About   Help   FAQ
Gene Expression Data
Assay Details
Assay
Reference: J:228563 Koscielny G, et al., The International Mouse Phenotyping Consortium Web Portal, a unified point of access for knockout mice and related phenotyping data. Nucleic Acids Res. 2014 Jan;42(Database issue):D802-9
Assay type: In situ reporter (knock in)
MGI Accession ID: MGI:6692612
Gene symbol: Micos13
Gene name: mitochondrial contact site and cristae organizing system subunit 13
Reporter: lacZ
Direct Detection
Results
Specimen UC Davis_1883170: postnatal adult; Micos13tm1.1(KOMP)Vlcg/Micos13+ (more )
Structure Level Pattern Image Note
TS28: submandibular gland Present UC Davis_1883170

Specimen UC Davis_1883171: postnatal adult; Micos13tm1.1(KOMP)Vlcg/Micos13+ (more )
Structure Level Pattern Image Note
TS28: submandibular gland Present UC Davis_1883171

Specimen UC Davis_1883172: postnatal adult; Micos13tm1.1(KOMP)Vlcg/Micos13+ (more )
Structure Level Pattern Image Note
TS28: sublingual gland Present UC Davis_1883172

Specimen UC Davis_1883173: postnatal adult; Micos13tm1.1(KOMP)Vlcg/Micos13+ (more )
Structure Level Pattern Image Note
TS28: parotid gland Present UC Davis_1883173

Specimen UC Davis_1883174: postnatal adult; Micos13tm1.1(KOMP)Vlcg/Micos13+ (more )
Structure Level Pattern Image Note
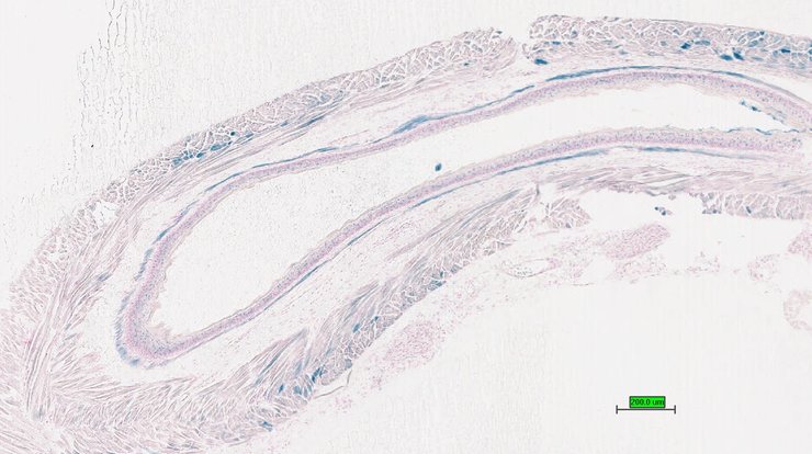
TS28: trachea Present UC Davis_1883174

Specimen UC Davis_1883175: postnatal adult; Micos13tm1.1(KOMP)Vlcg/Micos13+ (more )
Structure Level Pattern Image Note
TS28: esophagus Present UC Davis_1883175

Specimen UC Davis_1883176: postnatal adult; Micos13tm1.1(KOMP)Vlcg/Micos13+ (more )
Structure Level Pattern Image Note
TS28: esophagus Present UC Davis_1883176

Specimen UC Davis_1883177: postnatal adult; Micos13tm1.1(KOMP)Vlcg/Micos13+ (more )
Structure Level Pattern Image Note
TS28: thyroid gland Present UC Davis_1883177

Specimen UC Davis_1883178: postnatal adult; Micos13tm1.1(KOMP)Vlcg/Micos13+ (more )
Structure Level Pattern Image Note
TS28: parathyroid gland Present UC Davis_1883178

Specimen UC Davis_1883179: postnatal adult; Micos13tm1.1(KOMP)Vlcg/Micos13+ (more )
Structure Level Pattern Image Note
TS28: aorta Present UC Davis_1883179

Specimen UC Davis_1883180: postnatal adult; Micos13tm1.1(KOMP)Vlcg/Micos13+ (more )
Structure Level Pattern Image Note
TS28: lung Present UC Davis_1883180

Specimen UC Davis_1883181: postnatal adult; Micos13tm1.1(KOMP)Vlcg/Micos13+ (more )
Structure Level Pattern Image Note
TS28: lung Present UC Davis_1883181

Specimen UC Davis_1883182: postnatal adult; Micos13tm1.1(KOMP)Vlcg/Micos13+ (more )
Structure Level Pattern Image Note
TS28: thymus Present UC Davis_1883182

Specimen UC Davis_1883185: postnatal adult; Micos13tm1.1(KOMP)Vlcg/Micos13+ (more )
Structure Level Pattern Image Note
TS28: stomach Present UC Davis_1883185

Specimen UC Davis_1883186: postnatal adult; Micos13tm1.1(KOMP)Vlcg/Micos13+ (more )
Structure Level Pattern Image Note
TS28: stomach Present UC Davis_1883186

Specimen UC Davis_1883187: postnatal adult; Micos13tm1.1(KOMP)Vlcg/Micos13+ (more )
Structure Level Pattern Image Note
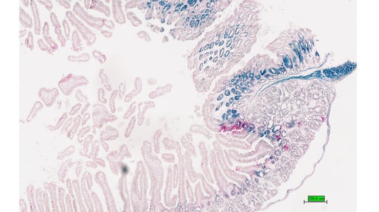
TS28: duodenum Present UC Davis_1883187

Specimen UC Davis_1883188: postnatal adult; Micos13tm1.1(KOMP)Vlcg/Micos13+ (more )
Structure Level Pattern Image Note
TS28: duodenum Present UC Davis_1883188

Specimen UC Davis_1883189: postnatal adult; Micos13tm1.1(KOMP)Vlcg/Micos13+ (more )
Structure Level Pattern Image Note
TS28: ileum Present UC Davis_1883189

Specimen UC Davis_1883190: postnatal adult; Micos13tm1.1(KOMP)Vlcg/Micos13+ (more )
Structure Level Pattern Image Note
TS28: ileum Present UC Davis_1883190

Specimen UC Davis_1883191: postnatal adult; Micos13tm1.1(KOMP)Vlcg/Micos13+ (more )
Structure Level Pattern Image Note
TS28: colon Present UC Davis_1883191

Specimen UC Davis_1883192: postnatal adult; Micos13tm1.1(KOMP)Vlcg/Micos13+ (more )
Structure Level Pattern Image Note
TS28: colon Present UC Davis_1883192

Specimen UC Davis_1883193: postnatal adult; Micos13tm1.1(KOMP)Vlcg/Micos13+ (more )
Structure Level Pattern Image Note
TS28: spleen Present UC Davis_1883193

Specimen UC Davis_1883194: postnatal adult; Micos13tm1.1(KOMP)Vlcg/Micos13+ (more )
Structure Level Pattern Image Note
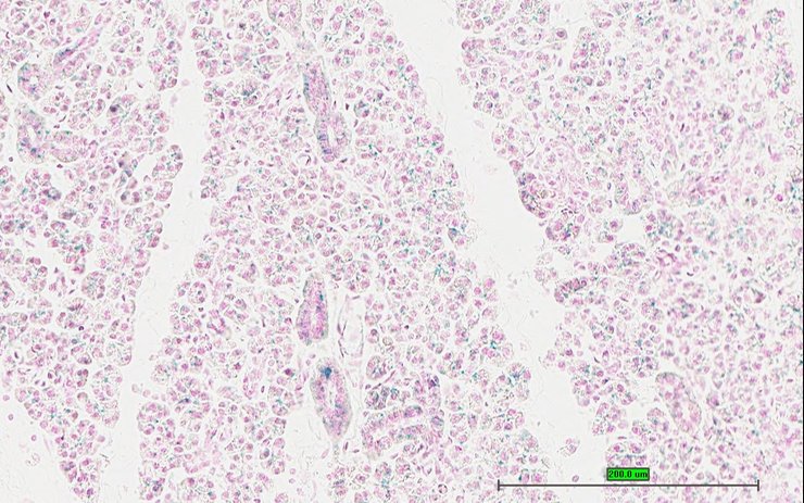
TS28: pancreas Present UC Davis_1883194

Specimen UC Davis_1883195: postnatal adult; Micos13tm1.1(KOMP)Vlcg/Micos13+ (more )
Structure Level Pattern Image Note
TS28: pancreas Present UC Davis_1883195

Specimen UC Davis_1883196: postnatal adult; Micos13tm1.1(KOMP)Vlcg/Micos13+ (more )
Structure Level Pattern Image Note
TS28: liver Present UC Davis_1883196

Specimen UC Davis_1883197: postnatal adult; Micos13tm1.1(KOMP)Vlcg/Micos13+ (more )
Structure Level Pattern Image Note
TS28: liver Present UC Davis_1883197

Specimen UC Davis_1883198: postnatal adult; Micos13tm1.1(KOMP)Vlcg/Micos13+ (more )
Structure Level Pattern Image Note
TS28: metanephros Present UC Davis_1883198 kidney

Specimen UC Davis_1883199: postnatal adult; Micos13tm1.1(KOMP)Vlcg/Micos13+ (more )
Structure Level Pattern Image Note
TS28: metanephros Present UC Davis_1883199 kidney

Specimen UC Davis_1883200: postnatal adult; Micos13tm1.1(KOMP)Vlcg/Micos13+ (more )
Structure Level Pattern Image Note
TS28: metanephros Present UC Davis_1883200 kidney

Specimen UC Davis_1883201: postnatal adult; Micos13tm1.1(KOMP)Vlcg/Micos13+ (more )
Structure Level Pattern Image Note
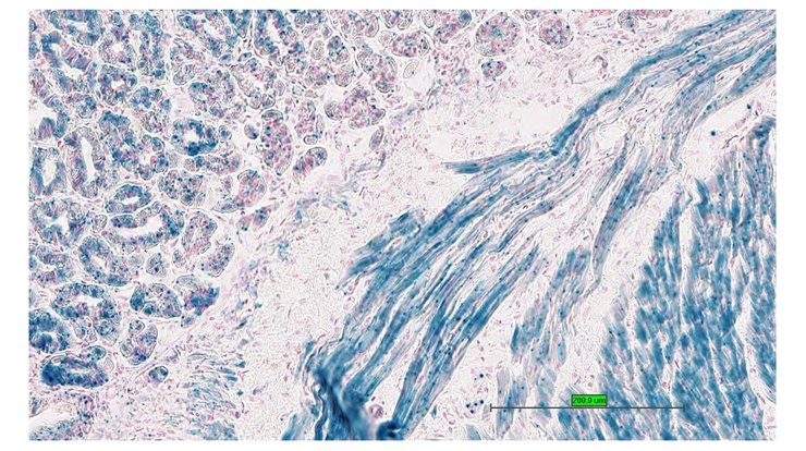
TS28: quadriceps femoris muscle Present UC Davis_1883201

Specimen UC Davis_1883202: postnatal adult; Micos13tm1.1(KOMP)Vlcg/Micos13+ (more )
Structure Level Pattern Image Note
TS28: quadriceps femoris muscle Present UC Davis_1883202

Specimen UC Davis_1883203: postnatal adult; Micos13tm1.1(KOMP)Vlcg/Micos13+ (more )
Structure Level Pattern Image Note
TS28: sciatic nerve Present UC Davis_1883203

Specimen UC Davis_1883204: postnatal adult; Micos13tm1.1(KOMP)Vlcg/Micos13+ (more )
Structure Level Pattern Image Note
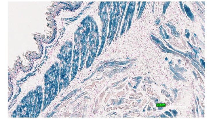
TS28: tongue Present UC Davis_1883204

Specimen UC Davis_1883205: postnatal adult; Micos13tm1.1(KOMP)Vlcg/Micos13+ (more )
Structure Level Pattern Image Note
TS28: tongue Present UC Davis_1883205

Specimen UC Davis_1883206: postnatal adult; Micos13tm1.1(KOMP)Vlcg/Micos13+ (more )
Structure Level Pattern Image Note
TS28: tongue Present UC Davis_1883206

Specimen UC Davis_1883207: postnatal adult; Micos13tm1.1(KOMP)Vlcg/Micos13+ (more )
Structure Level Pattern Image Note
TS28: diaphragm Present UC Davis_1883207

Specimen UC Davis_1883208: postnatal adult; Micos13tm1.1(KOMP)Vlcg/Micos13+ (more )
Structure Level Pattern Image Note
TS28: diaphragm Present UC Davis_1883208

Specimen UC Davis_1883209: postnatal adult; Micos13tm1.1(KOMP)Vlcg/Micos13+ (more )
Structure Level Pattern Image Note
TS28: adrenal gland Present UC Davis_1883209

Specimen UC Davis_1883210: postnatal adult; Micos13tm1.1(KOMP)Vlcg/Micos13+ (more )
Structure Level Pattern Image Note
TS28: pituitary gland Present UC Davis_1883210

Specimen UC Davis_1883211: postnatal adult; Micos13tm1.1(KOMP)Vlcg/Micos13+ (more )
Structure Level Pattern Image Note
TS28: spinal cord Present UC Davis_1883211

Specimen UC Davis_1883212: postnatal adult; Micos13tm1.1(KOMP)Vlcg/Micos13+ (more )
Structure Level Pattern Image Note
TS28: spinal cord Present UC Davis_1883212

Specimen UC Davis_1883213: postnatal adult; Micos13tm1.1(KOMP)Vlcg/Micos13+ (more )
Structure Level Pattern Image Note
TS28: eye Present UC Davis_1883213

Specimen UC Davis_1883214: postnatal adult; Micos13tm1.1(KOMP)Vlcg/Micos13+ (more )
Structure Level Pattern Image Note
TS28: eye Present UC Davis_1883214

Specimen UC Davis_1883215: postnatal adult; Micos13tm1.1(KOMP)Vlcg/Micos13+ (more )
Structure Level Pattern Image Note
TS28: Harderian gland Present UC Davis_1883215

Specimen UC Davis_1883216: postnatal adult; Micos13tm1.1(KOMP)Vlcg/Micos13+ (more )
Structure Level Pattern Image Note
TS28: gonadal fat pad Present UC Davis_1883216

Specimen UC Davis_1883217: postnatal adult; Micos13tm1.1(KOMP)Vlcg/Micos13+ (more )
Structure Level Pattern Image Note
TS28: mesenteric adipose tissue Present UC Davis_1883217

Specimen UC Davis_1883218: postnatal adult; Micos13tm1.1(KOMP)Vlcg/Micos13+ (more )
Structure Level Pattern Image Note
TS28: skin Present UC Davis_1883218

Specimen UC Davis_1883219: postnatal adult; Micos13tm1.1(KOMP)Vlcg/Micos13+ (more )
Structure Level Pattern Image Note
TS28: brown fat Present UC Davis_1883219

Specimen UC Davis_1883220: postnatal adult; Micos13tm1.1(KOMP)Vlcg/Micos13+ (more )
Structure Level Pattern Image Note
TS28: brown fat Present UC Davis_1883220

Specimen UC Davis_1883221: postnatal adult; Micos13tm1.1(KOMP)Vlcg/Micos13+ (more )
Structure Level Pattern Image Note
TS28: olfactory lobe Present UC Davis_1883221

Specimen UC Davis_1883225: postnatal adult; Micos13tm1.1(KOMP)Vlcg/Micos13+ (more )
Structure Level Pattern Image Note
TS28: midbrain Present UC Davis_1883225

Specimen UC Davis_1883227: postnatal adult; Micos13tm1.1(KOMP)Vlcg/Micos13+ (more )
Structure Level Pattern Image Note
TS28: cerebellum Present UC Davis_1883227

Specimen UC Davis_1883228: postnatal adult; Micos13tm1.1(KOMP)Vlcg/Micos13+ (more )
Structure Level Pattern Image Note
TS28: trigeminal nerve Present UC Davis_1883228

Specimen UC Davis_1883229: postnatal adult; Micos13tm1.1(KOMP)Vlcg/Micos13+ (more )
Structure Level Pattern Image Note
TS28: trigeminal nerve Present UC Davis_1883229

Specimen UC Davis_1883230: postnatal adult; Micos13tm1.1(KOMP)Vlcg/Micos13+ (more )
Structure Level Pattern Image Note
TS28: ovary Present UC Davis_1883230

Specimen UC Davis_1883231: postnatal adult; Micos13tm1.1(KOMP)Vlcg/Micos13+ (more )
Structure Level Pattern Image Note
TS28: ovary Present UC Davis_1883231

Specimen UC Davis_1883232: postnatal adult; Micos13tm1.1(KOMP)Vlcg/Micos13+ (more )
Structure Level Pattern Image Note
TS28: ovary Present UC Davis_1883232

Specimen UC Davis_1883233: postnatal adult; Micos13tm1.1(KOMP)Vlcg/Micos13+ (more )
Structure Level Pattern Image Note
TS28: oviduct Present UC Davis_1883233

Specimen UC Davis_1883234: postnatal adult; Micos13tm1.1(KOMP)Vlcg/Micos13+ (more )
Structure Level Pattern Image Note
TS28: uterus Present UC Davis_1883234

Specimen UC Davis_1883235: postnatal adult; Micos13tm1.1(KOMP)Vlcg/Micos13+ (more )
Structure Level Pattern Image Note
TS28: uterus Present UC Davis_1883235

Specimen UC Davis_1883236: postnatal adult; Micos13tm1.1(KOMP)Vlcg/Micos13+ (more )
Structure Level Pattern Image Note
TS28: vagina Present UC Davis_1883236

Specimen UC Davis_1883237: postnatal adult; Micos13tm1.1(KOMP)Vlcg/Micos13+ (more )
Structure Level Pattern Image Note
TS28: bladder Present UC Davis_1883237

Specimen UC Davis_1883239: postnatal adult; Micos13tm1.1(KOMP)Vlcg/Micos13+ (more )
Structure Level Pattern Image Note
TS28: mammary gland Present UC Davis_1883239

Specimen UC Davis_1883080: postnatal adult; Micos13tm1.1(KOMP)Vlcg/Micos13+ (more )
Structure Level Pattern Image Note
TS28: submandibular gland Present UC Davis_1883080

Specimen UC Davis_1883081: postnatal adult; Micos13tm1.1(KOMP)Vlcg/Micos13+ (more )
Structure Level Pattern Image Note
TS28: submandibular gland Present UC Davis_1883081

Specimen UC Davis_1883082: postnatal adult; Micos13tm1.1(KOMP)Vlcg/Micos13+ (more )
Structure Level Pattern Image Note
TS28: sublingual gland Present UC Davis_1883082

Specimen UC Davis_1883083: postnatal adult; Micos13tm1.1(KOMP)Vlcg/Micos13+ (more )
Structure Level Pattern Image Note
TS28: sublingual gland Present UC Davis_1883083

Specimen UC Davis_1883084: postnatal adult; Micos13tm1.1(KOMP)Vlcg/Micos13+ (more )
Structure Level Pattern Image Note
TS28: parotid gland Present UC Davis_1883084

Specimen UC Davis_1883085: postnatal adult; Micos13tm1.1(KOMP)Vlcg/Micos13+ (more )
Structure Level Pattern Image Note
TS28: parotid gland Present UC Davis_1883085

Specimen UC Davis_1883086: postnatal adult; Micos13tm1.1(KOMP)Vlcg/Micos13+ (more )
Structure Level Pattern Image Note
TS28: trachea Present UC Davis_1883086

Specimen UC Davis_1883087: postnatal adult; Micos13tm1.1(KOMP)Vlcg/Micos13+ (more )
Structure Level Pattern Image Note
TS28: trachea Present UC Davis_1883087

Specimen UC Davis_1883088: postnatal adult; Micos13tm1.1(KOMP)Vlcg/Micos13+ (more )
Structure Level Pattern Image Note
TS28: esophagus Present UC Davis_1883088

Specimen UC Davis_1883089: postnatal adult; Micos13tm1.1(KOMP)Vlcg/Micos13+ (more )
Structure Level Pattern Image Note
TS28: esophagus Present UC Davis_1883089

Specimen UC Davis_1883090: postnatal adult; Micos13tm1.1(KOMP)Vlcg/Micos13+ (more )
Structure Level Pattern Image Note
TS28: esophagus Present UC Davis_1883090

Specimen UC Davis_1883091: postnatal adult; Micos13tm1.1(KOMP)Vlcg/Micos13+ (more )
Structure Level Pattern Image Note
TS28: esophagus Present UC Davis_1883091

Specimen UC Davis_1883094: postnatal adult; Micos13tm1.1(KOMP)Vlcg/Micos13+ (more )
Structure Level Pattern Image Note
TS28: aorta Present UC Davis_1883094

Specimen UC Davis_1883095: postnatal adult; Micos13tm1.1(KOMP)Vlcg/Micos13+ (more )
Structure Level Pattern Image Note
TS28: lung Present UC Davis_1883095

Specimen UC Davis_1883100: postnatal adult; Micos13tm1.1(KOMP)Vlcg/Micos13+ (more )
Structure Level Pattern Image Note
TS28: stomach Present UC Davis_1883100

Specimen UC Davis_1883101: postnatal adult; Micos13tm1.1(KOMP)Vlcg/Micos13+ (more )
Structure Level Pattern Image Note
TS28: stomach Present UC Davis_1883101

Specimen UC Davis_1883102: postnatal adult; Micos13tm1.1(KOMP)Vlcg/Micos13+ (more )
Structure Level Pattern Image Note
TS28: stomach Present UC Davis_1883102

Specimen UC Davis_1883103: postnatal adult; Micos13tm1.1(KOMP)Vlcg/Micos13+ (more )
Structure Level Pattern Image Note
TS28: duodenum Present UC Davis_1883103

Specimen UC Davis_1883104: postnatal adult; Micos13tm1.1(KOMP)Vlcg/Micos13+ (more )
Structure Level Pattern Image Note
TS28: duodenum Present UC Davis_1883104

Specimen UC Davis_1883105: postnatal adult; Micos13tm1.1(KOMP)Vlcg/Micos13+ (more )
Structure Level Pattern Image Note
TS28: ileum Present UC Davis_1883105

Specimen UC Davis_1883106: postnatal adult; Micos13tm1.1(KOMP)Vlcg/Micos13+ (more )
Structure Level Pattern Image Note
TS28: colon Present UC Davis_1883106

Specimen UC Davis_1883107: postnatal adult; Micos13tm1.1(KOMP)Vlcg/Micos13+ (more )
Structure Level Pattern Image Note
TS28: spleen Present UC Davis_1883107

Specimen UC Davis_1883108: postnatal adult; Micos13tm1.1(KOMP)Vlcg/Micos13+ (more )
Structure Level Pattern Image Note
TS28: pancreas Present UC Davis_1883108

Specimen UC Davis_1883109: postnatal adult; Micos13tm1.1(KOMP)Vlcg/Micos13+ (more )
Structure Level Pattern Image Note
TS28: pancreas Present UC Davis_1883109

Specimen UC Davis_1883110: postnatal adult; Micos13tm1.1(KOMP)Vlcg/Micos13+ (more )
Structure Level Pattern Image Note
TS28: liver Present UC Davis_1883110

Specimen UC Davis_1883111: postnatal adult; Micos13tm1.1(KOMP)Vlcg/Micos13+ (more )
Structure Level Pattern Image Note
TS28: liver Present UC Davis_1883111

Specimen UC Davis_1883112: postnatal adult; Micos13tm1.1(KOMP)Vlcg/Micos13+ (more )
Structure Level Pattern Image Note
TS28: metanephros Present UC Davis_1883112 kidney

Specimen UC Davis_1883113: postnatal adult; Micos13tm1.1(KOMP)Vlcg/Micos13+ (more )
Structure Level Pattern Image Note
TS28: metanephros Present UC Davis_1883113 kidney

Specimen UC Davis_1883114: postnatal adult; Micos13tm1.1(KOMP)Vlcg/Micos13+ (more )
Structure Level Pattern Image Note
TS28: metanephros Present UC Davis_1883114 kidney

Specimen UC Davis_1883115: postnatal adult; Micos13tm1.1(KOMP)Vlcg/Micos13+ (more )
Structure Level Pattern Image Note
TS28: quadriceps femoris muscle Present UC Davis_1883115

Specimen UC Davis_1883116: postnatal adult; Micos13tm1.1(KOMP)Vlcg/Micos13+ (more )
Structure Level Pattern Image Note
TS28: sciatic nerve Present UC Davis_1883116

Specimen UC Davis_1883117: postnatal adult; Micos13tm1.1(KOMP)Vlcg/Micos13+ (more )
Structure Level Pattern Image Note
TS28: tongue Present UC Davis_1883117

Specimen UC Davis_1883118: postnatal adult; Micos13tm1.1(KOMP)Vlcg/Micos13+ (more )
Structure Level Pattern Image Note
TS28: tongue Present UC Davis_1883118

Specimen UC Davis_1883119: postnatal adult; Micos13tm1.1(KOMP)Vlcg/Micos13+ (more )
Structure Level Pattern Image Note
TS28: tongue Present UC Davis_1883119

Specimen UC Davis_1883120: postnatal adult; Micos13tm1.1(KOMP)Vlcg/Micos13+ (more )
Structure Level Pattern Image Note
TS28: tongue Present UC Davis_1883120

Specimen UC Davis_1883121: postnatal adult; Micos13tm1.1(KOMP)Vlcg/Micos13+ (more )
Structure Level Pattern Image Note
TS28: diaphragm Present UC Davis_1883121

Specimen UC Davis_1883122: postnatal adult; Micos13tm1.1(KOMP)Vlcg/Micos13+ (more )
Structure Level Pattern Image Note
TS28: diaphragm Present UC Davis_1883122

Specimen UC Davis_1883123: postnatal adult; Micos13tm1.1(KOMP)Vlcg/Micos13+ (more )
Structure Level Pattern Image Note
TS28: adrenal gland Present UC Davis_1883123

Specimen UC Davis_1883124: postnatal adult; Micos13tm1.1(KOMP)Vlcg/Micos13+ (more )
Structure Level Pattern Image Note
TS28: adrenal gland Present UC Davis_1883124

Specimen UC Davis_1883125: postnatal adult; Micos13tm1.1(KOMP)Vlcg/Micos13+ (more )
Structure Level Pattern Image Note
TS28: adrenal gland Present UC Davis_1883125

Specimen UC Davis_1883126: postnatal adult; Micos13tm1.1(KOMP)Vlcg/Micos13+ (more )
Structure Level Pattern Image Note
TS28: pituitary gland Present UC Davis_1883126

Specimen UC Davis_1883127: postnatal adult; Micos13tm1.1(KOMP)Vlcg/Micos13+ (more )
Structure Level Pattern Image Note
TS28: spinal cord Present UC Davis_1883127

Specimen UC Davis_1883128: postnatal adult; Micos13tm1.1(KOMP)Vlcg/Micos13+ (more )
Structure Level Pattern Image Note
TS28: spinal cord Present UC Davis_1883128

Specimen UC Davis_1883129: postnatal adult; Micos13tm1.1(KOMP)Vlcg/Micos13+ (more )
Structure Level Pattern Image Note
TS28: eye Present UC Davis_1883129

Specimen UC Davis_1883130: postnatal adult; Micos13tm1.1(KOMP)Vlcg/Micos13+ (more )
Structure Level Pattern Image Note
TS28: eye Present UC Davis_1883130

Specimen UC Davis_1883131: postnatal adult; Micos13tm1.1(KOMP)Vlcg/Micos13+ (more )
Structure Level Pattern Image Note
TS28: eye Present UC Davis_1883131

Specimen UC Davis_1883133: postnatal adult; Micos13tm1.1(KOMP)Vlcg/Micos13+ (more )
Structure Level Pattern Image Note
TS28: Harderian gland Present UC Davis_1883133

Specimen UC Davis_1883134: postnatal adult; Micos13tm1.1(KOMP)Vlcg/Micos13+ (more )
Structure Level Pattern Image Note
TS28: Harderian gland Present UC Davis_1883134

Specimen UC Davis_1883135: postnatal adult; Micos13tm1.1(KOMP)Vlcg/Micos13+ (more )
Structure Level Pattern Image Note
TS28: Harderian gland Present UC Davis_1883135

Specimen UC Davis_1883136: postnatal adult; Micos13tm1.1(KOMP)Vlcg/Micos13+ (more )
Structure Level Pattern Image Note
TS28: mesenteric adipose tissue Present UC Davis_1883136

Specimen UC Davis_1883137: postnatal adult; Micos13tm1.1(KOMP)Vlcg/Micos13+ (more )
Structure Level Pattern Image Note
TS28: mesenteric adipose tissue Present UC Davis_1883137

Specimen UC Davis_1883138: postnatal adult; Micos13tm1.1(KOMP)Vlcg/Micos13+ (more )
Structure Level Pattern Image Note
TS28: skin Present UC Davis_1883138

Specimen UC Davis_1883139: postnatal adult; Micos13tm1.1(KOMP)Vlcg/Micos13+ (more )
Structure Level Pattern Image Note
TS28: skin Present UC Davis_1883139

Specimen UC Davis_1883140: postnatal adult; Micos13tm1.1(KOMP)Vlcg/Micos13+ (more )
Structure Level Pattern Image Note
TS28: skin Present UC Davis_1883140

Specimen UC Davis_1883141: postnatal adult; Micos13tm1.1(KOMP)Vlcg/Micos13+ (more )
Structure Level Pattern Image Note
TS28: skin Present UC Davis_1883141

Specimen UC Davis_1883142: postnatal adult; Micos13tm1.1(KOMP)Vlcg/Micos13+ (more )
Structure Level Pattern Image Note
TS28: skin Present UC Davis_1883142

Specimen UC Davis_1883143: postnatal adult; Micos13tm1.1(KOMP)Vlcg/Micos13+ (more )
Structure Level Pattern Image Note
TS28: brown fat Present UC Davis_1883143

Specimen UC Davis_1883144: postnatal adult; Micos13tm1.1(KOMP)Vlcg/Micos13+ (more )
Structure Level Pattern Image Note
TS28: olfactory lobe Present UC Davis_1883144

Specimen UC Davis_1883147: postnatal adult; Micos13tm1.1(KOMP)Vlcg/Micos13+ (more )
Structure Level Pattern Image Note
TS28: midbrain Present UC Davis_1883147

Specimen UC Davis_1883149: postnatal adult; Micos13tm1.1(KOMP)Vlcg/Micos13+ (more )
Structure Level Pattern Image Note
TS28: cerebellum Present UC Davis_1883149

Specimen UC Davis_1883150: postnatal adult; Micos13tm1.1(KOMP)Vlcg/Micos13+ (more )
Structure Level Pattern Image Note
TS28: trigeminal nerve Present UC Davis_1883150

Specimen UC Davis_1883151: postnatal adult; Micos13tm1.1(KOMP)Vlcg/Micos13+ (more )
Structure Level Pattern Image Note
TS28: trigeminal nerve Present UC Davis_1883151

Specimen UC Davis_1883152: postnatal adult; Micos13tm1.1(KOMP)Vlcg/Micos13+ (more )
Structure Level Pattern Image Note
TS28: bladder Present UC Davis_1883152

Specimen UC Davis_1883153: postnatal adult; Micos13tm1.1(KOMP)Vlcg/Micos13+ (more )
Structure Level Pattern Image Note
TS28: bladder Present UC Davis_1883153

Specimen UC Davis_1883154: postnatal adult; Micos13tm1.1(KOMP)Vlcg/Micos13+ (more )
Structure Level Pattern Image Note
TS28: testis Present UC Davis_1883154

Specimen UC Davis_1883155: postnatal adult; Micos13tm1.1(KOMP)Vlcg/Micos13+ (more )
Structure Level Pattern Image Note
TS28: testis Present UC Davis_1883155

Specimen UC Davis_1883156: postnatal adult; Micos13tm1.1(KOMP)Vlcg/Micos13+ (more )
Structure Level Pattern Image Note
TS28: epididymis Present UC Davis_1883156

Specimen UC Davis_1883157: postnatal adult; Micos13tm1.1(KOMP)Vlcg/Micos13+ (more )
Structure Level Pattern Image Note
TS28: epididymis Present UC Davis_1883157

Specimen UC Davis_1883158: postnatal adult; Micos13tm1.1(KOMP)Vlcg/Micos13+ (more )
Structure Level Pattern Image Note
TS28: epididymis Present UC Davis_1883158

Specimen UC Davis_1883159: postnatal adult; Micos13tm1.1(KOMP)Vlcg/Micos13+ (more )
Structure Level Pattern Image Note
TS28: prostate gland Present UC Davis_1883159

Specimen UC Davis_1883160: postnatal adult; Micos13tm1.1(KOMP)Vlcg/Micos13+ (more )
Structure Level Pattern Image Note
TS28: prostate gland Present UC Davis_1883160

Specimen UC Davis_1883161: postnatal adult; Micos13tm1.1(KOMP)Vlcg/Micos13+ (more )
Structure Level Pattern Image Note
TS28: penis Present UC Davis_1883161

Specimen UC Davis_1883162: postnatal adult; Micos13tm1.1(KOMP)Vlcg/Micos13+ (more )
Structure Level Pattern Image Note
TS28: ductus deferens Present UC Davis_1883162 vas deferens

Specimen UC Davis_1883163: postnatal adult; Micos13tm1.1(KOMP)Vlcg/Micos13+ (more )
Structure Level Pattern Image Note
TS28: ductus deferens Present UC Davis_1883163 vas deferens

Specimen UC Davis_1883168: postnatal adult; Micos13tm1.1(KOMP)Vlcg/Micos13+ (more )
Structure Level Pattern Image Note
TS28: seminal vesicle Present UC Davis_1883168 vesicular gland

Specimen UC Davis_1883169: postnatal adult; Micos13tm1.1(KOMP)Vlcg/Micos13+ (more )
Structure Level Pattern Image Note
TS28: seminal vesicle Present UC Davis_1883169 vesicular gland


Contributing Projects:
Mouse Genome Database (MGD), Gene Expression Database (GXD), Mouse Models of Human Cancer database (MMHCdb) (formerly Mouse Tumor Biology (MTB)), Gene Ontology (GO)
Citing These Resources
Funding Information
Warranty Disclaimer, Privacy Notice, Licensing, & Copyright
Send questions and comments to User Support.
last database update
01/28/2026
MGI 6.24
The Jackson Laboratory