About   Help   FAQ
Gene Expression Data
Assay Details
Assay
Reference: J:228563 Koscielny G, et al., The International Mouse Phenotyping Consortium Web Portal, a unified point of access for knockout mice and related phenotyping data. Nucleic Acids Res. 2014 Jan;42(Database issue):D802-9
Assay type: In situ reporter (knock in)
MGI Accession ID: MGI:6692696
Gene symbol: Abi3bp
Gene name: ABI family member 3 binding protein
Reporter: lacZ
Direct Detection
Results
Specimen UC Davis_1858709: postnatal adult; Abi3bptm1e.1(KOMP)Mbp/Abi3bp+ (more )
Structure Level Pattern Image Note
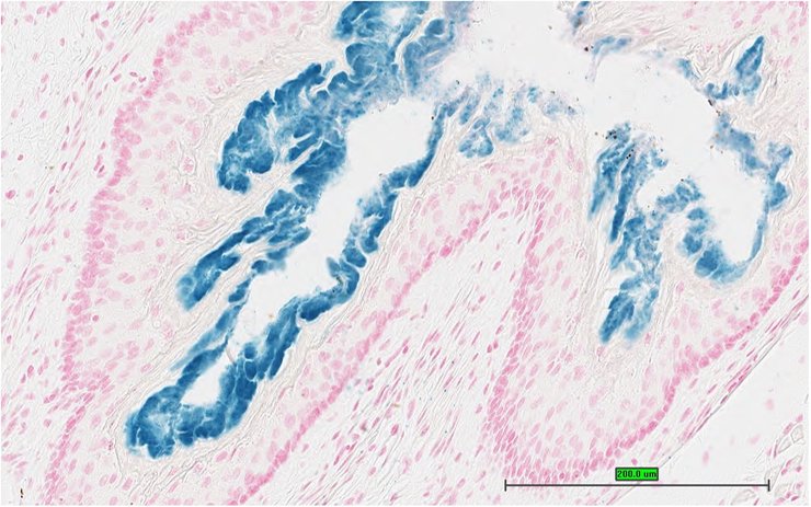
TS28: esophagus Present UC Davis_1858709

Specimen UC Davis_1858710: postnatal adult; Abi3bptm1e.1(KOMP)Mbp/Abi3bp+ (more )
Structure Level Pattern Image Note
TS28: stomach Present UC Davis_1858710

Specimen UC Davis_1858711: postnatal adult; Abi3bptm1e.1(KOMP)Mbp/Abi3bp+ (more )
Structure Level Pattern Image Note
TS28: stomach Present UC Davis_1858711

Specimen UC Davis_1858712: postnatal adult; Abi3bptm1e.1(KOMP)Mbp/Abi3bp+ (more )
Structure Level Pattern Image Note
TS28: duodenum Present UC Davis_1858712

Specimen UC Davis_1858713: postnatal adult; Abi3bptm1e.1(KOMP)Mbp/Abi3bp+ (more )
Structure Level Pattern Image Note
TS28: ileum Present UC Davis_1858713

Specimen UC Davis_1858714: postnatal adult; Abi3bptm1e.1(KOMP)Mbp/Abi3bp+ (more )
Structure Level Pattern Image Note
TS28: colon Present UC Davis_1858714

Specimen UC Davis_1858715: postnatal adult; Abi3bptm1e.1(KOMP)Mbp/Abi3bp+ (more )
Structure Level Pattern Image Note
TS28: cecum Present UC Davis_1858715

Specimen UC Davis_1858716: postnatal adult; Abi3bptm1e.1(KOMP)Mbp/Abi3bp+ (more )
Structure Level Pattern Image Note
TS28: quadriceps femoris muscle Present UC Davis_1858716

Specimen UC Davis_1858720: postnatal adult; Abi3bptm1e.1(KOMP)Mbp/Abi3bp+ (more )
Structure Level Pattern Image Note
TS28: stomach Present UC Davis_1858720

Specimen UC Davis_1858721: postnatal adult; Abi3bptm1e.1(KOMP)Mbp/Abi3bp+ (more )
Structure Level Pattern Image Note
TS28: stomach Present UC Davis_1858721

Specimen UC Davis_1858722: postnatal adult; Abi3bptm1e.1(KOMP)Mbp/Abi3bp+ (more )
Structure Level Pattern Image Note
TS28: ileum Present UC Davis_1858722

Specimen UC Davis_1858723: postnatal adult; Abi3bptm1e.1(KOMP)Mbp/Abi3bp+ (more )
Structure Level Pattern Image Note
TS28: colon Present UC Davis_1858723

Specimen UC Davis_1858724: postnatal adult; Abi3bptm1e.1(KOMP)Mbp/Abi3bp+ (more )
Structure Level Pattern Image Note
TS28: colon Present UC Davis_1858724

Specimen UC Davis_1858725: postnatal adult; Abi3bptm1e.1(KOMP)Mbp/Abi3bp+ (more )
Structure Level Pattern Image Note
TS28: tongue Present UC Davis_1858725

Specimen UC Davis_1858726: postnatal adult; Abi3bptm1e.1(KOMP)Mbp/Abi3bp+ (more )
Structure Level Pattern Image Note
TS28: tongue Present UC Davis_1858726

Specimen UC Davis_1858727: postnatal adult; Abi3bptm1e.1(KOMP)Mbp/Abi3bp+ (more )
Structure Level Pattern Image Note
TS28: tongue Present UC Davis_1858727

Specimen UC Davis_1858728: postnatal adult; Abi3bptm1e.1(KOMP)Mbp/Abi3bp+ (more )
Structure Level Pattern Image Note
TS28: skin Present UC Davis_1858728

Specimen UC Davis_1858729: postnatal adult; Abi3bptm1e.1(KOMP)Mbp/Abi3bp+ (more )
Structure Level Pattern Image Note
TS28: skin Present UC Davis_1858729

Specimen UC Davis_1858730: postnatal adult; Abi3bptm1e.1(KOMP)Mbp/Abi3bp+ (more )
Structure Level Pattern Image Note
TS28: skin Present UC Davis_1858730

Specimen UC Davis_1858731: postnatal adult; Abi3bptm1e.1(KOMP)Mbp/Abi3bp+ (more )
Structure Level Pattern Image Note
TS28: testis Present UC Davis_1858731

Specimen UC Davis_1858732: postnatal adult; Abi3bptm1e.1(KOMP)Mbp/Abi3bp+ (more )
Structure Level Pattern Image Note
TS28: testis Present UC Davis_1858732

Specimen UC Davis_1858733: postnatal adult; Abi3bptm1e.1(KOMP)Mbp/Abi3bp+ (more )
Structure Level Pattern Image Note
TS28: epididymis Present UC Davis_1858733

Specimen UC Davis_1858734: postnatal adult; Abi3bptm1e.1(KOMP)Mbp/Abi3bp+ (more )
Structure Level Pattern Image Note
TS28: epididymis Present UC Davis_1858734

Specimen UC Davis_1858735: postnatal adult; Abi3bptm1e.1(KOMP)Mbp/Abi3bp+ (more )
Structure Level Pattern Image Note
TS28: epididymis Present UC Davis_1858735

Specimen UC Davis_1858736: postnatal adult; Abi3bptm1e.1(KOMP)Mbp/Abi3bp+ (more )
Structure Level Pattern Image Note
TS28: penis Present UC Davis_1858736

Specimen UC Davis_1858737: postnatal adult; Abi3bptm1e.1(KOMP)Mbp/Abi3bp+ (more )
Structure Level Pattern Image Note
TS28: penis Present UC Davis_1858737

Specimen UC Davis_1858738: postnatal adult; Abi3bptm1e.1(KOMP)Mbp/Abi3bp+ (more )
Structure Level Pattern Image Note
TS28: penis Present UC Davis_1858738

Specimen UC Davis_1858740: postnatal adult; Abi3bptm1e.1(KOMP)Mbp/Abi3bp+ (more )
Structure Level Pattern Image Note
TS28: brain Present UC Davis_1858740

Specimen UC Davis_1858741: postnatal adult; Abi3bptm1e.1(KOMP)Mbp/Abi3bp+ (more )
Structure Level Pattern Image Note
TS28: stomach Present UC Davis_1858741

Specimen UC Davis_1858742: postnatal adult; Abi3bptm1e.1(KOMP)Mbp/Abi3bp+ (more )
Structure Level Pattern Image Note
TS28: duodenum Present UC Davis_1858742

Specimen UC Davis_1858743: postnatal adult; Abi3bptm1e.1(KOMP)Mbp/Abi3bp+ (more )
Structure Level Pattern Image Note
TS28: jejunum Present UC Davis_1858743

Specimen UC Davis_1858744: postnatal adult; Abi3bptm1e.1(KOMP)Mbp/Abi3bp+ (more )
Structure Level Pattern Image Note
TS28: testis Present UC Davis_1858744


Contributing Projects:
Mouse Genome Database (MGD), Gene Expression Database (GXD), Mouse Models of Human Cancer database (MMHCdb) (formerly Mouse Tumor Biology (MTB)), Gene Ontology (GO)
Citing These Resources
Funding Information
Warranty Disclaimer, Privacy Notice, Licensing, & Copyright
Send questions and comments to User Support.
last database update
09/30/2025
MGI 6.24
The Jackson Laboratory