About   Help   FAQ
Gene Expression Data
Assay Details
Assay
Reference: J:228563 Koscielny G, et al., The International Mouse Phenotyping Consortium Web Portal, a unified point of access for knockout mice and related phenotyping data. Nucleic Acids Res. 2014 Jan;42(Database issue):D802-9
Assay type: In situ reporter (knock in)
MGI Accession ID: MGI:6692640
Gene symbol: Caskin1
Gene name: CASK interacting protein 1
Reporter: lacZ
Direct Detection
Results
Specimen TCP_2216215: postnatal adult; Caskin1tm1b(KOMP)Wtsi/Caskin1+ (more )
Structure Level Pattern Image Note
TS28: adrenal gland Present TCP_2216215

Specimen TCP_2216216: postnatal adult; Caskin1tm1b(KOMP)Wtsi/Caskin1+ (more )
Structure Level Pattern Image Note
TS28: bone Present TCP_2216216

Specimen TCP_2216217: postnatal adult; Caskin1tm1b(KOMP)Wtsi/Caskin1+ (more )
Structure Level Pattern Image Note
TS28: olfactory lobe Present TCP_2216217

Specimen TCP_2216218: postnatal adult; Caskin1tm1b(KOMP)Wtsi/Caskin1+ (more )
Structure Level Pattern Image Note
TS28: cerebellum Present TCP_2216218

Specimen TCP_2216219: postnatal adult; Caskin1tm1b(KOMP)Wtsi/Caskin1+ (more )
Structure Level Pattern Image Note
TS28: brain Present TCP_2216219

Specimen TCP_2216220: postnatal adult; Caskin1tm1b(KOMP)Wtsi/Caskin1+ (more )
Structure Level Pattern Image Note
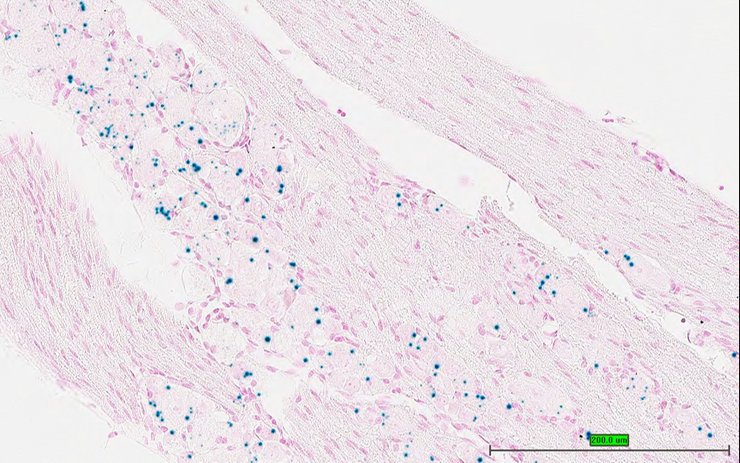
TS28: spinal cord Present TCP_2216220

Specimen TCP_2216221: postnatal adult; Caskin1tm1b(KOMP)Wtsi/Caskin1+ (more )
Structure Level Pattern Image Note
TS28: bladder Present TCP_2216221

Specimen UC Davis_1873498: postnatal adult; Caskin1tm1b(KOMP)Wtsi/Caskin1+ (more )
Structure Level Pattern Image Note
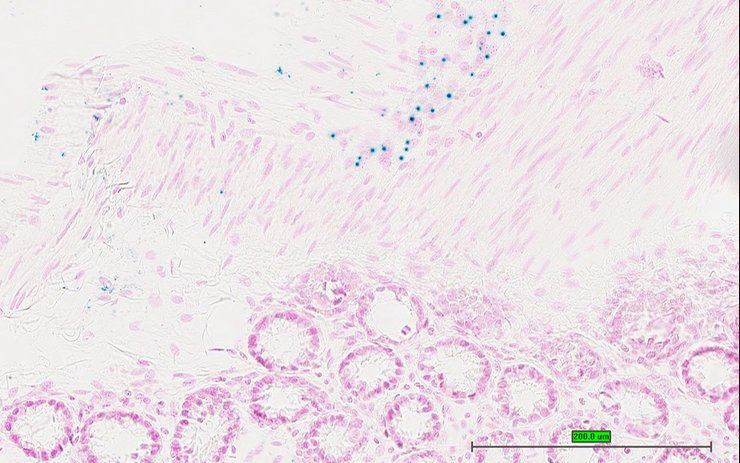
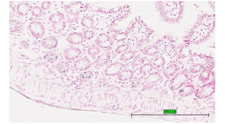
TS28: ileum Present UC Davis_1873498

Specimen UC Davis_1873499: postnatal adult; Caskin1tm1b(KOMP)Wtsi/Caskin1+ (more )
Structure Level Pattern Image Note
TS28: colon Present UC Davis_1873499

Specimen UC Davis_1873500: postnatal adult; Caskin1tm1b(KOMP)Wtsi/Caskin1+ (more )
Structure Level Pattern Image Note
TS28: colon Present UC Davis_1873500

Specimen UC Davis_1873501: postnatal adult; Caskin1tm1b(KOMP)Wtsi/Caskin1+ (more )
Structure Level Pattern Image Note
TS28: spinal cord Present UC Davis_1873501

Specimen UC Davis_1873502: postnatal adult; Caskin1tm1b(KOMP)Wtsi/Caskin1+ (more )
Structure Level Pattern Image Note
TS28: spinal cord Present UC Davis_1873502

Specimen UC Davis_1873503: postnatal adult; Caskin1tm1b(KOMP)Wtsi/Caskin1+ (more )
Structure Level Pattern Image Note
TS28: eye Present UC Davis_1873503

Specimen UC Davis_1873504: postnatal adult; Caskin1tm1b(KOMP)Wtsi/Caskin1+ (more )
Structure Level Pattern Image Note
TS28: olfactory lobe Present UC Davis_1873504

Specimen UC Davis_1873505: postnatal adult; Caskin1tm1b(KOMP)Wtsi/Caskin1+ (more )
Structure Level Pattern Image Note
TS28: olfactory lobe Present UC Davis_1873505

Specimen UC Davis_1873507: postnatal adult; Caskin1tm1b(KOMP)Wtsi/Caskin1+ (more )
Structure Level Pattern Image Note
TS28: midbrain Present UC Davis_1873507

Specimen UC Davis_1873509: postnatal adult; Caskin1tm1b(KOMP)Wtsi/Caskin1+ (more )
Structure Level Pattern Image Note
TS28: cerebellum Present UC Davis_1873509

Specimen UC Davis_1873510: postnatal adult; Caskin1tm1b(KOMP)Wtsi/Caskin1+ (more )
Structure Level Pattern Image Note
TS28: trigeminal nerve Present UC Davis_1873510

Specimen TCP_2460344: postnatal adult; Caskin1tm1b(KOMP)Wtsi/Caskin1+ (more )
Structure Level Pattern Image Note
TS28: adrenal gland Present TCP_2460344

Specimen TCP_2460345: postnatal adult; Caskin1tm1b(KOMP)Wtsi/Caskin1+ (more )
Structure Level Pattern Image Note
TS28: brain Present TCP_2460345

Specimen TCP_2460346: postnatal adult; Caskin1tm1b(KOMP)Wtsi/Caskin1+ (more )
Structure Level Pattern Image Note
TS28: brain Present TCP_2460346

Specimen TCP_2460347: postnatal adult; Caskin1tm1b(KOMP)Wtsi/Caskin1+ (more )
Structure Level Pattern Image Note
TS28: brain Present TCP_2460347

Specimen TCP_2460348: postnatal adult; Caskin1tm1b(KOMP)Wtsi/Caskin1+ (more )
Structure Level Pattern Image Note
TS28: cerebellum Present TCP_2460348

Specimen TCP_2460349: postnatal adult; Caskin1tm1b(KOMP)Wtsi/Caskin1+ (more )
Structure Level Pattern Image Note
TS28: eye Present TCP_2460349

Specimen TCP_2460350: postnatal adult; Caskin1tm1b(KOMP)Wtsi/Caskin1+ (more )
Structure Level Pattern Image Note
TS28: spinal cord Present TCP_2460350

Specimen UC Davis_1873481: postnatal adult; Caskin1tm1b(KOMP)Wtsi/Caskin1+ (more )
Structure Level Pattern Image Note
TS28: ileum Absent UC Davis_1873481

Specimen UC Davis_1873482: postnatal adult; Caskin1tm1b(KOMP)Wtsi/Caskin1+ (more )
Structure Level Pattern Image Note
TS28: colon Absent UC Davis_1873482

Specimen UC Davis_1873483: postnatal adult; Caskin1tm1b(KOMP)Wtsi/Caskin1+ (more )
Structure Level Pattern Image Note
TS28: cecum Absent UC Davis_1873483

Specimen UC Davis_1873484: postnatal adult; Caskin1tm1b(KOMP)Wtsi/Caskin1+ (more )
Structure Level Pattern Image Note
TS28: spinal cord Absent UC Davis_1873484

Specimen UC Davis_1873485: postnatal adult; Caskin1tm1b(KOMP)Wtsi/Caskin1+ (more )
Structure Level Pattern Image Note
TS28: spinal cord Absent UC Davis_1873485

Specimen UC Davis_1873486: postnatal adult; Caskin1tm1b(KOMP)Wtsi/Caskin1+ (more )
Structure Level Pattern Image Note
TS28: eye Absent UC Davis_1873486

Specimen UC Davis_1873487: postnatal adult; Caskin1tm1b(KOMP)Wtsi/Caskin1+ (more )
Structure Level Pattern Image Note
TS28: olfactory lobe Absent UC Davis_1873487

Specimen UC Davis_1873490: postnatal adult; Caskin1tm1b(KOMP)Wtsi/Caskin1+ (more )
Structure Level Pattern Image Note
TS28: midbrain Absent UC Davis_1873490

Specimen UC Davis_1873492: postnatal adult; Caskin1tm1b(KOMP)Wtsi/Caskin1+ (more )
Structure Level Pattern Image Note
TS28: cerebellum Absent UC Davis_1873492

Specimen UC Davis_1873493: postnatal adult; Caskin1tm1b(KOMP)Wtsi/Caskin1+ (more )
Structure Level Pattern Image Note
TS28: trigeminal nerve Absent UC Davis_1873493

Specimen UC Davis_1873494: postnatal adult; Caskin1tm1b(KOMP)Wtsi/Caskin1+ (more )
Structure Level Pattern Image Note
TS28: testis Absent UC Davis_1873494

Specimen UC Davis_1873495: postnatal adult; Caskin1tm1b(KOMP)Wtsi/Caskin1+ (more )
Structure Level Pattern Image Note
TS28: testis Absent UC Davis_1873495

Specimen UC Davis_1873496: postnatal adult; Caskin1tm1b(KOMP)Wtsi/Caskin1+ (more )
Structure Level Pattern Image Note
TS28: epididymis Absent UC Davis_1873496

Specimen UC Davis_1873497: postnatal adult; Caskin1tm1b(KOMP)Wtsi/Caskin1+ (more )
Structure Level Pattern Image Note
TS28: ductus deferens Absent UC Davis_1873497 vas deferens


Contributing Projects:
Mouse Genome Database (MGD), Gene Expression Database (GXD), Mouse Models of Human Cancer database (MMHCdb) (formerly Mouse Tumor Biology (MTB)), Gene Ontology (GO)
Citing These Resources
Funding Information
Warranty Disclaimer, Privacy Notice, Licensing, & Copyright
Send questions and comments to User Support.
last database update
10/07/2025
MGI 6.24
The Jackson Laboratory