About   Help   FAQ
Gene Expression Data
Assay Details
Assay
Reference: J:228563 Koscielny G, et al., The International Mouse Phenotyping Consortium Web Portal, a unified point of access for knockout mice and related phenotyping data. Nucleic Acids Res. 2014 Jan;42(Database issue):D802-9
Assay type: In situ reporter (knock in)
MGI Accession ID: MGI:6692669
Gene symbol: Sipa1l1
Gene name: signal-induced proliferation-associated 1 like 1
Reporter: lacZ
Direct Detection
Results
Specimen JAX_1470142: embryonic day 12.5; Sipa1l1tm1.1(KOMP)Vlcg/Sipa1l1+ (more )
Structure Level Pattern Image Note
TS20: embryo Present JAX_1470142

Specimen JAX_1470143: embryonic day 12.5; Sipa1l1tm1.1(KOMP)Vlcg/Sipa1l1+ (more )
Structure Level Pattern Image Note
TS20: embryo Present JAX_1470143

Specimen JAX_1470144: embryonic day 12.5; Sipa1l1tm1.1(KOMP)Vlcg/Sipa1l1+ (more )
Structure Level Pattern Image Note
TS20: embryo Present JAX_1470144

Specimen JAX_1470145: embryonic day 12.5; Sipa1l1tm1.1(KOMP)Vlcg/Sipa1l1+ (more )
Structure Level Pattern Image Note
TS20: embryo Present JAX_1470145

Specimen JAX_893731: embryonic day 12.5; Sipa1l1tm1.1(KOMP)Vlcg/Sipa1l1+ (more )
Structure Level Pattern Image Note
TS20: embryo Present JAX_893731

Specimen JAX_893733: embryonic day 12.5; Sipa1l1tm1.1(KOMP)Vlcg/Sipa1l1+ (more )
Structure Level Pattern Image Note
TS20: embryo Present JAX_893733

Specimen JAX_893735: embryonic day 12.5; Sipa1l1tm1.1(KOMP)Vlcg/Sipa1l1+ (more )
Structure Level Pattern Image Note
TS20: embryo Present JAX_893735

Specimen JAX_893737: embryonic day 12.5; Sipa1l1tm1.1(KOMP)Vlcg/Sipa1l1+ (more )
Structure Level Pattern Image Note
TS20: embryo Present JAX_893737

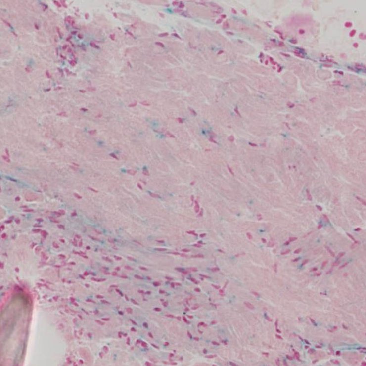
Specimen JAX_844745: postnatal adult; Sipa1l1tm1.1(KOMP)Vlcg/Sipa1l1+ (more )
Structure Level Pattern Image Note
TS28: thalamus Present JAX_844745

Specimen JAX_844747: postnatal adult; Sipa1l1tm1.1(KOMP)Vlcg/Sipa1l1+ (more )
Structure Level Pattern Image Note
TS28: midbrain Present JAX_844747

Specimen JAX_844749: postnatal adult; Sipa1l1tm1.1(KOMP)Vlcg/Sipa1l1+ (more )
Structure Level Pattern Image Note
TS28: brown fat Present JAX_844749

Specimen JAX_844751: postnatal adult; Sipa1l1tm1.1(KOMP)Vlcg/Sipa1l1+ (more )
Structure Level Pattern Image Note
TS28: corpus striatum Present JAX_844751

Specimen JAX_844753: postnatal adult; Sipa1l1tm1.1(KOMP)Vlcg/Sipa1l1+ (more )
Structure Level Pattern Image Note
TS28: peripheral nervous system Present JAX_844753

Specimen JAX_844755: postnatal adult; Sipa1l1tm1.1(KOMP)Vlcg/Sipa1l1+ (more )
Structure Level Pattern Image Note
TS28: olfactory lobe Present JAX_844755

Specimen JAX_844757: postnatal adult; Sipa1l1tm1.1(KOMP)Vlcg/Sipa1l1+ (more )
Structure Level Pattern Image Note
TS28: hypothalamus Present JAX_844757

Specimen JAX_844759: postnatal adult; Sipa1l1tm1.1(KOMP)Vlcg/Sipa1l1+ (more )
Structure Level Pattern Image Note
TS28: hippocampus Present JAX_844759

Specimen JAX_844761: postnatal adult; Sipa1l1tm1.1(KOMP)Vlcg/Sipa1l1+ (more )
Structure Level Pattern Image Note
TS28: cerebellum Present JAX_844761

Specimen JAX_844763: postnatal adult; Sipa1l1tm1.1(KOMP)Vlcg/Sipa1l1+ (more )
Structure Level Pattern Image Note
TS28: cerebral cortex Present JAX_844763

Specimen JAX_844765: postnatal adult; Sipa1l1tm1.1(KOMP)Vlcg/Sipa1l1+ (more )
Structure Level Pattern Image Note
TS28: brainstem Present JAX_844765

Specimen JAX_844767: postnatal adult; Sipa1l1tm1.1(KOMP)Vlcg/Sipa1l1+ (more )
Structure Level Pattern Image Note
TS28: spleen Present JAX_844767

Specimen JAX_844769: postnatal adult; Sipa1l1tm1.1(KOMP)Vlcg/Sipa1l1+ (more )
Structure Level Pattern Image Note
TS28: aorta Present JAX_844769

Specimen JAX_844771: postnatal adult; Sipa1l1tm1.1(KOMP)Vlcg/Sipa1l1+ (more )
Structure Level Pattern Image Note
TS28: white fat Present JAX_844771

Specimen JAX_844773: postnatal adult; Sipa1l1tm1.1(KOMP)Vlcg/Sipa1l1+ (more )
Structure Level Pattern Image Note
TS28: skeletal muscle tissue Present JAX_844773

Specimen JAX_844775: postnatal adult; Sipa1l1tm1.1(KOMP)Vlcg/Sipa1l1+ (more )
Structure Level Pattern Image Note
TS28: pituitary gland Present JAX_844775

Specimen JAX_844777: postnatal adult; Sipa1l1tm1.1(KOMP)Vlcg/Sipa1l1+ (more )
Structure Level Pattern Image Note
TS28: spinal cord Present JAX_844777

Specimen JAX_844779: postnatal adult; Sipa1l1tm1.1(KOMP)Vlcg/Sipa1l1+ (more )
Structure Level Pattern Image Note
TS28: uterus Present JAX_844779

Specimen JAX_844781: postnatal adult; Sipa1l1tm1.1(KOMP)Vlcg/Sipa1l1+ (more )
Structure Level Pattern Image Note
TS28: thymus Present JAX_844781

Specimen JAX_844783: postnatal adult; Sipa1l1tm1.1(KOMP)Vlcg/Sipa1l1+ (more )
Structure Level Pattern Image Note
TS28: skin Present JAX_844783

Specimen JAX_844785: postnatal adult; Sipa1l1tm1.1(KOMP)Vlcg/Sipa1l1+ (more )
Structure Level Pattern Image Note
TS28: oviduct Present JAX_844785

Specimen JAX_844787: postnatal adult; Sipa1l1tm1.1(KOMP)Vlcg/Sipa1l1+ (more )
Structure Level Pattern Image Note
TS28: ovary Present JAX_844787

Specimen JAX_844789: postnatal adult; Sipa1l1tm1.1(KOMP)Vlcg/Sipa1l1+ (more )
Structure Level Pattern Image Note
TS28: mammary gland Present JAX_844789

Specimen JAX_844791: postnatal adult; Sipa1l1tm1.1(KOMP)Vlcg/Sipa1l1+ (more )
Structure Level Pattern Image Note
TS28: metanephros Present JAX_844791 kidney

Specimen JAX_844793: postnatal adult; Sipa1l1tm1.1(KOMP)Vlcg/Sipa1l1+ (more )
Structure Level Pattern Image Note
TS28: heart Present JAX_844793

Specimen JAX_844795: postnatal adult; Sipa1l1tm1.1(KOMP)Vlcg/Sipa1l1+ (more )
Structure Level Pattern Image Note
TS28: eye Present JAX_844795

Specimen JAX_844797: postnatal adult; Sipa1l1tm1.1(KOMP)Vlcg/Sipa1l1+ (more )
Structure Level Pattern Image Note
TS28: brain Present JAX_844797

Specimen JAX_844799: postnatal adult; Sipa1l1tm1.1(KOMP)Vlcg/Sipa1l1+ (more )
Structure Level Pattern Image Note
TS28: adrenal gland Present JAX_844799

Specimen JAX_844715: postnatal adult; Sipa1l1tm1.1(KOMP)Vlcg/Sipa1l1+ (more )
Structure Level Pattern Image Note
TS28: vascular system Present JAX_844715

Specimen JAX_844717: postnatal adult; Sipa1l1tm1.1(KOMP)Vlcg/Sipa1l1+ (more )
Structure Level Pattern Image Note
TS28: epididymis Present JAX_844717

Specimen JAX_844719: postnatal adult; Sipa1l1tm1.1(KOMP)Vlcg/Sipa1l1+ (more )
Structure Level Pattern Image Note
TS28: submandibular gland Present JAX_844719

Specimen JAX_844721: postnatal adult; Sipa1l1tm1.1(KOMP)Vlcg/Sipa1l1+ (more )
Structure Level Pattern Image Note
TS28: bladder Present JAX_844721

Specimen JAX_844723: postnatal adult; Sipa1l1tm1.1(KOMP)Vlcg/Sipa1l1+ (more )
Structure Level Pattern Image Note
TS28: Peyer's patch Present JAX_844723

Specimen JAX_844725: postnatal adult; Sipa1l1tm1.1(KOMP)Vlcg/Sipa1l1+ (more )
Structure Level Pattern Image Note
TS28: cartilage Present JAX_844725

Specimen JAX_844727: postnatal adult; Sipa1l1tm1.1(KOMP)Vlcg/Sipa1l1+ (more )
Structure Level Pattern Image Note
TS28: lung Present JAX_844727

Specimen JAX_844729: postnatal adult; Sipa1l1tm1.1(KOMP)Vlcg/Sipa1l1+ (more )
Structure Level Pattern Image Note
TS28: small intestine Present JAX_844729

Specimen JAX_844731: postnatal adult; Sipa1l1tm1.1(KOMP)Vlcg/Sipa1l1+ (more )
Structure Level Pattern Image Note
TS28: thyroid gland Present JAX_844731

Specimen JAX_844733: postnatal adult; Sipa1l1tm1.1(KOMP)Vlcg/Sipa1l1+ (more )
Structure Level Pattern Image Note
TS28: esophagus Present JAX_844733

Specimen JAX_844735: postnatal adult; Sipa1l1tm1.1(KOMP)Vlcg/Sipa1l1+ (more )
Structure Level Pattern Image Note
TS28: large intestine Present JAX_844735

Specimen JAX_844737: postnatal adult; Sipa1l1tm1.1(KOMP)Vlcg/Sipa1l1+ (more )
Structure Level Pattern Image Note
TS28: trachea Present JAX_844737

Specimen JAX_844739: postnatal adult; Sipa1l1tm1.1(KOMP)Vlcg/Sipa1l1+ (more )
Structure Level Pattern Image Note
TS28: testis Present JAX_844739

Specimen JAX_844741: postnatal adult; Sipa1l1tm1.1(KOMP)Vlcg/Sipa1l1+ (more )
Structure Level Pattern Image Note
TS28: stomach Present JAX_844741

Specimen JAX_844743: postnatal adult; Sipa1l1tm1.1(KOMP)Vlcg/Sipa1l1+ (more )
Structure Level Pattern Image Note
TS28: lymph node Present JAX_844743


Contributing Projects:
Mouse Genome Database (MGD), Gene Expression Database (GXD), Mouse Models of Human Cancer database (MMHCdb) (formerly Mouse Tumor Biology (MTB)), Gene Ontology (GO)
Citing These Resources
Funding Information
Warranty Disclaimer, Privacy Notice, Licensing, & Copyright
Send questions and comments to User Support.
last database update
01/06/2026
MGI 6.24
The Jackson Laboratory