About   Help   FAQ
Gene Expression Data
Assay Details
Assay
Reference: J:228563 Koscielny G, et al., The International Mouse Phenotyping Consortium Web Portal, a unified point of access for knockout mice and related phenotyping data. Nucleic Acids Res. 2014 Jan;42(Database issue):D802-9
Assay type: In situ reporter (knock in)
MGI Accession ID: MGI:6692550
Gene symbol: Ncoa5
Gene name: nuclear receptor coactivator 5
Reporter: lacZ
Direct Detection
Results
Specimen UC Davis_1886658: postnatal adult; Ncoa5tm1.1(KOMP)Mbp/Ncoa5+ (more )
Structure Level Pattern Image Note
TS28: submandibular gland Absent UC Davis_1886658

Specimen UC Davis_1886659: postnatal adult; Ncoa5tm1.1(KOMP)Mbp/Ncoa5+ (more )
Structure Level Pattern Image Note
TS28: submandibular gland Absent UC Davis_1886659

Specimen UC Davis_1886660: postnatal adult; Ncoa5tm1.1(KOMP)Mbp/Ncoa5+ (more )
Structure Level Pattern Image Note
TS28: sublingual gland Present UC Davis_1886660

Specimen UC Davis_1886661: postnatal adult; Ncoa5tm1.1(KOMP)Mbp/Ncoa5+ (more )
Structure Level Pattern Image Note
TS28: parotid gland Present UC Davis_1886661

Specimen UC Davis_1886662: postnatal adult; Ncoa5tm1.1(KOMP)Mbp/Ncoa5+ (more )
Structure Level Pattern Image Note
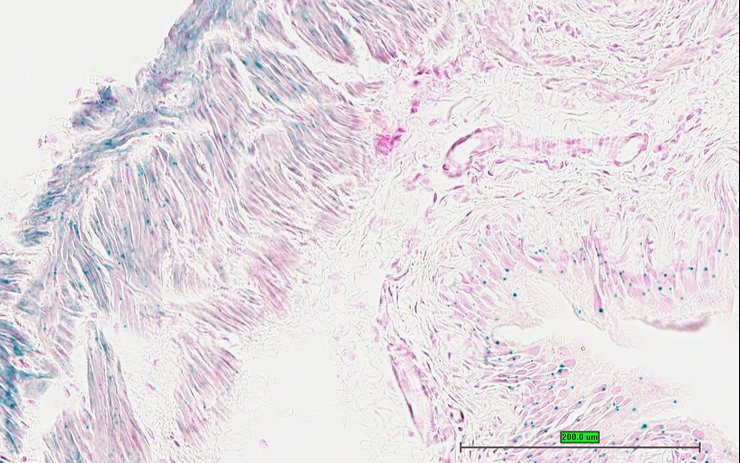
TS28: trachea Present UC Davis_1886662

Specimen UC Davis_1886663: postnatal adult; Ncoa5tm1.1(KOMP)Mbp/Ncoa5+ (more )
Structure Level Pattern Image Note
TS28: trachea Present UC Davis_1886663

Specimen UC Davis_1886664: postnatal adult; Ncoa5tm1.1(KOMP)Mbp/Ncoa5+ (more )
Structure Level Pattern Image Note
TS28: esophagus Present UC Davis_1886664

Specimen UC Davis_1886665: postnatal adult; Ncoa5tm1.1(KOMP)Mbp/Ncoa5+ (more )
Structure Level Pattern Image Note
TS28: aorta Absent UC Davis_1886665

Specimen UC Davis_1886666: postnatal adult; Ncoa5tm1.1(KOMP)Mbp/Ncoa5+ (more )
Structure Level Pattern Image Note
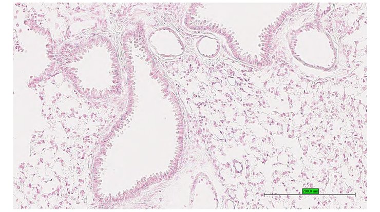
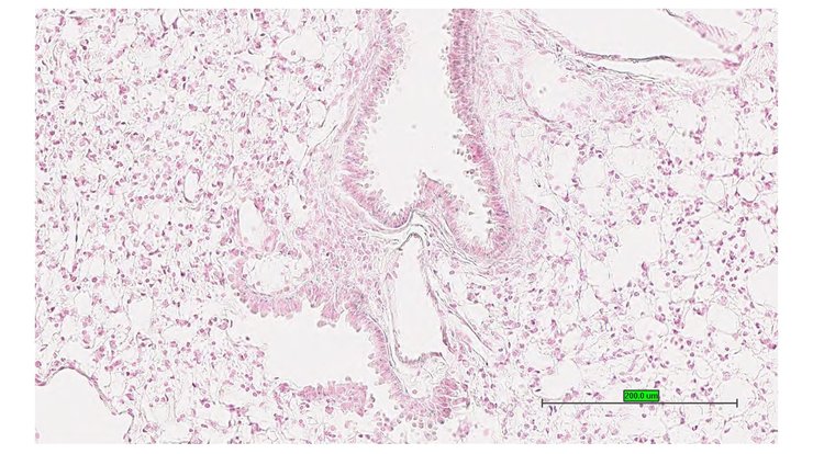
TS28: lung Present UC Davis_1886666

Specimen UC Davis_1886667: postnatal adult; Ncoa5tm1.1(KOMP)Mbp/Ncoa5+ (more )
Structure Level Pattern Image Note
TS28: lung Present UC Davis_1886667

Specimen UC Davis_1886668: postnatal adult; Ncoa5tm1.1(KOMP)Mbp/Ncoa5+ (more )
Structure Level Pattern Image Note
TS28: thymus Present UC Davis_1886668

Specimen UC Davis_1886672: postnatal adult; Ncoa5tm1.1(KOMP)Mbp/Ncoa5+ (more )
Structure Level Pattern Image Note
TS28: stomach Present UC Davis_1886672

Specimen UC Davis_1886673: postnatal adult; Ncoa5tm1.1(KOMP)Mbp/Ncoa5+ (more )
Structure Level Pattern Image Note
TS28: stomach Present UC Davis_1886673

Specimen UC Davis_1886674: postnatal adult; Ncoa5tm1.1(KOMP)Mbp/Ncoa5+ (more )
Structure Level Pattern Image Note
TS28: stomach Present UC Davis_1886674

Specimen UC Davis_1886675: postnatal adult; Ncoa5tm1.1(KOMP)Mbp/Ncoa5+ (more )
Structure Level Pattern Image Note
TS28: duodenum Present UC Davis_1886675

Specimen UC Davis_1886676: postnatal adult; Ncoa5tm1.1(KOMP)Mbp/Ncoa5+ (more )
Structure Level Pattern Image Note
TS28: jejunum Present UC Davis_1886676

Specimen UC Davis_1886677: postnatal adult; Ncoa5tm1.1(KOMP)Mbp/Ncoa5+ (more )
Structure Level Pattern Image Note
TS28: ileum Present UC Davis_1886677

Specimen UC Davis_1886678: postnatal adult; Ncoa5tm1.1(KOMP)Mbp/Ncoa5+ (more )
Structure Level Pattern Image Note
TS28: colon Present UC Davis_1886678

Specimen UC Davis_1886679: postnatal adult; Ncoa5tm1.1(KOMP)Mbp/Ncoa5+ (more )
Structure Level Pattern Image Note
TS28: colon Present UC Davis_1886679

Specimen UC Davis_1886680: postnatal adult; Ncoa5tm1.1(KOMP)Mbp/Ncoa5+ (more )
Structure Level Pattern Image Note
TS28: colon Present UC Davis_1886680

Specimen UC Davis_1886681: postnatal adult; Ncoa5tm1.1(KOMP)Mbp/Ncoa5+ (more )
Structure Level Pattern Image Note
TS28: cecum Present UC Davis_1886681

Specimen UC Davis_1886682: postnatal adult; Ncoa5tm1.1(KOMP)Mbp/Ncoa5+ (more )
Structure Level Pattern Image Note
TS28: spleen Present UC Davis_1886682

Specimen UC Davis_1886683: postnatal adult; Ncoa5tm1.1(KOMP)Mbp/Ncoa5+ (more )
Structure Level Pattern Image Note
TS28: metanephros Present UC Davis_1886683 kidney

Specimen UC Davis_1886684: postnatal adult; Ncoa5tm1.1(KOMP)Mbp/Ncoa5+ (more )
Structure Level Pattern Image Note
TS28: metanephros Present UC Davis_1886684 kidney

Specimen UC Davis_1886685: postnatal adult; Ncoa5tm1.1(KOMP)Mbp/Ncoa5+ (more )
Structure Level Pattern Image Note
TS28: metanephros Present UC Davis_1886685 kidney

Specimen UC Davis_1886686: postnatal adult; Ncoa5tm1.1(KOMP)Mbp/Ncoa5+ (more )
Structure Level Pattern Image Note
TS28: metanephros Present UC Davis_1886686 kidney

Specimen UC Davis_1886687: postnatal adult; Ncoa5tm1.1(KOMP)Mbp/Ncoa5+ (more )
Structure Level Pattern Image Note
TS28: metanephros Present UC Davis_1886687 kidney

Specimen UC Davis_1886688: postnatal adult; Ncoa5tm1.1(KOMP)Mbp/Ncoa5+ (more )
Structure Level Pattern Image Note
TS28: tongue Present UC Davis_1886688

Specimen UC Davis_1886689: postnatal adult; Ncoa5tm1.1(KOMP)Mbp/Ncoa5+ (more )
Structure Level Pattern Image Note
TS28: adrenal gland Present UC Davis_1886689

Specimen UC Davis_1886690: postnatal adult; Ncoa5tm1.1(KOMP)Mbp/Ncoa5+ (more )
Structure Level Pattern Image Note
TS28: pituitary gland Present UC Davis_1886690

Specimen UC Davis_1886691: postnatal adult; Ncoa5tm1.1(KOMP)Mbp/Ncoa5+ (more )
Structure Level Pattern Image Note
TS28: spinal cord Present UC Davis_1886691

Specimen UC Davis_1886692: postnatal adult; Ncoa5tm1.1(KOMP)Mbp/Ncoa5+ (more )
Structure Level Pattern Image Note
TS28: spinal cord Present UC Davis_1886692

Specimen UC Davis_1886693: postnatal adult; Ncoa5tm1.1(KOMP)Mbp/Ncoa5+ (more )
Structure Level Pattern Image Note
TS28: eye Present UC Davis_1886693

Specimen UC Davis_1886694: postnatal adult; Ncoa5tm1.1(KOMP)Mbp/Ncoa5+ (more )
Structure Level Pattern Image Note
TS28: eye Present UC Davis_1886694

Specimen UC Davis_1886695: postnatal adult; Ncoa5tm1.1(KOMP)Mbp/Ncoa5+ (more )
Structure Level Pattern Image Note
TS28: eye Present UC Davis_1886695

Specimen UC Davis_1886696: postnatal adult; Ncoa5tm1.1(KOMP)Mbp/Ncoa5+ (more )
Structure Level Pattern Image Note
TS28: Harderian gland Present UC Davis_1886696

Specimen UC Davis_1886697: postnatal adult; Ncoa5tm1.1(KOMP)Mbp/Ncoa5+ (more )
Structure Level Pattern Image Note
TS28: Harderian gland Present UC Davis_1886697

Specimen UC Davis_1886698: postnatal adult; Ncoa5tm1.1(KOMP)Mbp/Ncoa5+ (more )
Structure Level Pattern Image Note
TS28: mesenteric adipose tissue Present UC Davis_1886698

Specimen UC Davis_1886699: postnatal adult; Ncoa5tm1.1(KOMP)Mbp/Ncoa5+ (more )
Structure Level Pattern Image Note
TS28: skin Present UC Davis_1886699

Specimen UC Davis_1886700: postnatal adult; Ncoa5tm1.1(KOMP)Mbp/Ncoa5+ (more )
Structure Level Pattern Image Note
TS28: skin Present UC Davis_1886700

Specimen UC Davis_1886701: postnatal adult; Ncoa5tm1.1(KOMP)Mbp/Ncoa5+ (more )
Structure Level Pattern Image Note
TS28: olfactory lobe Present UC Davis_1886701

Specimen UC Davis_1886702: postnatal adult; Ncoa5tm1.1(KOMP)Mbp/Ncoa5+ (more )
Structure Level Pattern Image Note
TS28: olfactory lobe Present UC Davis_1886702

Specimen UC Davis_1886706: postnatal adult; Ncoa5tm1.1(KOMP)Mbp/Ncoa5+ (more )
Structure Level Pattern Image Note
TS28: midbrain Present UC Davis_1886706

Specimen UC Davis_1886708: postnatal adult; Ncoa5tm1.1(KOMP)Mbp/Ncoa5+ (more )
Structure Level Pattern Image Note
TS28: cerebellum Present UC Davis_1886708

Specimen UC Davis_1886709: postnatal adult; Ncoa5tm1.1(KOMP)Mbp/Ncoa5+ (more )
Structure Level Pattern Image Note
TS28: ovary Present UC Davis_1886709

Specimen UC Davis_1886710: postnatal adult; Ncoa5tm1.1(KOMP)Mbp/Ncoa5+ (more )
Structure Level Pattern Image Note
TS28: ovary Present UC Davis_1886710

Specimen UC Davis_1886711: postnatal adult; Ncoa5tm1.1(KOMP)Mbp/Ncoa5+ (more )
Structure Level Pattern Image Note
TS28: oviduct Present UC Davis_1886711

Specimen UC Davis_1886712: postnatal adult; Ncoa5tm1.1(KOMP)Mbp/Ncoa5+ (more )
Structure Level Pattern Image Note
TS28: oviduct Present UC Davis_1886712

Specimen UC Davis_1886713: postnatal adult; Ncoa5tm1.1(KOMP)Mbp/Ncoa5+ (more )
Structure Level Pattern Image Note
TS28: uterus Present UC Davis_1886713

Specimen UC Davis_1886714: postnatal adult; Ncoa5tm1.1(KOMP)Mbp/Ncoa5+ (more )
Structure Level Pattern Image Note
TS28: uterus Present UC Davis_1886714

Specimen UC Davis_1886715: postnatal adult; Ncoa5tm1.1(KOMP)Mbp/Ncoa5+ (more )
Structure Level Pattern Image Note
TS28: uterus Present UC Davis_1886715

Specimen UC Davis_1886716: postnatal adult; Ncoa5tm1.1(KOMP)Mbp/Ncoa5+ (more )
Structure Level Pattern Image Note
TS28: bladder Present UC Davis_1886716

Specimen UC Davis_1886717: postnatal adult; Ncoa5tm1.1(KOMP)Mbp/Ncoa5+ (more )
Structure Level Pattern Image Note
TS28: bladder Present UC Davis_1886717

Specimen UC Davis_1886720: postnatal adult; Ncoa5tm1.1(KOMP)Mbp/Ncoa5+ (more )
Structure Level Pattern Image Note
TS28: submandibular gland Present UC Davis_1886720

Specimen UC Davis_1886721: postnatal adult; Ncoa5tm1.1(KOMP)Mbp/Ncoa5+ (more )
Structure Level Pattern Image Note
TS28: submandibular gland Present UC Davis_1886721

Specimen UC Davis_1886722: postnatal adult; Ncoa5tm1.1(KOMP)Mbp/Ncoa5+ (more )
Structure Level Pattern Image Note
TS28: sublingual gland Present UC Davis_1886722

Specimen UC Davis_1886723: postnatal adult; Ncoa5tm1.1(KOMP)Mbp/Ncoa5+ (more )
Structure Level Pattern Image Note
TS28: sublingual gland Present UC Davis_1886723

Specimen UC Davis_1886724: postnatal adult; Ncoa5tm1.1(KOMP)Mbp/Ncoa5+ (more )
Structure Level Pattern Image Note
TS28: parotid gland Present UC Davis_1886724

Specimen UC Davis_1886726: postnatal adult; Ncoa5tm1.1(KOMP)Mbp/Ncoa5+ (more )
Structure Level Pattern Image Note
TS28: trachea Present UC Davis_1886726

Specimen UC Davis_1886727: postnatal adult; Ncoa5tm1.1(KOMP)Mbp/Ncoa5+ (more )
Structure Level Pattern Image Note
TS28: esophagus Present UC Davis_1886727

Specimen UC Davis_1886728: postnatal adult; Ncoa5tm1.1(KOMP)Mbp/Ncoa5+ (more )
Structure Level Pattern Image Note
TS28: esophagus Present UC Davis_1886728

Specimen UC Davis_1886729: postnatal adult; Ncoa5tm1.1(KOMP)Mbp/Ncoa5+ (more )
Structure Level Pattern Image Note
TS28: thyroid gland Present UC Davis_1886729

Specimen UC Davis_1886731: postnatal adult; Ncoa5tm1.1(KOMP)Mbp/Ncoa5+ (more )
Structure Level Pattern Image Note
TS28: parathyroid gland Present UC Davis_1886731

Specimen UC Davis_1886732: postnatal adult; Ncoa5tm1.1(KOMP)Mbp/Ncoa5+ (more )
Structure Level Pattern Image Note
TS28: aorta Present UC Davis_1886732

Specimen UC Davis_1886733: postnatal adult; Ncoa5tm1.1(KOMP)Mbp/Ncoa5+ (more )
Structure Level Pattern Image Note
TS28: lung Present UC Davis_1886733

Specimen UC Davis_1886734: postnatal adult; Ncoa5tm1.1(KOMP)Mbp/Ncoa5+ (more )
Structure Level Pattern Image Note
TS28: lung Present UC Davis_1886734

Specimen UC Davis_1886735: postnatal adult; Ncoa5tm1.1(KOMP)Mbp/Ncoa5+ (more )
Structure Level Pattern Image Note
TS28: thymus Present UC Davis_1886735

Specimen UC Davis_1886736: postnatal adult; Ncoa5tm1.1(KOMP)Mbp/Ncoa5+ (more )
Structure Level Pattern Image Note
TS28: thymus Present UC Davis_1886736

Specimen UC Davis_1886739: postnatal adult; Ncoa5tm1.1(KOMP)Mbp/Ncoa5+ (more )
Structure Level Pattern Image Note
TS28: mesenteric lymph node Present UC Davis_1886739

Specimen UC Davis_1886740: postnatal adult; Ncoa5tm1.1(KOMP)Mbp/Ncoa5+ (more )
Structure Level Pattern Image Note
TS28: stomach Present UC Davis_1886740

Specimen UC Davis_1886741: postnatal adult; Ncoa5tm1.1(KOMP)Mbp/Ncoa5+ (more )
Structure Level Pattern Image Note
TS28: stomach Present UC Davis_1886741

Specimen UC Davis_1886742: postnatal adult; Ncoa5tm1.1(KOMP)Mbp/Ncoa5+ (more )
Structure Level Pattern Image Note
TS28: duodenum Present UC Davis_1886742

Specimen UC Davis_1886743: postnatal adult; Ncoa5tm1.1(KOMP)Mbp/Ncoa5+ (more )
Structure Level Pattern Image Note
TS28: duodenum Present UC Davis_1886743

Specimen UC Davis_1886744: postnatal adult; Ncoa5tm1.1(KOMP)Mbp/Ncoa5+ (more )
Structure Level Pattern Image Note
TS28: jejunum Present UC Davis_1886744

Specimen UC Davis_1886745: postnatal adult; Ncoa5tm1.1(KOMP)Mbp/Ncoa5+ (more )
Structure Level Pattern Image Note
TS28: ileum Present UC Davis_1886745

Specimen UC Davis_1886746: postnatal adult; Ncoa5tm1.1(KOMP)Mbp/Ncoa5+ (more )
Structure Level Pattern Image Note
TS28: ileum Present UC Davis_1886746

Specimen UC Davis_1886747: postnatal adult; Ncoa5tm1.1(KOMP)Mbp/Ncoa5+ (more )
Structure Level Pattern Image Note
TS28: colon Present UC Davis_1886747

Specimen UC Davis_1886748: postnatal adult; Ncoa5tm1.1(KOMP)Mbp/Ncoa5+ (more )
Structure Level Pattern Image Note
TS28: cecum Present UC Davis_1886748

Specimen UC Davis_1886749: postnatal adult; Ncoa5tm1.1(KOMP)Mbp/Ncoa5+ (more )
Structure Level Pattern Image Note
TS28: spleen Present UC Davis_1886749

Specimen UC Davis_1886750: postnatal adult; Ncoa5tm1.1(KOMP)Mbp/Ncoa5+ (more )
Structure Level Pattern Image Note
TS28: spleen Present UC Davis_1886750

Specimen UC Davis_1886751: postnatal adult; Ncoa5tm1.1(KOMP)Mbp/Ncoa5+ (more )
Structure Level Pattern Image Note
TS28: pancreas Present UC Davis_1886751

Specimen UC Davis_1886752: postnatal adult; Ncoa5tm1.1(KOMP)Mbp/Ncoa5+ (more )
Structure Level Pattern Image Note
TS28: metanephros Present UC Davis_1886752 kidney

Specimen UC Davis_1886753: postnatal adult; Ncoa5tm1.1(KOMP)Mbp/Ncoa5+ (more )
Structure Level Pattern Image Note
TS28: metanephros Present UC Davis_1886753 kidney

Specimen UC Davis_1886754: postnatal adult; Ncoa5tm1.1(KOMP)Mbp/Ncoa5+ (more )
Structure Level Pattern Image Note
TS28: metanephros Present UC Davis_1886754 kidney

Specimen UC Davis_1886755: postnatal adult; Ncoa5tm1.1(KOMP)Mbp/Ncoa5+ (more )
Structure Level Pattern Image Note
TS28: quadriceps femoris muscle Present UC Davis_1886755

Specimen UC Davis_1886756: postnatal adult; Ncoa5tm1.1(KOMP)Mbp/Ncoa5+ (more )
Structure Level Pattern Image Note
TS28: tongue Present UC Davis_1886756

Specimen UC Davis_1886757: postnatal adult; Ncoa5tm1.1(KOMP)Mbp/Ncoa5+ (more )
Structure Level Pattern Image Note
TS28: tongue Present UC Davis_1886757

Specimen UC Davis_1886758: postnatal adult; Ncoa5tm1.1(KOMP)Mbp/Ncoa5+ (more )
Structure Level Pattern Image Note
TS28: tongue Present UC Davis_1886758

Specimen UC Davis_1886759: postnatal adult; Ncoa5tm1.1(KOMP)Mbp/Ncoa5+ (more )
Structure Level Pattern Image Note
TS28: diaphragm Present UC Davis_1886759

Specimen UC Davis_1886760: postnatal adult; Ncoa5tm1.1(KOMP)Mbp/Ncoa5+ (more )
Structure Level Pattern Image Note
TS28: adrenal gland Present UC Davis_1886760

Specimen UC Davis_1886761: postnatal adult; Ncoa5tm1.1(KOMP)Mbp/Ncoa5+ (more )
Structure Level Pattern Image Note
TS28: pituitary gland Present UC Davis_1886761

Specimen UC Davis_1886762: postnatal adult; Ncoa5tm1.1(KOMP)Mbp/Ncoa5+ (more )
Structure Level Pattern Image Note
TS28: pituitary gland Present UC Davis_1886762

Specimen UC Davis_1886763: postnatal adult; Ncoa5tm1.1(KOMP)Mbp/Ncoa5+ (more )
Structure Level Pattern Image Note
TS28: spinal cord Present UC Davis_1886763

Specimen UC Davis_1886764: postnatal adult; Ncoa5tm1.1(KOMP)Mbp/Ncoa5+ (more )
Structure Level Pattern Image Note
TS28: spinal cord Present UC Davis_1886764

Specimen UC Davis_1886765: postnatal adult; Ncoa5tm1.1(KOMP)Mbp/Ncoa5+ (more )
Structure Level Pattern Image Note
TS28: eye Present UC Davis_1886765

Specimen UC Davis_1886766: postnatal adult; Ncoa5tm1.1(KOMP)Mbp/Ncoa5+ (more )
Structure Level Pattern Image Note
TS28: eye Present UC Davis_1886766

Specimen UC Davis_1886767: postnatal adult; Ncoa5tm1.1(KOMP)Mbp/Ncoa5+ (more )
Structure Level Pattern Image Note
TS28: eye Present UC Davis_1886767

Specimen UC Davis_1886770: postnatal adult; Ncoa5tm1.1(KOMP)Mbp/Ncoa5+ (more )
Structure Level Pattern Image Note
TS28: Harderian gland Present UC Davis_1886770

Specimen UC Davis_1886771: postnatal adult; Ncoa5tm1.1(KOMP)Mbp/Ncoa5+ (more )
Structure Level Pattern Image Note
TS28: gonadal fat pad Present UC Davis_1886771

Specimen UC Davis_1886772: postnatal adult; Ncoa5tm1.1(KOMP)Mbp/Ncoa5+ (more )
Structure Level Pattern Image Note
TS28: mesenteric adipose tissue Present UC Davis_1886772

Specimen UC Davis_1886773: postnatal adult; Ncoa5tm1.1(KOMP)Mbp/Ncoa5+ (more )
Structure Level Pattern Image Note
TS28: skin Present UC Davis_1886773

Specimen UC Davis_1886774: postnatal adult; Ncoa5tm1.1(KOMP)Mbp/Ncoa5+ (more )
Structure Level Pattern Image Note
TS28: skin Present UC Davis_1886774

Specimen UC Davis_1886775: postnatal adult; Ncoa5tm1.1(KOMP)Mbp/Ncoa5+ (more )
Structure Level Pattern Image Note
TS28: olfactory lobe Present UC Davis_1886775

Specimen UC Davis_1886778: postnatal adult; Ncoa5tm1.1(KOMP)Mbp/Ncoa5+ (more )
Structure Level Pattern Image Note
TS28: midbrain Present UC Davis_1886778

Specimen UC Davis_1886780: postnatal adult; Ncoa5tm1.1(KOMP)Mbp/Ncoa5+ (more )
Structure Level Pattern Image Note
TS28: cerebellum Present UC Davis_1886780

Specimen UC Davis_1886781: postnatal adult; Ncoa5tm1.1(KOMP)Mbp/Ncoa5+ (more )
Structure Level Pattern Image Note
TS28: trigeminal nerve Present UC Davis_1886781

Specimen UC Davis_1886782: postnatal adult; Ncoa5tm1.1(KOMP)Mbp/Ncoa5+ (more )
Structure Level Pattern Image Note
TS28: bladder Present UC Davis_1886782

Specimen UC Davis_1886783: postnatal adult; Ncoa5tm1.1(KOMP)Mbp/Ncoa5+ (more )
Structure Level Pattern Image Note
TS28: testis Present UC Davis_1886783

Specimen UC Davis_1886784: postnatal adult; Ncoa5tm1.1(KOMP)Mbp/Ncoa5+ (more )
Structure Level Pattern Image Note
TS28: testis Present UC Davis_1886784

Specimen UC Davis_1886785: postnatal adult; Ncoa5tm1.1(KOMP)Mbp/Ncoa5+ (more )
Structure Level Pattern Image Note
TS28: testis Present UC Davis_1886785

Specimen UC Davis_1886786: postnatal adult; Ncoa5tm1.1(KOMP)Mbp/Ncoa5+ (more )
Structure Level Pattern Image Note
TS28: epididymis Present UC Davis_1886786

Specimen UC Davis_1886787: postnatal adult; Ncoa5tm1.1(KOMP)Mbp/Ncoa5+ (more )
Structure Level Pattern Image Note
TS28: epididymis Present UC Davis_1886787

Specimen UC Davis_1886788: postnatal adult; Ncoa5tm1.1(KOMP)Mbp/Ncoa5+ (more )
Structure Level Pattern Image Note
TS28: epididymis Present UC Davis_1886788

Specimen UC Davis_1886789: postnatal adult; Ncoa5tm1.1(KOMP)Mbp/Ncoa5+ (more )
Structure Level Pattern Image Note
TS28: prostate gland Present UC Davis_1886789

Specimen UC Davis_1886790: postnatal adult; Ncoa5tm1.1(KOMP)Mbp/Ncoa5+ (more )
Structure Level Pattern Image Note
TS28: penis Present UC Davis_1886790

Specimen UC Davis_1886791: postnatal adult; Ncoa5tm1.1(KOMP)Mbp/Ncoa5+ (more )
Structure Level Pattern Image Note
TS28: penis Present UC Davis_1886791

Specimen UC Davis_1886792: postnatal adult; Ncoa5tm1.1(KOMP)Mbp/Ncoa5+ (more )
Structure Level Pattern Image Note
TS28: bone marrow Present UC Davis_1886792

Specimen UC Davis_1886793: postnatal adult; Ncoa5tm1.1(KOMP)Mbp/Ncoa5+ (more )
Structure Level Pattern Image Note
TS28: ductus deferens Present UC Davis_1886793 vas deferens

Specimen UC Davis_1886795: postnatal adult; Ncoa5tm1.1(KOMP)Mbp/Ncoa5+ (more )
Structure Level Pattern Image Note
TS28: seminal vesicle Present UC Davis_1886795 vesicular gland

Specimen UC Davis_1886796: postnatal adult; Ncoa5tm1.1(KOMP)Mbp/Ncoa5+ (more )
Structure Level Pattern Image Note
TS28: seminal vesicle Present UC Davis_1886796 vesicular gland


Contributing Projects:
Mouse Genome Database (MGD), Gene Expression Database (GXD), Mouse Models of Human Cancer database (MMHCdb) (formerly Mouse Tumor Biology (MTB)), Gene Ontology (GO)
Citing These Resources
Funding Information
Warranty Disclaimer, Privacy Notice, Licensing, & Copyright
Send questions and comments to User Support.
last database update
01/20/2026
MGI 6.24
The Jackson Laboratory