About   Help   FAQ
Gene Expression Data
Assay Details
Assay
Reference: J:228563 Koscielny G, et al., The International Mouse Phenotyping Consortium Web Portal, a unified point of access for knockout mice and related phenotyping data. Nucleic Acids Res. 2014 Jan;42(Database issue):D802-9
Assay type: In situ reporter (knock in)
MGI Accession ID: MGI:6692534
Gene symbol: Nepro
Gene name: nucleolus and neural progenitor protein
Reporter: lacZ
Direct Detection
Results
Specimen UC Davis_1869466: postnatal adult; Neprotm1.1(KOMP)Vlcg/Nepro+ (more )
Structure Level Pattern Image Note
TS28: submandibular gland Present UC Davis_1869466

Specimen UC Davis_1869467: postnatal adult; Neprotm1.1(KOMP)Vlcg/Nepro+ (more )
Structure Level Pattern Image Note
TS28: submandibular gland Present UC Davis_1869467

Specimen UC Davis_1869468: postnatal adult; Neprotm1.1(KOMP)Vlcg/Nepro+ (more )
Structure Level Pattern Image Note
TS28: sublingual gland Present UC Davis_1869468

Specimen UC Davis_1869469: postnatal adult; Neprotm1.1(KOMP)Vlcg/Nepro+ (more )
Structure Level Pattern Image Note
TS28: sublingual gland Present UC Davis_1869469

Specimen UC Davis_1869470: postnatal adult; Neprotm1.1(KOMP)Vlcg/Nepro+ (more )
Structure Level Pattern Image Note
TS28: parotid gland Present UC Davis_1869470

Specimen UC Davis_1869471: postnatal adult; Neprotm1.1(KOMP)Vlcg/Nepro+ (more )
Structure Level Pattern Image Note
TS28: trachea Present UC Davis_1869471

Specimen UC Davis_1869472: postnatal adult; Neprotm1.1(KOMP)Vlcg/Nepro+ (more )
Structure Level Pattern Image Note
TS28: trachea Present UC Davis_1869472

Specimen UC Davis_1869473: postnatal adult; Neprotm1.1(KOMP)Vlcg/Nepro+ (more )
Structure Level Pattern Image Note
TS28: esophagus Present UC Davis_1869473

Specimen UC Davis_1869474: postnatal adult; Neprotm1.1(KOMP)Vlcg/Nepro+ (more )
Structure Level Pattern Image Note
TS28: esophagus Present UC Davis_1869474

Specimen UC Davis_1869475: postnatal adult; Neprotm1.1(KOMP)Vlcg/Nepro+ (more )
Structure Level Pattern Image Note
TS28: thyroid gland Present UC Davis_1869475

Specimen UC Davis_1869476: postnatal adult; Neprotm1.1(KOMP)Vlcg/Nepro+ (more )
Structure Level Pattern Image Note
TS28: aorta Present UC Davis_1869476

Specimen UC Davis_1869477: postnatal adult; Neprotm1.1(KOMP)Vlcg/Nepro+ (more )
Structure Level Pattern Image Note
TS28: aorta Present UC Davis_1869477

Specimen UC Davis_1869478: postnatal adult; Neprotm1.1(KOMP)Vlcg/Nepro+ (more )
Structure Level Pattern Image Note
TS28: lung Present UC Davis_1869478

Specimen UC Davis_1869479: postnatal adult; Neprotm1.1(KOMP)Vlcg/Nepro+ (more )
Structure Level Pattern Image Note
TS28: lung Present UC Davis_1869479

Specimen UC Davis_1869480: postnatal adult; Neprotm1.1(KOMP)Vlcg/Nepro+ (more )
Structure Level Pattern Image Note
TS28: lung Present UC Davis_1869480

Specimen UC Davis_1869482: postnatal adult; Neprotm1.1(KOMP)Vlcg/Nepro+ (more )
Structure Level Pattern Image Note
TS28: stomach Present UC Davis_1869482

Specimen UC Davis_1869483: postnatal adult; Neprotm1.1(KOMP)Vlcg/Nepro+ (more )
Structure Level Pattern Image Note
TS28: stomach Present UC Davis_1869483

Specimen UC Davis_1869484: postnatal adult; Neprotm1.1(KOMP)Vlcg/Nepro+ (more )
Structure Level Pattern Image Note
TS28: stomach Present UC Davis_1869484

Specimen UC Davis_1869485: postnatal adult; Neprotm1.1(KOMP)Vlcg/Nepro+ (more )
Structure Level Pattern Image Note
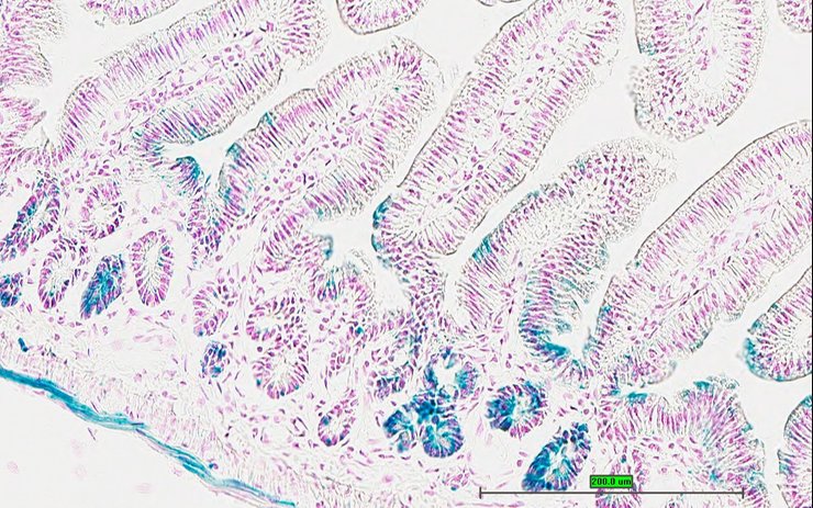
TS28: duodenum Present UC Davis_1869485

Specimen UC Davis_1869486: postnatal adult; Neprotm1.1(KOMP)Vlcg/Nepro+ (more )
Structure Level Pattern Image Note
TS28: duodenum Present UC Davis_1869486

Specimen UC Davis_1869487: postnatal adult; Neprotm1.1(KOMP)Vlcg/Nepro+ (more )
Structure Level Pattern Image Note
TS28: ileum Present UC Davis_1869487

Specimen UC Davis_1869488: postnatal adult; Neprotm1.1(KOMP)Vlcg/Nepro+ (more )
Structure Level Pattern Image Note
TS28: ileum Present UC Davis_1869488

Specimen UC Davis_1869489: postnatal adult; Neprotm1.1(KOMP)Vlcg/Nepro+ (more )
Structure Level Pattern Image Note
TS28: colon Present UC Davis_1869489

Specimen UC Davis_1869490: postnatal adult; Neprotm1.1(KOMP)Vlcg/Nepro+ (more )
Structure Level Pattern Image Note
TS28: spleen Present UC Davis_1869490

Specimen UC Davis_1869491: postnatal adult; Neprotm1.1(KOMP)Vlcg/Nepro+ (more )
Structure Level Pattern Image Note
TS28: spleen Present UC Davis_1869491

Specimen UC Davis_1869492: postnatal adult; Neprotm1.1(KOMP)Vlcg/Nepro+ (more )
Structure Level Pattern Image Note
TS28: spleen Present UC Davis_1869492

Specimen UC Davis_1869493: postnatal adult; Neprotm1.1(KOMP)Vlcg/Nepro+ (more )
Structure Level Pattern Image Note
TS28: pancreas Present UC Davis_1869493

Specimen UC Davis_1869494: postnatal adult; Neprotm1.1(KOMP)Vlcg/Nepro+ (more )
Structure Level Pattern Image Note
TS28: pancreas Present UC Davis_1869494

Specimen UC Davis_1869495: postnatal adult; Neprotm1.1(KOMP)Vlcg/Nepro+ (more )
Structure Level Pattern Image Note
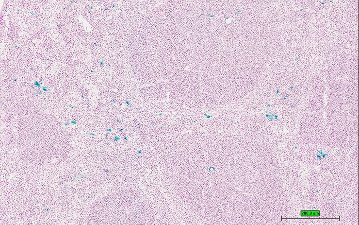
TS28: liver Present UC Davis_1869495

Specimen UC Davis_1869496: postnatal adult; Neprotm1.1(KOMP)Vlcg/Nepro+ (more )
Structure Level Pattern Image Note
TS28: liver Present UC Davis_1869496

Specimen UC Davis_1869497: postnatal adult; Neprotm1.1(KOMP)Vlcg/Nepro+ (more )
Structure Level Pattern Image Note
TS28: liver Present UC Davis_1869497

Specimen UC Davis_1869498: postnatal adult; Neprotm1.1(KOMP)Vlcg/Nepro+ (more )
Structure Level Pattern Image Note
TS28: liver Present UC Davis_1869498

Specimen UC Davis_1869499: postnatal adult; Neprotm1.1(KOMP)Vlcg/Nepro+ (more )
Structure Level Pattern Image Note
TS28: metanephros Present UC Davis_1869499 kidney

Specimen UC Davis_1869500: postnatal adult; Neprotm1.1(KOMP)Vlcg/Nepro+ (more )
Structure Level Pattern Image Note
TS28: metanephros Present UC Davis_1869500 kidney

Specimen UC Davis_1869501: postnatal adult; Neprotm1.1(KOMP)Vlcg/Nepro+ (more )
Structure Level Pattern Image Note
TS28: metanephros Present UC Davis_1869501 kidney

Specimen UC Davis_1869502: postnatal adult; Neprotm1.1(KOMP)Vlcg/Nepro+ (more )
Structure Level Pattern Image Note
TS28: metanephros Present UC Davis_1869502 kidney

Specimen UC Davis_1869503: postnatal adult; Neprotm1.1(KOMP)Vlcg/Nepro+ (more )
Structure Level Pattern Image Note
TS28: metanephros Present UC Davis_1869503 kidney

Specimen UC Davis_1869504: postnatal adult; Neprotm1.1(KOMP)Vlcg/Nepro+ (more )
Structure Level Pattern Image Note
TS28: quadriceps femoris muscle Present UC Davis_1869504

Specimen UC Davis_1869505: postnatal adult; Neprotm1.1(KOMP)Vlcg/Nepro+ (more )
Structure Level Pattern Image Note
TS28: tongue Present UC Davis_1869505

Specimen UC Davis_1869506: postnatal adult; Neprotm1.1(KOMP)Vlcg/Nepro+ (more )
Structure Level Pattern Image Note
TS28: tongue Present UC Davis_1869506

Specimen UC Davis_1869507: postnatal adult; Neprotm1.1(KOMP)Vlcg/Nepro+ (more )
Structure Level Pattern Image Note
TS28: tongue Present UC Davis_1869507

Specimen UC Davis_1869508: postnatal adult; Neprotm1.1(KOMP)Vlcg/Nepro+ (more )
Structure Level Pattern Image Note
TS28: diaphragm Present UC Davis_1869508

Specimen UC Davis_1869509: postnatal adult; Neprotm1.1(KOMP)Vlcg/Nepro+ (more )
Structure Level Pattern Image Note
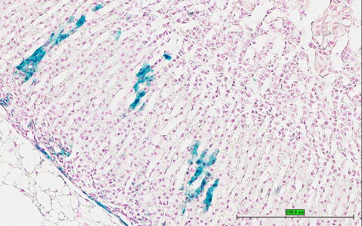
TS28: adrenal gland Present UC Davis_1869509

Specimen UC Davis_1869510: postnatal adult; Neprotm1.1(KOMP)Vlcg/Nepro+ (more )
Structure Level Pattern Image Note
TS28: adrenal gland Present UC Davis_1869510

Specimen UC Davis_1869511: postnatal adult; Neprotm1.1(KOMP)Vlcg/Nepro+ (more )
Structure Level Pattern Image Note
TS28: adrenal gland Present UC Davis_1869511

Specimen UC Davis_1869512: postnatal adult; Neprotm1.1(KOMP)Vlcg/Nepro+ (more )
Structure Level Pattern Image Note
TS28: pituitary gland Present UC Davis_1869512

Specimen UC Davis_1869513: postnatal adult; Neprotm1.1(KOMP)Vlcg/Nepro+ (more )
Structure Level Pattern Image Note
TS28: spinal cord Present UC Davis_1869513

Specimen UC Davis_1869514: postnatal adult; Neprotm1.1(KOMP)Vlcg/Nepro+ (more )
Structure Level Pattern Image Note
TS28: spinal cord Present UC Davis_1869514

Specimen UC Davis_1869515: postnatal adult; Neprotm1.1(KOMP)Vlcg/Nepro+ (more )
Structure Level Pattern Image Note
TS28: Harderian gland Present UC Davis_1869515

Specimen UC Davis_1869516: postnatal adult; Neprotm1.1(KOMP)Vlcg/Nepro+ (more )
Structure Level Pattern Image Note
TS28: Harderian gland Present UC Davis_1869516

Specimen UC Davis_1869517: postnatal adult; Neprotm1.1(KOMP)Vlcg/Nepro+ (more )
Structure Level Pattern Image Note
TS28: gonadal fat pad Present UC Davis_1869517

Specimen UC Davis_1869518: postnatal adult; Neprotm1.1(KOMP)Vlcg/Nepro+ (more )
Structure Level Pattern Image Note
TS28: mesenteric adipose tissue Present UC Davis_1869518

Specimen UC Davis_1869519: postnatal adult; Neprotm1.1(KOMP)Vlcg/Nepro+ (more )
Structure Level Pattern Image Note
TS28: mesenteric adipose tissue Present UC Davis_1869519

Specimen UC Davis_1869520: postnatal adult; Neprotm1.1(KOMP)Vlcg/Nepro+ (more )
Structure Level Pattern Image Note
TS28: skin Present UC Davis_1869520

Specimen UC Davis_1869521: postnatal adult; Neprotm1.1(KOMP)Vlcg/Nepro+ (more )
Structure Level Pattern Image Note
TS28: skin Present UC Davis_1869521

Specimen UC Davis_1869522: postnatal adult; Neprotm1.1(KOMP)Vlcg/Nepro+ (more )
Structure Level Pattern Image Note
TS28: skin Present UC Davis_1869522

Specimen UC Davis_1869523: postnatal adult; Neprotm1.1(KOMP)Vlcg/Nepro+ (more )
Structure Level Pattern Image Note
TS28: brown fat Present UC Davis_1869523

Specimen UC Davis_1869524: postnatal adult; Neprotm1.1(KOMP)Vlcg/Nepro+ (more )
Structure Level Pattern Image Note
TS28: brown fat Present UC Davis_1869524

Specimen UC Davis_1869527: postnatal adult; Neprotm1.1(KOMP)Vlcg/Nepro+ (more )
Structure Level Pattern Image Note
TS28: midbrain Present UC Davis_1869527

Specimen UC Davis_1869529: postnatal adult; Neprotm1.1(KOMP)Vlcg/Nepro+ (more )
Structure Level Pattern Image Note
TS28: cerebellum Present UC Davis_1869529

Specimen UC Davis_1869530: postnatal adult; Neprotm1.1(KOMP)Vlcg/Nepro+ (more )
Structure Level Pattern Image Note
TS28: trigeminal nerve Present UC Davis_1869530

Specimen UC Davis_1869531: postnatal adult; Neprotm1.1(KOMP)Vlcg/Nepro+ (more )
Structure Level Pattern Image Note
TS28: ovary Present UC Davis_1869531

Specimen UC Davis_1869532: postnatal adult; Neprotm1.1(KOMP)Vlcg/Nepro+ (more )
Structure Level Pattern Image Note
TS28: oviduct Present UC Davis_1869532

Specimen UC Davis_1869533: postnatal adult; Neprotm1.1(KOMP)Vlcg/Nepro+ (more )
Structure Level Pattern Image Note
TS28: uterus Present UC Davis_1869533

Specimen UC Davis_1869534: postnatal adult; Neprotm1.1(KOMP)Vlcg/Nepro+ (more )
Structure Level Pattern Image Note
TS28: uterus Present UC Davis_1869534

Specimen UC Davis_1869535: postnatal adult; Neprotm1.1(KOMP)Vlcg/Nepro+ (more )
Structure Level Pattern Image Note
TS28: bladder Present UC Davis_1869535

Specimen UC Davis_1869536: postnatal adult; Neprotm1.1(KOMP)Vlcg/Nepro+ (more )
Structure Level Pattern Image Note
TS28: bladder Present UC Davis_1869536

Specimen UC Davis_1869537: postnatal adult; Neprotm1.1(KOMP)Vlcg/Nepro+ (more )
Structure Level Pattern Image Note
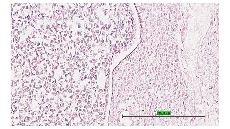
TS28: bone marrow Present UC Davis_1869537

Specimen UC Davis_1869538: postnatal adult; Neprotm1.1(KOMP)Vlcg/Nepro+ (more )
Structure Level Pattern Image Note
TS28: mammary gland Present UC Davis_1869538

Specimen UC Davis_1869388: postnatal adult; Neprotm1.1(KOMP)Vlcg/Nepro+ (more )
Structure Level Pattern Image Note
TS28: submandibular gland Present UC Davis_1869388

Specimen UC Davis_1869389: postnatal adult; Neprotm1.1(KOMP)Vlcg/Nepro+ (more )
Structure Level Pattern Image Note
TS28: submandibular gland Present UC Davis_1869389

Specimen UC Davis_1869390: postnatal adult; Neprotm1.1(KOMP)Vlcg/Nepro+ (more )
Structure Level Pattern Image Note
TS28: sublingual gland Present UC Davis_1869390

Specimen UC Davis_1869391: postnatal adult; Neprotm1.1(KOMP)Vlcg/Nepro+ (more )
Structure Level Pattern Image Note
TS28: sublingual gland Present UC Davis_1869391

Specimen UC Davis_1869392: postnatal adult; Neprotm1.1(KOMP)Vlcg/Nepro+ (more )
Structure Level Pattern Image Note
TS28: trachea Present UC Davis_1869392

Specimen UC Davis_1869393: postnatal adult; Neprotm1.1(KOMP)Vlcg/Nepro+ (more )
Structure Level Pattern Image Note
TS28: trachea Present UC Davis_1869393

Specimen UC Davis_1869396: postnatal adult; Neprotm1.1(KOMP)Vlcg/Nepro+ (more )
Structure Level Pattern Image Note
TS28: lung Present UC Davis_1869396

Specimen UC Davis_1869397: postnatal adult; Neprotm1.1(KOMP)Vlcg/Nepro+ (more )
Structure Level Pattern Image Note
TS28: lung Present UC Davis_1869397

Specimen UC Davis_1869398: postnatal adult; Neprotm1.1(KOMP)Vlcg/Nepro+ (more )
Structure Level Pattern Image Note
TS28: stomach Present UC Davis_1869398

Specimen UC Davis_1869399: postnatal adult; Neprotm1.1(KOMP)Vlcg/Nepro+ (more )
Structure Level Pattern Image Note
TS28: stomach Present UC Davis_1869399

Specimen UC Davis_1869400: postnatal adult; Neprotm1.1(KOMP)Vlcg/Nepro+ (more )
Structure Level Pattern Image Note
TS28: stomach Present UC Davis_1869400

Specimen UC Davis_1869401: postnatal adult; Neprotm1.1(KOMP)Vlcg/Nepro+ (more )
Structure Level Pattern Image Note
TS28: stomach Present UC Davis_1869401

Specimen UC Davis_1869402: postnatal adult; Neprotm1.1(KOMP)Vlcg/Nepro+ (more )
Structure Level Pattern Image Note
TS28: stomach Present UC Davis_1869402

Specimen UC Davis_1869403: postnatal adult; Neprotm1.1(KOMP)Vlcg/Nepro+ (more )
Structure Level Pattern Image Note
TS28: duodenum Present UC Davis_1869403

Specimen UC Davis_1869404: postnatal adult; Neprotm1.1(KOMP)Vlcg/Nepro+ (more )
Structure Level Pattern Image Note
TS28: duodenum Present UC Davis_1869404

Specimen UC Davis_1869405: postnatal adult; Neprotm1.1(KOMP)Vlcg/Nepro+ (more )
Structure Level Pattern Image Note
TS28: ileum Present UC Davis_1869405

Specimen UC Davis_1869406: postnatal adult; Neprotm1.1(KOMP)Vlcg/Nepro+ (more )
Structure Level Pattern Image Note
TS28: ileum Present UC Davis_1869406

Specimen UC Davis_1869407: postnatal adult; Neprotm1.1(KOMP)Vlcg/Nepro+ (more )
Structure Level Pattern Image Note
TS28: ileum Present UC Davis_1869407

Specimen UC Davis_1869408: postnatal adult; Neprotm1.1(KOMP)Vlcg/Nepro+ (more )
Structure Level Pattern Image Note
TS28: colon Present UC Davis_1869408

Specimen UC Davis_1869409: postnatal adult; Neprotm1.1(KOMP)Vlcg/Nepro+ (more )
Structure Level Pattern Image Note
TS28: colon Present UC Davis_1869409

Specimen UC Davis_1869410: postnatal adult; Neprotm1.1(KOMP)Vlcg/Nepro+ (more )
Structure Level Pattern Image Note
TS28: colon Present UC Davis_1869410

Specimen UC Davis_1869411: postnatal adult; Neprotm1.1(KOMP)Vlcg/Nepro+ (more )
Structure Level Pattern Image Note
TS28: cecum Present UC Davis_1869411

Specimen UC Davis_1869412: postnatal adult; Neprotm1.1(KOMP)Vlcg/Nepro+ (more )
Structure Level Pattern Image Note
TS28: cecum Present UC Davis_1869412

Specimen UC Davis_1869413: postnatal adult; Neprotm1.1(KOMP)Vlcg/Nepro+ (more )
Structure Level Pattern Image Note
TS28: spleen Present UC Davis_1869413

Specimen UC Davis_1869414: postnatal adult; Neprotm1.1(KOMP)Vlcg/Nepro+ (more )
Structure Level Pattern Image Note
TS28: spleen Present UC Davis_1869414

Specimen UC Davis_1869415: postnatal adult; Neprotm1.1(KOMP)Vlcg/Nepro+ (more )
Structure Level Pattern Image Note
TS28: spleen Present UC Davis_1869415

Specimen UC Davis_1869416: postnatal adult; Neprotm1.1(KOMP)Vlcg/Nepro+ (more )
Structure Level Pattern Image Note
TS28: pancreas Present UC Davis_1869416

Specimen UC Davis_1869417: postnatal adult; Neprotm1.1(KOMP)Vlcg/Nepro+ (more )
Structure Level Pattern Image Note
TS28: pancreas Present UC Davis_1869417

Specimen UC Davis_1869418: postnatal adult; Neprotm1.1(KOMP)Vlcg/Nepro+ (more )
Structure Level Pattern Image Note
TS28: metanephros Present UC Davis_1869418 kidney

Specimen UC Davis_1869419: postnatal adult; Neprotm1.1(KOMP)Vlcg/Nepro+ (more )
Structure Level Pattern Image Note
TS28: metanephros Present UC Davis_1869419 kidney

Specimen UC Davis_1869420: postnatal adult; Neprotm1.1(KOMP)Vlcg/Nepro+ (more )
Structure Level Pattern Image Note
TS28: metanephros Present UC Davis_1869420 kidney

Specimen UC Davis_1869421: postnatal adult; Neprotm1.1(KOMP)Vlcg/Nepro+ (more )
Structure Level Pattern Image Note
TS28: metanephros Present UC Davis_1869421 kidney

Specimen UC Davis_1869422: postnatal adult; Neprotm1.1(KOMP)Vlcg/Nepro+ (more )
Structure Level Pattern Image Note
TS28: tongue Present UC Davis_1869422

Specimen UC Davis_1869423: postnatal adult; Neprotm1.1(KOMP)Vlcg/Nepro+ (more )
Structure Level Pattern Image Note
TS28: tongue Present UC Davis_1869423

Specimen UC Davis_1869424: postnatal adult; Neprotm1.1(KOMP)Vlcg/Nepro+ (more )
Structure Level Pattern Image Note
TS28: tongue Present UC Davis_1869424

Specimen UC Davis_1869425: postnatal adult; Neprotm1.1(KOMP)Vlcg/Nepro+ (more )
Structure Level Pattern Image Note
TS28: adrenal gland Present UC Davis_1869425

Specimen UC Davis_1869426: postnatal adult; Neprotm1.1(KOMP)Vlcg/Nepro+ (more )
Structure Level Pattern Image Note
TS28: pituitary gland Present UC Davis_1869426

Specimen UC Davis_1869427: postnatal adult; Neprotm1.1(KOMP)Vlcg/Nepro+ (more )
Structure Level Pattern Image Note
TS28: pituitary gland Present UC Davis_1869427

Specimen UC Davis_1869428: postnatal adult; Neprotm1.1(KOMP)Vlcg/Nepro+ (more )
Structure Level Pattern Image Note
TS28: spinal cord Present UC Davis_1869428

Specimen UC Davis_1869429: postnatal adult; Neprotm1.1(KOMP)Vlcg/Nepro+ (more )
Structure Level Pattern Image Note
TS28: spinal cord Present UC Davis_1869429

Specimen UC Davis_1869430: postnatal adult; Neprotm1.1(KOMP)Vlcg/Nepro+ (more )
Structure Level Pattern Image Note
TS28: Harderian gland Present UC Davis_1869430

Specimen UC Davis_1869431: postnatal adult; Neprotm1.1(KOMP)Vlcg/Nepro+ (more )
Structure Level Pattern Image Note
TS28: Harderian gland Present UC Davis_1869431

Specimen UC Davis_1869432: postnatal adult; Neprotm1.1(KOMP)Vlcg/Nepro+ (more )
Structure Level Pattern Image Note
TS28: skin Present UC Davis_1869432

Specimen UC Davis_1869433: postnatal adult; Neprotm1.1(KOMP)Vlcg/Nepro+ (more )
Structure Level Pattern Image Note
TS28: skin Present UC Davis_1869433

Specimen UC Davis_1869434: postnatal adult; Neprotm1.1(KOMP)Vlcg/Nepro+ (more )
Structure Level Pattern Image Note
TS28: skin Present UC Davis_1869434

Specimen UC Davis_1869435: postnatal adult; Neprotm1.1(KOMP)Vlcg/Nepro+ (more )
Structure Level Pattern Image Note
TS28: skin Present UC Davis_1869435

Specimen UC Davis_1869436: postnatal adult; Neprotm1.1(KOMP)Vlcg/Nepro+ (more )
Structure Level Pattern Image Note
TS28: brown fat Present UC Davis_1869436

Specimen UC Davis_1869437: postnatal adult; Neprotm1.1(KOMP)Vlcg/Nepro+ (more )
Structure Level Pattern Image Note
TS28: brown fat Present UC Davis_1869437

Specimen UC Davis_1869438: postnatal adult; Neprotm1.1(KOMP)Vlcg/Nepro+ (more )
Structure Level Pattern Image Note
TS28: olfactory lobe Present UC Davis_1869438

Specimen UC Davis_1869440: postnatal adult; Neprotm1.1(KOMP)Vlcg/Nepro+ (more )
Structure Level Pattern Image Note
TS28: midbrain Present UC Davis_1869440

Specimen UC Davis_1869442: postnatal adult; Neprotm1.1(KOMP)Vlcg/Nepro+ (more )
Structure Level Pattern Image Note
TS28: cerebellum Present UC Davis_1869442

Specimen UC Davis_1869443: postnatal adult; Neprotm1.1(KOMP)Vlcg/Nepro+ (more )
Structure Level Pattern Image Note
TS28: trigeminal nerve Present UC Davis_1869443

Specimen UC Davis_1869444: postnatal adult; Neprotm1.1(KOMP)Vlcg/Nepro+ (more )
Structure Level Pattern Image Note
TS28: bladder Present UC Davis_1869444

Specimen UC Davis_1869445: postnatal adult; Neprotm1.1(KOMP)Vlcg/Nepro+ (more )
Structure Level Pattern Image Note
TS28: bladder Present UC Davis_1869445

Specimen UC Davis_1869446: postnatal adult; Neprotm1.1(KOMP)Vlcg/Nepro+ (more )
Structure Level Pattern Image Note
TS28: bladder Present UC Davis_1869446

Specimen UC Davis_1869447: postnatal adult; Neprotm1.1(KOMP)Vlcg/Nepro+ (more )
Structure Level Pattern Image Note
TS28: testis Present UC Davis_1869447

Specimen UC Davis_1869448: postnatal adult; Neprotm1.1(KOMP)Vlcg/Nepro+ (more )
Structure Level Pattern Image Note
TS28: testis Present UC Davis_1869448

Specimen UC Davis_1869449: postnatal adult; Neprotm1.1(KOMP)Vlcg/Nepro+ (more )
Structure Level Pattern Image Note
TS28: epididymis Present UC Davis_1869449

Specimen UC Davis_1869450: postnatal adult; Neprotm1.1(KOMP)Vlcg/Nepro+ (more )
Structure Level Pattern Image Note
TS28: epididymis Present UC Davis_1869450

Specimen UC Davis_1869451: postnatal adult; Neprotm1.1(KOMP)Vlcg/Nepro+ (more )
Structure Level Pattern Image Note
TS28: epididymis Present UC Davis_1869451

Specimen UC Davis_1869452: postnatal adult; Neprotm1.1(KOMP)Vlcg/Nepro+ (more )
Structure Level Pattern Image Note
TS28: prostate gland Present UC Davis_1869452

Specimen UC Davis_1869453: postnatal adult; Neprotm1.1(KOMP)Vlcg/Nepro+ (more )
Structure Level Pattern Image Note
TS28: prostate gland Present UC Davis_1869453

Specimen UC Davis_1869454: postnatal adult; Neprotm1.1(KOMP)Vlcg/Nepro+ (more )
Structure Level Pattern Image Note
TS28: penis Present UC Davis_1869454

Specimen UC Davis_1869455: postnatal adult; Neprotm1.1(KOMP)Vlcg/Nepro+ (more )
Structure Level Pattern Image Note
TS28: penis Present UC Davis_1869455

Specimen UC Davis_1869456: postnatal adult; Neprotm1.1(KOMP)Vlcg/Nepro+ (more )
Structure Level Pattern Image Note
TS28: penis Present UC Davis_1869456

Specimen UC Davis_1869457: postnatal adult; Neprotm1.1(KOMP)Vlcg/Nepro+ (more )
Structure Level Pattern Image Note
TS28: bone marrow Present UC Davis_1869457

Specimen UC Davis_1869458: postnatal adult; Neprotm1.1(KOMP)Vlcg/Nepro+ (more )
Structure Level Pattern Image Note
TS28: bone marrow Present UC Davis_1869458

Specimen UC Davis_1869459: postnatal adult; Neprotm1.1(KOMP)Vlcg/Nepro+ (more )
Structure Level Pattern Image Note
TS28: ductus deferens Present UC Davis_1869459 vas deferens

Specimen UC Davis_1869460: postnatal adult; Neprotm1.1(KOMP)Vlcg/Nepro+ (more )
Structure Level Pattern Image Note
TS28: ductus deferens Present UC Davis_1869460 vas deferens

Specimen UC Davis_1869465: postnatal adult; Neprotm1.1(KOMP)Vlcg/Nepro+ (more )
Structure Level Pattern Image Note
TS28: seminal vesicle Present UC Davis_1869465 vesicular gland


Contributing Projects:
Mouse Genome Database (MGD), Gene Expression Database (GXD), Mouse Models of Human Cancer database (MMHCdb) (formerly Mouse Tumor Biology (MTB)), Gene Ontology (GO)
Citing These Resources
Funding Information
Warranty Disclaimer, Privacy Notice, Licensing, & Copyright
Send questions and comments to User Support.
last database update
03/24/2026
MGI 6.24
The Jackson Laboratory