About   Help   FAQ
Gene Expression Data
Assay Details
Assay
Reference: J:228563 Koscielny G, et al., The International Mouse Phenotyping Consortium Web Portal, a unified point of access for knockout mice and related phenotyping data. Nucleic Acids Res. 2014 Jan;42(Database issue):D802-9
Assay type: In situ reporter (knock in)
MGI Accession ID: MGI:6692462
Gene symbol: Calcb
Gene name: calcitonin-related polypeptide, beta
Reporter: lacZ
Direct Detection
Results
Specimen UC Davis_1875772: postnatal adult; Calcbtm1.1(KOMP)Vlcg/Calcb+ (more )
Structure Level Pattern Image Note
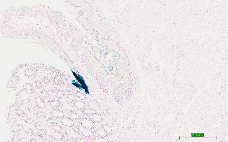
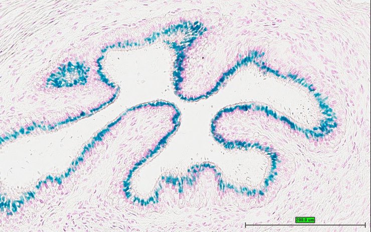
TS28: ileum Present UC Davis_1875772

Specimen UC Davis_1875773: postnatal adult; Calcbtm1.1(KOMP)Vlcg/Calcb+ (more )
Structure Level Pattern Image Note
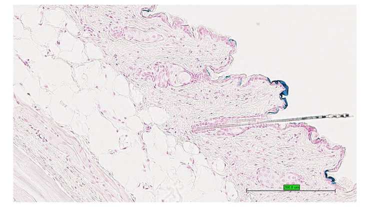
TS28: skin Present UC Davis_1875773

Specimen UC Davis_1875774: postnatal adult; Calcbtm1.1(KOMP)Vlcg/Calcb+ (more )
Structure Level Pattern Image Note
TS28: skin Present UC Davis_1875774

Specimen UC Davis_1875775: postnatal adult; Calcbtm1.1(KOMP)Vlcg/Calcb+ (more )
Structure Level Pattern Image Note
TS28: skin Present UC Davis_1875775

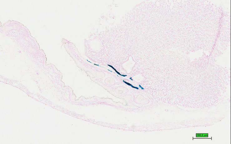
Specimen UC Davis_1875777: postnatal adult; Calcbtm1.1(KOMP)Vlcg/Calcb+ (more )
Structure Level Pattern Image Note
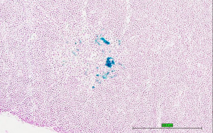
TS28: thymus Present UC Davis_1875777

Specimen UC Davis_1875778: postnatal adult; Calcbtm1.1(KOMP)Vlcg/Calcb+ (more )
Structure Level Pattern Image Note
TS28: thymus Present UC Davis_1875778

Specimen UC Davis_1875779: postnatal adult; Calcbtm1.1(KOMP)Vlcg/Calcb+ (more )
Structure Level Pattern Image Note
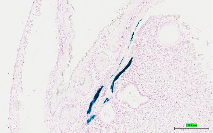
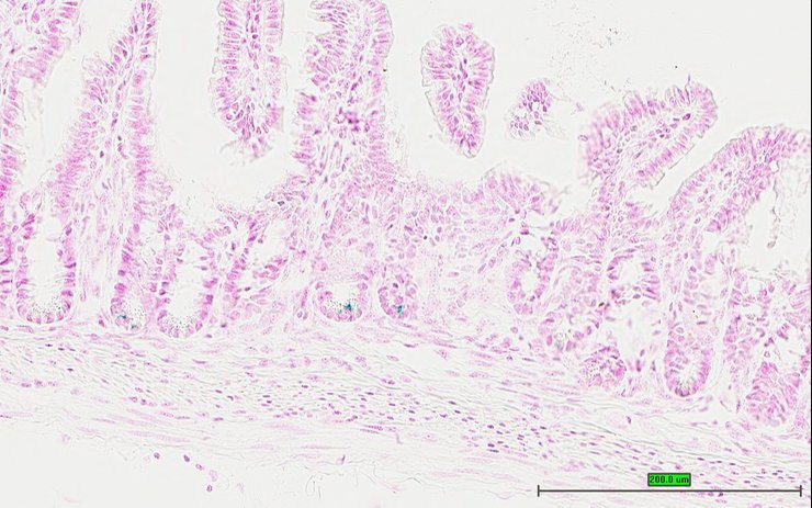
TS28: stomach Present UC Davis_1875779

Specimen UC Davis_1875780: postnatal adult; Calcbtm1.1(KOMP)Vlcg/Calcb+ (more )
Structure Level Pattern Image Note
TS28: stomach Present UC Davis_1875780

Specimen UC Davis_1875781: postnatal adult; Calcbtm1.1(KOMP)Vlcg/Calcb+ (more )
Structure Level Pattern Image Note
TS28: stomach Present UC Davis_1875781

Specimen UC Davis_1875782: postnatal adult; Calcbtm1.1(KOMP)Vlcg/Calcb+ (more )
Structure Level Pattern Image Note
TS28: stomach Present UC Davis_1875782

Specimen UC Davis_1875783: postnatal adult; Calcbtm1.1(KOMP)Vlcg/Calcb+ (more )
Structure Level Pattern Image Note
TS28: stomach Present UC Davis_1875783

Specimen UC Davis_1875784: postnatal adult; Calcbtm1.1(KOMP)Vlcg/Calcb+ (more )
Structure Level Pattern Image Note
TS28: ileum Present UC Davis_1875784

Specimen UC Davis_1875785: postnatal adult; Calcbtm1.1(KOMP)Vlcg/Calcb+ (more )
Structure Level Pattern Image Note
TS28: colon Present UC Davis_1875785

Specimen UC Davis_1875786: postnatal adult; Calcbtm1.1(KOMP)Vlcg/Calcb+ (more )
Structure Level Pattern Image Note
TS28: colon Present UC Davis_1875786

Specimen UC Davis_1875787: postnatal adult; Calcbtm1.1(KOMP)Vlcg/Calcb+ (more )
Structure Level Pattern Image Note
TS28: tongue Present UC Davis_1875787

Specimen UC Davis_1875788: postnatal adult; Calcbtm1.1(KOMP)Vlcg/Calcb+ (more )
Structure Level Pattern Image Note
TS28: skin Present UC Davis_1875788

Specimen UC Davis_1875789: postnatal adult; Calcbtm1.1(KOMP)Vlcg/Calcb+ (more )
Structure Level Pattern Image Note
TS28: skin Present UC Davis_1875789

Specimen UC Davis_1875790: postnatal adult; Calcbtm1.1(KOMP)Vlcg/Calcb+ (more )
Structure Level Pattern Image Note
TS28: testis Present UC Davis_1875790

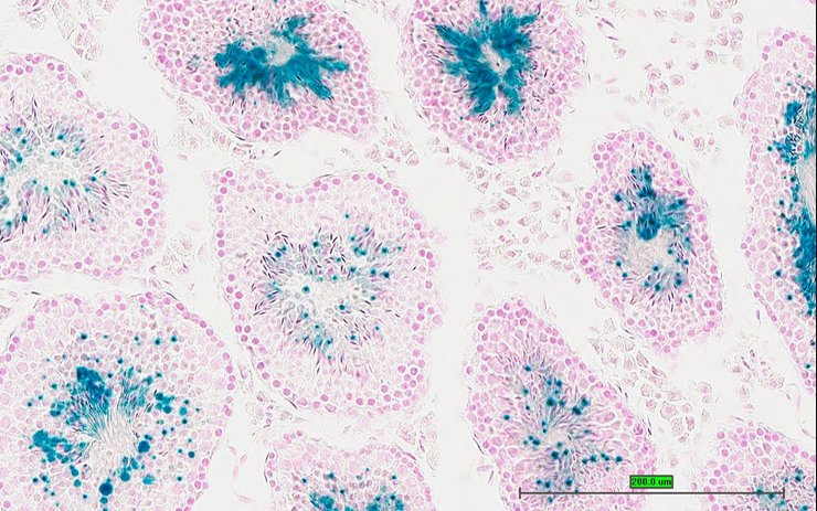
Specimen UC Davis_1875791: postnatal adult; Calcbtm1.1(KOMP)Vlcg/Calcb+ (more )
Structure Level Pattern Image Note
TS28: testis Present UC Davis_1875791

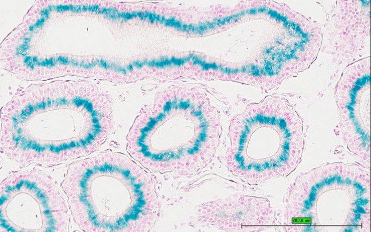
Specimen UC Davis_1875792: postnatal adult; Calcbtm1.1(KOMP)Vlcg/Calcb+ (more )
Structure Level Pattern Image Note
TS28: epididymis Present UC Davis_1875792

Specimen UC Davis_1875793: postnatal adult; Calcbtm1.1(KOMP)Vlcg/Calcb+ (more )
Structure Level Pattern Image Note
TS28: prostate gland Present UC Davis_1875793

Specimen UC Davis_1875794: postnatal adult; Calcbtm1.1(KOMP)Vlcg/Calcb+ (more )
Structure Level Pattern Image Note
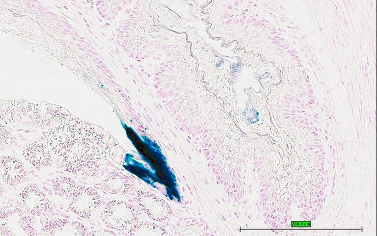
TS28: penis Present UC Davis_1875794

Specimen UC Davis_1875795: postnatal adult; Calcbtm1.1(KOMP)Vlcg/Calcb+ (more )
Structure Level Pattern Image Note
TS28: penis Present UC Davis_1875795

Specimen UC Davis_1875796: postnatal adult; Calcbtm1.1(KOMP)Vlcg/Calcb+ (more )
Structure Level Pattern Image Note
TS28: ductus deferens Present UC Davis_1875796 vas deferens


Contributing Projects:
Mouse Genome Database (MGD), Gene Expression Database (GXD), Mouse Models of Human Cancer database (MMHCdb) (formerly Mouse Tumor Biology (MTB)), Gene Ontology (GO)
Citing These Resources
Funding Information
Warranty Disclaimer, Privacy Notice, Licensing, & Copyright
Send questions and comments to User Support.
last database update
01/28/2026
MGI 6.24
The Jackson Laboratory