About   Help   FAQ
Gene Expression Data
Assay Details
Assay
Reference: J:228563 Koscielny G, et al., The International Mouse Phenotyping Consortium Web Portal, a unified point of access for knockout mice and related phenotyping data. Nucleic Acids Res. 2014 Jan;42(Database issue):D802-9
Assay type: In situ reporter (knock in)
MGI Accession ID: MGI:6692740
Gene symbol: R3hdm1
Gene name: R3H domain containing 1
Reporter: lacZ
Direct Detection
Results
Specimen UC Davis_1887752: postnatal adult; R3hdm1tm1b(EUCOMM)Wtsi/R3hdm1+ (more )
Structure Level Pattern Image Note
TS28: submandibular gland Present UC Davis_1887752

Specimen UC Davis_1887753: postnatal adult; R3hdm1tm1b(EUCOMM)Wtsi/R3hdm1+ (more )
Structure Level Pattern Image Note
TS28: submandibular gland Present UC Davis_1887753

Specimen UC Davis_1887754: postnatal adult; R3hdm1tm1b(EUCOMM)Wtsi/R3hdm1+ (more )
Structure Level Pattern Image Note
TS28: trachea Present UC Davis_1887754

Specimen UC Davis_1887755: postnatal adult; R3hdm1tm1b(EUCOMM)Wtsi/R3hdm1+ (more )
Structure Level Pattern Image Note
TS28: esophagus Present UC Davis_1887755

Specimen UC Davis_1887758: postnatal adult; R3hdm1tm1b(EUCOMM)Wtsi/R3hdm1+ (more )
Structure Level Pattern Image Note
TS28: stomach Present UC Davis_1887758

Specimen UC Davis_1887759: postnatal adult; R3hdm1tm1b(EUCOMM)Wtsi/R3hdm1+ (more )
Structure Level Pattern Image Note
TS28: ileum Present UC Davis_1887759

Specimen UC Davis_1887760: postnatal adult; R3hdm1tm1b(EUCOMM)Wtsi/R3hdm1+ (more )
Structure Level Pattern Image Note
TS28: colon Present UC Davis_1887760

Specimen UC Davis_1887761: postnatal adult; R3hdm1tm1b(EUCOMM)Wtsi/R3hdm1+ (more )
Structure Level Pattern Image Note
TS28: pancreas Present UC Davis_1887761

Specimen UC Davis_1887762: postnatal adult; R3hdm1tm1b(EUCOMM)Wtsi/R3hdm1+ (more )
Structure Level Pattern Image Note
TS28: metanephros Present UC Davis_1887762 kidney

Specimen UC Davis_1887763: postnatal adult; R3hdm1tm1b(EUCOMM)Wtsi/R3hdm1+ (more )
Structure Level Pattern Image Note
TS28: metanephros Present UC Davis_1887763 kidney

Specimen UC Davis_1887764: postnatal adult; R3hdm1tm1b(EUCOMM)Wtsi/R3hdm1+ (more )
Structure Level Pattern Image Note
TS28: metanephros Present UC Davis_1887764 kidney

Specimen UC Davis_1887765: postnatal adult; R3hdm1tm1b(EUCOMM)Wtsi/R3hdm1+ (more )
Structure Level Pattern Image Note
TS28: adrenal gland Present UC Davis_1887765

Specimen UC Davis_1887766: postnatal adult; R3hdm1tm1b(EUCOMM)Wtsi/R3hdm1+ (more )
Structure Level Pattern Image Note
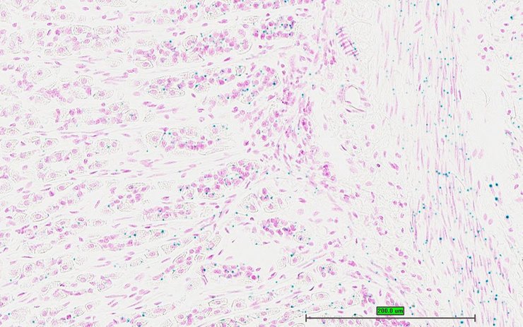
TS28: spinal cord Present UC Davis_1887766

Specimen UC Davis_1887767: postnatal adult; R3hdm1tm1b(EUCOMM)Wtsi/R3hdm1+ (more )
Structure Level Pattern Image Note
TS28: eye Present UC Davis_1887767

Specimen UC Davis_1887768: postnatal adult; R3hdm1tm1b(EUCOMM)Wtsi/R3hdm1+ (more )
Structure Level Pattern Image Note
TS28: Harderian gland Present UC Davis_1887768

Specimen UC Davis_1887769: postnatal adult; R3hdm1tm1b(EUCOMM)Wtsi/R3hdm1+ (more )
Structure Level Pattern Image Note
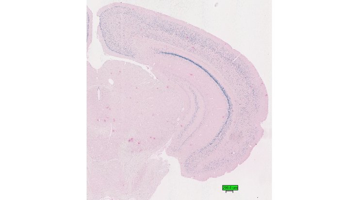
TS28: olfactory lobe Present UC Davis_1887769

Specimen UC Davis_1887772: postnatal adult; R3hdm1tm1b(EUCOMM)Wtsi/R3hdm1+ (more )
Structure Level Pattern Image Note
TS28: midbrain Present UC Davis_1887772

Specimen UC Davis_1887774: postnatal adult; R3hdm1tm1b(EUCOMM)Wtsi/R3hdm1+ (more )
Structure Level Pattern Image Note
TS28: cerebellum Present UC Davis_1887774

Specimen UC Davis_1887775: postnatal adult; R3hdm1tm1b(EUCOMM)Wtsi/R3hdm1+ (more )
Structure Level Pattern Image Note
TS28: ovary Present UC Davis_1887775

Specimen UC Davis_1887776: postnatal adult; R3hdm1tm1b(EUCOMM)Wtsi/R3hdm1+ (more )
Structure Level Pattern Image Note
TS28: oviduct Present UC Davis_1887776

Specimen UC Davis_1887777: postnatal adult; R3hdm1tm1b(EUCOMM)Wtsi/R3hdm1+ (more )
Structure Level Pattern Image Note
TS28: uterus Present UC Davis_1887777

Specimen UC Davis_1887778: postnatal adult; R3hdm1tm1b(EUCOMM)Wtsi/R3hdm1+ (more )
Structure Level Pattern Image Note
TS28: bladder Present UC Davis_1887778

Specimen UC Davis_1887779: postnatal adult; R3hdm1tm1b(EUCOMM)Wtsi/R3hdm1+ (more )
Structure Level Pattern Image Note
TS28: submandibular gland Present UC Davis_1887779

Specimen UC Davis_1887780: postnatal adult; R3hdm1tm1b(EUCOMM)Wtsi/R3hdm1+ (more )
Structure Level Pattern Image Note
TS28: sublingual gland Present UC Davis_1887780

Specimen UC Davis_1887781: postnatal adult; R3hdm1tm1b(EUCOMM)Wtsi/R3hdm1+ (more )
Structure Level Pattern Image Note
TS28: parotid gland Present UC Davis_1887781

Specimen UC Davis_1887782: postnatal adult; R3hdm1tm1b(EUCOMM)Wtsi/R3hdm1+ (more )
Structure Level Pattern Image Note
TS28: trachea Present UC Davis_1887782

Specimen UC Davis_1887783: postnatal adult; R3hdm1tm1b(EUCOMM)Wtsi/R3hdm1+ (more )
Structure Level Pattern Image Note
TS28: esophagus Present UC Davis_1887783

Specimen UC Davis_1887785: postnatal adult; R3hdm1tm1b(EUCOMM)Wtsi/R3hdm1+ (more )
Structure Level Pattern Image Note
TS28: aorta Present UC Davis_1887785

Specimen UC Davis_1887786: postnatal adult; R3hdm1tm1b(EUCOMM)Wtsi/R3hdm1+ (more )
Structure Level Pattern Image Note
TS28: thymus Present UC Davis_1887786

Specimen UC Davis_1887790: postnatal adult; R3hdm1tm1b(EUCOMM)Wtsi/R3hdm1+ (more )
Structure Level Pattern Image Note
TS28: stomach Present UC Davis_1887790

Specimen UC Davis_1887791: postnatal adult; R3hdm1tm1b(EUCOMM)Wtsi/R3hdm1+ (more )
Structure Level Pattern Image Note
TS28: stomach Present UC Davis_1887791

Specimen UC Davis_1887792: postnatal adult; R3hdm1tm1b(EUCOMM)Wtsi/R3hdm1+ (more )
Structure Level Pattern Image Note
TS28: stomach Present UC Davis_1887792

Specimen UC Davis_1887793: postnatal adult; R3hdm1tm1b(EUCOMM)Wtsi/R3hdm1+ (more )
Structure Level Pattern Image Note
TS28: ileum Present UC Davis_1887793

Specimen UC Davis_1887794: postnatal adult; R3hdm1tm1b(EUCOMM)Wtsi/R3hdm1+ (more )
Structure Level Pattern Image Note
TS28: colon Present UC Davis_1887794

Specimen UC Davis_1887795: postnatal adult; R3hdm1tm1b(EUCOMM)Wtsi/R3hdm1+ (more )
Structure Level Pattern Image Note
TS28: colon Present UC Davis_1887795

Specimen UC Davis_1887796: postnatal adult; R3hdm1tm1b(EUCOMM)Wtsi/R3hdm1+ (more )
Structure Level Pattern Image Note
TS28: colon Present UC Davis_1887796

Specimen UC Davis_1887797: postnatal adult; R3hdm1tm1b(EUCOMM)Wtsi/R3hdm1+ (more )
Structure Level Pattern Image Note
TS28: cecum Present UC Davis_1887797

Specimen UC Davis_1887798: postnatal adult; R3hdm1tm1b(EUCOMM)Wtsi/R3hdm1+ (more )
Structure Level Pattern Image Note
TS28: spleen Present UC Davis_1887798

Specimen UC Davis_1887799: postnatal adult; R3hdm1tm1b(EUCOMM)Wtsi/R3hdm1+ (more )
Structure Level Pattern Image Note
TS28: pancreas Present UC Davis_1887799

Specimen UC Davis_1887800: postnatal adult; R3hdm1tm1b(EUCOMM)Wtsi/R3hdm1+ (more )
Structure Level Pattern Image Note
TS28: pancreas Present UC Davis_1887800

Specimen UC Davis_1887801: postnatal adult; R3hdm1tm1b(EUCOMM)Wtsi/R3hdm1+ (more )
Structure Level Pattern Image Note
TS28: pancreas Present UC Davis_1887801

Specimen UC Davis_1887802: postnatal adult; R3hdm1tm1b(EUCOMM)Wtsi/R3hdm1+ (more )
Structure Level Pattern Image Note
TS28: metanephros Present UC Davis_1887802 kidney

Specimen UC Davis_1887803: postnatal adult; R3hdm1tm1b(EUCOMM)Wtsi/R3hdm1+ (more )
Structure Level Pattern Image Note
TS28: metanephros Present UC Davis_1887803 kidney

Specimen UC Davis_1887804: postnatal adult; R3hdm1tm1b(EUCOMM)Wtsi/R3hdm1+ (more )
Structure Level Pattern Image Note
TS28: metanephros Present UC Davis_1887804 kidney

Specimen UC Davis_1887805: postnatal adult; R3hdm1tm1b(EUCOMM)Wtsi/R3hdm1+ (more )
Structure Level Pattern Image Note
TS28: tongue Present UC Davis_1887805

Specimen UC Davis_1887806: postnatal adult; R3hdm1tm1b(EUCOMM)Wtsi/R3hdm1+ (more )
Structure Level Pattern Image Note
TS28: tongue Present UC Davis_1887806

Specimen UC Davis_1887807: postnatal adult; R3hdm1tm1b(EUCOMM)Wtsi/R3hdm1+ (more )
Structure Level Pattern Image Note
TS28: adrenal gland Present UC Davis_1887807

Specimen UC Davis_1887808: postnatal adult; R3hdm1tm1b(EUCOMM)Wtsi/R3hdm1+ (more )
Structure Level Pattern Image Note
TS28: pituitary gland Present UC Davis_1887808

Specimen UC Davis_1887809: postnatal adult; R3hdm1tm1b(EUCOMM)Wtsi/R3hdm1+ (more )
Structure Level Pattern Image Note
TS28: pituitary gland Present UC Davis_1887809

Specimen UC Davis_1887810: postnatal adult; R3hdm1tm1b(EUCOMM)Wtsi/R3hdm1+ (more )
Structure Level Pattern Image Note
TS28: spinal cord Present UC Davis_1887810

Specimen UC Davis_1887811: postnatal adult; R3hdm1tm1b(EUCOMM)Wtsi/R3hdm1+ (more )
Structure Level Pattern Image Note
TS28: spinal cord Present UC Davis_1887811

Specimen UC Davis_1887812: postnatal adult; R3hdm1tm1b(EUCOMM)Wtsi/R3hdm1+ (more )
Structure Level Pattern Image Note
TS28: eye Present UC Davis_1887812

Specimen UC Davis_1887813: postnatal adult; R3hdm1tm1b(EUCOMM)Wtsi/R3hdm1+ (more )
Structure Level Pattern Image Note
TS28: eye Present UC Davis_1887813

Specimen UC Davis_1887814: postnatal adult; R3hdm1tm1b(EUCOMM)Wtsi/R3hdm1+ (more )
Structure Level Pattern Image Note
TS28: eye Present UC Davis_1887814

Specimen UC Davis_1887816: postnatal adult; R3hdm1tm1b(EUCOMM)Wtsi/R3hdm1+ (more )
Structure Level Pattern Image Note
TS28: Harderian gland Present UC Davis_1887816

Specimen UC Davis_1887817: postnatal adult; R3hdm1tm1b(EUCOMM)Wtsi/R3hdm1+ (more )
Structure Level Pattern Image Note
TS28: gonadal fat pad Present UC Davis_1887817

Specimen UC Davis_1887818: postnatal adult; R3hdm1tm1b(EUCOMM)Wtsi/R3hdm1+ (more )
Structure Level Pattern Image Note
TS28: mesenteric adipose tissue Present UC Davis_1887818

Specimen UC Davis_1887819: postnatal adult; R3hdm1tm1b(EUCOMM)Wtsi/R3hdm1+ (more )
Structure Level Pattern Image Note
TS28: skin Present UC Davis_1887819

Specimen UC Davis_1887820: postnatal adult; R3hdm1tm1b(EUCOMM)Wtsi/R3hdm1+ (more )
Structure Level Pattern Image Note
TS28: brown fat Present UC Davis_1887820

Specimen UC Davis_1887821: postnatal adult; R3hdm1tm1b(EUCOMM)Wtsi/R3hdm1+ (more )
Structure Level Pattern Image Note
TS28: olfactory lobe Present UC Davis_1887821

Specimen UC Davis_1887825: postnatal adult; R3hdm1tm1b(EUCOMM)Wtsi/R3hdm1+ (more )
Structure Level Pattern Image Note
TS28: midbrain Present UC Davis_1887825

Specimen UC Davis_1887827: postnatal adult; R3hdm1tm1b(EUCOMM)Wtsi/R3hdm1+ (more )
Structure Level Pattern Image Note
TS28: trigeminal nerve Present UC Davis_1887827

Specimen UC Davis_1887828: postnatal adult; R3hdm1tm1b(EUCOMM)Wtsi/R3hdm1+ (more )
Structure Level Pattern Image Note
TS28: bladder Present UC Davis_1887828

Specimen UC Davis_1887829: postnatal adult; R3hdm1tm1b(EUCOMM)Wtsi/R3hdm1+ (more )
Structure Level Pattern Image Note
TS28: testis Present UC Davis_1887829

Specimen UC Davis_1887830: postnatal adult; R3hdm1tm1b(EUCOMM)Wtsi/R3hdm1+ (more )
Structure Level Pattern Image Note
TS28: epididymis Present UC Davis_1887830

Specimen UC Davis_1887831: postnatal adult; R3hdm1tm1b(EUCOMM)Wtsi/R3hdm1+ (more )
Structure Level Pattern Image Note
TS28: epididymis Present UC Davis_1887831

Specimen UC Davis_1887832: postnatal adult; R3hdm1tm1b(EUCOMM)Wtsi/R3hdm1+ (more )
Structure Level Pattern Image Note
TS28: prostate gland Present UC Davis_1887832

Specimen UC Davis_1887833: postnatal adult; R3hdm1tm1b(EUCOMM)Wtsi/R3hdm1+ (more )
Structure Level Pattern Image Note
TS28: penis Present UC Davis_1887833

Specimen UC Davis_1887834: postnatal adult; R3hdm1tm1b(EUCOMM)Wtsi/R3hdm1+ (more )
Structure Level Pattern Image Note
TS28: penis Present UC Davis_1887834

Specimen UC Davis_1887835: postnatal adult; R3hdm1tm1b(EUCOMM)Wtsi/R3hdm1+ (more )
Structure Level Pattern Image Note
TS28: blood Present UC Davis_1887835

Specimen UC Davis_1887836: postnatal adult; R3hdm1tm1b(EUCOMM)Wtsi/R3hdm1+ (more )
Structure Level Pattern Image Note
TS28: ductus deferens Present UC Davis_1887836 vas deferens

Specimen UC Davis_1887840: postnatal adult; R3hdm1tm1b(EUCOMM)Wtsi/R3hdm1+ (more )
Structure Level Pattern Image Note
TS28: seminal vesicle Present UC Davis_1887840 vesicular gland

Specimen UC Davis_1887841: postnatal adult; R3hdm1tm1b(EUCOMM)Wtsi/R3hdm1+ (more )
Structure Level Pattern Image Note
TS28: seminal vesicle Present UC Davis_1887841 vesicular gland


Contributing Projects:
Mouse Genome Database (MGD), Gene Expression Database (GXD), Mouse Models of Human Cancer database (MMHCdb) (formerly Mouse Tumor Biology (MTB)), Gene Ontology (GO)
Citing These Resources
Funding Information
Warranty Disclaimer, Privacy Notice, Licensing, & Copyright
Send questions and comments to User Support.
last database update
01/20/2026
MGI 6.24
The Jackson Laboratory