About   Help   FAQ
Gene Expression Data
Assay Details
Assay
Reference: J:228563 Koscielny G, et al., The International Mouse Phenotyping Consortium Web Portal, a unified point of access for knockout mice and related phenotyping data. Nucleic Acids Res. 2014 Jan;42(Database issue):D802-9
Assay type: In situ reporter (knock in)
MGI Accession ID: MGI:6692503
Gene symbol: Dnajc28
Gene name: DnaJ heat shock protein family (Hsp40) member C28
Reporter: lacZ
Direct Detection
Results
Specimen JAX_1329811: embryonic day 12.5; Dnajc28tm1.1(KOMP)Vlcg/Dnajc28+ (more )
Structure Level Pattern Image Note
TS20: embryo Absent JAX_1329811

Specimen JAX_1329812: embryonic day 12.5; Dnajc28tm1.1(KOMP)Vlcg/Dnajc28+ (more )
Structure Level Pattern Image Note
TS20: embryo Absent JAX_1329812

Specimen JAX_1329813: embryonic day 12.5; Dnajc28tm1.1(KOMP)Vlcg/Dnajc28+ (more )
Structure Level Pattern Image Note
TS20: embryo Absent JAX_1329813

Specimen JAX_1329814: embryonic day 12.5; Dnajc28tm1.1(KOMP)Vlcg/Dnajc28+ (more )
Structure Level Pattern Image Note
TS20: embryo Absent JAX_1329814

Specimen JAX_1329815: embryonic day 12.5; Dnajc28tm1.1(KOMP)Vlcg/Dnajc28+ (more )
Structure Level Pattern Image Note
TS20: embryo Present JAX_1329815

Specimen JAX_1329816: embryonic day 12.5; Dnajc28tm1.1(KOMP)Vlcg/Dnajc28+ (more )
Structure Level Pattern Image Note
TS20: embryo Present JAX_1329816

Specimen JAX_1329817: embryonic day 12.5; Dnajc28tm1.1(KOMP)Vlcg/Dnajc28+ (more )
Structure Level Pattern Image Note
TS20: embryo Present JAX_1329817

Specimen JAX_1329818: embryonic day 12.5; Dnajc28tm1.1(KOMP)Vlcg/Dnajc28+ (more )
Structure Level Pattern Image Note
TS20: embryo Present JAX_1329818

Specimen JAX_1797897: postnatal adult; Dnajc28tm1.1(KOMP)Vlcg/Dnajc28+ (more )
Structure Level Pattern Image Note
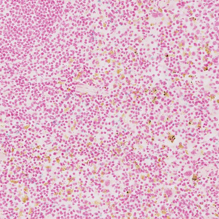
TS28: spleen Present JAX_1797897

Specimen JAX_1797898: postnatal adult; Dnajc28tm1.1(KOMP)Vlcg/Dnajc28+ (more )
Structure Level Pattern Image Note
TS28: pancreas Present JAX_1797898

Specimen JAX_1797899: postnatal adult; Dnajc28tm1.1(KOMP)Vlcg/Dnajc28+ (more )
Structure Level Pattern Image Note
TS28: lung Present JAX_1797899

Specimen JAX_1797900: postnatal adult; Dnajc28tm1.1(KOMP)Vlcg/Dnajc28+ (more )
Structure Level Pattern Image Note
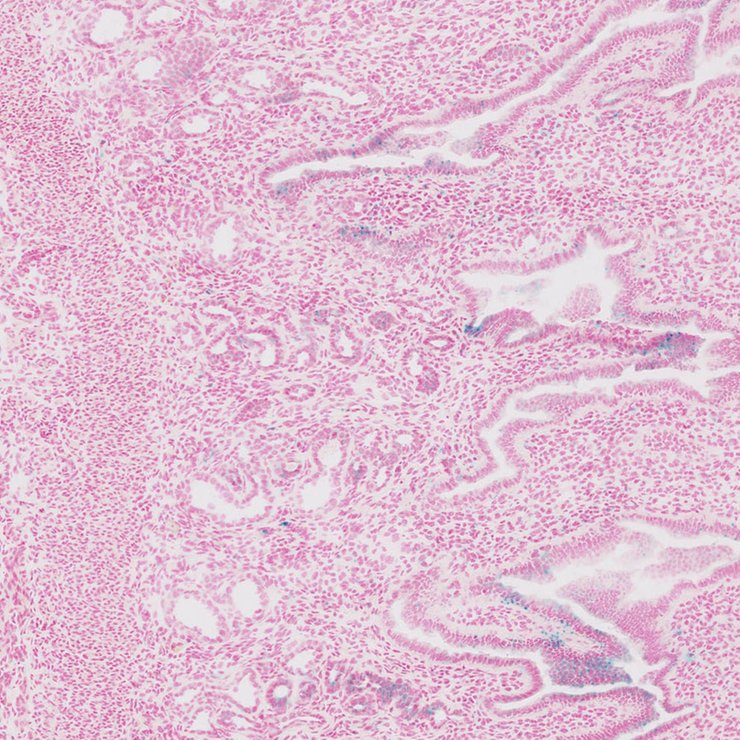
TS28: esophagus Present JAX_1797900

Specimen JAX_1797901: postnatal adult; Dnajc28tm1.1(KOMP)Vlcg/Dnajc28+ (more )
Structure Level Pattern Image Note
TS28: uterus Present JAX_1797901

Specimen JAX_1797902: postnatal adult; Dnajc28tm1.1(KOMP)Vlcg/Dnajc28+ (more )
Structure Level Pattern Image Note
TS28: thymus Present JAX_1797902

Specimen JAX_1797903: postnatal adult; Dnajc28tm1.1(KOMP)Vlcg/Dnajc28+ (more )
Structure Level Pattern Image Note
TS28: oviduct Present JAX_1797903

Specimen JAX_1797904: postnatal adult; Dnajc28tm1.1(KOMP)Vlcg/Dnajc28+ (more )
Structure Level Pattern Image Note
TS28: ovary Present JAX_1797904

Specimen JAX_1797905: postnatal adult; Dnajc28tm1.1(KOMP)Vlcg/Dnajc28+ (more )
Structure Level Pattern Image Note
TS28: liver Present JAX_1797905

Specimen JAX_1797906: postnatal adult; Dnajc28tm1.1(KOMP)Vlcg/Dnajc28+ (more )
Structure Level Pattern Image Note
TS28: metanephros Present JAX_1797906 kidney

Specimen JAX_1797907: postnatal adult; Dnajc28tm1.1(KOMP)Vlcg/Dnajc28+ (more )
Structure Level Pattern Image Note
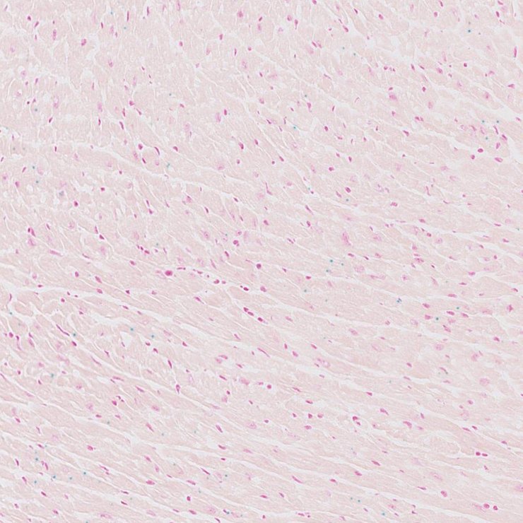
TS28: heart Present JAX_1797907

Specimen JAX_1797908: postnatal adult; Dnajc28tm1.1(KOMP)Vlcg/Dnajc28+ (more )
Structure Level Pattern Image Note
TS28: thalamus Present JAX_1797908

Specimen JAX_1797909: postnatal adult; Dnajc28tm1.1(KOMP)Vlcg/Dnajc28+ (more )
Structure Level Pattern Image Note
TS28: midbrain Present JAX_1797909

Specimen JAX_1797910: postnatal adult; Dnajc28tm1.1(KOMP)Vlcg/Dnajc28+ (more )
Structure Level Pattern Image Note
TS28: epididymis Present JAX_1797910

Specimen JAX_1797911: postnatal adult; Dnajc28tm1.1(KOMP)Vlcg/Dnajc28+ (more )
Structure Level Pattern Image Note
TS28: submandibular gland Present JAX_1797911

Specimen JAX_1797912: postnatal adult; Dnajc28tm1.1(KOMP)Vlcg/Dnajc28+ (more )
Structure Level Pattern Image Note
TS28: corpus striatum Present JAX_1797912

Specimen JAX_1797913: postnatal adult; Dnajc28tm1.1(KOMP)Vlcg/Dnajc28+ (more )
Structure Level Pattern Image Note
TS28: olfactory lobe Present JAX_1797913

Specimen JAX_1797914: postnatal adult; Dnajc28tm1.1(KOMP)Vlcg/Dnajc28+ (more )
Structure Level Pattern Image Note
TS28: hypothalamus Present JAX_1797914

Specimen JAX_1797915: postnatal adult; Dnajc28tm1.1(KOMP)Vlcg/Dnajc28+ (more )
Structure Level Pattern Image Note
TS28: hippocampus Present JAX_1797915

Specimen JAX_1797916: postnatal adult; Dnajc28tm1.1(KOMP)Vlcg/Dnajc28+ (more )
Structure Level Pattern Image Note
TS28: cerebellum Present JAX_1797916

Specimen JAX_1797917: postnatal adult; Dnajc28tm1.1(KOMP)Vlcg/Dnajc28+ (more )
Structure Level Pattern Image Note
TS28: cerebral cortex Present JAX_1797917

Specimen JAX_1797918: postnatal adult; Dnajc28tm1.1(KOMP)Vlcg/Dnajc28+ (more )
Structure Level Pattern Image Note
TS28: brainstem Present JAX_1797918

Specimen JAX_1797919: postnatal adult; Dnajc28tm1.1(KOMP)Vlcg/Dnajc28+ (more )
Structure Level Pattern Image Note
TS28: small intestine Present JAX_1797919

Specimen JAX_1797920: postnatal adult; Dnajc28tm1.1(KOMP)Vlcg/Dnajc28+ (more )
Structure Level Pattern Image Note
TS28: skeletal muscle tissue Present JAX_1797920

Specimen JAX_1797921: postnatal adult; Dnajc28tm1.1(KOMP)Vlcg/Dnajc28+ (more )
Structure Level Pattern Image Note
TS28: pituitary gland Present JAX_1797921

Specimen JAX_1797922: postnatal adult; Dnajc28tm1.1(KOMP)Vlcg/Dnajc28+ (more )
Structure Level Pattern Image Note
TS28: spinal cord Present JAX_1797922

Specimen JAX_1797923: postnatal adult; Dnajc28tm1.1(KOMP)Vlcg/Dnajc28+ (more )
Structure Level Pattern Image Note
TS28: trachea Present JAX_1797923

Specimen JAX_1797924: postnatal adult; Dnajc28tm1.1(KOMP)Vlcg/Dnajc28+ (more )
Structure Level Pattern Image Note
TS28: testis Present JAX_1797924

Specimen JAX_1797925: postnatal adult; Dnajc28tm1.1(KOMP)Vlcg/Dnajc28+ (more )
Structure Level Pattern Image Note
TS28: stomach Present JAX_1797925

Specimen JAX_1797926: postnatal adult; Dnajc28tm1.1(KOMP)Vlcg/Dnajc28+ (more )
Structure Level Pattern Image Note
TS28: eye Present JAX_1797926

Specimen JAX_1797927: postnatal adult; Dnajc28tm1.1(KOMP)Vlcg/Dnajc28+ (more )
Structure Level Pattern Image Note
TS28: brain Present JAX_1797927

Specimen JAX_1797928: postnatal adult; Dnajc28tm1.1(KOMP)Vlcg/Dnajc28+ (more )
Structure Level Pattern Image Note
TS28: adrenal gland Present JAX_1797928


Contributing Projects:
Mouse Genome Database (MGD), Gene Expression Database (GXD), Mouse Models of Human Cancer database (MMHCdb) (formerly Mouse Tumor Biology (MTB)), Gene Ontology (GO)
Citing These Resources
Funding Information
Warranty Disclaimer, Privacy Notice, Licensing, & Copyright
Send questions and comments to User Support.
last database update
03/24/2026
MGI 6.24
The Jackson Laboratory