About   Help   FAQ
Gene Expression Data
Assay Details
Assay
Reference: J:228563 Koscielny G, et al., The International Mouse Phenotyping Consortium Web Portal, a unified point of access for knockout mice and related phenotyping data. Nucleic Acids Res. 2014 Jan;42(Database issue):D802-9
Assay type: In situ reporter (knock in)
MGI Accession ID: MGI:6692499
Gene symbol: Lgi4
Gene name: leucine-rich repeat LGI family, member 4
Reporter: lacZ
Direct Detection
Results
Specimen UC Davis_1870923: postnatal adult; Lgi4tm1.1(KOMP)Vlcg/Lgi4+ (more )
Structure Level Pattern Image Note
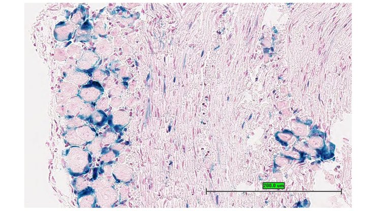
TS28: submandibular gland Present UC Davis_1870923

Specimen UC Davis_1870924: postnatal adult; Lgi4tm1.1(KOMP)Vlcg/Lgi4+ (more )
Structure Level Pattern Image Note
TS28: submandibular gland Present UC Davis_1870924

Specimen UC Davis_1870925: postnatal adult; Lgi4tm1.1(KOMP)Vlcg/Lgi4+ (more )
Structure Level Pattern Image Note
TS28: sublingual gland Present UC Davis_1870925

Specimen UC Davis_1870926: postnatal adult; Lgi4tm1.1(KOMP)Vlcg/Lgi4+ (more )
Structure Level Pattern Image Note
TS28: sublingual gland Present UC Davis_1870926

Specimen UC Davis_1870927: postnatal adult; Lgi4tm1.1(KOMP)Vlcg/Lgi4+ (more )
Structure Level Pattern Image Note
TS28: stomach Present UC Davis_1870927

Specimen UC Davis_1870928: postnatal adult; Lgi4tm1.1(KOMP)Vlcg/Lgi4+ (more )
Structure Level Pattern Image Note
TS28: jejunum Present UC Davis_1870928

Specimen UC Davis_1870929: postnatal adult; Lgi4tm1.1(KOMP)Vlcg/Lgi4+ (more )
Structure Level Pattern Image Note
TS28: ileum Present UC Davis_1870929

Specimen UC Davis_1870930: postnatal adult; Lgi4tm1.1(KOMP)Vlcg/Lgi4+ (more )
Structure Level Pattern Image Note
TS28: colon Present UC Davis_1870930

Specimen UC Davis_1870931: postnatal adult; Lgi4tm1.1(KOMP)Vlcg/Lgi4+ (more )
Structure Level Pattern Image Note
TS28: cecum Present UC Davis_1870931

Specimen UC Davis_1870932: postnatal adult; Lgi4tm1.1(KOMP)Vlcg/Lgi4+ (more )
Structure Level Pattern Image Note
TS28: spleen Present UC Davis_1870932

Specimen UC Davis_1870933: postnatal adult; Lgi4tm1.1(KOMP)Vlcg/Lgi4+ (more )
Structure Level Pattern Image Note
TS28: spleen Present UC Davis_1870933

Specimen UC Davis_1870934: postnatal adult; Lgi4tm1.1(KOMP)Vlcg/Lgi4+ (more )
Structure Level Pattern Image Note
TS28: quadriceps femoris muscle Present UC Davis_1870934

Specimen UC Davis_1870935: postnatal adult; Lgi4tm1.1(KOMP)Vlcg/Lgi4+ (more )
Structure Level Pattern Image Note
TS28: quadriceps femoris muscle Present UC Davis_1870935

Specimen UC Davis_1870936: postnatal adult; Lgi4tm1.1(KOMP)Vlcg/Lgi4+ (more )
Structure Level Pattern Image Note
TS28: quadriceps femoris muscle Present UC Davis_1870936

Specimen UC Davis_1870937: postnatal adult; Lgi4tm1.1(KOMP)Vlcg/Lgi4+ (more )
Structure Level Pattern Image Note
TS28: tongue Present UC Davis_1870937

Specimen UC Davis_1870938: postnatal adult; Lgi4tm1.1(KOMP)Vlcg/Lgi4+ (more )
Structure Level Pattern Image Note
TS28: tongue Present UC Davis_1870938

Specimen UC Davis_1870939: postnatal adult; Lgi4tm1.1(KOMP)Vlcg/Lgi4+ (more )
Structure Level Pattern Image Note
TS28: tongue Present UC Davis_1870939

Specimen UC Davis_1870940: postnatal adult; Lgi4tm1.1(KOMP)Vlcg/Lgi4+ (more )
Structure Level Pattern Image Note
TS28: diaphragm Present UC Davis_1870940

Specimen UC Davis_1870941: postnatal adult; Lgi4tm1.1(KOMP)Vlcg/Lgi4+ (more )
Structure Level Pattern Image Note
TS28: eye Present UC Davis_1870941

Specimen UC Davis_1870942: postnatal adult; Lgi4tm1.1(KOMP)Vlcg/Lgi4+ (more )
Structure Level Pattern Image Note
TS28: eye Present UC Davis_1870942

Specimen UC Davis_1870944: postnatal adult; Lgi4tm1.1(KOMP)Vlcg/Lgi4+ (more )
Structure Level Pattern Image Note
TS28: Harderian gland Present UC Davis_1870944

Specimen UC Davis_1870945: postnatal adult; Lgi4tm1.1(KOMP)Vlcg/Lgi4+ (more )
Structure Level Pattern Image Note
TS28: Harderian gland Present UC Davis_1870945

Specimen UC Davis_1870946: postnatal adult; Lgi4tm1.1(KOMP)Vlcg/Lgi4+ (more )
Structure Level Pattern Image Note
TS28: gonadal fat pad Present UC Davis_1870946

Specimen UC Davis_1870947: postnatal adult; Lgi4tm1.1(KOMP)Vlcg/Lgi4+ (more )
Structure Level Pattern Image Note
TS28: mesenteric adipose tissue Present UC Davis_1870947

Specimen UC Davis_1870948: postnatal adult; Lgi4tm1.1(KOMP)Vlcg/Lgi4+ (more )
Structure Level Pattern Image Note
TS28: mesenteric adipose tissue Present UC Davis_1870948

Specimen UC Davis_1870949: postnatal adult; Lgi4tm1.1(KOMP)Vlcg/Lgi4+ (more )
Structure Level Pattern Image Note
TS28: skin Present UC Davis_1870949

Specimen UC Davis_1870950: postnatal adult; Lgi4tm1.1(KOMP)Vlcg/Lgi4+ (more )
Structure Level Pattern Image Note
TS28: skin Present UC Davis_1870950

Specimen UC Davis_1870951: postnatal adult; Lgi4tm1.1(KOMP)Vlcg/Lgi4+ (more )
Structure Level Pattern Image Note
TS28: trigeminal nerve Present UC Davis_1870951

Specimen UC Davis_1870952: postnatal adult; Lgi4tm1.1(KOMP)Vlcg/Lgi4+ (more )
Structure Level Pattern Image Note
TS28: trigeminal nerve Present UC Davis_1870952

Specimen UC Davis_1870953: postnatal adult; Lgi4tm1.1(KOMP)Vlcg/Lgi4+ (more )
Structure Level Pattern Image Note
TS28: uterus Present UC Davis_1870953

Specimen UC Davis_1870954: postnatal adult; Lgi4tm1.1(KOMP)Vlcg/Lgi4+ (more )
Structure Level Pattern Image Note
TS28: uterus Present UC Davis_1870954

Specimen UC Davis_1870955: postnatal adult; Lgi4tm1.1(KOMP)Vlcg/Lgi4+ (more )
Structure Level Pattern Image Note
TS28: vagina Present UC Davis_1870955

Specimen UC Davis_1870956: postnatal adult; Lgi4tm1.1(KOMP)Vlcg/Lgi4+ (more )
Structure Level Pattern Image Note
TS28: bladder Present UC Davis_1870956

Specimen UC Davis_1870884: postnatal adult; Lgi4tm1.1(KOMP)Vlcg/Lgi4+ (more )
Structure Level Pattern Image Note
TS28: submandibular gland Present UC Davis_1870884

Specimen UC Davis_1870885: postnatal adult; Lgi4tm1.1(KOMP)Vlcg/Lgi4+ (more )
Structure Level Pattern Image Note
TS28: submandibular gland Present UC Davis_1870885

Specimen UC Davis_1870886: postnatal adult; Lgi4tm1.1(KOMP)Vlcg/Lgi4+ (more )
Structure Level Pattern Image Note
TS28: sublingual gland Present UC Davis_1870886

Specimen UC Davis_1870887: postnatal adult; Lgi4tm1.1(KOMP)Vlcg/Lgi4+ (more )
Structure Level Pattern Image Note
TS28: sublingual gland Present UC Davis_1870887

Specimen UC Davis_1870888: postnatal adult; Lgi4tm1.1(KOMP)Vlcg/Lgi4+ (more )
Structure Level Pattern Image Note
TS28: esophagus Present UC Davis_1870888

Specimen UC Davis_1870889: postnatal adult; Lgi4tm1.1(KOMP)Vlcg/Lgi4+ (more )
Structure Level Pattern Image Note
TS28: esophagus Present UC Davis_1870889

Specimen UC Davis_1870891: postnatal adult; Lgi4tm1.1(KOMP)Vlcg/Lgi4+ (more )
Structure Level Pattern Image Note
TS28: ileum Present UC Davis_1870891

Specimen UC Davis_1870892: postnatal adult; Lgi4tm1.1(KOMP)Vlcg/Lgi4+ (more )
Structure Level Pattern Image Note
TS28: ileum Present UC Davis_1870892

Specimen UC Davis_1870893: postnatal adult; Lgi4tm1.1(KOMP)Vlcg/Lgi4+ (more )
Structure Level Pattern Image Note
TS28: colon Present UC Davis_1870893

Specimen UC Davis_1870894: postnatal adult; Lgi4tm1.1(KOMP)Vlcg/Lgi4+ (more )
Structure Level Pattern Image Note
TS28: colon Present UC Davis_1870894

Specimen UC Davis_1870895: postnatal adult; Lgi4tm1.1(KOMP)Vlcg/Lgi4+ (more )
Structure Level Pattern Image Note
TS28: colon Present UC Davis_1870895

Specimen UC Davis_1870896: postnatal adult; Lgi4tm1.1(KOMP)Vlcg/Lgi4+ (more )
Structure Level Pattern Image Note
TS28: cecum Present UC Davis_1870896

Specimen UC Davis_1870897: postnatal adult; Lgi4tm1.1(KOMP)Vlcg/Lgi4+ (more )
Structure Level Pattern Image Note
TS28: tongue Present UC Davis_1870897

Specimen UC Davis_1870898: postnatal adult; Lgi4tm1.1(KOMP)Vlcg/Lgi4+ (more )
Structure Level Pattern Image Note
TS28: tongue Present UC Davis_1870898

Specimen UC Davis_1870899: postnatal adult; Lgi4tm1.1(KOMP)Vlcg/Lgi4+ (more )
Structure Level Pattern Image Note
TS28: tongue Present UC Davis_1870899

Specimen UC Davis_1870900: postnatal adult; Lgi4tm1.1(KOMP)Vlcg/Lgi4+ (more )
Structure Level Pattern Image Note
TS28: adrenal gland Present UC Davis_1870900

Specimen UC Davis_1870901: postnatal adult; Lgi4tm1.1(KOMP)Vlcg/Lgi4+ (more )
Structure Level Pattern Image Note
TS28: eye Present UC Davis_1870901

Specimen UC Davis_1870902: postnatal adult; Lgi4tm1.1(KOMP)Vlcg/Lgi4+ (more )
Structure Level Pattern Image Note
TS28: eye Present UC Davis_1870902

Specimen UC Davis_1870903: postnatal adult; Lgi4tm1.1(KOMP)Vlcg/Lgi4+ (more )
Structure Level Pattern Image Note
TS28: mesenteric adipose tissue Present UC Davis_1870903

Specimen UC Davis_1870904: postnatal adult; Lgi4tm1.1(KOMP)Vlcg/Lgi4+ (more )
Structure Level Pattern Image Note
TS28: mesenteric adipose tissue Present UC Davis_1870904

Specimen UC Davis_1870905: postnatal adult; Lgi4tm1.1(KOMP)Vlcg/Lgi4+ (more )
Structure Level Pattern Image Note
TS28: skin Present UC Davis_1870905

Specimen UC Davis_1870906: postnatal adult; Lgi4tm1.1(KOMP)Vlcg/Lgi4+ (more )
Structure Level Pattern Image Note
TS28: skin Present UC Davis_1870906

Specimen UC Davis_1870907: postnatal adult; Lgi4tm1.1(KOMP)Vlcg/Lgi4+ (more )
Structure Level Pattern Image Note
TS28: brown fat Present UC Davis_1870907

Specimen UC Davis_1870908: postnatal adult; Lgi4tm1.1(KOMP)Vlcg/Lgi4+ (more )
Structure Level Pattern Image Note
TS28: brown fat Present UC Davis_1870908

Specimen UC Davis_1870909: postnatal adult; Lgi4tm1.1(KOMP)Vlcg/Lgi4+ (more )
Structure Level Pattern Image Note
TS28: trigeminal nerve Present UC Davis_1870909

Specimen UC Davis_1870910: postnatal adult; Lgi4tm1.1(KOMP)Vlcg/Lgi4+ (more )
Structure Level Pattern Image Note
TS28: trigeminal nerve Present UC Davis_1870910

Specimen UC Davis_1870911: postnatal adult; Lgi4tm1.1(KOMP)Vlcg/Lgi4+ (more )
Structure Level Pattern Image Note
TS28: trigeminal nerve Present UC Davis_1870911

Specimen UC Davis_1870912: postnatal adult; Lgi4tm1.1(KOMP)Vlcg/Lgi4+ (more )
Structure Level Pattern Image Note
TS28: trigeminal nerve Present UC Davis_1870912

Specimen UC Davis_1870913: postnatal adult; Lgi4tm1.1(KOMP)Vlcg/Lgi4+ (more )
Structure Level Pattern Image Note
TS28: bladder Present UC Davis_1870913

Specimen UC Davis_1870914: postnatal adult; Lgi4tm1.1(KOMP)Vlcg/Lgi4+ (more )
Structure Level Pattern Image Note
TS28: bladder Present UC Davis_1870914

Specimen UC Davis_1870915: postnatal adult; Lgi4tm1.1(KOMP)Vlcg/Lgi4+ (more )
Structure Level Pattern Image Note
TS28: epididymis Present UC Davis_1870915

Specimen UC Davis_1870916: postnatal adult; Lgi4tm1.1(KOMP)Vlcg/Lgi4+ (more )
Structure Level Pattern Image Note
TS28: epididymis Present UC Davis_1870916

Specimen UC Davis_1870917: postnatal adult; Lgi4tm1.1(KOMP)Vlcg/Lgi4+ (more )
Structure Level Pattern Image Note
TS28: prostate gland Present UC Davis_1870917

Specimen UC Davis_1870918: postnatal adult; Lgi4tm1.1(KOMP)Vlcg/Lgi4+ (more )
Structure Level Pattern Image Note
TS28: prostate gland Present UC Davis_1870918

Specimen UC Davis_1870921: postnatal adult; Lgi4tm1.1(KOMP)Vlcg/Lgi4+ (more )
Structure Level Pattern Image Note
TS28: ductus deferens Present UC Davis_1870921 vas deferens

Specimen UC Davis_1870922: postnatal adult; Lgi4tm1.1(KOMP)Vlcg/Lgi4+ (more )
Structure Level Pattern Image Note
TS28: ductus deferens Present UC Davis_1870922 vas deferens


Contributing Projects:
Mouse Genome Database (MGD), Gene Expression Database (GXD), Mouse Models of Human Cancer database (MMHCdb) (formerly Mouse Tumor Biology (MTB)), Gene Ontology (GO)
Citing These Resources
Funding Information
Warranty Disclaimer, Privacy Notice, Licensing, & Copyright
Send questions and comments to User Support.
last database update
10/07/2025
MGI 6.24
The Jackson Laboratory