About   Help   FAQ
Gene Expression Data
Assay Details
Assay
Reference: J:228563 Koscielny G, et al., The International Mouse Phenotyping Consortium Web Portal, a unified point of access for knockout mice and related phenotyping data. Nucleic Acids Res. 2014 Jan;42(Database issue):D802-9
Assay type: In situ reporter (knock in)
MGI Accession ID: MGI:6692458
Gene symbol: Prelp
Gene name: proline arginine-rich end leucine-rich repeat
Reporter: lacZ
Direct Detection
Results
Specimen UC Davis_1856338: postnatal adult; Prelptm1.1(KOMP)Vlcg/Prelp+ (more )
Structure Level Pattern Image Note
TS28: submandibular gland Present UC Davis_1856338

Specimen UC Davis_1856339: postnatal adult; Prelptm1.1(KOMP)Vlcg/Prelp+ (more )
Structure Level Pattern Image Note
TS28: submandibular gland Present UC Davis_1856339

Specimen UC Davis_1856340: postnatal adult; Prelptm1.1(KOMP)Vlcg/Prelp+ (more )
Structure Level Pattern Image Note
TS28: submandibular gland Present UC Davis_1856340

Specimen UC Davis_1856341: postnatal adult; Prelptm1.1(KOMP)Vlcg/Prelp+ (more )
Structure Level Pattern Image Note
TS28: sublingual gland Present UC Davis_1856341

Specimen UC Davis_1856342: postnatal adult; Prelptm1.1(KOMP)Vlcg/Prelp+ (more )
Structure Level Pattern Image Note
TS28: sublingual gland Present UC Davis_1856342

Specimen UC Davis_1856343: postnatal adult; Prelptm1.1(KOMP)Vlcg/Prelp+ (more )
Structure Level Pattern Image Note
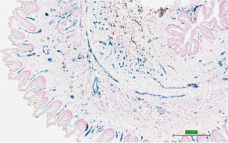
TS28: trachea Present UC Davis_1856343

Specimen UC Davis_1856344: postnatal adult; Prelptm1.1(KOMP)Vlcg/Prelp+ (more )
Structure Level Pattern Image Note
TS28: trachea Present UC Davis_1856344

Specimen UC Davis_1856345: postnatal adult; Prelptm1.1(KOMP)Vlcg/Prelp+ (more )
Structure Level Pattern Image Note
TS28: trachea Present UC Davis_1856345

Specimen UC Davis_1856346: postnatal adult; Prelptm1.1(KOMP)Vlcg/Prelp+ (more )
Structure Level Pattern Image Note
TS28: esophagus Present UC Davis_1856346

Specimen UC Davis_1856347: postnatal adult; Prelptm1.1(KOMP)Vlcg/Prelp+ (more )
Structure Level Pattern Image Note
TS28: esophagus Present UC Davis_1856347

Specimen UC Davis_1856348: postnatal adult; Prelptm1.1(KOMP)Vlcg/Prelp+ (more )
Structure Level Pattern Image Note
TS28: esophagus Present UC Davis_1856348

Specimen UC Davis_1856349: postnatal adult; Prelptm1.1(KOMP)Vlcg/Prelp+ (more )
Structure Level Pattern Image Note
TS28: thyroid gland Present UC Davis_1856349

Specimen UC Davis_1856350: postnatal adult; Prelptm1.1(KOMP)Vlcg/Prelp+ (more )
Structure Level Pattern Image Note
TS28: thyroid gland Present UC Davis_1856350

Specimen UC Davis_1856351: postnatal adult; Prelptm1.1(KOMP)Vlcg/Prelp+ (more )
Structure Level Pattern Image Note
TS28: lung Present UC Davis_1856351

Specimen UC Davis_1856352: postnatal adult; Prelptm1.1(KOMP)Vlcg/Prelp+ (more )
Structure Level Pattern Image Note
TS28: lung Present UC Davis_1856352

Specimen UC Davis_1856353: postnatal adult; Prelptm1.1(KOMP)Vlcg/Prelp+ (more )
Structure Level Pattern Image Note
TS28: lung Present UC Davis_1856353

Specimen UC Davis_1856354: postnatal adult; Prelptm1.1(KOMP)Vlcg/Prelp+ (more )
Structure Level Pattern Image Note
TS28: thymus Present UC Davis_1856354

Specimen UC Davis_1856355: postnatal adult; Prelptm1.1(KOMP)Vlcg/Prelp+ (more )
Structure Level Pattern Image Note
TS28: thymus Present UC Davis_1856355

Specimen UC Davis_1856356: postnatal adult; Prelptm1.1(KOMP)Vlcg/Prelp+ (more )
Structure Level Pattern Image Note
TS28: thymus Present UC Davis_1856356

Specimen UC Davis_1856361: postnatal adult; Prelptm1.1(KOMP)Vlcg/Prelp+ (more )
Structure Level Pattern Image Note
TS28: stomach Present UC Davis_1856361

Specimen UC Davis_1856362: postnatal adult; Prelptm1.1(KOMP)Vlcg/Prelp+ (more )
Structure Level Pattern Image Note
TS28: stomach Present UC Davis_1856362

Specimen UC Davis_1856363: postnatal adult; Prelptm1.1(KOMP)Vlcg/Prelp+ (more )
Structure Level Pattern Image Note
TS28: stomach Present UC Davis_1856363

Specimen UC Davis_1856364: postnatal adult; Prelptm1.1(KOMP)Vlcg/Prelp+ (more )
Structure Level Pattern Image Note
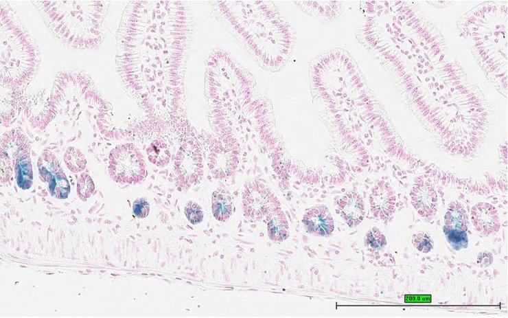
TS28: duodenum Present UC Davis_1856364

Specimen UC Davis_1856365: postnatal adult; Prelptm1.1(KOMP)Vlcg/Prelp+ (more )
Structure Level Pattern Image Note
TS28: duodenum Present UC Davis_1856365

Specimen UC Davis_1856366: postnatal adult; Prelptm1.1(KOMP)Vlcg/Prelp+ (more )
Structure Level Pattern Image Note
TS28: duodenum Present UC Davis_1856366

Specimen UC Davis_1856367: postnatal adult; Prelptm1.1(KOMP)Vlcg/Prelp+ (more )
Structure Level Pattern Image Note
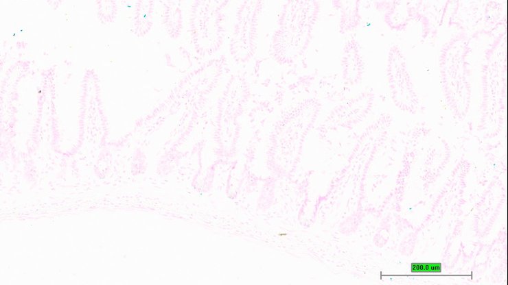
TS28: ileum Present UC Davis_1856367

Specimen UC Davis_1856368: postnatal adult; Prelptm1.1(KOMP)Vlcg/Prelp+ (more )
Structure Level Pattern Image Note
TS28: ileum Present UC Davis_1856368

Specimen UC Davis_1856369: postnatal adult; Prelptm1.1(KOMP)Vlcg/Prelp+ (more )
Structure Level Pattern Image Note
TS28: ileum Present UC Davis_1856369

Specimen UC Davis_1856370: postnatal adult; Prelptm1.1(KOMP)Vlcg/Prelp+ (more )
Structure Level Pattern Image Note
TS28: colon Present UC Davis_1856370

Specimen UC Davis_1856371: postnatal adult; Prelptm1.1(KOMP)Vlcg/Prelp+ (more )
Structure Level Pattern Image Note
TS28: colon Present UC Davis_1856371

Specimen UC Davis_1856372: postnatal adult; Prelptm1.1(KOMP)Vlcg/Prelp+ (more )
Structure Level Pattern Image Note
TS28: colon Present UC Davis_1856372

Specimen UC Davis_1856373: postnatal adult; Prelptm1.1(KOMP)Vlcg/Prelp+ (more )
Structure Level Pattern Image Note
TS28: cecum Present UC Davis_1856373

Specimen UC Davis_1856374: postnatal adult; Prelptm1.1(KOMP)Vlcg/Prelp+ (more )
Structure Level Pattern Image Note
TS28: cecum Present UC Davis_1856374

Specimen UC Davis_1856375: postnatal adult; Prelptm1.1(KOMP)Vlcg/Prelp+ (more )
Structure Level Pattern Image Note
TS28: cecum Present UC Davis_1856375

Specimen UC Davis_1856376: postnatal adult; Prelptm1.1(KOMP)Vlcg/Prelp+ (more )
Structure Level Pattern Image Note
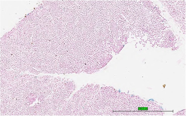
TS28: spleen Present UC Davis_1856376

Specimen UC Davis_1856377: postnatal adult; Prelptm1.1(KOMP)Vlcg/Prelp+ (more )
Structure Level Pattern Image Note
TS28: spleen Present UC Davis_1856377

Specimen UC Davis_1856378: postnatal adult; Prelptm1.1(KOMP)Vlcg/Prelp+ (more )
Structure Level Pattern Image Note
TS28: spleen Present UC Davis_1856378

Specimen UC Davis_1856379: postnatal adult; Prelptm1.1(KOMP)Vlcg/Prelp+ (more )
Structure Level Pattern Image Note
TS28: liver Present UC Davis_1856379

Specimen UC Davis_1856380: postnatal adult; Prelptm1.1(KOMP)Vlcg/Prelp+ (more )
Structure Level Pattern Image Note
TS28: liver Present UC Davis_1856380

Specimen UC Davis_1856381: postnatal adult; Prelptm1.1(KOMP)Vlcg/Prelp+ (more )
Structure Level Pattern Image Note
TS28: liver Present UC Davis_1856381

Specimen UC Davis_1856382: postnatal adult; Prelptm1.1(KOMP)Vlcg/Prelp+ (more )
Structure Level Pattern Image Note
TS28: quadriceps femoris muscle Present UC Davis_1856382

Specimen UC Davis_1856383: postnatal adult; Prelptm1.1(KOMP)Vlcg/Prelp+ (more )
Structure Level Pattern Image Note
TS28: quadriceps femoris muscle Present UC Davis_1856383

Specimen UC Davis_1856384: postnatal adult; Prelptm1.1(KOMP)Vlcg/Prelp+ (more )
Structure Level Pattern Image Note
TS28: quadriceps femoris muscle Present UC Davis_1856384

Specimen UC Davis_1856385: postnatal adult; Prelptm1.1(KOMP)Vlcg/Prelp+ (more )
Structure Level Pattern Image Note
TS28: quadriceps femoris muscle Present UC Davis_1856385

Specimen UC Davis_1856386: postnatal adult; Prelptm1.1(KOMP)Vlcg/Prelp+ (more )
Structure Level Pattern Image Note
TS28: quadriceps femoris muscle Present UC Davis_1856386

Specimen UC Davis_1856387: postnatal adult; Prelptm1.1(KOMP)Vlcg/Prelp+ (more )
Structure Level Pattern Image Note
TS28: quadriceps femoris muscle Present UC Davis_1856387

Specimen UC Davis_1856388: postnatal adult; Prelptm1.1(KOMP)Vlcg/Prelp+ (more )
Structure Level Pattern Image Note
TS28: sciatic nerve Present UC Davis_1856388

Specimen UC Davis_1856389: postnatal adult; Prelptm1.1(KOMP)Vlcg/Prelp+ (more )
Structure Level Pattern Image Note
TS28: sciatic nerve Present UC Davis_1856389

Specimen UC Davis_1856390: postnatal adult; Prelptm1.1(KOMP)Vlcg/Prelp+ (more )
Structure Level Pattern Image Note
TS28: sciatic nerve Present UC Davis_1856390

Specimen UC Davis_1856391: postnatal adult; Prelptm1.1(KOMP)Vlcg/Prelp+ (more )
Structure Level Pattern Image Note
TS28: sciatic nerve Present UC Davis_1856391

Specimen UC Davis_1856392: postnatal adult; Prelptm1.1(KOMP)Vlcg/Prelp+ (more )
Structure Level Pattern Image Note
TS28: sciatic nerve Present UC Davis_1856392

Specimen UC Davis_1856393: postnatal adult; Prelptm1.1(KOMP)Vlcg/Prelp+ (more )
Structure Level Pattern Image Note
TS28: sciatic nerve Present UC Davis_1856393

Specimen UC Davis_1856394: postnatal adult; Prelptm1.1(KOMP)Vlcg/Prelp+ (more )
Structure Level Pattern Image Note
TS28: tongue Present UC Davis_1856394

Specimen UC Davis_1856395: postnatal adult; Prelptm1.1(KOMP)Vlcg/Prelp+ (more )
Structure Level Pattern Image Note
TS28: tongue Present UC Davis_1856395

Specimen UC Davis_1856396: postnatal adult; Prelptm1.1(KOMP)Vlcg/Prelp+ (more )
Structure Level Pattern Image Note
TS28: tongue Present UC Davis_1856396

Specimen UC Davis_1856397: postnatal adult; Prelptm1.1(KOMP)Vlcg/Prelp+ (more )
Structure Level Pattern Image Note
TS28: diaphragm Present UC Davis_1856397

Specimen UC Davis_1856398: postnatal adult; Prelptm1.1(KOMP)Vlcg/Prelp+ (more )
Structure Level Pattern Image Note
TS28: diaphragm Present UC Davis_1856398

Specimen UC Davis_1856399: postnatal adult; Prelptm1.1(KOMP)Vlcg/Prelp+ (more )
Structure Level Pattern Image Note
TS28: diaphragm Present UC Davis_1856399

Specimen UC Davis_1856400: postnatal adult; Prelptm1.1(KOMP)Vlcg/Prelp+ (more )
Structure Level Pattern Image Note
TS28: adrenal gland Present UC Davis_1856400

Specimen UC Davis_1856401: postnatal adult; Prelptm1.1(KOMP)Vlcg/Prelp+ (more )
Structure Level Pattern Image Note
TS28: adrenal gland Present UC Davis_1856401

Specimen UC Davis_1856402: postnatal adult; Prelptm1.1(KOMP)Vlcg/Prelp+ (more )
Structure Level Pattern Image Note
TS28: adrenal gland Present UC Davis_1856402

Specimen UC Davis_1856403: postnatal adult; Prelptm1.1(KOMP)Vlcg/Prelp+ (more )
Structure Level Pattern Image Note
TS28: spinal cord Present UC Davis_1856403

Specimen UC Davis_1856404: postnatal adult; Prelptm1.1(KOMP)Vlcg/Prelp+ (more )
Structure Level Pattern Image Note
TS28: spinal cord Present UC Davis_1856404

Specimen UC Davis_1856405: postnatal adult; Prelptm1.1(KOMP)Vlcg/Prelp+ (more )
Structure Level Pattern Image Note
TS28: spinal cord Present UC Davis_1856405

Specimen UC Davis_1856406: postnatal adult; Prelptm1.1(KOMP)Vlcg/Prelp+ (more )
Structure Level Pattern Image Note
TS28: eye Present UC Davis_1856406

Specimen UC Davis_1856407: postnatal adult; Prelptm1.1(KOMP)Vlcg/Prelp+ (more )
Structure Level Pattern Image Note
TS28: eye Present UC Davis_1856407

Specimen UC Davis_1856408: postnatal adult; Prelptm1.1(KOMP)Vlcg/Prelp+ (more )
Structure Level Pattern Image Note
TS28: eye Present UC Davis_1856408

Specimen UC Davis_1856411: postnatal adult; Prelptm1.1(KOMP)Vlcg/Prelp+ (more )
Structure Level Pattern Image Note
TS28: Harderian gland Present UC Davis_1856411

Specimen UC Davis_1856412: postnatal adult; Prelptm1.1(KOMP)Vlcg/Prelp+ (more )
Structure Level Pattern Image Note
TS28: Harderian gland Present UC Davis_1856412

Specimen UC Davis_1856413: postnatal adult; Prelptm1.1(KOMP)Vlcg/Prelp+ (more )
Structure Level Pattern Image Note
TS28: Harderian gland Present UC Davis_1856413

Specimen UC Davis_1856414: postnatal adult; Prelptm1.1(KOMP)Vlcg/Prelp+ (more )
Structure Level Pattern Image Note
TS28: gonadal fat pad Present UC Davis_1856414

Specimen UC Davis_1856415: postnatal adult; Prelptm1.1(KOMP)Vlcg/Prelp+ (more )
Structure Level Pattern Image Note
TS28: gonadal fat pad Present UC Davis_1856415

Specimen UC Davis_1856416: postnatal adult; Prelptm1.1(KOMP)Vlcg/Prelp+ (more )
Structure Level Pattern Image Note
TS28: gonadal fat pad Present UC Davis_1856416

Specimen UC Davis_1856417: postnatal adult; Prelptm1.1(KOMP)Vlcg/Prelp+ (more )
Structure Level Pattern Image Note
TS28: gonadal fat pad Present UC Davis_1856417

Specimen UC Davis_1856418: postnatal adult; Prelptm1.1(KOMP)Vlcg/Prelp+ (more )
Structure Level Pattern Image Note
TS28: skin Present UC Davis_1856418

Specimen UC Davis_1856419: postnatal adult; Prelptm1.1(KOMP)Vlcg/Prelp+ (more )
Structure Level Pattern Image Note
TS28: skin Present UC Davis_1856419

Specimen UC Davis_1856420: postnatal adult; Prelptm1.1(KOMP)Vlcg/Prelp+ (more )
Structure Level Pattern Image Note
TS28: brown fat Present UC Davis_1856420

Specimen UC Davis_1856421: postnatal adult; Prelptm1.1(KOMP)Vlcg/Prelp+ (more )
Structure Level Pattern Image Note
TS28: brown fat Present UC Davis_1856421

Specimen UC Davis_1856422: postnatal adult; Prelptm1.1(KOMP)Vlcg/Prelp+ (more )
Structure Level Pattern Image Note
TS28: olfactory lobe Present UC Davis_1856422

Specimen UC Davis_1856424: postnatal adult; Prelptm1.1(KOMP)Vlcg/Prelp+ (more )
Structure Level Pattern Image Note
TS28: midbrain Present UC Davis_1856424

Specimen UC Davis_1856426: postnatal adult; Prelptm1.1(KOMP)Vlcg/Prelp+ (more )
Structure Level Pattern Image Note
TS28: trigeminal nerve Present UC Davis_1856426

Specimen UC Davis_1856427: postnatal adult; Prelptm1.1(KOMP)Vlcg/Prelp+ (more )
Structure Level Pattern Image Note
TS28: trigeminal nerve Present UC Davis_1856427

Specimen UC Davis_1856428: postnatal adult; Prelptm1.1(KOMP)Vlcg/Prelp+ (more )
Structure Level Pattern Image Note
TS28: trigeminal nerve Present UC Davis_1856428

Specimen UC Davis_1856429: postnatal adult; Prelptm1.1(KOMP)Vlcg/Prelp+ (more )
Structure Level Pattern Image Note
TS28: trigeminal nerve Present UC Davis_1856429

Specimen UC Davis_1856430: postnatal adult; Prelptm1.1(KOMP)Vlcg/Prelp+ (more )
Structure Level Pattern Image Note
TS28: uterus Present UC Davis_1856430

Specimen UC Davis_1856431: postnatal adult; Prelptm1.1(KOMP)Vlcg/Prelp+ (more )
Structure Level Pattern Image Note
TS28: uterus Present UC Davis_1856431

Specimen UC Davis_1856432: postnatal adult; Prelptm1.1(KOMP)Vlcg/Prelp+ (more )
Structure Level Pattern Image Note
TS28: uterus Present UC Davis_1856432

Specimen UC Davis_1856433: postnatal adult; Prelptm1.1(KOMP)Vlcg/Prelp+ (more )
Structure Level Pattern Image Note
TS28: bladder Present UC Davis_1856433

Specimen UC Davis_1856434: postnatal adult; Prelptm1.1(KOMP)Vlcg/Prelp+ (more )
Structure Level Pattern Image Note
TS28: bladder Present UC Davis_1856434

Specimen UC Davis_1856435: postnatal adult; Prelptm1.1(KOMP)Vlcg/Prelp+ (more )
Structure Level Pattern Image Note
TS28: bladder Present UC Davis_1856435

Specimen UC Davis_1856439: postnatal adult; Prelptm1.1(KOMP)Vlcg/Prelp+ (more )
Structure Level Pattern Image Note
TS28: mammary gland Present UC Davis_1856439

Specimen UC Davis_1856440: postnatal adult; Prelptm1.1(KOMP)Vlcg/Prelp+ (more )
Structure Level Pattern Image Note
TS28: mammary gland Present UC Davis_1856440

Specimen UC Davis_1856441: postnatal adult; Prelptm1.1(KOMP)Vlcg/Prelp+ (more )
Structure Level Pattern Image Note
TS28: mammary gland Present UC Davis_1856441

Specimen UC Davis_1856494: postnatal adult; Prelptm1.1(KOMP)Vlcg/Prelp+ (more )
Structure Level Pattern Image Note
TS28: aorta Present UC Davis_1856494

Specimen UC Davis_1856495: postnatal adult; Prelptm1.1(KOMP)Vlcg/Prelp+ (more )
Structure Level Pattern Image Note
TS28: gonadal fat pad Present UC Davis_1856495

Specimen UC Davis_1856496: postnatal adult; Prelptm1.1(KOMP)Vlcg/Prelp+ (more )
Structure Level Pattern Image Note
TS28: ovary Present UC Davis_1856496

Specimen UC Davis_1856497: postnatal adult; Prelptm1.1(KOMP)Vlcg/Prelp+ (more )
Structure Level Pattern Image Note
TS28: oviduct Present UC Davis_1856497

Specimen UC Davis_1856245: postnatal adult; Prelptm1.1(KOMP)Vlcg/Prelp+ (more )
Structure Level Pattern Image Note
TS28: submandibular gland Present UC Davis_1856245

Specimen UC Davis_1856246: postnatal adult; Prelptm1.1(KOMP)Vlcg/Prelp+ (more )
Structure Level Pattern Image Note
TS28: submandibular gland Present UC Davis_1856246

Specimen UC Davis_1856247: postnatal adult; Prelptm1.1(KOMP)Vlcg/Prelp+ (more )
Structure Level Pattern Image Note
TS28: sublingual gland Present UC Davis_1856247

Specimen UC Davis_1856248: postnatal adult; Prelptm1.1(KOMP)Vlcg/Prelp+ (more )
Structure Level Pattern Image Note
TS28: sublingual gland Present UC Davis_1856248

Specimen UC Davis_1856249: postnatal adult; Prelptm1.1(KOMP)Vlcg/Prelp+ (more )
Structure Level Pattern Image Note
TS28: trachea Present UC Davis_1856249

Specimen UC Davis_1856250: postnatal adult; Prelptm1.1(KOMP)Vlcg/Prelp+ (more )
Structure Level Pattern Image Note
TS28: trachea Present UC Davis_1856250

Specimen UC Davis_1856251: postnatal adult; Prelptm1.1(KOMP)Vlcg/Prelp+ (more )
Structure Level Pattern Image Note
TS28: esophagus Present UC Davis_1856251

Specimen UC Davis_1856252: postnatal adult; Prelptm1.1(KOMP)Vlcg/Prelp+ (more )
Structure Level Pattern Image Note
TS28: esophagus Present UC Davis_1856252

Specimen UC Davis_1856253: postnatal adult; Prelptm1.1(KOMP)Vlcg/Prelp+ (more )
Structure Level Pattern Image Note
TS28: esophagus Present UC Davis_1856253

Specimen UC Davis_1856254: postnatal adult; Prelptm1.1(KOMP)Vlcg/Prelp+ (more )
Structure Level Pattern Image Note
TS28: thyroid gland Present UC Davis_1856254

Specimen UC Davis_1856256: postnatal adult; Prelptm1.1(KOMP)Vlcg/Prelp+ (more )
Structure Level Pattern Image Note
TS28: aorta Present UC Davis_1856256

Specimen UC Davis_1856257: postnatal adult; Prelptm1.1(KOMP)Vlcg/Prelp+ (more )
Structure Level Pattern Image Note
TS28: lung Present UC Davis_1856257

Specimen UC Davis_1856258: postnatal adult; Prelptm1.1(KOMP)Vlcg/Prelp+ (more )
Structure Level Pattern Image Note
TS28: lung Present UC Davis_1856258

Specimen UC Davis_1856259: postnatal adult; Prelptm1.1(KOMP)Vlcg/Prelp+ (more )
Structure Level Pattern Image Note
TS28: lung Present UC Davis_1856259

Specimen UC Davis_1856260: postnatal adult; Prelptm1.1(KOMP)Vlcg/Prelp+ (more )
Structure Level Pattern Image Note
TS28: lung Present UC Davis_1856260

Specimen UC Davis_1856261: postnatal adult; Prelptm1.1(KOMP)Vlcg/Prelp+ (more )
Structure Level Pattern Image Note
TS28: thymus Present UC Davis_1856261

Specimen UC Davis_1856262: postnatal adult; Prelptm1.1(KOMP)Vlcg/Prelp+ (more )
Structure Level Pattern Image Note
TS28: thymus Present UC Davis_1856262

Specimen UC Davis_1856266: postnatal adult; Prelptm1.1(KOMP)Vlcg/Prelp+ (more )
Structure Level Pattern Image Note
TS28: stomach Present UC Davis_1856266

Specimen UC Davis_1856267: postnatal adult; Prelptm1.1(KOMP)Vlcg/Prelp+ (more )
Structure Level Pattern Image Note
TS28: stomach Present UC Davis_1856267

Specimen UC Davis_1856268: postnatal adult; Prelptm1.1(KOMP)Vlcg/Prelp+ (more )
Structure Level Pattern Image Note
TS28: stomach Present UC Davis_1856268

Specimen UC Davis_1856269: postnatal adult; Prelptm1.1(KOMP)Vlcg/Prelp+ (more )
Structure Level Pattern Image Note
TS28: stomach Present UC Davis_1856269

Specimen UC Davis_1856270: postnatal adult; Prelptm1.1(KOMP)Vlcg/Prelp+ (more )
Structure Level Pattern Image Note
TS28: duodenum Present UC Davis_1856270

Specimen UC Davis_1856271: postnatal adult; Prelptm1.1(KOMP)Vlcg/Prelp+ (more )
Structure Level Pattern Image Note
TS28: duodenum Present UC Davis_1856271

Specimen UC Davis_1856272: postnatal adult; Prelptm1.1(KOMP)Vlcg/Prelp+ (more )
Structure Level Pattern Image Note
TS28: ileum Present UC Davis_1856272

Specimen UC Davis_1856273: postnatal adult; Prelptm1.1(KOMP)Vlcg/Prelp+ (more )
Structure Level Pattern Image Note
TS28: colon Present UC Davis_1856273

Specimen UC Davis_1856274: postnatal adult; Prelptm1.1(KOMP)Vlcg/Prelp+ (more )
Structure Level Pattern Image Note
TS28: colon Present UC Davis_1856274

Specimen UC Davis_1856275: postnatal adult; Prelptm1.1(KOMP)Vlcg/Prelp+ (more )
Structure Level Pattern Image Note
TS28: colon Present UC Davis_1856275

Specimen UC Davis_1856276: postnatal adult; Prelptm1.1(KOMP)Vlcg/Prelp+ (more )
Structure Level Pattern Image Note
TS28: cecum Present UC Davis_1856276

Specimen UC Davis_1856277: postnatal adult; Prelptm1.1(KOMP)Vlcg/Prelp+ (more )
Structure Level Pattern Image Note
TS28: cecum Present UC Davis_1856277

Specimen UC Davis_1856278: postnatal adult; Prelptm1.1(KOMP)Vlcg/Prelp+ (more )
Structure Level Pattern Image Note
TS28: spleen Present UC Davis_1856278

Specimen UC Davis_1856279: postnatal adult; Prelptm1.1(KOMP)Vlcg/Prelp+ (more )
Structure Level Pattern Image Note
TS28: spleen Present UC Davis_1856279

Specimen UC Davis_1856280: postnatal adult; Prelptm1.1(KOMP)Vlcg/Prelp+ (more )
Structure Level Pattern Image Note
TS28: spleen Present UC Davis_1856280

Specimen UC Davis_1856281: postnatal adult; Prelptm1.1(KOMP)Vlcg/Prelp+ (more )
Structure Level Pattern Image Note
TS28: spleen Present UC Davis_1856281

Specimen UC Davis_1856282: postnatal adult; Prelptm1.1(KOMP)Vlcg/Prelp+ (more )
Structure Level Pattern Image Note
TS28: spleen Present UC Davis_1856282

Specimen UC Davis_1856283: postnatal adult; Prelptm1.1(KOMP)Vlcg/Prelp+ (more )
Structure Level Pattern Image Note
TS28: liver Present UC Davis_1856283

Specimen UC Davis_1856284: postnatal adult; Prelptm1.1(KOMP)Vlcg/Prelp+ (more )
Structure Level Pattern Image Note
TS28: liver Present UC Davis_1856284

Specimen UC Davis_1856285: postnatal adult; Prelptm1.1(KOMP)Vlcg/Prelp+ (more )
Structure Level Pattern Image Note
TS28: liver Present UC Davis_1856285

Specimen UC Davis_1856286: postnatal adult; Prelptm1.1(KOMP)Vlcg/Prelp+ (more )
Structure Level Pattern Image Note
TS28: liver Present UC Davis_1856286

Specimen UC Davis_1856287: postnatal adult; Prelptm1.1(KOMP)Vlcg/Prelp+ (more )
Structure Level Pattern Image Note
TS28: liver Present UC Davis_1856287

Specimen UC Davis_1856288: postnatal adult; Prelptm1.1(KOMP)Vlcg/Prelp+ (more )
Structure Level Pattern Image Note
TS28: quadriceps femoris muscle Present UC Davis_1856288

Specimen UC Davis_1856289: postnatal adult; Prelptm1.1(KOMP)Vlcg/Prelp+ (more )
Structure Level Pattern Image Note
TS28: quadriceps femoris muscle Present UC Davis_1856289

Specimen UC Davis_1856290: postnatal adult; Prelptm1.1(KOMP)Vlcg/Prelp+ (more )
Structure Level Pattern Image Note
TS28: quadriceps femoris muscle Present UC Davis_1856290

Specimen UC Davis_1856291: postnatal adult; Prelptm1.1(KOMP)Vlcg/Prelp+ (more )
Structure Level Pattern Image Note
TS28: quadriceps femoris muscle Present UC Davis_1856291

Specimen UC Davis_1856292: postnatal adult; Prelptm1.1(KOMP)Vlcg/Prelp+ (more )
Structure Level Pattern Image Note
TS28: sciatic nerve Present UC Davis_1856292

Specimen UC Davis_1856293: postnatal adult; Prelptm1.1(KOMP)Vlcg/Prelp+ (more )
Structure Level Pattern Image Note
TS28: sciatic nerve Present UC Davis_1856293

Specimen UC Davis_1856294: postnatal adult; Prelptm1.1(KOMP)Vlcg/Prelp+ (more )
Structure Level Pattern Image Note
TS28: tongue Present UC Davis_1856294

Specimen UC Davis_1856295: postnatal adult; Prelptm1.1(KOMP)Vlcg/Prelp+ (more )
Structure Level Pattern Image Note
TS28: tongue Present UC Davis_1856295

Specimen UC Davis_1856296: postnatal adult; Prelptm1.1(KOMP)Vlcg/Prelp+ (more )
Structure Level Pattern Image Note
TS28: tongue Present UC Davis_1856296

Specimen UC Davis_1856297: postnatal adult; Prelptm1.1(KOMP)Vlcg/Prelp+ (more )
Structure Level Pattern Image Note
TS28: diaphragm Present UC Davis_1856297

Specimen UC Davis_1856298: postnatal adult; Prelptm1.1(KOMP)Vlcg/Prelp+ (more )
Structure Level Pattern Image Note
TS28: diaphragm Present UC Davis_1856298

Specimen UC Davis_1856299: postnatal adult; Prelptm1.1(KOMP)Vlcg/Prelp+ (more )
Structure Level Pattern Image Note
TS28: adrenal gland Present UC Davis_1856299

Specimen UC Davis_1856300: postnatal adult; Prelptm1.1(KOMP)Vlcg/Prelp+ (more )
Structure Level Pattern Image Note
TS28: adrenal gland Present UC Davis_1856300

Specimen UC Davis_1856301: postnatal adult; Prelptm1.1(KOMP)Vlcg/Prelp+ (more )
Structure Level Pattern Image Note
TS28: adrenal gland Present UC Davis_1856301

Specimen UC Davis_1856302: postnatal adult; Prelptm1.1(KOMP)Vlcg/Prelp+ (more )
Structure Level Pattern Image Note
TS28: spinal cord Present UC Davis_1856302

Specimen UC Davis_1856303: postnatal adult; Prelptm1.1(KOMP)Vlcg/Prelp+ (more )
Structure Level Pattern Image Note
TS28: spinal cord Present UC Davis_1856303

Specimen UC Davis_1856304: postnatal adult; Prelptm1.1(KOMP)Vlcg/Prelp+ (more )
Structure Level Pattern Image Note
TS28: eye Present UC Davis_1856304

Specimen UC Davis_1856305: postnatal adult; Prelptm1.1(KOMP)Vlcg/Prelp+ (more )
Structure Level Pattern Image Note
TS28: eye Present UC Davis_1856305

Specimen UC Davis_1856306: postnatal adult; Prelptm1.1(KOMP)Vlcg/Prelp+ (more )
Structure Level Pattern Image Note
TS28: eye Present UC Davis_1856306

Specimen UC Davis_1856307: postnatal adult; Prelptm1.1(KOMP)Vlcg/Prelp+ (more )
Structure Level Pattern Image Note
TS28: Harderian gland Present UC Davis_1856307

Specimen UC Davis_1856308: postnatal adult; Prelptm1.1(KOMP)Vlcg/Prelp+ (more )
Structure Level Pattern Image Note
TS28: Harderian gland Present UC Davis_1856308

Specimen UC Davis_1856309: postnatal adult; Prelptm1.1(KOMP)Vlcg/Prelp+ (more )
Structure Level Pattern Image Note
TS28: Harderian gland Present UC Davis_1856309

Specimen UC Davis_1856310: postnatal adult; Prelptm1.1(KOMP)Vlcg/Prelp+ (more )
Structure Level Pattern Image Note
TS28: gonadal fat pad Present UC Davis_1856310

Specimen UC Davis_1856311: postnatal adult; Prelptm1.1(KOMP)Vlcg/Prelp+ (more )
Structure Level Pattern Image Note
TS28: skin Present UC Davis_1856311

Specimen UC Davis_1856312: postnatal adult; Prelptm1.1(KOMP)Vlcg/Prelp+ (more )
Structure Level Pattern Image Note
TS28: skin Present UC Davis_1856312

Specimen UC Davis_1856313: postnatal adult; Prelptm1.1(KOMP)Vlcg/Prelp+ (more )
Structure Level Pattern Image Note
TS28: brown fat Present UC Davis_1856313

Specimen UC Davis_1856314: postnatal adult; Prelptm1.1(KOMP)Vlcg/Prelp+ (more )
Structure Level Pattern Image Note
TS28: brown fat Present UC Davis_1856314

Specimen UC Davis_1856315: postnatal adult; Prelptm1.1(KOMP)Vlcg/Prelp+ (more )
Structure Level Pattern Image Note
TS28: brown fat Present UC Davis_1856315

Specimen UC Davis_1856319: postnatal adult; Prelptm1.1(KOMP)Vlcg/Prelp+ (more )
Structure Level Pattern Image Note
TS28: midbrain Present UC Davis_1856319

Specimen UC Davis_1856321: postnatal adult; Prelptm1.1(KOMP)Vlcg/Prelp+ (more )
Structure Level Pattern Image Note
TS28: cerebellum Present UC Davis_1856321

Specimen UC Davis_1856322: postnatal adult; Prelptm1.1(KOMP)Vlcg/Prelp+ (more )
Structure Level Pattern Image Note
TS28: cerebellum Present UC Davis_1856322

Specimen UC Davis_1856323: postnatal adult; Prelptm1.1(KOMP)Vlcg/Prelp+ (more )
Structure Level Pattern Image Note
TS28: trigeminal nerve Present UC Davis_1856323

Specimen UC Davis_1856324: postnatal adult; Prelptm1.1(KOMP)Vlcg/Prelp+ (more )
Structure Level Pattern Image Note
TS28: bladder Present UC Davis_1856324

Specimen UC Davis_1856325: postnatal adult; Prelptm1.1(KOMP)Vlcg/Prelp+ (more )
Structure Level Pattern Image Note
TS28: bladder Present UC Davis_1856325

Specimen UC Davis_1856326: postnatal adult; Prelptm1.1(KOMP)Vlcg/Prelp+ (more )
Structure Level Pattern Image Note
TS28: epididymis Present UC Davis_1856326

Specimen UC Davis_1856327: postnatal adult; Prelptm1.1(KOMP)Vlcg/Prelp+ (more )
Structure Level Pattern Image Note
TS28: epididymis Present UC Davis_1856327

Specimen UC Davis_1856328: postnatal adult; Prelptm1.1(KOMP)Vlcg/Prelp+ (more )
Structure Level Pattern Image Note
TS28: epididymis Present UC Davis_1856328

Specimen UC Davis_1856329: postnatal adult; Prelptm1.1(KOMP)Vlcg/Prelp+ (more )
Structure Level Pattern Image Note
TS28: prostate gland Present UC Davis_1856329

Specimen UC Davis_1856330: postnatal adult; Prelptm1.1(KOMP)Vlcg/Prelp+ (more )
Structure Level Pattern Image Note
TS28: prostate gland Present UC Davis_1856330

Specimen UC Davis_1856331: postnatal adult; Prelptm1.1(KOMP)Vlcg/Prelp+ (more )
Structure Level Pattern Image Note
TS28: penis Present UC Davis_1856331

Specimen UC Davis_1856332: postnatal adult; Prelptm1.1(KOMP)Vlcg/Prelp+ (more )
Structure Level Pattern Image Note
TS28: penis Present UC Davis_1856332

Specimen UC Davis_1856333: postnatal adult; Prelptm1.1(KOMP)Vlcg/Prelp+ (more )
Structure Level Pattern Image Note
TS28: penis Present UC Davis_1856333

Specimen UC Davis_1856334: postnatal adult; Prelptm1.1(KOMP)Vlcg/Prelp+ (more )
Structure Level Pattern Image Note
TS28: ductus deferens Present UC Davis_1856334 vas deferens

Specimen UC Davis_1856337: postnatal adult; Prelptm1.1(KOMP)Vlcg/Prelp+ (more )
Structure Level Pattern Image Note
TS28: seminal vesicle Present UC Davis_1856337 vesicular gland

Specimen UC Davis_1856445: postnatal adult; Prelptm1.1(KOMP)Vlcg/Prelp+ (more )
Structure Level Pattern Image Note
TS28: tongue Present UC Davis_1856445

Specimen UC Davis_1856446: postnatal adult; Prelptm1.1(KOMP)Vlcg/Prelp+ (more )
Structure Level Pattern Image Note
TS28: spleen Present UC Davis_1856446

Specimen UC Davis_1856447: postnatal adult; Prelptm1.1(KOMP)Vlcg/Prelp+ (more )
Structure Level Pattern Image Note
TS28: pancreas Present UC Davis_1856447

Specimen UC Davis_1856448: postnatal adult; Prelptm1.1(KOMP)Vlcg/Prelp+ (more )
Structure Level Pattern Image Note
TS28: brown fat Present UC Davis_1856448

Specimen UC Davis_1856449: postnatal adult; Prelptm1.1(KOMP)Vlcg/Prelp+ (more )
Structure Level Pattern Image Note
TS28: quadriceps femoris muscle Present UC Davis_1856449

Specimen UC Davis_1856450: postnatal adult; Prelptm1.1(KOMP)Vlcg/Prelp+ (more )
Structure Level Pattern Image Note
TS28: sciatic nerve Present UC Davis_1856450

Specimen UC Davis_1856451: postnatal adult; Prelptm1.1(KOMP)Vlcg/Prelp+ (more )
Structure Level Pattern Image Note
TS28: olfactory lobe Present UC Davis_1856451

Specimen UC Davis_1856454: postnatal adult; Prelptm1.1(KOMP)Vlcg/Prelp+ (more )
Structure Level Pattern Image Note
TS28: midbrain Present UC Davis_1856454

Specimen UC Davis_1856456: postnatal adult; Prelptm1.1(KOMP)Vlcg/Prelp+ (more )
Structure Level Pattern Image Note
TS28: cerebellum Present UC Davis_1856456

Specimen UC Davis_1856457: postnatal adult; Prelptm1.1(KOMP)Vlcg/Prelp+ (more )
Structure Level Pattern Image Note
TS28: brain Present UC Davis_1856457

Specimen UC Davis_1856459: postnatal adult; Prelptm1.1(KOMP)Vlcg/Prelp+ (more )
Structure Level Pattern Image Note
TS28: lung Present UC Davis_1856459

Specimen UC Davis_1856460: postnatal adult; Prelptm1.1(KOMP)Vlcg/Prelp+ (more )
Structure Level Pattern Image Note
TS28: adrenal gland Present UC Davis_1856460

Specimen UC Davis_1856461: postnatal adult; Prelptm1.1(KOMP)Vlcg/Prelp+ (more )
Structure Level Pattern Image Note
TS28: liver Present UC Davis_1856461

Specimen UC Davis_1856462: postnatal adult; Prelptm1.1(KOMP)Vlcg/Prelp+ (more )
Structure Level Pattern Image Note
TS28: diaphragm Present UC Davis_1856462

Specimen UC Davis_1856463: postnatal adult; Prelptm1.1(KOMP)Vlcg/Prelp+ (more )
Structure Level Pattern Image Note
TS28: skin Present UC Davis_1856463

Specimen UC Davis_1856465: postnatal adult; Prelptm1.1(KOMP)Vlcg/Prelp+ (more )
Structure Level Pattern Image Note
TS28: trachea Present UC Davis_1856465

Specimen UC Davis_1856467: postnatal adult; Prelptm1.1(KOMP)Vlcg/Prelp+ (more )
Structure Level Pattern Image Note
TS28: esophagus Present UC Davis_1856467

Specimen UC Davis_1856468: postnatal adult; Prelptm1.1(KOMP)Vlcg/Prelp+ (more )
Structure Level Pattern Image Note
TS28: thyroid gland Present UC Davis_1856468

Specimen UC Davis_1856469: postnatal adult; Prelptm1.1(KOMP)Vlcg/Prelp+ (more )
Structure Level Pattern Image Note
TS28: spinal cord Present UC Davis_1856469

Specimen UC Davis_1856470: postnatal adult; Prelptm1.1(KOMP)Vlcg/Prelp+ (more )
Structure Level Pattern Image Note
TS28: pituitary gland Present UC Davis_1856470

Specimen UC Davis_1856471: postnatal adult; Prelptm1.1(KOMP)Vlcg/Prelp+ (more )
Structure Level Pattern Image Note
TS28: eye Present UC Davis_1856471

Specimen UC Davis_1856472: postnatal adult; Prelptm1.1(KOMP)Vlcg/Prelp+ (more )
Structure Level Pattern Image Note
TS28: Harderian gland Present UC Davis_1856472

Specimen UC Davis_1856473: postnatal adult; Prelptm1.1(KOMP)Vlcg/Prelp+ (more )
Structure Level Pattern Image Note
TS28: stomach Present UC Davis_1856473

Specimen UC Davis_1856474: postnatal adult; Prelptm1.1(KOMP)Vlcg/Prelp+ (more )
Structure Level Pattern Image Note
TS28: duodenum Present UC Davis_1856474

Specimen UC Davis_1856475: postnatal adult; Prelptm1.1(KOMP)Vlcg/Prelp+ (more )
Structure Level Pattern Image Note
TS28: jejunum Present UC Davis_1856475

Specimen UC Davis_1856476: postnatal adult; Prelptm1.1(KOMP)Vlcg/Prelp+ (more )
Structure Level Pattern Image Note
TS28: ileum Present UC Davis_1856476

Specimen UC Davis_1856477: postnatal adult; Prelptm1.1(KOMP)Vlcg/Prelp+ (more )
Structure Level Pattern Image Note
TS28: colon Present UC Davis_1856477

Specimen UC Davis_1856478: postnatal adult; Prelptm1.1(KOMP)Vlcg/Prelp+ (more )
Structure Level Pattern Image Note
TS28: mesenteric lymph node Present UC Davis_1856478

Specimen UC Davis_1856479: postnatal adult; Prelptm1.1(KOMP)Vlcg/Prelp+ (more )
Structure Level Pattern Image Note
TS28: mesenteric adipose tissue Present UC Davis_1856479

Specimen UC Davis_1856480: postnatal adult; Prelptm1.1(KOMP)Vlcg/Prelp+ (more )
Structure Level Pattern Image Note
TS28: bladder Present UC Davis_1856480

Specimen UC Davis_1856481: postnatal adult; Prelptm1.1(KOMP)Vlcg/Prelp+ (more )
Structure Level Pattern Image Note
TS28: gonadal fat pad Present UC Davis_1856481

Specimen UC Davis_1856482: postnatal adult; Prelptm1.1(KOMP)Vlcg/Prelp+ (more )
Structure Level Pattern Image Note
TS28: prostate gland Present UC Davis_1856482

Specimen UC Davis_1856483: postnatal adult; Prelptm1.1(KOMP)Vlcg/Prelp+ (more )
Structure Level Pattern Image Note
TS28: seminal vesicle Present UC Davis_1856483 vesicular gland

Specimen UC Davis_1856484: postnatal adult; Prelptm1.1(KOMP)Vlcg/Prelp+ (more )
Structure Level Pattern Image Note
TS28: penis Present UC Davis_1856484

Specimen UC Davis_1856486: postnatal adult; Prelptm1.1(KOMP)Vlcg/Prelp+ (more )
Structure Level Pattern Image Note
TS28: gallbladder Present UC Davis_1856486

Specimen UC Davis_1856488: postnatal adult; Prelptm1.1(KOMP)Vlcg/Prelp+ (more )
Structure Level Pattern Image Note
TS28: thoracic segment skeleton Present UC Davis_1856488 chest bone

Specimen UC Davis_1856489: postnatal adult; Prelptm1.1(KOMP)Vlcg/Prelp+ (more )
Structure Level Pattern Image Note
TS28: thoracic segment skeleton Present UC Davis_1856489 chest bone


Contributing Projects:
Mouse Genome Database (MGD), Gene Expression Database (GXD), Mouse Models of Human Cancer database (MMHCdb) (formerly Mouse Tumor Biology (MTB)), Gene Ontology (GO)
Citing These Resources
Funding Information
Warranty Disclaimer, Privacy Notice, Licensing, & Copyright
Send questions and comments to User Support.
last database update
12/30/2025
MGI 6.24
The Jackson Laboratory