About   Help   FAQ
Gene Expression Data
Assay Details
Assay
Reference: J:228563 Koscielny G, et al., The International Mouse Phenotyping Consortium Web Portal, a unified point of access for knockout mice and related phenotyping data. Nucleic Acids Res. 2014 Jan;42(Database issue):D802-9
Assay type: In situ reporter (knock in)
MGI Accession ID: MGI:6692552
Gene symbol: Tm4sf4
Gene name: transmembrane 4 superfamily member 4
Reporter: lacZ
Direct Detection
Results
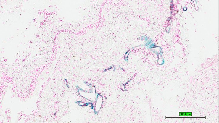
Specimen UC Davis_1854718: postnatal adult; Tm4sf4tm1.1(KOMP)Vlcg/Tm4sf4+ (more )
Structure Level Pattern Image Note
TS28: submandibular gland Present UC Davis_1854718

Specimen UC Davis_1854719: postnatal adult; Tm4sf4tm1.1(KOMP)Vlcg/Tm4sf4+ (more )
Structure Level Pattern Image Note
TS28: submandibular gland Present UC Davis_1854719

Specimen UC Davis_1854720: postnatal adult; Tm4sf4tm1.1(KOMP)Vlcg/Tm4sf4+ (more )
Structure Level Pattern Image Note
TS28: lung Present UC Davis_1854720

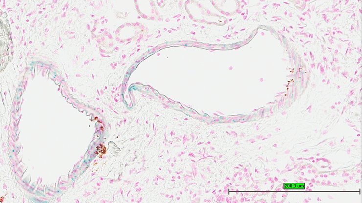
Specimen UC Davis_1854721: postnatal adult; Tm4sf4tm1.1(KOMP)Vlcg/Tm4sf4+ (more )
Structure Level Pattern Image Note
TS28: lung Present UC Davis_1854721

Specimen UC Davis_1854722: postnatal adult; Tm4sf4tm1.1(KOMP)Vlcg/Tm4sf4+ (more )
Structure Level Pattern Image Note
TS28: thymus Present UC Davis_1854722

Specimen UC Davis_1854723: postnatal adult; Tm4sf4tm1.1(KOMP)Vlcg/Tm4sf4+ (more )
Structure Level Pattern Image Note
TS28: thymus Present UC Davis_1854723

Specimen UC Davis_1854727: postnatal adult; Tm4sf4tm1.1(KOMP)Vlcg/Tm4sf4+ (more )
Structure Level Pattern Image Note
TS28: stomach Present UC Davis_1854727

Specimen UC Davis_1854728: postnatal adult; Tm4sf4tm1.1(KOMP)Vlcg/Tm4sf4+ (more )
Structure Level Pattern Image Note
TS28: stomach Present UC Davis_1854728

Specimen UC Davis_1854729: postnatal adult; Tm4sf4tm1.1(KOMP)Vlcg/Tm4sf4+ (more )
Structure Level Pattern Image Note
TS28: jejunum Present UC Davis_1854729

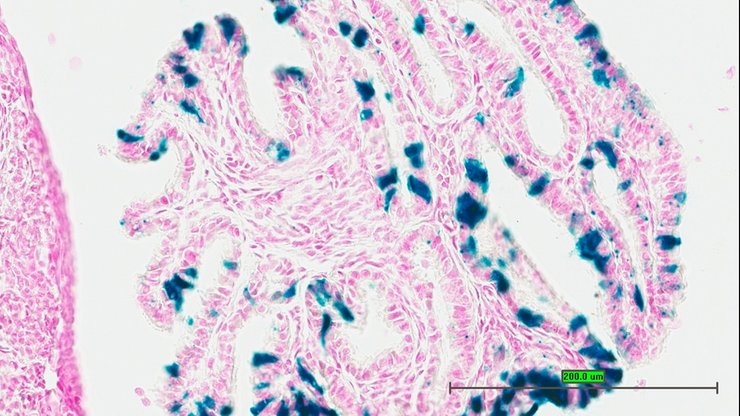
Specimen UC Davis_1854730: postnatal adult; Tm4sf4tm1.1(KOMP)Vlcg/Tm4sf4+ (more )
Structure Level Pattern Image Note
TS28: jejunum Present UC Davis_1854730

Specimen UC Davis_1854731: postnatal adult; Tm4sf4tm1.1(KOMP)Vlcg/Tm4sf4+ (more )
Structure Level Pattern Image Note
TS28: jejunum Present UC Davis_1854731

Specimen UC Davis_1854732: postnatal adult; Tm4sf4tm1.1(KOMP)Vlcg/Tm4sf4+ (more )
Structure Level Pattern Image Note
TS28: ileum Present UC Davis_1854732

Specimen UC Davis_1854733: postnatal adult; Tm4sf4tm1.1(KOMP)Vlcg/Tm4sf4+ (more )
Structure Level Pattern Image Note
TS28: ileum Present UC Davis_1854733

Specimen UC Davis_1854734: postnatal adult; Tm4sf4tm1.1(KOMP)Vlcg/Tm4sf4+ (more )
Structure Level Pattern Image Note
TS28: ileum Present UC Davis_1854734

Specimen UC Davis_1854735: postnatal adult; Tm4sf4tm1.1(KOMP)Vlcg/Tm4sf4+ (more )
Structure Level Pattern Image Note
TS28: colon Present UC Davis_1854735

Specimen UC Davis_1854736: postnatal adult; Tm4sf4tm1.1(KOMP)Vlcg/Tm4sf4+ (more )
Structure Level Pattern Image Note
TS28: colon Present UC Davis_1854736

Specimen UC Davis_1854737: postnatal adult; Tm4sf4tm1.1(KOMP)Vlcg/Tm4sf4+ (more )
Structure Level Pattern Image Note
TS28: pancreas Present UC Davis_1854737

Specimen UC Davis_1854738: postnatal adult; Tm4sf4tm1.1(KOMP)Vlcg/Tm4sf4+ (more )
Structure Level Pattern Image Note
TS28: pancreas Present UC Davis_1854738

Specimen UC Davis_1854739: postnatal adult; Tm4sf4tm1.1(KOMP)Vlcg/Tm4sf4+ (more )
Structure Level Pattern Image Note
TS28: pancreas Present UC Davis_1854739

Specimen UC Davis_1854740: postnatal adult; Tm4sf4tm1.1(KOMP)Vlcg/Tm4sf4+ (more )
Structure Level Pattern Image Note
TS28: liver Present UC Davis_1854740

Specimen UC Davis_1854741: postnatal adult; Tm4sf4tm1.1(KOMP)Vlcg/Tm4sf4+ (more )
Structure Level Pattern Image Note
TS28: liver Present UC Davis_1854741

Specimen UC Davis_1854742: postnatal adult; Tm4sf4tm1.1(KOMP)Vlcg/Tm4sf4+ (more )
Structure Level Pattern Image Note
TS28: liver Present UC Davis_1854742

Specimen UC Davis_1854743: postnatal adult; Tm4sf4tm1.1(KOMP)Vlcg/Tm4sf4+ (more )
Structure Level Pattern Image Note
TS28: metanephros Present UC Davis_1854743 kidney

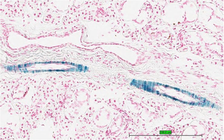
Specimen UC Davis_1854744: postnatal adult; Tm4sf4tm1.1(KOMP)Vlcg/Tm4sf4+ (more )
Structure Level Pattern Image Note
TS28: metanephros Present UC Davis_1854744 kidney

Specimen UC Davis_1854745: postnatal adult; Tm4sf4tm1.1(KOMP)Vlcg/Tm4sf4+ (more )
Structure Level Pattern Image Note
TS28: metanephros Present UC Davis_1854745 kidney

Specimen UC Davis_1854746: postnatal adult; Tm4sf4tm1.1(KOMP)Vlcg/Tm4sf4+ (more )
Structure Level Pattern Image Note
TS28: quadriceps femoris muscle Present UC Davis_1854746

Specimen UC Davis_1854747: postnatal adult; Tm4sf4tm1.1(KOMP)Vlcg/Tm4sf4+ (more )
Structure Level Pattern Image Note
TS28: quadriceps femoris muscle Present UC Davis_1854747

Specimen UC Davis_1854748: postnatal adult; Tm4sf4tm1.1(KOMP)Vlcg/Tm4sf4+ (more )
Structure Level Pattern Image Note
TS28: quadriceps femoris muscle Present UC Davis_1854748

Specimen UC Davis_1854749: postnatal adult; Tm4sf4tm1.1(KOMP)Vlcg/Tm4sf4+ (more )
Structure Level Pattern Image Note
TS28: tongue Present UC Davis_1854749

Specimen UC Davis_1854750: postnatal adult; Tm4sf4tm1.1(KOMP)Vlcg/Tm4sf4+ (more )
Structure Level Pattern Image Note
TS28: tongue Present UC Davis_1854750

Specimen UC Davis_1854751: postnatal adult; Tm4sf4tm1.1(KOMP)Vlcg/Tm4sf4+ (more )
Structure Level Pattern Image Note
TS28: tongue Present UC Davis_1854751

Specimen UC Davis_1854752: postnatal adult; Tm4sf4tm1.1(KOMP)Vlcg/Tm4sf4+ (more )
Structure Level Pattern Image Note
TS28: gonadal fat pad Present UC Davis_1854752

Specimen UC Davis_1854753: postnatal adult; Tm4sf4tm1.1(KOMP)Vlcg/Tm4sf4+ (more )
Structure Level Pattern Image Note
TS28: gonadal fat pad Present UC Davis_1854753

Specimen UC Davis_1854754: postnatal adult; Tm4sf4tm1.1(KOMP)Vlcg/Tm4sf4+ (more )
Structure Level Pattern Image Note
TS28: mesenteric adipose tissue Present UC Davis_1854754

Specimen UC Davis_1854755: postnatal adult; Tm4sf4tm1.1(KOMP)Vlcg/Tm4sf4+ (more )
Structure Level Pattern Image Note
TS28: mesenteric adipose tissue Present UC Davis_1854755

Specimen UC Davis_1854756: postnatal adult; Tm4sf4tm1.1(KOMP)Vlcg/Tm4sf4+ (more )
Structure Level Pattern Image Note
TS28: skin Present UC Davis_1854756

Specimen UC Davis_1854757: postnatal adult; Tm4sf4tm1.1(KOMP)Vlcg/Tm4sf4+ (more )
Structure Level Pattern Image Note
TS28: skin Present UC Davis_1854757

Specimen UC Davis_1854758: postnatal adult; Tm4sf4tm1.1(KOMP)Vlcg/Tm4sf4+ (more )
Structure Level Pattern Image Note
TS28: skin Present UC Davis_1854758

Specimen UC Davis_1854759: postnatal adult; Tm4sf4tm1.1(KOMP)Vlcg/Tm4sf4+ (more )
Structure Level Pattern Image Note
TS28: skin Present UC Davis_1854759

Specimen UC Davis_1854760: postnatal adult; Tm4sf4tm1.1(KOMP)Vlcg/Tm4sf4+ (more )
Structure Level Pattern Image Note
TS28: brown fat Present UC Davis_1854760

Specimen UC Davis_1854761: postnatal adult; Tm4sf4tm1.1(KOMP)Vlcg/Tm4sf4+ (more )
Structure Level Pattern Image Note
TS28: brown fat Present UC Davis_1854761

Specimen UC Davis_1854764: postnatal adult; Tm4sf4tm1.1(KOMP)Vlcg/Tm4sf4+ (more )
Structure Level Pattern Image Note
TS28: midbrain Present UC Davis_1854764

Specimen UC Davis_1854765: postnatal adult; Tm4sf4tm1.1(KOMP)Vlcg/Tm4sf4+ (more )
Structure Level Pattern Image Note
TS28: oviduct Present UC Davis_1854765

Specimen UC Davis_1854766: postnatal adult; Tm4sf4tm1.1(KOMP)Vlcg/Tm4sf4+ (more )
Structure Level Pattern Image Note
TS28: oviduct Present UC Davis_1854766

Specimen UC Davis_1854767: postnatal adult; Tm4sf4tm1.1(KOMP)Vlcg/Tm4sf4+ (more )
Structure Level Pattern Image Note
TS28: oviduct Present UC Davis_1854767

Specimen UC Davis_1854768: postnatal adult; Tm4sf4tm1.1(KOMP)Vlcg/Tm4sf4+ (more )
Structure Level Pattern Image Note
TS28: oviduct Present UC Davis_1854768

Specimen UC Davis_1854769: postnatal adult; Tm4sf4tm1.1(KOMP)Vlcg/Tm4sf4+ (more )
Structure Level Pattern Image Note
TS28: uterus Present UC Davis_1854769

Specimen UC Davis_1854770: postnatal adult; Tm4sf4tm1.1(KOMP)Vlcg/Tm4sf4+ (more )
Structure Level Pattern Image Note
TS28: uterus Present UC Davis_1854770

Specimen UC Davis_1854771: postnatal adult; Tm4sf4tm1.1(KOMP)Vlcg/Tm4sf4+ (more )
Structure Level Pattern Image Note
TS28: uterus Present UC Davis_1854771

Specimen UC Davis_1854772: postnatal adult; Tm4sf4tm1.1(KOMP)Vlcg/Tm4sf4+ (more )
Structure Level Pattern Image Note
TS28: bladder Present UC Davis_1854772

Specimen UC Davis_1854773: postnatal adult; Tm4sf4tm1.1(KOMP)Vlcg/Tm4sf4+ (more )
Structure Level Pattern Image Note
TS28: bladder Present UC Davis_1854773

Specimen UC Davis_1854774: postnatal adult; Tm4sf4tm1.1(KOMP)Vlcg/Tm4sf4+ (more )
Structure Level Pattern Image Note
TS28: bladder Present UC Davis_1854774

Specimen UC Davis_1854833: postnatal adult; Tm4sf4tm1.1(KOMP)Vlcg/Tm4sf4+ (more )
Structure Level Pattern Image Note
TS28: pancreas Present UC Davis_1854833

Specimen UC Davis_1854834: postnatal adult; Tm4sf4tm1.1(KOMP)Vlcg/Tm4sf4+ (more )
Structure Level Pattern Image Note
TS28: quadriceps femoris muscle Present UC Davis_1854834

Specimen UC Davis_1854835: postnatal adult; Tm4sf4tm1.1(KOMP)Vlcg/Tm4sf4+ (more )
Structure Level Pattern Image Note
TS28: olfactory lobe Present UC Davis_1854835

Specimen UC Davis_1854838: postnatal adult; Tm4sf4tm1.1(KOMP)Vlcg/Tm4sf4+ (more )
Structure Level Pattern Image Note
TS28: midbrain Present UC Davis_1854838

Specimen UC Davis_1854839: postnatal adult; Tm4sf4tm1.1(KOMP)Vlcg/Tm4sf4+ (more )
Structure Level Pattern Image Note
TS28: midbrain Present UC Davis_1854839

Specimen UC Davis_1854841: postnatal adult; Tm4sf4tm1.1(KOMP)Vlcg/Tm4sf4+ (more )
Structure Level Pattern Image Note
TS28: cerebellum Present UC Davis_1854841

Specimen UC Davis_1854842: postnatal adult; Tm4sf4tm1.1(KOMP)Vlcg/Tm4sf4+ (more )
Structure Level Pattern Image Note
TS28: brain Present UC Davis_1854842

Specimen UC Davis_1854844: postnatal adult; Tm4sf4tm1.1(KOMP)Vlcg/Tm4sf4+ (more )
Structure Level Pattern Image Note
TS28: lung Present UC Davis_1854844

Specimen UC Davis_1854845: postnatal adult; Tm4sf4tm1.1(KOMP)Vlcg/Tm4sf4+ (more )
Structure Level Pattern Image Note
TS28: aorta Present UC Davis_1854845

Specimen UC Davis_1854846: postnatal adult; Tm4sf4tm1.1(KOMP)Vlcg/Tm4sf4+ (more )
Structure Level Pattern Image Note
TS28: metanephros Present UC Davis_1854846 kidney

Specimen UC Davis_1854847: postnatal adult; Tm4sf4tm1.1(KOMP)Vlcg/Tm4sf4+ (more )
Structure Level Pattern Image Note
TS28: adrenal gland Present UC Davis_1854847

Specimen UC Davis_1854848: postnatal adult; Tm4sf4tm1.1(KOMP)Vlcg/Tm4sf4+ (more )
Structure Level Pattern Image Note
TS28: liver Present UC Davis_1854848

Specimen UC Davis_1854849: postnatal adult; Tm4sf4tm1.1(KOMP)Vlcg/Tm4sf4+ (more )
Structure Level Pattern Image Note
TS28: trachea Present UC Davis_1854849

Specimen UC Davis_1854850: postnatal adult; Tm4sf4tm1.1(KOMP)Vlcg/Tm4sf4+ (more )
Structure Level Pattern Image Note
TS28: stomach Present UC Davis_1854850

Specimen UC Davis_1854851: postnatal adult; Tm4sf4tm1.1(KOMP)Vlcg/Tm4sf4+ (more )
Structure Level Pattern Image Note
TS28: duodenum Present UC Davis_1854851

Specimen UC Davis_1854852: postnatal adult; Tm4sf4tm1.1(KOMP)Vlcg/Tm4sf4+ (more )
Structure Level Pattern Image Note
TS28: jejunum Present UC Davis_1854852

Specimen UC Davis_1854853: postnatal adult; Tm4sf4tm1.1(KOMP)Vlcg/Tm4sf4+ (more )
Structure Level Pattern Image Note
TS28: ileum Present UC Davis_1854853

Specimen UC Davis_1854854: postnatal adult; Tm4sf4tm1.1(KOMP)Vlcg/Tm4sf4+ (more )
Structure Level Pattern Image Note
TS28: mesenteric adipose tissue Present UC Davis_1854854

Specimen UC Davis_1854855: postnatal adult; Tm4sf4tm1.1(KOMP)Vlcg/Tm4sf4+ (more )
Structure Level Pattern Image Note
TS28: bladder Present UC Davis_1854855

Specimen UC Davis_1854856: postnatal adult; Tm4sf4tm1.1(KOMP)Vlcg/Tm4sf4+ (more )
Structure Level Pattern Image Note
TS28: gonadal fat pad Present UC Davis_1854856

Specimen UC Davis_1854857: postnatal adult; Tm4sf4tm1.1(KOMP)Vlcg/Tm4sf4+ (more )
Structure Level Pattern Image Note
TS28: ovary Present UC Davis_1854857

Specimen UC Davis_1854858: postnatal adult; Tm4sf4tm1.1(KOMP)Vlcg/Tm4sf4+ (more )
Structure Level Pattern Image Note
TS28: oviduct Present UC Davis_1854858

Specimen UC Davis_1854859: postnatal adult; Tm4sf4tm1.1(KOMP)Vlcg/Tm4sf4+ (more )
Structure Level Pattern Image Note
TS28: uterus Present UC Davis_1854859

Specimen UC Davis_1854860: postnatal adult; Tm4sf4tm1.1(KOMP)Vlcg/Tm4sf4+ (more )
Structure Level Pattern Image Note
TS28: vagina Present UC Davis_1854860

Specimen UC Davis_1854861: postnatal adult; Tm4sf4tm1.1(KOMP)Vlcg/Tm4sf4+ (more )
Structure Level Pattern Image Note
TS28: thoracic segment skeleton Present UC Davis_1854861 chest bone

Specimen UC Davis_1854775: postnatal adult; Tm4sf4tm1.1(KOMP)Vlcg/Tm4sf4+ (more )
Structure Level Pattern Image Note
TS28: submandibular gland Present UC Davis_1854775

Specimen UC Davis_1854776: postnatal adult; Tm4sf4tm1.1(KOMP)Vlcg/Tm4sf4+ (more )
Structure Level Pattern Image Note
TS28: parotid gland Present UC Davis_1854776

Specimen UC Davis_1854777: postnatal adult; Tm4sf4tm1.1(KOMP)Vlcg/Tm4sf4+ (more )
Structure Level Pattern Image Note
TS28: thyroid gland Present UC Davis_1854777

Specimen UC Davis_1854778: postnatal adult; Tm4sf4tm1.1(KOMP)Vlcg/Tm4sf4+ (more )
Structure Level Pattern Image Note
TS28: thymus Present UC Davis_1854778

Specimen UC Davis_1854779: postnatal adult; Tm4sf4tm1.1(KOMP)Vlcg/Tm4sf4+ (more )
Structure Level Pattern Image Note
TS28: thymus Present UC Davis_1854779

Specimen UC Davis_1854782: postnatal adult; Tm4sf4tm1.1(KOMP)Vlcg/Tm4sf4+ (more )
Structure Level Pattern Image Note
TS28: stomach Present UC Davis_1854782

Specimen UC Davis_1854783: postnatal adult; Tm4sf4tm1.1(KOMP)Vlcg/Tm4sf4+ (more )
Structure Level Pattern Image Note
TS28: stomach Present UC Davis_1854783

Specimen UC Davis_1854784: postnatal adult; Tm4sf4tm1.1(KOMP)Vlcg/Tm4sf4+ (more )
Structure Level Pattern Image Note
TS28: stomach Present UC Davis_1854784

Specimen UC Davis_1854785: postnatal adult; Tm4sf4tm1.1(KOMP)Vlcg/Tm4sf4+ (more )
Structure Level Pattern Image Note
TS28: stomach Present UC Davis_1854785

Specimen UC Davis_1854786: postnatal adult; Tm4sf4tm1.1(KOMP)Vlcg/Tm4sf4+ (more )
Structure Level Pattern Image Note
TS28: duodenum Present UC Davis_1854786

Specimen UC Davis_1854787: postnatal adult; Tm4sf4tm1.1(KOMP)Vlcg/Tm4sf4+ (more )
Structure Level Pattern Image Note
TS28: duodenum Present UC Davis_1854787

Specimen UC Davis_1854788: postnatal adult; Tm4sf4tm1.1(KOMP)Vlcg/Tm4sf4+ (more )
Structure Level Pattern Image Note
TS28: jejunum Present UC Davis_1854788

Specimen UC Davis_1854789: postnatal adult; Tm4sf4tm1.1(KOMP)Vlcg/Tm4sf4+ (more )
Structure Level Pattern Image Note
TS28: jejunum Present UC Davis_1854789

Specimen UC Davis_1854790: postnatal adult; Tm4sf4tm1.1(KOMP)Vlcg/Tm4sf4+ (more )
Structure Level Pattern Image Note
TS28: jejunum Present UC Davis_1854790

Specimen UC Davis_1854791: postnatal adult; Tm4sf4tm1.1(KOMP)Vlcg/Tm4sf4+ (more )
Structure Level Pattern Image Note
TS28: ileum Present UC Davis_1854791

Specimen UC Davis_1854792: postnatal adult; Tm4sf4tm1.1(KOMP)Vlcg/Tm4sf4+ (more )
Structure Level Pattern Image Note
TS28: ileum Present UC Davis_1854792

Specimen UC Davis_1854793: postnatal adult; Tm4sf4tm1.1(KOMP)Vlcg/Tm4sf4+ (more )
Structure Level Pattern Image Note
TS28: colon Absent UC Davis_1854793

Specimen UC Davis_1854794: postnatal adult; Tm4sf4tm1.1(KOMP)Vlcg/Tm4sf4+ (more )
Structure Level Pattern Image Note
TS28: colon Absent UC Davis_1854794

Specimen UC Davis_1854795: postnatal adult; Tm4sf4tm1.1(KOMP)Vlcg/Tm4sf4+ (more )
Structure Level Pattern Image Note
TS28: colon Absent UC Davis_1854795

Specimen UC Davis_1854796: postnatal adult; Tm4sf4tm1.1(KOMP)Vlcg/Tm4sf4+ (more )
Structure Level Pattern Image Note
TS28: spleen Present UC Davis_1854796

Specimen UC Davis_1854797: postnatal adult; Tm4sf4tm1.1(KOMP)Vlcg/Tm4sf4+ (more )
Structure Level Pattern Image Note
TS28: pancreas Present UC Davis_1854797

Specimen UC Davis_1854798: postnatal adult; Tm4sf4tm1.1(KOMP)Vlcg/Tm4sf4+ (more )
Structure Level Pattern Image Note
TS28: pancreas Present UC Davis_1854798

Specimen UC Davis_1854799: postnatal adult; Tm4sf4tm1.1(KOMP)Vlcg/Tm4sf4+ (more )
Structure Level Pattern Image Note
TS28: pancreas Present UC Davis_1854799

Specimen UC Davis_1854800: postnatal adult; Tm4sf4tm1.1(KOMP)Vlcg/Tm4sf4+ (more )
Structure Level Pattern Image Note
TS28: liver Present UC Davis_1854800

Specimen UC Davis_1854801: postnatal adult; Tm4sf4tm1.1(KOMP)Vlcg/Tm4sf4+ (more )
Structure Level Pattern Image Note
TS28: liver Present UC Davis_1854801

Specimen UC Davis_1854802: postnatal adult; Tm4sf4tm1.1(KOMP)Vlcg/Tm4sf4+ (more )
Structure Level Pattern Image Note
TS28: liver Present UC Davis_1854802

Specimen UC Davis_1854803: postnatal adult; Tm4sf4tm1.1(KOMP)Vlcg/Tm4sf4+ (more )
Structure Level Pattern Image Note
TS28: liver Present UC Davis_1854803

Specimen UC Davis_1854804: postnatal adult; Tm4sf4tm1.1(KOMP)Vlcg/Tm4sf4+ (more )
Structure Level Pattern Image Note
TS28: liver Present UC Davis_1854804

Specimen UC Davis_1854805: postnatal adult; Tm4sf4tm1.1(KOMP)Vlcg/Tm4sf4+ (more )
Structure Level Pattern Image Note
TS28: liver Present UC Davis_1854805

Specimen UC Davis_1854806: postnatal adult; Tm4sf4tm1.1(KOMP)Vlcg/Tm4sf4+ (more )
Structure Level Pattern Image Note
TS28: metanephros Present UC Davis_1854806 kidney

Specimen UC Davis_1854807: postnatal adult; Tm4sf4tm1.1(KOMP)Vlcg/Tm4sf4+ (more )
Structure Level Pattern Image Note
TS28: metanephros Present UC Davis_1854807 kidney

Specimen UC Davis_1854808: postnatal adult; Tm4sf4tm1.1(KOMP)Vlcg/Tm4sf4+ (more )
Structure Level Pattern Image Note
TS28: metanephros Present UC Davis_1854808 kidney

Specimen UC Davis_1854809: postnatal adult; Tm4sf4tm1.1(KOMP)Vlcg/Tm4sf4+ (more )
Structure Level Pattern Image Note
TS28: metanephros Present UC Davis_1854809 kidney

Specimen UC Davis_1854810: postnatal adult; Tm4sf4tm1.1(KOMP)Vlcg/Tm4sf4+ (more )
Structure Level Pattern Image Note
TS28: quadriceps femoris muscle Present UC Davis_1854810

Specimen UC Davis_1854811: postnatal adult; Tm4sf4tm1.1(KOMP)Vlcg/Tm4sf4+ (more )
Structure Level Pattern Image Note
TS28: tongue Present UC Davis_1854811

Specimen UC Davis_1854812: postnatal adult; Tm4sf4tm1.1(KOMP)Vlcg/Tm4sf4+ (more )
Structure Level Pattern Image Note
TS28: tongue Present UC Davis_1854812

Specimen UC Davis_1854813: postnatal adult; Tm4sf4tm1.1(KOMP)Vlcg/Tm4sf4+ (more )
Structure Level Pattern Image Note
TS28: tongue Present UC Davis_1854813

Specimen UC Davis_1854814: postnatal adult; Tm4sf4tm1.1(KOMP)Vlcg/Tm4sf4+ (more )
Structure Level Pattern Image Note
TS28: diaphragm Present UC Davis_1854814

Specimen UC Davis_1854815: postnatal adult; Tm4sf4tm1.1(KOMP)Vlcg/Tm4sf4+ (more )
Structure Level Pattern Image Note
TS28: adrenal gland Present UC Davis_1854815

Specimen UC Davis_1854816: postnatal adult; Tm4sf4tm1.1(KOMP)Vlcg/Tm4sf4+ (more )
Structure Level Pattern Image Note
TS28: mesenteric adipose tissue Present UC Davis_1854816

Specimen UC Davis_1854817: postnatal adult; Tm4sf4tm1.1(KOMP)Vlcg/Tm4sf4+ (more )
Structure Level Pattern Image Note
TS28: brown fat Present UC Davis_1854817

Specimen UC Davis_1854820: postnatal adult; Tm4sf4tm1.1(KOMP)Vlcg/Tm4sf4+ (more )
Structure Level Pattern Image Note
TS28: midbrain Present UC Davis_1854820

Specimen UC Davis_1854822: postnatal adult; Tm4sf4tm1.1(KOMP)Vlcg/Tm4sf4+ (more )
Structure Level Pattern Image Note
TS28: cerebellum Present UC Davis_1854822

Specimen UC Davis_1854823: postnatal adult; Tm4sf4tm1.1(KOMP)Vlcg/Tm4sf4+ (more )
Structure Level Pattern Image Note
TS28: cerebellum Present UC Davis_1854823

Specimen UC Davis_1854824: postnatal adult; Tm4sf4tm1.1(KOMP)Vlcg/Tm4sf4+ (more )
Structure Level Pattern Image Note
TS28: bladder Present UC Davis_1854824

Specimen UC Davis_1854825: postnatal adult; Tm4sf4tm1.1(KOMP)Vlcg/Tm4sf4+ (more )
Structure Level Pattern Image Note
TS28: testis Present UC Davis_1854825

Specimen UC Davis_1854826: postnatal adult; Tm4sf4tm1.1(KOMP)Vlcg/Tm4sf4+ (more )
Structure Level Pattern Image Note
TS28: testis Present UC Davis_1854826

Specimen UC Davis_1854827: postnatal adult; Tm4sf4tm1.1(KOMP)Vlcg/Tm4sf4+ (more )
Structure Level Pattern Image Note
TS28: epididymis Present UC Davis_1854827

Specimen UC Davis_1854828: postnatal adult; Tm4sf4tm1.1(KOMP)Vlcg/Tm4sf4+ (more )
Structure Level Pattern Image Note
TS28: penis Present UC Davis_1854828

Specimen UC Davis_1854829: postnatal adult; Tm4sf4tm1.1(KOMP)Vlcg/Tm4sf4+ (more )
Structure Level Pattern Image Note
TS28: penis Present UC Davis_1854829

Specimen UC Davis_1854830: postnatal adult; Tm4sf4tm1.1(KOMP)Vlcg/Tm4sf4+ (more )
Structure Level Pattern Image Note
TS28: ductus deferens Present UC Davis_1854830 vas deferens

Specimen UC Davis_1854862: postnatal adult; Tm4sf4tm1.1(KOMP)Vlcg/Tm4sf4+ (more )
Structure Level Pattern Image Note
TS28: spleen Present UC Davis_1854862

Specimen UC Davis_1854863: postnatal adult; Tm4sf4tm1.1(KOMP)Vlcg/Tm4sf4+ (more )
Structure Level Pattern Image Note
TS28: thymus Present UC Davis_1854863

Specimen UC Davis_1854864: postnatal adult; Tm4sf4tm1.1(KOMP)Vlcg/Tm4sf4+ (more )
Structure Level Pattern Image Note
TS28: esophagus Present UC Davis_1854864

Specimen UC Davis_1854865: postnatal adult; Tm4sf4tm1.1(KOMP)Vlcg/Tm4sf4+ (more )
Structure Level Pattern Image Note
TS28: prostate gland Present UC Davis_1854865

Specimen UC Davis_1854866: postnatal adult; Tm4sf4tm1.1(KOMP)Vlcg/Tm4sf4+ (more )
Structure Level Pattern Image Note
TS28: seminal vesicle Present UC Davis_1854866 vesicular gland

Specimen UC Davis_1854867: postnatal adult; Tm4sf4tm1.1(KOMP)Vlcg/Tm4sf4+ (more )
Structure Level Pattern Image Note
TS28: penis Present UC Davis_1854867

Specimen UC Davis_1854868: postnatal adult; Tm4sf4tm1.1(KOMP)Vlcg/Tm4sf4+ (more )
Structure Level Pattern Image Note
TS28: ductus deferens Present UC Davis_1854868 vas deferens


Contributing Projects:
Mouse Genome Database (MGD), Gene Expression Database (GXD), Mouse Models of Human Cancer database (MMHCdb) (formerly Mouse Tumor Biology (MTB)), Gene Ontology (GO)
Citing These Resources
Funding Information
Warranty Disclaimer, Privacy Notice, Licensing, & Copyright
Send questions and comments to User Support.
last database update
03/24/2026
MGI 6.24
The Jackson Laboratory