About   Help   FAQ
Gene Expression Data
Assay Details
Assay
Reference: J:228563 Koscielny G, et al., The International Mouse Phenotyping Consortium Web Portal, a unified point of access for knockout mice and related phenotyping data. Nucleic Acids Res. 2014 Jan;42(Database issue):D802-9
Assay type: In situ reporter (knock in)
MGI Accession ID: MGI:6692555
Gene symbol: Kctd15
Gene name: potassium channel tetramerisation domain containing 15
Reporter: lacZ
Direct Detection
Results
Specimen TCP_2459832: postnatal adult; Kctd15tm1b(EUCOMM)Wtsi/Kctd15+ (more )
Structure Level Pattern Image Note
TS28: adrenal gland Present TCP_2459832

Specimen TCP_2459833: postnatal adult; Kctd15tm1b(EUCOMM)Wtsi/Kctd15+ (more )
Structure Level Pattern Image Note
TS28: adrenal gland Present TCP_2459833

Specimen TCP_2459834: postnatal adult; Kctd15tm1b(EUCOMM)Wtsi/Kctd15+ (more )
Structure Level Pattern Image Note
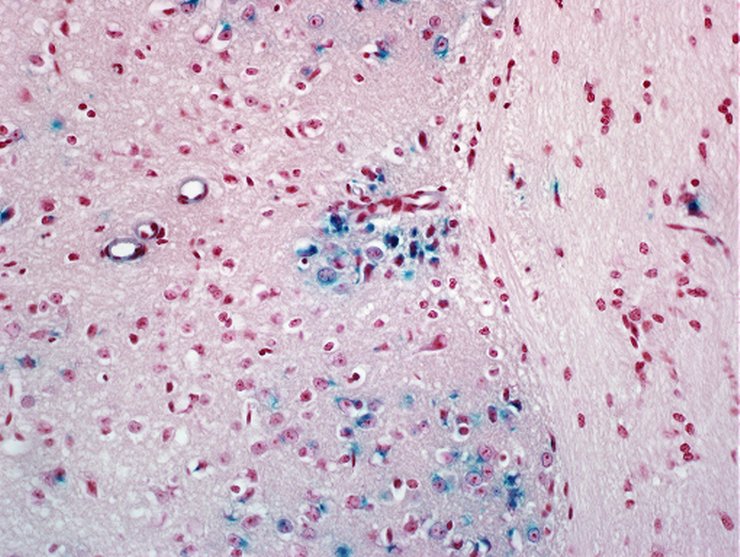
TS28: brain Present TCP_2459834

Specimen TCP_2459835: postnatal adult; Kctd15tm1b(EUCOMM)Wtsi/Kctd15+ (more )
Structure Level Pattern Image Note
TS28: brain Present TCP_2459835

Specimen TCP_2459836: postnatal adult; Kctd15tm1b(EUCOMM)Wtsi/Kctd15+ (more )
Structure Level Pattern Image Note
TS28: hippocampus Present TCP_2459836

Specimen TCP_2459837: postnatal adult; Kctd15tm1b(EUCOMM)Wtsi/Kctd15+ (more )
Structure Level Pattern Image Note
TS28: hypothalamus Present TCP_2459837

Specimen TCP_2459838: postnatal adult; Kctd15tm1b(EUCOMM)Wtsi/Kctd15+ (more )
Structure Level Pattern Image Note
TS28: corpus striatum Present TCP_2459838

Specimen TCP_2459839: postnatal adult; Kctd15tm1b(EUCOMM)Wtsi/Kctd15+ (more )
Structure Level Pattern Image Note
TS28: brain Present TCP_2459839

Specimen TCP_2459840: postnatal adult; Kctd15tm1b(EUCOMM)Wtsi/Kctd15+ (more )
Structure Level Pattern Image Note
TS28: eye Present TCP_2459840

Specimen TCP_2459841: postnatal adult; Kctd15tm1b(EUCOMM)Wtsi/Kctd15+ (more )
Structure Level Pattern Image Note
TS28: eye Present TCP_2459841

Specimen TCP_2459842: postnatal adult; Kctd15tm1b(EUCOMM)Wtsi/Kctd15+ (more )
Structure Level Pattern Image Note
TS28: eye Present TCP_2459842

Specimen TCP_2459845: postnatal adult; Kctd15tm1b(EUCOMM)Wtsi/Kctd15+ (more )
Structure Level Pattern Image Note
TS28: liver Present TCP_2459845

Specimen TCP_2459846: postnatal adult; Kctd15tm1b(EUCOMM)Wtsi/Kctd15+ (more )
Structure Level Pattern Image Note
TS28: liver Present TCP_2459846

Specimen TCP_2459847: postnatal adult; Kctd15tm1b(EUCOMM)Wtsi/Kctd15+ (more )
Structure Level Pattern Image Note
TS28: peripheral nervous system Present TCP_2459847

Specimen TCP_2459848: postnatal adult; Kctd15tm1b(EUCOMM)Wtsi/Kctd15+ (more )
Structure Level Pattern Image Note
TS28: skin Present TCP_2459848

Specimen TCP_2459849: postnatal adult; Kctd15tm1b(EUCOMM)Wtsi/Kctd15+ (more )
Structure Level Pattern Image Note
TS28: skin Present TCP_2459849

Specimen TCP_2459850: postnatal adult; Kctd15tm1b(EUCOMM)Wtsi/Kctd15+ (more )
Structure Level Pattern Image Note
TS28: spinal cord Present TCP_2459850

Specimen TCP_2459851: postnatal adult; Kctd15tm1b(EUCOMM)Wtsi/Kctd15+ (more )
Structure Level Pattern Image Note
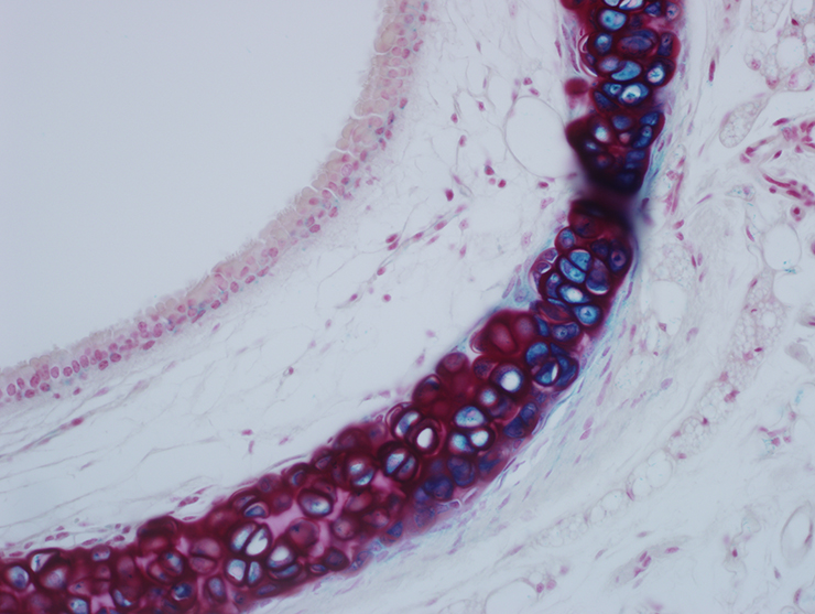
TS28: cartilage Present TCP_2459851

Specimen TCP_2459852: postnatal adult; Kctd15tm1b(EUCOMM)Wtsi/Kctd15+ (more )
Structure Level Pattern Image Note
TS28: cartilage Present TCP_2459852

Specimen TCP_2459853: postnatal adult; Kctd15tm1b(EUCOMM)Wtsi/Kctd15+ (more )
Structure Level Pattern Image Note
TS28: uterus Present TCP_2459853

Specimen TCP_2459809: postnatal adult; Kctd15tm1b(EUCOMM)Wtsi/Kctd15+ (more )
Structure Level Pattern Image Note
TS28: adrenal gland Present TCP_2459809

Specimen TCP_2459810: postnatal adult; Kctd15tm1b(EUCOMM)Wtsi/Kctd15+ (more )
Structure Level Pattern Image Note
TS28: adrenal gland Present TCP_2459810

Specimen TCP_2459811: postnatal adult; Kctd15tm1b(EUCOMM)Wtsi/Kctd15+ (more )
Structure Level Pattern Image Note
TS28: brainstem Present TCP_2459811

Specimen TCP_2459812: postnatal adult; Kctd15tm1b(EUCOMM)Wtsi/Kctd15+ (more )
Structure Level Pattern Image Note
TS28: brainstem Present TCP_2459812

Specimen TCP_2459813: postnatal adult; Kctd15tm1b(EUCOMM)Wtsi/Kctd15+ (more )
Structure Level Pattern Image Note
TS28: esophagus Present TCP_2459813

Specimen TCP_2459814: postnatal adult; Kctd15tm1b(EUCOMM)Wtsi/Kctd15+ (more )
Structure Level Pattern Image Note
TS28: esophagus Present TCP_2459814

Specimen TCP_2459815: postnatal adult; Kctd15tm1b(EUCOMM)Wtsi/Kctd15+ (more )
Structure Level Pattern Image Note
TS28: spinal cord Present TCP_2459815

Specimen TCP_2459816: postnatal adult; Kctd15tm1b(EUCOMM)Wtsi/Kctd15+ (more )
Structure Level Pattern Image Note
TS28: hippocampus Present TCP_2459816

Specimen TCP_2459817: postnatal adult; Kctd15tm1b(EUCOMM)Wtsi/Kctd15+ (more )
Structure Level Pattern Image Note
TS28: hippocampus Present TCP_2459817

Specimen TCP_2459818: postnatal adult; Kctd15tm1b(EUCOMM)Wtsi/Kctd15+ (more )
Structure Level Pattern Image Note
TS28: hypothalamus Present TCP_2459818

Specimen TCP_2459819: postnatal adult; Kctd15tm1b(EUCOMM)Wtsi/Kctd15+ (more )
Structure Level Pattern Image Note
TS28: liver Present TCP_2459819

Specimen TCP_2459820: postnatal adult; Kctd15tm1b(EUCOMM)Wtsi/Kctd15+ (more )
Structure Level Pattern Image Note
TS28: liver Present TCP_2459820

Specimen TCP_2459821: postnatal adult; Kctd15tm1b(EUCOMM)Wtsi/Kctd15+ (more )
Structure Level Pattern Image Note
TS28: lung Present TCP_2459821

Specimen TCP_2459822: postnatal adult; Kctd15tm1b(EUCOMM)Wtsi/Kctd15+ (more )
Structure Level Pattern Image Note
TS28: lung Present TCP_2459822

Specimen TCP_2459823: postnatal adult; Kctd15tm1b(EUCOMM)Wtsi/Kctd15+ (more )
Structure Level Pattern Image Note
TS28: peripheral nervous system Absent TCP_2459823

Specimen TCP_2459824: postnatal adult; Kctd15tm1b(EUCOMM)Wtsi/Kctd15+ (more )
Structure Level Pattern Image Note
TS28: peripheral nervous system Absent TCP_2459824

Specimen TCP_2459825: postnatal adult; Kctd15tm1b(EUCOMM)Wtsi/Kctd15+ (more )
Structure Level Pattern Image Note
TS28: spleen Present TCP_2459825

Specimen TCP_2459826: postnatal adult; Kctd15tm1b(EUCOMM)Wtsi/Kctd15+ (more )
Structure Level Pattern Image Note
TS28: spleen Present TCP_2459826

Specimen TCP_2459827: postnatal adult; Kctd15tm1b(EUCOMM)Wtsi/Kctd15+ (more )
Structure Level Pattern Image Note
TS28: corpus striatum Present TCP_2459827

Specimen TCP_2459828: postnatal adult; Kctd15tm1b(EUCOMM)Wtsi/Kctd15+ (more )
Structure Level Pattern Image Note
TS28: corpus striatum Present TCP_2459828

Specimen TCP_2459829: postnatal adult; Kctd15tm1b(EUCOMM)Wtsi/Kctd15+ (more )
Structure Level Pattern Image Note
TS28: thymus Present TCP_2459829

Specimen TCP_2459830: postnatal adult; Kctd15tm1b(EUCOMM)Wtsi/Kctd15+ (more )
Structure Level Pattern Image Note
TS28: thymus Present TCP_2459830

Specimen TCP_2459831: postnatal adult; Kctd15tm1b(EUCOMM)Wtsi/Kctd15+ (more )
Structure Level Pattern Image Note
TS28: trachea Present TCP_2459831


Contributing Projects:
Mouse Genome Database (MGD), Gene Expression Database (GXD), Mouse Models of Human Cancer database (MMHCdb) (formerly Mouse Tumor Biology (MTB)), Gene Ontology (GO)
Citing These Resources
Funding Information
Warranty Disclaimer, Privacy Notice, Licensing, & Copyright
Send questions and comments to User Support.
last database update
03/24/2026
MGI 6.24
The Jackson Laboratory