About   Help   FAQ
Gene Expression Data
Assay Details
Assay
Reference: J:228563 Koscielny G, et al., The International Mouse Phenotyping Consortium Web Portal, a unified point of access for knockout mice and related phenotyping data. Nucleic Acids Res. 2014 Jan;42(Database issue):D802-9
Assay type: In situ reporter (knock in)
MGI Accession ID: MGI:6692739
Gene symbol: Pi4ka
Gene name: phosphatidylinositol 4-kinase alpha
Reporter: lacZ
Direct Detection
Results
Specimen UC Davis_1889771: postnatal adult; Pi4katm1b(EUCOMM)Wtsi/Pi4ka+ (more )
Structure Level Pattern Image Note
TS28: esophagus Present UC Davis_1889771

Specimen UC Davis_1889772: postnatal adult; Pi4katm1b(EUCOMM)Wtsi/Pi4ka+ (more )
Structure Level Pattern Image Note
TS28: aorta Present UC Davis_1889772

Specimen UC Davis_1889775: postnatal adult; Pi4katm1b(EUCOMM)Wtsi/Pi4ka+ (more )
Structure Level Pattern Image Note
TS28: stomach Present UC Davis_1889775

Specimen UC Davis_1889776: postnatal adult; Pi4katm1b(EUCOMM)Wtsi/Pi4ka+ (more )
Structure Level Pattern Image Note
TS28: stomach Present UC Davis_1889776

Specimen UC Davis_1889777: postnatal adult; Pi4katm1b(EUCOMM)Wtsi/Pi4ka+ (more )
Structure Level Pattern Image Note
TS28: ileum Present UC Davis_1889777

Specimen UC Davis_1889778: postnatal adult; Pi4katm1b(EUCOMM)Wtsi/Pi4ka+ (more )
Structure Level Pattern Image Note
TS28: colon Present UC Davis_1889778

Specimen UC Davis_1889779: postnatal adult; Pi4katm1b(EUCOMM)Wtsi/Pi4ka+ (more )
Structure Level Pattern Image Note
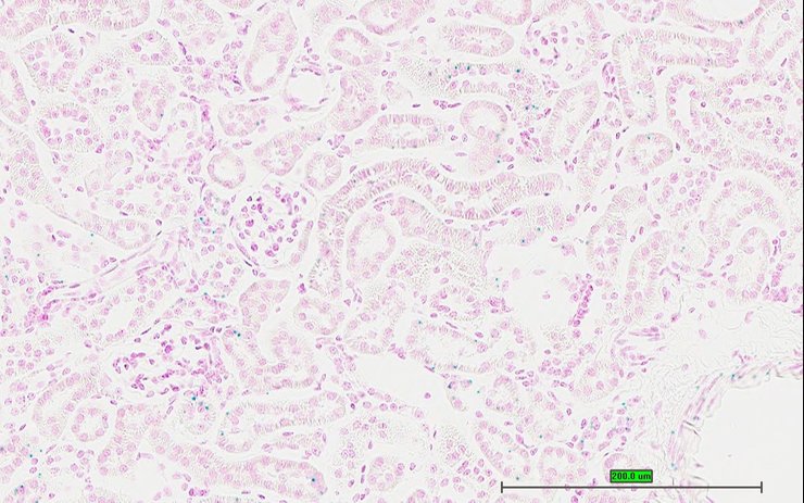
TS28: metanephros Present UC Davis_1889779 kidney

Specimen UC Davis_1889780: postnatal adult; Pi4katm1b(EUCOMM)Wtsi/Pi4ka+ (more )
Structure Level Pattern Image Note
TS28: metanephros Present UC Davis_1889780 kidney

Specimen UC Davis_1889781: postnatal adult; Pi4katm1b(EUCOMM)Wtsi/Pi4ka+ (more )
Structure Level Pattern Image Note
TS28: adrenal gland Present UC Davis_1889781

Specimen UC Davis_1889782: postnatal adult; Pi4katm1b(EUCOMM)Wtsi/Pi4ka+ (more )
Structure Level Pattern Image Note
TS28: adrenal gland Present UC Davis_1889782

Specimen UC Davis_1889783: postnatal adult; Pi4katm1b(EUCOMM)Wtsi/Pi4ka+ (more )
Structure Level Pattern Image Note
TS28: spinal cord Present UC Davis_1889783

Specimen UC Davis_1889784: postnatal adult; Pi4katm1b(EUCOMM)Wtsi/Pi4ka+ (more )
Structure Level Pattern Image Note
TS28: spinal cord Present UC Davis_1889784

Specimen UC Davis_1889785: postnatal adult; Pi4katm1b(EUCOMM)Wtsi/Pi4ka+ (more )
Structure Level Pattern Image Note
TS28: Harderian gland Present UC Davis_1889785

Specimen UC Davis_1889786: postnatal adult; Pi4katm1b(EUCOMM)Wtsi/Pi4ka+ (more )
Structure Level Pattern Image Note
TS28: skin Present UC Davis_1889786

Specimen UC Davis_1889787: postnatal adult; Pi4katm1b(EUCOMM)Wtsi/Pi4ka+ (more )
Structure Level Pattern Image Note
TS28: skin Present UC Davis_1889787

Specimen UC Davis_1889791: postnatal adult; Pi4katm1b(EUCOMM)Wtsi/Pi4ka+ (more )
Structure Level Pattern Image Note
TS28: midbrain Present UC Davis_1889791

Specimen UC Davis_1889793: postnatal adult; Pi4katm1b(EUCOMM)Wtsi/Pi4ka+ (more )
Structure Level Pattern Image Note
TS28: cerebellum Present UC Davis_1889793

Specimen UC Davis_1889794: postnatal adult; Pi4katm1b(EUCOMM)Wtsi/Pi4ka+ (more )
Structure Level Pattern Image Note
TS28: cerebellum Present UC Davis_1889794

Specimen UC Davis_1889795: postnatal adult; Pi4katm1b(EUCOMM)Wtsi/Pi4ka+ (more )
Structure Level Pattern Image Note
TS28: bladder Present UC Davis_1889795

Specimen UC Davis_1889743: postnatal adult; Pi4katm1b(EUCOMM)Wtsi/Pi4ka+ (more )
Structure Level Pattern Image Note
TS28: colon Present UC Davis_1889743

Specimen UC Davis_1889744: postnatal adult; Pi4katm1b(EUCOMM)Wtsi/Pi4ka+ (more )
Structure Level Pattern Image Note
TS28: colon Present UC Davis_1889744

Specimen UC Davis_1889745: postnatal adult; Pi4katm1b(EUCOMM)Wtsi/Pi4ka+ (more )
Structure Level Pattern Image Note
TS28: metanephros Present UC Davis_1889745 kidney

Specimen UC Davis_1889746: postnatal adult; Pi4katm1b(EUCOMM)Wtsi/Pi4ka+ (more )
Structure Level Pattern Image Note
TS28: metanephros Present UC Davis_1889746 kidney

Specimen UC Davis_1889747: postnatal adult; Pi4katm1b(EUCOMM)Wtsi/Pi4ka+ (more )
Structure Level Pattern Image Note
TS28: metanephros Present UC Davis_1889747 kidney

Specimen UC Davis_1889748: postnatal adult; Pi4katm1b(EUCOMM)Wtsi/Pi4ka+ (more )
Structure Level Pattern Image Note
TS28: adrenal gland Present UC Davis_1889748

Specimen UC Davis_1889749: postnatal adult; Pi4katm1b(EUCOMM)Wtsi/Pi4ka+ (more )
Structure Level Pattern Image Note
TS28: spinal cord Present UC Davis_1889749

Specimen UC Davis_1889750: postnatal adult; Pi4katm1b(EUCOMM)Wtsi/Pi4ka+ (more )
Structure Level Pattern Image Note
TS28: spinal cord Present UC Davis_1889750

Specimen UC Davis_1889751: postnatal adult; Pi4katm1b(EUCOMM)Wtsi/Pi4ka+ (more )
Structure Level Pattern Image Note
TS28: spinal cord Present UC Davis_1889751

Specimen UC Davis_1889752: postnatal adult; Pi4katm1b(EUCOMM)Wtsi/Pi4ka+ (more )
Structure Level Pattern Image Note
TS28: Harderian gland Present UC Davis_1889752

Specimen UC Davis_1889753: postnatal adult; Pi4katm1b(EUCOMM)Wtsi/Pi4ka+ (more )
Structure Level Pattern Image Note
TS28: olfactory lobe Present UC Davis_1889753

Specimen UC Davis_1889757: postnatal adult; Pi4katm1b(EUCOMM)Wtsi/Pi4ka+ (more )
Structure Level Pattern Image Note
TS28: midbrain Present UC Davis_1889757

Specimen UC Davis_1889759: postnatal adult; Pi4katm1b(EUCOMM)Wtsi/Pi4ka+ (more )
Structure Level Pattern Image Note
TS28: cerebellum Present UC Davis_1889759

Specimen UC Davis_1889760: postnatal adult; Pi4katm1b(EUCOMM)Wtsi/Pi4ka+ (more )
Structure Level Pattern Image Note
TS28: trigeminal nerve Present UC Davis_1889760

Specimen UC Davis_1889761: postnatal adult; Pi4katm1b(EUCOMM)Wtsi/Pi4ka+ (more )
Structure Level Pattern Image Note
TS28: trigeminal nerve Present UC Davis_1889761

Specimen UC Davis_1889762: postnatal adult; Pi4katm1b(EUCOMM)Wtsi/Pi4ka+ (more )
Structure Level Pattern Image Note
TS28: bladder Present UC Davis_1889762

Specimen UC Davis_1889763: postnatal adult; Pi4katm1b(EUCOMM)Wtsi/Pi4ka+ (more )
Structure Level Pattern Image Note
TS28: bladder Present UC Davis_1889763

Specimen UC Davis_1889764: postnatal adult; Pi4katm1b(EUCOMM)Wtsi/Pi4ka+ (more )
Structure Level Pattern Image Note
TS28: testis Present UC Davis_1889764

Specimen UC Davis_1889765: postnatal adult; Pi4katm1b(EUCOMM)Wtsi/Pi4ka+ (more )
Structure Level Pattern Image Note
TS28: epididymis Present UC Davis_1889765

Specimen UC Davis_1889766: postnatal adult; Pi4katm1b(EUCOMM)Wtsi/Pi4ka+ (more )
Structure Level Pattern Image Note
TS28: penis Present UC Davis_1889766

Specimen UC Davis_1889767: postnatal adult; Pi4katm1b(EUCOMM)Wtsi/Pi4ka+ (more )
Structure Level Pattern Image Note
TS28: penis Present UC Davis_1889767


Contributing Projects:
Mouse Genome Database (MGD), Gene Expression Database (GXD), Mouse Models of Human Cancer database (MMHCdb) (formerly Mouse Tumor Biology (MTB)), Gene Ontology (GO)
Citing These Resources
Funding Information
Warranty Disclaimer, Privacy Notice, Licensing, & Copyright
Send questions and comments to User Support.
last database update
09/30/2025
MGI 6.24
The Jackson Laboratory