a+ (more )
Structure Level Pattern Image Note
TS28: stomach Present UC Davis_1885568

Specimen UC Davis_1885569: postnatal adult; Lrrc8atm1.1(KOMP)Vlcg/Lrrc8a+ (more )
Structure Level Pattern Image Note
TS28: stomach Present UC Davis_1885569

Specimen UC Davis_1885570: postnatal adult; Lrrc8atm1.1(KOMP)Vlcg/Lrrc8a+ (more )
Structure Level Pattern Image Note
TS28: stomach Present UC Davis_1885570

Specimen UC Davis_1885571: postnatal adult; Lrrc8atm1.1(KOMP)Vlcg/Lrrc8a+ (more )
Structure Level Pattern Image Note
TS28: duodenum Present UC Davis_1885571

Specimen UC Davis_1885572: postnatal adult; Lrrc8atm1.1(KOMP)Vlcg/Lrrc8a+ (more )
Structure Level Pattern Image Note
TS28: ileum Present UC Davis_1885572

Specimen UC Davis_1885573: postnatal adult; Lrrc8atm1.1(KOMP)Vlcg/Lrrc8a+ (more )
Structure Level Pattern Image Note
TS28: colon Present UC Davis_1885573

Specimen UC Davis_1885574: postnatal adult; Lrrc8atm1.1(KOMP)Vlcg/Lrrc8a+ (more )
Structure Level Pattern Image Note
TS28: colon Present UC Davis_1885574

Specimen UC Davis_1885575: postnatal adult; Lrrc8atm1.1(KOMP)Vlcg/Lrrc8a+ (more )
Structure Level Pattern Image Note
TS28: cecum Present UC Davis_1885575

Specimen UC Davis_1885576: postnatal adult; Lrrc8atm1.1(KOMP)Vlcg/Lrrc8a+ (more )
Structure Level Pattern Image Note
TS28: spleen Present UC Davis_1885576

Specimen UC Davis_1885577: postnatal adult; Lrrc8atm1.1(KOMP)Vlcg/Lrrc8a+ (more )
Structure Level Pattern Image Note
TS28: spleen Present UC Davis_1885577

Specimen UC Davis_1885578: postnatal adult; Lrrc8atm1.1(KOMP)Vlcg/Lrrc8a+ (more )
Structure Level Pattern Image Note
TS28: pancreas Present UC Davis_1885578

Specimen UC Davis_1885579: postnatal adult; Lrrc8atm1.1(KOMP)Vlcg/Lrrc8a+ (more )
Structure Level Pattern Image Note
TS28: pancreas Present UC Davis_1885579

Specimen UC Davis_1885580: postnatal adult; Lrrc8atm1.1(KOMP)Vlcg/Lrrc8a+ (more )
Structure Level Pattern Image Note
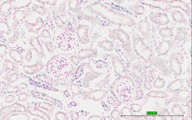
TS28: metanephros Present UC Davis_1885580 kidney

Specimen UC Davis_1885581: postnatal adult; Lrrc8atm1.1(KOMP)Vlcg/Lrrc8a+ (more )
Structure Level Pattern Image Note
TS28: metanephros Present UC Davis_1885581 kidney

Specimen UC Davis_1885582: postnatal adult; Lrrc8atm1.1(KOMP)Vlcg/Lrrc8a+ (more )
Structure Level Pattern Image Note
TS28: metanephros Present UC Davis_1885582 kidney

Specimen UC Davis_1885583: postnatal adult; Lrrc8atm1.1(KOMP)Vlcg/Lrrc8a+ (more )
Structure Level Pattern Image Note
TS28: metanephros Present UC Davis_1885583 kidney

Specimen UC Davis_1885584: postnatal adult; Lrrc8atm1.1(KOMP)Vlcg/Lrrc8a+ (more )
Structure Level Pattern Image Note
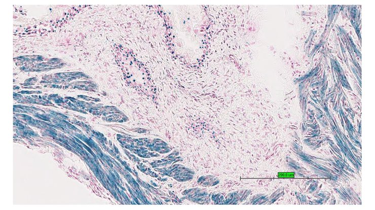
TS28: quadriceps femoris muscle Present UC Davis_1885584

Specimen UC Davis_1885585: postnatal adult; Lrrc8atm1.1(KOMP)Vlcg/Lrrc8a+ (more )
Structure Level Pattern Image Note
TS28: quadriceps femoris muscle Present UC Davis_1885585

Specimen UC Davis_1885586: postnatal adult; Lrrc8atm1.1(KOMP)Vlcg/Lrrc8a+ (more )
Structure Level Pattern Image Note
TS28: tongue Present UC Davis_1885586

Specimen UC Davis_1885587: postnatal adult; Lrrc8atm1.1(KOMP)Vlcg/Lrrc8a+ (more )
Structure Level Pattern Image Note
TS28: tongue Present UC Davis_1885587

Specimen UC Davis_1885588: postnatal adult; Lrrc8atm1.1(KOMP)Vlcg/Lrrc8a+ (more )
Structure Level Pattern Image Note
TS28: tongue Present UC Davis_1885588

Specimen UC Davis_1885589: postnatal adult; Lrrc8atm1.1(KOMP)Vlcg/Lrrc8a+ (more )
Structure Level Pattern Image Note
TS28: diaphragm Present UC Davis_1885589

Specimen UC Davis_1885590: postnatal adult; Lrrc8atm1.1(KOMP)Vlcg/Lrrc8a+ (more )
Structure Level Pattern Image Note
TS28: diaphragm Present UC Davis_1885590

Specimen UC Davis_1885591: postnatal adult; Lrrc8atm1.1(KOMP)Vlcg/Lrrc8a+ (more )
Structure Level Pattern Image Note
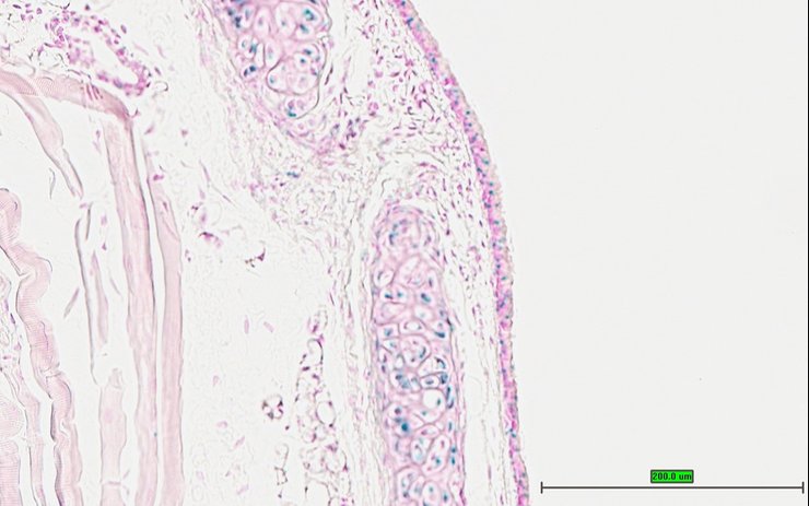
TS28: adrenal gland Present UC Davis_1885591

Specimen UC Davis_1885592: postnatal adult; Lrrc8atm1.1(KOMP)Vlcg/Lrrc8a+ (more )
Structure Level Pattern Image Note
TS28: adrenal gland Present UC Davis_1885592

Specimen UC Davis_1885593: postnatal adult; Lrrc8atm1.1(KOMP)Vlcg/Lrrc8a+ (more )
Structure Level Pattern Image Note
TS28: pituitary gland Present UC Davis_1885593

Specimen UC Davis_1885594: postnatal adult; Lrrc8atm1.1(KOMP)Vlcg/Lrrc8a+ (more )
Structure Level Pattern Image Note
TS28: spinal cord Present UC Davis_1885594

Specimen UC Davis_1885595: postnatal adult; Lrrc8atm1.1(KOMP)Vlcg/Lrrc8a+ (more )
Structure Level Pattern Image Note
TS28: spinal cord Present UC Davis_1885595

Specimen UC Davis_1885596: postnatal adult; Lrrc8atm1.1(KOMP)Vlcg/Lrrc8a+ (more )
Structure Level Pattern Image Note
TS28: eye Present UC Davis_1885596

Specimen UC Davis_1885597: postnatal adult; Lrrc8atm1.1(KOMP)Vlcg/Lrrc8a+ (more )
Structure Level Pattern Image Note
TS28: Harderian gland Present UC Davis_1885597

Specimen UC Davis_1885598: postnatal adult; Lrrc8atm1.1(KOMP)Vlcg/Lrrc8a+ (more )
Structure Level Pattern Image Note
TS28: gonadal fat pad Present UC Davis_1885598

Specimen UC Davis_1885599: postnatal adult; Lrrc8atm1.1(KOMP)Vlcg/Lrrc8a+ (more )
Structure Level Pattern Image Note
TS28: mesenteric adipose tissue Present UC Davis_1885599

Specimen UC Davis_1885600: postnatal adult; Lrrc8atm1.1(KOMP)Vlcg/Lrrc8a+ (more )
Structure Level Pattern Image Note
TS28: skin Present UC Davis_1885600

Specimen UC Davis_1885601: postnatal adult; Lrrc8atm1.1(KOMP)Vlcg/Lrrc8a+ (more )
Structure Level Pattern Image Note
TS28: skin Present UC Davis_1885601

Specimen UC Davis_1885602: postnatal adult; Lrrc8atm1.1(KOMP)Vlcg/Lrrc8a+ (more )
Structure Level Pattern Image Note
TS28: skin Present UC Davis_1885602

Specimen UC Davis_1885603: postnatal adult; Lrrc8atm1.1(KOMP)Vlcg/Lrrc8a+ (more )
Structure Level Pattern Image Note
TS28: brown fat Present UC Davis_1885603

Specimen UC Davis_1885604: postnatal adult; Lrrc8atm1.1(KOMP)Vlcg/Lrrc8a+ (more )
Structure Level Pattern Image Note
TS28: brown fat Present UC Davis_1885604

Specimen UC Davis_1885605: postnatal adult; Lrrc8atm1.1(KOMP)Vlcg/Lrrc8a+ (more )
Structure Level Pattern Image Note
TS28: olfactory lobe Present UC Davis_1885605

Specimen UC Davis_1885608: postnatal adult; Lrrc8atm1.1(KOMP)Vlcg/Lrrc8a+ (more )
Structure Level Pattern Image Note
TS28: midbrain Present UC Davis_1885608

Specimen UC Davis_1885610: postnatal adult; Lrrc8atm1.1(KOMP)Vlcg/Lrrc8a+ (more )
Structure Level Pattern Image Note
TS28: cerebellum Present UC Davis_1885610

Specimen UC Davis_1885611: postnatal adult; Lrrc8atm1.1(KOMP)Vlcg/Lrrc8a+ (more )
Structure Level Pattern Image Note
TS28: trigeminal nerve Present UC Davis_1885611

Specimen UC Davis_1885612: postnatal adult; Lrrc8atm1.1(KOMP)Vlcg/Lrrc8a+ (more )
Structure Level Pattern Image Note
TS28: ovary Present UC Davis_1885612

Specimen UC Davis_1885613: postnatal adult; Lrrc8atm1.1(KOMP)Vlcg/Lrrc8a+ (more )
Structure Level Pattern Image Note
TS28: ovary Present UC Davis_1885613

Specimen UC Davis_1885614: postnatal adult; Lrrc8atm1.1(KOMP)Vlcg/Lrrc8a+ (more )
Structure Level Pattern Image Note
TS28: oviduct Present UC Davis_1885614

Specimen UC Davis_1885615: postnatal adult; Lrrc8atm1.1(KOMP)Vlcg/Lrrc8a+ (more )
Structure Level Pattern Image Note
TS28: oviduct Present UC Davis_1885615

Specimen UC Davis_1885616: postnatal adult; Lrrc8atm1.1(KOMP)Vlcg/Lrrc8a+ (more )
Structure Level Pattern Image Note
TS28: uterus Present UC Davis_1885616

Specimen UC Davis_1885617: postnatal adult; Lrrc8atm1.1(KOMP)Vlcg/Lrrc8a+ (more )
Structure Level Pattern Image Note
TS28: uterus Present UC Davis_1885617

Specimen UC Davis_1885618: postnatal adult; Lrrc8atm1.1(KOMP)Vlcg/Lrrc8a+ (more )
Structure Level Pattern Image Note
TS28: bladder Present UC Davis_1885618

Specimen UC Davis_1885619: postnatal adult; Lrrc8atm1.1(KOMP)Vlcg/Lrrc8a+ (more )
Structure Level Pattern Image Note
TS28: bladder Present UC Davis_1885619

Specimen UC Davis_1885620: postnatal adult; Lrrc8atm1.1(KOMP)Vlcg/Lrrc8a+ (more )
Structure Level Pattern Image Note
TS28: bladder Present UC Davis_1885620

Specimen UC Davis_1885621: postnatal adult; Lrrc8atm1.1(KOMP)Vlcg/Lrrc8a+ (more )
Structure Level Pattern Image Note
TS28: bone marrow Present UC Davis_1885621

Specimen UC Davis_1885622: postnatal adult; Lrrc8atm1.1(KOMP)Vlcg/Lrrc8a+ (more )
Structure Level Pattern Image Note
TS28: mammary gland Present UC Davis_1885622

Specimen TCP_2460853: postnatal adult; Lrrc8atm1.1(KOMP)Vlcg/Lrrc8a+ (more )
Structure Level Pattern Image Note
TS28: aorta Present TCP_2460853

Specimen TCP_2460854: postnatal adult; Lrrc8atm1.1(KOMP)Vlcg/Lrrc8a+ (more )
Structure Level Pattern Image Note
TS28: brain Present TCP_2460854

Specimen TCP_2460855: postnatal adult; Lrrc8atm1.1(KOMP)Vlcg/Lrrc8a+ (more )
Structure Level Pattern Image Note
TS28: brown fat Present TCP_2460855

Specimen TCP_2460856: postnatal adult; Lrrc8atm1.1(KOMP)Vlcg/Lrrc8a+ (more )
Structure Level Pattern Image Note
TS28: eye Present TCP_2460856

Specimen TCP_2460857: postnatal adult; Lrrc8atm1.1(KOMP)Vlcg/Lrrc8a+ (more )
Structure Level Pattern Image Note
TS28: heart Present TCP_2460857

Specimen TCP_2460858: postnatal adult; Lrrc8atm1.1(KOMP)Vlcg/Lrrc8a+ (more )
Structure Level Pattern Image Note
TS28: lung Present TCP_2460858

Specimen TCP_2460860: postnatal adult; Lrrc8atm1.1(KOMP)Vlcg/Lrrc8a+ (more )
Structure Level Pattern Image Note
TS28: skin Present TCP_2460860

Specimen TCP_2460861: postnatal adult; Lrrc8atm1.1(KOMP)Vlcg/Lrrc8a+ (more )
Structure Level Pattern Image Note
TS28: spinal cord Present TCP_2460861

Specimen UC Davis_1885623: postnatal adult; Lrrc8atm1.1(KOMP)Vlcg/Lrrc8a+ (more )
Structure Level Pattern Image Note
TS28: submandibular gland Present UC Davis_1885623

Specimen UC Davis_1885624: postnatal adult; Lrrc8atm1.1(KOMP)Vlcg/Lrrc8a+ (more )
Structure Level Pattern Image Note
TS28: sublingual gland Present UC Davis_1885624

Specimen UC Davis_1885625: postnatal adult; Lrrc8atm1.1(KOMP)Vlcg/Lrrc8a+ (more )
Structure Level Pattern Image Note
TS28: parotid gland Present UC Davis_1885625

Specimen UC Davis_1885626: postnatal adult; Lrrc8atm1.1(KOMP)Vlcg/Lrrc8a+ (more )
Structure Level Pattern Image Note
TS28: trachea Present UC Davis_1885626

Specimen UC Davis_1885627: postnatal adult; Lrrc8atm1.1(KOMP)Vlcg/Lrrc8a+ (more )
Structure Level Pattern Image Note
TS28: esophagus Present UC Davis_1885627

Specimen UC Davis_1885628: postnatal adult; Lrrc8atm1.1(KOMP)Vlcg/Lrrc8a+ (more )
Structure Level Pattern Image Note
TS28: esophagus Present UC Davis_1885628

Specimen UC Davis_1885629: postnatal adult; Lrrc8atm1.1(KOMP)Vlcg/Lrrc8a+ (more )
Structure Level Pattern Image Note
TS28: thyroid gland Present UC Davis_1885629

Specimen UC Davis_1885631: postnatal adult; Lrrc8atm1.1(KOMP)Vlcg/Lrrc8a+ (more )
Structure Level Pattern Image Note
TS28: parathyroid gland Present UC Davis_1885631

Specimen UC Davis_1885632: postnatal adult; Lrrc8atm1.1(KOMP)Vlcg/Lrrc8a+ (more )
Structure Level Pattern Image Note
TS28: aorta Present UC Davis_1885632

Specimen UC Davis_1885633: postnatal adult; Lrrc8atm1.1(KOMP)Vlcg/Lrrc8a+ (more )
Structure Level Pattern Image Note
TS28: lung Present UC Davis_1885633

Specimen UC Davis_1885634: postnatal adult; Lrrc8atm1.1(KOMP)Vlcg/Lrrc8a+ (more )
Structure Level Pattern Image Note
TS28: lung Present UC Davis_1885634

Specimen UC Davis_1885635: postnatal adult; Lrrc8atm1.1(KOMP)Vlcg/Lrrc8a+ (more )
Structure Level Pattern Image Note
TS28: lung Present UC Davis_1885635

Specimen UC Davis_1885639: postnatal adult; Lrrc8atm1.1(KOMP)Vlcg/Lrrc8a+ (more )
Structure Level Pattern Image Note
TS28: stomach Present UC Davis_1885639

Specimen UC Davis_1885640: postnatal adult; Lrrc8atm1.1(KOMP)Vlcg/Lrrc8a+ (more )
Structure Level Pattern Image Note
TS28: stomach Present UC Davis_1885640

Specimen UC Davis_1885641: postnatal adult; Lrrc8atm1.1(KOMP)Vlcg/Lrrc8a+ (more )
Structure Level Pattern Image Note
TS28: duodenum Present UC Davis_1885641

Specimen UC Davis_1885642: postnatal adult; Lrrc8atm1.1(KOMP)Vlcg/Lrrc8a+ (more )
Structure Level Pattern Image Note
TS28: ileum Present UC Davis_1885642

Specimen UC Davis_1885643: postnatal adult; Lrrc8atm1.1(KOMP)Vlcg/Lrrc8a+ (more )
Structure Level Pattern Image Note
TS28: ileum Present UC Davis_1885643

Specimen UC Davis_1885644: postnatal adult; Lrrc8atm1.1(KOMP)Vlcg/Lrrc8a+ (more )
Structure Level Pattern Image Note
TS28: colon Present UC Davis_1885644

Specimen UC Davis_1885645: postnatal adult; Lrrc8atm1.1(KOMP)Vlcg/Lrrc8a+ (more )
Structure Level Pattern Image Note
TS28: colon Present UC Davis_1885645

Specimen UC Davis_1885646: postnatal adult; Lrrc8atm1.1(KOMP)Vlcg/Lrrc8a+ (more )
Structure Level Pattern Image Note
TS28: cecum Present UC Davis_1885646

Specimen UC Davis_1885647: postnatal adult; Lrrc8atm1.1(KOMP)Vlcg/Lrrc8a+ (more )
Structure Level Pattern Image Note
TS28: cecum Present UC Davis_1885647

Specimen UC Davis_1885648: postnatal adult; Lrrc8atm1.1(KOMP)Vlcg/Lrrc8a+ (more )
Structure Level Pattern Image Note
TS28: spleen Present UC Davis_1885648

Specimen UC Davis_1885649: postnatal adult; Lrrc8atm1.1(KOMP)Vlcg/Lrrc8a+ (more )
Structure Level Pattern Image Note
TS28: spleen Present UC Davis_1885649

Specimen UC Davis_1885650: postnatal adult; Lrrc8atm1.1(KOMP)Vlcg/Lrrc8a+ (more )
Structure Level Pattern Image Note
TS28: pancreas Present UC Davis_1885650

Specimen UC Davis_1885651: postnatal adult; Lrrc8atm1.1(KOMP)Vlcg/Lrrc8a+ (more )
Structure Level Pattern Image Note
TS28: pancreas Present UC Davis_1885651

Specimen UC Davis_1885652: postnatal adult; Lrrc8atm1.1(KOMP)Vlcg/Lrrc8a+ (more )
Structure Level Pattern Image Note
TS28: liver Present UC Davis_1885652

Specimen UC Davis_1885653: postnatal adult; Lrrc8atm1.1(KOMP)Vlcg/Lrrc8a+ (more )
Structure Level Pattern Image Note
TS28: metanephros Present UC Davis_1885653 kidney

Specimen UC Davis_1885654: postnatal adult; Lrrc8atm1.1(KOMP)Vlcg/Lrrc8a+ (more )
Structure Level Pattern Image Note
TS28: metanephros Present UC Davis_1885654 kidney

Specimen UC Davis_1885655: postnatal adult; Lrrc8atm1.1(KOMP)Vlcg/Lrrc8a+ (more )
Structure Level Pattern Image Note
TS28: metanephros Present UC Davis_1885655 kidney

Specimen UC Davis_1885656: postnatal adult; Lrrc8atm1.1(KOMP)Vlcg/Lrrc8a+ (more )
Structure Level Pattern Image Note
TS28: metanephros Present UC Davis_1885656 kidney

Specimen UC Davis_1885657: postnatal adult; Lrrc8atm1.1(KOMP)Vlcg/Lrrc8a+ (more )
Structure Level Pattern Image Note
TS28: quadriceps femoris muscle Present UC Davis_1885657

Specimen UC Davis_1885658: postnatal adult; Lrrc8atm1.1(KOMP)Vlcg/Lrrc8a+ (more )
Structure Level Pattern Image Note
TS28: quadriceps femoris muscle Present UC Davis_1885658

Specimen UC Davis_1885659: postnatal adult; Lrrc8atm1.1(KOMP)Vlcg/Lrrc8a+ (more )
Structure Level Pattern Image Note
TS28: sciatic nerve Present UC Davis_1885659

Specimen UC Davis_1885660: postnatal adult; Lrrc8atm1.1(KOMP)Vlcg/Lrrc8a+ (more )
Structure Level Pattern Image Note
TS28: tongue Present UC Davis_1885660

Specimen UC Davis_1885661: postnatal adult; Lrrc8atm1.1(KOMP)Vlcg/Lrrc8a+ (more )
Structure Level Pattern Image Note
TS28: tongue Present UC Davis_1885661

Specimen UC Davis_1885662: postnatal adult; Lrrc8atm1.1(KOMP)Vlcg/Lrrc8a+ (more )
Structure Level Pattern Image Note
TS28: tongue Present UC Davis_1885662

Specimen UC Davis_1885663: postnatal adult; Lrrc8atm1.1(KOMP)Vlcg/Lrrc8a+ (more )
Structure Level Pattern Image Note
TS28: diaphragm Present UC Davis_1885663

Specimen UC Davis_1885664: postnatal adult; Lrrc8atm1.1(KOMP)Vlcg/Lrrc8a+ (more )
Structure Level Pattern Image Note
TS28: adrenal gland Present UC Davis_1885664

Specimen UC Davis_1885665: postnatal adult; Lrrc8atm1.1(KOMP)Vlcg/Lrrc8a+ (more )
Structure Level Pattern Image Note
TS28: pituitary gland Present UC Davis_1885665

Specimen UC Davis_1885666: postnatal adult; Lrrc8atm1.1(KOMP)Vlcg/Lrrc8a+ (more )
Structure Level Pattern Image Note
TS28: spinal cord Present UC Davis_1885666

Specimen UC Davis_1885667: postnatal adult; Lrrc8atm1.1(KOMP)Vlcg/Lrrc8a+ (more )
Structure Level Pattern Image Note
TS28: spinal cord Present UC Davis_1885667

Specimen UC Davis_1885668: postnatal adult; Lrrc8atm1.1(KOMP)Vlcg/Lrrc8a+ (more )
Structure Level Pattern Image Note
TS28: eye Present UC Davis_1885668

Specimen UC Davis_1885669: postnatal adult; Lrrc8atm1.1(KOMP)Vlcg/Lrrc8a+ (more )
Structure Level Pattern Image Note
TS28: eye Present UC Davis_1885669

Specimen UC Davis_1885670: postnatal adult; Lrrc8atm1.1(KOMP)Vlcg/Lrrc8a+ (more )
Structure Level Pattern Image Note
TS28: eye Present UC Davis_1885670

Specimen UC Davis_1885671: postnatal adult; Lrrc8atm1.1(KOMP)Vlcg/Lrrc8a+ (more )
Structure Level Pattern Image Note
TS28: eye Present UC Davis_1885671

Specimen UC Davis_1885673: postnatal adult; Lrrc8atm1.1(KOMP)Vlcg/Lrrc8a+ (more )
Structure Level Pattern Image Note
TS28: Harderian gland Present UC Davis_1885673

Specimen UC Davis_1885674: postnatal adult; Lrrc8atm1.1(KOMP)Vlcg/Lrrc8a+ (more )
Structure Level Pattern Image Note
TS28: gonadal fat pad Present UC Davis_1885674

Specimen UC Davis_1885675: postnatal adult; Lrrc8atm1.1(KOMP)Vlcg/Lrrc8a+ (more )
Structure Level Pattern Image Note
TS28: mesenteric adipose tissue Present UC Davis_1885675

Specimen UC Davis_1885676: postnatal adult; Lrrc8atm1.1(KOMP)Vlcg/Lrrc8a+ (more )
Structure Level Pattern Image Note
TS28: skin Present UC Davis_1885676

Specimen UC Davis_1885677: postnatal adult; Lrrc8atm1.1(KOMP)Vlcg/Lrrc8a+ (more )
Structure Level Pattern Image Note
TS28: skin Present UC Davis_1885677

Specimen UC Davis_1885678: postnatal adult; Lrrc8atm1.1(KOMP)Vlcg/Lrrc8a+ (more )
Structure Level Pattern Image Note
TS28: skin Present UC Davis_1885678

Specimen UC Davis_1885679: postnatal adult; Lrrc8atm1.1(KOMP)Vlcg/Lrrc8a+ (more )
Structure Level Pattern Image Note
TS28: brown fat Present UC Davis_1885679

Specimen UC Davis_1885680: postnatal adult; Lrrc8atm1.1(KOMP)Vlcg/Lrrc8a+ (more )
Structure Level Pattern Image Note
TS28: brown fat Present UC Davis_1885680

Specimen UC Davis_1885681: postnatal adult; Lrrc8atm1.1(KOMP)Vlcg/Lrrc8a+ (more )
Structure Level Pattern Image Note
TS28: olfactory lobe Present UC Davis_1885681

Specimen UC Davis_1885684: postnatal adult; Lrrc8atm1.1(KOMP)Vlcg/Lrrc8a+ (more )
Structure Level Pattern Image Note
TS28: midbrain Present UC Davis_1885684

Specimen UC Davis_1885686: postnatal adult; Lrrc8atm1.1(KOMP)Vlcg/Lrrc8a+ (more )
Structure Level Pattern Image Note
TS28: cerebellum Present UC Davis_1885686

Specimen UC Davis_1885687: postnatal adult; Lrrc8atm1.1(KOMP)Vlcg/Lrrc8a+ (more )
Structure Level Pattern Image Note
TS28: trigeminal nerve Present UC Davis_1885687

Specimen UC Davis_1885688: postnatal adult; Lrrc8atm1.1(KOMP)Vlcg/Lrrc8a+ (more )
Structure Level Pattern Image Note
TS28: trigeminal nerve Present UC Davis_1885688

Specimen UC Davis_1885689: postnatal adult; Lrrc8atm1.1(KOMP)Vlcg/Lrrc8a+ (more )
Structure Level Pattern Image Note
TS28: trigeminal nerve Present UC Davis_1885689

Specimen UC Davis_1885690: postnatal adult; Lrrc8atm1.1(KOMP)Vlcg/Lrrc8a+ (more )
Structure Level Pattern Image Note
TS28: bladder Present UC Davis_1885690

Specimen UC Davis_1885691: postnatal adult; Lrrc8atm1.1(KOMP)Vlcg/Lrrc8a+ (more )
Structure Level Pattern Image Note
TS28: testis Present UC Davis_1885691

Specimen UC Davis_1885692: postnatal adult; Lrrc8atm1.1(KOMP)Vlcg/Lrrc8a+ (more )
Structure Level Pattern Image Note
TS28: epididymis Present UC Davis_1885692

Specimen UC Davis_1885693: postnatal adult; Lrrc8atm1.1(KOMP)Vlcg/Lrrc8a+ (more )
Structure Level Pattern Image Note
TS28: epididymis Present UC Davis_1885693

Specimen UC Davis_1885694: postnatal adult; Lrrc8atm1.1(KOMP)Vlcg/Lrrc8a+ (more )
Structure Level Pattern Image Note
TS28: prostate gland Present UC Davis_1885694

Specimen UC Davis_1885695: postnatal adult; Lrrc8atm1.1(KOMP)Vlcg/Lrrc8a+ (more )
Structure Level Pattern Image Note
TS28: penis Present UC Davis_1885695

Specimen UC Davis_1885696: postnatal adult; Lrrc8atm1.1(KOMP)Vlcg/Lrrc8a+ (more )
Structure Level Pattern Image Note
TS28: penis Present UC Davis_1885696

Specimen UC Davis_1885699: postnatal adult; Lrrc8atm1.1(KOMP)Vlcg/Lrrc8a+ (more )
Structure Level Pattern Image Note
TS28: seminal vesicle Present UC Davis_1885699 vesicular gland

Specimen UC Davis_1885700: postnatal adult; Lrrc8atm1.1(KOMP)Vlcg/Lrrc8a+ (more )
Structure Level Pattern Image Note
TS28: seminal vesicle Present UC Davis_1885700 vesicular gland


Contributing Projects:
Mouse Genome Database (MGD), Gene Expression Database (GXD), Mouse Models of Human Cancer database (MMHCdb) (formerly Mouse Tumor Biology (MTB)), Gene Ontology (GO)
Citing These Resources
Funding Information
Warranty Disclaimer, Privacy Notice, Licensing, & Copyright
Send questions and comments to User Support.
last database update
01/06/2026
MGI 6.24
The Jackson Laboratory