About   Help   FAQ
Gene Expression Data
Assay Details
Assay
Reference: J:228563 Koscielny G, et al., The International Mouse Phenotyping Consortium Web Portal, a unified point of access for knockout mice and related phenotyping data. Nucleic Acids Res. 2014 Jan;42(Database issue):D802-9
Assay type: In situ reporter (knock in)
MGI Accession ID: MGI:6692475
Gene symbol: Caskin2
Gene name: CASK-interacting protein 2
Reporter: lacZ
Direct Detection
Results
Specimen UC Davis_1851437: postnatal adult; Caskin2tm1.1(KOMP)Vlcg/Caskin2+ (more )
Structure Level Pattern Image Note
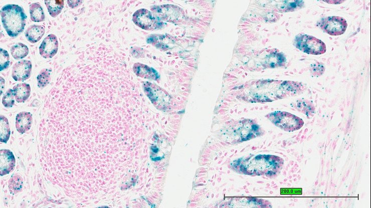
TS28: submandibular gland Present UC Davis_1851437

Specimen UC Davis_1851438: postnatal adult; Caskin2tm1.1(KOMP)Vlcg/Caskin2+ (more )
Structure Level Pattern Image Note
TS28: submandibular gland Present UC Davis_1851438

Specimen UC Davis_1851439: postnatal adult; Caskin2tm1.1(KOMP)Vlcg/Caskin2+ (more )
Structure Level Pattern Image Note
TS28: submandibular gland Present UC Davis_1851439

Specimen UC Davis_1851440: postnatal adult; Caskin2tm1.1(KOMP)Vlcg/Caskin2+ (more )
Structure Level Pattern Image Note
TS28: sublingual gland Present UC Davis_1851440

Specimen UC Davis_1851441: postnatal adult; Caskin2tm1.1(KOMP)Vlcg/Caskin2+ (more )
Structure Level Pattern Image Note
TS28: sublingual gland Present UC Davis_1851441

Specimen UC Davis_1851442: postnatal adult; Caskin2tm1.1(KOMP)Vlcg/Caskin2+ (more )
Structure Level Pattern Image Note
TS28: sublingual gland Present UC Davis_1851442

Specimen UC Davis_1851443: postnatal adult; Caskin2tm1.1(KOMP)Vlcg/Caskin2+ (more )
Structure Level Pattern Image Note
TS28: parotid gland Present UC Davis_1851443

Specimen UC Davis_1851444: postnatal adult; Caskin2tm1.1(KOMP)Vlcg/Caskin2+ (more )
Structure Level Pattern Image Note
TS28: parotid gland Present UC Davis_1851444

Specimen UC Davis_1851445: postnatal adult; Caskin2tm1.1(KOMP)Vlcg/Caskin2+ (more )
Structure Level Pattern Image Note
TS28: trachea Present UC Davis_1851445

Specimen UC Davis_1851446: postnatal adult; Caskin2tm1.1(KOMP)Vlcg/Caskin2+ (more )
Structure Level Pattern Image Note
TS28: trachea Present UC Davis_1851446

Specimen UC Davis_1851447: postnatal adult; Caskin2tm1.1(KOMP)Vlcg/Caskin2+ (more )
Structure Level Pattern Image Note
TS28: trachea Present UC Davis_1851447

Specimen UC Davis_1851448: postnatal adult; Caskin2tm1.1(KOMP)Vlcg/Caskin2+ (more )
Structure Level Pattern Image Note
TS28: trachea Present UC Davis_1851448

Specimen UC Davis_1851449: postnatal adult; Caskin2tm1.1(KOMP)Vlcg/Caskin2+ (more )
Structure Level Pattern Image Note
TS28: esophagus Present UC Davis_1851449

Specimen UC Davis_1851450: postnatal adult; Caskin2tm1.1(KOMP)Vlcg/Caskin2+ (more )
Structure Level Pattern Image Note
TS28: esophagus Present UC Davis_1851450

Specimen UC Davis_1851451: postnatal adult; Caskin2tm1.1(KOMP)Vlcg/Caskin2+ (more )
Structure Level Pattern Image Note
TS28: aorta Present UC Davis_1851451

Specimen UC Davis_1851452: postnatal adult; Caskin2tm1.1(KOMP)Vlcg/Caskin2+ (more )
Structure Level Pattern Image Note
TS28: aorta Present UC Davis_1851452

Specimen UC Davis_1851453: postnatal adult; Caskin2tm1.1(KOMP)Vlcg/Caskin2+ (more )
Structure Level Pattern Image Note
TS28: lung Present UC Davis_1851453

Specimen UC Davis_1851454: postnatal adult; Caskin2tm1.1(KOMP)Vlcg/Caskin2+ (more )
Structure Level Pattern Image Note
TS28: lung Present UC Davis_1851454

Specimen UC Davis_1851455: postnatal adult; Caskin2tm1.1(KOMP)Vlcg/Caskin2+ (more )
Structure Level Pattern Image Note
TS28: lung Present UC Davis_1851455

Specimen UC Davis_1851456: postnatal adult; Caskin2tm1.1(KOMP)Vlcg/Caskin2+ (more )
Structure Level Pattern Image Note
TS28: lung Present UC Davis_1851456

Specimen UC Davis_1851457: postnatal adult; Caskin2tm1.1(KOMP)Vlcg/Caskin2+ (more )
Structure Level Pattern Image Note
TS28: thymus Present UC Davis_1851457

Specimen UC Davis_1851458: postnatal adult; Caskin2tm1.1(KOMP)Vlcg/Caskin2+ (more )
Structure Level Pattern Image Note
TS28: thymus Present UC Davis_1851458

Specimen UC Davis_1851459: postnatal adult; Caskin2tm1.1(KOMP)Vlcg/Caskin2+ (more )
Structure Level Pattern Image Note
TS28: thymus Present UC Davis_1851459

Specimen UC Davis_1851465: postnatal adult; Caskin2tm1.1(KOMP)Vlcg/Caskin2+ (more )
Structure Level Pattern Image Note
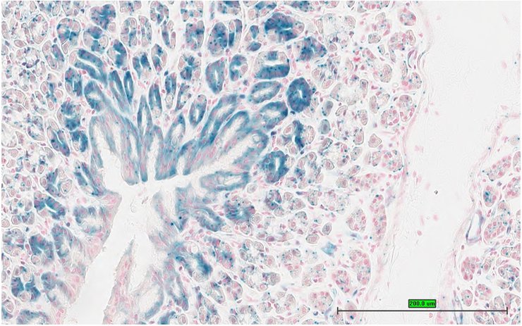
TS28: stomach Present UC Davis_1851465

Specimen UC Davis_1851466: postnatal adult; Caskin2tm1.1(KOMP)Vlcg/Caskin2+ (more )
Structure Level Pattern Image Note
TS28: stomach Present UC Davis_1851466

Specimen UC Davis_1851467: postnatal adult; Caskin2tm1.1(KOMP)Vlcg/Caskin2+ (more )
Structure Level Pattern Image Note
TS28: stomach Present UC Davis_1851467

Specimen UC Davis_1851468: postnatal adult; Caskin2tm1.1(KOMP)Vlcg/Caskin2+ (more )
Structure Level Pattern Image Note
TS28: stomach Present UC Davis_1851468

Specimen UC Davis_1851469: postnatal adult; Caskin2tm1.1(KOMP)Vlcg/Caskin2+ (more )
Structure Level Pattern Image Note
TS28: ileum Present UC Davis_1851469

Specimen UC Davis_1851470: postnatal adult; Caskin2tm1.1(KOMP)Vlcg/Caskin2+ (more )
Structure Level Pattern Image Note
TS28: ileum Present UC Davis_1851470

Specimen UC Davis_1851471: postnatal adult; Caskin2tm1.1(KOMP)Vlcg/Caskin2+ (more )
Structure Level Pattern Image Note
TS28: ileum Present UC Davis_1851471

Specimen UC Davis_1851472: postnatal adult; Caskin2tm1.1(KOMP)Vlcg/Caskin2+ (more )
Structure Level Pattern Image Note
TS28: colon Present UC Davis_1851472

Specimen UC Davis_1851473: postnatal adult; Caskin2tm1.1(KOMP)Vlcg/Caskin2+ (more )
Structure Level Pattern Image Note
TS28: colon Present UC Davis_1851473

Specimen UC Davis_1851474: postnatal adult; Caskin2tm1.1(KOMP)Vlcg/Caskin2+ (more )
Structure Level Pattern Image Note
TS28: colon Present UC Davis_1851474

Specimen UC Davis_1851475: postnatal adult; Caskin2tm1.1(KOMP)Vlcg/Caskin2+ (more )
Structure Level Pattern Image Note
TS28: colon Present UC Davis_1851475

Specimen UC Davis_1851476: postnatal adult; Caskin2tm1.1(KOMP)Vlcg/Caskin2+ (more )
Structure Level Pattern Image Note
TS28: colon Present UC Davis_1851476

Specimen UC Davis_1851477: postnatal adult; Caskin2tm1.1(KOMP)Vlcg/Caskin2+ (more )
Structure Level Pattern Image Note
TS28: colon Present UC Davis_1851477

Specimen UC Davis_1851478: postnatal adult; Caskin2tm1.1(KOMP)Vlcg/Caskin2+ (more )
Structure Level Pattern Image Note
TS28: spleen Present UC Davis_1851478

Specimen UC Davis_1851479: postnatal adult; Caskin2tm1.1(KOMP)Vlcg/Caskin2+ (more )
Structure Level Pattern Image Note
TS28: spleen Present UC Davis_1851479

Specimen UC Davis_1851480: postnatal adult; Caskin2tm1.1(KOMP)Vlcg/Caskin2+ (more )
Structure Level Pattern Image Note
TS28: spleen Present UC Davis_1851480

Specimen UC Davis_1851481: postnatal adult; Caskin2tm1.1(KOMP)Vlcg/Caskin2+ (more )
Structure Level Pattern Image Note
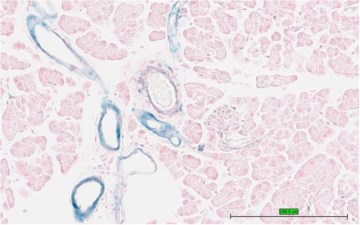
TS28: pancreas Present UC Davis_1851481

Specimen UC Davis_1851482: postnatal adult; Caskin2tm1.1(KOMP)Vlcg/Caskin2+ (more )
Structure Level Pattern Image Note
TS28: pancreas Present UC Davis_1851482

Specimen UC Davis_1851483: postnatal adult; Caskin2tm1.1(KOMP)Vlcg/Caskin2+ (more )
Structure Level Pattern Image Note
TS28: pancreas Present UC Davis_1851483

Specimen UC Davis_1851484: postnatal adult; Caskin2tm1.1(KOMP)Vlcg/Caskin2+ (more )
Structure Level Pattern Image Note
TS28: liver Present UC Davis_1851484

Specimen UC Davis_1851485: postnatal adult; Caskin2tm1.1(KOMP)Vlcg/Caskin2+ (more )
Structure Level Pattern Image Note
TS28: liver Present UC Davis_1851485

Specimen UC Davis_1851486: postnatal adult; Caskin2tm1.1(KOMP)Vlcg/Caskin2+ (more )
Structure Level Pattern Image Note
TS28: liver Present UC Davis_1851486

Specimen UC Davis_1851487: postnatal adult; Caskin2tm1.1(KOMP)Vlcg/Caskin2+ (more )
Structure Level Pattern Image Note
TS28: metanephros Present UC Davis_1851487 kidney

Specimen UC Davis_1851488: postnatal adult; Caskin2tm1.1(KOMP)Vlcg/Caskin2+ (more )
Structure Level Pattern Image Note
TS28: metanephros Present UC Davis_1851488 kidney

Specimen UC Davis_1851489: postnatal adult; Caskin2tm1.1(KOMP)Vlcg/Caskin2+ (more )
Structure Level Pattern Image Note
TS28: metanephros Present UC Davis_1851489 kidney

Specimen UC Davis_1851490: postnatal adult; Caskin2tm1.1(KOMP)Vlcg/Caskin2+ (more )
Structure Level Pattern Image Note
TS28: metanephros Present UC Davis_1851490 kidney

Specimen UC Davis_1851491: postnatal adult; Caskin2tm1.1(KOMP)Vlcg/Caskin2+ (more )
Structure Level Pattern Image Note
TS28: metanephros Present UC Davis_1851491 kidney

Specimen UC Davis_1851492: postnatal adult; Caskin2tm1.1(KOMP)Vlcg/Caskin2+ (more )
Structure Level Pattern Image Note
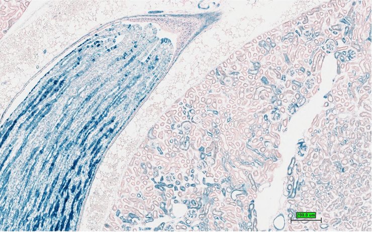
TS28: quadriceps femoris muscle Present UC Davis_1851492

Specimen UC Davis_1851493: postnatal adult; Caskin2tm1.1(KOMP)Vlcg/Caskin2+ (more )
Structure Level Pattern Image Note
TS28: quadriceps femoris muscle Present UC Davis_1851493

Specimen UC Davis_1851494: postnatal adult; Caskin2tm1.1(KOMP)Vlcg/Caskin2+ (more )
Structure Level Pattern Image Note
TS28: quadriceps femoris muscle Present UC Davis_1851494

Specimen UC Davis_1851495: postnatal adult; Caskin2tm1.1(KOMP)Vlcg/Caskin2+ (more )
Structure Level Pattern Image Note
TS28: tongue Present UC Davis_1851495

Specimen UC Davis_1851496: postnatal adult; Caskin2tm1.1(KOMP)Vlcg/Caskin2+ (more )
Structure Level Pattern Image Note
TS28: tongue Present UC Davis_1851496

Specimen UC Davis_1851497: postnatal adult; Caskin2tm1.1(KOMP)Vlcg/Caskin2+ (more )
Structure Level Pattern Image Note
TS28: tongue Present UC Davis_1851497

Specimen UC Davis_1851498: postnatal adult; Caskin2tm1.1(KOMP)Vlcg/Caskin2+ (more )
Structure Level Pattern Image Note
TS28: tongue Present UC Davis_1851498

Specimen UC Davis_1851499: postnatal adult; Caskin2tm1.1(KOMP)Vlcg/Caskin2+ (more )
Structure Level Pattern Image Note
TS28: tongue Present UC Davis_1851499

Specimen UC Davis_1851500: postnatal adult; Caskin2tm1.1(KOMP)Vlcg/Caskin2+ (more )
Structure Level Pattern Image Note
TS28: diaphragm Present UC Davis_1851500

Specimen UC Davis_1851501: postnatal adult; Caskin2tm1.1(KOMP)Vlcg/Caskin2+ (more )
Structure Level Pattern Image Note
TS28: diaphragm Present UC Davis_1851501

Specimen UC Davis_1851502: postnatal adult; Caskin2tm1.1(KOMP)Vlcg/Caskin2+ (more )
Structure Level Pattern Image Note
TS28: adrenal gland Present UC Davis_1851502

Specimen UC Davis_1851503: postnatal adult; Caskin2tm1.1(KOMP)Vlcg/Caskin2+ (more )
Structure Level Pattern Image Note
TS28: adrenal gland Present UC Davis_1851503

Specimen UC Davis_1851504: postnatal adult; Caskin2tm1.1(KOMP)Vlcg/Caskin2+ (more )
Structure Level Pattern Image Note
TS28: adrenal gland Present UC Davis_1851504

Specimen UC Davis_1851505: postnatal adult; Caskin2tm1.1(KOMP)Vlcg/Caskin2+ (more )
Structure Level Pattern Image Note
TS28: adrenal gland Present UC Davis_1851505

Specimen UC Davis_1851506: postnatal adult; Caskin2tm1.1(KOMP)Vlcg/Caskin2+ (more )
Structure Level Pattern Image Note
TS28: pituitary gland Present UC Davis_1851506

Specimen UC Davis_1851507: postnatal adult; Caskin2tm1.1(KOMP)Vlcg/Caskin2+ (more )
Structure Level Pattern Image Note
TS28: pituitary gland Present UC Davis_1851507

Specimen UC Davis_1851508: postnatal adult; Caskin2tm1.1(KOMP)Vlcg/Caskin2+ (more )
Structure Level Pattern Image Note
TS28: pituitary gland Present UC Davis_1851508

Specimen UC Davis_1851509: postnatal adult; Caskin2tm1.1(KOMP)Vlcg/Caskin2+ (more )
Structure Level Pattern Image Note
TS28: spinal cord Present UC Davis_1851509

Specimen UC Davis_1851510: postnatal adult; Caskin2tm1.1(KOMP)Vlcg/Caskin2+ (more )
Structure Level Pattern Image Note
TS28: spinal cord Present UC Davis_1851510

Specimen UC Davis_1851511: postnatal adult; Caskin2tm1.1(KOMP)Vlcg/Caskin2+ (more )
Structure Level Pattern Image Note
TS28: eye Present UC Davis_1851511

Specimen UC Davis_1851512: postnatal adult; Caskin2tm1.1(KOMP)Vlcg/Caskin2+ (more )
Structure Level Pattern Image Note
TS28: eye Present UC Davis_1851512

Specimen UC Davis_1851513: postnatal adult; Caskin2tm1.1(KOMP)Vlcg/Caskin2+ (more )
Structure Level Pattern Image Note
TS28: eye Present UC Davis_1851513

Specimen UC Davis_1851514: postnatal adult; Caskin2tm1.1(KOMP)Vlcg/Caskin2+ (more )
Structure Level Pattern Image Note
TS28: eye Present UC Davis_1851514

Specimen UC Davis_1851515: postnatal adult; Caskin2tm1.1(KOMP)Vlcg/Caskin2+ (more )
Structure Level Pattern Image Note
TS28: eye Present UC Davis_1851515

Specimen UC Davis_1851516: postnatal adult; Caskin2tm1.1(KOMP)Vlcg/Caskin2+ (more )
Structure Level Pattern Image Note
TS28: eye Present UC Davis_1851516

Specimen UC Davis_1851517: postnatal adult; Caskin2tm1.1(KOMP)Vlcg/Caskin2+ (more )
Structure Level Pattern Image Note
TS28: Harderian gland Present UC Davis_1851517

Specimen UC Davis_1851518: postnatal adult; Caskin2tm1.1(KOMP)Vlcg/Caskin2+ (more )
Structure Level Pattern Image Note
TS28: Harderian gland Present UC Davis_1851518

Specimen UC Davis_1851519: postnatal adult; Caskin2tm1.1(KOMP)Vlcg/Caskin2+ (more )
Structure Level Pattern Image Note
TS28: skin Present UC Davis_1851519

Specimen UC Davis_1851520: postnatal adult; Caskin2tm1.1(KOMP)Vlcg/Caskin2+ (more )
Structure Level Pattern Image Note
TS28: skin Present UC Davis_1851520

Specimen UC Davis_1851521: postnatal adult; Caskin2tm1.1(KOMP)Vlcg/Caskin2+ (more )
Structure Level Pattern Image Note
TS28: skin Present UC Davis_1851521

Specimen UC Davis_1851522: postnatal adult; Caskin2tm1.1(KOMP)Vlcg/Caskin2+ (more )
Structure Level Pattern Image Note
TS28: skin Present UC Davis_1851522

Specimen UC Davis_1851523: postnatal adult; Caskin2tm1.1(KOMP)Vlcg/Caskin2+ (more )
Structure Level Pattern Image Note
TS28: skin Present UC Davis_1851523

Specimen UC Davis_1851524: postnatal adult; Caskin2tm1.1(KOMP)Vlcg/Caskin2+ (more )
Structure Level Pattern Image Note
TS28: brown fat Present UC Davis_1851524

Specimen UC Davis_1851525: postnatal adult; Caskin2tm1.1(KOMP)Vlcg/Caskin2+ (more )
Structure Level Pattern Image Note
TS28: brown fat Present UC Davis_1851525

Specimen UC Davis_1851526: postnatal adult; Caskin2tm1.1(KOMP)Vlcg/Caskin2+ (more )
Structure Level Pattern Image Note
TS28: brown fat Present UC Davis_1851526

Specimen UC Davis_1851527: postnatal adult; Caskin2tm1.1(KOMP)Vlcg/Caskin2+ (more )
Structure Level Pattern Image Note
TS28: olfactory lobe Present UC Davis_1851527

Specimen UC Davis_1851529: postnatal adult; Caskin2tm1.1(KOMP)Vlcg/Caskin2+ (more )
Structure Level Pattern Image Note
TS28: midbrain Present UC Davis_1851529

Specimen UC Davis_1851530: postnatal adult; Caskin2tm1.1(KOMP)Vlcg/Caskin2+ (more )
Structure Level Pattern Image Note
TS28: midbrain Present UC Davis_1851530

Specimen UC Davis_1851531: postnatal adult; Caskin2tm1.1(KOMP)Vlcg/Caskin2+ (more )
Structure Level Pattern Image Note
TS28: midbrain Present UC Davis_1851531

Specimen UC Davis_1851533: postnatal adult; Caskin2tm1.1(KOMP)Vlcg/Caskin2+ (more )
Structure Level Pattern Image Note
TS28: cerebellum Present UC Davis_1851533

Specimen UC Davis_1851534: postnatal adult; Caskin2tm1.1(KOMP)Vlcg/Caskin2+ (more )
Structure Level Pattern Image Note
TS28: ovary Present UC Davis_1851534

Specimen UC Davis_1851535: postnatal adult; Caskin2tm1.1(KOMP)Vlcg/Caskin2+ (more )
Structure Level Pattern Image Note
TS28: ovary Present UC Davis_1851535

Specimen UC Davis_1851536: postnatal adult; Caskin2tm1.1(KOMP)Vlcg/Caskin2+ (more )
Structure Level Pattern Image Note
TS28: ovary Present UC Davis_1851536

Specimen UC Davis_1851537: postnatal adult; Caskin2tm1.1(KOMP)Vlcg/Caskin2+ (more )
Structure Level Pattern Image Note
TS28: oviduct Present UC Davis_1851537

Specimen UC Davis_1851538: postnatal adult; Caskin2tm1.1(KOMP)Vlcg/Caskin2+ (more )
Structure Level Pattern Image Note
TS28: oviduct Present UC Davis_1851538

Specimen UC Davis_1851539: postnatal adult; Caskin2tm1.1(KOMP)Vlcg/Caskin2+ (more )
Structure Level Pattern Image Note
TS28: oviduct Present UC Davis_1851539

Specimen UC Davis_1851540: postnatal adult; Caskin2tm1.1(KOMP)Vlcg/Caskin2+ (more )
Structure Level Pattern Image Note
TS28: uterus Present UC Davis_1851540

Specimen UC Davis_1851541: postnatal adult; Caskin2tm1.1(KOMP)Vlcg/Caskin2+ (more )
Structure Level Pattern Image Note
TS28: uterus Present UC Davis_1851541

Specimen UC Davis_1851542: postnatal adult; Caskin2tm1.1(KOMP)Vlcg/Caskin2+ (more )
Structure Level Pattern Image Note
TS28: uterus Present UC Davis_1851542

Specimen UC Davis_1851543: postnatal adult; Caskin2tm1.1(KOMP)Vlcg/Caskin2+ (more )
Structure Level Pattern Image Note
TS28: vagina Present UC Davis_1851543

Specimen UC Davis_1851544: postnatal adult; Caskin2tm1.1(KOMP)Vlcg/Caskin2+ (more )
Structure Level Pattern Image Note
TS28: vagina Present UC Davis_1851544

Specimen UC Davis_1851545: postnatal adult; Caskin2tm1.1(KOMP)Vlcg/Caskin2+ (more )
Structure Level Pattern Image Note
TS28: vagina Present UC Davis_1851545

Specimen UC Davis_1851546: postnatal adult; Caskin2tm1.1(KOMP)Vlcg/Caskin2+ (more )
Structure Level Pattern Image Note
TS28: bladder Present UC Davis_1851546

Specimen UC Davis_1851547: postnatal adult; Caskin2tm1.1(KOMP)Vlcg/Caskin2+ (more )
Structure Level Pattern Image Note
TS28: bladder Present UC Davis_1851547

Specimen UC Davis_1851550: postnatal adult; Caskin2tm1.1(KOMP)Vlcg/Caskin2+ (more )
Structure Level Pattern Image Note
TS28: mammary gland Present UC Davis_1851550

Specimen UC Davis_1851551: postnatal adult; Caskin2tm1.1(KOMP)Vlcg/Caskin2+ (more )
Structure Level Pattern Image Note
TS28: mammary gland Present UC Davis_1851551

Specimen UC Davis_1851552: postnatal adult; Caskin2tm1.1(KOMP)Vlcg/Caskin2+ (more )
Structure Level Pattern Image Note
TS28: mammary gland Present UC Davis_1851552

Specimen UC Davis_1851764: postnatal adult; Caskin2tm1.1(KOMP)Vlcg/Caskin2+ (more )
Structure Level Pattern Image Note
TS28: tongue Present UC Davis_1851764

Specimen UC Davis_1851765: postnatal adult; Caskin2tm1.1(KOMP)Vlcg/Caskin2+ (more )
Structure Level Pattern Image Note
TS28: spleen Present UC Davis_1851765

Specimen UC Davis_1851766: postnatal adult; Caskin2tm1.1(KOMP)Vlcg/Caskin2+ (more )
Structure Level Pattern Image Note
TS28: pancreas Present UC Davis_1851766

Specimen UC Davis_1851767: postnatal adult; Caskin2tm1.1(KOMP)Vlcg/Caskin2+ (more )
Structure Level Pattern Image Note
TS28: olfactory lobe Present UC Davis_1851767

Specimen UC Davis_1851769: postnatal adult; Caskin2tm1.1(KOMP)Vlcg/Caskin2+ (more )
Structure Level Pattern Image Note
TS28: midbrain Present UC Davis_1851769

Specimen UC Davis_1851771: postnatal adult; Caskin2tm1.1(KOMP)Vlcg/Caskin2+ (more )
Structure Level Pattern Image Note
TS28: cerebellum Present UC Davis_1851771

Specimen UC Davis_1851772: postnatal adult; Caskin2tm1.1(KOMP)Vlcg/Caskin2+ (more )
Structure Level Pattern Image Note
TS28: brain Present UC Davis_1851772

Specimen UC Davis_1851774: postnatal adult; Caskin2tm1.1(KOMP)Vlcg/Caskin2+ (more )
Structure Level Pattern Image Note
TS28: lung Present UC Davis_1851774

Specimen UC Davis_1851775: postnatal adult; Caskin2tm1.1(KOMP)Vlcg/Caskin2+ (more )
Structure Level Pattern Image Note
TS28: aorta Present UC Davis_1851775

Specimen UC Davis_1851777: postnatal adult; Caskin2tm1.1(KOMP)Vlcg/Caskin2+ (more )
Structure Level Pattern Image Note
TS28: thymus Present UC Davis_1851777

Specimen UC Davis_1851778: postnatal adult; Caskin2tm1.1(KOMP)Vlcg/Caskin2+ (more )
Structure Level Pattern Image Note
TS28: metanephros Present UC Davis_1851778 kidney

Specimen UC Davis_1851779: postnatal adult; Caskin2tm1.1(KOMP)Vlcg/Caskin2+ (more )
Structure Level Pattern Image Note
TS28: adrenal gland Present UC Davis_1851779

Specimen UC Davis_1851780: postnatal adult; Caskin2tm1.1(KOMP)Vlcg/Caskin2+ (more )
Structure Level Pattern Image Note
TS28: diaphragm Present UC Davis_1851780

Specimen UC Davis_1851781: postnatal adult; Caskin2tm1.1(KOMP)Vlcg/Caskin2+ (more )
Structure Level Pattern Image Note
TS28: skin Present UC Davis_1851781

Specimen UC Davis_1851782: postnatal adult; Caskin2tm1.1(KOMP)Vlcg/Caskin2+ (more )
Structure Level Pattern Image Note
TS28: skin Present UC Davis_1851782

Specimen UC Davis_1851784: postnatal adult; Caskin2tm1.1(KOMP)Vlcg/Caskin2+ (more )
Structure Level Pattern Image Note
TS28: trachea Present UC Davis_1851784

Specimen UC Davis_1851786: postnatal adult; Caskin2tm1.1(KOMP)Vlcg/Caskin2+ (more )
Structure Level Pattern Image Note
TS28: esophagus Present UC Davis_1851786

Specimen UC Davis_1851787: postnatal adult; Caskin2tm1.1(KOMP)Vlcg/Caskin2+ (more )
Structure Level Pattern Image Note
TS28: thyroid gland Present UC Davis_1851787

Specimen UC Davis_1851788: postnatal adult; Caskin2tm1.1(KOMP)Vlcg/Caskin2+ (more )
Structure Level Pattern Image Note
TS28: spinal cord Present UC Davis_1851788

Specimen UC Davis_1851789: postnatal adult; Caskin2tm1.1(KOMP)Vlcg/Caskin2+ (more )
Structure Level Pattern Image Note
TS28: stomach Present UC Davis_1851789

Specimen UC Davis_1851790: postnatal adult; Caskin2tm1.1(KOMP)Vlcg/Caskin2+ (more )
Structure Level Pattern Image Note
TS28: duodenum Present UC Davis_1851790

Specimen UC Davis_1851791: postnatal adult; Caskin2tm1.1(KOMP)Vlcg/Caskin2+ (more )
Structure Level Pattern Image Note
TS28: jejunum Present UC Davis_1851791

Specimen UC Davis_1851792: postnatal adult; Caskin2tm1.1(KOMP)Vlcg/Caskin2+ (more )
Structure Level Pattern Image Note
TS28: ileum Present UC Davis_1851792

Specimen UC Davis_1851793: postnatal adult; Caskin2tm1.1(KOMP)Vlcg/Caskin2+ (more )
Structure Level Pattern Image Note
TS28: cecum Present UC Davis_1851793

Specimen UC Davis_1851794: postnatal adult; Caskin2tm1.1(KOMP)Vlcg/Caskin2+ (more )
Structure Level Pattern Image Note
TS28: colon Present UC Davis_1851794

Specimen UC Davis_1851795: postnatal adult; Caskin2tm1.1(KOMP)Vlcg/Caskin2+ (more )
Structure Level Pattern Image Note
TS28: mesenteric lymph node Present UC Davis_1851795

Specimen UC Davis_1851796: postnatal adult; Caskin2tm1.1(KOMP)Vlcg/Caskin2+ (more )
Structure Level Pattern Image Note
TS28: mesenteric adipose tissue Present UC Davis_1851796

Specimen UC Davis_1851797: postnatal adult; Caskin2tm1.1(KOMP)Vlcg/Caskin2+ (more )
Structure Level Pattern Image Note
TS28: bladder Present UC Davis_1851797

Specimen UC Davis_1851798: postnatal adult; Caskin2tm1.1(KOMP)Vlcg/Caskin2+ (more )
Structure Level Pattern Image Note
TS28: gonadal fat pad Present UC Davis_1851798

Specimen UC Davis_1851799: postnatal adult; Caskin2tm1.1(KOMP)Vlcg/Caskin2+ (more )
Structure Level Pattern Image Note
TS28: ovary Present UC Davis_1851799

Specimen UC Davis_1851800: postnatal adult; Caskin2tm1.1(KOMP)Vlcg/Caskin2+ (more )
Structure Level Pattern Image Note
TS28: oviduct Present UC Davis_1851800

Specimen UC Davis_1851801: postnatal adult; Caskin2tm1.1(KOMP)Vlcg/Caskin2+ (more )
Structure Level Pattern Image Note
TS28: uterus Present UC Davis_1851801

Specimen UC Davis_1851802: postnatal adult; Caskin2tm1.1(KOMP)Vlcg/Caskin2+ (more )
Structure Level Pattern Image Note
TS28: uterus Present UC Davis_1851802

Specimen UC Davis_1851803: postnatal adult; Caskin2tm1.1(KOMP)Vlcg/Caskin2+ (more )
Structure Level Pattern Image Note
TS28: gallbladder Present UC Davis_1851803

Specimen UC Davis_1851635: postnatal adult; Caskin2tm1.1(KOMP)Vlcg/Caskin2tm1.1(KOMP)Vlcg (more )
Structure Level Pattern Image Note
TS28: submandibular gland Present UC Davis_1851635

Specimen UC Davis_1851636: postnatal adult; Caskin2tm1.1(KOMP)Vlcg/Caskin2tm1.1(KOMP)Vlcg (more )
Structure Level Pattern Image Note
TS28: submandibular gland Present UC Davis_1851636

Specimen UC Davis_1851637: postnatal adult; Caskin2tm1.1(KOMP)Vlcg/Caskin2tm1.1(KOMP)Vlcg (more )
Structure Level Pattern Image Note
TS28: submandibular gland Present UC Davis_1851637

Specimen UC Davis_1851638: postnatal adult; Caskin2tm1.1(KOMP)Vlcg/Caskin2tm1.1(KOMP)Vlcg (more )
Structure Level Pattern Image Note
TS28: sublingual gland Present UC Davis_1851638

Specimen UC Davis_1851639: postnatal adult; Caskin2tm1.1(KOMP)Vlcg/Caskin2tm1.1(KOMP)Vlcg (more )
Structure Level Pattern Image Note
TS28: sublingual gland Present UC Davis_1851639

Specimen UC Davis_1851640: postnatal adult; Caskin2tm1.1(KOMP)Vlcg/Caskin2tm1.1(KOMP)Vlcg (more )
Structure Level Pattern Image Note
TS28: parotid gland Present UC Davis_1851640

Specimen UC Davis_1851641: postnatal adult; Caskin2tm1.1(KOMP)Vlcg/Caskin2tm1.1(KOMP)Vlcg (more )
Structure Level Pattern Image Note
TS28: parotid gland Present UC Davis_1851641

Specimen UC Davis_1851645: postnatal adult; Caskin2tm1.1(KOMP)Vlcg/Caskin2tm1.1(KOMP)Vlcg (more )
Structure Level Pattern Image Note
TS28: trachea Present UC Davis_1851645

Specimen UC Davis_1851646: postnatal adult; Caskin2tm1.1(KOMP)Vlcg/Caskin2tm1.1(KOMP)Vlcg (more )
Structure Level Pattern Image Note
TS28: trachea Present UC Davis_1851646

Specimen UC Davis_1851647: postnatal adult; Caskin2tm1.1(KOMP)Vlcg/Caskin2tm1.1(KOMP)Vlcg (more )
Structure Level Pattern Image Note
TS28: trachea Present UC Davis_1851647

Specimen UC Davis_1851648: postnatal adult; Caskin2tm1.1(KOMP)Vlcg/Caskin2tm1.1(KOMP)Vlcg (more )
Structure Level Pattern Image Note
TS28: esophagus Present UC Davis_1851648

Specimen UC Davis_1851649: postnatal adult; Caskin2tm1.1(KOMP)Vlcg/Caskin2tm1.1(KOMP)Vlcg (more )
Structure Level Pattern Image Note
TS28: esophagus Present UC Davis_1851649

Specimen UC Davis_1851650: postnatal adult; Caskin2tm1.1(KOMP)Vlcg/Caskin2tm1.1(KOMP)Vlcg (more )
Structure Level Pattern Image Note
TS28: esophagus Present UC Davis_1851650

Specimen UC Davis_1851651: postnatal adult; Caskin2tm1.1(KOMP)Vlcg/Caskin2tm1.1(KOMP)Vlcg (more )
Structure Level Pattern Image Note
TS28: thyroid gland Present UC Davis_1851651

Specimen UC Davis_1851652: postnatal adult; Caskin2tm1.1(KOMP)Vlcg/Caskin2tm1.1(KOMP)Vlcg (more )
Structure Level Pattern Image Note
TS28: thyroid gland Present UC Davis_1851652

Specimen UC Davis_1851653: postnatal adult; Caskin2tm1.1(KOMP)Vlcg/Caskin2tm1.1(KOMP)Vlcg (more )
Structure Level Pattern Image Note
TS28: parathyroid gland Present UC Davis_1851653

Specimen UC Davis_1851654: postnatal adult; Caskin2tm1.1(KOMP)Vlcg/Caskin2tm1.1(KOMP)Vlcg (more )
Structure Level Pattern Image Note
TS28: aorta Present UC Davis_1851654

Specimen UC Davis_1851655: postnatal adult; Caskin2tm1.1(KOMP)Vlcg/Caskin2tm1.1(KOMP)Vlcg (more )
Structure Level Pattern Image Note
TS28: aorta Present UC Davis_1851655

Specimen UC Davis_1851656: postnatal adult; Caskin2tm1.1(KOMP)Vlcg/Caskin2tm1.1(KOMP)Vlcg (more )
Structure Level Pattern Image Note
TS28: lung Present UC Davis_1851656

Specimen UC Davis_1851657: postnatal adult; Caskin2tm1.1(KOMP)Vlcg/Caskin2tm1.1(KOMP)Vlcg (more )
Structure Level Pattern Image Note
TS28: lung Present UC Davis_1851657

Specimen UC Davis_1851658: postnatal adult; Caskin2tm1.1(KOMP)Vlcg/Caskin2tm1.1(KOMP)Vlcg (more )
Structure Level Pattern Image Note
TS28: lung Present UC Davis_1851658

Specimen UC Davis_1851659: postnatal adult; Caskin2tm1.1(KOMP)Vlcg/Caskin2tm1.1(KOMP)Vlcg (more )
Structure Level Pattern Image Note
TS28: lung Present UC Davis_1851659

Specimen UC Davis_1851660: postnatal adult; Caskin2tm1.1(KOMP)Vlcg/Caskin2tm1.1(KOMP)Vlcg (more )
Structure Level Pattern Image Note
TS28: thymus Present UC Davis_1851660

Specimen UC Davis_1851661: postnatal adult; Caskin2tm1.1(KOMP)Vlcg/Caskin2tm1.1(KOMP)Vlcg (more )
Structure Level Pattern Image Note
TS28: thymus Present UC Davis_1851661

Specimen UC Davis_1851662: postnatal adult; Caskin2tm1.1(KOMP)Vlcg/Caskin2tm1.1(KOMP)Vlcg (more )
Structure Level Pattern Image Note
TS28: thymus Present UC Davis_1851662

Specimen UC Davis_1851669: postnatal adult; Caskin2tm1.1(KOMP)Vlcg/Caskin2tm1.1(KOMP)Vlcg (more )
Structure Level Pattern Image Note
TS28: stomach Present UC Davis_1851669

Specimen UC Davis_1851670: postnatal adult; Caskin2tm1.1(KOMP)Vlcg/Caskin2tm1.1(KOMP)Vlcg (more )
Structure Level Pattern Image Note
TS28: stomach Present UC Davis_1851670

Specimen UC Davis_1851671: postnatal adult; Caskin2tm1.1(KOMP)Vlcg/Caskin2tm1.1(KOMP)Vlcg (more )
Structure Level Pattern Image Note
TS28: stomach Present UC Davis_1851671

Specimen UC Davis_1851672: postnatal adult; Caskin2tm1.1(KOMP)Vlcg/Caskin2tm1.1(KOMP)Vlcg (more )
Structure Level Pattern Image Note
TS28: stomach Present UC Davis_1851672

Specimen UC Davis_1851673: postnatal adult; Caskin2tm1.1(KOMP)Vlcg/Caskin2tm1.1(KOMP)Vlcg (more )
Structure Level Pattern Image Note
TS28: stomach Present UC Davis_1851673

Specimen UC Davis_1851674: postnatal adult; Caskin2tm1.1(KOMP)Vlcg/Caskin2tm1.1(KOMP)Vlcg (more )
Structure Level Pattern Image Note
TS28: duodenum Present UC Davis_1851674

Specimen UC Davis_1851675: postnatal adult; Caskin2tm1.1(KOMP)Vlcg/Caskin2tm1.1(KOMP)Vlcg (more )
Structure Level Pattern Image Note
TS28: duodenum Present UC Davis_1851675

Specimen UC Davis_1851676: postnatal adult; Caskin2tm1.1(KOMP)Vlcg/Caskin2tm1.1(KOMP)Vlcg (more )
Structure Level Pattern Image Note
TS28: jejunum Present UC Davis_1851676

Specimen UC Davis_1851677: postnatal adult; Caskin2tm1.1(KOMP)Vlcg/Caskin2tm1.1(KOMP)Vlcg (more )
Structure Level Pattern Image Note
TS28: jejunum Present UC Davis_1851677

Specimen UC Davis_1851678: postnatal adult; Caskin2tm1.1(KOMP)Vlcg/Caskin2tm1.1(KOMP)Vlcg (more )
Structure Level Pattern Image Note
TS28: ileum Present UC Davis_1851678

Specimen UC Davis_1851679: postnatal adult; Caskin2tm1.1(KOMP)Vlcg/Caskin2tm1.1(KOMP)Vlcg (more )
Structure Level Pattern Image Note
TS28: ileum Present UC Davis_1851679

Specimen UC Davis_1851680: postnatal adult; Caskin2tm1.1(KOMP)Vlcg/Caskin2tm1.1(KOMP)Vlcg (more )
Structure Level Pattern Image Note
TS28: ileum Present UC Davis_1851680

Specimen UC Davis_1851681: postnatal adult; Caskin2tm1.1(KOMP)Vlcg/Caskin2tm1.1(KOMP)Vlcg (more )
Structure Level Pattern Image Note
TS28: colon Present UC Davis_1851681

Specimen UC Davis_1851682: postnatal adult; Caskin2tm1.1(KOMP)Vlcg/Caskin2tm1.1(KOMP)Vlcg (more )
Structure Level Pattern Image Note
TS28: colon Present UC Davis_1851682

Specimen UC Davis_1851683: postnatal adult; Caskin2tm1.1(KOMP)Vlcg/Caskin2tm1.1(KOMP)Vlcg (more )
Structure Level Pattern Image Note
TS28: colon Present UC Davis_1851683

Specimen UC Davis_1851684: postnatal adult; Caskin2tm1.1(KOMP)Vlcg/Caskin2tm1.1(KOMP)Vlcg (more )
Structure Level Pattern Image Note
TS28: cecum Present UC Davis_1851684

Specimen UC Davis_1851685: postnatal adult; Caskin2tm1.1(KOMP)Vlcg/Caskin2tm1.1(KOMP)Vlcg (more )
Structure Level Pattern Image Note
TS28: cecum Present UC Davis_1851685

Specimen UC Davis_1851686: postnatal adult; Caskin2tm1.1(KOMP)Vlcg/Caskin2tm1.1(KOMP)Vlcg (more )
Structure Level Pattern Image Note
TS28: spleen Present UC Davis_1851686

Specimen UC Davis_1851687: postnatal adult; Caskin2tm1.1(KOMP)Vlcg/Caskin2tm1.1(KOMP)Vlcg (more )
Structure Level Pattern Image Note
TS28: spleen Present UC Davis_1851687

Specimen UC Davis_1851688: postnatal adult; Caskin2tm1.1(KOMP)Vlcg/Caskin2tm1.1(KOMP)Vlcg (more )
Structure Level Pattern Image Note
TS28: spleen Present UC Davis_1851688

Specimen UC Davis_1851689: postnatal adult; Caskin2tm1.1(KOMP)Vlcg/Caskin2tm1.1(KOMP)Vlcg (more )
Structure Level Pattern Image Note
TS28: spleen Present UC Davis_1851689

Specimen UC Davis_1851690: postnatal adult; Caskin2tm1.1(KOMP)Vlcg/Caskin2tm1.1(KOMP)Vlcg (more )
Structure Level Pattern Image Note
TS28: pancreas Present UC Davis_1851690

Specimen UC Davis_1851691: postnatal adult; Caskin2tm1.1(KOMP)Vlcg/Caskin2tm1.1(KOMP)Vlcg (more )
Structure Level Pattern Image Note
TS28: pancreas Present UC Davis_1851691

Specimen UC Davis_1851692: postnatal adult; Caskin2tm1.1(KOMP)Vlcg/Caskin2tm1.1(KOMP)Vlcg (more )
Structure Level Pattern Image Note
TS28: liver Present UC Davis_1851692

Specimen UC Davis_1851693: postnatal adult; Caskin2tm1.1(KOMP)Vlcg/Caskin2tm1.1(KOMP)Vlcg (more )
Structure Level Pattern Image Note
TS28: liver Present UC Davis_1851693

Specimen UC Davis_1851694: postnatal adult; Caskin2tm1.1(KOMP)Vlcg/Caskin2tm1.1(KOMP)Vlcg (more )
Structure Level Pattern Image Note
TS28: liver Present UC Davis_1851694

Specimen UC Davis_1851695: postnatal adult; Caskin2tm1.1(KOMP)Vlcg/Caskin2tm1.1(KOMP)Vlcg (more )
Structure Level Pattern Image Note
TS28: liver Present UC Davis_1851695

Specimen UC Davis_1851696: postnatal adult; Caskin2tm1.1(KOMP)Vlcg/Caskin2tm1.1(KOMP)Vlcg (more )
Structure Level Pattern Image Note
TS28: liver Present UC Davis_1851696

Specimen UC Davis_1851697: postnatal adult; Caskin2tm1.1(KOMP)Vlcg/Caskin2tm1.1(KOMP)Vlcg (more )
Structure Level Pattern Image Note
TS28: metanephros Present UC Davis_1851697 kidney

Specimen UC Davis_1851698: postnatal adult; Caskin2tm1.1(KOMP)Vlcg/Caskin2tm1.1(KOMP)Vlcg (more )
Structure Level Pattern Image Note
TS28: metanephros Present UC Davis_1851698 kidney

Specimen UC Davis_1851699: postnatal adult; Caskin2tm1.1(KOMP)Vlcg/Caskin2tm1.1(KOMP)Vlcg (more )
Structure Level Pattern Image Note
TS28: metanephros Present UC Davis_1851699 kidney

Specimen UC Davis_1851700: postnatal adult; Caskin2tm1.1(KOMP)Vlcg/Caskin2tm1.1(KOMP)Vlcg (more )
Structure Level Pattern Image Note
TS28: metanephros Present UC Davis_1851700 kidney

Specimen UC Davis_1851701: postnatal adult; Caskin2tm1.1(KOMP)Vlcg/Caskin2tm1.1(KOMP)Vlcg (more )
Structure Level Pattern Image Note
TS28: metanephros Present UC Davis_1851701 kidney

Specimen UC Davis_1851702: postnatal adult; Caskin2tm1.1(KOMP)Vlcg/Caskin2tm1.1(KOMP)Vlcg (more )
Structure Level Pattern Image Note
TS28: metanephros Present UC Davis_1851702 kidney

Specimen UC Davis_1851703: postnatal adult; Caskin2tm1.1(KOMP)Vlcg/Caskin2tm1.1(KOMP)Vlcg (more )
Structure Level Pattern Image Note
TS28: quadriceps femoris muscle Present UC Davis_1851703

Specimen UC Davis_1851704: postnatal adult; Caskin2tm1.1(KOMP)Vlcg/Caskin2tm1.1(KOMP)Vlcg (more )
Structure Level Pattern Image Note
TS28: quadriceps femoris muscle Present UC Davis_1851704

Specimen UC Davis_1851705: postnatal adult; Caskin2tm1.1(KOMP)Vlcg/Caskin2tm1.1(KOMP)Vlcg (more )
Structure Level Pattern Image Note
TS28: quadriceps femoris muscle Present UC Davis_1851705

Specimen UC Davis_1851706: postnatal adult; Caskin2tm1.1(KOMP)Vlcg/Caskin2tm1.1(KOMP)Vlcg (more )
Structure Level Pattern Image Note
TS28: sciatic nerve Present UC Davis_1851706

Specimen UC Davis_1851707: postnatal adult; Caskin2tm1.1(KOMP)Vlcg/Caskin2tm1.1(KOMP)Vlcg (more )
Structure Level Pattern Image Note
TS28: tongue Present UC Davis_1851707

Specimen UC Davis_1851708: postnatal adult; Caskin2tm1.1(KOMP)Vlcg/Caskin2tm1.1(KOMP)Vlcg (more )
Structure Level Pattern Image Note
TS28: tongue Present UC Davis_1851708

Specimen UC Davis_1851709: postnatal adult; Caskin2tm1.1(KOMP)Vlcg/Caskin2tm1.1(KOMP)Vlcg (more )
Structure Level Pattern Image Note
TS28: tongue Present UC Davis_1851709

Specimen UC Davis_1851710: postnatal adult; Caskin2tm1.1(KOMP)Vlcg/Caskin2tm1.1(KOMP)Vlcg (more )
Structure Level Pattern Image Note
TS28: tongue Present UC Davis_1851710

Specimen UC Davis_1851711: postnatal adult; Caskin2tm1.1(KOMP)Vlcg/Caskin2tm1.1(KOMP)Vlcg (more )
Structure Level Pattern Image Note
TS28: adrenal gland Present UC Davis_1851711

Specimen UC Davis_1851712: postnatal adult; Caskin2tm1.1(KOMP)Vlcg/Caskin2tm1.1(KOMP)Vlcg (more )
Structure Level Pattern Image Note
TS28: adrenal gland Present UC Davis_1851712

Specimen UC Davis_1851713: postnatal adult; Caskin2tm1.1(KOMP)Vlcg/Caskin2tm1.1(KOMP)Vlcg (more )
Structure Level Pattern Image Note
TS28: pituitary gland Present UC Davis_1851713

Specimen UC Davis_1851714: postnatal adult; Caskin2tm1.1(KOMP)Vlcg/Caskin2tm1.1(KOMP)Vlcg (more )
Structure Level Pattern Image Note
TS28: pituitary gland Present UC Davis_1851714

Specimen UC Davis_1851715: postnatal adult; Caskin2tm1.1(KOMP)Vlcg/Caskin2tm1.1(KOMP)Vlcg (more )
Structure Level Pattern Image Note
TS28: pituitary gland Present UC Davis_1851715

Specimen UC Davis_1851716: postnatal adult; Caskin2tm1.1(KOMP)Vlcg/Caskin2tm1.1(KOMP)Vlcg (more )
Structure Level Pattern Image Note
TS28: spinal cord Present UC Davis_1851716

Specimen UC Davis_1851717: postnatal adult; Caskin2tm1.1(KOMP)Vlcg/Caskin2tm1.1(KOMP)Vlcg (more )
Structure Level Pattern Image Note
TS28: spinal cord Present UC Davis_1851717

Specimen UC Davis_1851718: postnatal adult; Caskin2tm1.1(KOMP)Vlcg/Caskin2tm1.1(KOMP)Vlcg (more )
Structure Level Pattern Image Note
TS28: eye Present UC Davis_1851718

Specimen UC Davis_1851719: postnatal adult; Caskin2tm1.1(KOMP)Vlcg/Caskin2tm1.1(KOMP)Vlcg (more )
Structure Level Pattern Image Note
TS28: eye Present UC Davis_1851719

Specimen UC Davis_1851720: postnatal adult; Caskin2tm1.1(KOMP)Vlcg/Caskin2tm1.1(KOMP)Vlcg (more )
Structure Level Pattern Image Note
TS28: eye Present UC Davis_1851720

Specimen UC Davis_1851721: postnatal adult; Caskin2tm1.1(KOMP)Vlcg/Caskin2tm1.1(KOMP)Vlcg (more )
Structure Level Pattern Image Note
TS28: eye Present UC Davis_1851721

Specimen UC Davis_1851722: postnatal adult; Caskin2tm1.1(KOMP)Vlcg/Caskin2tm1.1(KOMP)Vlcg (more )
Structure Level Pattern Image Note
TS28: Harderian gland Present UC Davis_1851722

Specimen UC Davis_1851723: postnatal adult; Caskin2tm1.1(KOMP)Vlcg/Caskin2tm1.1(KOMP)Vlcg (more )
Structure Level Pattern Image Note
TS28: Harderian gland Present UC Davis_1851723

Specimen UC Davis_1851724: postnatal adult; Caskin2tm1.1(KOMP)Vlcg/Caskin2tm1.1(KOMP)Vlcg (more )
Structure Level Pattern Image Note
TS28: gonadal fat pad Present UC Davis_1851724

Specimen UC Davis_1851725: postnatal adult; Caskin2tm1.1(KOMP)Vlcg/Caskin2tm1.1(KOMP)Vlcg (more )
Structure Level Pattern Image Note
TS28: gonadal fat pad Present UC Davis_1851725

Specimen UC Davis_1851726: postnatal adult; Caskin2tm1.1(KOMP)Vlcg/Caskin2tm1.1(KOMP)Vlcg (more )
Structure Level Pattern Image Note
TS28: mesenteric adipose tissue Present UC Davis_1851726

Specimen UC Davis_1851727: postnatal adult; Caskin2tm1.1(KOMP)Vlcg/Caskin2tm1.1(KOMP)Vlcg (more )
Structure Level Pattern Image Note
TS28: mesenteric adipose tissue Present UC Davis_1851727

Specimen UC Davis_1851728: postnatal adult; Caskin2tm1.1(KOMP)Vlcg/Caskin2tm1.1(KOMP)Vlcg (more )
Structure Level Pattern Image Note
TS28: skin Present UC Davis_1851728

Specimen UC Davis_1851729: postnatal adult; Caskin2tm1.1(KOMP)Vlcg/Caskin2tm1.1(KOMP)Vlcg (more )
Structure Level Pattern Image Note
TS28: skin Present UC Davis_1851729

Specimen UC Davis_1851730: postnatal adult; Caskin2tm1.1(KOMP)Vlcg/Caskin2tm1.1(KOMP)Vlcg (more )
Structure Level Pattern Image Note
TS28: skin Present UC Davis_1851730

Specimen UC Davis_1851731: postnatal adult; Caskin2tm1.1(KOMP)Vlcg/Caskin2tm1.1(KOMP)Vlcg (more )
Structure Level Pattern Image Note
TS28: skin Present UC Davis_1851731

Specimen UC Davis_1851732: postnatal adult; Caskin2tm1.1(KOMP)Vlcg/Caskin2tm1.1(KOMP)Vlcg (more )
Structure Level Pattern Image Note
TS28: brown fat Present UC Davis_1851732

Specimen UC Davis_1851733: postnatal adult; Caskin2tm1.1(KOMP)Vlcg/Caskin2tm1.1(KOMP)Vlcg (more )
Structure Level Pattern Image Note
TS28: brown fat Present UC Davis_1851733

Specimen UC Davis_1851734: postnatal adult; Caskin2tm1.1(KOMP)Vlcg/Caskin2tm1.1(KOMP)Vlcg (more )
Structure Level Pattern Image Note
TS28: brown fat Present UC Davis_1851734

Specimen UC Davis_1851735: postnatal adult; Caskin2tm1.1(KOMP)Vlcg/Caskin2tm1.1(KOMP)Vlcg (more )
Structure Level Pattern Image Note
TS28: olfactory lobe Present UC Davis_1851735

Specimen UC Davis_1851736: postnatal adult; Caskin2tm1.1(KOMP)Vlcg/Caskin2tm1.1(KOMP)Vlcg (more )
Structure Level Pattern Image Note
TS28: olfactory lobe Present UC Davis_1851736

Specimen UC Davis_1851742: postnatal adult; Caskin2tm1.1(KOMP)Vlcg/Caskin2tm1.1(KOMP)Vlcg (more )
Structure Level Pattern Image Note
TS28: midbrain Present UC Davis_1851742

Specimen UC Davis_1851744: postnatal adult; Caskin2tm1.1(KOMP)Vlcg/Caskin2tm1.1(KOMP)Vlcg (more )
Structure Level Pattern Image Note
TS28: cerebellum Present UC Davis_1851744

Specimen UC Davis_1851745: postnatal adult; Caskin2tm1.1(KOMP)Vlcg/Caskin2tm1.1(KOMP)Vlcg (more )
Structure Level Pattern Image Note
TS28: cerebellum Present UC Davis_1851745

Specimen UC Davis_1851746: postnatal adult; Caskin2tm1.1(KOMP)Vlcg/Caskin2tm1.1(KOMP)Vlcg (more )
Structure Level Pattern Image Note
TS28: trigeminal nerve Present UC Davis_1851746

Specimen UC Davis_1851747: postnatal adult; Caskin2tm1.1(KOMP)Vlcg/Caskin2tm1.1(KOMP)Vlcg (more )
Structure Level Pattern Image Note
TS28: ovary Present UC Davis_1851747

Specimen UC Davis_1851748: postnatal adult; Caskin2tm1.1(KOMP)Vlcg/Caskin2tm1.1(KOMP)Vlcg (more )
Structure Level Pattern Image Note
TS28: ovary Present UC Davis_1851748

Specimen UC Davis_1851749: postnatal adult; Caskin2tm1.1(KOMP)Vlcg/Caskin2tm1.1(KOMP)Vlcg (more )
Structure Level Pattern Image Note
TS28: ovary Present UC Davis_1851749

Specimen UC Davis_1851750: postnatal adult; Caskin2tm1.1(KOMP)Vlcg/Caskin2tm1.1(KOMP)Vlcg (more )
Structure Level Pattern Image Note
TS28: ovary Present UC Davis_1851750

Specimen UC Davis_1851751: postnatal adult; Caskin2tm1.1(KOMP)Vlcg/Caskin2tm1.1(KOMP)Vlcg (more )
Structure Level Pattern Image Note
TS28: oviduct Present UC Davis_1851751

Specimen UC Davis_1851752: postnatal adult; Caskin2tm1.1(KOMP)Vlcg/Caskin2tm1.1(KOMP)Vlcg (more )
Structure Level Pattern Image Note
TS28: uterus Present UC Davis_1851752

Specimen UC Davis_1851753: postnatal adult; Caskin2tm1.1(KOMP)Vlcg/Caskin2tm1.1(KOMP)Vlcg (more )
Structure Level Pattern Image Note
TS28: uterus Present UC Davis_1851753

Specimen UC Davis_1851754: postnatal adult; Caskin2tm1.1(KOMP)Vlcg/Caskin2tm1.1(KOMP)Vlcg (more )
Structure Level Pattern Image Note
TS28: uterus Present UC Davis_1851754

Specimen UC Davis_1851755: postnatal adult; Caskin2tm1.1(KOMP)Vlcg/Caskin2tm1.1(KOMP)Vlcg (more )
Structure Level Pattern Image Note
TS28: uterus Present UC Davis_1851755

Specimen UC Davis_1851756: postnatal adult; Caskin2tm1.1(KOMP)Vlcg/Caskin2tm1.1(KOMP)Vlcg (more )
Structure Level Pattern Image Note
TS28: vagina Present UC Davis_1851756

Specimen UC Davis_1851757: postnatal adult; Caskin2tm1.1(KOMP)Vlcg/Caskin2tm1.1(KOMP)Vlcg (more )
Structure Level Pattern Image Note
TS28: bladder Present UC Davis_1851757

Specimen UC Davis_1851758: postnatal adult; Caskin2tm1.1(KOMP)Vlcg/Caskin2tm1.1(KOMP)Vlcg (more )
Structure Level Pattern Image Note
TS28: bladder Present UC Davis_1851758

Specimen UC Davis_1851759: postnatal adult; Caskin2tm1.1(KOMP)Vlcg/Caskin2tm1.1(KOMP)Vlcg (more )
Structure Level Pattern Image Note
TS28: bladder Present UC Davis_1851759

Specimen UC Davis_1851760: postnatal adult; Caskin2tm1.1(KOMP)Vlcg/Caskin2tm1.1(KOMP)Vlcg (more )
Structure Level Pattern Image Note
TS28: bone marrow Present UC Davis_1851760

Specimen UC Davis_1851761: postnatal adult; Caskin2tm1.1(KOMP)Vlcg/Caskin2tm1.1(KOMP)Vlcg (more )
Structure Level Pattern Image Note
TS28: bone marrow Present UC Davis_1851761

Specimen UC Davis_1851762: postnatal adult; Caskin2tm1.1(KOMP)Vlcg/Caskin2tm1.1(KOMP)Vlcg (more )
Structure Level Pattern Image Note
TS28: mammary gland Present UC Davis_1851762

Specimen UC Davis_1851763: postnatal adult; Caskin2tm1.1(KOMP)Vlcg/Caskin2tm1.1(KOMP)Vlcg (more )
Structure Level Pattern Image Note
TS28: mammary gland Present UC Davis_1851763

Specimen UC Davis_1851553: postnatal adult; Caskin2tm1.1(KOMP)Vlcg/Caskin2+ (more )
Structure Level Pattern Image Note
TS28: submandibular gland Present UC Davis_1851553

Specimen UC Davis_1851554: postnatal adult; Caskin2tm1.1(KOMP)Vlcg/Caskin2+ (more )
Structure Level Pattern Image Note
TS28: submandibular gland Present UC Davis_1851554

Specimen UC Davis_1851555: postnatal adult; Caskin2tm1.1(KOMP)Vlcg/Caskin2+ (more )
Structure Level Pattern Image Note
TS28: submandibular gland Present UC Davis_1851555

Specimen UC Davis_1851556: postnatal adult; Caskin2tm1.1(KOMP)Vlcg/Caskin2+ (more )
Structure Level Pattern Image Note
TS28: submandibular gland Present UC Davis_1851556

Specimen UC Davis_1851557: postnatal adult; Caskin2tm1.1(KOMP)Vlcg/Caskin2+ (more )
Structure Level Pattern Image Note
TS28: parotid gland Present UC Davis_1851557

Specimen UC Davis_1851558: postnatal adult; Caskin2tm1.1(KOMP)Vlcg/Caskin2+ (more )
Structure Level Pattern Image Note
TS28: parotid gland Present UC Davis_1851558

Specimen UC Davis_1851559: postnatal adult; Caskin2tm1.1(KOMP)Vlcg/Caskin2+ (more )
Structure Level Pattern Image Note
TS28: trachea Present UC Davis_1851559

Specimen UC Davis_1851560: postnatal adult; Caskin2tm1.1(KOMP)Vlcg/Caskin2+ (more )
Structure Level Pattern Image Note
TS28: trachea Present UC Davis_1851560

Specimen UC Davis_1851561: postnatal adult; Caskin2tm1.1(KOMP)Vlcg/Caskin2+ (more )
Structure Level Pattern Image Note
TS28: esophagus Present UC Davis_1851561

Specimen UC Davis_1851562: postnatal adult; Caskin2tm1.1(KOMP)Vlcg/Caskin2+ (more )
Structure Level Pattern Image Note
TS28: thyroid gland Present UC Davis_1851562

Specimen UC Davis_1851564: postnatal adult; Caskin2tm1.1(KOMP)Vlcg/Caskin2+ (more )
Structure Level Pattern Image Note
TS28: aorta Present UC Davis_1851564

Specimen UC Davis_1851565: postnatal adult; Caskin2tm1.1(KOMP)Vlcg/Caskin2+ (more )
Structure Level Pattern Image Note
TS28: aorta Present UC Davis_1851565

Specimen UC Davis_1851566: postnatal adult; Caskin2tm1.1(KOMP)Vlcg/Caskin2+ (more )
Structure Level Pattern Image Note
TS28: lung Present UC Davis_1851566

Specimen UC Davis_1851567: postnatal adult; Caskin2tm1.1(KOMP)Vlcg/Caskin2+ (more )
Structure Level Pattern Image Note
TS28: lung Present UC Davis_1851567

Specimen UC Davis_1851568: postnatal adult; Caskin2tm1.1(KOMP)Vlcg/Caskin2+ (more )
Structure Level Pattern Image Note
TS28: lung Present UC Davis_1851568

Specimen UC Davis_1851569: postnatal adult; Caskin2tm1.1(KOMP)Vlcg/Caskin2+ (more )
Structure Level Pattern Image Note
TS28: thymus Present UC Davis_1851569

Specimen UC Davis_1851570: postnatal adult; Caskin2tm1.1(KOMP)Vlcg/Caskin2+ (more )
Structure Level Pattern Image Note
TS28: thymus Present UC Davis_1851570

Specimen UC Davis_1851575: postnatal adult; Caskin2tm1.1(KOMP)Vlcg/Caskin2+ (more )
Structure Level Pattern Image Note
TS28: mesenteric lymph node Present UC Davis_1851575

Specimen UC Davis_1851576: postnatal adult; Caskin2tm1.1(KOMP)Vlcg/Caskin2+ (more )
Structure Level Pattern Image Note
TS28: stomach Present UC Davis_1851576

Specimen UC Davis_1851577: postnatal adult; Caskin2tm1.1(KOMP)Vlcg/Caskin2+ (more )
Structure Level Pattern Image Note
TS28: stomach Present UC Davis_1851577

Specimen UC Davis_1851578: postnatal adult; Caskin2tm1.1(KOMP)Vlcg/Caskin2+ (more )
Structure Level Pattern Image Note
TS28: stomach Present UC Davis_1851578

Specimen UC Davis_1851579: postnatal adult; Caskin2tm1.1(KOMP)Vlcg/Caskin2+ (more )
Structure Level Pattern Image Note
TS28: stomach Present UC Davis_1851579

Specimen UC Davis_1851580: postnatal adult; Caskin2tm1.1(KOMP)Vlcg/Caskin2+ (more )
Structure Level Pattern Image Note
TS28: stomach Present UC Davis_1851580

Specimen UC Davis_1851581: postnatal adult; Caskin2tm1.1(KOMP)Vlcg/Caskin2+ (more )
Structure Level Pattern Image Note
TS28: duodenum Present UC Davis_1851581

Specimen UC Davis_1851582: postnatal adult; Caskin2tm1.1(KOMP)Vlcg/Caskin2+ (more )
Structure Level Pattern Image Note
TS28: duodenum Present UC Davis_1851582

Specimen UC Davis_1851583: postnatal adult; Caskin2tm1.1(KOMP)Vlcg/Caskin2+ (more )
Structure Level Pattern Image Note
TS28: duodenum Present UC Davis_1851583

Specimen UC Davis_1851584: postnatal adult; Caskin2tm1.1(KOMP)Vlcg/Caskin2+ (more )
Structure Level Pattern Image Note
TS28: jejunum Present UC Davis_1851584

Specimen UC Davis_1851585: postnatal adult; Caskin2tm1.1(KOMP)Vlcg/Caskin2+ (more )
Structure Level Pattern Image Note
TS28: ileum Present UC Davis_1851585

Specimen UC Davis_1851586: postnatal adult; Caskin2tm1.1(KOMP)Vlcg/Caskin2+ (more )
Structure Level Pattern Image Note
TS28: ileum Present UC Davis_1851586

Specimen UC Davis_1851587: postnatal adult; Caskin2tm1.1(KOMP)Vlcg/Caskin2+ (more )
Structure Level Pattern Image Note
TS28: colon Present UC Davis_1851587

Specimen UC Davis_1851588: postnatal adult; Caskin2tm1.1(KOMP)Vlcg/Caskin2+ (more )
Structure Level Pattern Image Note
TS28: colon Present UC Davis_1851588

Specimen UC Davis_1851589: postnatal adult; Caskin2tm1.1(KOMP)Vlcg/Caskin2+ (more )
Structure Level Pattern Image Note
TS28: colon Present UC Davis_1851589

Specimen UC Davis_1851590: postnatal adult; Caskin2tm1.1(KOMP)Vlcg/Caskin2+ (more )
Structure Level Pattern Image Note
TS28: cecum Present UC Davis_1851590

Specimen UC Davis_1851591: postnatal adult; Caskin2tm1.1(KOMP)Vlcg/Caskin2+ (more )
Structure Level Pattern Image Note
TS28: spleen Present UC Davis_1851591

Specimen UC Davis_1851592: postnatal adult; Caskin2tm1.1(KOMP)Vlcg/Caskin2+ (more )
Structure Level Pattern Image Note
TS28: spleen Present UC Davis_1851592

Specimen UC Davis_1851593: postnatal adult; Caskin2tm1.1(KOMP)Vlcg/Caskin2+ (more )
Structure Level Pattern Image Note
TS28: pancreas Present UC Davis_1851593

Specimen UC Davis_1851594: postnatal adult; Caskin2tm1.1(KOMP)Vlcg/Caskin2+ (more )
Structure Level Pattern Image Note
TS28: pancreas Present UC Davis_1851594

Specimen UC Davis_1851595: postnatal adult; Caskin2tm1.1(KOMP)Vlcg/Caskin2+ (more )
Structure Level Pattern Image Note
TS28: liver Present UC Davis_1851595

Specimen UC Davis_1851596: postnatal adult; Caskin2tm1.1(KOMP)Vlcg/Caskin2+ (more )
Structure Level Pattern Image Note
TS28: liver Present UC Davis_1851596

Specimen UC Davis_1851597: postnatal adult; Caskin2tm1.1(KOMP)Vlcg/Caskin2+ (more )
Structure Level Pattern Image Note
TS28: liver Present UC Davis_1851597

Specimen UC Davis_1851598: postnatal adult; Caskin2tm1.1(KOMP)Vlcg/Caskin2+ (more )
Structure Level Pattern Image Note
TS28: metanephros Present UC Davis_1851598 kidney

Specimen UC Davis_1851599: postnatal adult; Caskin2tm1.1(KOMP)Vlcg/Caskin2+ (more )
Structure Level Pattern Image Note
TS28: metanephros Present UC Davis_1851599 kidney

Specimen UC Davis_1851600: postnatal adult; Caskin2tm1.1(KOMP)Vlcg/Caskin2+ (more )
Structure Level Pattern Image Note
TS28: metanephros Present UC Davis_1851600 kidney

Specimen UC Davis_1851601: postnatal adult; Caskin2tm1.1(KOMP)Vlcg/Caskin2+ (more )
Structure Level Pattern Image Note
TS28: metanephros Present UC Davis_1851601 kidney

Specimen UC Davis_1851602: postnatal adult; Caskin2tm1.1(KOMP)Vlcg/Caskin2+ (more )
Structure Level Pattern Image Note
TS28: quadriceps femoris muscle Present UC Davis_1851602

Specimen UC Davis_1851603: postnatal adult; Caskin2tm1.1(KOMP)Vlcg/Caskin2+ (more )
Structure Level Pattern Image Note
TS28: sciatic nerve Present UC Davis_1851603

Specimen UC Davis_1851604: postnatal adult; Caskin2tm1.1(KOMP)Vlcg/Caskin2+ (more )
Structure Level Pattern Image Note
TS28: tongue Present UC Davis_1851604

Specimen UC Davis_1851605: postnatal adult; Caskin2tm1.1(KOMP)Vlcg/Caskin2+ (more )
Structure Level Pattern Image Note
TS28: tongue Present UC Davis_1851605

Specimen UC Davis_1851606: postnatal adult; Caskin2tm1.1(KOMP)Vlcg/Caskin2+ (more )
Structure Level Pattern Image Note
TS28: tongue Present UC Davis_1851606

Specimen UC Davis_1851607: postnatal adult; Caskin2tm1.1(KOMP)Vlcg/Caskin2+ (more )
Structure Level Pattern Image Note
TS28: adrenal gland Present UC Davis_1851607

Specimen UC Davis_1851608: postnatal adult; Caskin2tm1.1(KOMP)Vlcg/Caskin2+ (more )
Structure Level Pattern Image Note
TS28: adrenal gland Present UC Davis_1851608

Specimen UC Davis_1851609: postnatal adult; Caskin2tm1.1(KOMP)Vlcg/Caskin2+ (more )
Structure Level Pattern Image Note
TS28: pituitary gland Present UC Davis_1851609

Specimen UC Davis_1851610: postnatal adult; Caskin2tm1.1(KOMP)Vlcg/Caskin2+ (more )
Structure Level Pattern Image Note
TS28: pituitary gland Present UC Davis_1851610

Specimen UC Davis_1851611: postnatal adult; Caskin2tm1.1(KOMP)Vlcg/Caskin2+ (more )
Structure Level Pattern Image Note
TS28: Harderian gland Present UC Davis_1851611

Specimen UC Davis_1851612: postnatal adult; Caskin2tm1.1(KOMP)Vlcg/Caskin2+ (more )
Structure Level Pattern Image Note
TS28: Harderian gland Present UC Davis_1851612

Specimen UC Davis_1851613: postnatal adult; Caskin2tm1.1(KOMP)Vlcg/Caskin2+ (more )
Structure Level Pattern Image Note
TS28: skin Present UC Davis_1851613

Specimen UC Davis_1851614: postnatal adult; Caskin2tm1.1(KOMP)Vlcg/Caskin2+ (more )
Structure Level Pattern Image Note
TS28: skin Present UC Davis_1851614

Specimen UC Davis_1851615: postnatal adult; Caskin2tm1.1(KOMP)Vlcg/Caskin2+ (more )
Structure Level Pattern Image Note
TS28: brown fat Present UC Davis_1851615

Specimen UC Davis_1851617: postnatal adult; Caskin2tm1.1(KOMP)Vlcg/Caskin2+ (more )
Structure Level Pattern Image Note
TS28: midbrain Present UC Davis_1851617

Specimen UC Davis_1851619: postnatal adult; Caskin2tm1.1(KOMP)Vlcg/Caskin2+ (more )
Structure Level Pattern Image Note
TS28: cerebellum Present UC Davis_1851619

Specimen UC Davis_1851620: postnatal adult; Caskin2tm1.1(KOMP)Vlcg/Caskin2+ (more )
Structure Level Pattern Image Note
TS28: trigeminal nerve Present UC Davis_1851620

Specimen UC Davis_1851621: postnatal adult; Caskin2tm1.1(KOMP)Vlcg/Caskin2+ (more )
Structure Level Pattern Image Note
TS28: trigeminal nerve Present UC Davis_1851621

Specimen UC Davis_1851622: postnatal adult; Caskin2tm1.1(KOMP)Vlcg/Caskin2+ (more )
Structure Level Pattern Image Note
TS28: trigeminal nerve Present UC Davis_1851622

Specimen UC Davis_1851623: postnatal adult; Caskin2tm1.1(KOMP)Vlcg/Caskin2+ (more )
Structure Level Pattern Image Note
TS28: bladder Present UC Davis_1851623

Specimen UC Davis_1851624: postnatal adult; Caskin2tm1.1(KOMP)Vlcg/Caskin2+ (more )
Structure Level Pattern Image Note
TS28: bladder Present UC Davis_1851624

Specimen UC Davis_1851625: postnatal adult; Caskin2tm1.1(KOMP)Vlcg/Caskin2+ (more )
Structure Level Pattern Image Note
TS28: bladder Present UC Davis_1851625

Specimen UC Davis_1851626: postnatal adult; Caskin2tm1.1(KOMP)Vlcg/Caskin2+ (more )
Structure Level Pattern Image Note
TS28: testis Present UC Davis_1851626

Specimen UC Davis_1851627: postnatal adult; Caskin2tm1.1(KOMP)Vlcg/Caskin2+ (more )
Structure Level Pattern Image Note
TS28: epididymis Present UC Davis_1851627

Specimen UC Davis_1851628: postnatal adult; Caskin2tm1.1(KOMP)Vlcg/Caskin2+ (more )
Structure Level Pattern Image Note
TS28: prostate gland Present UC Davis_1851628

Specimen UC Davis_1851629: postnatal adult; Caskin2tm1.1(KOMP)Vlcg/Caskin2+ (more )
Structure Level Pattern Image Note
TS28: ductus deferens Present UC Davis_1851629 vas deferens

Specimen UC Davis_1851630: postnatal adult; Caskin2tm1.1(KOMP)Vlcg/Caskin2+ (more )
Structure Level Pattern Image Note
TS28: ductus deferens Present UC Davis_1851630 vas deferens

Specimen UC Davis_1851633: postnatal adult; Caskin2tm1.1(KOMP)Vlcg/Caskin2+ (more )
Structure Level Pattern Image Note
TS28: seminal vesicle Present UC Davis_1851633 vesicular gland

Specimen UC Davis_1851634: postnatal adult; Caskin2tm1.1(KOMP)Vlcg/Caskin2+ (more )
Structure Level Pattern Image Note
TS28: seminal vesicle Present UC Davis_1851634 vesicular gland


Contributing Projects:
Mouse Genome Database (MGD), Gene Expression Database (GXD), Mouse Models of Human Cancer database (MMHCdb) (formerly Mouse Tumor Biology (MTB)), Gene Ontology (GO)
Citing These Resources
Funding Information
Warranty Disclaimer, Privacy Notice, Licensing, & Copyright
Send questions and comments to User Support.
last database update
12/30/2025
MGI 6.24
The Jackson Laboratory