About   Help   FAQ
Gene Expression Data
Assay Details
Assay
Reference: J:228563 Koscielny G, et al., The International Mouse Phenotyping Consortium Web Portal, a unified point of access for knockout mice and related phenotyping data. Nucleic Acids Res. 2014 Jan;42(Database issue):D802-9
Assay type: In situ reporter (knock in)
MGI Accession ID: MGI:6692470
Gene symbol: Eri3
Gene name: exoribonuclease 3
Reporter: lacZ
Direct Detection
Results
Specimen UC Davis_1885835: postnatal adult; Eri3tm1b(EUCOMM)Wtsi/Eri3+ (more )
Structure Level Pattern Image Note
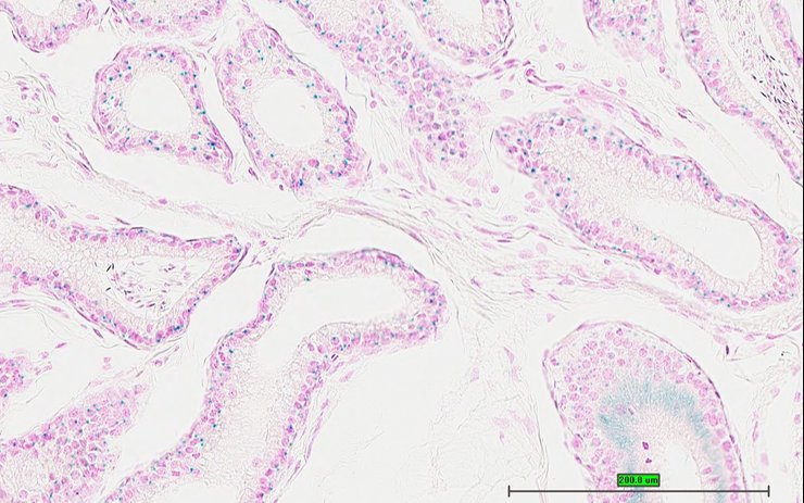
TS28: submandibular gland Present UC Davis_1885835

Specimen UC Davis_1885836: postnatal adult; Eri3tm1b(EUCOMM)Wtsi/Eri3+ (more )
Structure Level Pattern Image Note
TS28: parotid gland Present UC Davis_1885836

Specimen UC Davis_1885837: postnatal adult; Eri3tm1b(EUCOMM)Wtsi/Eri3+ (more )
Structure Level Pattern Image Note
TS28: parotid gland Present UC Davis_1885837

Specimen UC Davis_1885838: postnatal adult; Eri3tm1b(EUCOMM)Wtsi/Eri3+ (more )
Structure Level Pattern Image Note
TS28: trachea Present UC Davis_1885838

Specimen UC Davis_1885841: postnatal adult; Eri3tm1b(EUCOMM)Wtsi/Eri3+ (more )
Structure Level Pattern Image Note
TS28: metanephros Present UC Davis_1885841 kidney

Specimen UC Davis_1885842: postnatal adult; Eri3tm1b(EUCOMM)Wtsi/Eri3+ (more )
Structure Level Pattern Image Note
TS28: metanephros Present UC Davis_1885842 kidney

Specimen UC Davis_1885843: postnatal adult; Eri3tm1b(EUCOMM)Wtsi/Eri3+ (more )
Structure Level Pattern Image Note
TS28: eye Present UC Davis_1885843

Specimen UC Davis_1885844: postnatal adult; Eri3tm1b(EUCOMM)Wtsi/Eri3+ (more )
Structure Level Pattern Image Note
TS28: eye Present UC Davis_1885844

Specimen UC Davis_1885845: postnatal adult; Eri3tm1b(EUCOMM)Wtsi/Eri3+ (more )
Structure Level Pattern Image Note
TS28: eye Present UC Davis_1885845

Specimen UC Davis_1885846: postnatal adult; Eri3tm1b(EUCOMM)Wtsi/Eri3+ (more )
Structure Level Pattern Image Note
TS28: olfactory lobe Present UC Davis_1885846

Specimen UC Davis_1885847: postnatal adult; Eri3tm1b(EUCOMM)Wtsi/Eri3+ (more )
Structure Level Pattern Image Note
TS28: olfactory lobe Present UC Davis_1885847

Specimen UC Davis_1885850: postnatal adult; Eri3tm1b(EUCOMM)Wtsi/Eri3+ (more )
Structure Level Pattern Image Note
TS28: midbrain Present UC Davis_1885850

Specimen UC Davis_1885852: postnatal adult; Eri3tm1b(EUCOMM)Wtsi/Eri3+ (more )
Structure Level Pattern Image Note
TS28: cerebellum Present UC Davis_1885852

Specimen UC Davis_1885853: postnatal adult; Eri3tm1b(EUCOMM)Wtsi/Eri3+ (more )
Structure Level Pattern Image Note
TS28: cerebellum Present UC Davis_1885853

Specimen UC Davis_1885854: postnatal adult; Eri3tm1b(EUCOMM)Wtsi/Eri3+ (more )
Structure Level Pattern Image Note
TS28: vagina Present UC Davis_1885854

Specimen UC Davis_1885855: postnatal adult; Eri3tm1b(EUCOMM)Wtsi/Eri3+ (more )
Structure Level Pattern Image Note
TS28: vagina Present UC Davis_1885855

Specimen UC Davis_1885856: postnatal adult; Eri3tm1b(EUCOMM)Wtsi/Eri3+ (more )
Structure Level Pattern Image Note
TS28: bladder Present UC Davis_1885856

Specimen UC Davis_1885857: postnatal adult; Eri3tm1b(EUCOMM)Wtsi/Eri3+ (more )
Structure Level Pattern Image Note
TS28: bladder Present UC Davis_1885857

Specimen UC Davis_1885862: postnatal adult; Eri3tm1b(EUCOMM)Wtsi/Eri3+ (more )
Structure Level Pattern Image Note
TS28: metanephros Present UC Davis_1885862 kidney

Specimen UC Davis_1885863: postnatal adult; Eri3tm1b(EUCOMM)Wtsi/Eri3+ (more )
Structure Level Pattern Image Note
TS28: eye Present UC Davis_1885863

Specimen UC Davis_1885864: postnatal adult; Eri3tm1b(EUCOMM)Wtsi/Eri3+ (more )
Structure Level Pattern Image Note
TS28: skin Present UC Davis_1885864

Specimen UC Davis_1885865: postnatal adult; Eri3tm1b(EUCOMM)Wtsi/Eri3+ (more )
Structure Level Pattern Image Note
TS28: olfactory lobe Present UC Davis_1885865

Specimen UC Davis_1885869: postnatal adult; Eri3tm1b(EUCOMM)Wtsi/Eri3+ (more )
Structure Level Pattern Image Note
TS28: midbrain Present UC Davis_1885869

Specimen UC Davis_1885871: postnatal adult; Eri3tm1b(EUCOMM)Wtsi/Eri3+ (more )
Structure Level Pattern Image Note
TS28: cerebellum Present UC Davis_1885871

Specimen UC Davis_1885872: postnatal adult; Eri3tm1b(EUCOMM)Wtsi/Eri3+ (more )
Structure Level Pattern Image Note
TS28: trigeminal nerve Present UC Davis_1885872

Specimen UC Davis_1885873: postnatal adult; Eri3tm1b(EUCOMM)Wtsi/Eri3+ (more )
Structure Level Pattern Image Note
TS28: bladder Present UC Davis_1885873

Specimen UC Davis_1885874: postnatal adult; Eri3tm1b(EUCOMM)Wtsi/Eri3+ (more )
Structure Level Pattern Image Note
TS28: bladder Present UC Davis_1885874

Specimen UC Davis_1885875: postnatal adult; Eri3tm1b(EUCOMM)Wtsi/Eri3+ (more )
Structure Level Pattern Image Note
TS28: testis Present UC Davis_1885875

Specimen UC Davis_1885876: postnatal adult; Eri3tm1b(EUCOMM)Wtsi/Eri3+ (more )
Structure Level Pattern Image Note
TS28: epididymis Present UC Davis_1885876


Contributing Projects:
Mouse Genome Database (MGD), Gene Expression Database (GXD), Mouse Models of Human Cancer database (MMHCdb) (formerly Mouse Tumor Biology (MTB)), Gene Ontology (GO)
Citing These Resources
Funding Information
Warranty Disclaimer, Privacy Notice, Licensing, & Copyright
Send questions and comments to User Support.
last database update
01/06/2026
MGI 6.24
The Jackson Laboratory