About   Help   FAQ
Gene Expression Data
Assay Details
Assay
Reference: J:228563 Koscielny G, et al., The International Mouse Phenotyping Consortium Web Portal, a unified point of access for knockout mice and related phenotyping data. Nucleic Acids Res. 2014 Jan;42(Database issue):D802-9
Assay type: In situ reporter (knock in)
MGI Accession ID: MGI:6692705
Gene symbol: Slc41a1
Gene name: solute carrier family 41, member 1
Reporter: lacZ
Direct Detection
Results
Specimen UC Davis_1883776: postnatal adult; Slc41a1tm1.1(KOMP)Vlcg/Slc41a1+ (more )
Structure Level Pattern Image Note
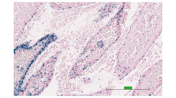
TS28: submandibular gland Present UC Davis_1883776

Specimen UC Davis_1883777: postnatal adult; Slc41a1tm1.1(KOMP)Vlcg/Slc41a1+ (more )
Structure Level Pattern Image Note
TS28: submandibular gland Present UC Davis_1883777

Specimen UC Davis_1883778: postnatal adult; Slc41a1tm1.1(KOMP)Vlcg/Slc41a1+ (more )
Structure Level Pattern Image Note
TS28: sublingual gland Present UC Davis_1883778

Specimen UC Davis_1883779: postnatal adult; Slc41a1tm1.1(KOMP)Vlcg/Slc41a1+ (more )
Structure Level Pattern Image Note
TS28: parotid gland Present UC Davis_1883779

Specimen UC Davis_1883780: postnatal adult; Slc41a1tm1.1(KOMP)Vlcg/Slc41a1+ (more )
Structure Level Pattern Image Note
TS28: trachea Present UC Davis_1883780

Specimen UC Davis_1883781: postnatal adult; Slc41a1tm1.1(KOMP)Vlcg/Slc41a1+ (more )
Structure Level Pattern Image Note
TS28: esophagus Present UC Davis_1883781

Specimen UC Davis_1883782: postnatal adult; Slc41a1tm1.1(KOMP)Vlcg/Slc41a1+ (more )
Structure Level Pattern Image Note
TS28: thyroid gland Present UC Davis_1883782

Specimen UC Davis_1883783: postnatal adult; Slc41a1tm1.1(KOMP)Vlcg/Slc41a1+ (more )
Structure Level Pattern Image Note
TS28: lung Present UC Davis_1883783

Specimen UC Davis_1883784: postnatal adult; Slc41a1tm1.1(KOMP)Vlcg/Slc41a1+ (more )
Structure Level Pattern Image Note
TS28: stomach Present UC Davis_1883784

Specimen UC Davis_1883785: postnatal adult; Slc41a1tm1.1(KOMP)Vlcg/Slc41a1+ (more )
Structure Level Pattern Image Note
TS28: stomach Present UC Davis_1883785

Specimen UC Davis_1883786: postnatal adult; Slc41a1tm1.1(KOMP)Vlcg/Slc41a1+ (more )
Structure Level Pattern Image Note
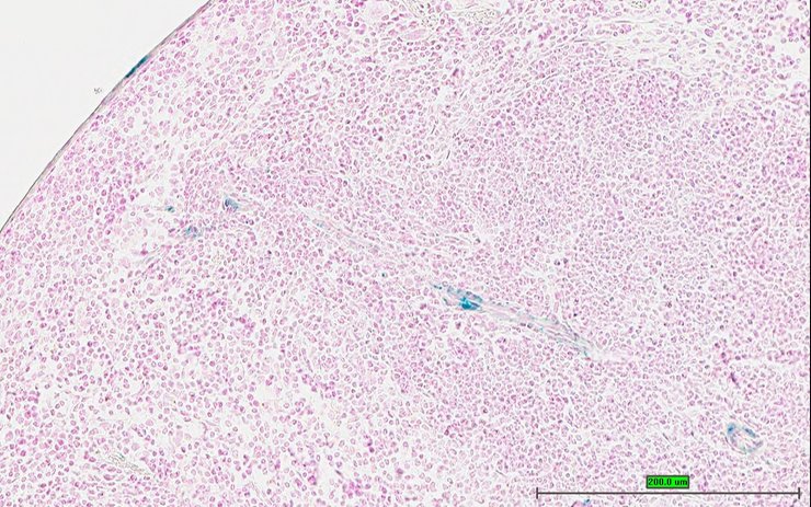
TS28: spleen Present UC Davis_1883786

Specimen UC Davis_1883787: postnatal adult; Slc41a1tm1.1(KOMP)Vlcg/Slc41a1+ (more )
Structure Level Pattern Image Note
TS28: metanephros Present UC Davis_1883787 kidney

Specimen UC Davis_1883788: postnatal adult; Slc41a1tm1.1(KOMP)Vlcg/Slc41a1+ (more )
Structure Level Pattern Image Note
TS28: quadriceps femoris muscle Present UC Davis_1883788

Specimen UC Davis_1883789: postnatal adult; Slc41a1tm1.1(KOMP)Vlcg/Slc41a1+ (more )
Structure Level Pattern Image Note
TS28: tongue Present UC Davis_1883789

Specimen UC Davis_1883790: postnatal adult; Slc41a1tm1.1(KOMP)Vlcg/Slc41a1+ (more )
Structure Level Pattern Image Note
TS28: tongue Present UC Davis_1883790

Specimen UC Davis_1883791: postnatal adult; Slc41a1tm1.1(KOMP)Vlcg/Slc41a1+ (more )
Structure Level Pattern Image Note
TS28: spinal cord Present UC Davis_1883791

Specimen UC Davis_1883792: postnatal adult; Slc41a1tm1.1(KOMP)Vlcg/Slc41a1+ (more )
Structure Level Pattern Image Note
TS28: spinal cord Present UC Davis_1883792

Specimen UC Davis_1883793: postnatal adult; Slc41a1tm1.1(KOMP)Vlcg/Slc41a1+ (more )
Structure Level Pattern Image Note
TS28: eye Present UC Davis_1883793

Specimen UC Davis_1883794: postnatal adult; Slc41a1tm1.1(KOMP)Vlcg/Slc41a1+ (more )
Structure Level Pattern Image Note
TS28: eye Present UC Davis_1883794

Specimen UC Davis_1883795: postnatal adult; Slc41a1tm1.1(KOMP)Vlcg/Slc41a1+ (more )
Structure Level Pattern Image Note
TS28: mesenteric adipose tissue Present UC Davis_1883795

Specimen UC Davis_1883796: postnatal adult; Slc41a1tm1.1(KOMP)Vlcg/Slc41a1+ (more )
Structure Level Pattern Image Note
TS28: skin Present UC Davis_1883796

Specimen UC Davis_1883797: postnatal adult; Slc41a1tm1.1(KOMP)Vlcg/Slc41a1+ (more )
Structure Level Pattern Image Note
TS28: skin Present UC Davis_1883797

Specimen UC Davis_1883798: postnatal adult; Slc41a1tm1.1(KOMP)Vlcg/Slc41a1+ (more )
Structure Level Pattern Image Note
TS28: olfactory lobe Present UC Davis_1883798

Specimen UC Davis_1883802: postnatal adult; Slc41a1tm1.1(KOMP)Vlcg/Slc41a1+ (more )
Structure Level Pattern Image Note
TS28: midbrain Present UC Davis_1883802

Specimen UC Davis_1883804: postnatal adult; Slc41a1tm1.1(KOMP)Vlcg/Slc41a1+ (more )
Structure Level Pattern Image Note
TS28: cerebellum Present UC Davis_1883804

Specimen UC Davis_1883805: postnatal adult; Slc41a1tm1.1(KOMP)Vlcg/Slc41a1+ (more )
Structure Level Pattern Image Note
TS28: trigeminal nerve Present UC Davis_1883805

Specimen UC Davis_1883806: postnatal adult; Slc41a1tm1.1(KOMP)Vlcg/Slc41a1+ (more )
Structure Level Pattern Image Note
TS28: ovary Present UC Davis_1883806

Specimen UC Davis_1883807: postnatal adult; Slc41a1tm1.1(KOMP)Vlcg/Slc41a1+ (more )
Structure Level Pattern Image Note
TS28: oviduct Present UC Davis_1883807

Specimen UC Davis_1883808: postnatal adult; Slc41a1tm1.1(KOMP)Vlcg/Slc41a1+ (more )
Structure Level Pattern Image Note
TS28: uterus Present UC Davis_1883808

Specimen UC Davis_1883809: postnatal adult; Slc41a1tm1.1(KOMP)Vlcg/Slc41a1+ (more )
Structure Level Pattern Image Note
TS28: uterus Present UC Davis_1883809

Specimen UC Davis_1883810: postnatal adult; Slc41a1tm1.1(KOMP)Vlcg/Slc41a1+ (more )
Structure Level Pattern Image Note
TS28: bladder Present UC Davis_1883810

Specimen UC Davis_1883812: postnatal adult; Slc41a1tm1.1(KOMP)Vlcg/Slc41a1+ (more )
Structure Level Pattern Image Note
TS28: submandibular gland Present UC Davis_1883812

Specimen UC Davis_1883813: postnatal adult; Slc41a1tm1.1(KOMP)Vlcg/Slc41a1+ (more )
Structure Level Pattern Image Note
TS28: submandibular gland Present UC Davis_1883813

Specimen UC Davis_1883814: postnatal adult; Slc41a1tm1.1(KOMP)Vlcg/Slc41a1+ (more )
Structure Level Pattern Image Note
TS28: submandibular gland Present UC Davis_1883814

Specimen UC Davis_1883815: postnatal adult; Slc41a1tm1.1(KOMP)Vlcg/Slc41a1+ (more )
Structure Level Pattern Image Note
TS28: sublingual gland Present UC Davis_1883815

Specimen UC Davis_1883816: postnatal adult; Slc41a1tm1.1(KOMP)Vlcg/Slc41a1+ (more )
Structure Level Pattern Image Note
TS28: sublingual gland Present UC Davis_1883816

Specimen UC Davis_1883817: postnatal adult; Slc41a1tm1.1(KOMP)Vlcg/Slc41a1+ (more )
Structure Level Pattern Image Note
TS28: sublingual gland Present UC Davis_1883817

Specimen UC Davis_1883818: postnatal adult; Slc41a1tm1.1(KOMP)Vlcg/Slc41a1+ (more )
Structure Level Pattern Image Note
TS28: parotid gland Present UC Davis_1883818

Specimen UC Davis_1883819: postnatal adult; Slc41a1tm1.1(KOMP)Vlcg/Slc41a1+ (more )
Structure Level Pattern Image Note
TS28: trachea Present UC Davis_1883819

Specimen UC Davis_1883820: postnatal adult; Slc41a1tm1.1(KOMP)Vlcg/Slc41a1+ (more )
Structure Level Pattern Image Note
TS28: trachea Present UC Davis_1883820

Specimen UC Davis_1883821: postnatal adult; Slc41a1tm1.1(KOMP)Vlcg/Slc41a1+ (more )
Structure Level Pattern Image Note
TS28: trachea Present UC Davis_1883821

Specimen UC Davis_1883822: postnatal adult; Slc41a1tm1.1(KOMP)Vlcg/Slc41a1+ (more )
Structure Level Pattern Image Note
TS28: thyroid gland Present UC Davis_1883822

Specimen UC Davis_1883823: postnatal adult; Slc41a1tm1.1(KOMP)Vlcg/Slc41a1+ (more )
Structure Level Pattern Image Note
TS28: thyroid gland Present UC Davis_1883823

Specimen UC Davis_1883824: postnatal adult; Slc41a1tm1.1(KOMP)Vlcg/Slc41a1+ (more )
Structure Level Pattern Image Note
TS28: thyroid gland Present UC Davis_1883824

Specimen UC Davis_1883827: postnatal adult; Slc41a1tm1.1(KOMP)Vlcg/Slc41a1+ (more )
Structure Level Pattern Image Note
TS28: stomach Present UC Davis_1883827

Specimen UC Davis_1883828: postnatal adult; Slc41a1tm1.1(KOMP)Vlcg/Slc41a1+ (more )
Structure Level Pattern Image Note
TS28: ileum Present UC Davis_1883828

Specimen UC Davis_1883829: postnatal adult; Slc41a1tm1.1(KOMP)Vlcg/Slc41a1+ (more )
Structure Level Pattern Image Note
TS28: ileum Present UC Davis_1883829

Specimen UC Davis_1883830: postnatal adult; Slc41a1tm1.1(KOMP)Vlcg/Slc41a1+ (more )
Structure Level Pattern Image Note
TS28: spleen Present UC Davis_1883830

Specimen UC Davis_1883831: postnatal adult; Slc41a1tm1.1(KOMP)Vlcg/Slc41a1+ (more )
Structure Level Pattern Image Note
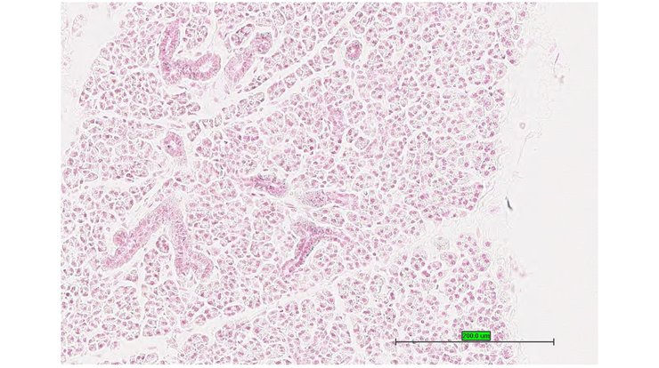
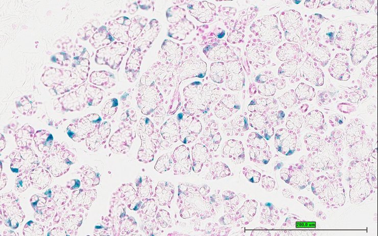
TS28: pancreas Present UC Davis_1883831

Specimen UC Davis_1883832: postnatal adult; Slc41a1tm1.1(KOMP)Vlcg/Slc41a1+ (more )
Structure Level Pattern Image Note
TS28: pancreas Present UC Davis_1883832

Specimen UC Davis_1883833: postnatal adult; Slc41a1tm1.1(KOMP)Vlcg/Slc41a1+ (more )
Structure Level Pattern Image Note
TS28: metanephros Present UC Davis_1883833 kidney

Specimen UC Davis_1883834: postnatal adult; Slc41a1tm1.1(KOMP)Vlcg/Slc41a1+ (more )
Structure Level Pattern Image Note
TS28: metanephros Present UC Davis_1883834 kidney

Specimen UC Davis_1883835: postnatal adult; Slc41a1tm1.1(KOMP)Vlcg/Slc41a1+ (more )
Structure Level Pattern Image Note
TS28: tongue Present UC Davis_1883835

Specimen UC Davis_1883836: postnatal adult; Slc41a1tm1.1(KOMP)Vlcg/Slc41a1+ (more )
Structure Level Pattern Image Note
TS28: tongue Present UC Davis_1883836

Specimen UC Davis_1883837: postnatal adult; Slc41a1tm1.1(KOMP)Vlcg/Slc41a1+ (more )
Structure Level Pattern Image Note
TS28: tongue Present UC Davis_1883837

Specimen UC Davis_1883838: postnatal adult; Slc41a1tm1.1(KOMP)Vlcg/Slc41a1+ (more )
Structure Level Pattern Image Note
TS28: spinal cord Present UC Davis_1883838

Specimen UC Davis_1883839: postnatal adult; Slc41a1tm1.1(KOMP)Vlcg/Slc41a1+ (more )
Structure Level Pattern Image Note
TS28: spinal cord Present UC Davis_1883839

Specimen UC Davis_1883840: postnatal adult; Slc41a1tm1.1(KOMP)Vlcg/Slc41a1+ (more )
Structure Level Pattern Image Note
TS28: eye Present UC Davis_1883840

Specimen UC Davis_1883841: postnatal adult; Slc41a1tm1.1(KOMP)Vlcg/Slc41a1+ (more )
Structure Level Pattern Image Note
TS28: eye Present UC Davis_1883841

Specimen UC Davis_1883842: postnatal adult; Slc41a1tm1.1(KOMP)Vlcg/Slc41a1+ (more )
Structure Level Pattern Image Note
TS28: skin Present UC Davis_1883842

Specimen UC Davis_1883843: postnatal adult; Slc41a1tm1.1(KOMP)Vlcg/Slc41a1+ (more )
Structure Level Pattern Image Note
TS28: skin Present UC Davis_1883843

Specimen UC Davis_1883844: postnatal adult; Slc41a1tm1.1(KOMP)Vlcg/Slc41a1+ (more )
Structure Level Pattern Image Note
TS28: olfactory lobe Present UC Davis_1883844

Specimen UC Davis_1883847: postnatal adult; Slc41a1tm1.1(KOMP)Vlcg/Slc41a1+ (more )
Structure Level Pattern Image Note
TS28: midbrain Present UC Davis_1883847

Specimen UC Davis_1883849: postnatal adult; Slc41a1tm1.1(KOMP)Vlcg/Slc41a1+ (more )
Structure Level Pattern Image Note
TS28: cerebellum Present UC Davis_1883849

Specimen UC Davis_1883850: postnatal adult; Slc41a1tm1.1(KOMP)Vlcg/Slc41a1+ (more )
Structure Level Pattern Image Note
TS28: trigeminal nerve Present UC Davis_1883850

Specimen UC Davis_1883851: postnatal adult; Slc41a1tm1.1(KOMP)Vlcg/Slc41a1+ (more )
Structure Level Pattern Image Note
TS28: testis Present UC Davis_1883851

Specimen UC Davis_1883852: postnatal adult; Slc41a1tm1.1(KOMP)Vlcg/Slc41a1+ (more )
Structure Level Pattern Image Note
TS28: testis Present UC Davis_1883852

Specimen UC Davis_1883853: postnatal adult; Slc41a1tm1.1(KOMP)Vlcg/Slc41a1+ (more )
Structure Level Pattern Image Note
TS28: epididymis Present UC Davis_1883853

Specimen UC Davis_1883854: postnatal adult; Slc41a1tm1.1(KOMP)Vlcg/Slc41a1+ (more )
Structure Level Pattern Image Note
TS28: penis Present UC Davis_1883854

Specimen UC Davis_1883855: postnatal adult; Slc41a1tm1.1(KOMP)Vlcg/Slc41a1+ (more )
Structure Level Pattern Image Note
TS28: penis Present UC Davis_1883855

Specimen UC Davis_1883856: postnatal adult; Slc41a1tm1.1(KOMP)Vlcg/Slc41a1+ (more )
Structure Level Pattern Image Note
TS28: penis Present UC Davis_1883856

Specimen UC Davis_1883857: postnatal adult; Slc41a1tm1.1(KOMP)Vlcg/Slc41a1+ (more )
Structure Level Pattern Image Note
TS28: ductus deferens Present UC Davis_1883857 vas deferens


Contributing Projects:
Mouse Genome Database (MGD), Gene Expression Database (GXD), Mouse Models of Human Cancer database (MMHCdb) (formerly Mouse Tumor Biology (MTB)), Gene Ontology (GO)
Citing These Resources
Funding Information
Warranty Disclaimer, Privacy Notice, Licensing, & Copyright
Send questions and comments to User Support.
last database update
05/05/2026
MGI 6.24
The Jackson Laboratory