About   Help   FAQ
Gene Expression Data
Assay Details
Assay
Reference: J:228563 Koscielny G, et al., The International Mouse Phenotyping Consortium Web Portal, a unified point of access for knockout mice and related phenotyping data. Nucleic Acids Res. 2014 Jan;42(Database issue):D802-9
Assay type: In situ reporter (knock in)
MGI Accession ID: MGI:6692729
Gene symbol: Cpt1c
Gene name: carnitine palmitoyltransferase 1c
Reporter: lacZ
Direct Detection
Results
Specimen UC Davis_1882463: postnatal adult; Cpt1ctm1b(EUCOMM)Wtsi/Cpt1c+ (more )
Structure Level Pattern Image Note
TS28: adrenal gland Present UC Davis_1882463

Specimen UC Davis_1882464: postnatal adult; Cpt1ctm1b(EUCOMM)Wtsi/Cpt1c+ (more )
Structure Level Pattern Image Note
TS28: adrenal gland Present UC Davis_1882464

Specimen UC Davis_1882465: postnatal adult; Cpt1ctm1b(EUCOMM)Wtsi/Cpt1c+ (more )
Structure Level Pattern Image Note
TS28: adrenal gland Present UC Davis_1882465

Specimen UC Davis_1882466: postnatal adult; Cpt1ctm1b(EUCOMM)Wtsi/Cpt1c+ (more )
Structure Level Pattern Image Note
TS28: pituitary gland Present UC Davis_1882466

Specimen UC Davis_1882467: postnatal adult; Cpt1ctm1b(EUCOMM)Wtsi/Cpt1c+ (more )
Structure Level Pattern Image Note
TS28: spinal cord Present UC Davis_1882467

Specimen UC Davis_1882468: postnatal adult; Cpt1ctm1b(EUCOMM)Wtsi/Cpt1c+ (more )
Structure Level Pattern Image Note
TS28: spinal cord Present UC Davis_1882468

Specimen UC Davis_1882469: postnatal adult; Cpt1ctm1b(EUCOMM)Wtsi/Cpt1c+ (more )
Structure Level Pattern Image Note
TS28: eye Present UC Davis_1882469

Specimen UC Davis_1882470: postnatal adult; Cpt1ctm1b(EUCOMM)Wtsi/Cpt1c+ (more )
Structure Level Pattern Image Note
TS28: olfactory lobe Present UC Davis_1882470

Specimen UC Davis_1882473: postnatal adult; Cpt1ctm1b(EUCOMM)Wtsi/Cpt1c+ (more )
Structure Level Pattern Image Note
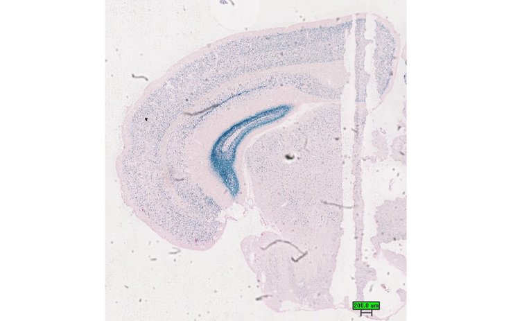
TS28: midbrain Present UC Davis_1882473

Specimen UC Davis_1882475: postnatal adult; Cpt1ctm1b(EUCOMM)Wtsi/Cpt1c+ (more )
Structure Level Pattern Image Note
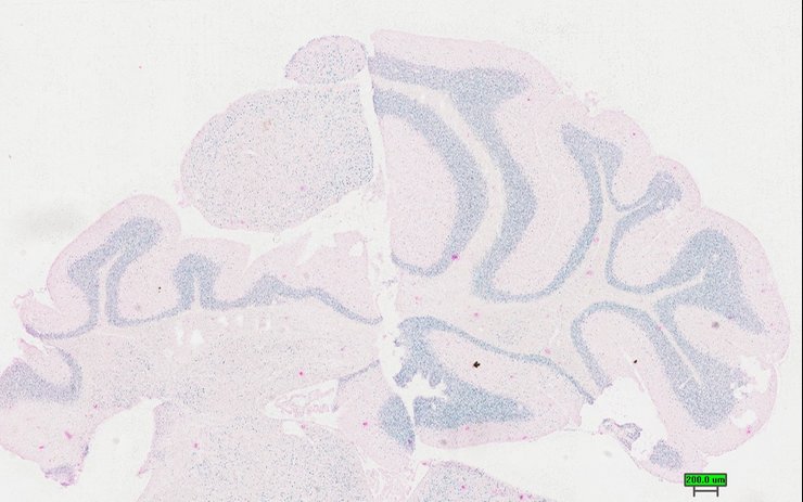
TS28: cerebellum Present UC Davis_1882475

Specimen UC Davis_1882476: postnatal adult; Cpt1ctm1b(EUCOMM)Wtsi/Cpt1c+ (more )
Structure Level Pattern Image Note
TS28: trigeminal nerve Present UC Davis_1882476

Specimen UC Davis_1882477: postnatal adult; Cpt1ctm1b(EUCOMM)Wtsi/Cpt1c+ (more )
Structure Level Pattern Image Note
TS28: trigeminal nerve Present UC Davis_1882477

Specimen UC Davis_1882478: postnatal adult; Cpt1ctm1b(EUCOMM)Wtsi/Cpt1c+ (more )
Structure Level Pattern Image Note
TS28: trachea Present UC Davis_1882478

Specimen UC Davis_1882480: postnatal adult; Cpt1ctm1b(EUCOMM)Wtsi/Cpt1c+ (more )
Structure Level Pattern Image Note
TS28: stomach Present UC Davis_1882480

Specimen UC Davis_1882481: postnatal adult; Cpt1ctm1b(EUCOMM)Wtsi/Cpt1c+ (more )
Structure Level Pattern Image Note
TS28: stomach Present UC Davis_1882481

Specimen UC Davis_1882482: postnatal adult; Cpt1ctm1b(EUCOMM)Wtsi/Cpt1c+ (more )
Structure Level Pattern Image Note
TS28: ileum Present UC Davis_1882482

Specimen UC Davis_1882483: postnatal adult; Cpt1ctm1b(EUCOMM)Wtsi/Cpt1c+ (more )
Structure Level Pattern Image Note
TS28: colon Present UC Davis_1882483

Specimen UC Davis_1882484: postnatal adult; Cpt1ctm1b(EUCOMM)Wtsi/Cpt1c+ (more )
Structure Level Pattern Image Note
TS28: colon Present UC Davis_1882484

Specimen UC Davis_1882485: postnatal adult; Cpt1ctm1b(EUCOMM)Wtsi/Cpt1c+ (more )
Structure Level Pattern Image Note
TS28: adrenal gland Present UC Davis_1882485

Specimen UC Davis_1882486: postnatal adult; Cpt1ctm1b(EUCOMM)Wtsi/Cpt1c+ (more )
Structure Level Pattern Image Note
TS28: pituitary gland Present UC Davis_1882486

Specimen UC Davis_1882487: postnatal adult; Cpt1ctm1b(EUCOMM)Wtsi/Cpt1c+ (more )
Structure Level Pattern Image Note
TS28: spinal cord Present UC Davis_1882487

Specimen UC Davis_1882488: postnatal adult; Cpt1ctm1b(EUCOMM)Wtsi/Cpt1c+ (more )
Structure Level Pattern Image Note
TS28: spinal cord Present UC Davis_1882488

Specimen UC Davis_1882489: postnatal adult; Cpt1ctm1b(EUCOMM)Wtsi/Cpt1c+ (more )
Structure Level Pattern Image Note
TS28: eye Present UC Davis_1882489

Specimen UC Davis_1882490: postnatal adult; Cpt1ctm1b(EUCOMM)Wtsi/Cpt1c+ (more )
Structure Level Pattern Image Note
TS28: eye Present UC Davis_1882490

Specimen UC Davis_1882491: postnatal adult; Cpt1ctm1b(EUCOMM)Wtsi/Cpt1c+ (more )
Structure Level Pattern Image Note
TS28: olfactory lobe Present UC Davis_1882491

Specimen UC Davis_1882495: postnatal adult; Cpt1ctm1b(EUCOMM)Wtsi/Cpt1c+ (more )
Structure Level Pattern Image Note
TS28: midbrain Present UC Davis_1882495

Specimen UC Davis_1882497: postnatal adult; Cpt1ctm1b(EUCOMM)Wtsi/Cpt1c+ (more )
Structure Level Pattern Image Note
TS28: cerebellum Present UC Davis_1882497

Specimen UC Davis_1882498: postnatal adult; Cpt1ctm1b(EUCOMM)Wtsi/Cpt1c+ (more )
Structure Level Pattern Image Note
TS28: trigeminal nerve Present UC Davis_1882498

Specimen UC Davis_1882499: postnatal adult; Cpt1ctm1b(EUCOMM)Wtsi/Cpt1c+ (more )
Structure Level Pattern Image Note
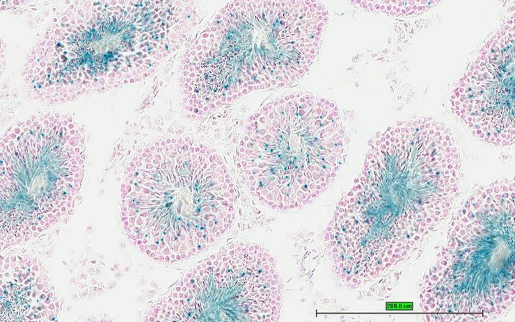
TS28: testis Present UC Davis_1882499

Specimen UC Davis_1882500: postnatal adult; Cpt1ctm1b(EUCOMM)Wtsi/Cpt1c+ (more )
Structure Level Pattern Image Note
TS28: testis Present UC Davis_1882500

Specimen UC Davis_1882501: postnatal adult; Cpt1ctm1b(EUCOMM)Wtsi/Cpt1c+ (more )
Structure Level Pattern Image Note
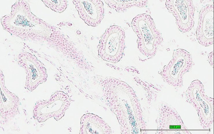
TS28: epididymis Present UC Davis_1882501

Specimen UC Davis_1882502: postnatal adult; Cpt1ctm1b(EUCOMM)Wtsi/Cpt1c+ (more )
Structure Level Pattern Image Note
TS28: epididymis Present UC Davis_1882502

Specimen UC Davis_1882503: postnatal adult; Cpt1ctm1b(EUCOMM)Wtsi/Cpt1c+ (more )
Structure Level Pattern Image Note
TS28: penis Present UC Davis_1882503

Specimen UC Davis_1882504: postnatal adult; Cpt1ctm1b(EUCOMM)Wtsi/Cpt1c+ (more )
Structure Level Pattern Image Note
TS28: penis Present UC Davis_1882504

Specimen UC Davis_1882505: postnatal adult; Cpt1ctm1b(EUCOMM)Wtsi/Cpt1c+ (more )
Structure Level Pattern Image Note
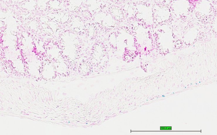
TS28: ductus deferens Present UC Davis_1882505 vas deferens

Specimen UC Davis_1882507: postnatal adult; Cpt1ctm1b(EUCOMM)Wtsi/Cpt1c+ (more )
Structure Level Pattern Image Note
TS28: seminal vesicle Present UC Davis_1882507 vesicular gland


Contributing Projects:
Mouse Genome Database (MGD), Gene Expression Database (GXD), Mouse Models of Human Cancer database (MMHCdb) (formerly Mouse Tumor Biology (MTB)), Gene Ontology (GO)
Citing These Resources
Funding Information
Warranty Disclaimer, Privacy Notice, Licensing, & Copyright
Send questions and comments to User Support.
last database update
01/28/2026
MGI 6.24
The Jackson Laboratory