About   Help   FAQ
Gene Expression Data
Assay Details
Assay
Reference: J:228563 Koscielny G, et al., The International Mouse Phenotyping Consortium Web Portal, a unified point of access for knockout mice and related phenotyping data. Nucleic Acids Res. 2014 Jan;42(Database issue):D802-9
Assay type: In situ reporter (knock in)
MGI Accession ID: MGI:6692481
Gene symbol: Hdac10
Gene name: histone deacetylase 10
Reporter: lacZ
Direct Detection
Results
Specimen JAX_1798215: postnatal adult; Hdac10tm1.1(KOMP)Mbp/Hdac10+ (more )
Structure Level Pattern Image Note
TS28: thalamus Present JAX_1798215

Specimen JAX_1798216: postnatal adult; Hdac10tm1.1(KOMP)Mbp/Hdac10+ (more )
Structure Level Pattern Image Note
TS28: midbrain Present JAX_1798216

Specimen JAX_1798217: postnatal adult; Hdac10tm1.1(KOMP)Mbp/Hdac10+ (more )
Structure Level Pattern Image Note
TS28: vascular system Present JAX_1798217

Specimen JAX_1798218: postnatal adult; Hdac10tm1.1(KOMP)Mbp/Hdac10+ (more )
Structure Level Pattern Image Note
TS28: corpus striatum Present JAX_1798218

Specimen JAX_1798219: postnatal adult; Hdac10tm1.1(KOMP)Mbp/Hdac10+ (more )
Structure Level Pattern Image Note
TS28: olfactory lobe Present JAX_1798219

Specimen JAX_1798220: postnatal adult; Hdac10tm1.1(KOMP)Mbp/Hdac10+ (more )
Structure Level Pattern Image Note
TS28: hypothalamus Present JAX_1798220

Specimen JAX_1798221: postnatal adult; Hdac10tm1.1(KOMP)Mbp/Hdac10+ (more )
Structure Level Pattern Image Note
TS28: hippocampus Present JAX_1798221

Specimen JAX_1798222: postnatal adult; Hdac10tm1.1(KOMP)Mbp/Hdac10+ (more )
Structure Level Pattern Image Note
TS28: cerebellum Present JAX_1798222

Specimen JAX_1798223: postnatal adult; Hdac10tm1.1(KOMP)Mbp/Hdac10+ (more )
Structure Level Pattern Image Note
TS28: cerebral cortex Present JAX_1798223

Specimen JAX_1798224: postnatal adult; Hdac10tm1.1(KOMP)Mbp/Hdac10+ (more )
Structure Level Pattern Image Note
TS28: brainstem Present JAX_1798224

Specimen JAX_1798225: postnatal adult; Hdac10tm1.1(KOMP)Mbp/Hdac10+ (more )
Structure Level Pattern Image Note
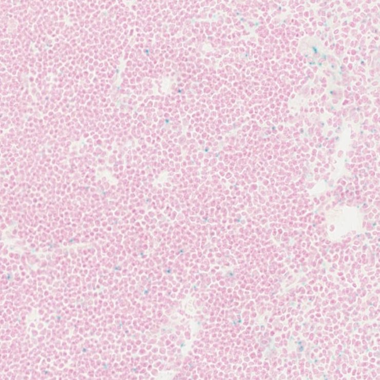
TS28: spleen Present JAX_1798225

Specimen JAX_1798226: postnatal adult; Hdac10tm1.1(KOMP)Mbp/Hdac10+ (more )
Structure Level Pattern Image Note
TS28: pancreas Present JAX_1798226

Specimen JAX_1798227: postnatal adult; Hdac10tm1.1(KOMP)Mbp/Hdac10+ (more )
Structure Level Pattern Image Note
TS28: white fat Present JAX_1798227

Specimen JAX_1798228: postnatal adult; Hdac10tm1.1(KOMP)Mbp/Hdac10+ (more )
Structure Level Pattern Image Note
TS28: pituitary gland Present JAX_1798228

Specimen JAX_1798229: postnatal adult; Hdac10tm1.1(KOMP)Mbp/Hdac10+ (more )
Structure Level Pattern Image Note
TS28: uterus Present JAX_1798229

Specimen JAX_1798230: postnatal adult; Hdac10tm1.1(KOMP)Mbp/Hdac10+ (more )
Structure Level Pattern Image Note
TS28: oviduct Present JAX_1798230

Specimen JAX_1798231: postnatal adult; Hdac10tm1.1(KOMP)Mbp/Hdac10+ (more )
Structure Level Pattern Image Note
TS28: ovary Present JAX_1798231

Specimen JAX_1798232: postnatal adult; Hdac10tm1.1(KOMP)Mbp/Hdac10+ (more )
Structure Level Pattern Image Note
TS28: mammary gland Present JAX_1798232

Specimen JAX_1798233: postnatal adult; Hdac10tm1.1(KOMP)Mbp/Hdac10+ (more )
Structure Level Pattern Image Note
TS28: eye Present JAX_1798233

Specimen JAX_1798234: postnatal adult; Hdac10tm1.1(KOMP)Mbp/Hdac10+ (more )
Structure Level Pattern Image Note
TS28: brain Present JAX_1798234

Specimen JAX_1798235: postnatal adult; Hdac10tm1.1(KOMP)Mbp/Hdac10+ (more )
Structure Level Pattern Image Note
TS28: adrenal gland Present JAX_1798235

Specimen JAX_1798236: postnatal adult; Hdac10tm1.1(KOMP)Mbp/Hdac10+ (more )
Structure Level Pattern Image Note
TS28: thalamus Present JAX_1798236

Specimen JAX_1798237: postnatal adult; Hdac10tm1.1(KOMP)Mbp/Hdac10+ (more )
Structure Level Pattern Image Note
TS28: midbrain Present JAX_1798237

Specimen JAX_1798238: postnatal adult; Hdac10tm1.1(KOMP)Mbp/Hdac10+ (more )
Structure Level Pattern Image Note
TS28: epididymis Present JAX_1798238

Specimen JAX_1798239: postnatal adult; Hdac10tm1.1(KOMP)Mbp/Hdac10+ (more )
Structure Level Pattern Image Note
TS28: submandibular gland Present JAX_1798239

Specimen JAX_1798240: postnatal adult; Hdac10tm1.1(KOMP)Mbp/Hdac10+ (more )
Structure Level Pattern Image Note
TS28: bone marrow Present JAX_1798240

Specimen JAX_1798241: postnatal adult; Hdac10tm1.1(KOMP)Mbp/Hdac10+ (more )
Structure Level Pattern Image Note
TS28: bladder Present JAX_1798241

Specimen JAX_1798242: postnatal adult; Hdac10tm1.1(KOMP)Mbp/Hdac10+ (more )
Structure Level Pattern Image Note
TS28: corpus striatum Present JAX_1798242

Specimen JAX_1798243: postnatal adult; Hdac10tm1.1(KOMP)Mbp/Hdac10+ (more )
Structure Level Pattern Image Note
TS28: peripheral nervous system Present JAX_1798243

Specimen JAX_1798244: postnatal adult; Hdac10tm1.1(KOMP)Mbp/Hdac10+ (more )
Structure Level Pattern Image Note
TS28: olfactory lobe Present JAX_1798244

Specimen JAX_1798245: postnatal adult; Hdac10tm1.1(KOMP)Mbp/Hdac10+ (more )
Structure Level Pattern Image Note
TS28: hypothalamus Present JAX_1798245

Specimen JAX_1798246: postnatal adult; Hdac10tm1.1(KOMP)Mbp/Hdac10+ (more )
Structure Level Pattern Image Note
TS28: hippocampus Present JAX_1798246

Specimen JAX_1798247: postnatal adult; Hdac10tm1.1(KOMP)Mbp/Hdac10+ (more )
Structure Level Pattern Image Note
TS28: cerebellum Present JAX_1798247

Specimen JAX_1798248: postnatal adult; Hdac10tm1.1(KOMP)Mbp/Hdac10+ (more )
Structure Level Pattern Image Note
TS28: cerebral cortex Present JAX_1798248

Specimen JAX_1798249: postnatal adult; Hdac10tm1.1(KOMP)Mbp/Hdac10+ (more )
Structure Level Pattern Image Note
TS28: brainstem Present JAX_1798249

Specimen JAX_1798250: postnatal adult; Hdac10tm1.1(KOMP)Mbp/Hdac10+ (more )
Structure Level Pattern Image Note
TS28: spleen Present JAX_1798250

Specimen JAX_1798251: postnatal adult; Hdac10tm1.1(KOMP)Mbp/Hdac10+ (more )
Structure Level Pattern Image Note
TS28: pancreas Present JAX_1798251

Specimen JAX_1798252: postnatal adult; Hdac10tm1.1(KOMP)Mbp/Hdac10+ (more )
Structure Level Pattern Image Note
TS28: aorta Present JAX_1798252

Specimen JAX_1798253: postnatal adult; Hdac10tm1.1(KOMP)Mbp/Hdac10+ (more )
Structure Level Pattern Image Note
TS28: lung Present JAX_1798253

Specimen JAX_1798254: postnatal adult; Hdac10tm1.1(KOMP)Mbp/Hdac10+ (more )
Structure Level Pattern Image Note
TS28: small intestine Present JAX_1798254

Specimen JAX_1798255: postnatal adult; Hdac10tm1.1(KOMP)Mbp/Hdac10+ (more )
Structure Level Pattern Image Note
TS28: thyroid gland Present JAX_1798255

Specimen JAX_1798256: postnatal adult; Hdac10tm1.1(KOMP)Mbp/Hdac10+ (more )
Structure Level Pattern Image Note
TS28: spinal cord Present JAX_1798256

Specimen JAX_1798257: postnatal adult; Hdac10tm1.1(KOMP)Mbp/Hdac10+ (more )
Structure Level Pattern Image Note
TS28: esophagus Present JAX_1798257

Specimen JAX_1798258: postnatal adult; Hdac10tm1.1(KOMP)Mbp/Hdac10+ (more )
Structure Level Pattern Image Note
TS28: large intestine Present JAX_1798258

Specimen JAX_1798259: postnatal adult; Hdac10tm1.1(KOMP)Mbp/Hdac10+ (more )
Structure Level Pattern Image Note
TS28: trachea Present JAX_1798259

Specimen JAX_1798260: postnatal adult; Hdac10tm1.1(KOMP)Mbp/Hdac10+ (more )
Structure Level Pattern Image Note
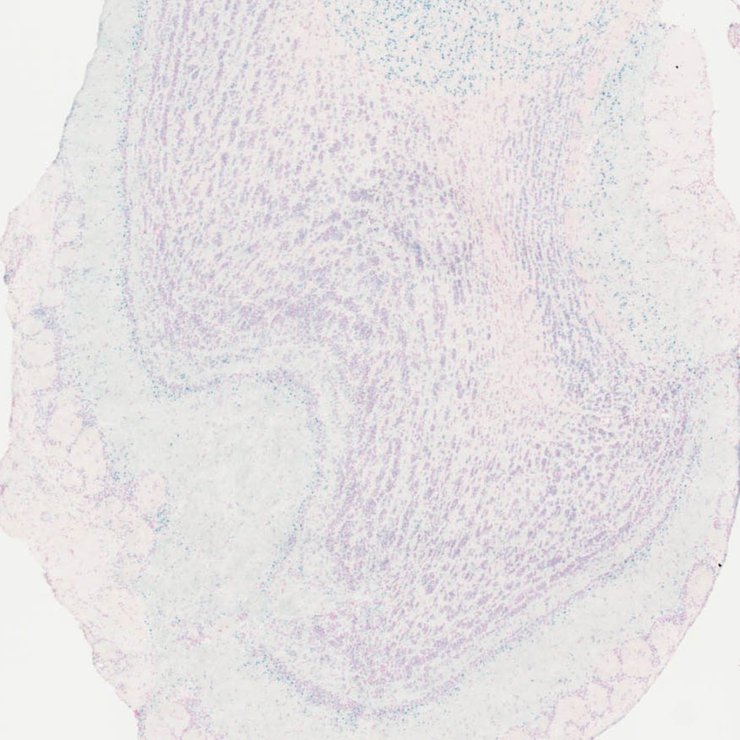
TS28: thymus Present JAX_1798260

Specimen JAX_1798261: postnatal adult; Hdac10tm1.1(KOMP)Mbp/Hdac10+ (more )
Structure Level Pattern Image Note
TS28: testis Present JAX_1798261

Specimen JAX_1798262: postnatal adult; Hdac10tm1.1(KOMP)Mbp/Hdac10+ (more )
Structure Level Pattern Image Note
TS28: stomach Present JAX_1798262

Specimen JAX_1798263: postnatal adult; Hdac10tm1.1(KOMP)Mbp/Hdac10+ (more )
Structure Level Pattern Image Note
TS28: skin Present JAX_1798263

Specimen JAX_1798264: postnatal adult; Hdac10tm1.1(KOMP)Mbp/Hdac10+ (more )
Structure Level Pattern Image Note
TS28: lymph node Present JAX_1798264

Specimen JAX_1798265: postnatal adult; Hdac10tm1.1(KOMP)Mbp/Hdac10+ (more )
Structure Level Pattern Image Note
TS28: liver Present JAX_1798265

Specimen JAX_1798266: postnatal adult; Hdac10tm1.1(KOMP)Mbp/Hdac10+ (more )
Structure Level Pattern Image Note
TS28: metanephros Present JAX_1798266 kidney

Specimen JAX_1798267: postnatal adult; Hdac10tm1.1(KOMP)Mbp/Hdac10+ (more )
Structure Level Pattern Image Note
TS28: heart Present JAX_1798267

Specimen JAX_1798268: postnatal adult; Hdac10tm1.1(KOMP)Mbp/Hdac10+ (more )
Structure Level Pattern Image Note
TS28: eye Present JAX_1798268

Specimen JAX_1798269: postnatal adult; Hdac10tm1.1(KOMP)Mbp/Hdac10+ (more )
Structure Level Pattern Image Note
TS28: brain Present JAX_1798269


Contributing Projects:
Mouse Genome Database (MGD), Gene Expression Database (GXD), Mouse Models of Human Cancer database (MMHCdb) (formerly Mouse Tumor Biology (MTB)), Gene Ontology (GO)
Citing These Resources
Funding Information
Warranty Disclaimer, Privacy Notice, Licensing, & Copyright
Send questions and comments to User Support.
last database update
12/30/2025
MGI 6.24
The Jackson Laboratory