About   Help   FAQ
Gene Expression Data
Assay Details
Assay
Reference: J:228563 Koscielny G, et al., The International Mouse Phenotyping Consortium Web Portal, a unified point of access for knockout mice and related phenotyping data. Nucleic Acids Res. 2014 Jan;42(Database issue):D802-9
Assay type: In situ reporter (knock in)
MGI Accession ID: MGI:6692573
Gene symbol: Prr15l
Gene name: proline rich 15-like
Reporter: lacZ
Direct Detection
Results
Specimen UC Davis_1853338: postnatal adult; Prr15ltm1.1(KOMP)Vlcg/Prr15l+ (more )
Structure Level Pattern Image Note
TS28: submandibular gland Present UC Davis_1853338

Specimen UC Davis_1853339: postnatal adult; Prr15ltm1.1(KOMP)Vlcg/Prr15l+ (more )
Structure Level Pattern Image Note
TS28: submandibular gland Present UC Davis_1853339

Specimen UC Davis_1853340: postnatal adult; Prr15ltm1.1(KOMP)Vlcg/Prr15l+ (more )
Structure Level Pattern Image Note
TS28: submandibular gland Present UC Davis_1853340

Specimen UC Davis_1853341: postnatal adult; Prr15ltm1.1(KOMP)Vlcg/Prr15l+ (more )
Structure Level Pattern Image Note
TS28: submandibular gland Present UC Davis_1853341

Specimen UC Davis_1853342: postnatal adult; Prr15ltm1.1(KOMP)Vlcg/Prr15l+ (more )
Structure Level Pattern Image Note
TS28: sublingual gland Present UC Davis_1853342

Specimen UC Davis_1853343: postnatal adult; Prr15ltm1.1(KOMP)Vlcg/Prr15l+ (more )
Structure Level Pattern Image Note
TS28: sublingual gland Present UC Davis_1853343

Specimen UC Davis_1853344: postnatal adult; Prr15ltm1.1(KOMP)Vlcg/Prr15l+ (more )
Structure Level Pattern Image Note
TS28: sublingual gland Present UC Davis_1853344

Specimen UC Davis_1853345: postnatal adult; Prr15ltm1.1(KOMP)Vlcg/Prr15l+ (more )
Structure Level Pattern Image Note
TS28: parotid gland Present UC Davis_1853345

Specimen UC Davis_1853346: postnatal adult; Prr15ltm1.1(KOMP)Vlcg/Prr15l+ (more )
Structure Level Pattern Image Note
TS28: parotid gland Present UC Davis_1853346

Specimen UC Davis_1853347: postnatal adult; Prr15ltm1.1(KOMP)Vlcg/Prr15l+ (more )
Structure Level Pattern Image Note
TS28: trachea Present UC Davis_1853347

Specimen UC Davis_1853348: postnatal adult; Prr15ltm1.1(KOMP)Vlcg/Prr15l+ (more )
Structure Level Pattern Image Note
TS28: trachea Present UC Davis_1853348

Specimen UC Davis_1853349: postnatal adult; Prr15ltm1.1(KOMP)Vlcg/Prr15l+ (more )
Structure Level Pattern Image Note
TS28: thyroid gland Present UC Davis_1853349

Specimen UC Davis_1853350: postnatal adult; Prr15ltm1.1(KOMP)Vlcg/Prr15l+ (more )
Structure Level Pattern Image Note
TS28: lung Present UC Davis_1853350

Specimen UC Davis_1853351: postnatal adult; Prr15ltm1.1(KOMP)Vlcg/Prr15l+ (more )
Structure Level Pattern Image Note
TS28: lung Present UC Davis_1853351

Specimen UC Davis_1853352: postnatal adult; Prr15ltm1.1(KOMP)Vlcg/Prr15l+ (more )
Structure Level Pattern Image Note
TS28: lung Present UC Davis_1853352

Specimen UC Davis_1853353: postnatal adult; Prr15ltm1.1(KOMP)Vlcg/Prr15l+ (more )
Structure Level Pattern Image Note
TS28: lung Present UC Davis_1853353

Specimen UC Davis_1853354: postnatal adult; Prr15ltm1.1(KOMP)Vlcg/Prr15l+ (more )
Structure Level Pattern Image Note
TS28: thymus Present UC Davis_1853354

Specimen UC Davis_1853355: postnatal adult; Prr15ltm1.1(KOMP)Vlcg/Prr15l+ (more )
Structure Level Pattern Image Note
TS28: thymus Present UC Davis_1853355

Specimen UC Davis_1853357: postnatal adult; Prr15ltm1.1(KOMP)Vlcg/Prr15l+ (more )
Structure Level Pattern Image Note
TS28: stomach Present UC Davis_1853357

Specimen UC Davis_1853358: postnatal adult; Prr15ltm1.1(KOMP)Vlcg/Prr15l+ (more )
Structure Level Pattern Image Note
TS28: stomach Present UC Davis_1853358

Specimen UC Davis_1853359: postnatal adult; Prr15ltm1.1(KOMP)Vlcg/Prr15l+ (more )
Structure Level Pattern Image Note
TS28: stomach Present UC Davis_1853359

Specimen UC Davis_1853360: postnatal adult; Prr15ltm1.1(KOMP)Vlcg/Prr15l+ (more )
Structure Level Pattern Image Note
TS28: stomach Present UC Davis_1853360

Specimen UC Davis_1853361: postnatal adult; Prr15ltm1.1(KOMP)Vlcg/Prr15l+ (more )
Structure Level Pattern Image Note
TS28: stomach Present UC Davis_1853361

Specimen UC Davis_1853362: postnatal adult; Prr15ltm1.1(KOMP)Vlcg/Prr15l+ (more )
Structure Level Pattern Image Note
TS28: duodenum Present UC Davis_1853362

Specimen UC Davis_1853363: postnatal adult; Prr15ltm1.1(KOMP)Vlcg/Prr15l+ (more )
Structure Level Pattern Image Note
TS28: duodenum Present UC Davis_1853363

Specimen UC Davis_1853364: postnatal adult; Prr15ltm1.1(KOMP)Vlcg/Prr15l+ (more )
Structure Level Pattern Image Note
TS28: duodenum Present UC Davis_1853364

Specimen UC Davis_1853365: postnatal adult; Prr15ltm1.1(KOMP)Vlcg/Prr15l+ (more )
Structure Level Pattern Image Note
TS28: duodenum Present UC Davis_1853365

Specimen UC Davis_1853366: postnatal adult; Prr15ltm1.1(KOMP)Vlcg/Prr15l+ (more )
Structure Level Pattern Image Note
TS28: ileum Present UC Davis_1853366

Specimen UC Davis_1853367: postnatal adult; Prr15ltm1.1(KOMP)Vlcg/Prr15l+ (more )
Structure Level Pattern Image Note
TS28: ileum Present UC Davis_1853367

Specimen UC Davis_1853368: postnatal adult; Prr15ltm1.1(KOMP)Vlcg/Prr15l+ (more )
Structure Level Pattern Image Note
TS28: ileum Present UC Davis_1853368

Specimen UC Davis_1853369: postnatal adult; Prr15ltm1.1(KOMP)Vlcg/Prr15l+ (more )
Structure Level Pattern Image Note
TS28: colon Present UC Davis_1853369

Specimen UC Davis_1853370: postnatal adult; Prr15ltm1.1(KOMP)Vlcg/Prr15l+ (more )
Structure Level Pattern Image Note
TS28: colon Present UC Davis_1853370

Specimen UC Davis_1853371: postnatal adult; Prr15ltm1.1(KOMP)Vlcg/Prr15l+ (more )
Structure Level Pattern Image Note
TS28: cecum Present UC Davis_1853371

Specimen UC Davis_1853372: postnatal adult; Prr15ltm1.1(KOMP)Vlcg/Prr15l+ (more )
Structure Level Pattern Image Note
TS28: cecum Present UC Davis_1853372

Specimen UC Davis_1853373: postnatal adult; Prr15ltm1.1(KOMP)Vlcg/Prr15l+ (more )
Structure Level Pattern Image Note
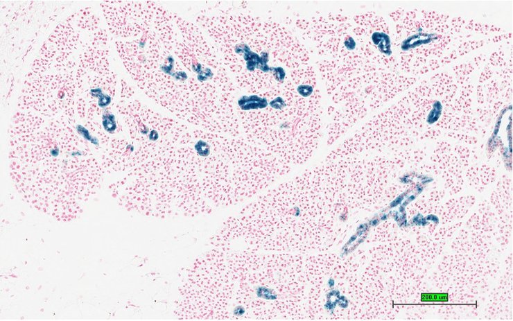
TS28: pancreas Present UC Davis_1853373

Specimen UC Davis_1853374: postnatal adult; Prr15ltm1.1(KOMP)Vlcg/Prr15l+ (more )
Structure Level Pattern Image Note
TS28: pancreas Present UC Davis_1853374

Specimen UC Davis_1853375: postnatal adult; Prr15ltm1.1(KOMP)Vlcg/Prr15l+ (more )
Structure Level Pattern Image Note
TS28: pancreas Present UC Davis_1853375

Specimen UC Davis_1853376: postnatal adult; Prr15ltm1.1(KOMP)Vlcg/Prr15l+ (more )
Structure Level Pattern Image Note
TS28: pancreas Present UC Davis_1853376

Specimen UC Davis_1853377: postnatal adult; Prr15ltm1.1(KOMP)Vlcg/Prr15l+ (more )
Structure Level Pattern Image Note
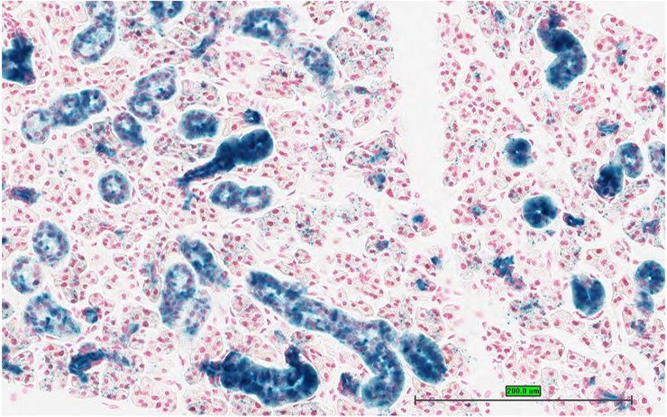
TS28: liver Present UC Davis_1853377

Specimen UC Davis_1853378: postnatal adult; Prr15ltm1.1(KOMP)Vlcg/Prr15l+ (more )
Structure Level Pattern Image Note
TS28: liver Present UC Davis_1853378

Specimen UC Davis_1853379: postnatal adult; Prr15ltm1.1(KOMP)Vlcg/Prr15l+ (more )
Structure Level Pattern Image Note
TS28: liver Present UC Davis_1853379

Specimen UC Davis_1853380: postnatal adult; Prr15ltm1.1(KOMP)Vlcg/Prr15l+ (more )
Structure Level Pattern Image Note
TS28: liver Present UC Davis_1853380

Specimen UC Davis_1853381: postnatal adult; Prr15ltm1.1(KOMP)Vlcg/Prr15l+ (more )
Structure Level Pattern Image Note
TS28: liver Present UC Davis_1853381

Specimen UC Davis_1853382: postnatal adult; Prr15ltm1.1(KOMP)Vlcg/Prr15l+ (more )
Structure Level Pattern Image Note
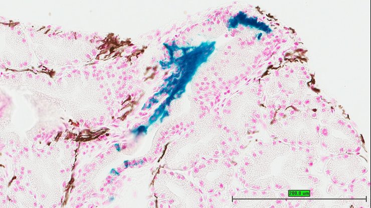
TS28: metanephros Present UC Davis_1853382 kidney

Specimen UC Davis_1853383: postnatal adult; Prr15ltm1.1(KOMP)Vlcg/Prr15l+ (more )
Structure Level Pattern Image Note
TS28: metanephros Present UC Davis_1853383 kidney

Specimen UC Davis_1853384: postnatal adult; Prr15ltm1.1(KOMP)Vlcg/Prr15l+ (more )
Structure Level Pattern Image Note
TS28: metanephros Present UC Davis_1853384 kidney

Specimen UC Davis_1853385: postnatal adult; Prr15ltm1.1(KOMP)Vlcg/Prr15l+ (more )
Structure Level Pattern Image Note
TS28: metanephros Present UC Davis_1853385 kidney

Specimen UC Davis_1853386: postnatal adult; Prr15ltm1.1(KOMP)Vlcg/Prr15l+ (more )
Structure Level Pattern Image Note
TS28: metanephros Present UC Davis_1853386 kidney

Specimen UC Davis_1853387: postnatal adult; Prr15ltm1.1(KOMP)Vlcg/Prr15l+ (more )
Structure Level Pattern Image Note
TS28: metanephros Present UC Davis_1853387 kidney

Specimen UC Davis_1853388: postnatal adult; Prr15ltm1.1(KOMP)Vlcg/Prr15l+ (more )
Structure Level Pattern Image Note
TS28: Harderian gland Present UC Davis_1853388

Specimen UC Davis_1853389: postnatal adult; Prr15ltm1.1(KOMP)Vlcg/Prr15l+ (more )
Structure Level Pattern Image Note
TS28: ovary Present UC Davis_1853389

Specimen UC Davis_1853390: postnatal adult; Prr15ltm1.1(KOMP)Vlcg/Prr15l+ (more )
Structure Level Pattern Image Note
TS28: ovary Present UC Davis_1853390

Specimen UC Davis_1853391: postnatal adult; Prr15ltm1.1(KOMP)Vlcg/Prr15l+ (more )
Structure Level Pattern Image Note
TS28: ovary Present UC Davis_1853391

Specimen UC Davis_1853392: postnatal adult; Prr15ltm1.1(KOMP)Vlcg/Prr15l+ (more )
Structure Level Pattern Image Note
TS28: oviduct Present UC Davis_1853392

Specimen UC Davis_1853393: postnatal adult; Prr15ltm1.1(KOMP)Vlcg/Prr15l+ (more )
Structure Level Pattern Image Note
TS28: uterus Present UC Davis_1853393

Specimen UC Davis_1853394: postnatal adult; Prr15ltm1.1(KOMP)Vlcg/Prr15l+ (more )
Structure Level Pattern Image Note
TS28: uterus Present UC Davis_1853394

Specimen UC Davis_1853395: postnatal adult; Prr15ltm1.1(KOMP)Vlcg/Prr15l+ (more )
Structure Level Pattern Image Note
TS28: uterus Present UC Davis_1853395

Specimen UC Davis_1853396: postnatal adult; Prr15ltm1.1(KOMP)Vlcg/Prr15l+ (more )
Structure Level Pattern Image Note
TS28: bladder Present UC Davis_1853396

Specimen UC Davis_1853397: postnatal adult; Prr15ltm1.1(KOMP)Vlcg/Prr15l+ (more )
Structure Level Pattern Image Note
TS28: bladder Present UC Davis_1853397

Specimen UC Davis_1853398: postnatal adult; Prr15ltm1.1(KOMP)Vlcg/Prr15l+ (more )
Structure Level Pattern Image Note
TS28: mammary gland Present UC Davis_1853398

Specimen UC Davis_1853399: postnatal adult; Prr15ltm1.1(KOMP)Vlcg/Prr15l+ (more )
Structure Level Pattern Image Note
TS28: mammary gland Present UC Davis_1853399

Specimen UC Davis_1853517: postnatal adult; Prr15ltm1.1(KOMP)Vlcg/Prr15l+ (more )
Structure Level Pattern Image Note
TS28: metanephros Present UC Davis_1853517 kidney

Specimen UC Davis_1853518: postnatal adult; Prr15ltm1.1(KOMP)Vlcg/Prr15l+ (more )
Structure Level Pattern Image Note
TS28: trachea Present UC Davis_1853518

Specimen UC Davis_1853520: postnatal adult; Prr15ltm1.1(KOMP)Vlcg/Prr15l+ (more )
Structure Level Pattern Image Note
TS28: thyroid gland Present UC Davis_1853520

Specimen UC Davis_1853521: postnatal adult; Prr15ltm1.1(KOMP)Vlcg/Prr15l+ (more )
Structure Level Pattern Image Note
TS28: gonadal fat pad Present UC Davis_1853521

Specimen UC Davis_1853522: postnatal adult; Prr15ltm1.1(KOMP)Vlcg/Prr15l+ (more )
Structure Level Pattern Image Note
TS28: ovary Present UC Davis_1853522

Specimen UC Davis_1853523: postnatal adult; Prr15ltm1.1(KOMP)Vlcg/Prr15l+ (more )
Structure Level Pattern Image Note
TS28: oviduct Present UC Davis_1853523

Specimen UC Davis_1853524: postnatal adult; Prr15ltm1.1(KOMP)Vlcg/Prr15l+ (more )
Structure Level Pattern Image Note
TS28: uterus Present UC Davis_1853524

Specimen UC Davis_1853400: postnatal adult; Prr15ltm1.1(KOMP)Vlcg/Prr15l+ (more )
Structure Level Pattern Image Note
TS28: submandibular gland Present UC Davis_1853400

Specimen UC Davis_1853401: postnatal adult; Prr15ltm1.1(KOMP)Vlcg/Prr15l+ (more )
Structure Level Pattern Image Note
TS28: submandibular gland Present UC Davis_1853401

Specimen UC Davis_1853402: postnatal adult; Prr15ltm1.1(KOMP)Vlcg/Prr15l+ (more )
Structure Level Pattern Image Note
TS28: submandibular gland Present UC Davis_1853402

Specimen UC Davis_1853403: postnatal adult; Prr15ltm1.1(KOMP)Vlcg/Prr15l+ (more )
Structure Level Pattern Image Note
TS28: sublingual gland Present UC Davis_1853403

Specimen UC Davis_1853404: postnatal adult; Prr15ltm1.1(KOMP)Vlcg/Prr15l+ (more )
Structure Level Pattern Image Note
TS28: sublingual gland Present UC Davis_1853404

Specimen UC Davis_1853405: postnatal adult; Prr15ltm1.1(KOMP)Vlcg/Prr15l+ (more )
Structure Level Pattern Image Note
TS28: trachea Present UC Davis_1853405

Specimen UC Davis_1853406: postnatal adult; Prr15ltm1.1(KOMP)Vlcg/Prr15l+ (more )
Structure Level Pattern Image Note
TS28: trachea Present UC Davis_1853406

Specimen UC Davis_1853407: postnatal adult; Prr15ltm1.1(KOMP)Vlcg/Prr15l+ (more )
Structure Level Pattern Image Note
TS28: trachea Present UC Davis_1853407

Specimen UC Davis_1853411: postnatal adult; Prr15ltm1.1(KOMP)Vlcg/Prr15l+ (more )
Structure Level Pattern Image Note
TS28: lung Present UC Davis_1853411

Specimen UC Davis_1853412: postnatal adult; Prr15ltm1.1(KOMP)Vlcg/Prr15l+ (more )
Structure Level Pattern Image Note
TS28: lung Present UC Davis_1853412

Specimen UC Davis_1853413: postnatal adult; Prr15ltm1.1(KOMP)Vlcg/Prr15l+ (more )
Structure Level Pattern Image Note
TS28: lung Present UC Davis_1853413

Specimen UC Davis_1853414: postnatal adult; Prr15ltm1.1(KOMP)Vlcg/Prr15l+ (more )
Structure Level Pattern Image Note
TS28: thymus Present UC Davis_1853414

Specimen UC Davis_1853415: postnatal adult; Prr15ltm1.1(KOMP)Vlcg/Prr15l+ (more )
Structure Level Pattern Image Note
TS28: thymus Present UC Davis_1853415

Specimen UC Davis_1853416: postnatal adult; Prr15ltm1.1(KOMP)Vlcg/Prr15l+ (more )
Structure Level Pattern Image Note
TS28: thymus Present UC Davis_1853416

Specimen UC Davis_1853417: postnatal adult; Prr15ltm1.1(KOMP)Vlcg/Prr15l+ (more )
Structure Level Pattern Image Note
TS28: stomach Present UC Davis_1853417

Specimen UC Davis_1853418: postnatal adult; Prr15ltm1.1(KOMP)Vlcg/Prr15l+ (more )
Structure Level Pattern Image Note
TS28: stomach Present UC Davis_1853418

Specimen UC Davis_1853419: postnatal adult; Prr15ltm1.1(KOMP)Vlcg/Prr15l+ (more )
Structure Level Pattern Image Note
TS28: stomach Present UC Davis_1853419

Specimen UC Davis_1853420: postnatal adult; Prr15ltm1.1(KOMP)Vlcg/Prr15l+ (more )
Structure Level Pattern Image Note
TS28: stomach Present UC Davis_1853420

Specimen UC Davis_1853421: postnatal adult; Prr15ltm1.1(KOMP)Vlcg/Prr15l+ (more )
Structure Level Pattern Image Note
TS28: duodenum Present UC Davis_1853421

Specimen UC Davis_1853422: postnatal adult; Prr15ltm1.1(KOMP)Vlcg/Prr15l+ (more )
Structure Level Pattern Image Note
TS28: duodenum Present UC Davis_1853422

Specimen UC Davis_1853423: postnatal adult; Prr15ltm1.1(KOMP)Vlcg/Prr15l+ (more )
Structure Level Pattern Image Note
TS28: duodenum Present UC Davis_1853423

Specimen UC Davis_1853424: postnatal adult; Prr15ltm1.1(KOMP)Vlcg/Prr15l+ (more )
Structure Level Pattern Image Note
TS28: jejunum Present UC Davis_1853424

Specimen UC Davis_1853425: postnatal adult; Prr15ltm1.1(KOMP)Vlcg/Prr15l+ (more )
Structure Level Pattern Image Note
TS28: jejunum Present UC Davis_1853425

Specimen UC Davis_1853426: postnatal adult; Prr15ltm1.1(KOMP)Vlcg/Prr15l+ (more )
Structure Level Pattern Image Note
TS28: jejunum Present UC Davis_1853426

Specimen UC Davis_1853427: postnatal adult; Prr15ltm1.1(KOMP)Vlcg/Prr15l+ (more )
Structure Level Pattern Image Note
TS28: ileum Present UC Davis_1853427

Specimen UC Davis_1853428: postnatal adult; Prr15ltm1.1(KOMP)Vlcg/Prr15l+ (more )
Structure Level Pattern Image Note
TS28: ileum Present UC Davis_1853428

Specimen UC Davis_1853429: postnatal adult; Prr15ltm1.1(KOMP)Vlcg/Prr15l+ (more )
Structure Level Pattern Image Note
TS28: ileum Present UC Davis_1853429

Specimen UC Davis_1853430: postnatal adult; Prr15ltm1.1(KOMP)Vlcg/Prr15l+ (more )
Structure Level Pattern Image Note
TS28: colon Present UC Davis_1853430

Specimen UC Davis_1853431: postnatal adult; Prr15ltm1.1(KOMP)Vlcg/Prr15l+ (more )
Structure Level Pattern Image Note
TS28: colon Present UC Davis_1853431

Specimen UC Davis_1853432: postnatal adult; Prr15ltm1.1(KOMP)Vlcg/Prr15l+ (more )
Structure Level Pattern Image Note
TS28: cecum Present UC Davis_1853432

Specimen UC Davis_1853433: postnatal adult; Prr15ltm1.1(KOMP)Vlcg/Prr15l+ (more )
Structure Level Pattern Image Note
TS28: cecum Present UC Davis_1853433

Specimen UC Davis_1853434: postnatal adult; Prr15ltm1.1(KOMP)Vlcg/Prr15l+ (more )
Structure Level Pattern Image Note
TS28: cecum Present UC Davis_1853434

Specimen UC Davis_1853435: postnatal adult; Prr15ltm1.1(KOMP)Vlcg/Prr15l+ (more )
Structure Level Pattern Image Note
TS28: pancreas Present UC Davis_1853435

Specimen UC Davis_1853436: postnatal adult; Prr15ltm1.1(KOMP)Vlcg/Prr15l+ (more )
Structure Level Pattern Image Note
TS28: pancreas Present UC Davis_1853436

Specimen UC Davis_1853437: postnatal adult; Prr15ltm1.1(KOMP)Vlcg/Prr15l+ (more )
Structure Level Pattern Image Note
TS28: pancreas Present UC Davis_1853437

Specimen UC Davis_1853438: postnatal adult; Prr15ltm1.1(KOMP)Vlcg/Prr15l+ (more )
Structure Level Pattern Image Note
TS28: liver Present UC Davis_1853438

Specimen UC Davis_1853439: postnatal adult; Prr15ltm1.1(KOMP)Vlcg/Prr15l+ (more )
Structure Level Pattern Image Note
TS28: liver Present UC Davis_1853439

Specimen UC Davis_1853440: postnatal adult; Prr15ltm1.1(KOMP)Vlcg/Prr15l+ (more )
Structure Level Pattern Image Note
TS28: liver Present UC Davis_1853440

Specimen UC Davis_1853441: postnatal adult; Prr15ltm1.1(KOMP)Vlcg/Prr15l+ (more )
Structure Level Pattern Image Note
TS28: metanephros Present UC Davis_1853441 kidney

Specimen UC Davis_1853442: postnatal adult; Prr15ltm1.1(KOMP)Vlcg/Prr15l+ (more )
Structure Level Pattern Image Note
TS28: metanephros Present UC Davis_1853442 kidney

Specimen UC Davis_1853443: postnatal adult; Prr15ltm1.1(KOMP)Vlcg/Prr15l+ (more )
Structure Level Pattern Image Note
TS28: metanephros Present UC Davis_1853443 kidney

Specimen UC Davis_1853444: postnatal adult; Prr15ltm1.1(KOMP)Vlcg/Prr15l+ (more )
Structure Level Pattern Image Note
TS28: eye Present UC Davis_1853444

Specimen UC Davis_1853445: postnatal adult; Prr15ltm1.1(KOMP)Vlcg/Prr15l+ (more )
Structure Level Pattern Image Note
TS28: eye Present UC Davis_1853445

Specimen UC Davis_1853446: postnatal adult; Prr15ltm1.1(KOMP)Vlcg/Prr15l+ (more )
Structure Level Pattern Image Note
TS28: eye Present UC Davis_1853446

Specimen UC Davis_1853447: postnatal adult; Prr15ltm1.1(KOMP)Vlcg/Prr15l+ (more )
Structure Level Pattern Image Note
TS28: eye Present UC Davis_1853447

Specimen UC Davis_1853448: postnatal adult; Prr15ltm1.1(KOMP)Vlcg/Prr15l+ (more )
Structure Level Pattern Image Note
TS28: eye Present UC Davis_1853448

Specimen UC Davis_1853449: postnatal adult; Prr15ltm1.1(KOMP)Vlcg/Prr15l+ (more )
Structure Level Pattern Image Note
TS28: eye Present UC Davis_1853449

Specimen UC Davis_1853452: postnatal adult; Prr15ltm1.1(KOMP)Vlcg/Prr15l+ (more )
Structure Level Pattern Image Note
TS28: Harderian gland Present UC Davis_1853452

Specimen UC Davis_1853453: postnatal adult; Prr15ltm1.1(KOMP)Vlcg/Prr15l+ (more )
Structure Level Pattern Image Note
TS28: Harderian gland Present UC Davis_1853453

Specimen UC Davis_1853454: postnatal adult; Prr15ltm1.1(KOMP)Vlcg/Prr15l+ (more )
Structure Level Pattern Image Note
TS28: Harderian gland Present UC Davis_1853454

Specimen UC Davis_1853455: postnatal adult; Prr15ltm1.1(KOMP)Vlcg/Prr15l+ (more )
Structure Level Pattern Image Note
TS28: bladder Present UC Davis_1853455

Specimen UC Davis_1853456: postnatal adult; Prr15ltm1.1(KOMP)Vlcg/Prr15l+ (more )
Structure Level Pattern Image Note
TS28: bladder Present UC Davis_1853456

Specimen UC Davis_1853457: postnatal adult; Prr15ltm1.1(KOMP)Vlcg/Prr15l+ (more )
Structure Level Pattern Image Note
TS28: bladder Present UC Davis_1853457

Specimen UC Davis_1853458: postnatal adult; Prr15ltm1.1(KOMP)Vlcg/Prr15l+ (more )
Structure Level Pattern Image Note
TS28: epididymis Present UC Davis_1853458

Specimen UC Davis_1853459: postnatal adult; Prr15ltm1.1(KOMP)Vlcg/Prr15l+ (more )
Structure Level Pattern Image Note
TS28: epididymis Present UC Davis_1853459

Specimen UC Davis_1853460: postnatal adult; Prr15ltm1.1(KOMP)Vlcg/Prr15l+ (more )
Structure Level Pattern Image Note
TS28: epididymis Present UC Davis_1853460

Specimen UC Davis_1853461: postnatal adult; Prr15ltm1.1(KOMP)Vlcg/Prr15l+ (more )
Structure Level Pattern Image Note
TS28: prostate gland Present UC Davis_1853461

Specimen UC Davis_1853462: postnatal adult; Prr15ltm1.1(KOMP)Vlcg/Prr15l+ (more )
Structure Level Pattern Image Note
TS28: prostate gland Present UC Davis_1853462

Specimen UC Davis_1853463: postnatal adult; Prr15ltm1.1(KOMP)Vlcg/Prr15l+ (more )
Structure Level Pattern Image Note
TS28: prostate gland Present UC Davis_1853463

Specimen UC Davis_1853464: postnatal adult; Prr15ltm1.1(KOMP)Vlcg/Prr15l+ (more )
Structure Level Pattern Image Note
TS28: penis Present UC Davis_1853464

Specimen UC Davis_1853465: postnatal adult; Prr15ltm1.1(KOMP)Vlcg/Prr15l+ (more )
Structure Level Pattern Image Note
TS28: penis Present UC Davis_1853465

Specimen UC Davis_1853466: postnatal adult; Prr15ltm1.1(KOMP)Vlcg/Prr15l+ (more )
Structure Level Pattern Image Note
TS28: penis Present UC Davis_1853466

Specimen UC Davis_1853469: postnatal adult; Prr15ltm1.1(KOMP)Vlcg/Prr15l+ (more )
Structure Level Pattern Image Note
TS28: ductus deferens Present UC Davis_1853469 vas deferens

Specimen UC Davis_1853470: postnatal adult; Prr15ltm1.1(KOMP)Vlcg/Prr15l+ (more )
Structure Level Pattern Image Note
TS28: ductus deferens Present UC Davis_1853470 vas deferens

Specimen UC Davis_1853471: postnatal adult; Prr15ltm1.1(KOMP)Vlcg/Prr15l+ (more )
Structure Level Pattern Image Note
TS28: ductus deferens Present UC Davis_1853471 vas deferens

Specimen UC Davis_1853475: postnatal adult; Prr15ltm1.1(KOMP)Vlcg/Prr15l+ (more )
Structure Level Pattern Image Note
TS28: seminal vesicle Present UC Davis_1853475 vesicular gland

Specimen UC Davis_1853476: postnatal adult; Prr15ltm1.1(KOMP)Vlcg/Prr15l+ (more )
Structure Level Pattern Image Note
TS28: seminal vesicle Present UC Davis_1853476 vesicular gland

Specimen UC Davis_1853477: postnatal adult; Prr15ltm1.1(KOMP)Vlcg/Prr15l+ (more )
Structure Level Pattern Image Note
TS28: seminal vesicle Present UC Davis_1853477 vesicular gland

Specimen UC Davis_1853478: postnatal adult; Prr15ltm1.1(KOMP)Vlcg/Prr15l+ (more )
Structure Level Pattern Image Note
TS28: tongue Present UC Davis_1853478

Specimen UC Davis_1853479: postnatal adult; Prr15ltm1.1(KOMP)Vlcg/Prr15l+ (more )
Structure Level Pattern Image Note
TS28: spleen Present UC Davis_1853479

Specimen UC Davis_1853480: postnatal adult; Prr15ltm1.1(KOMP)Vlcg/Prr15l+ (more )
Structure Level Pattern Image Note
TS28: pancreas Present UC Davis_1853480

Specimen UC Davis_1853481: postnatal adult; Prr15ltm1.1(KOMP)Vlcg/Prr15l+ (more )
Structure Level Pattern Image Note
TS28: olfactory lobe Present UC Davis_1853481

Specimen UC Davis_1853483: postnatal adult; Prr15ltm1.1(KOMP)Vlcg/Prr15l+ (more )
Structure Level Pattern Image Note
TS28: midbrain Present UC Davis_1853483

Specimen UC Davis_1853485: postnatal adult; Prr15ltm1.1(KOMP)Vlcg/Prr15l+ (more )
Structure Level Pattern Image Note
TS28: cerebellum Present UC Davis_1853485

Specimen UC Davis_1853486: postnatal adult; Prr15ltm1.1(KOMP)Vlcg/Prr15l+ (more )
Structure Level Pattern Image Note
TS28: brain Present UC Davis_1853486

Specimen UC Davis_1853487: postnatal adult; Prr15ltm1.1(KOMP)Vlcg/Prr15l+ (more )
Structure Level Pattern Image Note
TS28: lung Present UC Davis_1853487

Specimen UC Davis_1853488: postnatal adult; Prr15ltm1.1(KOMP)Vlcg/Prr15l+ (more )
Structure Level Pattern Image Note
TS28: lung Present UC Davis_1853488

Specimen UC Davis_1853490: postnatal adult; Prr15ltm1.1(KOMP)Vlcg/Prr15l+ (more )
Structure Level Pattern Image Note
TS28: thymus Present UC Davis_1853490

Specimen UC Davis_1853491: postnatal adult; Prr15ltm1.1(KOMP)Vlcg/Prr15l+ (more )
Structure Level Pattern Image Note
TS28: metanephros Present UC Davis_1853491 kidney

Specimen UC Davis_1853492: postnatal adult; Prr15ltm1.1(KOMP)Vlcg/Prr15l+ (more )
Structure Level Pattern Image Note
TS28: adrenal gland Present UC Davis_1853492

Specimen UC Davis_1853493: postnatal adult; Prr15ltm1.1(KOMP)Vlcg/Prr15l+ (more )
Structure Level Pattern Image Note
TS28: liver Present UC Davis_1853493

Specimen UC Davis_1853494: postnatal adult; Prr15ltm1.1(KOMP)Vlcg/Prr15l+ (more )
Structure Level Pattern Image Note
TS28: diaphragm Present UC Davis_1853494

Specimen UC Davis_1853496: postnatal adult; Prr15ltm1.1(KOMP)Vlcg/Prr15l+ (more )
Structure Level Pattern Image Note
TS28: spinal cord Present UC Davis_1853496

Specimen UC Davis_1853497: postnatal adult; Prr15ltm1.1(KOMP)Vlcg/Prr15l+ (more )
Structure Level Pattern Image Note
TS28: pituitary gland Present UC Davis_1853497

Specimen UC Davis_1853498: postnatal adult; Prr15ltm1.1(KOMP)Vlcg/Prr15l+ (more )
Structure Level Pattern Image Note
TS28: eye Present UC Davis_1853498

Specimen UC Davis_1853499: postnatal adult; Prr15ltm1.1(KOMP)Vlcg/Prr15l+ (more )
Structure Level Pattern Image Note
TS28: Harderian gland Present UC Davis_1853499

Specimen UC Davis_1853500: postnatal adult; Prr15ltm1.1(KOMP)Vlcg/Prr15l+ (more )
Structure Level Pattern Image Note
TS28: stomach Present UC Davis_1853500

Specimen UC Davis_1853501: postnatal adult; Prr15ltm1.1(KOMP)Vlcg/Prr15l+ (more )
Structure Level Pattern Image Note
TS28: duodenum Present UC Davis_1853501

Specimen UC Davis_1853502: postnatal adult; Prr15ltm1.1(KOMP)Vlcg/Prr15l+ (more )
Structure Level Pattern Image Note
TS28: jejunum Present UC Davis_1853502

Specimen UC Davis_1853503: postnatal adult; Prr15ltm1.1(KOMP)Vlcg/Prr15l+ (more )
Structure Level Pattern Image Note
TS28: ileum Present UC Davis_1853503

Specimen UC Davis_1853504: postnatal adult; Prr15ltm1.1(KOMP)Vlcg/Prr15l+ (more )
Structure Level Pattern Image Note
TS28: cecum Present UC Davis_1853504

Specimen UC Davis_1853505: postnatal adult; Prr15ltm1.1(KOMP)Vlcg/Prr15l+ (more )
Structure Level Pattern Image Note
TS28: colon Present UC Davis_1853505

Specimen UC Davis_1853506: postnatal adult; Prr15ltm1.1(KOMP)Vlcg/Prr15l+ (more )
Structure Level Pattern Image Note
TS28: mesenteric lymph node Present UC Davis_1853506

Specimen UC Davis_1853507: postnatal adult; Prr15ltm1.1(KOMP)Vlcg/Prr15l+ (more )
Structure Level Pattern Image Note
TS28: mesenteric adipose tissue Present UC Davis_1853507

Specimen UC Davis_1853508: postnatal adult; Prr15ltm1.1(KOMP)Vlcg/Prr15l+ (more )
Structure Level Pattern Image Note
TS28: bladder Present UC Davis_1853508

Specimen UC Davis_1853509: postnatal adult; Prr15ltm1.1(KOMP)Vlcg/Prr15l+ (more )
Structure Level Pattern Image Note
TS28: prostate gland Present UC Davis_1853509

Specimen UC Davis_1853510: postnatal adult; Prr15ltm1.1(KOMP)Vlcg/Prr15l+ (more )
Structure Level Pattern Image Note
TS28: seminal vesicle Present UC Davis_1853510 vesicular gland

Specimen UC Davis_1853513: postnatal adult; Prr15ltm1.1(KOMP)Vlcg/Prr15l+ (more )
Structure Level Pattern Image Note
TS28: gallbladder Present UC Davis_1853513


Contributing Projects:
Mouse Genome Database (MGD), Gene Expression Database (GXD), Mouse Models of Human Cancer database (MMHCdb) (formerly Mouse Tumor Biology (MTB)), Gene Ontology (GO)
Citing These Resources
Funding Information
Warranty Disclaimer, Privacy Notice, Licensing, & Copyright
Send questions and comments to User Support.
last database update
01/28/2026
MGI 6.24
The Jackson Laboratory