About   Help   FAQ
Gene Expression Data
Assay Details
Assay
Reference: J:228563 Koscielny G, et al., The International Mouse Phenotyping Consortium Web Portal, a unified point of access for knockout mice and related phenotyping data. Nucleic Acids Res. 2014 Jan;42(Database issue):D802-9
Assay type: In situ reporter (knock in)
MGI Accession ID: MGI:6692463
Gene symbol: Pip4k2c
Gene name: phosphatidylinositol-5-phosphate 4-kinase, type II, gamma
Reporter: lacZ
Direct Detection
Results
Specimen JAX_1127053: embryonic day 12.5; Pip4k2ctm1b(KOMP)Wtsi/Pip4k2c+ (more )
Structure Level Pattern Image Note
TS20: embryo Present JAX_1127053

Specimen JAX_1127055: embryonic day 12.5; Pip4k2ctm1b(KOMP)Wtsi/Pip4k2c+ (more )
Structure Level Pattern Image Note
TS20: embryo Present JAX_1127055

Specimen JAX_1127057: embryonic day 12.5; Pip4k2ctm1b(KOMP)Wtsi/Pip4k2c+ (more )
Structure Level Pattern Image Note
TS20: embryo Present JAX_1127057

Specimen JAX_1127059: embryonic day 12.5; Pip4k2ctm1b(KOMP)Wtsi/Pip4k2c+ (more )
Structure Level Pattern Image Note
TS20: embryo Present JAX_1127059

Specimen JAX_1127061: embryonic day 12.5; Pip4k2ctm1b(KOMP)Wtsi/Pip4k2c+ (more )
Structure Level Pattern Image Note
TS20: embryo Present JAX_1127061

Specimen JAX_1127063: embryonic day 12.5; Pip4k2ctm1b(KOMP)Wtsi/Pip4k2c+ (more )
Structure Level Pattern Image Note
TS20: embryo Present JAX_1127063

Specimen JAX_1127065: embryonic day 12.5; Pip4k2ctm1b(KOMP)Wtsi/Pip4k2c+ (more )
Structure Level Pattern Image Note
TS20: embryo Present JAX_1127065

Specimen JAX_1127067: embryonic day 12.5; Pip4k2ctm1b(KOMP)Wtsi/Pip4k2c+ (more )
Structure Level Pattern Image Note
TS20: embryo Present JAX_1127067

Specimen JAX_1622939: postnatal adult; Pip4k2ctm1b(KOMP)Wtsi/Pip4k2c+ (more )
Structure Level Pattern Image Note
TS28: thalamus Present JAX_1622939

Specimen JAX_1622940: postnatal adult; Pip4k2ctm1b(KOMP)Wtsi/Pip4k2c+ (more )
Structure Level Pattern Image Note
TS28: midbrain Present JAX_1622940

Specimen JAX_1622941: postnatal adult; Pip4k2ctm1b(KOMP)Wtsi/Pip4k2c+ (more )
Structure Level Pattern Image Note
TS28: bladder Present JAX_1622941

Specimen JAX_1622942: postnatal adult; Pip4k2ctm1b(KOMP)Wtsi/Pip4k2c+ (more )
Structure Level Pattern Image Note
TS28: olfactory lobe Present JAX_1622942

Specimen JAX_1622943: postnatal adult; Pip4k2ctm1b(KOMP)Wtsi/Pip4k2c+ (more )
Structure Level Pattern Image Note
TS28: hypothalamus Present JAX_1622943

Specimen JAX_1622944: postnatal adult; Pip4k2ctm1b(KOMP)Wtsi/Pip4k2c+ (more )
Structure Level Pattern Image Note
TS28: hippocampus Present JAX_1622944

Specimen JAX_1622945: postnatal adult; Pip4k2ctm1b(KOMP)Wtsi/Pip4k2c+ (more )
Structure Level Pattern Image Note
TS28: cerebral cortex Present JAX_1622945

Specimen JAX_1622946: postnatal adult; Pip4k2ctm1b(KOMP)Wtsi/Pip4k2c+ (more )
Structure Level Pattern Image Note
TS28: brainstem Present JAX_1622946

Specimen JAX_1622947: postnatal adult; Pip4k2ctm1b(KOMP)Wtsi/Pip4k2c+ (more )
Structure Level Pattern Image Note
TS28: spleen Present JAX_1622947

Specimen JAX_1622948: postnatal adult; Pip4k2ctm1b(KOMP)Wtsi/Pip4k2c+ (more )
Structure Level Pattern Image Note
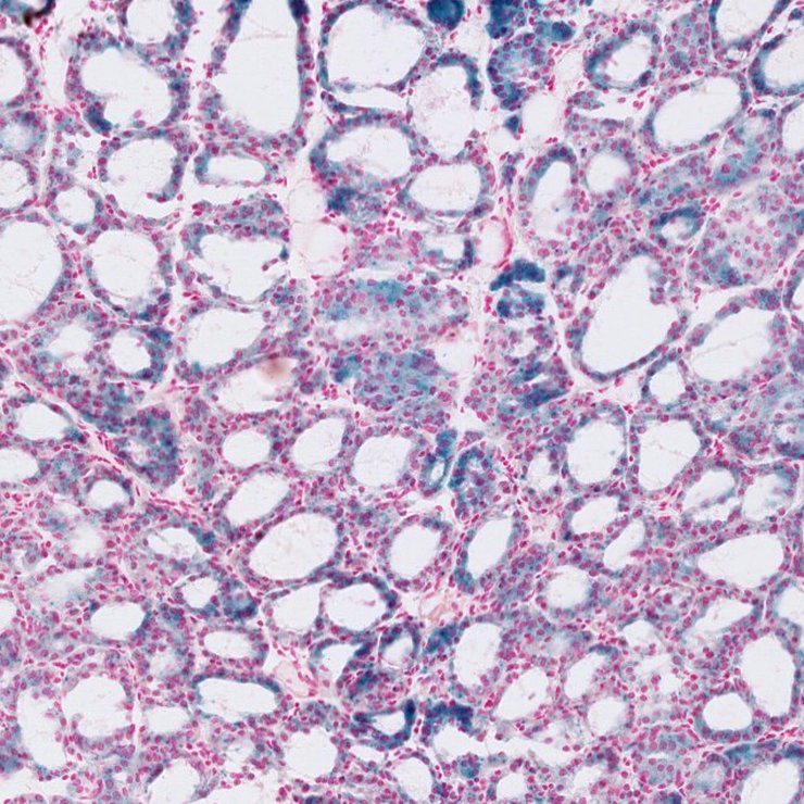
TS28: pancreas Present JAX_1622948

Specimen JAX_1622949: postnatal adult; Pip4k2ctm1b(KOMP)Wtsi/Pip4k2c+ (more )
Structure Level Pattern Image Note
TS28: white fat Present JAX_1622949

Specimen JAX_1622950: postnatal adult; Pip4k2ctm1b(KOMP)Wtsi/Pip4k2c+ (more )
Structure Level Pattern Image Note
TS28: pituitary gland Present JAX_1622950

Specimen JAX_1622951: postnatal adult; Pip4k2ctm1b(KOMP)Wtsi/Pip4k2c+ (more )
Structure Level Pattern Image Note
TS28: thyroid gland Present JAX_1622951

Specimen JAX_1622952: postnatal adult; Pip4k2ctm1b(KOMP)Wtsi/Pip4k2c+ (more )
Structure Level Pattern Image Note
TS28: large intestine Present JAX_1622952

Specimen JAX_1622953: postnatal adult; Pip4k2ctm1b(KOMP)Wtsi/Pip4k2c+ (more )
Structure Level Pattern Image Note
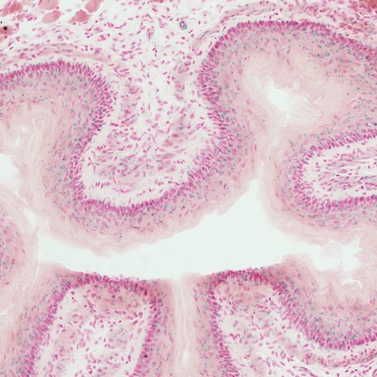
TS28: uterus Present JAX_1622953

Specimen JAX_1622954: postnatal adult; Pip4k2ctm1b(KOMP)Wtsi/Pip4k2c+ (more )
Structure Level Pattern Image Note
TS28: thymus Present JAX_1622954

Specimen JAX_1622955: postnatal adult; Pip4k2ctm1b(KOMP)Wtsi/Pip4k2c+ (more )
Structure Level Pattern Image Note
TS28: skin Present JAX_1622955

Specimen JAX_1622956: postnatal adult; Pip4k2ctm1b(KOMP)Wtsi/Pip4k2c+ (more )
Structure Level Pattern Image Note
TS28: oviduct Present JAX_1622956

Specimen JAX_1622957: postnatal adult; Pip4k2ctm1b(KOMP)Wtsi/Pip4k2c+ (more )
Structure Level Pattern Image Note
TS28: ovary Present JAX_1622957

Specimen JAX_1622958: postnatal adult; Pip4k2ctm1b(KOMP)Wtsi/Pip4k2c+ (more )
Structure Level Pattern Image Note
TS28: mammary gland Present JAX_1622958

Specimen JAX_1622959: postnatal adult; Pip4k2ctm1b(KOMP)Wtsi/Pip4k2c+ (more )
Structure Level Pattern Image Note
TS28: lymph node Present JAX_1622959

Specimen JAX_1622960: postnatal adult; Pip4k2ctm1b(KOMP)Wtsi/Pip4k2c+ (more )
Structure Level Pattern Image Note
TS28: metanephros Present JAX_1622960 kidney

Specimen JAX_1622961: postnatal adult; Pip4k2ctm1b(KOMP)Wtsi/Pip4k2c+ (more )
Structure Level Pattern Image Note
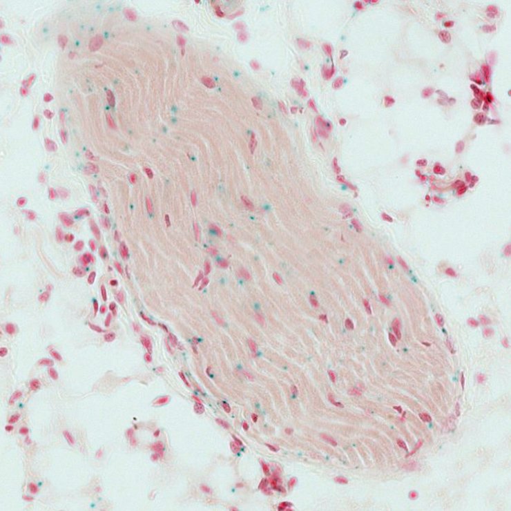
TS28: heart Present JAX_1622961

Specimen JAX_1622962: postnatal adult; Pip4k2ctm1b(KOMP)Wtsi/Pip4k2c+ (more )
Structure Level Pattern Image Note
TS28: eye Present JAX_1622962

Specimen JAX_1622963: postnatal adult; Pip4k2ctm1b(KOMP)Wtsi/Pip4k2c+ (more )
Structure Level Pattern Image Note
TS28: brain Present JAX_1622963

Specimen JAX_1622964: postnatal adult; Pip4k2ctm1b(KOMP)Wtsi/Pip4k2c+ (more )
Structure Level Pattern Image Note
TS28: adrenal gland Present JAX_1622964

Specimen JAX_1622925: postnatal adult; Pip4k2ctm1b(KOMP)Wtsi/Pip4k2c+ (more )
Structure Level Pattern Image Note
TS28: vascular system Present JAX_1622925

Specimen JAX_1622926: postnatal adult; Pip4k2ctm1b(KOMP)Wtsi/Pip4k2c+ (more )
Structure Level Pattern Image Note
TS28: epididymis Present JAX_1622926

Specimen JAX_1622927: postnatal adult; Pip4k2ctm1b(KOMP)Wtsi/Pip4k2c+ (more )
Structure Level Pattern Image Note
TS28: submandibular gland Present JAX_1622927

Specimen JAX_1622928: postnatal adult; Pip4k2ctm1b(KOMP)Wtsi/Pip4k2c+ (more )
Structure Level Pattern Image Note
TS28: corpus striatum Present JAX_1622928

Specimen JAX_1622929: postnatal adult; Pip4k2ctm1b(KOMP)Wtsi/Pip4k2c+ (more )
Structure Level Pattern Image Note
TS28: peripheral nervous system Present JAX_1622929

Specimen JAX_1622930: postnatal adult; Pip4k2ctm1b(KOMP)Wtsi/Pip4k2c+ (more )
Structure Level Pattern Image Note
TS28: cerebellum Present JAX_1622930

Specimen JAX_1622931: postnatal adult; Pip4k2ctm1b(KOMP)Wtsi/Pip4k2c+ (more )
Structure Level Pattern Image Note
TS28: cartilage Present JAX_1622931

Specimen JAX_1622932: postnatal adult; Pip4k2ctm1b(KOMP)Wtsi/Pip4k2c+ (more )
Structure Level Pattern Image Note
TS28: lung Present JAX_1622932

Specimen JAX_1622933: postnatal adult; Pip4k2ctm1b(KOMP)Wtsi/Pip4k2c+ (more )
Structure Level Pattern Image Note
TS28: small intestine Present JAX_1622933

Specimen JAX_1622934: postnatal adult; Pip4k2ctm1b(KOMP)Wtsi/Pip4k2c+ (more )
Structure Level Pattern Image Note
TS28: spinal cord Present JAX_1622934

Specimen JAX_1622935: postnatal adult; Pip4k2ctm1b(KOMP)Wtsi/Pip4k2c+ (more )
Structure Level Pattern Image Note
TS28: esophagus Present JAX_1622935

Specimen JAX_1622936: postnatal adult; Pip4k2ctm1b(KOMP)Wtsi/Pip4k2c+ (more )
Structure Level Pattern Image Note
TS28: trachea Present JAX_1622936

Specimen JAX_1622937: postnatal adult; Pip4k2ctm1b(KOMP)Wtsi/Pip4k2c+ (more )
Structure Level Pattern Image Note
TS28: testis Present JAX_1622937

Specimen JAX_1622938: postnatal adult; Pip4k2ctm1b(KOMP)Wtsi/Pip4k2c+ (more )
Structure Level Pattern Image Note
TS28: stomach Present JAX_1622938


Contributing Projects:
Mouse Genome Database (MGD), Gene Expression Database (GXD), Mouse Models of Human Cancer database (MMHCdb) (formerly Mouse Tumor Biology (MTB)), Gene Ontology (GO)
Citing These Resources
Funding Information
Warranty Disclaimer, Privacy Notice, Licensing, & Copyright
Send questions and comments to User Support.
last database update
01/20/2026
MGI 6.24
The Jackson Laboratory