About   Help   FAQ
Gene Expression Data
Assay Details
Assay
Reference: J:228563 Koscielny G, et al., The International Mouse Phenotyping Consortium Web Portal, a unified point of access for knockout mice and related phenotyping data. Nucleic Acids Res. 2014 Jan;42(Database issue):D802-9
Assay type: In situ reporter (knock in)
MGI Accession ID: MGI:6692611
Gene symbol: Dnajc16
Gene name: DnaJ heat shock protein family (Hsp40) member C16
Reporter: lacZ
Direct Detection
Results
Specimen JAX_619473: embryonic day 12.5; Dnajc16tm1.1(KOMP)Vlcg/Dnajc16+ (more )
Structure Level Pattern Image Note
TS20: embryo Present JAX_619473

Specimen JAX_619475: embryonic day 12.5; Dnajc16tm1.1(KOMP)Vlcg/Dnajc16+ (more )
Structure Level Pattern Image Note
TS20: embryo Present JAX_619475

Specimen JAX_619477: embryonic day 12.5; Dnajc16tm1.1(KOMP)Vlcg/Dnajc16+ (more )
Structure Level Pattern Image Note
TS20: embryo Present JAX_619477

Specimen JAX_619479: embryonic day 12.5; Dnajc16tm1.1(KOMP)Vlcg/Dnajc16+ (more )
Structure Level Pattern Image Note
TS20: embryo Present JAX_619479

Specimen JAX_619481: embryonic day 12.5; Dnajc16tm1.1(KOMP)Vlcg/Dnajc16+ (more )
Structure Level Pattern Image Note
TS20: embryo Present JAX_619481

Specimen JAX_619483: embryonic day 12.5; Dnajc16tm1.1(KOMP)Vlcg/Dnajc16+ (more )
Structure Level Pattern Image Note
TS20: embryo Present JAX_619483

Specimen JAX_619485: embryonic day 12.5; Dnajc16tm1.1(KOMP)Vlcg/Dnajc16+ (more )
Structure Level Pattern Image Note
TS20: embryo Present JAX_619485

Specimen JAX_619487: embryonic day 12.5; Dnajc16tm1.1(KOMP)Vlcg/Dnajc16+ (more )
Structure Level Pattern Image Note
TS20: embryo Present JAX_619487

Specimen JAX_1797929: postnatal adult; Dnajc16tm1.1(KOMP)Vlcg/Dnajc16+ (more )
Structure Level Pattern Image Note
TS28: thalamus Present JAX_1797929

Specimen JAX_1797930: postnatal adult; Dnajc16tm1.1(KOMP)Vlcg/Dnajc16+ (more )
Structure Level Pattern Image Note
TS28: midbrain Present JAX_1797930

Specimen JAX_1797931: postnatal adult; Dnajc16tm1.1(KOMP)Vlcg/Dnajc16+ (more )
Structure Level Pattern Image Note
TS28: vascular system Present JAX_1797931

Specimen JAX_1797932: postnatal adult; Dnajc16tm1.1(KOMP)Vlcg/Dnajc16+ (more )
Structure Level Pattern Image Note
TS28: epididymis Present JAX_1797932

Specimen JAX_1797933: postnatal adult; Dnajc16tm1.1(KOMP)Vlcg/Dnajc16+ (more )
Structure Level Pattern Image Note
TS28: submandibular gland Present JAX_1797933

Specimen JAX_1797934: postnatal adult; Dnajc16tm1.1(KOMP)Vlcg/Dnajc16+ (more )
Structure Level Pattern Image Note
TS28: brown fat Present JAX_1797934

Specimen JAX_1797935: postnatal adult; Dnajc16tm1.1(KOMP)Vlcg/Dnajc16+ (more )
Structure Level Pattern Image Note
TS28: bone Present JAX_1797935

Specimen JAX_1797936: postnatal adult; Dnajc16tm1.1(KOMP)Vlcg/Dnajc16+ (more )
Structure Level Pattern Image Note
TS28: bladder Present JAX_1797936

Specimen JAX_1797937: postnatal adult; Dnajc16tm1.1(KOMP)Vlcg/Dnajc16+ (more )
Structure Level Pattern Image Note
TS28: corpus striatum Present JAX_1797937

Specimen JAX_1797938: postnatal adult; Dnajc16tm1.1(KOMP)Vlcg/Dnajc16+ (more )
Structure Level Pattern Image Note
TS28: Peyer's patch Present JAX_1797938

Specimen JAX_1797939: postnatal adult; Dnajc16tm1.1(KOMP)Vlcg/Dnajc16+ (more )
Structure Level Pattern Image Note
TS28: peripheral nervous system Present JAX_1797939

Specimen JAX_1797940: postnatal adult; Dnajc16tm1.1(KOMP)Vlcg/Dnajc16+ (more )
Structure Level Pattern Image Note
TS28: olfactory lobe Present JAX_1797940

Specimen JAX_1797941: postnatal adult; Dnajc16tm1.1(KOMP)Vlcg/Dnajc16+ (more )
Structure Level Pattern Image Note
TS28: hypothalamus Present JAX_1797941

Specimen JAX_1797942: postnatal adult; Dnajc16tm1.1(KOMP)Vlcg/Dnajc16+ (more )
Structure Level Pattern Image Note
TS28: hippocampus Present JAX_1797942

Specimen JAX_1797943: postnatal adult; Dnajc16tm1.1(KOMP)Vlcg/Dnajc16+ (more )
Structure Level Pattern Image Note
TS28: cerebellum Present JAX_1797943

Specimen JAX_1797944: postnatal adult; Dnajc16tm1.1(KOMP)Vlcg/Dnajc16+ (more )
Structure Level Pattern Image Note
TS28: cerebral cortex Present JAX_1797944

Specimen JAX_1797945: postnatal adult; Dnajc16tm1.1(KOMP)Vlcg/Dnajc16+ (more )
Structure Level Pattern Image Note
TS28: cartilage Present JAX_1797945

Specimen JAX_1797946: postnatal adult; Dnajc16tm1.1(KOMP)Vlcg/Dnajc16+ (more )
Structure Level Pattern Image Note
TS28: brainstem Present JAX_1797946

Specimen JAX_1797947: postnatal adult; Dnajc16tm1.1(KOMP)Vlcg/Dnajc16+ (more )
Structure Level Pattern Image Note
TS28: spleen Present JAX_1797947

Specimen JAX_1797948: postnatal adult; Dnajc16tm1.1(KOMP)Vlcg/Dnajc16+ (more )
Structure Level Pattern Image Note
TS28: pancreas Present JAX_1797948

Specimen JAX_1797949: postnatal adult; Dnajc16tm1.1(KOMP)Vlcg/Dnajc16+ (more )
Structure Level Pattern Image Note
TS28: aorta Present JAX_1797949

Specimen JAX_1797950: postnatal adult; Dnajc16tm1.1(KOMP)Vlcg/Dnajc16+ (more )
Structure Level Pattern Image Note
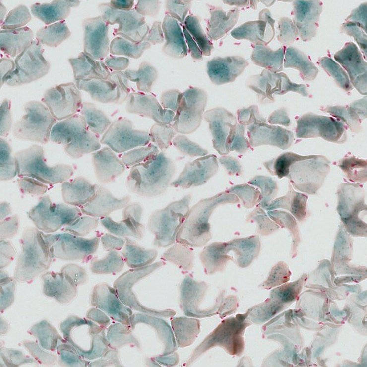
TS28: lung Present JAX_1797950

Specimen JAX_1797951: postnatal adult; Dnajc16tm1.1(KOMP)Vlcg/Dnajc16+ (more )
Structure Level Pattern Image Note
TS28: white fat Present JAX_1797951

Specimen JAX_1797952: postnatal adult; Dnajc16tm1.1(KOMP)Vlcg/Dnajc16+ (more )
Structure Level Pattern Image Note
TS28: small intestine Present JAX_1797952

Specimen JAX_1797953: postnatal adult; Dnajc16tm1.1(KOMP)Vlcg/Dnajc16+ (more )
Structure Level Pattern Image Note
TS28: skeletal muscle tissue Present JAX_1797953

Specimen JAX_1797954: postnatal adult; Dnajc16tm1.1(KOMP)Vlcg/Dnajc16+ (more )
Structure Level Pattern Image Note
TS28: pituitary gland Present JAX_1797954

Specimen JAX_1797955: postnatal adult; Dnajc16tm1.1(KOMP)Vlcg/Dnajc16+ (more )
Structure Level Pattern Image Note
TS28: thyroid gland Present JAX_1797955

Specimen JAX_1797956: postnatal adult; Dnajc16tm1.1(KOMP)Vlcg/Dnajc16+ (more )
Structure Level Pattern Image Note
TS28: spinal cord Present JAX_1797956

Specimen JAX_1797957: postnatal adult; Dnajc16tm1.1(KOMP)Vlcg/Dnajc16+ (more )
Structure Level Pattern Image Note
TS28: esophagus Present JAX_1797957

Specimen JAX_1797958: postnatal adult; Dnajc16tm1.1(KOMP)Vlcg/Dnajc16+ (more )
Structure Level Pattern Image Note
TS28: large intestine Present JAX_1797958

Specimen JAX_1797959: postnatal adult; Dnajc16tm1.1(KOMP)Vlcg/Dnajc16+ (more )
Structure Level Pattern Image Note
TS28: trachea Present JAX_1797959

Specimen JAX_1797960: postnatal adult; Dnajc16tm1.1(KOMP)Vlcg/Dnajc16+ (more )
Structure Level Pattern Image Note
TS28: thymus Present JAX_1797960

Specimen JAX_1797961: postnatal adult; Dnajc16tm1.1(KOMP)Vlcg/Dnajc16+ (more )
Structure Level Pattern Image Note
TS28: testis Present JAX_1797961

Specimen JAX_1797962: postnatal adult; Dnajc16tm1.1(KOMP)Vlcg/Dnajc16+ (more )
Structure Level Pattern Image Note
TS28: stomach Present JAX_1797962

Specimen JAX_1797963: postnatal adult; Dnajc16tm1.1(KOMP)Vlcg/Dnajc16+ (more )
Structure Level Pattern Image Note
TS28: skin Present JAX_1797963

Specimen JAX_1797964: postnatal adult; Dnajc16tm1.1(KOMP)Vlcg/Dnajc16+ (more )
Structure Level Pattern Image Note
TS28: lymph node Present JAX_1797964

Specimen JAX_1797965: postnatal adult; Dnajc16tm1.1(KOMP)Vlcg/Dnajc16+ (more )
Structure Level Pattern Image Note
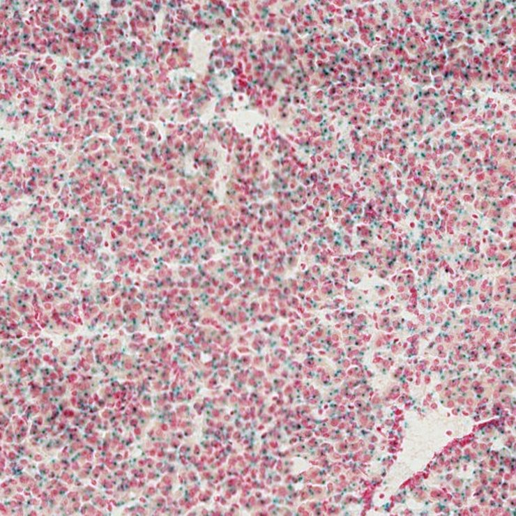
TS28: liver Present JAX_1797965

Specimen JAX_1797966: postnatal adult; Dnajc16tm1.1(KOMP)Vlcg/Dnajc16+ (more )
Structure Level Pattern Image Note
TS28: metanephros Present JAX_1797966 kidney

Specimen JAX_1797967: postnatal adult; Dnajc16tm1.1(KOMP)Vlcg/Dnajc16+ (more )
Structure Level Pattern Image Note
TS28: heart Present JAX_1797967

Specimen JAX_1797968: postnatal adult; Dnajc16tm1.1(KOMP)Vlcg/Dnajc16+ (more )
Structure Level Pattern Image Note
TS28: eye Present JAX_1797968

Specimen JAX_1797969: postnatal adult; Dnajc16tm1.1(KOMP)Vlcg/Dnajc16+ (more )
Structure Level Pattern Image Note
TS28: brain Present JAX_1797969

Specimen JAX_1797970: postnatal adult; Dnajc16tm1.1(KOMP)Vlcg/Dnajc16+ (more )
Structure Level Pattern Image Note
TS28: adrenal gland Present JAX_1797970


Contributing Projects:
Mouse Genome Database (MGD), Gene Expression Database (GXD), Mouse Models of Human Cancer database (MMHCdb) (formerly Mouse Tumor Biology (MTB)), Gene Ontology (GO)
Citing These Resources
Funding Information
Warranty Disclaimer, Privacy Notice, Licensing, & Copyright
Send questions and comments to User Support.
last database update
12/30/2025
MGI 6.24
The Jackson Laboratory