About   Help   FAQ
Gene Expression Data
Assay Details
Assay
Reference: J:228563 Koscielny G, et al., The International Mouse Phenotyping Consortium Web Portal, a unified point of access for knockout mice and related phenotyping data. Nucleic Acids Res. 2014 Jan;42(Database issue):D802-9
Assay type: In situ reporter (knock in)
MGI Accession ID: MGI:6692472
Gene symbol: Sesn1
Gene name: sestrin 1
Reporter: lacZ
Direct Detection
Results
Specimen JAX_1128331: embryonic day 12.5; Sesn1tm1b(EUCOMM)Wtsi/Sesn1+ (more )
Structure Level Pattern Image Note
TS20: embryo Present JAX_1128331

Specimen JAX_1128333: embryonic day 12.5; Sesn1tm1b(EUCOMM)Wtsi/Sesn1+ (more )
Structure Level Pattern Image Note
TS20: embryo Present JAX_1128333

Specimen JAX_1128335: embryonic day 12.5; Sesn1tm1b(EUCOMM)Wtsi/Sesn1+ (more )
Structure Level Pattern Image Note
TS20: embryo Present JAX_1128335

Specimen JAX_1128337: embryonic day 12.5; Sesn1tm1b(EUCOMM)Wtsi/Sesn1+ (more )
Structure Level Pattern Image Note
TS20: embryo Present JAX_1128337

Specimen JAX_1128339: embryonic day 12.5; Sesn1tm1b(EUCOMM)Wtsi/Sesn1+ (more )
Structure Level Pattern Image Note
TS20: embryo Present JAX_1128339

Specimen JAX_1128341: embryonic day 12.5; Sesn1tm1b(EUCOMM)Wtsi/Sesn1+ (more )
Structure Level Pattern Image Note
TS20: embryo Present JAX_1128341

Specimen JAX_1128343: embryonic day 12.5; Sesn1tm1b(EUCOMM)Wtsi/Sesn1+ (more )
Structure Level Pattern Image Note
TS20: embryo Present JAX_1128343

Specimen JAX_1128345: embryonic day 12.5; Sesn1tm1b(EUCOMM)Wtsi/Sesn1+ (more )
Structure Level Pattern Image Note
TS20: embryo Present JAX_1128345

Specimen JAX_1629078: postnatal adult; Sesn1tm1b(EUCOMM)Wtsi/Sesn1+ (more )
Structure Level Pattern Image Note
TS28: vascular system Present JAX_1629078

Specimen JAX_1629079: postnatal adult; Sesn1tm1b(EUCOMM)Wtsi/Sesn1+ (more )
Structure Level Pattern Image Note
TS28: submandibular gland Present JAX_1629079

Specimen JAX_1629080: postnatal adult; Sesn1tm1b(EUCOMM)Wtsi/Sesn1+ (more )
Structure Level Pattern Image Note
TS28: brown fat Present JAX_1629080

Specimen JAX_1629081: postnatal adult; Sesn1tm1b(EUCOMM)Wtsi/Sesn1+ (more )
Structure Level Pattern Image Note
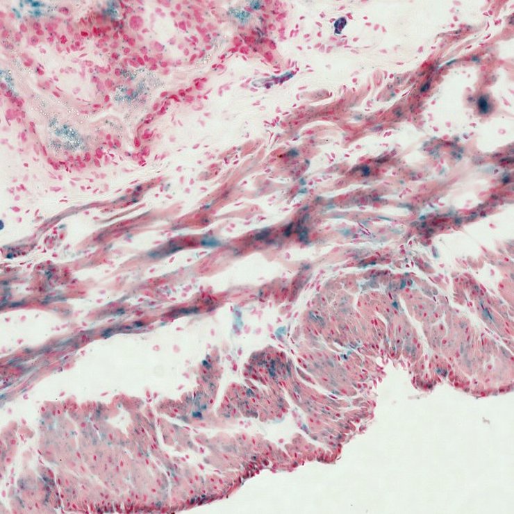
TS28: bladder Present JAX_1629081

Specimen JAX_1629082: postnatal adult; Sesn1tm1b(EUCOMM)Wtsi/Sesn1+ (more )
Structure Level Pattern Image Note
TS28: Peyer's patch Present JAX_1629082

Specimen JAX_1629083: postnatal adult; Sesn1tm1b(EUCOMM)Wtsi/Sesn1+ (more )
Structure Level Pattern Image Note
TS28: peripheral nervous system Present JAX_1629083

Specimen JAX_1629084: postnatal adult; Sesn1tm1b(EUCOMM)Wtsi/Sesn1+ (more )
Structure Level Pattern Image Note
TS28: hippocampus Present JAX_1629084

Specimen JAX_1629085: postnatal adult; Sesn1tm1b(EUCOMM)Wtsi/Sesn1+ (more )
Structure Level Pattern Image Note
TS28: cartilage Present JAX_1629085

Specimen JAX_1629086: postnatal adult; Sesn1tm1b(EUCOMM)Wtsi/Sesn1+ (more )
Structure Level Pattern Image Note
TS28: spleen Present JAX_1629086

Specimen JAX_1629087: postnatal adult; Sesn1tm1b(EUCOMM)Wtsi/Sesn1+ (more )
Structure Level Pattern Image Note
TS28: lung Present JAX_1629087

Specimen JAX_1629088: postnatal adult; Sesn1tm1b(EUCOMM)Wtsi/Sesn1+ (more )
Structure Level Pattern Image Note
TS28: white fat Present JAX_1629088

Specimen JAX_1629089: postnatal adult; Sesn1tm1b(EUCOMM)Wtsi/Sesn1+ (more )
Structure Level Pattern Image Note
TS28: small intestine Present JAX_1629089

Specimen JAX_1629090: postnatal adult; Sesn1tm1b(EUCOMM)Wtsi/Sesn1+ (more )
Structure Level Pattern Image Note
TS28: skeletal muscle tissue Present JAX_1629090

Specimen JAX_1629091: postnatal adult; Sesn1tm1b(EUCOMM)Wtsi/Sesn1+ (more )
Structure Level Pattern Image Note
TS28: large intestine Present JAX_1629091

Specimen JAX_1629092: postnatal adult; Sesn1tm1b(EUCOMM)Wtsi/Sesn1+ (more )
Structure Level Pattern Image Note
TS28: uterus Present JAX_1629092

Specimen JAX_1629093: postnatal adult; Sesn1tm1b(EUCOMM)Wtsi/Sesn1+ (more )
Structure Level Pattern Image Note
TS28: stomach Present JAX_1629093

Specimen JAX_1629094: postnatal adult; Sesn1tm1b(EUCOMM)Wtsi/Sesn1+ (more )
Structure Level Pattern Image Note
TS28: skin Present JAX_1629094

Specimen JAX_1629095: postnatal adult; Sesn1tm1b(EUCOMM)Wtsi/Sesn1+ (more )
Structure Level Pattern Image Note
TS28: oviduct Present JAX_1629095

Specimen JAX_1629096: postnatal adult; Sesn1tm1b(EUCOMM)Wtsi/Sesn1+ (more )
Structure Level Pattern Image Note
TS28: ovary Present JAX_1629096

Specimen JAX_1629097: postnatal adult; Sesn1tm1b(EUCOMM)Wtsi/Sesn1+ (more )
Structure Level Pattern Image Note
TS28: mammary gland Present JAX_1629097

Specimen JAX_1629098: postnatal adult; Sesn1tm1b(EUCOMM)Wtsi/Sesn1+ (more )
Structure Level Pattern Image Note
TS28: lymph node Present JAX_1629098

Specimen JAX_1629099: postnatal adult; Sesn1tm1b(EUCOMM)Wtsi/Sesn1+ (more )
Structure Level Pattern Image Note
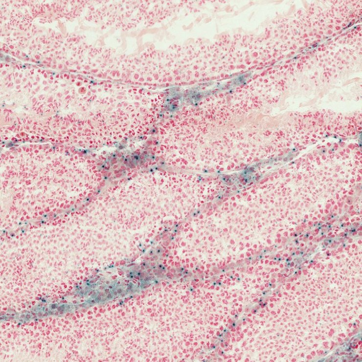
TS28: liver Present JAX_1629099

Specimen JAX_1629100: postnatal adult; Sesn1tm1b(EUCOMM)Wtsi/Sesn1+ (more )
Structure Level Pattern Image Note
TS28: metanephros Present JAX_1629100 kidney

Specimen JAX_1629101: postnatal adult; Sesn1tm1b(EUCOMM)Wtsi/Sesn1+ (more )
Structure Level Pattern Image Note
TS28: adrenal gland Present JAX_1629101

Specimen JAX_1629057: postnatal adult; Sesn1tm1b(EUCOMM)Wtsi/Sesn1+ (more )
Structure Level Pattern Image Note
TS28: thalamus Present JAX_1629057

Specimen JAX_1629058: postnatal adult; Sesn1tm1b(EUCOMM)Wtsi/Sesn1+ (more )
Structure Level Pattern Image Note
TS28: midbrain Present JAX_1629058

Specimen JAX_1629059: postnatal adult; Sesn1tm1b(EUCOMM)Wtsi/Sesn1+ (more )
Structure Level Pattern Image Note
TS28: epididymis Present JAX_1629059

Specimen JAX_1629060: postnatal adult; Sesn1tm1b(EUCOMM)Wtsi/Sesn1+ (more )
Structure Level Pattern Image Note
TS28: corpus striatum Present JAX_1629060

Specimen JAX_1629061: postnatal adult; Sesn1tm1b(EUCOMM)Wtsi/Sesn1+ (more )
Structure Level Pattern Image Note
TS28: olfactory lobe Present JAX_1629061

Specimen JAX_1629062: postnatal adult; Sesn1tm1b(EUCOMM)Wtsi/Sesn1+ (more )
Structure Level Pattern Image Note
TS28: hypothalamus Present JAX_1629062

Specimen JAX_1629063: postnatal adult; Sesn1tm1b(EUCOMM)Wtsi/Sesn1+ (more )
Structure Level Pattern Image Note
TS28: cerebellum Present JAX_1629063

Specimen JAX_1629064: postnatal adult; Sesn1tm1b(EUCOMM)Wtsi/Sesn1+ (more )
Structure Level Pattern Image Note
TS28: cerebral cortex Present JAX_1629064

Specimen JAX_1629065: postnatal adult; Sesn1tm1b(EUCOMM)Wtsi/Sesn1+ (more )
Structure Level Pattern Image Note
TS28: brainstem Present JAX_1629065

Specimen JAX_1629066: postnatal adult; Sesn1tm1b(EUCOMM)Wtsi/Sesn1+ (more )
Structure Level Pattern Image Note
TS28: pancreas Present JAX_1629066

Specimen JAX_1629067: postnatal adult; Sesn1tm1b(EUCOMM)Wtsi/Sesn1+ (more )
Structure Level Pattern Image Note
TS28: aorta Present JAX_1629067

Specimen JAX_1629068: postnatal adult; Sesn1tm1b(EUCOMM)Wtsi/Sesn1+ (more )
Structure Level Pattern Image Note
TS28: pituitary gland Present JAX_1629068

Specimen JAX_1629069: postnatal adult; Sesn1tm1b(EUCOMM)Wtsi/Sesn1+ (more )
Structure Level Pattern Image Note
TS28: thyroid gland Present JAX_1629069

Specimen JAX_1629070: postnatal adult; Sesn1tm1b(EUCOMM)Wtsi/Sesn1+ (more )
Structure Level Pattern Image Note
TS28: spinal cord Present JAX_1629070

Specimen JAX_1629071: postnatal adult; Sesn1tm1b(EUCOMM)Wtsi/Sesn1+ (more )
Structure Level Pattern Image Note
TS28: esophagus Present JAX_1629071

Specimen JAX_1629072: postnatal adult; Sesn1tm1b(EUCOMM)Wtsi/Sesn1+ (more )
Structure Level Pattern Image Note
TS28: trachea Present JAX_1629072

Specimen JAX_1629073: postnatal adult; Sesn1tm1b(EUCOMM)Wtsi/Sesn1+ (more )
Structure Level Pattern Image Note
TS28: thymus Present JAX_1629073

Specimen JAX_1629074: postnatal adult; Sesn1tm1b(EUCOMM)Wtsi/Sesn1+ (more )
Structure Level Pattern Image Note
TS28: testis Present JAX_1629074

Specimen JAX_1629075: postnatal adult; Sesn1tm1b(EUCOMM)Wtsi/Sesn1+ (more )
Structure Level Pattern Image Note
TS28: heart Present JAX_1629075

Specimen JAX_1629076: postnatal adult; Sesn1tm1b(EUCOMM)Wtsi/Sesn1+ (more )
Structure Level Pattern Image Note
TS28: eye Present JAX_1629076

Specimen JAX_1629077: postnatal adult; Sesn1tm1b(EUCOMM)Wtsi/Sesn1+ (more )
Structure Level Pattern Image Note
TS28: brain Present JAX_1629077


Contributing Projects:
Mouse Genome Database (MGD), Gene Expression Database (GXD), Mouse Models of Human Cancer database (MMHCdb) (formerly Mouse Tumor Biology (MTB)), Gene Ontology (GO)
Citing These Resources
Funding Information
Warranty Disclaimer, Privacy Notice, Licensing, & Copyright
Send questions and comments to User Support.
last database update
10/07/2025
MGI 6.24
The Jackson Laboratory