About   Help   FAQ
Gene Expression Data
Assay Details
Assay
Reference: J:228563 Koscielny G, et al., The International Mouse Phenotyping Consortium Web Portal, a unified point of access for knockout mice and related phenotyping data. Nucleic Acids Res. 2014 Jan;42(Database issue):D802-9
Assay type: In situ reporter (knock in)
MGI Accession ID: MGI:6692496
Gene symbol: Casc3
Gene name: exon junction complex subunit
Reporter: lacZ
Direct Detection
Results
Specimen UC Davis_1867211: postnatal adult; Casc3tm1.1(KOMP)Vlcg/Casc3+ (more )
Structure Level Pattern Image Note
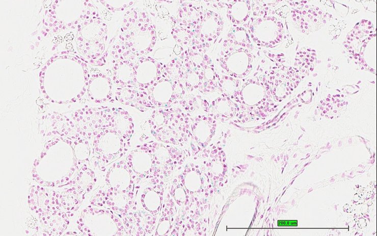
TS28: submandibular gland Present UC Davis_1867211

Specimen UC Davis_1867212: postnatal adult; Casc3tm1.1(KOMP)Vlcg/Casc3+ (more )
Structure Level Pattern Image Note
TS28: submandibular gland Present UC Davis_1867212

Specimen UC Davis_1867213: postnatal adult; Casc3tm1.1(KOMP)Vlcg/Casc3+ (more )
Structure Level Pattern Image Note
TS28: sublingual gland Present UC Davis_1867213

Specimen UC Davis_1867214: postnatal adult; Casc3tm1.1(KOMP)Vlcg/Casc3+ (more )
Structure Level Pattern Image Note
TS28: parotid gland Present UC Davis_1867214

Specimen UC Davis_1867215: postnatal adult; Casc3tm1.1(KOMP)Vlcg/Casc3+ (more )
Structure Level Pattern Image Note
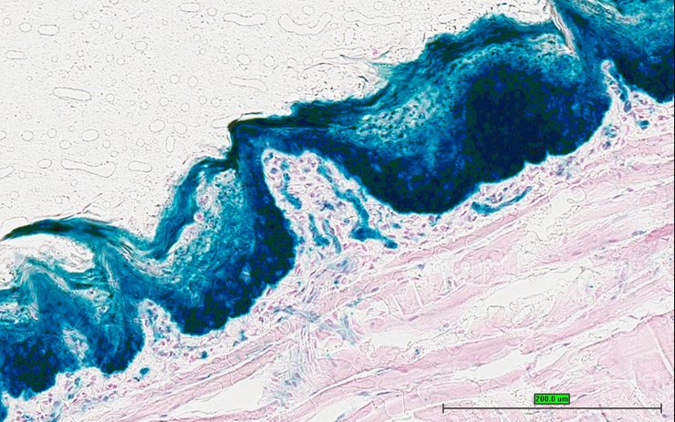
TS28: trachea Present UC Davis_1867215

Specimen UC Davis_1867216: postnatal adult; Casc3tm1.1(KOMP)Vlcg/Casc3+ (more )
Structure Level Pattern Image Note
TS28: esophagus Present UC Davis_1867216

Specimen UC Davis_1867217: postnatal adult; Casc3tm1.1(KOMP)Vlcg/Casc3+ (more )
Structure Level Pattern Image Note
TS28: thyroid gland Present UC Davis_1867217

Specimen UC Davis_1867218: postnatal adult; Casc3tm1.1(KOMP)Vlcg/Casc3+ (more )
Structure Level Pattern Image Note
TS28: parathyroid gland Present UC Davis_1867218

Specimen UC Davis_1867219: postnatal adult; Casc3tm1.1(KOMP)Vlcg/Casc3+ (more )
Structure Level Pattern Image Note
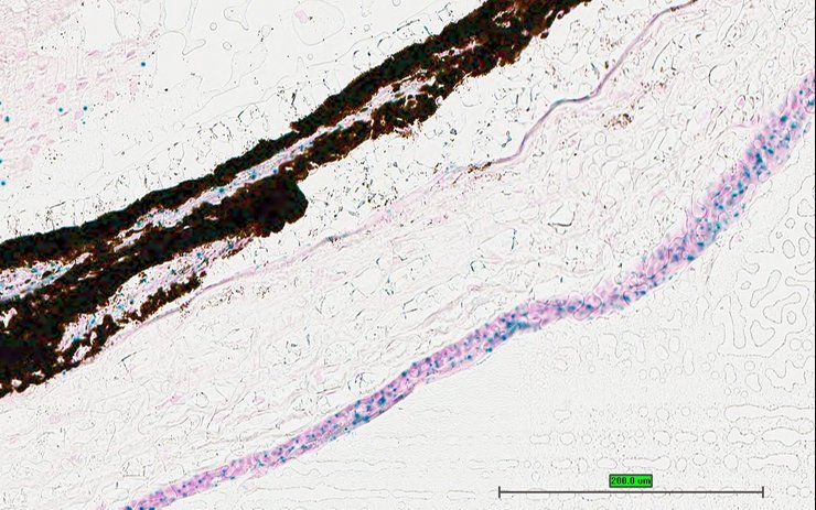
TS28: aorta Present UC Davis_1867219

Specimen UC Davis_1867220: postnatal adult; Casc3tm1.1(KOMP)Vlcg/Casc3+ (more )
Structure Level Pattern Image Note
TS28: aorta Present UC Davis_1867220

Specimen UC Davis_1867221: postnatal adult; Casc3tm1.1(KOMP)Vlcg/Casc3+ (more )
Structure Level Pattern Image Note
TS28: lung Present UC Davis_1867221

Specimen UC Davis_1867222: postnatal adult; Casc3tm1.1(KOMP)Vlcg/Casc3+ (more )
Structure Level Pattern Image Note
TS28: lung Present UC Davis_1867222

Specimen UC Davis_1867223: postnatal adult; Casc3tm1.1(KOMP)Vlcg/Casc3+ (more )
Structure Level Pattern Image Note
TS28: lung Present UC Davis_1867223

Specimen UC Davis_1867224: postnatal adult; Casc3tm1.1(KOMP)Vlcg/Casc3+ (more )
Structure Level Pattern Image Note
TS28: thymus Present UC Davis_1867224

Specimen UC Davis_1867225: postnatal adult; Casc3tm1.1(KOMP)Vlcg/Casc3+ (more )
Structure Level Pattern Image Note
TS28: thymus Present UC Davis_1867225

Specimen UC Davis_1867228: postnatal adult; Casc3tm1.1(KOMP)Vlcg/Casc3+ (more )
Structure Level Pattern Image Note
TS28: mesenteric lymph node Present UC Davis_1867228

Specimen UC Davis_1867229: postnatal adult; Casc3tm1.1(KOMP)Vlcg/Casc3+ (more )
Structure Level Pattern Image Note
TS28: stomach Present UC Davis_1867229

Specimen UC Davis_1867230: postnatal adult; Casc3tm1.1(KOMP)Vlcg/Casc3+ (more )
Structure Level Pattern Image Note
TS28: stomach Present UC Davis_1867230

Specimen UC Davis_1867231: postnatal adult; Casc3tm1.1(KOMP)Vlcg/Casc3+ (more )
Structure Level Pattern Image Note
TS28: stomach Present UC Davis_1867231

Specimen UC Davis_1867232: postnatal adult; Casc3tm1.1(KOMP)Vlcg/Casc3+ (more )
Structure Level Pattern Image Note
TS28: duodenum Present UC Davis_1867232

Specimen UC Davis_1867233: postnatal adult; Casc3tm1.1(KOMP)Vlcg/Casc3+ (more )
Structure Level Pattern Image Note
TS28: jejunum Present UC Davis_1867233

Specimen UC Davis_1867234: postnatal adult; Casc3tm1.1(KOMP)Vlcg/Casc3+ (more )
Structure Level Pattern Image Note
TS28: jejunum Present UC Davis_1867234

Specimen UC Davis_1867235: postnatal adult; Casc3tm1.1(KOMP)Vlcg/Casc3+ (more )
Structure Level Pattern Image Note
TS28: jejunum Present UC Davis_1867235

Specimen UC Davis_1867236: postnatal adult; Casc3tm1.1(KOMP)Vlcg/Casc3+ (more )
Structure Level Pattern Image Note
TS28: ileum Present UC Davis_1867236

Specimen UC Davis_1867237: postnatal adult; Casc3tm1.1(KOMP)Vlcg/Casc3+ (more )
Structure Level Pattern Image Note
TS28: colon Present UC Davis_1867237

Specimen UC Davis_1867238: postnatal adult; Casc3tm1.1(KOMP)Vlcg/Casc3+ (more )
Structure Level Pattern Image Note
TS28: colon Present UC Davis_1867238

Specimen UC Davis_1867239: postnatal adult; Casc3tm1.1(KOMP)Vlcg/Casc3+ (more )
Structure Level Pattern Image Note
TS28: cecum Present UC Davis_1867239

Specimen UC Davis_1867240: postnatal adult; Casc3tm1.1(KOMP)Vlcg/Casc3+ (more )
Structure Level Pattern Image Note
TS28: spleen Present UC Davis_1867240

Specimen UC Davis_1867241: postnatal adult; Casc3tm1.1(KOMP)Vlcg/Casc3+ (more )
Structure Level Pattern Image Note
TS28: spleen Present UC Davis_1867241

Specimen UC Davis_1867242: postnatal adult; Casc3tm1.1(KOMP)Vlcg/Casc3+ (more )
Structure Level Pattern Image Note
TS28: spleen Present UC Davis_1867242

Specimen UC Davis_1867243: postnatal adult; Casc3tm1.1(KOMP)Vlcg/Casc3+ (more )
Structure Level Pattern Image Note
TS28: pancreas Present UC Davis_1867243

Specimen UC Davis_1867244: postnatal adult; Casc3tm1.1(KOMP)Vlcg/Casc3+ (more )
Structure Level Pattern Image Note
TS28: pancreas Present UC Davis_1867244

Specimen UC Davis_1867245: postnatal adult; Casc3tm1.1(KOMP)Vlcg/Casc3+ (more )
Structure Level Pattern Image Note
TS28: liver Present UC Davis_1867245

Specimen UC Davis_1867246: postnatal adult; Casc3tm1.1(KOMP)Vlcg/Casc3+ (more )
Structure Level Pattern Image Note
TS28: liver Present UC Davis_1867246

Specimen UC Davis_1867247: postnatal adult; Casc3tm1.1(KOMP)Vlcg/Casc3+ (more )
Structure Level Pattern Image Note
TS28: metanephros Present UC Davis_1867247 kidney

Specimen UC Davis_1867248: postnatal adult; Casc3tm1.1(KOMP)Vlcg/Casc3+ (more )
Structure Level Pattern Image Note
TS28: metanephros Present UC Davis_1867248 kidney

Specimen UC Davis_1867249: postnatal adult; Casc3tm1.1(KOMP)Vlcg/Casc3+ (more )
Structure Level Pattern Image Note
TS28: metanephros Present UC Davis_1867249 kidney

Specimen UC Davis_1867250: postnatal adult; Casc3tm1.1(KOMP)Vlcg/Casc3+ (more )
Structure Level Pattern Image Note
TS28: metanephros Present UC Davis_1867250 kidney

Specimen UC Davis_1867251: postnatal adult; Casc3tm1.1(KOMP)Vlcg/Casc3+ (more )
Structure Level Pattern Image Note
TS28: quadriceps femoris muscle Present UC Davis_1867251

Specimen UC Davis_1867252: postnatal adult; Casc3tm1.1(KOMP)Vlcg/Casc3+ (more )
Structure Level Pattern Image Note
TS28: sciatic nerve Present UC Davis_1867252

Specimen UC Davis_1867253: postnatal adult; Casc3tm1.1(KOMP)Vlcg/Casc3+ (more )
Structure Level Pattern Image Note
TS28: tongue Present UC Davis_1867253

Specimen UC Davis_1867254: postnatal adult; Casc3tm1.1(KOMP)Vlcg/Casc3+ (more )
Structure Level Pattern Image Note
TS28: tongue Present UC Davis_1867254

Specimen UC Davis_1867255: postnatal adult; Casc3tm1.1(KOMP)Vlcg/Casc3+ (more )
Structure Level Pattern Image Note
TS28: tongue Present UC Davis_1867255

Specimen UC Davis_1867256: postnatal adult; Casc3tm1.1(KOMP)Vlcg/Casc3+ (more )
Structure Level Pattern Image Note
TS28: adrenal gland Present UC Davis_1867256

Specimen UC Davis_1867257: postnatal adult; Casc3tm1.1(KOMP)Vlcg/Casc3+ (more )
Structure Level Pattern Image Note
TS28: pituitary gland Present UC Davis_1867257

Specimen UC Davis_1867258: postnatal adult; Casc3tm1.1(KOMP)Vlcg/Casc3+ (more )
Structure Level Pattern Image Note
TS28: spinal cord Present UC Davis_1867258

Specimen UC Davis_1867259: postnatal adult; Casc3tm1.1(KOMP)Vlcg/Casc3+ (more )
Structure Level Pattern Image Note
TS28: spinal cord Present UC Davis_1867259

Specimen UC Davis_1867260: postnatal adult; Casc3tm1.1(KOMP)Vlcg/Casc3+ (more )
Structure Level Pattern Image Note
TS28: eye Present UC Davis_1867260

Specimen UC Davis_1867261: postnatal adult; Casc3tm1.1(KOMP)Vlcg/Casc3+ (more )
Structure Level Pattern Image Note
TS28: eye Present UC Davis_1867261

Specimen UC Davis_1867262: postnatal adult; Casc3tm1.1(KOMP)Vlcg/Casc3+ (more )
Structure Level Pattern Image Note
TS28: Harderian gland Present UC Davis_1867262

Specimen UC Davis_1867263: postnatal adult; Casc3tm1.1(KOMP)Vlcg/Casc3+ (more )
Structure Level Pattern Image Note
TS28: Harderian gland Present UC Davis_1867263

Specimen UC Davis_1867264: postnatal adult; Casc3tm1.1(KOMP)Vlcg/Casc3+ (more )
Structure Level Pattern Image Note
TS28: gonadal fat pad Present UC Davis_1867264

Specimen UC Davis_1867265: postnatal adult; Casc3tm1.1(KOMP)Vlcg/Casc3+ (more )
Structure Level Pattern Image Note
TS28: gonadal fat pad Present UC Davis_1867265

Specimen UC Davis_1867266: postnatal adult; Casc3tm1.1(KOMP)Vlcg/Casc3+ (more )
Structure Level Pattern Image Note
TS28: mesenteric adipose tissue Present UC Davis_1867266

Specimen UC Davis_1867267: postnatal adult; Casc3tm1.1(KOMP)Vlcg/Casc3+ (more )
Structure Level Pattern Image Note
TS28: skin Present UC Davis_1867267

Specimen UC Davis_1867268: postnatal adult; Casc3tm1.1(KOMP)Vlcg/Casc3+ (more )
Structure Level Pattern Image Note
TS28: skin Present UC Davis_1867268

Specimen UC Davis_1867269: postnatal adult; Casc3tm1.1(KOMP)Vlcg/Casc3+ (more )
Structure Level Pattern Image Note
TS28: skin Present UC Davis_1867269

Specimen UC Davis_1867270: postnatal adult; Casc3tm1.1(KOMP)Vlcg/Casc3+ (more )
Structure Level Pattern Image Note
TS28: brown fat Present UC Davis_1867270

Specimen UC Davis_1867271: postnatal adult; Casc3tm1.1(KOMP)Vlcg/Casc3+ (more )
Structure Level Pattern Image Note
TS28: brown fat Present UC Davis_1867271

Specimen UC Davis_1867272: postnatal adult; Casc3tm1.1(KOMP)Vlcg/Casc3+ (more )
Structure Level Pattern Image Note
TS28: olfactory lobe Present UC Davis_1867272

Specimen UC Davis_1867276: postnatal adult; Casc3tm1.1(KOMP)Vlcg/Casc3+ (more )
Structure Level Pattern Image Note
TS28: midbrain Present UC Davis_1867276

Specimen UC Davis_1867278: postnatal adult; Casc3tm1.1(KOMP)Vlcg/Casc3+ (more )
Structure Level Pattern Image Note
TS28: cerebellum Present UC Davis_1867278

Specimen UC Davis_1867279: postnatal adult; Casc3tm1.1(KOMP)Vlcg/Casc3+ (more )
Structure Level Pattern Image Note
TS28: trigeminal nerve Present UC Davis_1867279

Specimen UC Davis_1867280: postnatal adult; Casc3tm1.1(KOMP)Vlcg/Casc3+ (more )
Structure Level Pattern Image Note
TS28: ovary Present UC Davis_1867280

Specimen UC Davis_1867281: postnatal adult; Casc3tm1.1(KOMP)Vlcg/Casc3+ (more )
Structure Level Pattern Image Note
TS28: ovary Present UC Davis_1867281

Specimen UC Davis_1867282: postnatal adult; Casc3tm1.1(KOMP)Vlcg/Casc3+ (more )
Structure Level Pattern Image Note
TS28: oviduct Present UC Davis_1867282

Specimen UC Davis_1867283: postnatal adult; Casc3tm1.1(KOMP)Vlcg/Casc3+ (more )
Structure Level Pattern Image Note
TS28: uterus Present UC Davis_1867283

Specimen UC Davis_1867284: postnatal adult; Casc3tm1.1(KOMP)Vlcg/Casc3+ (more )
Structure Level Pattern Image Note
TS28: uterus Present UC Davis_1867284

Specimen UC Davis_1867285: postnatal adult; Casc3tm1.1(KOMP)Vlcg/Casc3+ (more )
Structure Level Pattern Image Note
TS28: vagina Present UC Davis_1867285

Specimen UC Davis_1867286: postnatal adult; Casc3tm1.1(KOMP)Vlcg/Casc3+ (more )
Structure Level Pattern Image Note
TS28: bladder Present UC Davis_1867286

Specimen UC Davis_1867287: postnatal adult; Casc3tm1.1(KOMP)Vlcg/Casc3+ (more )
Structure Level Pattern Image Note
TS28: bladder Present UC Davis_1867287

Specimen UC Davis_1867288: postnatal adult; Casc3tm1.1(KOMP)Vlcg/Casc3+ (more )
Structure Level Pattern Image Note
TS28: bone marrow Present UC Davis_1867288

Specimen UC Davis_1867289: postnatal adult; Casc3tm1.1(KOMP)Vlcg/Casc3+ (more )
Structure Level Pattern Image Note
TS28: mammary gland Present UC Davis_1867289

Specimen UC Davis_1867290: postnatal adult; Casc3tm1.1(KOMP)Vlcg/Casc3+ (more )
Structure Level Pattern Image Note
TS28: submandibular gland Present UC Davis_1867290

Specimen UC Davis_1867291: postnatal adult; Casc3tm1.1(KOMP)Vlcg/Casc3+ (more )
Structure Level Pattern Image Note
TS28: submandibular gland Present UC Davis_1867291

Specimen UC Davis_1867292: postnatal adult; Casc3tm1.1(KOMP)Vlcg/Casc3+ (more )
Structure Level Pattern Image Note
TS28: sublingual gland Present UC Davis_1867292

Specimen UC Davis_1867293: postnatal adult; Casc3tm1.1(KOMP)Vlcg/Casc3+ (more )
Structure Level Pattern Image Note
TS28: sublingual gland Present UC Davis_1867293

Specimen UC Davis_1867294: postnatal adult; Casc3tm1.1(KOMP)Vlcg/Casc3+ (more )
Structure Level Pattern Image Note
TS28: parotid gland Present UC Davis_1867294

Specimen UC Davis_1867296: postnatal adult; Casc3tm1.1(KOMP)Vlcg/Casc3+ (more )
Structure Level Pattern Image Note
TS28: trachea Present UC Davis_1867296

Specimen UC Davis_1867297: postnatal adult; Casc3tm1.1(KOMP)Vlcg/Casc3+ (more )
Structure Level Pattern Image Note
TS28: esophagus Present UC Davis_1867297

Specimen UC Davis_1867298: postnatal adult; Casc3tm1.1(KOMP)Vlcg/Casc3+ (more )
Structure Level Pattern Image Note
TS28: esophagus Present UC Davis_1867298

Specimen UC Davis_1867299: postnatal adult; Casc3tm1.1(KOMP)Vlcg/Casc3+ (more )
Structure Level Pattern Image Note
TS28: thyroid gland Present UC Davis_1867299

Specimen UC Davis_1867303: postnatal adult; Casc3tm1.1(KOMP)Vlcg/Casc3+ (more )
Structure Level Pattern Image Note
TS28: lung Present UC Davis_1867303

Specimen UC Davis_1867304: postnatal adult; Casc3tm1.1(KOMP)Vlcg/Casc3+ (more )
Structure Level Pattern Image Note
TS28: lung Present UC Davis_1867304

Specimen UC Davis_1867305: postnatal adult; Casc3tm1.1(KOMP)Vlcg/Casc3+ (more )
Structure Level Pattern Image Note
TS28: thymus Present UC Davis_1867305

Specimen UC Davis_1867306: postnatal adult; Casc3tm1.1(KOMP)Vlcg/Casc3+ (more )
Structure Level Pattern Image Note
TS28: thymus Present UC Davis_1867306

Specimen UC Davis_1867307: postnatal adult; Casc3tm1.1(KOMP)Vlcg/Casc3+ (more )
Structure Level Pattern Image Note
TS28: thymus Present UC Davis_1867307

Specimen UC Davis_1867312: postnatal adult; Casc3tm1.1(KOMP)Vlcg/Casc3+ (more )
Structure Level Pattern Image Note
TS28: mesenteric lymph node Present UC Davis_1867312

Specimen UC Davis_1867313: postnatal adult; Casc3tm1.1(KOMP)Vlcg/Casc3+ (more )
Structure Level Pattern Image Note
TS28: stomach Present UC Davis_1867313

Specimen UC Davis_1867314: postnatal adult; Casc3tm1.1(KOMP)Vlcg/Casc3+ (more )
Structure Level Pattern Image Note
TS28: stomach Present UC Davis_1867314

Specimen UC Davis_1867315: postnatal adult; Casc3tm1.1(KOMP)Vlcg/Casc3+ (more )
Structure Level Pattern Image Note
TS28: stomach Present UC Davis_1867315

Specimen UC Davis_1867316: postnatal adult; Casc3tm1.1(KOMP)Vlcg/Casc3+ (more )
Structure Level Pattern Image Note
TS28: stomach Present UC Davis_1867316

Specimen UC Davis_1867317: postnatal adult; Casc3tm1.1(KOMP)Vlcg/Casc3+ (more )
Structure Level Pattern Image Note
TS28: duodenum Present UC Davis_1867317

Specimen UC Davis_1867318: postnatal adult; Casc3tm1.1(KOMP)Vlcg/Casc3+ (more )
Structure Level Pattern Image Note
TS28: jejunum Present UC Davis_1867318

Specimen UC Davis_1867319: postnatal adult; Casc3tm1.1(KOMP)Vlcg/Casc3+ (more )
Structure Level Pattern Image Note
TS28: ileum Present UC Davis_1867319

Specimen UC Davis_1867320: postnatal adult; Casc3tm1.1(KOMP)Vlcg/Casc3+ (more )
Structure Level Pattern Image Note
TS28: ileum Present UC Davis_1867320

Specimen UC Davis_1867321: postnatal adult; Casc3tm1.1(KOMP)Vlcg/Casc3+ (more )
Structure Level Pattern Image Note
TS28: colon Present UC Davis_1867321

Specimen UC Davis_1867322: postnatal adult; Casc3tm1.1(KOMP)Vlcg/Casc3+ (more )
Structure Level Pattern Image Note
TS28: colon Present UC Davis_1867322

Specimen UC Davis_1867323: postnatal adult; Casc3tm1.1(KOMP)Vlcg/Casc3+ (more )
Structure Level Pattern Image Note
TS28: cecum Present UC Davis_1867323

Specimen UC Davis_1867324: postnatal adult; Casc3tm1.1(KOMP)Vlcg/Casc3+ (more )
Structure Level Pattern Image Note
TS28: spleen Present UC Davis_1867324

Specimen UC Davis_1867325: postnatal adult; Casc3tm1.1(KOMP)Vlcg/Casc3+ (more )
Structure Level Pattern Image Note
TS28: spleen Present UC Davis_1867325

Specimen UC Davis_1867326: postnatal adult; Casc3tm1.1(KOMP)Vlcg/Casc3+ (more )
Structure Level Pattern Image Note
TS28: spleen Present UC Davis_1867326

Specimen UC Davis_1867327: postnatal adult; Casc3tm1.1(KOMP)Vlcg/Casc3+ (more )
Structure Level Pattern Image Note
TS28: pancreas Present UC Davis_1867327

Specimen UC Davis_1867328: postnatal adult; Casc3tm1.1(KOMP)Vlcg/Casc3+ (more )
Structure Level Pattern Image Note
TS28: pancreas Present UC Davis_1867328

Specimen UC Davis_1867329: postnatal adult; Casc3tm1.1(KOMP)Vlcg/Casc3+ (more )
Structure Level Pattern Image Note
TS28: pancreas Present UC Davis_1867329

Specimen UC Davis_1867330: postnatal adult; Casc3tm1.1(KOMP)Vlcg/Casc3+ (more )
Structure Level Pattern Image Note
TS28: liver Present UC Davis_1867330

Specimen UC Davis_1867331: postnatal adult; Casc3tm1.1(KOMP)Vlcg/Casc3+ (more )
Structure Level Pattern Image Note
TS28: liver Present UC Davis_1867331

Specimen UC Davis_1867332: postnatal adult; Casc3tm1.1(KOMP)Vlcg/Casc3+ (more )
Structure Level Pattern Image Note
TS28: metanephros Present UC Davis_1867332 kidney

Specimen UC Davis_1867333: postnatal adult; Casc3tm1.1(KOMP)Vlcg/Casc3+ (more )
Structure Level Pattern Image Note
TS28: metanephros Present UC Davis_1867333 kidney

Specimen UC Davis_1867334: postnatal adult; Casc3tm1.1(KOMP)Vlcg/Casc3+ (more )
Structure Level Pattern Image Note
TS28: quadriceps femoris muscle Present UC Davis_1867334

Specimen UC Davis_1867335: postnatal adult; Casc3tm1.1(KOMP)Vlcg/Casc3+ (more )
Structure Level Pattern Image Note
TS28: quadriceps femoris muscle Present UC Davis_1867335

Specimen UC Davis_1867336: postnatal adult; Casc3tm1.1(KOMP)Vlcg/Casc3+ (more )
Structure Level Pattern Image Note
TS28: quadriceps femoris muscle Present UC Davis_1867336

Specimen UC Davis_1867337: postnatal adult; Casc3tm1.1(KOMP)Vlcg/Casc3+ (more )
Structure Level Pattern Image Note
TS28: tongue Present UC Davis_1867337

Specimen UC Davis_1867338: postnatal adult; Casc3tm1.1(KOMP)Vlcg/Casc3+ (more )
Structure Level Pattern Image Note
TS28: tongue Present UC Davis_1867338

Specimen UC Davis_1867339: postnatal adult; Casc3tm1.1(KOMP)Vlcg/Casc3+ (more )
Structure Level Pattern Image Note
TS28: tongue Present UC Davis_1867339

Specimen UC Davis_1867340: postnatal adult; Casc3tm1.1(KOMP)Vlcg/Casc3+ (more )
Structure Level Pattern Image Note
TS28: diaphragm Present UC Davis_1867340

Specimen UC Davis_1867341: postnatal adult; Casc3tm1.1(KOMP)Vlcg/Casc3+ (more )
Structure Level Pattern Image Note
TS28: adrenal gland Present UC Davis_1867341

Specimen UC Davis_1867342: postnatal adult; Casc3tm1.1(KOMP)Vlcg/Casc3+ (more )
Structure Level Pattern Image Note
TS28: adrenal gland Present UC Davis_1867342

Specimen UC Davis_1867343: postnatal adult; Casc3tm1.1(KOMP)Vlcg/Casc3+ (more )
Structure Level Pattern Image Note
TS28: pituitary gland Present UC Davis_1867343

Specimen UC Davis_1867344: postnatal adult; Casc3tm1.1(KOMP)Vlcg/Casc3+ (more )
Structure Level Pattern Image Note
TS28: spinal cord Present UC Davis_1867344

Specimen UC Davis_1867345: postnatal adult; Casc3tm1.1(KOMP)Vlcg/Casc3+ (more )
Structure Level Pattern Image Note
TS28: eye Present UC Davis_1867345

Specimen UC Davis_1867346: postnatal adult; Casc3tm1.1(KOMP)Vlcg/Casc3+ (more )
Structure Level Pattern Image Note
TS28: eye Present UC Davis_1867346

Specimen UC Davis_1867347: postnatal adult; Casc3tm1.1(KOMP)Vlcg/Casc3+ (more )
Structure Level Pattern Image Note
TS28: eye Present UC Davis_1867347

Specimen UC Davis_1867348: postnatal adult; Casc3tm1.1(KOMP)Vlcg/Casc3+ (more )
Structure Level Pattern Image Note
TS28: Harderian gland Present UC Davis_1867348

Specimen UC Davis_1867349: postnatal adult; Casc3tm1.1(KOMP)Vlcg/Casc3+ (more )
Structure Level Pattern Image Note
TS28: Harderian gland Present UC Davis_1867349

Specimen UC Davis_1867350: postnatal adult; Casc3tm1.1(KOMP)Vlcg/Casc3+ (more )
Structure Level Pattern Image Note
TS28: skin Present UC Davis_1867350

Specimen UC Davis_1867351: postnatal adult; Casc3tm1.1(KOMP)Vlcg/Casc3+ (more )
Structure Level Pattern Image Note
TS28: skin Present UC Davis_1867351

Specimen UC Davis_1867352: postnatal adult; Casc3tm1.1(KOMP)Vlcg/Casc3+ (more )
Structure Level Pattern Image Note
TS28: brown fat Present UC Davis_1867352

Specimen UC Davis_1867356: postnatal adult; Casc3tm1.1(KOMP)Vlcg/Casc3+ (more )
Structure Level Pattern Image Note
TS28: midbrain Present UC Davis_1867356

Specimen UC Davis_1867358: postnatal adult; Casc3tm1.1(KOMP)Vlcg/Casc3+ (more )
Structure Level Pattern Image Note
TS28: cerebellum Present UC Davis_1867358

Specimen UC Davis_1867359: postnatal adult; Casc3tm1.1(KOMP)Vlcg/Casc3+ (more )
Structure Level Pattern Image Note
TS28: trigeminal nerve Present UC Davis_1867359

Specimen UC Davis_1867360: postnatal adult; Casc3tm1.1(KOMP)Vlcg/Casc3+ (more )
Structure Level Pattern Image Note
TS28: bladder Present UC Davis_1867360

Specimen UC Davis_1867361: postnatal adult; Casc3tm1.1(KOMP)Vlcg/Casc3+ (more )
Structure Level Pattern Image Note
TS28: bladder Present UC Davis_1867361

Specimen UC Davis_1867362: postnatal adult; Casc3tm1.1(KOMP)Vlcg/Casc3+ (more )
Structure Level Pattern Image Note
TS28: testis Present UC Davis_1867362

Specimen UC Davis_1867363: postnatal adult; Casc3tm1.1(KOMP)Vlcg/Casc3+ (more )
Structure Level Pattern Image Note
TS28: testis Present UC Davis_1867363

Specimen UC Davis_1867364: postnatal adult; Casc3tm1.1(KOMP)Vlcg/Casc3+ (more )
Structure Level Pattern Image Note
TS28: epididymis Present UC Davis_1867364

Specimen UC Davis_1867365: postnatal adult; Casc3tm1.1(KOMP)Vlcg/Casc3+ (more )
Structure Level Pattern Image Note
TS28: epididymis Present UC Davis_1867365

Specimen UC Davis_1867366: postnatal adult; Casc3tm1.1(KOMP)Vlcg/Casc3+ (more )
Structure Level Pattern Image Note
TS28: prostate gland Present UC Davis_1867366

Specimen UC Davis_1867367: postnatal adult; Casc3tm1.1(KOMP)Vlcg/Casc3+ (more )
Structure Level Pattern Image Note
TS28: prostate gland Present UC Davis_1867367

Specimen UC Davis_1867368: postnatal adult; Casc3tm1.1(KOMP)Vlcg/Casc3+ (more )
Structure Level Pattern Image Note
TS28: prostate gland Present UC Davis_1867368

Specimen UC Davis_1867369: postnatal adult; Casc3tm1.1(KOMP)Vlcg/Casc3+ (more )
Structure Level Pattern Image Note
TS28: penis Present UC Davis_1867369

Specimen UC Davis_1867370: postnatal adult; Casc3tm1.1(KOMP)Vlcg/Casc3+ (more )
Structure Level Pattern Image Note
TS28: penis Present UC Davis_1867370

Specimen UC Davis_1867372: postnatal adult; Casc3tm1.1(KOMP)Vlcg/Casc3+ (more )
Structure Level Pattern Image Note
TS28: bone marrow Present UC Davis_1867372

Specimen UC Davis_1867373: postnatal adult; Casc3tm1.1(KOMP)Vlcg/Casc3+ (more )
Structure Level Pattern Image Note
TS28: ductus deferens Present UC Davis_1867373 vas deferens

Specimen UC Davis_1867374: postnatal adult; Casc3tm1.1(KOMP)Vlcg/Casc3+ (more )
Structure Level Pattern Image Note
TS28: ductus deferens Present UC Davis_1867374 vas deferens

Specimen UC Davis_1867378: postnatal adult; Casc3tm1.1(KOMP)Vlcg/Casc3+ (more )
Structure Level Pattern Image Note
TS28: seminal vesicle Present UC Davis_1867378 vesicular gland

Specimen UC Davis_1867379: postnatal adult; Casc3tm1.1(KOMP)Vlcg/Casc3+ (more )
Structure Level Pattern Image Note
TS28: seminal vesicle Present UC Davis_1867379 vesicular gland


Contributing Projects:
Mouse Genome Database (MGD), Gene Expression Database (GXD), Mouse Models of Human Cancer database (MMHCdb) (formerly Mouse Tumor Biology (MTB)), Gene Ontology (GO)
Citing These Resources
Funding Information
Warranty Disclaimer, Privacy Notice, Licensing, & Copyright
Send questions and comments to User Support.
last database update
01/20/2026
MGI 6.24
The Jackson Laboratory