About   Help   FAQ
Gene Expression Data
Assay Details
Assay
Reference: J:228563 Koscielny G, et al., The International Mouse Phenotyping Consortium Web Portal, a unified point of access for knockout mice and related phenotyping data. Nucleic Acids Res. 2014 Jan;42(Database issue):D802-9
Assay type: In situ reporter (knock in)
MGI Accession ID: MGI:6692616
Gene symbol: Ubxn2a
Gene name: UBX domain protein 2A
Reporter: lacZ
Direct Detection
Results
Specimen UC Davis_1885936: postnatal adult; Ubxn2atm1b(EUCOMM)Hmgu/Ubxn2a+ (more )
Structure Level Pattern Image Note
TS28: sublingual gland Present UC Davis_1885936

Specimen UC Davis_1885937: postnatal adult; Ubxn2atm1b(EUCOMM)Hmgu/Ubxn2a+ (more )
Structure Level Pattern Image Note
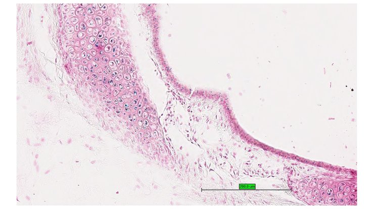
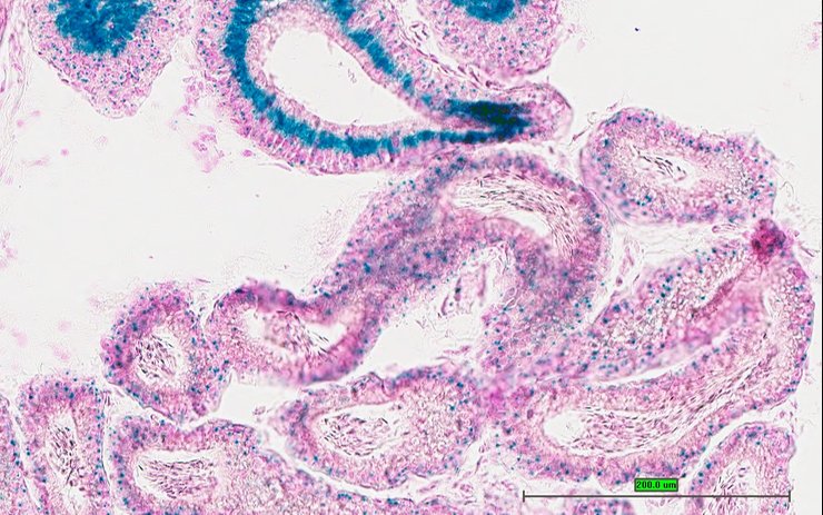
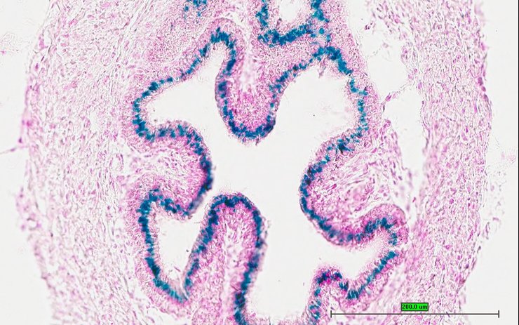
TS28: trachea Present UC Davis_1885937

Specimen UC Davis_1885938: postnatal adult; Ubxn2atm1b(EUCOMM)Hmgu/Ubxn2a+ (more )
Structure Level Pattern Image Note
TS28: trachea Present UC Davis_1885938

Specimen UC Davis_1885939: postnatal adult; Ubxn2atm1b(EUCOMM)Hmgu/Ubxn2a+ (more )
Structure Level Pattern Image Note
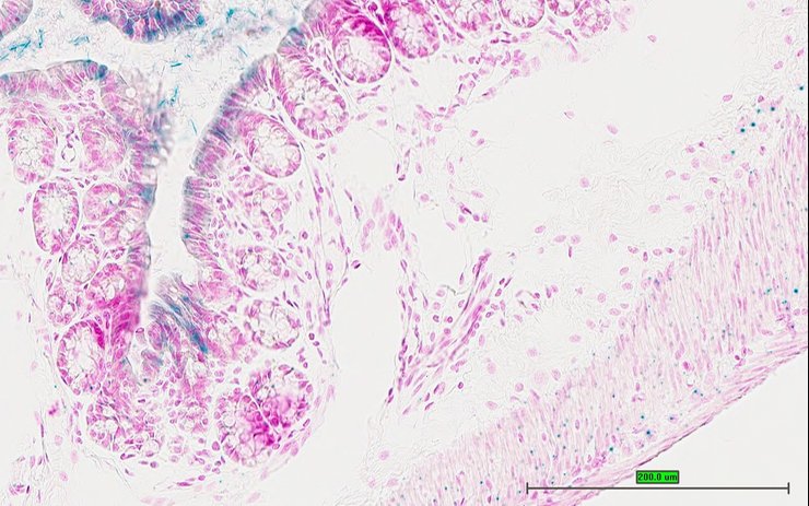
TS28: esophagus Present UC Davis_1885939

Specimen UC Davis_1885940: postnatal adult; Ubxn2atm1b(EUCOMM)Hmgu/Ubxn2a+ (more )
Structure Level Pattern Image Note
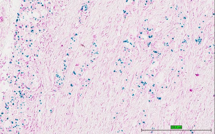
TS28: thymus Present UC Davis_1885940

Specimen UC Davis_1885944: postnatal adult; Ubxn2atm1b(EUCOMM)Hmgu/Ubxn2a+ (more )
Structure Level Pattern Image Note
TS28: stomach Present UC Davis_1885944

Specimen UC Davis_1885945: postnatal adult; Ubxn2atm1b(EUCOMM)Hmgu/Ubxn2a+ (more )
Structure Level Pattern Image Note
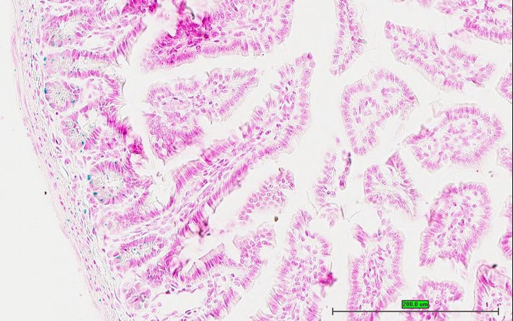
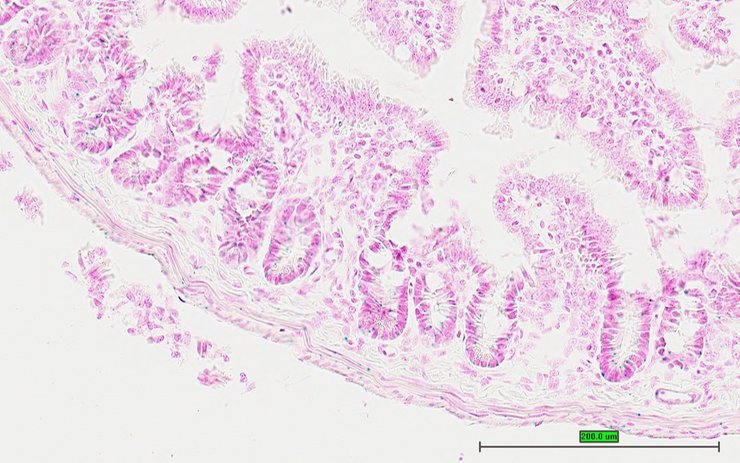
TS28: ileum Present UC Davis_1885945

Specimen UC Davis_1885946: postnatal adult; Ubxn2atm1b(EUCOMM)Hmgu/Ubxn2a+ (more )
Structure Level Pattern Image Note
TS28: colon Present UC Davis_1885946

Specimen UC Davis_1885947: postnatal adult; Ubxn2atm1b(EUCOMM)Hmgu/Ubxn2a+ (more )
Structure Level Pattern Image Note
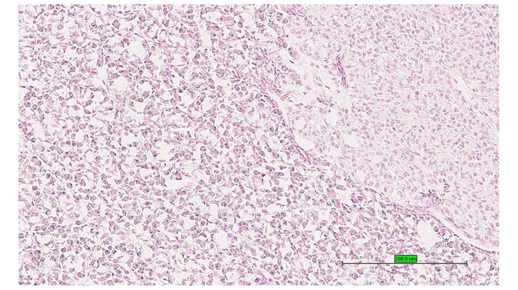
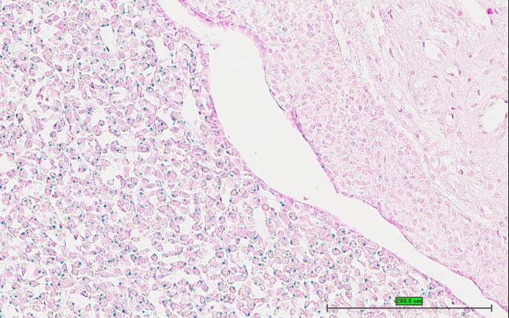
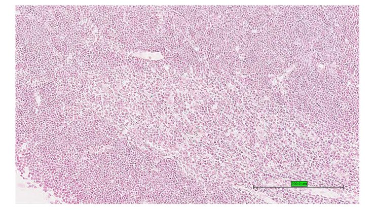
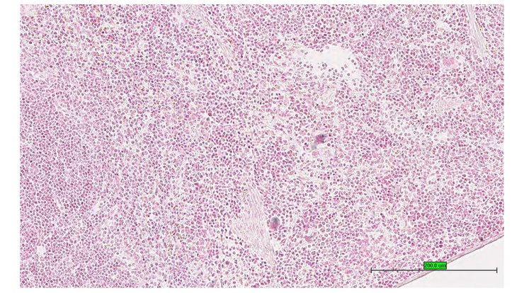
TS28: spleen Present UC Davis_1885947

Specimen UC Davis_1885948: postnatal adult; Ubxn2atm1b(EUCOMM)Hmgu/Ubxn2a+ (more )
Structure Level Pattern Image Note
TS28: spleen Present UC Davis_1885948

Specimen UC Davis_1885949: postnatal adult; Ubxn2atm1b(EUCOMM)Hmgu/Ubxn2a+ (more )
Structure Level Pattern Image Note
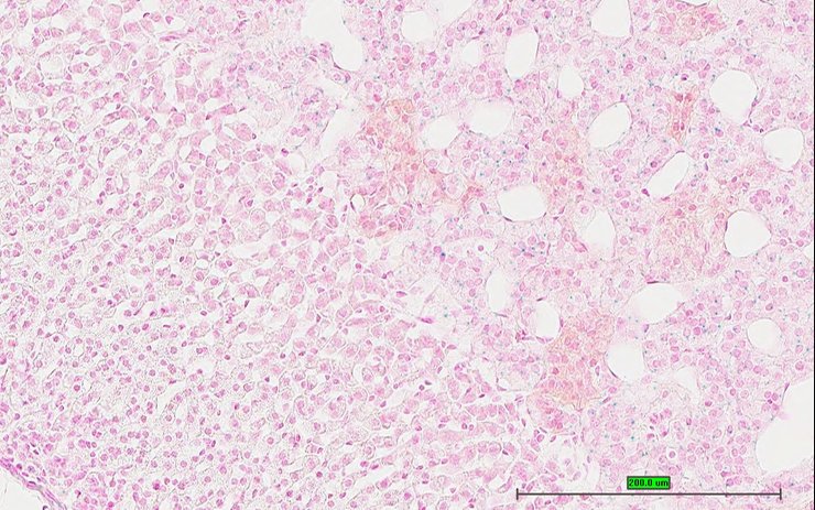
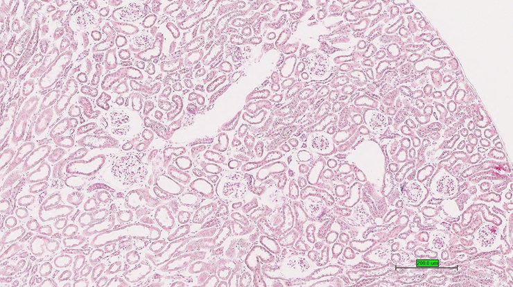
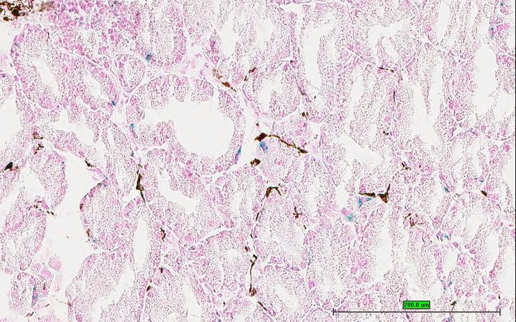
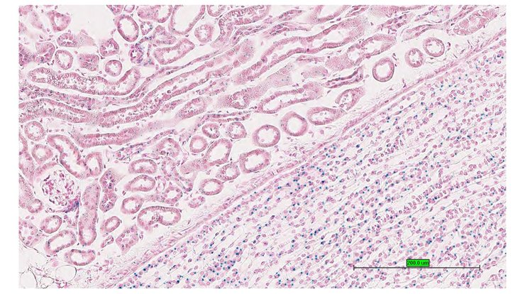
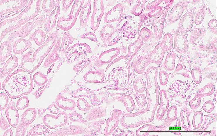
TS28: metanephros Present UC Davis_1885949 kidney

Specimen UC Davis_1885950: postnatal adult; Ubxn2atm1b(EUCOMM)Hmgu/Ubxn2a+ (more )
Structure Level Pattern Image Note
TS28: metanephros Present UC Davis_1885950 kidney

Specimen UC Davis_1885951: postnatal adult; Ubxn2atm1b(EUCOMM)Hmgu/Ubxn2a+ (more )
Structure Level Pattern Image Note
TS28: metanephros Present UC Davis_1885951 kidney

Specimen UC Davis_1885952: postnatal adult; Ubxn2atm1b(EUCOMM)Hmgu/Ubxn2a+ (more )
Structure Level Pattern Image Note
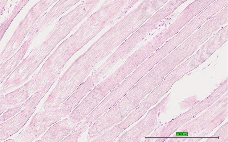
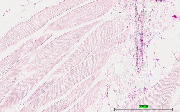
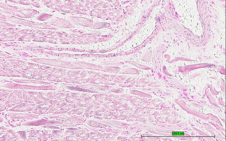
TS28: quadriceps femoris muscle Present UC Davis_1885952

Specimen UC Davis_1885953: postnatal adult; Ubxn2atm1b(EUCOMM)Hmgu/Ubxn2a+ (more )
Structure Level Pattern Image Note
TS28: quadriceps femoris muscle Present UC Davis_1885953

Specimen UC Davis_1885954: postnatal adult; Ubxn2atm1b(EUCOMM)Hmgu/Ubxn2a+ (more )
Structure Level Pattern Image Note
TS28: tongue Present UC Davis_1885954

Specimen UC Davis_1885955: postnatal adult; Ubxn2atm1b(EUCOMM)Hmgu/Ubxn2a+ (more )
Structure Level Pattern Image Note
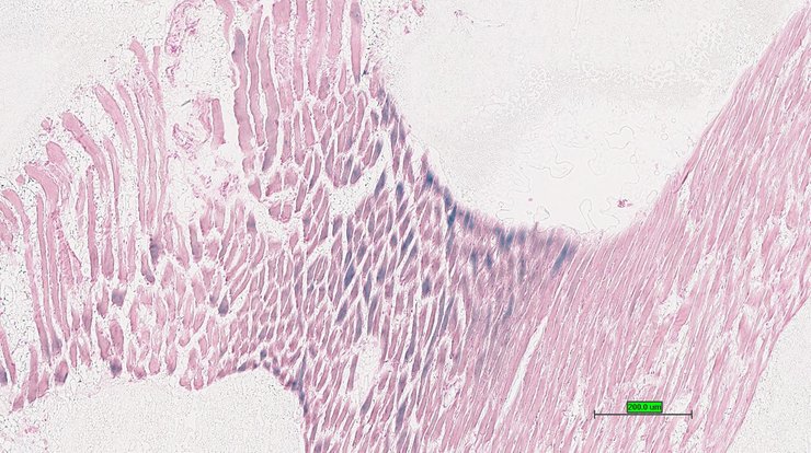
TS28: diaphragm Present UC Davis_1885955

Specimen UC Davis_1885956: postnatal adult; Ubxn2atm1b(EUCOMM)Hmgu/Ubxn2a+ (more )
Structure Level Pattern Image Note
TS28: diaphragm Present UC Davis_1885956

Specimen UC Davis_1885957: postnatal adult; Ubxn2atm1b(EUCOMM)Hmgu/Ubxn2a+ (more )
Structure Level Pattern Image Note
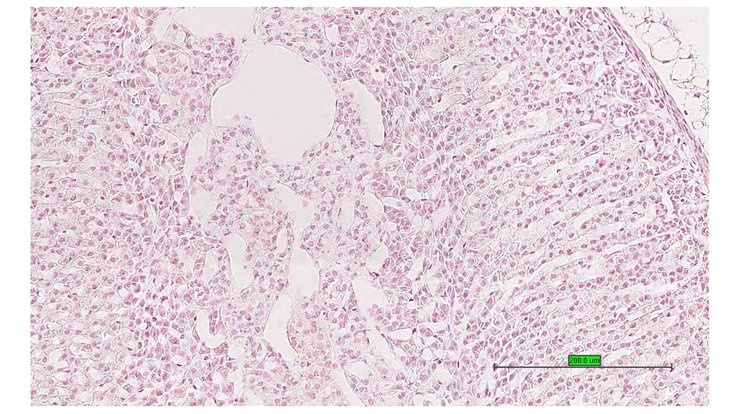
TS28: adrenal gland Present UC Davis_1885957

Specimen UC Davis_1885958: postnatal adult; Ubxn2atm1b(EUCOMM)Hmgu/Ubxn2a+ (more )
Structure Level Pattern Image Note
TS28: pituitary gland Present UC Davis_1885958

Specimen UC Davis_1885959: postnatal adult; Ubxn2atm1b(EUCOMM)Hmgu/Ubxn2a+ (more )
Structure Level Pattern Image Note
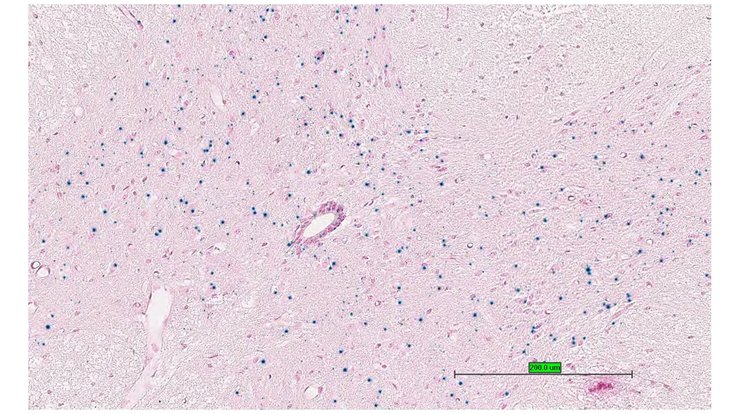
TS28: spinal cord Present UC Davis_1885959

Specimen UC Davis_1885960: postnatal adult; Ubxn2atm1b(EUCOMM)Hmgu/Ubxn2a+ (more )
Structure Level Pattern Image Note
TS28: spinal cord Present UC Davis_1885960

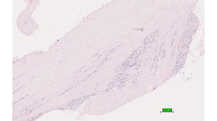
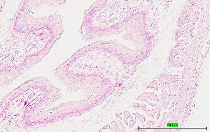
Specimen UC Davis_1885961: postnatal adult; Ubxn2atm1b(EUCOMM)Hmgu/Ubxn2a+ (more )
Structure Level Pattern Image Note
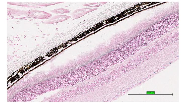
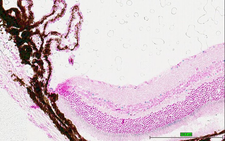
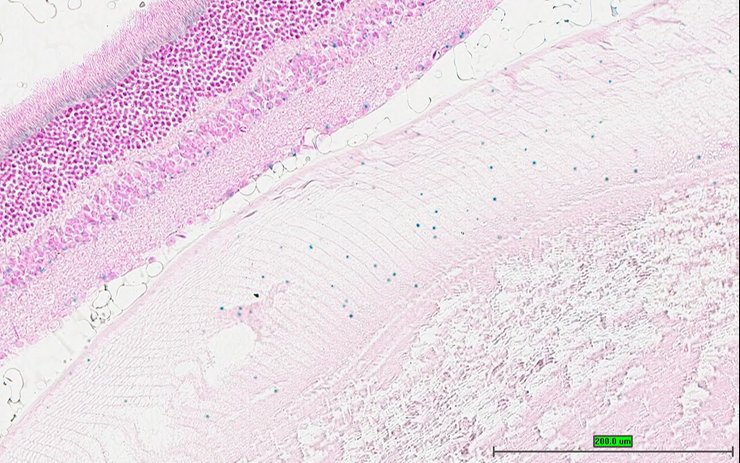
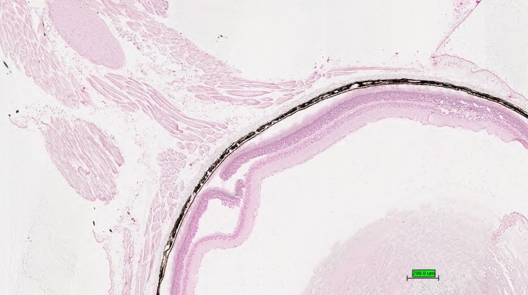
TS28: eye Present UC Davis_1885961

Specimen UC Davis_1885962: postnatal adult; Ubxn2atm1b(EUCOMM)Hmgu/Ubxn2a+ (more )
Structure Level Pattern Image Note
TS28: eye Present UC Davis_1885962

Specimen UC Davis_1885963: postnatal adult; Ubxn2atm1b(EUCOMM)Hmgu/Ubxn2a+ (more )
Structure Level Pattern Image Note
TS28: eye Present UC Davis_1885963

Specimen UC Davis_1885964: postnatal adult; Ubxn2atm1b(EUCOMM)Hmgu/Ubxn2a+ (more )
Structure Level Pattern Image Note
TS28: Harderian gland Present UC Davis_1885964

Specimen UC Davis_1885965: postnatal adult; Ubxn2atm1b(EUCOMM)Hmgu/Ubxn2a+ (more )
Structure Level Pattern Image Note
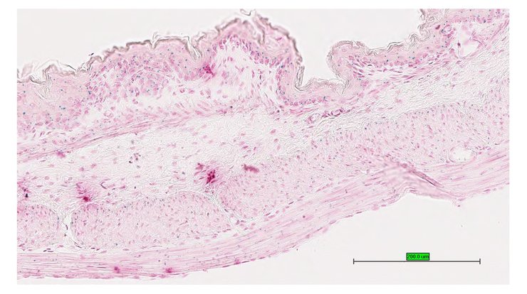
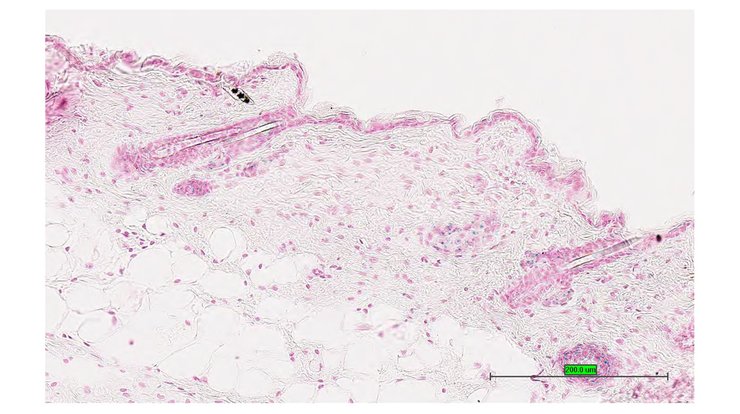
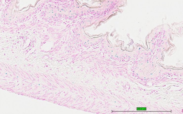
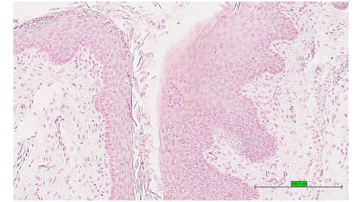
TS28: skin Present UC Davis_1885965

Specimen UC Davis_1885966: postnatal adult; Ubxn2atm1b(EUCOMM)Hmgu/Ubxn2a+ (more )
Structure Level Pattern Image Note
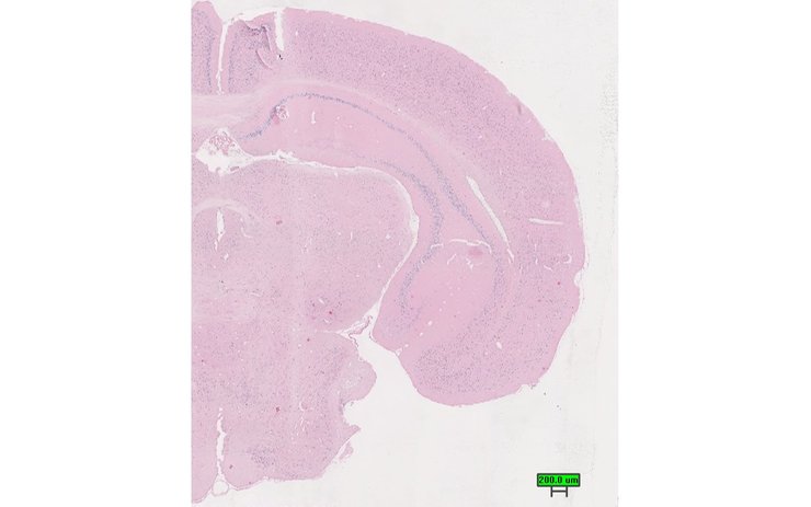
TS28: olfactory lobe Present UC Davis_1885966

Specimen UC Davis_1885969: postnatal adult; Ubxn2atm1b(EUCOMM)Hmgu/Ubxn2a+ (more )
Structure Level Pattern Image Note
TS28: midbrain Present UC Davis_1885969

Specimen UC Davis_1885971: postnatal adult; Ubxn2atm1b(EUCOMM)Hmgu/Ubxn2a+ (more )
Structure Level Pattern Image Note
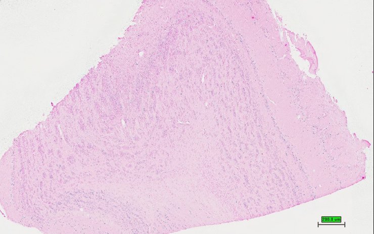
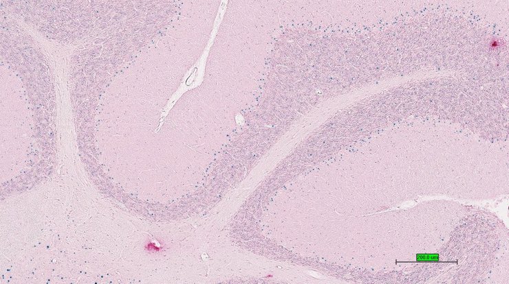
TS28: cerebellum Present UC Davis_1885971

Specimen UC Davis_1885972: postnatal adult; Ubxn2atm1b(EUCOMM)Hmgu/Ubxn2a+ (more )
Structure Level Pattern Image Note
TS28: cerebellum Present UC Davis_1885972

Specimen UC Davis_1885973: postnatal adult; Ubxn2atm1b(EUCOMM)Hmgu/Ubxn2a+ (more )
Structure Level Pattern Image Note
TS28: trigeminal nerve Present UC Davis_1885973

Specimen UC Davis_1885974: postnatal adult; Ubxn2atm1b(EUCOMM)Hmgu/Ubxn2a+ (more )
Structure Level Pattern Image Note
TS28: trigeminal nerve Present UC Davis_1885974

Specimen UC Davis_1885975: postnatal adult; Ubxn2atm1b(EUCOMM)Hmgu/Ubxn2a+ (more )
Structure Level Pattern Image Note
TS28: ovary Present UC Davis_1885975

Specimen UC Davis_1885976: postnatal adult; Ubxn2atm1b(EUCOMM)Hmgu/Ubxn2a+ (more )
Structure Level Pattern Image Note
TS28: oviduct Present UC Davis_1885976

Specimen UC Davis_1885977: postnatal adult; Ubxn2atm1b(EUCOMM)Hmgu/Ubxn2a+ (more )
Structure Level Pattern Image Note
TS28: oviduct Present UC Davis_1885977

Specimen UC Davis_1885978: postnatal adult; Ubxn2atm1b(EUCOMM)Hmgu/Ubxn2a+ (more )
Structure Level Pattern Image Note
TS28: uterus Present UC Davis_1885978

Specimen UC Davis_1885979: postnatal adult; Ubxn2atm1b(EUCOMM)Hmgu/Ubxn2a+ (more )
Structure Level Pattern Image Note
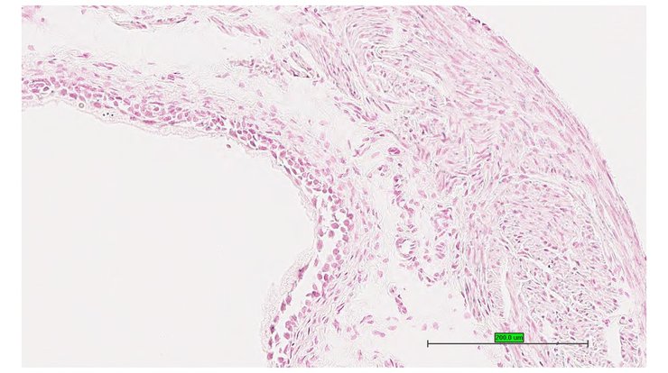
TS28: vagina Present UC Davis_1885979

Specimen UC Davis_1885980: postnatal adult; Ubxn2atm1b(EUCOMM)Hmgu/Ubxn2a+ (more )
Structure Level Pattern Image Note
TS28: bladder Present UC Davis_1885980

Specimen UC Davis_1885981: postnatal adult; Ubxn2atm1b(EUCOMM)Hmgu/Ubxn2a+ (more )
Structure Level Pattern Image Note
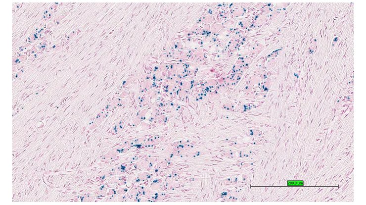
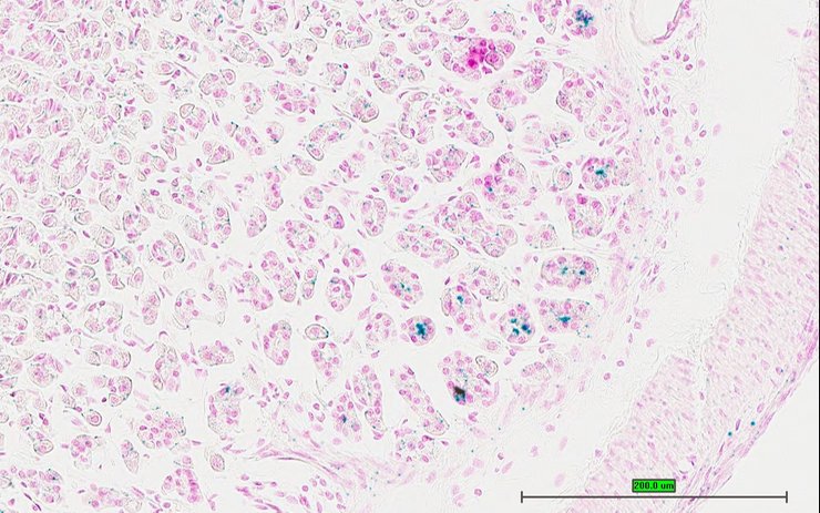
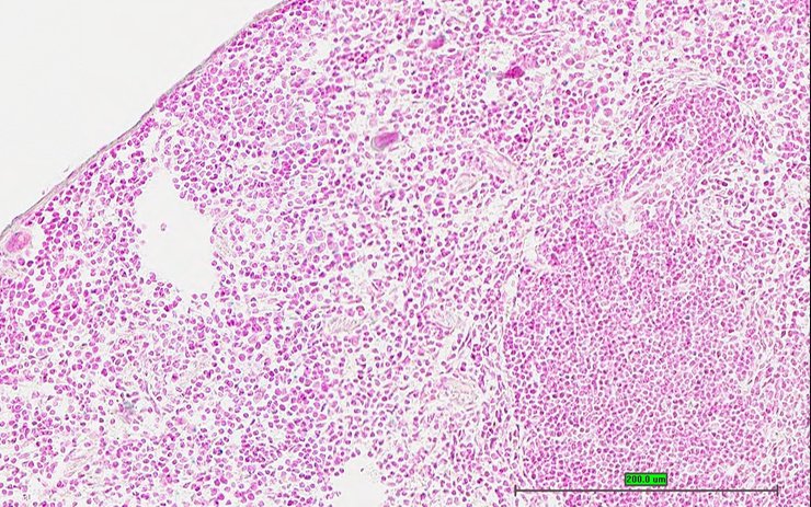
TS28: bone marrow Present UC Davis_1885981

Specimen UC Davis_1885982: postnatal adult; Ubxn2atm1b(EUCOMM)Hmgu/Ubxn2a+ (more )
Structure Level Pattern Image Note
TS28: bone marrow Present UC Davis_1885982

Specimen UC Davis_1885987: postnatal adult; Ubxn2atm1b(EUCOMM)Hmgu/Ubxn2a+ (more )
Structure Level Pattern Image Note
TS28: submandibular gland Present UC Davis_1885987

Specimen UC Davis_1885988: postnatal adult; Ubxn2atm1b(EUCOMM)Hmgu/Ubxn2a+ (more )
Structure Level Pattern Image Note
TS28: sublingual gland Present UC Davis_1885988

Specimen UC Davis_1885989: postnatal adult; Ubxn2atm1b(EUCOMM)Hmgu/Ubxn2a+ (more )
Structure Level Pattern Image Note
TS28: parotid gland Present UC Davis_1885989

Specimen UC Davis_1885990: postnatal adult; Ubxn2atm1b(EUCOMM)Hmgu/Ubxn2a+ (more )
Structure Level Pattern Image Note
TS28: trachea Present UC Davis_1885990

Specimen UC Davis_1885991: postnatal adult; Ubxn2atm1b(EUCOMM)Hmgu/Ubxn2a+ (more )
Structure Level Pattern Image Note
TS28: esophagus Present UC Davis_1885991

Specimen UC Davis_1885993: postnatal adult; Ubxn2atm1b(EUCOMM)Hmgu/Ubxn2a+ (more )
Structure Level Pattern Image Note
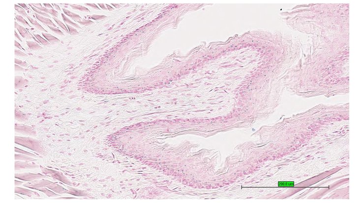
TS28: aorta Present UC Davis_1885993

Specimen UC Davis_1885994: postnatal adult; Ubxn2atm1b(EUCOMM)Hmgu/Ubxn2a+ (more )
Structure Level Pattern Image Note
TS28: lung Present UC Davis_1885994

Specimen UC Davis_1885995: postnatal adult; Ubxn2atm1b(EUCOMM)Hmgu/Ubxn2a+ (more )
Structure Level Pattern Image Note
TS28: lung Present UC Davis_1885995

Specimen UC Davis_1885998: postnatal adult; Ubxn2atm1b(EUCOMM)Hmgu/Ubxn2a+ (more )
Structure Level Pattern Image Note
TS28: stomach Present UC Davis_1885998

Specimen UC Davis_1885999: postnatal adult; Ubxn2atm1b(EUCOMM)Hmgu/Ubxn2a+ (more )
Structure Level Pattern Image Note
TS28: stomach Present UC Davis_1885999

Specimen UC Davis_1886000: postnatal adult; Ubxn2atm1b(EUCOMM)Hmgu/Ubxn2a+ (more )
Structure Level Pattern Image Note
TS28: stomach Present UC Davis_1886000

Specimen UC Davis_1886001: postnatal adult; Ubxn2atm1b(EUCOMM)Hmgu/Ubxn2a+ (more )
Structure Level Pattern Image Note
TS28: duodenum Present UC Davis_1886001

Specimen UC Davis_1886002: postnatal adult; Ubxn2atm1b(EUCOMM)Hmgu/Ubxn2a+ (more )
Structure Level Pattern Image Note
TS28: ileum Present UC Davis_1886002

Specimen UC Davis_1886003: postnatal adult; Ubxn2atm1b(EUCOMM)Hmgu/Ubxn2a+ (more )
Structure Level Pattern Image Note
TS28: colon Present UC Davis_1886003

Specimen UC Davis_1886004: postnatal adult; Ubxn2atm1b(EUCOMM)Hmgu/Ubxn2a+ (more )
Structure Level Pattern Image Note
TS28: cecum Present UC Davis_1886004

Specimen UC Davis_1886005: postnatal adult; Ubxn2atm1b(EUCOMM)Hmgu/Ubxn2a+ (more )
Structure Level Pattern Image Note
TS28: spleen Present UC Davis_1886005

Specimen UC Davis_1886006: postnatal adult; Ubxn2atm1b(EUCOMM)Hmgu/Ubxn2a+ (more )
Structure Level Pattern Image Note
TS28: spleen Present UC Davis_1886006

Specimen UC Davis_1886007: postnatal adult; Ubxn2atm1b(EUCOMM)Hmgu/Ubxn2a+ (more )
Structure Level Pattern Image Note
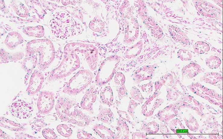
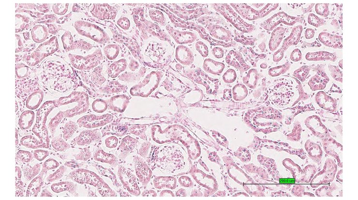
TS28: metanephros Present UC Davis_1886007 kidney

Specimen UC Davis_1886008: postnatal adult; Ubxn2atm1b(EUCOMM)Hmgu/Ubxn2a+ (more )
Structure Level Pattern Image Note
TS28: metanephros Present UC Davis_1886008 kidney

Specimen UC Davis_1886009: postnatal adult; Ubxn2atm1b(EUCOMM)Hmgu/Ubxn2a+ (more )
Structure Level Pattern Image Note
TS28: metanephros Present UC Davis_1886009 kidney

Specimen UC Davis_1886010: postnatal adult; Ubxn2atm1b(EUCOMM)Hmgu/Ubxn2a+ (more )
Structure Level Pattern Image Note
TS28: quadriceps femoris muscle Present UC Davis_1886010

Specimen UC Davis_1886011: postnatal adult; Ubxn2atm1b(EUCOMM)Hmgu/Ubxn2a+ (more )
Structure Level Pattern Image Note
TS28: quadriceps femoris muscle Present UC Davis_1886011

Specimen UC Davis_1886012: postnatal adult; Ubxn2atm1b(EUCOMM)Hmgu/Ubxn2a+ (more )
Structure Level Pattern Image Note
TS28: tongue Present UC Davis_1886012

Specimen UC Davis_1886013: postnatal adult; Ubxn2atm1b(EUCOMM)Hmgu/Ubxn2a+ (more )
Structure Level Pattern Image Note
TS28: diaphragm Present UC Davis_1886013

Specimen UC Davis_1886014: postnatal adult; Ubxn2atm1b(EUCOMM)Hmgu/Ubxn2a+ (more )
Structure Level Pattern Image Note
TS28: adrenal gland Present UC Davis_1886014

Specimen UC Davis_1886015: postnatal adult; Ubxn2atm1b(EUCOMM)Hmgu/Ubxn2a+ (more )
Structure Level Pattern Image Note
TS28: pituitary gland Present UC Davis_1886015

Specimen UC Davis_1886016: postnatal adult; Ubxn2atm1b(EUCOMM)Hmgu/Ubxn2a+ (more )
Structure Level Pattern Image Note
TS28: spinal cord Present UC Davis_1886016

Specimen UC Davis_1886017: postnatal adult; Ubxn2atm1b(EUCOMM)Hmgu/Ubxn2a+ (more )
Structure Level Pattern Image Note
TS28: spinal cord Present UC Davis_1886017

Specimen UC Davis_1886018: postnatal adult; Ubxn2atm1b(EUCOMM)Hmgu/Ubxn2a+ (more )
Structure Level Pattern Image Note
TS28: eye Present UC Davis_1886018

Specimen UC Davis_1886019: postnatal adult; Ubxn2atm1b(EUCOMM)Hmgu/Ubxn2a+ (more )
Structure Level Pattern Image Note
TS28: eye Present UC Davis_1886019

Specimen UC Davis_1886020: postnatal adult; Ubxn2atm1b(EUCOMM)Hmgu/Ubxn2a+ (more )
Structure Level Pattern Image Note
TS28: Harderian gland Present UC Davis_1886020

Specimen UC Davis_1886021: postnatal adult; Ubxn2atm1b(EUCOMM)Hmgu/Ubxn2a+ (more )
Structure Level Pattern Image Note
TS28: skin Present UC Davis_1886021

Specimen UC Davis_1886022: postnatal adult; Ubxn2atm1b(EUCOMM)Hmgu/Ubxn2a+ (more )
Structure Level Pattern Image Note
TS28: olfactory lobe Present UC Davis_1886022

Specimen UC Davis_1886025: postnatal adult; Ubxn2atm1b(EUCOMM)Hmgu/Ubxn2a+ (more )
Structure Level Pattern Image Note
TS28: midbrain Present UC Davis_1886025

Specimen UC Davis_1886027: postnatal adult; Ubxn2atm1b(EUCOMM)Hmgu/Ubxn2a+ (more )
Structure Level Pattern Image Note
TS28: cerebellum Present UC Davis_1886027

Specimen UC Davis_1886028: postnatal adult; Ubxn2atm1b(EUCOMM)Hmgu/Ubxn2a+ (more )
Structure Level Pattern Image Note
TS28: trigeminal nerve Present UC Davis_1886028

Specimen UC Davis_1886029: postnatal adult; Ubxn2atm1b(EUCOMM)Hmgu/Ubxn2a+ (more )
Structure Level Pattern Image Note
TS28: bladder Present UC Davis_1886029

Specimen UC Davis_1886030: postnatal adult; Ubxn2atm1b(EUCOMM)Hmgu/Ubxn2a+ (more )
Structure Level Pattern Image Note
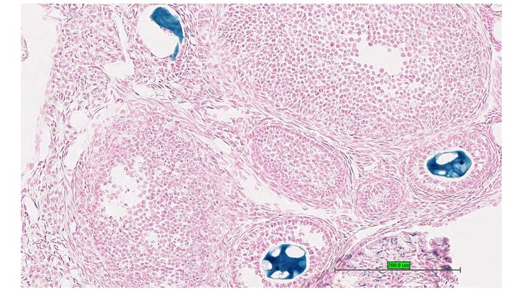
TS28: testis Present UC Davis_1886030

Specimen UC Davis_1886031: postnatal adult; Ubxn2atm1b(EUCOMM)Hmgu/Ubxn2a+ (more )
Structure Level Pattern Image Note
TS28: testis Present UC Davis_1886031

Specimen UC Davis_1886032: postnatal adult; Ubxn2atm1b(EUCOMM)Hmgu/Ubxn2a+ (more )
Structure Level Pattern Image Note
TS28: epididymis Present UC Davis_1886032

Specimen UC Davis_1886033: postnatal adult; Ubxn2atm1b(EUCOMM)Hmgu/Ubxn2a+ (more )
Structure Level Pattern Image Note
TS28: prostate gland Present UC Davis_1886033

Specimen UC Davis_1886034: postnatal adult; Ubxn2atm1b(EUCOMM)Hmgu/Ubxn2a+ (more )
Structure Level Pattern Image Note
TS28: penis Present UC Davis_1886034

Specimen UC Davis_1886035: postnatal adult; Ubxn2atm1b(EUCOMM)Hmgu/Ubxn2a+ (more )
Structure Level Pattern Image Note
TS28: ductus deferens Present UC Davis_1886035 vas deferens


Contributing Projects:
Mouse Genome Database (MGD), Gene Expression Database (GXD), Mouse Models of Human Cancer database (MMHCdb) (formerly Mouse Tumor Biology (MTB)), Gene Ontology (GO)
Citing These Resources
Funding Information
Warranty Disclaimer, Privacy Notice, Licensing, & Copyright
Send questions and comments to User Support.
last database update
12/30/2025
MGI 6.24
The Jackson Laboratory