About   Help   FAQ
Gene Expression Data
Assay Details
Assay
Reference: J:228563 Koscielny G, et al., The International Mouse Phenotyping Consortium Web Portal, a unified point of access for knockout mice and related phenotyping data. Nucleic Acids Res. 2014 Jan;42(Database issue):D802-9
Assay type: In situ reporter (knock in)
MGI Accession ID: MGI:6692707
Gene symbol: Ncoa7
Gene name: nuclear receptor coactivator 7
Reporter: lacZ
Direct Detection
Results
Specimen UC Davis_1871297: postnatal adult; Ncoa7tm1.1(KOMP)Vlcg/Ncoa7+ (more )
Structure Level Pattern Image Note
TS28: trachea Present UC Davis_1871297

Specimen UC Davis_1871298: postnatal adult; Ncoa7tm1.1(KOMP)Vlcg/Ncoa7+ (more )
Structure Level Pattern Image Note
TS28: trachea Present UC Davis_1871298

Specimen UC Davis_1871299: postnatal adult; Ncoa7tm1.1(KOMP)Vlcg/Ncoa7+ (more )
Structure Level Pattern Image Note
TS28: thyroid gland Present UC Davis_1871299

Specimen UC Davis_1871300: postnatal adult; Ncoa7tm1.1(KOMP)Vlcg/Ncoa7+ (more )
Structure Level Pattern Image Note
TS28: parathyroid gland Present UC Davis_1871300

Specimen UC Davis_1871301: postnatal adult; Ncoa7tm1.1(KOMP)Vlcg/Ncoa7+ (more )
Structure Level Pattern Image Note
TS28: aorta Present UC Davis_1871301

Specimen UC Davis_1871302: postnatal adult; Ncoa7tm1.1(KOMP)Vlcg/Ncoa7+ (more )
Structure Level Pattern Image Note
TS28: thymus Present UC Davis_1871302

Specimen UC Davis_1871303: postnatal adult; Ncoa7tm1.1(KOMP)Vlcg/Ncoa7+ (more )
Structure Level Pattern Image Note
TS28: stomach Present UC Davis_1871303

Specimen UC Davis_1871304: postnatal adult; Ncoa7tm1.1(KOMP)Vlcg/Ncoa7+ (more )
Structure Level Pattern Image Note
TS28: stomach Present UC Davis_1871304

Specimen UC Davis_1871305: postnatal adult; Ncoa7tm1.1(KOMP)Vlcg/Ncoa7+ (more )
Structure Level Pattern Image Note
TS28: colon Present UC Davis_1871305

Specimen UC Davis_1871306: postnatal adult; Ncoa7tm1.1(KOMP)Vlcg/Ncoa7+ (more )
Structure Level Pattern Image Note
TS28: colon Present UC Davis_1871306

Specimen UC Davis_1871307: postnatal adult; Ncoa7tm1.1(KOMP)Vlcg/Ncoa7+ (more )
Structure Level Pattern Image Note
TS28: metanephros Present UC Davis_1871307 kidney

Specimen UC Davis_1871308: postnatal adult; Ncoa7tm1.1(KOMP)Vlcg/Ncoa7+ (more )
Structure Level Pattern Image Note
TS28: metanephros Present UC Davis_1871308 kidney

Specimen UC Davis_1871309: postnatal adult; Ncoa7tm1.1(KOMP)Vlcg/Ncoa7+ (more )
Structure Level Pattern Image Note
TS28: metanephros Present UC Davis_1871309 kidney

Specimen UC Davis_1871310: postnatal adult; Ncoa7tm1.1(KOMP)Vlcg/Ncoa7+ (more )
Structure Level Pattern Image Note
TS28: metanephros Present UC Davis_1871310 kidney

Specimen UC Davis_1871311: postnatal adult; Ncoa7tm1.1(KOMP)Vlcg/Ncoa7+ (more )
Structure Level Pattern Image Note
TS28: adrenal gland Present UC Davis_1871311

Specimen UC Davis_1871312: postnatal adult; Ncoa7tm1.1(KOMP)Vlcg/Ncoa7+ (more )
Structure Level Pattern Image Note
TS28: adrenal gland Present UC Davis_1871312

Specimen UC Davis_1871313: postnatal adult; Ncoa7tm1.1(KOMP)Vlcg/Ncoa7+ (more )
Structure Level Pattern Image Note
TS28: pituitary gland Present UC Davis_1871313

Specimen UC Davis_1871314: postnatal adult; Ncoa7tm1.1(KOMP)Vlcg/Ncoa7+ (more )
Structure Level Pattern Image Note
TS28: spinal cord Present UC Davis_1871314

Specimen UC Davis_1871315: postnatal adult; Ncoa7tm1.1(KOMP)Vlcg/Ncoa7+ (more )
Structure Level Pattern Image Note
TS28: gonadal fat pad Present UC Davis_1871315

Specimen UC Davis_1871316: postnatal adult; Ncoa7tm1.1(KOMP)Vlcg/Ncoa7+ (more )
Structure Level Pattern Image Note
TS28: gonadal fat pad Present UC Davis_1871316

Specimen UC Davis_1871317: postnatal adult; Ncoa7tm1.1(KOMP)Vlcg/Ncoa7+ (more )
Structure Level Pattern Image Note
TS28: olfactory lobe Present UC Davis_1871317

Specimen UC Davis_1871319: postnatal adult; Ncoa7tm1.1(KOMP)Vlcg/Ncoa7+ (more )
Structure Level Pattern Image Note
TS28: midbrain Present UC Davis_1871319

Specimen UC Davis_1871321: postnatal adult; Ncoa7tm1.1(KOMP)Vlcg/Ncoa7+ (more )
Structure Level Pattern Image Note
TS28: cerebellum Present UC Davis_1871321

Specimen UC Davis_1871322: postnatal adult; Ncoa7tm1.1(KOMP)Vlcg/Ncoa7+ (more )
Structure Level Pattern Image Note
TS28: trigeminal nerve Present UC Davis_1871322

Specimen UC Davis_1871323: postnatal adult; Ncoa7tm1.1(KOMP)Vlcg/Ncoa7+ (more )
Structure Level Pattern Image Note
TS28: uterus Present UC Davis_1871323

Specimen UC Davis_1871324: postnatal adult; Ncoa7tm1.1(KOMP)Vlcg/Ncoa7+ (more )
Structure Level Pattern Image Note
TS28: vagina Present UC Davis_1871324

Specimen UC Davis_1871325: postnatal adult; Ncoa7tm1.1(KOMP)Vlcg/Ncoa7+ (more )
Structure Level Pattern Image Note
TS28: bladder Present UC Davis_1871325

Specimen UC Davis_1871326: postnatal adult; Ncoa7tm1.1(KOMP)Vlcg/Ncoa7+ (more )
Structure Level Pattern Image Note
TS28: bladder Present UC Davis_1871326

Specimen UC Davis_1871328: postnatal adult; Ncoa7tm1.1(KOMP)Vlcg/Ncoa7+ (more )
Structure Level Pattern Image Note
TS28: trachea Present UC Davis_1871328

Specimen UC Davis_1871330: postnatal adult; Ncoa7tm1.1(KOMP)Vlcg/Ncoa7+ (more )
Structure Level Pattern Image Note
TS28: aorta Present UC Davis_1871330

Specimen UC Davis_1871331: postnatal adult; Ncoa7tm1.1(KOMP)Vlcg/Ncoa7+ (more )
Structure Level Pattern Image Note
TS28: aorta Present UC Davis_1871331

Specimen UC Davis_1871332: postnatal adult; Ncoa7tm1.1(KOMP)Vlcg/Ncoa7+ (more )
Structure Level Pattern Image Note
TS28: stomach Present UC Davis_1871332

Specimen UC Davis_1871333: postnatal adult; Ncoa7tm1.1(KOMP)Vlcg/Ncoa7+ (more )
Structure Level Pattern Image Note
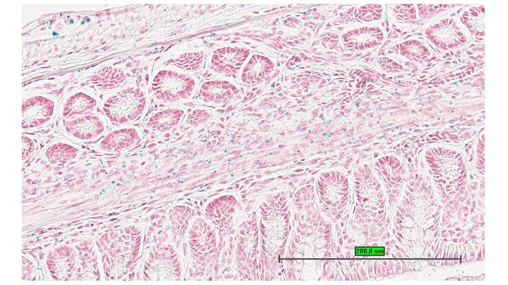
TS28: ileum Present UC Davis_1871333

Specimen UC Davis_1871334: postnatal adult; Ncoa7tm1.1(KOMP)Vlcg/Ncoa7+ (more )
Structure Level Pattern Image Note
TS28: colon Present UC Davis_1871334

Specimen UC Davis_1871335: postnatal adult; Ncoa7tm1.1(KOMP)Vlcg/Ncoa7+ (more )
Structure Level Pattern Image Note
TS28: metanephros Present UC Davis_1871335 kidney

Specimen UC Davis_1871336: postnatal adult; Ncoa7tm1.1(KOMP)Vlcg/Ncoa7+ (more )
Structure Level Pattern Image Note
TS28: metanephros Present UC Davis_1871336 kidney

Specimen UC Davis_1871337: postnatal adult; Ncoa7tm1.1(KOMP)Vlcg/Ncoa7+ (more )
Structure Level Pattern Image Note
TS28: metanephros Present UC Davis_1871337 kidney

Specimen UC Davis_1871338: postnatal adult; Ncoa7tm1.1(KOMP)Vlcg/Ncoa7+ (more )
Structure Level Pattern Image Note
TS28: metanephros Present UC Davis_1871338 kidney

Specimen UC Davis_1871339: postnatal adult; Ncoa7tm1.1(KOMP)Vlcg/Ncoa7+ (more )
Structure Level Pattern Image Note
TS28: pituitary gland Present UC Davis_1871339

Specimen UC Davis_1871340: postnatal adult; Ncoa7tm1.1(KOMP)Vlcg/Ncoa7+ (more )
Structure Level Pattern Image Note
TS28: pituitary gland Present UC Davis_1871340

Specimen UC Davis_1871341: postnatal adult; Ncoa7tm1.1(KOMP)Vlcg/Ncoa7+ (more )
Structure Level Pattern Image Note
TS28: spinal cord Present UC Davis_1871341

Specimen UC Davis_1871342: postnatal adult; Ncoa7tm1.1(KOMP)Vlcg/Ncoa7+ (more )
Structure Level Pattern Image Note
TS28: spinal cord Present UC Davis_1871342

Specimen UC Davis_1871343: postnatal adult; Ncoa7tm1.1(KOMP)Vlcg/Ncoa7+ (more )
Structure Level Pattern Image Note
TS28: eye Present UC Davis_1871343

Specimen UC Davis_1871344: postnatal adult; Ncoa7tm1.1(KOMP)Vlcg/Ncoa7+ (more )
Structure Level Pattern Image Note
TS28: mesenteric adipose tissue Present UC Davis_1871344

Specimen UC Davis_1871345: postnatal adult; Ncoa7tm1.1(KOMP)Vlcg/Ncoa7+ (more )
Structure Level Pattern Image Note
TS28: skin Present UC Davis_1871345

Specimen UC Davis_1871346: postnatal adult; Ncoa7tm1.1(KOMP)Vlcg/Ncoa7+ (more )
Structure Level Pattern Image Note
TS28: skin Present UC Davis_1871346

Specimen UC Davis_1871347: postnatal adult; Ncoa7tm1.1(KOMP)Vlcg/Ncoa7+ (more )
Structure Level Pattern Image Note
TS28: olfactory lobe Present UC Davis_1871347

Specimen UC Davis_1871350: postnatal adult; Ncoa7tm1.1(KOMP)Vlcg/Ncoa7+ (more )
Structure Level Pattern Image Note
TS28: midbrain Present UC Davis_1871350

Specimen UC Davis_1871352: postnatal adult; Ncoa7tm1.1(KOMP)Vlcg/Ncoa7+ (more )
Structure Level Pattern Image Note
TS28: cerebellum Present UC Davis_1871352

Specimen UC Davis_1871353: postnatal adult; Ncoa7tm1.1(KOMP)Vlcg/Ncoa7+ (more )
Structure Level Pattern Image Note
TS28: trigeminal nerve Present UC Davis_1871353

Specimen UC Davis_1871354: postnatal adult; Ncoa7tm1.1(KOMP)Vlcg/Ncoa7+ (more )
Structure Level Pattern Image Note
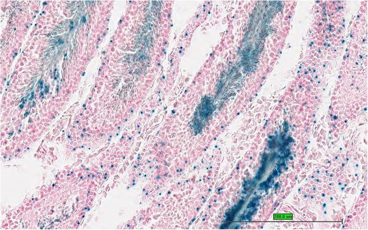
TS28: testis Present UC Davis_1871354

Specimen UC Davis_1871355: postnatal adult; Ncoa7tm1.1(KOMP)Vlcg/Ncoa7+ (more )
Structure Level Pattern Image Note
TS28: testis Present UC Davis_1871355

Specimen UC Davis_1871356: postnatal adult; Ncoa7tm1.1(KOMP)Vlcg/Ncoa7+ (more )
Structure Level Pattern Image Note
TS28: epididymis Present UC Davis_1871356

Specimen UC Davis_1871357: postnatal adult; Ncoa7tm1.1(KOMP)Vlcg/Ncoa7+ (more )
Structure Level Pattern Image Note
TS28: epididymis Present UC Davis_1871357

Specimen UC Davis_1871358: postnatal adult; Ncoa7tm1.1(KOMP)Vlcg/Ncoa7+ (more )
Structure Level Pattern Image Note
TS28: epididymis Present UC Davis_1871358

Specimen UC Davis_1871359: postnatal adult; Ncoa7tm1.1(KOMP)Vlcg/Ncoa7+ (more )
Structure Level Pattern Image Note
TS28: prostate gland Present UC Davis_1871359

Specimen UC Davis_1871360: postnatal adult; Ncoa7tm1.1(KOMP)Vlcg/Ncoa7+ (more )
Structure Level Pattern Image Note
TS28: penis Present UC Davis_1871360

Specimen UC Davis_1871361: postnatal adult; Ncoa7tm1.1(KOMP)Vlcg/Ncoa7+ (more )
Structure Level Pattern Image Note
TS28: penis Present UC Davis_1871361

Specimen UC Davis_1871362: postnatal adult; Ncoa7tm1.1(KOMP)Vlcg/Ncoa7+ (more )
Structure Level Pattern Image Note
TS28: ductus deferens Present UC Davis_1871362 vas deferens


Contributing Projects:
Mouse Genome Database (MGD), Gene Expression Database (GXD), Mouse Models of Human Cancer database (MMHCdb) (formerly Mouse Tumor Biology (MTB)), Gene Ontology (GO)
Citing These Resources
Funding Information
Warranty Disclaimer, Privacy Notice, Licensing, & Copyright
Send questions and comments to User Support.
last database update
12/30/2025
MGI 6.24
The Jackson Laboratory