About   Help   FAQ
Gene Expression Data
Assay Details
Assay
Reference: J:228563 Koscielny G, et al., The International Mouse Phenotyping Consortium Web Portal, a unified point of access for knockout mice and related phenotyping data. Nucleic Acids Res. 2014 Jan;42(Database issue):D802-9
Assay type: In situ reporter (knock in)
MGI Accession ID: MGI:6692674
Gene symbol: Stxbp5l
Gene name: syntaxin binding protein 5-like
Reporter: lacZ
Direct Detection
Results
Specimen UC Davis_1857293: postnatal adult; Stxbp5ltm1.1(KOMP)Vlcg/Stxbp5l+ (more )
Structure Level Pattern Image Note
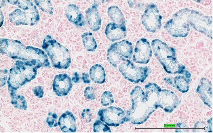
TS28: submandibular gland Present UC Davis_1857293

Specimen UC Davis_1857294: postnatal adult; Stxbp5ltm1.1(KOMP)Vlcg/Stxbp5l+ (more )
Structure Level Pattern Image Note
TS28: submandibular gland Present UC Davis_1857294

Specimen UC Davis_1857295: postnatal adult; Stxbp5ltm1.1(KOMP)Vlcg/Stxbp5l+ (more )
Structure Level Pattern Image Note
TS28: submandibular gland Present UC Davis_1857295

Specimen UC Davis_1857296: postnatal adult; Stxbp5ltm1.1(KOMP)Vlcg/Stxbp5l+ (more )
Structure Level Pattern Image Note
TS28: sublingual gland Present UC Davis_1857296

Specimen UC Davis_1857297: postnatal adult; Stxbp5ltm1.1(KOMP)Vlcg/Stxbp5l+ (more )
Structure Level Pattern Image Note
TS28: sublingual gland Present UC Davis_1857297

Specimen UC Davis_1857298: postnatal adult; Stxbp5ltm1.1(KOMP)Vlcg/Stxbp5l+ (more )
Structure Level Pattern Image Note
TS28: thyroid gland Present UC Davis_1857298

Specimen UC Davis_1857299: postnatal adult; Stxbp5ltm1.1(KOMP)Vlcg/Stxbp5l+ (more )
Structure Level Pattern Image Note
TS28: thyroid gland Present UC Davis_1857299

Specimen UC Davis_1857300: postnatal adult; Stxbp5ltm1.1(KOMP)Vlcg/Stxbp5l+ (more )
Structure Level Pattern Image Note
TS28: stomach Present UC Davis_1857300

Specimen UC Davis_1857301: postnatal adult; Stxbp5ltm1.1(KOMP)Vlcg/Stxbp5l+ (more )
Structure Level Pattern Image Note
TS28: stomach Present UC Davis_1857301

Specimen UC Davis_1857302: postnatal adult; Stxbp5ltm1.1(KOMP)Vlcg/Stxbp5l+ (more )
Structure Level Pattern Image Note
TS28: jejunum Present UC Davis_1857302

Specimen UC Davis_1857303: postnatal adult; Stxbp5ltm1.1(KOMP)Vlcg/Stxbp5l+ (more )
Structure Level Pattern Image Note
TS28: jejunum Present UC Davis_1857303

Specimen UC Davis_1857304: postnatal adult; Stxbp5ltm1.1(KOMP)Vlcg/Stxbp5l+ (more )
Structure Level Pattern Image Note
TS28: ileum Present UC Davis_1857304

Specimen UC Davis_1857305: postnatal adult; Stxbp5ltm1.1(KOMP)Vlcg/Stxbp5l+ (more )
Structure Level Pattern Image Note
TS28: ileum Present UC Davis_1857305

Specimen UC Davis_1857306: postnatal adult; Stxbp5ltm1.1(KOMP)Vlcg/Stxbp5l+ (more )
Structure Level Pattern Image Note
TS28: colon Present UC Davis_1857306

Specimen UC Davis_1857307: postnatal adult; Stxbp5ltm1.1(KOMP)Vlcg/Stxbp5l+ (more )
Structure Level Pattern Image Note
TS28: metanephros Present UC Davis_1857307 kidney

Specimen UC Davis_1857308: postnatal adult; Stxbp5ltm1.1(KOMP)Vlcg/Stxbp5l+ (more )
Structure Level Pattern Image Note
TS28: metanephros Present UC Davis_1857308 kidney

Specimen UC Davis_1857309: postnatal adult; Stxbp5ltm1.1(KOMP)Vlcg/Stxbp5l+ (more )
Structure Level Pattern Image Note
TS28: metanephros Present UC Davis_1857309 kidney

Specimen UC Davis_1857310: postnatal adult; Stxbp5ltm1.1(KOMP)Vlcg/Stxbp5l+ (more )
Structure Level Pattern Image Note
TS28: metanephros Present UC Davis_1857310 kidney

Specimen UC Davis_1857311: postnatal adult; Stxbp5ltm1.1(KOMP)Vlcg/Stxbp5l+ (more )
Structure Level Pattern Image Note
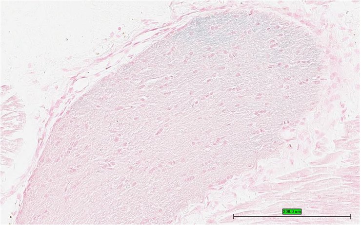
TS28: spinal cord Present UC Davis_1857311

Specimen UC Davis_1857312: postnatal adult; Stxbp5ltm1.1(KOMP)Vlcg/Stxbp5l+ (more )
Structure Level Pattern Image Note
TS28: spinal cord Present UC Davis_1857312

Specimen UC Davis_1857313: postnatal adult; Stxbp5ltm1.1(KOMP)Vlcg/Stxbp5l+ (more )
Structure Level Pattern Image Note
TS28: spinal cord Present UC Davis_1857313

Specimen UC Davis_1857314: postnatal adult; Stxbp5ltm1.1(KOMP)Vlcg/Stxbp5l+ (more )
Structure Level Pattern Image Note
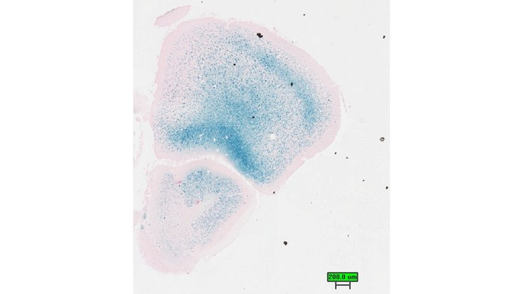
TS28: olfactory lobe Present UC Davis_1857314

Specimen UC Davis_1857317: postnatal adult; Stxbp5ltm1.1(KOMP)Vlcg/Stxbp5l+ (more )
Structure Level Pattern Image Note
TS28: midbrain Present UC Davis_1857317

Specimen UC Davis_1857319: postnatal adult; Stxbp5ltm1.1(KOMP)Vlcg/Stxbp5l+ (more )
Structure Level Pattern Image Note
TS28: cerebellum Present UC Davis_1857319

Specimen UC Davis_1857320: postnatal adult; Stxbp5ltm1.1(KOMP)Vlcg/Stxbp5l+ (more )
Structure Level Pattern Image Note
TS28: trigeminal nerve Present UC Davis_1857320

Specimen UC Davis_1857321: postnatal adult; Stxbp5ltm1.1(KOMP)Vlcg/Stxbp5l+ (more )
Structure Level Pattern Image Note
TS28: trigeminal nerve Present UC Davis_1857321

Specimen UC Davis_1857322: postnatal adult; Stxbp5ltm1.1(KOMP)Vlcg/Stxbp5l+ (more )
Structure Level Pattern Image Note
TS28: trigeminal nerve Present UC Davis_1857322

Specimen UC Davis_1857323: postnatal adult; Stxbp5ltm1.1(KOMP)Vlcg/Stxbp5l+ (more )
Structure Level Pattern Image Note
TS28: trigeminal nerve Present UC Davis_1857323

Specimen UC Davis_1857258: postnatal adult; Stxbp5ltm1.1(KOMP)Vlcg/Stxbp5l+ (more )
Structure Level Pattern Image Note
TS28: submandibular gland Present UC Davis_1857258

Specimen UC Davis_1857259: postnatal adult; Stxbp5ltm1.1(KOMP)Vlcg/Stxbp5l+ (more )
Structure Level Pattern Image Note
TS28: submandibular gland Present UC Davis_1857259

Specimen UC Davis_1857260: postnatal adult; Stxbp5ltm1.1(KOMP)Vlcg/Stxbp5l+ (more )
Structure Level Pattern Image Note
TS28: submandibular gland Present UC Davis_1857260

Specimen UC Davis_1857261: postnatal adult; Stxbp5ltm1.1(KOMP)Vlcg/Stxbp5l+ (more )
Structure Level Pattern Image Note
TS28: submandibular gland Present UC Davis_1857261

Specimen UC Davis_1857262: postnatal adult; Stxbp5ltm1.1(KOMP)Vlcg/Stxbp5l+ (more )
Structure Level Pattern Image Note
TS28: submandibular gland Present UC Davis_1857262

Specimen UC Davis_1857263: postnatal adult; Stxbp5ltm1.1(KOMP)Vlcg/Stxbp5l+ (more )
Structure Level Pattern Image Note
TS28: sublingual gland Present UC Davis_1857263

Specimen UC Davis_1857264: postnatal adult; Stxbp5ltm1.1(KOMP)Vlcg/Stxbp5l+ (more )
Structure Level Pattern Image Note
TS28: sublingual gland Present UC Davis_1857264

Specimen UC Davis_1857265: postnatal adult; Stxbp5ltm1.1(KOMP)Vlcg/Stxbp5l+ (more )
Structure Level Pattern Image Note
TS28: sublingual gland Present UC Davis_1857265

Specimen UC Davis_1857267: postnatal adult; Stxbp5ltm1.1(KOMP)Vlcg/Stxbp5l+ (more )
Structure Level Pattern Image Note
TS28: ileum Present UC Davis_1857267

Specimen UC Davis_1857268: postnatal adult; Stxbp5ltm1.1(KOMP)Vlcg/Stxbp5l+ (more )
Structure Level Pattern Image Note
TS28: metanephros Present UC Davis_1857268 kidney

Specimen UC Davis_1857269: postnatal adult; Stxbp5ltm1.1(KOMP)Vlcg/Stxbp5l+ (more )
Structure Level Pattern Image Note
TS28: metanephros Present UC Davis_1857269 kidney

Specimen UC Davis_1857270: postnatal adult; Stxbp5ltm1.1(KOMP)Vlcg/Stxbp5l+ (more )
Structure Level Pattern Image Note
TS28: metanephros Present UC Davis_1857270 kidney

Specimen UC Davis_1857271: postnatal adult; Stxbp5ltm1.1(KOMP)Vlcg/Stxbp5l+ (more )
Structure Level Pattern Image Note
TS28: metanephros Present UC Davis_1857271 kidney

Specimen UC Davis_1857272: postnatal adult; Stxbp5ltm1.1(KOMP)Vlcg/Stxbp5l+ (more )
Structure Level Pattern Image Note
TS28: spinal cord Present UC Davis_1857272

Specimen UC Davis_1857273: postnatal adult; Stxbp5ltm1.1(KOMP)Vlcg/Stxbp5l+ (more )
Structure Level Pattern Image Note
TS28: spinal cord Present UC Davis_1857273

Specimen UC Davis_1857274: postnatal adult; Stxbp5ltm1.1(KOMP)Vlcg/Stxbp5l+ (more )
Structure Level Pattern Image Note
TS28: eye Present UC Davis_1857274

Specimen UC Davis_1857275: postnatal adult; Stxbp5ltm1.1(KOMP)Vlcg/Stxbp5l+ (more )
Structure Level Pattern Image Note
TS28: eye Present UC Davis_1857275

Specimen UC Davis_1857276: postnatal adult; Stxbp5ltm1.1(KOMP)Vlcg/Stxbp5l+ (more )
Structure Level Pattern Image Note
TS28: olfactory lobe Present UC Davis_1857276

Specimen UC Davis_1857277: postnatal adult; Stxbp5ltm1.1(KOMP)Vlcg/Stxbp5l+ (more )
Structure Level Pattern Image Note
TS28: olfactory lobe Present UC Davis_1857277

Specimen UC Davis_1857281: postnatal adult; Stxbp5ltm1.1(KOMP)Vlcg/Stxbp5l+ (more )
Structure Level Pattern Image Note
TS28: midbrain Present UC Davis_1857281

Specimen UC Davis_1857283: postnatal adult; Stxbp5ltm1.1(KOMP)Vlcg/Stxbp5l+ (more )
Structure Level Pattern Image Note
TS28: cerebellum Present UC Davis_1857283

Specimen UC Davis_1857284: postnatal adult; Stxbp5ltm1.1(KOMP)Vlcg/Stxbp5l+ (more )
Structure Level Pattern Image Note
TS28: cerebellum Present UC Davis_1857284

Specimen UC Davis_1857285: postnatal adult; Stxbp5ltm1.1(KOMP)Vlcg/Stxbp5l+ (more )
Structure Level Pattern Image Note
TS28: cerebellum Present UC Davis_1857285

Specimen UC Davis_1857286: postnatal adult; Stxbp5ltm1.1(KOMP)Vlcg/Stxbp5l+ (more )
Structure Level Pattern Image Note
TS28: cerebellum Present UC Davis_1857286

Specimen UC Davis_1857287: postnatal adult; Stxbp5ltm1.1(KOMP)Vlcg/Stxbp5l+ (more )
Structure Level Pattern Image Note
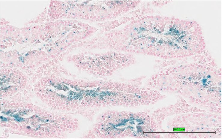
TS28: testis Present UC Davis_1857287

Specimen UC Davis_1857288: postnatal adult; Stxbp5ltm1.1(KOMP)Vlcg/Stxbp5l+ (more )
Structure Level Pattern Image Note
TS28: testis Present UC Davis_1857288

Specimen UC Davis_1857289: postnatal adult; Stxbp5ltm1.1(KOMP)Vlcg/Stxbp5l+ (more )
Structure Level Pattern Image Note
TS28: epididymis Present UC Davis_1857289

Specimen UC Davis_1857290: postnatal adult; Stxbp5ltm1.1(KOMP)Vlcg/Stxbp5l+ (more )
Structure Level Pattern Image Note
TS28: epididymis Present UC Davis_1857290

Specimen UC Davis_1857291: postnatal adult; Stxbp5ltm1.1(KOMP)Vlcg/Stxbp5l+ (more )
Structure Level Pattern Image Note
TS28: prostate gland Present UC Davis_1857291

Specimen UC Davis_1857292: postnatal adult; Stxbp5ltm1.1(KOMP)Vlcg/Stxbp5l+ (more )
Structure Level Pattern Image Note
TS28: ductus deferens Present UC Davis_1857292 vas deferens

Specimen UC Davis_1857324: postnatal adult; Stxbp5ltm1.1(KOMP)Vlcg/Stxbp5l+ (more )
Structure Level Pattern Image Note
TS28: pancreas Present UC Davis_1857324

Specimen UC Davis_1857325: postnatal adult; Stxbp5ltm1.1(KOMP)Vlcg/Stxbp5l+ (more )
Structure Level Pattern Image Note
TS28: olfactory lobe Present UC Davis_1857325

Specimen UC Davis_1857328: postnatal adult; Stxbp5ltm1.1(KOMP)Vlcg/Stxbp5l+ (more )
Structure Level Pattern Image Note
TS28: midbrain Present UC Davis_1857328

Specimen UC Davis_1857330: postnatal adult; Stxbp5ltm1.1(KOMP)Vlcg/Stxbp5l+ (more )
Structure Level Pattern Image Note
TS28: cerebellum Present UC Davis_1857330

Specimen UC Davis_1857331: postnatal adult; Stxbp5ltm1.1(KOMP)Vlcg/Stxbp5l+ (more )
Structure Level Pattern Image Note
TS28: brain Present UC Davis_1857331

Specimen UC Davis_1857332: postnatal adult; Stxbp5ltm1.1(KOMP)Vlcg/Stxbp5l+ (more )
Structure Level Pattern Image Note
TS28: metanephros Present UC Davis_1857332 kidney

Specimen UC Davis_1857334: postnatal adult; Stxbp5ltm1.1(KOMP)Vlcg/Stxbp5l+ (more )
Structure Level Pattern Image Note
TS28: thyroid gland Present UC Davis_1857334

Specimen UC Davis_1857335: postnatal adult; Stxbp5ltm1.1(KOMP)Vlcg/Stxbp5l+ (more )
Structure Level Pattern Image Note
TS28: spinal cord Present UC Davis_1857335

Specimen UC Davis_1857336: postnatal adult; Stxbp5ltm1.1(KOMP)Vlcg/Stxbp5l+ (more )
Structure Level Pattern Image Note
TS28: pituitary gland Present UC Davis_1857336

Specimen UC Davis_1857337: postnatal adult; Stxbp5ltm1.1(KOMP)Vlcg/Stxbp5l+ (more )
Structure Level Pattern Image Note
TS28: testis Present UC Davis_1857337


Contributing Projects:
Mouse Genome Database (MGD), Gene Expression Database (GXD), Mouse Models of Human Cancer database (MMHCdb) (formerly Mouse Tumor Biology (MTB)), Gene Ontology (GO)
Citing These Resources
Funding Information
Warranty Disclaimer, Privacy Notice, Licensing, & Copyright
Send questions and comments to User Support.
last database update
10/07/2025
MGI 6.24
The Jackson Laboratory