About   Help   FAQ
Gene Expression Data
Assay Details
Assay
Reference: J:228563 Koscielny G, et al., The International Mouse Phenotyping Consortium Web Portal, a unified point of access for knockout mice and related phenotyping data. Nucleic Acids Res. 2014 Jan;42(Database issue):D802-9
Assay type: In situ reporter (knock in)
MGI Accession ID: MGI:6692544
Gene symbol: Ube2e2
Gene name: ubiquitin-conjugating enzyme E2E 2
Reporter: lacZ
Direct Detection
Results
Specimen UC Davis_1855192: postnatal adult; Ube2e2tm1b(KOMP)Wtsi/Ube2e2+ (more )
Structure Level Pattern Image Note
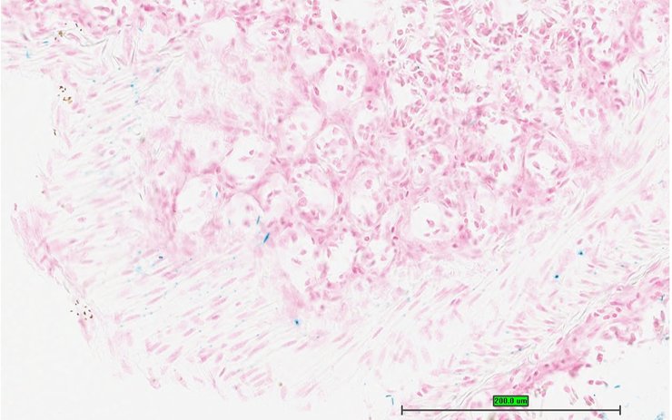
TS28: stomach Present UC Davis_1855192

Specimen UC Davis_1855193: postnatal adult; Ube2e2tm1b(KOMP)Wtsi/Ube2e2+ (more )
Structure Level Pattern Image Note
TS28: stomach Present UC Davis_1855193

Specimen UC Davis_1855194: postnatal adult; Ube2e2tm1b(KOMP)Wtsi/Ube2e2+ (more )
Structure Level Pattern Image Note
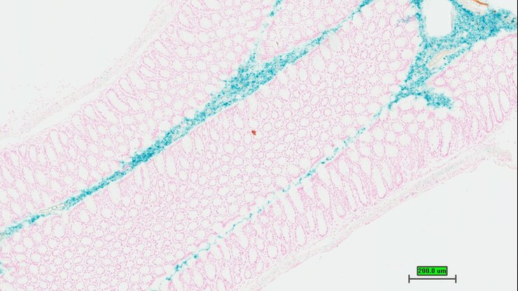
TS28: ileum Present UC Davis_1855194

Specimen UC Davis_1855195: postnatal adult; Ube2e2tm1b(KOMP)Wtsi/Ube2e2+ (more )
Structure Level Pattern Image Note
TS28: colon Present UC Davis_1855195

Specimen UC Davis_1855196: postnatal adult; Ube2e2tm1b(KOMP)Wtsi/Ube2e2+ (more )
Structure Level Pattern Image Note
TS28: cecum Present UC Davis_1855196

Specimen UC Davis_1855197: postnatal adult; Ube2e2tm1b(KOMP)Wtsi/Ube2e2+ (more )
Structure Level Pattern Image Note
TS28: adrenal gland Present UC Davis_1855197

Specimen UC Davis_1855198: postnatal adult; Ube2e2tm1b(KOMP)Wtsi/Ube2e2+ (more )
Structure Level Pattern Image Note
TS28: adrenal gland Present UC Davis_1855198

Specimen UC Davis_1855199: postnatal adult; Ube2e2tm1b(KOMP)Wtsi/Ube2e2+ (more )
Structure Level Pattern Image Note
TS28: adrenal gland Present UC Davis_1855199

Specimen UC Davis_1855200: postnatal adult; Ube2e2tm1b(KOMP)Wtsi/Ube2e2+ (more )
Structure Level Pattern Image Note
TS28: pituitary gland Present UC Davis_1855200

Specimen UC Davis_1855201: postnatal adult; Ube2e2tm1b(KOMP)Wtsi/Ube2e2+ (more )
Structure Level Pattern Image Note
TS28: pituitary gland Present UC Davis_1855201

Specimen UC Davis_1855202: postnatal adult; Ube2e2tm1b(KOMP)Wtsi/Ube2e2+ (more )
Structure Level Pattern Image Note
TS28: eye Present UC Davis_1855202

Specimen UC Davis_1855203: postnatal adult; Ube2e2tm1b(KOMP)Wtsi/Ube2e2+ (more )
Structure Level Pattern Image Note
TS28: eye Present UC Davis_1855203

Specimen UC Davis_1855204: postnatal adult; Ube2e2tm1b(KOMP)Wtsi/Ube2e2+ (more )
Structure Level Pattern Image Note
TS28: eye Present UC Davis_1855204

Specimen UC Davis_1855205: postnatal adult; Ube2e2tm1b(KOMP)Wtsi/Ube2e2+ (more )
Structure Level Pattern Image Note
TS28: Harderian gland Present UC Davis_1855205

Specimen UC Davis_1855206: postnatal adult; Ube2e2tm1b(KOMP)Wtsi/Ube2e2+ (more )
Structure Level Pattern Image Note
TS28: Harderian gland Present UC Davis_1855206

Specimen UC Davis_1855207: postnatal adult; Ube2e2tm1b(KOMP)Wtsi/Ube2e2+ (more )
Structure Level Pattern Image Note
TS28: skin Present UC Davis_1855207

Specimen UC Davis_1855208: postnatal adult; Ube2e2tm1b(KOMP)Wtsi/Ube2e2+ (more )
Structure Level Pattern Image Note
TS28: skin Present UC Davis_1855208

Specimen UC Davis_1855209: postnatal adult; Ube2e2tm1b(KOMP)Wtsi/Ube2e2+ (more )
Structure Level Pattern Image Note
TS28: olfactory lobe Present UC Davis_1855209

Specimen UC Davis_1855213: postnatal adult; Ube2e2tm1b(KOMP)Wtsi/Ube2e2+ (more )
Structure Level Pattern Image Note
TS28: midbrain Present UC Davis_1855213

Specimen UC Davis_1855215: postnatal adult; Ube2e2tm1b(KOMP)Wtsi/Ube2e2+ (more )
Structure Level Pattern Image Note
TS28: cerebellum Present UC Davis_1855215

Specimen UC Davis_1855216: postnatal adult; Ube2e2tm1b(KOMP)Wtsi/Ube2e2+ (more )
Structure Level Pattern Image Note
TS28: cerebellum Present UC Davis_1855216

Specimen UC Davis_1855217: postnatal adult; Ube2e2tm1b(KOMP)Wtsi/Ube2e2+ (more )
Structure Level Pattern Image Note
TS28: trigeminal nerve Present UC Davis_1855217

Specimen UC Davis_1855218: postnatal adult; Ube2e2tm1b(KOMP)Wtsi/Ube2e2+ (more )
Structure Level Pattern Image Note
TS28: uterus Present UC Davis_1855218

Specimen UC Davis_1855219: postnatal adult; Ube2e2tm1b(KOMP)Wtsi/Ube2e2+ (more )
Structure Level Pattern Image Note
TS28: bladder Present UC Davis_1855219

Specimen UC Davis_1855220: postnatal adult; Ube2e2tm1b(KOMP)Wtsi/Ube2e2+ (more )
Structure Level Pattern Image Note
TS28: mammary gland Present UC Davis_1855220

Specimen UC Davis_1855221: postnatal adult; Ube2e2tm1b(KOMP)Wtsi/Ube2e2+ (more )
Structure Level Pattern Image Note
TS28: tongue Present UC Davis_1855221

Specimen UC Davis_1855222: postnatal adult; Ube2e2tm1b(KOMP)Wtsi/Ube2e2+ (more )
Structure Level Pattern Image Note
TS28: olfactory lobe Present UC Davis_1855222

Specimen UC Davis_1855223: postnatal adult; Ube2e2tm1b(KOMP)Wtsi/Ube2e2+ (more )
Structure Level Pattern Image Note
TS28: olfactory lobe Present UC Davis_1855223

Specimen UC Davis_1855224: postnatal adult; Ube2e2tm1b(KOMP)Wtsi/Ube2e2+ (more )
Structure Level Pattern Image Note
TS28: midbrain Present UC Davis_1855224

Specimen UC Davis_1855226: postnatal adult; Ube2e2tm1b(KOMP)Wtsi/Ube2e2+ (more )
Structure Level Pattern Image Note
TS28: cerebellum Present UC Davis_1855226

Specimen UC Davis_1855227: postnatal adult; Ube2e2tm1b(KOMP)Wtsi/Ube2e2+ (more )
Structure Level Pattern Image Note
TS28: brain Present UC Davis_1855227

Specimen UC Davis_1855228: postnatal adult; Ube2e2tm1b(KOMP)Wtsi/Ube2e2+ (more )
Structure Level Pattern Image Note
TS28: aorta Present UC Davis_1855228

Specimen UC Davis_1855229: postnatal adult; Ube2e2tm1b(KOMP)Wtsi/Ube2e2+ (more )
Structure Level Pattern Image Note
TS28: aorta Present UC Davis_1855229

Specimen UC Davis_1855231: postnatal adult; Ube2e2tm1b(KOMP)Wtsi/Ube2e2+ (more )
Structure Level Pattern Image Note
TS28: metanephros Present UC Davis_1855231 kidney

Specimen UC Davis_1855232: postnatal adult; Ube2e2tm1b(KOMP)Wtsi/Ube2e2+ (more )
Structure Level Pattern Image Note
TS28: metanephros Present UC Davis_1855232 kidney

Specimen UC Davis_1855234: postnatal adult; Ube2e2tm1b(KOMP)Wtsi/Ube2e2+ (more )
Structure Level Pattern Image Note
TS28: spinal cord Present UC Davis_1855234

Specimen UC Davis_1855235: postnatal adult; Ube2e2tm1b(KOMP)Wtsi/Ube2e2+ (more )
Structure Level Pattern Image Note
TS28: spinal cord Present UC Davis_1855235

Specimen UC Davis_1855236: postnatal adult; Ube2e2tm1b(KOMP)Wtsi/Ube2e2+ (more )
Structure Level Pattern Image Note
TS28: spinal cord Present UC Davis_1855236

Specimen UC Davis_1855237: postnatal adult; Ube2e2tm1b(KOMP)Wtsi/Ube2e2+ (more )
Structure Level Pattern Image Note
TS28: pituitary gland Present UC Davis_1855237

Specimen UC Davis_1855238: postnatal adult; Ube2e2tm1b(KOMP)Wtsi/Ube2e2+ (more )
Structure Level Pattern Image Note
TS28: Harderian gland Present UC Davis_1855238

Specimen UC Davis_1855239: postnatal adult; Ube2e2tm1b(KOMP)Wtsi/Ube2e2+ (more )
Structure Level Pattern Image Note
TS28: stomach Present UC Davis_1855239

Specimen UC Davis_1855240: postnatal adult; Ube2e2tm1b(KOMP)Wtsi/Ube2e2+ (more )
Structure Level Pattern Image Note
TS28: jejunum Present UC Davis_1855240

Specimen UC Davis_1855241: postnatal adult; Ube2e2tm1b(KOMP)Wtsi/Ube2e2+ (more )
Structure Level Pattern Image Note
TS28: ileum Present UC Davis_1855241

Specimen UC Davis_1855242: postnatal adult; Ube2e2tm1b(KOMP)Wtsi/Ube2e2+ (more )
Structure Level Pattern Image Note
TS28: mesenteric lymph node Present UC Davis_1855242

Specimen UC Davis_1855243: postnatal adult; Ube2e2tm1b(KOMP)Wtsi/Ube2e2+ (more )
Structure Level Pattern Image Note
TS28: mesenteric lymph node Present UC Davis_1855243

Specimen UC Davis_1855244: postnatal adult; Ube2e2tm1b(KOMP)Wtsi/Ube2e2+ (more )
Structure Level Pattern Image Note
TS28: bladder Present UC Davis_1855244

Specimen UC Davis_1855245: postnatal adult; Ube2e2tm1b(KOMP)Wtsi/Ube2e2+ (more )
Structure Level Pattern Image Note
TS28: oviduct Present UC Davis_1855245

Specimen UC Davis_1855246: postnatal adult; Ube2e2tm1b(KOMP)Wtsi/Ube2e2+ (more )
Structure Level Pattern Image Note
TS28: uterus Present UC Davis_1855246

Specimen UC Davis_1855247: postnatal adult; Ube2e2tm1b(KOMP)Wtsi/Ube2e2+ (more )
Structure Level Pattern Image Note
TS28: vagina Present UC Davis_1855247

Specimen UC Davis_1855248: postnatal adult; Ube2e2tm1b(KOMP)Wtsi/Ube2e2+ (more )
Structure Level Pattern Image Note
TS28: parathyroid gland Present UC Davis_1855248

Specimen UC Davis_1855252: postnatal adult; Ube2e2tm1b(KOMP)Wtsi/Ube2e2+ (more )
Structure Level Pattern Image Note
TS28: gallbladder Present UC Davis_1855252

Specimen UC Davis_1855253: postnatal adult; Ube2e2tm1b(KOMP)Wtsi/Ube2e2+ (more )
Structure Level Pattern Image Note
TS28: thoracic segment skeleton Present UC Davis_1855253 chest bone

Specimen UC Davis_1855136: postnatal adult; Ube2e2tm1b(KOMP)Wtsi/Ube2e2+ (more )
Structure Level Pattern Image Note
TS28: parathyroid gland Present UC Davis_1855136

Specimen UC Davis_1855139: postnatal adult; Ube2e2tm1b(KOMP)Wtsi/Ube2e2+ (more )
Structure Level Pattern Image Note
TS28: stomach Present UC Davis_1855139

Specimen UC Davis_1855140: postnatal adult; Ube2e2tm1b(KOMP)Wtsi/Ube2e2+ (more )
Structure Level Pattern Image Note
TS28: stomach Present UC Davis_1855140

Specimen UC Davis_1855141: postnatal adult; Ube2e2tm1b(KOMP)Wtsi/Ube2e2+ (more )
Structure Level Pattern Image Note
TS28: stomach Present UC Davis_1855141

Specimen UC Davis_1855142: postnatal adult; Ube2e2tm1b(KOMP)Wtsi/Ube2e2+ (more )
Structure Level Pattern Image Note
TS28: stomach Present UC Davis_1855142

Specimen UC Davis_1855143: postnatal adult; Ube2e2tm1b(KOMP)Wtsi/Ube2e2+ (more )
Structure Level Pattern Image Note
TS28: colon Present UC Davis_1855143

Specimen UC Davis_1855144: postnatal adult; Ube2e2tm1b(KOMP)Wtsi/Ube2e2+ (more )
Structure Level Pattern Image Note
TS28: colon Present UC Davis_1855144

Specimen UC Davis_1855145: postnatal adult; Ube2e2tm1b(KOMP)Wtsi/Ube2e2+ (more )
Structure Level Pattern Image Note
TS28: cecum Present UC Davis_1855145

Specimen UC Davis_1855146: postnatal adult; Ube2e2tm1b(KOMP)Wtsi/Ube2e2+ (more )
Structure Level Pattern Image Note
TS28: cecum Present UC Davis_1855146

Specimen UC Davis_1855147: postnatal adult; Ube2e2tm1b(KOMP)Wtsi/Ube2e2+ (more )
Structure Level Pattern Image Note
TS28: metanephros Present UC Davis_1855147 kidney

Specimen UC Davis_1855148: postnatal adult; Ube2e2tm1b(KOMP)Wtsi/Ube2e2+ (more )
Structure Level Pattern Image Note
TS28: pituitary gland Present UC Davis_1855148

Specimen UC Davis_1855149: postnatal adult; Ube2e2tm1b(KOMP)Wtsi/Ube2e2+ (more )
Structure Level Pattern Image Note
TS28: spinal cord Present UC Davis_1855149

Specimen UC Davis_1855150: postnatal adult; Ube2e2tm1b(KOMP)Wtsi/Ube2e2+ (more )
Structure Level Pattern Image Note
TS28: spinal cord Present UC Davis_1855150

Specimen UC Davis_1855151: postnatal adult; Ube2e2tm1b(KOMP)Wtsi/Ube2e2+ (more )
Structure Level Pattern Image Note
TS28: spinal cord Present UC Davis_1855151

Specimen UC Davis_1855152: postnatal adult; Ube2e2tm1b(KOMP)Wtsi/Ube2e2+ (more )
Structure Level Pattern Image Note
TS28: eye Present UC Davis_1855152

Specimen UC Davis_1855153: postnatal adult; Ube2e2tm1b(KOMP)Wtsi/Ube2e2+ (more )
Structure Level Pattern Image Note
TS28: eye Present UC Davis_1855153

Specimen UC Davis_1855154: postnatal adult; Ube2e2tm1b(KOMP)Wtsi/Ube2e2+ (more )
Structure Level Pattern Image Note
TS28: eye Present UC Davis_1855154

Specimen UC Davis_1855155: postnatal adult; Ube2e2tm1b(KOMP)Wtsi/Ube2e2+ (more )
Structure Level Pattern Image Note
TS28: eye Present UC Davis_1855155

Specimen UC Davis_1855156: postnatal adult; Ube2e2tm1b(KOMP)Wtsi/Ube2e2+ (more )
Structure Level Pattern Image Note
TS28: eye Present UC Davis_1855156

Specimen UC Davis_1855157: postnatal adult; Ube2e2tm1b(KOMP)Wtsi/Ube2e2+ (more )
Structure Level Pattern Image Note
TS28: eye Present UC Davis_1855157

Specimen UC Davis_1855158: postnatal adult; Ube2e2tm1b(KOMP)Wtsi/Ube2e2+ (more )
Structure Level Pattern Image Note
TS28: Harderian gland Present UC Davis_1855158

Specimen UC Davis_1855159: postnatal adult; Ube2e2tm1b(KOMP)Wtsi/Ube2e2+ (more )
Structure Level Pattern Image Note
TS28: skin Present UC Davis_1855159

Specimen UC Davis_1855160: postnatal adult; Ube2e2tm1b(KOMP)Wtsi/Ube2e2+ (more )
Structure Level Pattern Image Note
TS28: skin Present UC Davis_1855160

Specimen UC Davis_1855163: postnatal adult; Ube2e2tm1b(KOMP)Wtsi/Ube2e2+ (more )
Structure Level Pattern Image Note
TS28: midbrain Present UC Davis_1855163

Specimen UC Davis_1855165: postnatal adult; Ube2e2tm1b(KOMP)Wtsi/Ube2e2+ (more )
Structure Level Pattern Image Note
TS28: cerebellum Present UC Davis_1855165

Specimen UC Davis_1855166: postnatal adult; Ube2e2tm1b(KOMP)Wtsi/Ube2e2+ (more )
Structure Level Pattern Image Note
TS28: trigeminal nerve Present UC Davis_1855166

Specimen UC Davis_1855167: postnatal adult; Ube2e2tm1b(KOMP)Wtsi/Ube2e2+ (more )
Structure Level Pattern Image Note
TS28: trigeminal nerve Present UC Davis_1855167

Specimen UC Davis_1855168: postnatal adult; Ube2e2tm1b(KOMP)Wtsi/Ube2e2+ (more )
Structure Level Pattern Image Note
TS28: bladder Present UC Davis_1855168

Specimen UC Davis_1855169: postnatal adult; Ube2e2tm1b(KOMP)Wtsi/Ube2e2+ (more )
Structure Level Pattern Image Note
TS28: bladder Present UC Davis_1855169

Specimen UC Davis_1855170: postnatal adult; Ube2e2tm1b(KOMP)Wtsi/Ube2e2+ (more )
Structure Level Pattern Image Note
TS28: bladder Present UC Davis_1855170

Specimen UC Davis_1855171: postnatal adult; Ube2e2tm1b(KOMP)Wtsi/Ube2e2+ (more )
Structure Level Pattern Image Note
TS28: testis Present UC Davis_1855171

Specimen UC Davis_1855172: postnatal adult; Ube2e2tm1b(KOMP)Wtsi/Ube2e2+ (more )
Structure Level Pattern Image Note
TS28: testis Present UC Davis_1855172

Specimen UC Davis_1855173: postnatal adult; Ube2e2tm1b(KOMP)Wtsi/Ube2e2+ (more )
Structure Level Pattern Image Note
TS28: testis Present UC Davis_1855173

Specimen UC Davis_1855174: postnatal adult; Ube2e2tm1b(KOMP)Wtsi/Ube2e2+ (more )
Structure Level Pattern Image Note
TS28: epididymis Present UC Davis_1855174

Specimen UC Davis_1855175: postnatal adult; Ube2e2tm1b(KOMP)Wtsi/Ube2e2+ (more )
Structure Level Pattern Image Note
TS28: epididymis Present UC Davis_1855175

Specimen UC Davis_1855176: postnatal adult; Ube2e2tm1b(KOMP)Wtsi/Ube2e2+ (more )
Structure Level Pattern Image Note
TS28: epididymis Present UC Davis_1855176

Specimen UC Davis_1855177: postnatal adult; Ube2e2tm1b(KOMP)Wtsi/Ube2e2+ (more )
Structure Level Pattern Image Note
TS28: epididymis Present UC Davis_1855177

Specimen UC Davis_1855178: postnatal adult; Ube2e2tm1b(KOMP)Wtsi/Ube2e2+ (more )
Structure Level Pattern Image Note
TS28: epididymis Present UC Davis_1855178

Specimen UC Davis_1855179: postnatal adult; Ube2e2tm1b(KOMP)Wtsi/Ube2e2+ (more )
Structure Level Pattern Image Note
TS28: epididymis Present UC Davis_1855179

Specimen UC Davis_1855180: postnatal adult; Ube2e2tm1b(KOMP)Wtsi/Ube2e2+ (more )
Structure Level Pattern Image Note
TS28: prostate gland Present UC Davis_1855180

Specimen UC Davis_1855181: postnatal adult; Ube2e2tm1b(KOMP)Wtsi/Ube2e2+ (more )
Structure Level Pattern Image Note
TS28: penis Present UC Davis_1855181

Specimen UC Davis_1855182: postnatal adult; Ube2e2tm1b(KOMP)Wtsi/Ube2e2+ (more )
Structure Level Pattern Image Note
TS28: penis Present UC Davis_1855182

Specimen UC Davis_1855183: postnatal adult; Ube2e2tm1b(KOMP)Wtsi/Ube2e2+ (more )
Structure Level Pattern Image Note
TS28: ductus deferens Present UC Davis_1855183 vas deferens

Specimen UC Davis_1855184: postnatal adult; Ube2e2tm1b(KOMP)Wtsi/Ube2e2+ (more )
Structure Level Pattern Image Note
TS28: ductus deferens Present UC Davis_1855184 vas deferens

Specimen UC Davis_1855185: postnatal adult; Ube2e2tm1b(KOMP)Wtsi/Ube2e2+ (more )
Structure Level Pattern Image Note
TS28: ductus deferens Present UC Davis_1855185 vas deferens

Specimen UC Davis_1855189: postnatal adult; Ube2e2tm1b(KOMP)Wtsi/Ube2e2+ (more )
Structure Level Pattern Image Note
TS28: seminal vesicle Present UC Davis_1855189 vesicular gland

Specimen UC Davis_1855190: postnatal adult; Ube2e2tm1b(KOMP)Wtsi/Ube2e2+ (more )
Structure Level Pattern Image Note
TS28: seminal vesicle Present UC Davis_1855190 vesicular gland

Specimen UC Davis_1855256: postnatal adult; Ube2e2tm1b(KOMP)Wtsi/Ube2e2+ (more )
Structure Level Pattern Image Note
TS28: testis Present UC Davis_1855256

Specimen UC Davis_1855257: postnatal adult; Ube2e2tm1b(KOMP)Wtsi/Ube2e2+ (more )
Structure Level Pattern Image Note
TS28: prostate gland Present UC Davis_1855257

Specimen UC Davis_1855258: postnatal adult; Ube2e2tm1b(KOMP)Wtsi/Ube2e2+ (more )
Structure Level Pattern Image Note
TS28: prostate gland Present UC Davis_1855258


Contributing Projects:
Mouse Genome Database (MGD), Gene Expression Database (GXD), Mouse Models of Human Cancer database (MMHCdb) (formerly Mouse Tumor Biology (MTB)), Gene Ontology (GO)
Citing These Resources
Funding Information
Warranty Disclaimer, Privacy Notice, Licensing, & Copyright
Send questions and comments to User Support.
last database update
01/28/2026
MGI 6.24
The Jackson Laboratory