About   Help   FAQ
Gene Expression Data
Assay Details
Assay
Reference: J:228563 Koscielny G, et al., The International Mouse Phenotyping Consortium Web Portal, a unified point of access for knockout mice and related phenotyping data. Nucleic Acids Res. 2014 Jan;42(Database issue):D802-9
Assay type: In situ reporter (knock in)
MGI Accession ID: MGI:6692633
Gene symbol: Lrrc49
Gene name: leucine rich repeat containing 49
Reporter: lacZ
Direct Detection
Results
Specimen JAX_1127989: embryonic day 12.5; Lrrc49tm1b(EUCOMM)Wtsi/Lrrc49+ (more )
Structure Level Pattern Image Note
TS20: embryo Present JAX_1127989

Specimen JAX_1127991: embryonic day 12.5; Lrrc49tm1b(EUCOMM)Wtsi/Lrrc49+ (more )
Structure Level Pattern Image Note
TS20: embryo Present JAX_1127991

Specimen JAX_1127993: embryonic day 12.5; Lrrc49tm1b(EUCOMM)Wtsi/Lrrc49+ (more )
Structure Level Pattern Image Note
TS20: embryo Present JAX_1127993

Specimen JAX_1127995: embryonic day 12.5; Lrrc49tm1b(EUCOMM)Wtsi/Lrrc49+ (more )
Structure Level Pattern Image Note
TS20: embryo Present JAX_1127995

Specimen JAX_1127997: embryonic day 12.5; Lrrc49tm1b(EUCOMM)Wtsi/Lrrc49+ (more )
Structure Level Pattern Image Note
TS20: embryo Present JAX_1127997

Specimen JAX_1127999: embryonic day 12.5; Lrrc49tm1b(EUCOMM)Wtsi/Lrrc49+ (more )
Structure Level Pattern Image Note
TS20: embryo Present JAX_1127999

Specimen JAX_1128001: embryonic day 12.5; Lrrc49tm1b(EUCOMM)Wtsi/Lrrc49+ (more )
Structure Level Pattern Image Note
TS20: embryo Present JAX_1128001

Specimen JAX_1128003: embryonic day 12.5; Lrrc49tm1b(EUCOMM)Wtsi/Lrrc49+ (more )
Structure Level Pattern Image Note
TS20: embryo Present JAX_1128003

Specimen JAX_1470632: postnatal adult; Lrrc49tm1b(EUCOMM)Wtsi/Lrrc49+ (more )
Structure Level Pattern Image Note
TS28: thalamus Present JAX_1470632

Specimen JAX_1470633: postnatal adult; Lrrc49tm1b(EUCOMM)Wtsi/Lrrc49+ (more )
Structure Level Pattern Image Note
TS28: midbrain Present JAX_1470633

Specimen JAX_1470634: postnatal adult; Lrrc49tm1b(EUCOMM)Wtsi/Lrrc49+ (more )
Structure Level Pattern Image Note
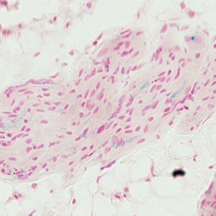
TS28: vascular system Present JAX_1470634

Specimen JAX_1470635: postnatal adult; Lrrc49tm1b(EUCOMM)Wtsi/Lrrc49+ (more )
Structure Level Pattern Image Note
TS28: olfactory lobe Present JAX_1470635

Specimen JAX_1470636: postnatal adult; Lrrc49tm1b(EUCOMM)Wtsi/Lrrc49+ (more )
Structure Level Pattern Image Note
TS28: hypothalamus Present JAX_1470636

Specimen JAX_1470637: postnatal adult; Lrrc49tm1b(EUCOMM)Wtsi/Lrrc49+ (more )
Structure Level Pattern Image Note
TS28: cartilage Present JAX_1470637

Specimen JAX_1470638: postnatal adult; Lrrc49tm1b(EUCOMM)Wtsi/Lrrc49+ (more )
Structure Level Pattern Image Note
TS28: brainstem Present JAX_1470638

Specimen JAX_1470639: postnatal adult; Lrrc49tm1b(EUCOMM)Wtsi/Lrrc49+ (more )
Structure Level Pattern Image Note
TS28: pituitary gland Present JAX_1470639

Specimen JAX_1470640: postnatal adult; Lrrc49tm1b(EUCOMM)Wtsi/Lrrc49+ (more )
Structure Level Pattern Image Note
TS28: spinal cord Present JAX_1470640

Specimen JAX_1470641: postnatal adult; Lrrc49tm1b(EUCOMM)Wtsi/Lrrc49+ (more )
Structure Level Pattern Image Note
TS28: large intestine Present JAX_1470641

Specimen JAX_1470642: postnatal adult; Lrrc49tm1b(EUCOMM)Wtsi/Lrrc49+ (more )
Structure Level Pattern Image Note
TS28: uterus Present JAX_1470642

Specimen JAX_1470643: postnatal adult; Lrrc49tm1b(EUCOMM)Wtsi/Lrrc49+ (more )
Structure Level Pattern Image Note
TS28: oviduct Present JAX_1470643

Specimen JAX_1470644: postnatal adult; Lrrc49tm1b(EUCOMM)Wtsi/Lrrc49+ (more )
Structure Level Pattern Image Note
TS28: ovary Present JAX_1470644

Specimen JAX_1470645: postnatal adult; Lrrc49tm1b(EUCOMM)Wtsi/Lrrc49+ (more )
Structure Level Pattern Image Note
TS28: mammary gland Present JAX_1470645

Specimen JAX_1470646: postnatal adult; Lrrc49tm1b(EUCOMM)Wtsi/Lrrc49+ (more )
Structure Level Pattern Image Note
TS28: eye Present JAX_1470646

Specimen JAX_1470647: postnatal adult; Lrrc49tm1b(EUCOMM)Wtsi/Lrrc49+ (more )
Structure Level Pattern Image Note
TS28: epididymis Present JAX_1470647

Specimen JAX_1470648: postnatal adult; Lrrc49tm1b(EUCOMM)Wtsi/Lrrc49+ (more )
Structure Level Pattern Image Note
TS28: submandibular gland Present JAX_1470648

Specimen JAX_1470649: postnatal adult; Lrrc49tm1b(EUCOMM)Wtsi/Lrrc49+ (more )
Structure Level Pattern Image Note
TS28: bladder Present JAX_1470649

Specimen JAX_1470650: postnatal adult; Lrrc49tm1b(EUCOMM)Wtsi/Lrrc49+ (more )
Structure Level Pattern Image Note
TS28: corpus striatum Present JAX_1470650

Specimen JAX_1470651: postnatal adult; Lrrc49tm1b(EUCOMM)Wtsi/Lrrc49+ (more )
Structure Level Pattern Image Note
TS28: peripheral nervous system Present JAX_1470651

Specimen JAX_1470652: postnatal adult; Lrrc49tm1b(EUCOMM)Wtsi/Lrrc49+ (more )
Structure Level Pattern Image Note
TS28: hippocampus Present JAX_1470652

Specimen JAX_1470653: postnatal adult; Lrrc49tm1b(EUCOMM)Wtsi/Lrrc49+ (more )
Structure Level Pattern Image Note
TS28: cerebellum Present JAX_1470653

Specimen JAX_1470654: postnatal adult; Lrrc49tm1b(EUCOMM)Wtsi/Lrrc49+ (more )
Structure Level Pattern Image Note
TS28: cerebral cortex Present JAX_1470654

Specimen JAX_1470655: postnatal adult; Lrrc49tm1b(EUCOMM)Wtsi/Lrrc49+ (more )
Structure Level Pattern Image Note
TS28: aorta Present JAX_1470655

Specimen JAX_1470656: postnatal adult; Lrrc49tm1b(EUCOMM)Wtsi/Lrrc49+ (more )
Structure Level Pattern Image Note
TS28: lung Present JAX_1470656

Specimen JAX_1470657: postnatal adult; Lrrc49tm1b(EUCOMM)Wtsi/Lrrc49+ (more )
Structure Level Pattern Image Note
TS28: small intestine Present JAX_1470657

Specimen JAX_1470659: postnatal adult; Lrrc49tm1b(EUCOMM)Wtsi/Lrrc49+ (more )
Structure Level Pattern Image Note
TS28: esophagus Present JAX_1470659

Specimen JAX_1470660: postnatal adult; Lrrc49tm1b(EUCOMM)Wtsi/Lrrc49+ (more )
Structure Level Pattern Image Note
TS28: trachea Present JAX_1470660

Specimen JAX_1470661: postnatal adult; Lrrc49tm1b(EUCOMM)Wtsi/Lrrc49+ (more )
Structure Level Pattern Image Note
TS28: testis Present JAX_1470661

Specimen JAX_1470662: postnatal adult; Lrrc49tm1b(EUCOMM)Wtsi/Lrrc49+ (more )
Structure Level Pattern Image Note
TS28: stomach Present JAX_1470662

Specimen JAX_1470663: postnatal adult; Lrrc49tm1b(EUCOMM)Wtsi/Lrrc49+ (more )
Structure Level Pattern Image Note
TS28: skin Present JAX_1470663

Specimen JAX_1470664: postnatal adult; Lrrc49tm1b(EUCOMM)Wtsi/Lrrc49+ (more )
Structure Level Pattern Image Note
TS28: metanephros Present JAX_1470664 kidney

Specimen JAX_1470665: postnatal adult; Lrrc49tm1b(EUCOMM)Wtsi/Lrrc49+ (more )
Structure Level Pattern Image Note
TS28: heart Present JAX_1470665

Specimen JAX_1470666: postnatal adult; Lrrc49tm1b(EUCOMM)Wtsi/Lrrc49+ (more )
Structure Level Pattern Image Note
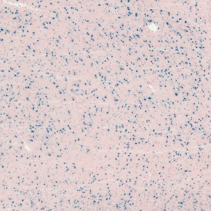
TS28: brain Present JAX_1470666

Specimen JAX_1470667: postnatal adult; Lrrc49tm1b(EUCOMM)Wtsi/Lrrc49+ (more )
Structure Level Pattern Image Note
TS28: adrenal gland Present JAX_1470667


Contributing Projects:
Mouse Genome Database (MGD), Gene Expression Database (GXD), Mouse Models of Human Cancer database (MMHCdb) (formerly Mouse Tumor Biology (MTB)), Gene Ontology (GO)
Citing These Resources
Funding Information
Warranty Disclaimer, Privacy Notice, Licensing, & Copyright
Send questions and comments to User Support.
last database update
01/06/2026
MGI 6.24
The Jackson Laboratory