About   Help   FAQ
Gene Expression Data
Assay Details
Assay
Reference: J:228563 Koscielny G, et al., The International Mouse Phenotyping Consortium Web Portal, a unified point of access for knockout mice and related phenotyping data. Nucleic Acids Res. 2014 Jan;42(Database issue):D802-9
Assay type: In situ reporter (knock in)
MGI Accession ID: MGI:6692704
Gene symbol: Slc35g1
Gene name: solute carrier family 35, member G1
Reporter: lacZ
Direct Detection
Results
Specimen UC Davis_1883891: postnatal adult; Slc35g1tm1.1(KOMP)Vlcg/Slc35g1+ (more )
Structure Level Pattern Image Note
TS28: trachea Present UC Davis_1883891

Specimen UC Davis_1883892: postnatal adult; Slc35g1tm1.1(KOMP)Vlcg/Slc35g1+ (more )
Structure Level Pattern Image Note
TS28: esophagus Present UC Davis_1883892

Specimen UC Davis_1883893: postnatal adult; Slc35g1tm1.1(KOMP)Vlcg/Slc35g1+ (more )
Structure Level Pattern Image Note
TS28: stomach Present UC Davis_1883893

Specimen UC Davis_1883894: postnatal adult; Slc35g1tm1.1(KOMP)Vlcg/Slc35g1+ (more )
Structure Level Pattern Image Note
TS28: stomach Present UC Davis_1883894

Specimen UC Davis_1883895: postnatal adult; Slc35g1tm1.1(KOMP)Vlcg/Slc35g1+ (more )
Structure Level Pattern Image Note
TS28: duodenum Present UC Davis_1883895

Specimen UC Davis_1883896: postnatal adult; Slc35g1tm1.1(KOMP)Vlcg/Slc35g1+ (more )
Structure Level Pattern Image Note
TS28: ileum Present UC Davis_1883896

Specimen UC Davis_1883897: postnatal adult; Slc35g1tm1.1(KOMP)Vlcg/Slc35g1+ (more )
Structure Level Pattern Image Note
TS28: ileum Present UC Davis_1883897

Specimen UC Davis_1883898: postnatal adult; Slc35g1tm1.1(KOMP)Vlcg/Slc35g1+ (more )
Structure Level Pattern Image Note
TS28: colon Present UC Davis_1883898

Specimen UC Davis_1883899: postnatal adult; Slc35g1tm1.1(KOMP)Vlcg/Slc35g1+ (more )
Structure Level Pattern Image Note
TS28: colon Present UC Davis_1883899

Specimen UC Davis_1883900: postnatal adult; Slc35g1tm1.1(KOMP)Vlcg/Slc35g1+ (more )
Structure Level Pattern Image Note
TS28: cecum Present UC Davis_1883900

Specimen UC Davis_1883901: postnatal adult; Slc35g1tm1.1(KOMP)Vlcg/Slc35g1+ (more )
Structure Level Pattern Image Note
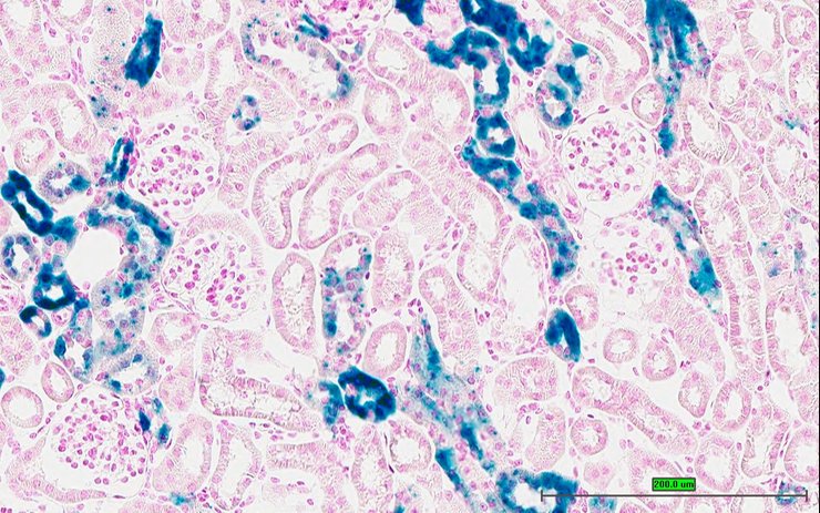
TS28: metanephros Present UC Davis_1883901 kidney

Specimen UC Davis_1883902: postnatal adult; Slc35g1tm1.1(KOMP)Vlcg/Slc35g1+ (more )
Structure Level Pattern Image Note
TS28: metanephros Present UC Davis_1883902 kidney

Specimen UC Davis_1883903: postnatal adult; Slc35g1tm1.1(KOMP)Vlcg/Slc35g1+ (more )
Structure Level Pattern Image Note
TS28: metanephros Present UC Davis_1883903 kidney

Specimen UC Davis_1883904: postnatal adult; Slc35g1tm1.1(KOMP)Vlcg/Slc35g1+ (more )
Structure Level Pattern Image Note
TS28: metanephros Present UC Davis_1883904 kidney

Specimen UC Davis_1883905: postnatal adult; Slc35g1tm1.1(KOMP)Vlcg/Slc35g1+ (more )
Structure Level Pattern Image Note
TS28: tongue Present UC Davis_1883905

Specimen UC Davis_1883906: postnatal adult; Slc35g1tm1.1(KOMP)Vlcg/Slc35g1+ (more )
Structure Level Pattern Image Note
TS28: pituitary gland Present UC Davis_1883906

Specimen UC Davis_1883907: postnatal adult; Slc35g1tm1.1(KOMP)Vlcg/Slc35g1+ (more )
Structure Level Pattern Image Note
TS28: spinal cord Present UC Davis_1883907

Specimen UC Davis_1883908: postnatal adult; Slc35g1tm1.1(KOMP)Vlcg/Slc35g1+ (more )
Structure Level Pattern Image Note
TS28: spinal cord Present UC Davis_1883908

Specimen UC Davis_1883909: postnatal adult; Slc35g1tm1.1(KOMP)Vlcg/Slc35g1+ (more )
Structure Level Pattern Image Note
TS28: Harderian gland Present UC Davis_1883909

Specimen UC Davis_1883912: postnatal adult; Slc35g1tm1.1(KOMP)Vlcg/Slc35g1+ (more )
Structure Level Pattern Image Note
TS28: midbrain Present UC Davis_1883912

Specimen UC Davis_1883913: postnatal adult; Slc35g1tm1.1(KOMP)Vlcg/Slc35g1+ (more )
Structure Level Pattern Image Note
TS28: trigeminal nerve Present UC Davis_1883913

Specimen UC Davis_1883914: postnatal adult; Slc35g1tm1.1(KOMP)Vlcg/Slc35g1+ (more )
Structure Level Pattern Image Note
TS28: trigeminal nerve Present UC Davis_1883914

Specimen UC Davis_1883915: postnatal adult; Slc35g1tm1.1(KOMP)Vlcg/Slc35g1+ (more )
Structure Level Pattern Image Note
TS28: oviduct Present UC Davis_1883915

Specimen UC Davis_1883916: postnatal adult; Slc35g1tm1.1(KOMP)Vlcg/Slc35g1+ (more )
Structure Level Pattern Image Note
TS28: uterus Present UC Davis_1883916

Specimen UC Davis_1883917: postnatal adult; Slc35g1tm1.1(KOMP)Vlcg/Slc35g1+ (more )
Structure Level Pattern Image Note
TS28: uterus Present UC Davis_1883917

Specimen UC Davis_1883918: postnatal adult; Slc35g1tm1.1(KOMP)Vlcg/Slc35g1+ (more )
Structure Level Pattern Image Note
TS28: bladder Present UC Davis_1883918

Specimen UC Davis_1883861: postnatal adult; Slc35g1tm1.1(KOMP)Vlcg/Slc35g1+ (more )
Structure Level Pattern Image Note
TS28: stomach Present UC Davis_1883861

Specimen UC Davis_1883862: postnatal adult; Slc35g1tm1.1(KOMP)Vlcg/Slc35g1+ (more )
Structure Level Pattern Image Note
TS28: stomach Present UC Davis_1883862

Specimen UC Davis_1883863: postnatal adult; Slc35g1tm1.1(KOMP)Vlcg/Slc35g1+ (more )
Structure Level Pattern Image Note
TS28: duodenum Present UC Davis_1883863

Specimen UC Davis_1883864: postnatal adult; Slc35g1tm1.1(KOMP)Vlcg/Slc35g1+ (more )
Structure Level Pattern Image Note
TS28: ileum Present UC Davis_1883864

Specimen UC Davis_1883865: postnatal adult; Slc35g1tm1.1(KOMP)Vlcg/Slc35g1+ (more )
Structure Level Pattern Image Note
TS28: colon Present UC Davis_1883865

Specimen UC Davis_1883866: postnatal adult; Slc35g1tm1.1(KOMP)Vlcg/Slc35g1+ (more )
Structure Level Pattern Image Note
TS28: colon Present UC Davis_1883866

Specimen UC Davis_1883867: postnatal adult; Slc35g1tm1.1(KOMP)Vlcg/Slc35g1+ (more )
Structure Level Pattern Image Note
TS28: colon Present UC Davis_1883867

Specimen UC Davis_1883868: postnatal adult; Slc35g1tm1.1(KOMP)Vlcg/Slc35g1+ (more )
Structure Level Pattern Image Note
TS28: cecum Present UC Davis_1883868

Specimen UC Davis_1883869: postnatal adult; Slc35g1tm1.1(KOMP)Vlcg/Slc35g1+ (more )
Structure Level Pattern Image Note
TS28: cecum Present UC Davis_1883869

Specimen UC Davis_1883870: postnatal adult; Slc35g1tm1.1(KOMP)Vlcg/Slc35g1+ (more )
Structure Level Pattern Image Note
TS28: metanephros Present UC Davis_1883870 kidney

Specimen UC Davis_1883871: postnatal adult; Slc35g1tm1.1(KOMP)Vlcg/Slc35g1+ (more )
Structure Level Pattern Image Note
TS28: metanephros Present UC Davis_1883871 kidney

Specimen UC Davis_1883872: postnatal adult; Slc35g1tm1.1(KOMP)Vlcg/Slc35g1+ (more )
Structure Level Pattern Image Note
TS28: metanephros Present UC Davis_1883872 kidney

Specimen UC Davis_1883873: postnatal adult; Slc35g1tm1.1(KOMP)Vlcg/Slc35g1+ (more )
Structure Level Pattern Image Note
TS28: metanephros Present UC Davis_1883873 kidney

Specimen UC Davis_1883874: postnatal adult; Slc35g1tm1.1(KOMP)Vlcg/Slc35g1+ (more )
Structure Level Pattern Image Note
TS28: pituitary gland Present UC Davis_1883874

Specimen UC Davis_1883875: postnatal adult; Slc35g1tm1.1(KOMP)Vlcg/Slc35g1+ (more )
Structure Level Pattern Image Note
TS28: pituitary gland Present UC Davis_1883875

Specimen UC Davis_1883876: postnatal adult; Slc35g1tm1.1(KOMP)Vlcg/Slc35g1+ (more )
Structure Level Pattern Image Note
TS28: spinal cord Present UC Davis_1883876

Specimen UC Davis_1883877: postnatal adult; Slc35g1tm1.1(KOMP)Vlcg/Slc35g1+ (more )
Structure Level Pattern Image Note
TS28: eye Present UC Davis_1883877

Specimen UC Davis_1883878: postnatal adult; Slc35g1tm1.1(KOMP)Vlcg/Slc35g1+ (more )
Structure Level Pattern Image Note
TS28: eye Present UC Davis_1883878

Specimen UC Davis_1883881: postnatal adult; Slc35g1tm1.1(KOMP)Vlcg/Slc35g1+ (more )
Structure Level Pattern Image Note
TS28: midbrain Present UC Davis_1883881

Specimen UC Davis_1883882: postnatal adult; Slc35g1tm1.1(KOMP)Vlcg/Slc35g1+ (more )
Structure Level Pattern Image Note
TS28: midbrain Present UC Davis_1883882

Specimen UC Davis_1883884: postnatal adult; Slc35g1tm1.1(KOMP)Vlcg/Slc35g1+ (more )
Structure Level Pattern Image Note
TS28: bladder Present UC Davis_1883884

Specimen UC Davis_1883885: postnatal adult; Slc35g1tm1.1(KOMP)Vlcg/Slc35g1+ (more )
Structure Level Pattern Image Note
TS28: bladder Present UC Davis_1883885

Specimen UC Davis_1883886: postnatal adult; Slc35g1tm1.1(KOMP)Vlcg/Slc35g1+ (more )
Structure Level Pattern Image Note
TS28: testis Present UC Davis_1883886

Specimen UC Davis_1883887: postnatal adult; Slc35g1tm1.1(KOMP)Vlcg/Slc35g1+ (more )
Structure Level Pattern Image Note
TS28: testis Present UC Davis_1883887

Specimen UC Davis_1883888: postnatal adult; Slc35g1tm1.1(KOMP)Vlcg/Slc35g1+ (more )
Structure Level Pattern Image Note
TS28: epididymis Present UC Davis_1883888

Specimen UC Davis_1883889: postnatal adult; Slc35g1tm1.1(KOMP)Vlcg/Slc35g1+ (more )
Structure Level Pattern Image Note
TS28: epididymis Present UC Davis_1883889

Specimen UC Davis_1883890: postnatal adult; Slc35g1tm1.1(KOMP)Vlcg/Slc35g1+ (more )
Structure Level Pattern Image Note
TS28: ductus deferens Present UC Davis_1883890 vas deferens


Contributing Projects:
Mouse Genome Database (MGD), Gene Expression Database (GXD), Mouse Models of Human Cancer database (MMHCdb) (formerly Mouse Tumor Biology (MTB)), Gene Ontology (GO)
Citing These Resources
Funding Information
Warranty Disclaimer, Privacy Notice, Licensing, & Copyright
Send questions and comments to User Support.
last database update
01/06/2026
MGI 6.24
The Jackson Laboratory