About   Help   FAQ
Gene Expression Data
Assay Details
Assay
Reference: J:228563 Koscielny G, et al., The International Mouse Phenotyping Consortium Web Portal, a unified point of access for knockout mice and related phenotyping data. Nucleic Acids Res. 2014 Jan;42(Database issue):D802-9
Assay type: In situ reporter (knock in)
MGI Accession ID: MGI:6692624
Gene symbol: Stk38
Gene name: serine/threonine kinase 38
Reporter: lacZ
Direct Detection
Results
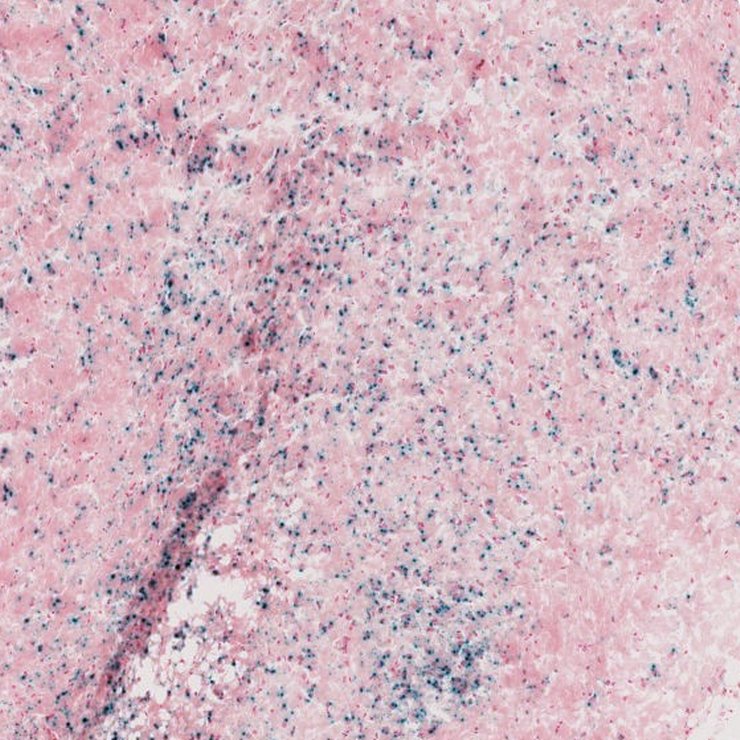
Specimen JAX_1263147: embryonic day 12.5; Stk38tm1b(KOMP)Wtsi/Stk38+ (more )
Structure Level Pattern Image Note
TS20: embryo Present JAX_1263147

Specimen JAX_1263149: embryonic day 12.5; Stk38tm1b(KOMP)Wtsi/Stk38+ (more )
Structure Level Pattern Image Note
TS20: embryo Present JAX_1263149

Specimen JAX_1263151: embryonic day 12.5; Stk38tm1b(KOMP)Wtsi/Stk38+ (more )
Structure Level Pattern Image Note
TS20: embryo Present JAX_1263151

Specimen JAX_1263153: embryonic day 12.5; Stk38tm1b(KOMP)Wtsi/Stk38+ (more )
Structure Level Pattern Image Note
TS20: embryo Present JAX_1263153

Specimen JAX_1263155: embryonic day 12.5; Stk38tm1b(KOMP)Wtsi/Stk38+ (more )
Structure Level Pattern Image Note
TS20: embryo Present JAX_1263155

Specimen JAX_1263157: embryonic day 12.5; Stk38tm1b(KOMP)Wtsi/Stk38+ (more )
Structure Level Pattern Image Note
TS20: embryo Present JAX_1263157

Specimen JAX_1263159: embryonic day 12.5; Stk38tm1b(KOMP)Wtsi/Stk38+ (more )
Structure Level Pattern Image Note
TS20: embryo Present JAX_1263159

Specimen JAX_1263161: embryonic day 12.5; Stk38tm1b(KOMP)Wtsi/Stk38+ (more )
Structure Level Pattern Image Note
TS20: embryo Present JAX_1263161

Specimen JAX_1372461: postnatal adult; Stk38tm1b(KOMP)Wtsi/Stk38+ (more )
Structure Level Pattern Image Note
TS28: thalamus Present JAX_1372461

Specimen JAX_1372462: postnatal adult; Stk38tm1b(KOMP)Wtsi/Stk38+ (more )
Structure Level Pattern Image Note
TS28: midbrain Present JAX_1372462

Specimen JAX_1372463: postnatal adult; Stk38tm1b(KOMP)Wtsi/Stk38+ (more )
Structure Level Pattern Image Note
TS28: submandibular gland Present JAX_1372463

Specimen JAX_1372464: postnatal adult; Stk38tm1b(KOMP)Wtsi/Stk38+ (more )
Structure Level Pattern Image Note
TS28: brown fat Present JAX_1372464

Specimen JAX_1372465: postnatal adult; Stk38tm1b(KOMP)Wtsi/Stk38+ (more )
Structure Level Pattern Image Note
TS28: bladder Present JAX_1372465

Specimen JAX_1372466: postnatal adult; Stk38tm1b(KOMP)Wtsi/Stk38+ (more )
Structure Level Pattern Image Note
TS28: Peyer's patch Present JAX_1372466

Specimen JAX_1372467: postnatal adult; Stk38tm1b(KOMP)Wtsi/Stk38+ (more )
Structure Level Pattern Image Note
TS28: olfactory lobe Present JAX_1372467

Specimen JAX_1372468: postnatal adult; Stk38tm1b(KOMP)Wtsi/Stk38+ (more )
Structure Level Pattern Image Note
TS28: hippocampus Present JAX_1372468

Specimen JAX_1372469: postnatal adult; Stk38tm1b(KOMP)Wtsi/Stk38+ (more )
Structure Level Pattern Image Note
TS28: cerebellum Present JAX_1372469

Specimen JAX_1372470: postnatal adult; Stk38tm1b(KOMP)Wtsi/Stk38+ (more )
Structure Level Pattern Image Note
TS28: cartilage Present JAX_1372470

Specimen JAX_1372471: postnatal adult; Stk38tm1b(KOMP)Wtsi/Stk38+ (more )
Structure Level Pattern Image Note
TS28: brainstem Present JAX_1372471

Specimen JAX_1372472: postnatal adult; Stk38tm1b(KOMP)Wtsi/Stk38+ (more )
Structure Level Pattern Image Note
TS28: spleen Present JAX_1372472

Specimen JAX_1372473: postnatal adult; Stk38tm1b(KOMP)Wtsi/Stk38+ (more )
Structure Level Pattern Image Note
TS28: pancreas Present JAX_1372473

Specimen JAX_1372474: postnatal adult; Stk38tm1b(KOMP)Wtsi/Stk38+ (more )
Structure Level Pattern Image Note
TS28: white fat Present JAX_1372474

Specimen JAX_1372475: postnatal adult; Stk38tm1b(KOMP)Wtsi/Stk38+ (more )
Structure Level Pattern Image Note
TS28: skeletal muscle tissue Present JAX_1372475

Specimen JAX_1372476: postnatal adult; Stk38tm1b(KOMP)Wtsi/Stk38+ (more )
Structure Level Pattern Image Note
TS28: pituitary gland Present JAX_1372476

Specimen JAX_1372477: postnatal adult; Stk38tm1b(KOMP)Wtsi/Stk38+ (more )
Structure Level Pattern Image Note
TS28: thyroid gland Present JAX_1372477

Specimen JAX_1372478: postnatal adult; Stk38tm1b(KOMP)Wtsi/Stk38+ (more )
Structure Level Pattern Image Note
TS28: uterus Present JAX_1372478

Specimen JAX_1372479: postnatal adult; Stk38tm1b(KOMP)Wtsi/Stk38+ (more )
Structure Level Pattern Image Note
TS28: thymus Present JAX_1372479

Specimen JAX_1372480: postnatal adult; Stk38tm1b(KOMP)Wtsi/Stk38+ (more )
Structure Level Pattern Image Note
TS28: skin Present JAX_1372480

Specimen JAX_1372481: postnatal adult; Stk38tm1b(KOMP)Wtsi/Stk38+ (more )
Structure Level Pattern Image Note
TS28: oviduct Present JAX_1372481

Specimen JAX_1372482: postnatal adult; Stk38tm1b(KOMP)Wtsi/Stk38+ (more )
Structure Level Pattern Image Note
TS28: ovary Present JAX_1372482

Specimen JAX_1372483: postnatal adult; Stk38tm1b(KOMP)Wtsi/Stk38+ (more )
Structure Level Pattern Image Note
TS28: lymph node Present JAX_1372483

Specimen JAX_1372484: postnatal adult; Stk38tm1b(KOMP)Wtsi/Stk38+ (more )
Structure Level Pattern Image Note
TS28: liver Present JAX_1372484

Specimen JAX_1372485: postnatal adult; Stk38tm1b(KOMP)Wtsi/Stk38+ (more )
Structure Level Pattern Image Note
TS28: metanephros Present JAX_1372485 kidney

Specimen JAX_1372486: postnatal adult; Stk38tm1b(KOMP)Wtsi/Stk38+ (more )
Structure Level Pattern Image Note
TS28: heart Present JAX_1372486

Specimen JAX_1372487: postnatal adult; Stk38tm1b(KOMP)Wtsi/Stk38+ (more )
Structure Level Pattern Image Note
TS28: eye Present JAX_1372487

Specimen JAX_1372488: postnatal adult; Stk38tm1b(KOMP)Wtsi/Stk38+ (more )
Structure Level Pattern Image Note
TS28: brain Present JAX_1372488

Specimen JAX_1372489: postnatal adult; Stk38tm1b(KOMP)Wtsi/Stk38+ (more )
Structure Level Pattern Image Note
TS28: vascular system Present JAX_1372489

Specimen JAX_1372490: postnatal adult; Stk38tm1b(KOMP)Wtsi/Stk38+ (more )
Structure Level Pattern Image Note
TS28: epididymis Present JAX_1372490

Specimen JAX_1372491: postnatal adult; Stk38tm1b(KOMP)Wtsi/Stk38+ (more )
Structure Level Pattern Image Note
TS28: corpus striatum Present JAX_1372491

Specimen JAX_1372492: postnatal adult; Stk38tm1b(KOMP)Wtsi/Stk38+ (more )
Structure Level Pattern Image Note
TS28: peripheral nervous system Present JAX_1372492

Specimen JAX_1372493: postnatal adult; Stk38tm1b(KOMP)Wtsi/Stk38+ (more )
Structure Level Pattern Image Note
TS28: hypothalamus Present JAX_1372493

Specimen JAX_1372494: postnatal adult; Stk38tm1b(KOMP)Wtsi/Stk38+ (more )
Structure Level Pattern Image Note
TS28: cerebral cortex Present JAX_1372494

Specimen JAX_1372495: postnatal adult; Stk38tm1b(KOMP)Wtsi/Stk38+ (more )
Structure Level Pattern Image Note
TS28: aorta Present JAX_1372495

Specimen JAX_1372496: postnatal adult; Stk38tm1b(KOMP)Wtsi/Stk38+ (more )
Structure Level Pattern Image Note
TS28: lung Present JAX_1372496

Specimen JAX_1372497: postnatal adult; Stk38tm1b(KOMP)Wtsi/Stk38+ (more )
Structure Level Pattern Image Note
TS28: small intestine Present JAX_1372497

Specimen JAX_1372498: postnatal adult; Stk38tm1b(KOMP)Wtsi/Stk38+ (more )
Structure Level Pattern Image Note
TS28: spinal cord Present JAX_1372498

Specimen JAX_1372499: postnatal adult; Stk38tm1b(KOMP)Wtsi/Stk38+ (more )
Structure Level Pattern Image Note
TS28: esophagus Present JAX_1372499

Specimen JAX_1372500: postnatal adult; Stk38tm1b(KOMP)Wtsi/Stk38+ (more )
Structure Level Pattern Image Note
TS28: large intestine Present JAX_1372500

Specimen JAX_1372501: postnatal adult; Stk38tm1b(KOMP)Wtsi/Stk38+ (more )
Structure Level Pattern Image Note
TS28: trachea Present JAX_1372501

Specimen JAX_1372502: postnatal adult; Stk38tm1b(KOMP)Wtsi/Stk38+ (more )
Structure Level Pattern Image Note
TS28: testis Present JAX_1372502

Specimen JAX_1372503: postnatal adult; Stk38tm1b(KOMP)Wtsi/Stk38+ (more )
Structure Level Pattern Image Note
TS28: stomach Present JAX_1372503

Specimen JAX_1372504: postnatal adult; Stk38tm1b(KOMP)Wtsi/Stk38+ (more )
Structure Level Pattern Image Note
TS28: adrenal gland Present JAX_1372504


Contributing Projects:
Mouse Genome Database (MGD), Gene Expression Database (GXD), Mouse Models of Human Cancer database (MMHCdb) (formerly Mouse Tumor Biology (MTB)), Gene Ontology (GO)
Citing These Resources
Funding Information
Warranty Disclaimer, Privacy Notice, Licensing, & Copyright
Send questions and comments to User Support.
last database update
12/09/2025
MGI 6.24
The Jackson Laboratory