About   Help   FAQ
Gene Expression Data
Assay Details
Assay
Reference: J:228563 Koscielny G, et al., The International Mouse Phenotyping Consortium Web Portal, a unified point of access for knockout mice and related phenotyping data. Nucleic Acids Res. 2014 Jan;42(Database issue):D802-9
Assay type: In situ reporter (knock in)
MGI Accession ID: MGI:6692579
Gene symbol: Fam20a
Gene name: FAM20A, golgi associated secretory pathway pseudokinase
Reporter: lacZ
Direct Detection
Results
Specimen UC Davis_1858550: postnatal adult; Fam20atm1b(KOMP)Wtsi/Fam20a+ (more )
Structure Level Pattern Image Note
TS28: submandibular gland Present UC Davis_1858550

Specimen UC Davis_1858551: postnatal adult; Fam20atm1b(KOMP)Wtsi/Fam20a+ (more )
Structure Level Pattern Image Note
TS28: parotid gland Present UC Davis_1858551

Specimen UC Davis_1858552: postnatal adult; Fam20atm1b(KOMP)Wtsi/Fam20a+ (more )
Structure Level Pattern Image Note
TS28: parotid gland Present UC Davis_1858552

Specimen UC Davis_1858554: postnatal adult; Fam20atm1b(KOMP)Wtsi/Fam20a+ (more )
Structure Level Pattern Image Note
TS28: ileum Present UC Davis_1858554

Specimen UC Davis_1858555: postnatal adult; Fam20atm1b(KOMP)Wtsi/Fam20a+ (more )
Structure Level Pattern Image Note
TS28: colon Present UC Davis_1858555

Specimen UC Davis_1858556: postnatal adult; Fam20atm1b(KOMP)Wtsi/Fam20a+ (more )
Structure Level Pattern Image Note
TS28: cecum Present UC Davis_1858556

Specimen UC Davis_1858557: postnatal adult; Fam20atm1b(KOMP)Wtsi/Fam20a+ (more )
Structure Level Pattern Image Note
TS28: cecum Present UC Davis_1858557

Specimen UC Davis_1858558: postnatal adult; Fam20atm1b(KOMP)Wtsi/Fam20a+ (more )
Structure Level Pattern Image Note
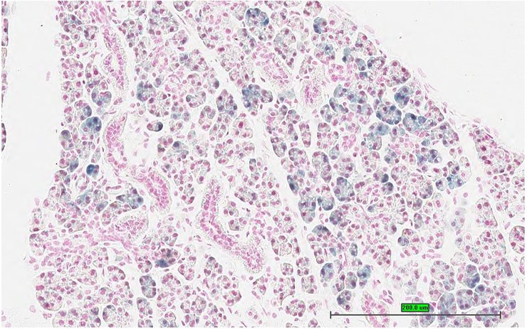
TS28: pancreas Present UC Davis_1858558

Specimen UC Davis_1858559: postnatal adult; Fam20atm1b(KOMP)Wtsi/Fam20a+ (more )
Structure Level Pattern Image Note
TS28: tongue Present UC Davis_1858559

Specimen UC Davis_1858560: postnatal adult; Fam20atm1b(KOMP)Wtsi/Fam20a+ (more )
Structure Level Pattern Image Note
TS28: tongue Present UC Davis_1858560

Specimen UC Davis_1858561: postnatal adult; Fam20atm1b(KOMP)Wtsi/Fam20a+ (more )
Structure Level Pattern Image Note
TS28: gonadal fat pad Present UC Davis_1858561

Specimen UC Davis_1858562: postnatal adult; Fam20atm1b(KOMP)Wtsi/Fam20a+ (more )
Structure Level Pattern Image Note
TS28: mesenteric adipose tissue Present UC Davis_1858562

Specimen UC Davis_1858563: postnatal adult; Fam20atm1b(KOMP)Wtsi/Fam20a+ (more )
Structure Level Pattern Image Note
TS28: skin Present UC Davis_1858563

Specimen UC Davis_1858564: postnatal adult; Fam20atm1b(KOMP)Wtsi/Fam20a+ (more )
Structure Level Pattern Image Note
TS28: brown fat Present UC Davis_1858564

Specimen UC Davis_1858567: postnatal adult; Fam20atm1b(KOMP)Wtsi/Fam20a+ (more )
Structure Level Pattern Image Note
TS28: midbrain Present UC Davis_1858567

Specimen UC Davis_1858569: postnatal adult; Fam20atm1b(KOMP)Wtsi/Fam20a+ (more )
Structure Level Pattern Image Note
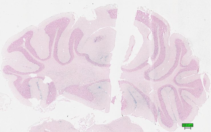
TS28: cerebellum Present UC Davis_1858569

Specimen UC Davis_1858570: postnatal adult; Fam20atm1b(KOMP)Wtsi/Fam20a+ (more )
Structure Level Pattern Image Note
TS28: uterus Present UC Davis_1858570

Specimen UC Davis_1858571: postnatal adult; Fam20atm1b(KOMP)Wtsi/Fam20a+ (more )
Structure Level Pattern Image Note
TS28: bladder Present UC Davis_1858571

Specimen UC Davis_1858643: postnatal adult; Fam20atm1b(KOMP)Wtsi/Fam20a+ (more )
Structure Level Pattern Image Note
TS28: lung Present UC Davis_1858643

Specimen UC Davis_1858645: postnatal adult; Fam20atm1b(KOMP)Wtsi/Fam20a+ (more )
Structure Level Pattern Image Note
TS28: trachea Present UC Davis_1858645

Specimen UC Davis_1858646: postnatal adult; Fam20atm1b(KOMP)Wtsi/Fam20a+ (more )
Structure Level Pattern Image Note
TS28: esophagus Present UC Davis_1858646

Specimen UC Davis_1858647: postnatal adult; Fam20atm1b(KOMP)Wtsi/Fam20a+ (more )
Structure Level Pattern Image Note
TS28: gonadal fat pad Present UC Davis_1858647

Specimen UC Davis_1858648: postnatal adult; Fam20atm1b(KOMP)Wtsi/Fam20a+ (more )
Structure Level Pattern Image Note
TS28: ovary Present UC Davis_1858648

Specimen UC Davis_1858649: postnatal adult; Fam20atm1b(KOMP)Wtsi/Fam20a+ (more )
Structure Level Pattern Image Note
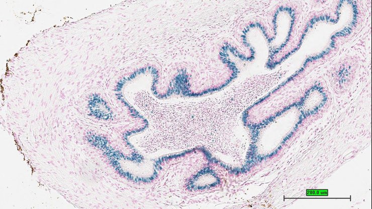
TS28: oviduct Present UC Davis_1858649

Specimen UC Davis_1858650: postnatal adult; Fam20atm1b(KOMP)Wtsi/Fam20a+ (more )
Structure Level Pattern Image Note
TS28: uterus Present UC Davis_1858650

Specimen UC Davis_1858572: postnatal adult; Fam20atm1b(KOMP)Wtsi/Fam20a+ (more )
Structure Level Pattern Image Note
TS28: parotid gland Present UC Davis_1858572

Specimen UC Davis_1858573: postnatal adult; Fam20atm1b(KOMP)Wtsi/Fam20a+ (more )
Structure Level Pattern Image Note
TS28: parotid gland Present UC Davis_1858573

Specimen UC Davis_1858577: postnatal adult; Fam20atm1b(KOMP)Wtsi/Fam20a+ (more )
Structure Level Pattern Image Note
TS28: spleen Present UC Davis_1858577

Specimen UC Davis_1858578: postnatal adult; Fam20atm1b(KOMP)Wtsi/Fam20a+ (more )
Structure Level Pattern Image Note
TS28: spleen Present UC Davis_1858578

Specimen UC Davis_1858579: postnatal adult; Fam20atm1b(KOMP)Wtsi/Fam20a+ (more )
Structure Level Pattern Image Note
TS28: spleen Present UC Davis_1858579

Specimen UC Davis_1858580: postnatal adult; Fam20atm1b(KOMP)Wtsi/Fam20a+ (more )
Structure Level Pattern Image Note
TS28: quadriceps femoris muscle Present UC Davis_1858580

Specimen UC Davis_1858581: postnatal adult; Fam20atm1b(KOMP)Wtsi/Fam20a+ (more )
Structure Level Pattern Image Note
TS28: quadriceps femoris muscle Present UC Davis_1858581

Specimen UC Davis_1858582: postnatal adult; Fam20atm1b(KOMP)Wtsi/Fam20a+ (more )
Structure Level Pattern Image Note
TS28: quadriceps femoris muscle Present UC Davis_1858582

Specimen UC Davis_1858583: postnatal adult; Fam20atm1b(KOMP)Wtsi/Fam20a+ (more )
Structure Level Pattern Image Note
TS28: quadriceps femoris muscle Present UC Davis_1858583

Specimen UC Davis_1858584: postnatal adult; Fam20atm1b(KOMP)Wtsi/Fam20a+ (more )
Structure Level Pattern Image Note
TS28: quadriceps femoris muscle Present UC Davis_1858584

Specimen UC Davis_1858585: postnatal adult; Fam20atm1b(KOMP)Wtsi/Fam20a+ (more )
Structure Level Pattern Image Note
TS28: skin Present UC Davis_1858585

Specimen UC Davis_1858586: postnatal adult; Fam20atm1b(KOMP)Wtsi/Fam20a+ (more )
Structure Level Pattern Image Note
TS28: skin Present UC Davis_1858586

Specimen UC Davis_1858587: postnatal adult; Fam20atm1b(KOMP)Wtsi/Fam20a+ (more )
Structure Level Pattern Image Note
TS28: skin Present UC Davis_1858587

Specimen UC Davis_1858588: postnatal adult; Fam20atm1b(KOMP)Wtsi/Fam20a+ (more )
Structure Level Pattern Image Note
TS28: brown fat Present UC Davis_1858588

Specimen UC Davis_1858589: postnatal adult; Fam20atm1b(KOMP)Wtsi/Fam20a+ (more )
Structure Level Pattern Image Note
TS28: brown fat Present UC Davis_1858589

Specimen UC Davis_1858590: postnatal adult; Fam20atm1b(KOMP)Wtsi/Fam20a+ (more )
Structure Level Pattern Image Note
TS28: brown fat Present UC Davis_1858590

Specimen UC Davis_1858591: postnatal adult; Fam20atm1b(KOMP)Wtsi/Fam20a+ (more )
Structure Level Pattern Image Note
TS28: olfactory lobe Present UC Davis_1858591

Specimen UC Davis_1858592: postnatal adult; Fam20atm1b(KOMP)Wtsi/Fam20a+ (more )
Structure Level Pattern Image Note
TS28: olfactory lobe Present UC Davis_1858592

Specimen UC Davis_1858594: postnatal adult; Fam20atm1b(KOMP)Wtsi/Fam20a+ (more )
Structure Level Pattern Image Note
TS28: midbrain Present UC Davis_1858594

Specimen UC Davis_1858595: postnatal adult; Fam20atm1b(KOMP)Wtsi/Fam20a+ (more )
Structure Level Pattern Image Note
TS28: midbrain Present UC Davis_1858595

Specimen UC Davis_1858596: postnatal adult; Fam20atm1b(KOMP)Wtsi/Fam20a+ (more )
Structure Level Pattern Image Note
TS28: cerebellum Present UC Davis_1858596

Specimen UC Davis_1858597: postnatal adult; Fam20atm1b(KOMP)Wtsi/Fam20a+ (more )
Structure Level Pattern Image Note
TS28: testis Present UC Davis_1858597

Specimen UC Davis_1858598: postnatal adult; Fam20atm1b(KOMP)Wtsi/Fam20a+ (more )
Structure Level Pattern Image Note
TS28: testis Present UC Davis_1858598

Specimen UC Davis_1858599: postnatal adult; Fam20atm1b(KOMP)Wtsi/Fam20a+ (more )
Structure Level Pattern Image Note
TS28: testis Present UC Davis_1858599

Specimen UC Davis_1858600: postnatal adult; Fam20atm1b(KOMP)Wtsi/Fam20a+ (more )
Structure Level Pattern Image Note
TS28: epididymis Present UC Davis_1858600

Specimen UC Davis_1858601: postnatal adult; Fam20atm1b(KOMP)Wtsi/Fam20a+ (more )
Structure Level Pattern Image Note
TS28: epididymis Present UC Davis_1858601

Specimen UC Davis_1858602: postnatal adult; Fam20atm1b(KOMP)Wtsi/Fam20a+ (more )
Structure Level Pattern Image Note
TS28: prostate gland Present UC Davis_1858602

Specimen UC Davis_1858603: postnatal adult; Fam20atm1b(KOMP)Wtsi/Fam20a+ (more )
Structure Level Pattern Image Note
TS28: prostate gland Present UC Davis_1858603

Specimen UC Davis_1858604: postnatal adult; Fam20atm1b(KOMP)Wtsi/Fam20a+ (more )
Structure Level Pattern Image Note
TS28: prostate gland Present UC Davis_1858604

Specimen UC Davis_1858605: postnatal adult; Fam20atm1b(KOMP)Wtsi/Fam20a+ (more )
Structure Level Pattern Image Note
TS28: penis Present UC Davis_1858605

Specimen UC Davis_1858606: postnatal adult; Fam20atm1b(KOMP)Wtsi/Fam20a+ (more )
Structure Level Pattern Image Note
TS28: penis Present UC Davis_1858606

Specimen UC Davis_1858607: postnatal adult; Fam20atm1b(KOMP)Wtsi/Fam20a+ (more )
Structure Level Pattern Image Note
TS28: penis Present UC Davis_1858607

Specimen UC Davis_1858608: postnatal adult; Fam20atm1b(KOMP)Wtsi/Fam20a+ (more )
Structure Level Pattern Image Note
TS28: ductus deferens Present UC Davis_1858608 vas deferens

Specimen UC Davis_1858609: postnatal adult; Fam20atm1b(KOMP)Wtsi/Fam20a+ (more )
Structure Level Pattern Image Note
TS28: ductus deferens Present UC Davis_1858609 vas deferens

Specimen UC Davis_1858610: postnatal adult; Fam20atm1b(KOMP)Wtsi/Fam20a+ (more )
Structure Level Pattern Image Note
TS28: tongue Present UC Davis_1858610

Specimen UC Davis_1858611: postnatal adult; Fam20atm1b(KOMP)Wtsi/Fam20a+ (more )
Structure Level Pattern Image Note
TS28: spleen Present UC Davis_1858611

Specimen UC Davis_1858612: postnatal adult; Fam20atm1b(KOMP)Wtsi/Fam20a+ (more )
Structure Level Pattern Image Note
TS28: pancreas Present UC Davis_1858612

Specimen UC Davis_1858613: postnatal adult; Fam20atm1b(KOMP)Wtsi/Fam20a+ (more )
Structure Level Pattern Image Note
TS28: brown fat Present UC Davis_1858613

Specimen UC Davis_1858614: postnatal adult; Fam20atm1b(KOMP)Wtsi/Fam20a+ (more )
Structure Level Pattern Image Note
TS28: olfactory lobe Present UC Davis_1858614

Specimen UC Davis_1858617: postnatal adult; Fam20atm1b(KOMP)Wtsi/Fam20a+ (more )
Structure Level Pattern Image Note
TS28: midbrain Present UC Davis_1858617

Specimen UC Davis_1858619: postnatal adult; Fam20atm1b(KOMP)Wtsi/Fam20a+ (more )
Structure Level Pattern Image Note
TS28: cerebellum Present UC Davis_1858619

Specimen UC Davis_1858620: postnatal adult; Fam20atm1b(KOMP)Wtsi/Fam20a+ (more )
Structure Level Pattern Image Note
TS28: brain Present UC Davis_1858620

Specimen UC Davis_1858622: postnatal adult; Fam20atm1b(KOMP)Wtsi/Fam20a+ (more )
Structure Level Pattern Image Note
TS28: aorta Present UC Davis_1858622

Specimen UC Davis_1858623: postnatal adult; Fam20atm1b(KOMP)Wtsi/Fam20a+ (more )
Structure Level Pattern Image Note
TS28: metanephros Present UC Davis_1858623 kidney

Specimen UC Davis_1858624: postnatal adult; Fam20atm1b(KOMP)Wtsi/Fam20a+ (more )
Structure Level Pattern Image Note
TS28: liver Present UC Davis_1858624

Specimen UC Davis_1858625: postnatal adult; Fam20atm1b(KOMP)Wtsi/Fam20a+ (more )
Structure Level Pattern Image Note
TS28: diaphragm Present UC Davis_1858625

Specimen UC Davis_1858626: postnatal adult; Fam20atm1b(KOMP)Wtsi/Fam20a+ (more )
Structure Level Pattern Image Note
TS28: skin Present UC Davis_1858626

Specimen UC Davis_1858627: postnatal adult; Fam20atm1b(KOMP)Wtsi/Fam20a+ (more )
Structure Level Pattern Image Note
TS28: trachea Present UC Davis_1858627

Specimen UC Davis_1858629: postnatal adult; Fam20atm1b(KOMP)Wtsi/Fam20a+ (more )
Structure Level Pattern Image Note
TS28: thyroid gland Present UC Davis_1858629

Specimen UC Davis_1858630: postnatal adult; Fam20atm1b(KOMP)Wtsi/Fam20a+ (more )
Structure Level Pattern Image Note
TS28: spinal cord Present UC Davis_1858630

Specimen UC Davis_1858631: postnatal adult; Fam20atm1b(KOMP)Wtsi/Fam20a+ (more )
Structure Level Pattern Image Note
TS28: pituitary gland Present UC Davis_1858631

Specimen UC Davis_1858632: postnatal adult; Fam20atm1b(KOMP)Wtsi/Fam20a+ (more )
Structure Level Pattern Image Note
TS28: stomach Present UC Davis_1858632

Specimen UC Davis_1858633: postnatal adult; Fam20atm1b(KOMP)Wtsi/Fam20a+ (more )
Structure Level Pattern Image Note
TS28: mesenteric lymph node Present UC Davis_1858633

Specimen UC Davis_1858634: postnatal adult; Fam20atm1b(KOMP)Wtsi/Fam20a+ (more )
Structure Level Pattern Image Note
TS28: mesenteric adipose tissue Present UC Davis_1858634

Specimen UC Davis_1858635: postnatal adult; Fam20atm1b(KOMP)Wtsi/Fam20a+ (more )
Structure Level Pattern Image Note
TS28: bladder Present UC Davis_1858635

Specimen UC Davis_1858636: postnatal adult; Fam20atm1b(KOMP)Wtsi/Fam20a+ (more )
Structure Level Pattern Image Note
TS28: testis Present UC Davis_1858636

Specimen UC Davis_1858637: postnatal adult; Fam20atm1b(KOMP)Wtsi/Fam20a+ (more )
Structure Level Pattern Image Note
TS28: seminal vesicle Present UC Davis_1858637 vesicular gland

Specimen UC Davis_1858640: postnatal adult; Fam20atm1b(KOMP)Wtsi/Fam20a+ (more )
Structure Level Pattern Image Note
TS28: thoracic segment skeleton Present UC Davis_1858640 chest bone


Contributing Projects:
Mouse Genome Database (MGD), Gene Expression Database (GXD), Mouse Models of Human Cancer database (MMHCdb) (formerly Mouse Tumor Biology (MTB)), Gene Ontology (GO)
Citing These Resources
Funding Information
Warranty Disclaimer, Privacy Notice, Licensing, & Copyright
Send questions and comments to User Support.
last database update
01/20/2026
MGI 6.24
The Jackson Laboratory