About   Help   FAQ
Gene Expression Data
Assay Details
Assay
Reference: J:228563 Koscielny G, et al., The International Mouse Phenotyping Consortium Web Portal, a unified point of access for knockout mice and related phenotyping data. Nucleic Acids Res. 2014 Jan;42(Database issue):D802-9
Assay type: In situ reporter (knock in)
MGI Accession ID: MGI:6692632
Gene symbol: Cdc14a
Gene name: CDC14 cell division cycle 14A
Reporter: lacZ
Direct Detection
Results
Specimen JAX_1127525: embryonic day 12.5; Cdc14atm1e.1(EUCOMM)Hmgu/Cdc14a+ (more )
Structure Level Pattern Image Note
TS20: embryo Present JAX_1127525

Specimen JAX_1127527: embryonic day 12.5; Cdc14atm1e.1(EUCOMM)Hmgu/Cdc14a+ (more )
Structure Level Pattern Image Note
TS20: embryo Present JAX_1127527

Specimen JAX_1127529: embryonic day 12.5; Cdc14atm1e.1(EUCOMM)Hmgu/Cdc14a+ (more )
Structure Level Pattern Image Note
TS20: embryo Present JAX_1127529

Specimen JAX_1127531: embryonic day 12.5; Cdc14atm1e.1(EUCOMM)Hmgu/Cdc14a+ (more )
Structure Level Pattern Image Note
TS20: embryo Present JAX_1127531

Specimen JAX_1127533: embryonic day 12.5; Cdc14atm1e.1(EUCOMM)Hmgu/Cdc14a+ (more )
Structure Level Pattern Image Note
TS20: embryo Present JAX_1127533

Specimen JAX_1127535: embryonic day 12.5; Cdc14atm1e.1(EUCOMM)Hmgu/Cdc14a+ (more )
Structure Level Pattern Image Note
TS20: embryo Present JAX_1127535

Specimen JAX_1127537: embryonic day 12.5; Cdc14atm1e.1(EUCOMM)Hmgu/Cdc14a+ (more )
Structure Level Pattern Image Note
TS20: embryo Present JAX_1127537

Specimen JAX_1127539: embryonic day 12.5; Cdc14atm1e.1(EUCOMM)Hmgu/Cdc14a+ (more )
Structure Level Pattern Image Note
TS20: embryo Present JAX_1127539

Specimen JAX_1470507: postnatal adult; Cdc14atm1e.1(EUCOMM)Hmgu/Cdc14a+ (more )
Structure Level Pattern Image Note
TS28: midbrain Present JAX_1470507

Specimen JAX_1470508: postnatal adult; Cdc14atm1e.1(EUCOMM)Hmgu/Cdc14a+ (more )
Structure Level Pattern Image Note
TS28: vascular system Present JAX_1470508

Specimen JAX_1470509: postnatal adult; Cdc14atm1e.1(EUCOMM)Hmgu/Cdc14a+ (more )
Structure Level Pattern Image Note
TS28: bladder Present JAX_1470509

Specimen JAX_1470510: postnatal adult; Cdc14atm1e.1(EUCOMM)Hmgu/Cdc14a+ (more )
Structure Level Pattern Image Note
TS28: corpus striatum Present JAX_1470510

Specimen JAX_1470511: postnatal adult; Cdc14atm1e.1(EUCOMM)Hmgu/Cdc14a+ (more )
Structure Level Pattern Image Note
TS28: peripheral nervous system Present JAX_1470511

Specimen JAX_1470512: postnatal adult; Cdc14atm1e.1(EUCOMM)Hmgu/Cdc14a+ (more )
Structure Level Pattern Image Note
TS28: olfactory lobe Present JAX_1470512

Specimen JAX_1470513: postnatal adult; Cdc14atm1e.1(EUCOMM)Hmgu/Cdc14a+ (more )
Structure Level Pattern Image Note
TS28: hypothalamus Present JAX_1470513

Specimen JAX_1470514: postnatal adult; Cdc14atm1e.1(EUCOMM)Hmgu/Cdc14a+ (more )
Structure Level Pattern Image Note
TS28: cerebral cortex Present JAX_1470514

Specimen JAX_1470515: postnatal adult; Cdc14atm1e.1(EUCOMM)Hmgu/Cdc14a+ (more )
Structure Level Pattern Image Note
TS28: aorta Present JAX_1470515

Specimen JAX_1470516: postnatal adult; Cdc14atm1e.1(EUCOMM)Hmgu/Cdc14a+ (more )
Structure Level Pattern Image Note
TS28: lung Present JAX_1470516

Specimen JAX_1470517: postnatal adult; Cdc14atm1e.1(EUCOMM)Hmgu/Cdc14a+ (more )
Structure Level Pattern Image Note
TS28: skeletal muscle tissue Present JAX_1470517

Specimen JAX_1470518: postnatal adult; Cdc14atm1e.1(EUCOMM)Hmgu/Cdc14a+ (more )
Structure Level Pattern Image Note
TS28: pituitary gland Present JAX_1470518

Specimen JAX_1470520: postnatal adult; Cdc14atm1e.1(EUCOMM)Hmgu/Cdc14a+ (more )
Structure Level Pattern Image Note
TS28: spinal cord Present JAX_1470520

Specimen JAX_1470521: postnatal adult; Cdc14atm1e.1(EUCOMM)Hmgu/Cdc14a+ (more )
Structure Level Pattern Image Note
TS28: esophagus Present JAX_1470521

Specimen JAX_1470522: postnatal adult; Cdc14atm1e.1(EUCOMM)Hmgu/Cdc14a+ (more )
Structure Level Pattern Image Note
TS28: uterus Present JAX_1470522

Specimen JAX_1470523: postnatal adult; Cdc14atm1e.1(EUCOMM)Hmgu/Cdc14a+ (more )
Structure Level Pattern Image Note
TS28: trachea Present JAX_1470523

Specimen JAX_1470524: postnatal adult; Cdc14atm1e.1(EUCOMM)Hmgu/Cdc14a+ (more )
Structure Level Pattern Image Note
TS28: oviduct Present JAX_1470524

Specimen JAX_1470525: postnatal adult; Cdc14atm1e.1(EUCOMM)Hmgu/Cdc14a+ (more )
Structure Level Pattern Image Note
TS28: ovary Present JAX_1470525

Specimen JAX_1470526: postnatal adult; Cdc14atm1e.1(EUCOMM)Hmgu/Cdc14a+ (more )
Structure Level Pattern Image Note
TS28: mammary gland Present JAX_1470526

Specimen JAX_1470527: postnatal adult; Cdc14atm1e.1(EUCOMM)Hmgu/Cdc14a+ (more )
Structure Level Pattern Image Note
TS28: metanephros Present JAX_1470527 kidney

Specimen JAX_1470528: postnatal adult; Cdc14atm1e.1(EUCOMM)Hmgu/Cdc14a+ (more )
Structure Level Pattern Image Note
TS28: brain Present JAX_1470528

Specimen JAX_1470529: postnatal adult; Cdc14atm1e.1(EUCOMM)Hmgu/Cdc14a+ (more )
Structure Level Pattern Image Note
TS28: adrenal gland Present JAX_1470529

Specimen JAX_1470530: postnatal adult; Cdc14atm1e.1(EUCOMM)Hmgu/Cdc14a+ (more )
Structure Level Pattern Image Note
TS28: thalamus Present JAX_1470530

Specimen JAX_1470531: postnatal adult; Cdc14atm1e.1(EUCOMM)Hmgu/Cdc14a+ (more )
Structure Level Pattern Image Note
TS28: epididymis Present JAX_1470531

Specimen JAX_1470532: postnatal adult; Cdc14atm1e.1(EUCOMM)Hmgu/Cdc14a+ (more )
Structure Level Pattern Image Note
TS28: submandibular gland Present JAX_1470532

Specimen JAX_1470533: postnatal adult; Cdc14atm1e.1(EUCOMM)Hmgu/Cdc14a+ (more )
Structure Level Pattern Image Note
TS28: Peyer's patch Present JAX_1470533

Specimen JAX_1470534: postnatal adult; Cdc14atm1e.1(EUCOMM)Hmgu/Cdc14a+ (more )
Structure Level Pattern Image Note
TS28: hippocampus Present JAX_1470534

Specimen JAX_1470535: postnatal adult; Cdc14atm1e.1(EUCOMM)Hmgu/Cdc14a+ (more )
Structure Level Pattern Image Note
TS28: cerebellum Present JAX_1470535

Specimen JAX_1470536: postnatal adult; Cdc14atm1e.1(EUCOMM)Hmgu/Cdc14a+ (more )
Structure Level Pattern Image Note
TS28: cartilage Present JAX_1470536

Specimen JAX_1470537: postnatal adult; Cdc14atm1e.1(EUCOMM)Hmgu/Cdc14a+ (more )
Structure Level Pattern Image Note
TS28: brainstem Present JAX_1470537

Specimen JAX_1470538: postnatal adult; Cdc14atm1e.1(EUCOMM)Hmgu/Cdc14a+ (more )
Structure Level Pattern Image Note
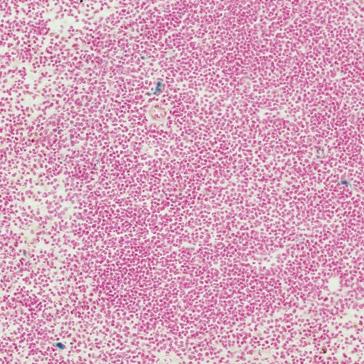
TS28: spleen Present JAX_1470538

Specimen JAX_1470539: postnatal adult; Cdc14atm1e.1(EUCOMM)Hmgu/Cdc14a+ (more )
Structure Level Pattern Image Note
TS28: small intestine Present JAX_1470539

Specimen JAX_1470540: postnatal adult; Cdc14atm1e.1(EUCOMM)Hmgu/Cdc14a+ (more )
Structure Level Pattern Image Note
TS28: large intestine Present JAX_1470540

Specimen JAX_1470541: postnatal adult; Cdc14atm1e.1(EUCOMM)Hmgu/Cdc14a+ (more )
Structure Level Pattern Image Note
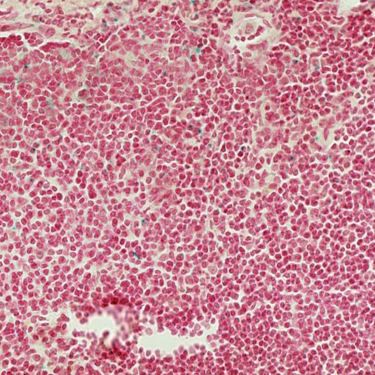
TS28: thymus Present JAX_1470541

Specimen JAX_1470542: postnatal adult; Cdc14atm1e.1(EUCOMM)Hmgu/Cdc14a+ (more )
Structure Level Pattern Image Note
TS28: testis Present JAX_1470542

Specimen JAX_1470543: postnatal adult; Cdc14atm1e.1(EUCOMM)Hmgu/Cdc14a+ (more )
Structure Level Pattern Image Note
TS28: stomach Present JAX_1470543

Specimen JAX_1470544: postnatal adult; Cdc14atm1e.1(EUCOMM)Hmgu/Cdc14a+ (more )
Structure Level Pattern Image Note
TS28: skin Present JAX_1470544

Specimen JAX_1470545: postnatal adult; Cdc14atm1e.1(EUCOMM)Hmgu/Cdc14a+ (more )
Structure Level Pattern Image Note
TS28: heart Present JAX_1470545

Specimen JAX_1470546: postnatal adult; Cdc14atm1e.1(EUCOMM)Hmgu/Cdc14a+ (more )
Structure Level Pattern Image Note
TS28: eye Present JAX_1470546


Contributing Projects:
Mouse Genome Database (MGD), Gene Expression Database (GXD), Mouse Models of Human Cancer database (MMHCdb) (formerly Mouse Tumor Biology (MTB)), Gene Ontology (GO)
Citing These Resources
Funding Information
Warranty Disclaimer, Privacy Notice, Licensing, & Copyright
Send questions and comments to User Support.
last database update
09/30/2025
MGI 6.24
The Jackson Laboratory