About   Help   FAQ
Gene Expression Data
Assay Details
Assay
Reference: J:228563 Koscielny G, et al., The International Mouse Phenotyping Consortium Web Portal, a unified point of access for knockout mice and related phenotyping data. Nucleic Acids Res. 2014 Jan;42(Database issue):D802-9
Assay type: In situ reporter (knock in)
MGI Accession ID: MGI:6692439
Gene symbol: Afap1l2
Gene name: actin filament associated protein 1-like 2
Reporter: lacZ
Direct Detection
Results
Specimen UC Davis_1858267: postnatal adult; Afap1l2tm1b(KOMP)Wtsi/Afap1l2+ (more )
Structure Level Pattern Image Note
TS28: trachea Present UC Davis_1858267

Specimen UC Davis_1858268: postnatal adult; Afap1l2tm1b(KOMP)Wtsi/Afap1l2+ (more )
Structure Level Pattern Image Note
TS28: trachea Present UC Davis_1858268

Specimen UC Davis_1858269: postnatal adult; Afap1l2tm1b(KOMP)Wtsi/Afap1l2+ (more )
Structure Level Pattern Image Note
TS28: esophagus Present UC Davis_1858269

Specimen UC Davis_1858270: postnatal adult; Afap1l2tm1b(KOMP)Wtsi/Afap1l2+ (more )
Structure Level Pattern Image Note
TS28: esophagus Present UC Davis_1858270

Specimen UC Davis_1858271: postnatal adult; Afap1l2tm1b(KOMP)Wtsi/Afap1l2+ (more )
Structure Level Pattern Image Note
TS28: thyroid gland Present UC Davis_1858271

Specimen UC Davis_1858272: postnatal adult; Afap1l2tm1b(KOMP)Wtsi/Afap1l2+ (more )
Structure Level Pattern Image Note
TS28: thyroid gland Present UC Davis_1858272

Specimen UC Davis_1858273: postnatal adult; Afap1l2tm1b(KOMP)Wtsi/Afap1l2+ (more )
Structure Level Pattern Image Note
TS28: thyroid gland Present UC Davis_1858273

Specimen UC Davis_1858274: postnatal adult; Afap1l2tm1b(KOMP)Wtsi/Afap1l2+ (more )
Structure Level Pattern Image Note
TS28: stomach Present UC Davis_1858274

Specimen UC Davis_1858275: postnatal adult; Afap1l2tm1b(KOMP)Wtsi/Afap1l2+ (more )
Structure Level Pattern Image Note
TS28: stomach Present UC Davis_1858275

Specimen UC Davis_1858276: postnatal adult; Afap1l2tm1b(KOMP)Wtsi/Afap1l2+ (more )
Structure Level Pattern Image Note
TS28: ileum Present UC Davis_1858276

Specimen UC Davis_1858277: postnatal adult; Afap1l2tm1b(KOMP)Wtsi/Afap1l2+ (more )
Structure Level Pattern Image Note
TS28: spleen Present UC Davis_1858277

Specimen UC Davis_1858278: postnatal adult; Afap1l2tm1b(KOMP)Wtsi/Afap1l2+ (more )
Structure Level Pattern Image Note
TS28: spleen Present UC Davis_1858278

Specimen UC Davis_1858279: postnatal adult; Afap1l2tm1b(KOMP)Wtsi/Afap1l2+ (more )
Structure Level Pattern Image Note
TS28: spleen Present UC Davis_1858279

Specimen UC Davis_1858280: postnatal adult; Afap1l2tm1b(KOMP)Wtsi/Afap1l2+ (more )
Structure Level Pattern Image Note
TS28: metanephros Present UC Davis_1858280 kidney

Specimen UC Davis_1858281: postnatal adult; Afap1l2tm1b(KOMP)Wtsi/Afap1l2+ (more )
Structure Level Pattern Image Note
TS28: metanephros Present UC Davis_1858281 kidney

Specimen UC Davis_1858282: postnatal adult; Afap1l2tm1b(KOMP)Wtsi/Afap1l2+ (more )
Structure Level Pattern Image Note
TS28: metanephros Present UC Davis_1858282 kidney

Specimen UC Davis_1858283: postnatal adult; Afap1l2tm1b(KOMP)Wtsi/Afap1l2+ (more )
Structure Level Pattern Image Note
TS28: sciatic nerve Present UC Davis_1858283

Specimen UC Davis_1858284: postnatal adult; Afap1l2tm1b(KOMP)Wtsi/Afap1l2+ (more )
Structure Level Pattern Image Note
TS28: sciatic nerve Present UC Davis_1858284

Specimen UC Davis_1858285: postnatal adult; Afap1l2tm1b(KOMP)Wtsi/Afap1l2+ (more )
Structure Level Pattern Image Note
TS28: tongue Present UC Davis_1858285

Specimen UC Davis_1858286: postnatal adult; Afap1l2tm1b(KOMP)Wtsi/Afap1l2+ (more )
Structure Level Pattern Image Note
TS28: tongue Present UC Davis_1858286

Specimen UC Davis_1858287: postnatal adult; Afap1l2tm1b(KOMP)Wtsi/Afap1l2+ (more )
Structure Level Pattern Image Note
TS28: spinal cord Present UC Davis_1858287

Specimen UC Davis_1858288: postnatal adult; Afap1l2tm1b(KOMP)Wtsi/Afap1l2+ (more )
Structure Level Pattern Image Note
TS28: spinal cord Present UC Davis_1858288

Specimen UC Davis_1858290: postnatal adult; Afap1l2tm1b(KOMP)Wtsi/Afap1l2+ (more )
Structure Level Pattern Image Note
TS28: Harderian gland Present UC Davis_1858290

Specimen UC Davis_1858291: postnatal adult; Afap1l2tm1b(KOMP)Wtsi/Afap1l2+ (more )
Structure Level Pattern Image Note
TS28: Harderian gland Present UC Davis_1858291

Specimen UC Davis_1858292: postnatal adult; Afap1l2tm1b(KOMP)Wtsi/Afap1l2+ (more )
Structure Level Pattern Image Note
TS28: mesenteric adipose tissue Present UC Davis_1858292

Specimen UC Davis_1858293: postnatal adult; Afap1l2tm1b(KOMP)Wtsi/Afap1l2+ (more )
Structure Level Pattern Image Note
TS28: skin Present UC Davis_1858293

Specimen UC Davis_1858294: postnatal adult; Afap1l2tm1b(KOMP)Wtsi/Afap1l2+ (more )
Structure Level Pattern Image Note
TS28: skin Present UC Davis_1858294

Specimen UC Davis_1858295: postnatal adult; Afap1l2tm1b(KOMP)Wtsi/Afap1l2+ (more )
Structure Level Pattern Image Note
TS28: brown fat Present UC Davis_1858295

Specimen UC Davis_1858296: postnatal adult; Afap1l2tm1b(KOMP)Wtsi/Afap1l2+ (more )
Structure Level Pattern Image Note
TS28: brown fat Present UC Davis_1858296

Specimen UC Davis_1858299: postnatal adult; Afap1l2tm1b(KOMP)Wtsi/Afap1l2+ (more )
Structure Level Pattern Image Note
TS28: midbrain Present UC Davis_1858299

Specimen UC Davis_1858301: postnatal adult; Afap1l2tm1b(KOMP)Wtsi/Afap1l2+ (more )
Structure Level Pattern Image Note
TS28: cerebellum Present UC Davis_1858301

Specimen UC Davis_1858302: postnatal adult; Afap1l2tm1b(KOMP)Wtsi/Afap1l2+ (more )
Structure Level Pattern Image Note
TS28: trigeminal nerve Present UC Davis_1858302

Specimen UC Davis_1858303: postnatal adult; Afap1l2tm1b(KOMP)Wtsi/Afap1l2+ (more )
Structure Level Pattern Image Note
TS28: trigeminal nerve Present UC Davis_1858303

Specimen UC Davis_1858304: postnatal adult; Afap1l2tm1b(KOMP)Wtsi/Afap1l2+ (more )
Structure Level Pattern Image Note
TS28: uterus Present UC Davis_1858304

Specimen UC Davis_1858305: postnatal adult; Afap1l2tm1b(KOMP)Wtsi/Afap1l2+ (more )
Structure Level Pattern Image Note
TS28: uterus Present UC Davis_1858305

Specimen UC Davis_1858306: postnatal adult; Afap1l2tm1b(KOMP)Wtsi/Afap1l2+ (more )
Structure Level Pattern Image Note
TS28: vagina Present UC Davis_1858306

Specimen UC Davis_1858307: postnatal adult; Afap1l2tm1b(KOMP)Wtsi/Afap1l2+ (more )
Structure Level Pattern Image Note
TS28: vagina Present UC Davis_1858307

Specimen UC Davis_1858308: postnatal adult; Afap1l2tm1b(KOMP)Wtsi/Afap1l2+ (more )
Structure Level Pattern Image Note
TS28: bladder Present UC Davis_1858308

Specimen UC Davis_1858309: postnatal adult; Afap1l2tm1b(KOMP)Wtsi/Afap1l2+ (more )
Structure Level Pattern Image Note
TS28: bladder Present UC Davis_1858309

Specimen UC Davis_1858346: postnatal adult; Afap1l2tm1b(KOMP)Wtsi/Afap1l2+ (more )
Structure Level Pattern Image Note
TS28: ovary Present UC Davis_1858346

Specimen UC Davis_1858347: postnatal adult; Afap1l2tm1b(KOMP)Wtsi/Afap1l2+ (more )
Structure Level Pattern Image Note
TS28: oviduct Present UC Davis_1858347

Specimen UC Davis_1858348: postnatal adult; Afap1l2tm1b(KOMP)Wtsi/Afap1l2+ (more )
Structure Level Pattern Image Note
TS28: uterus Present UC Davis_1858348

Specimen UC Davis_1858212: postnatal adult; Afap1l2tm1b(KOMP)Wtsi/Afap1l2+ (more )
Structure Level Pattern Image Note
TS28: submandibular gland Present UC Davis_1858212

Specimen UC Davis_1858213: postnatal adult; Afap1l2tm1b(KOMP)Wtsi/Afap1l2+ (more )
Structure Level Pattern Image Note
TS28: submandibular gland Present UC Davis_1858213

Specimen UC Davis_1858214: postnatal adult; Afap1l2tm1b(KOMP)Wtsi/Afap1l2+ (more )
Structure Level Pattern Image Note
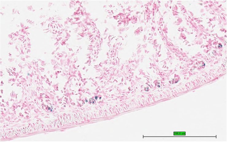
TS28: esophagus Present UC Davis_1858214

Specimen UC Davis_1858215: postnatal adult; Afap1l2tm1b(KOMP)Wtsi/Afap1l2+ (more )
Structure Level Pattern Image Note
TS28: thyroid gland Present UC Davis_1858215

Specimen UC Davis_1858216: postnatal adult; Afap1l2tm1b(KOMP)Wtsi/Afap1l2+ (more )
Structure Level Pattern Image Note
TS28: thyroid gland Present UC Davis_1858216

Specimen UC Davis_1858218: postnatal adult; Afap1l2tm1b(KOMP)Wtsi/Afap1l2+ (more )
Structure Level Pattern Image Note
TS28: thymus Present UC Davis_1858218

Specimen UC Davis_1858219: postnatal adult; Afap1l2tm1b(KOMP)Wtsi/Afap1l2+ (more )
Structure Level Pattern Image Note
TS28: stomach Present UC Davis_1858219

Specimen UC Davis_1858220: postnatal adult; Afap1l2tm1b(KOMP)Wtsi/Afap1l2+ (more )
Structure Level Pattern Image Note
TS28: stomach Present UC Davis_1858220

Specimen UC Davis_1858221: postnatal adult; Afap1l2tm1b(KOMP)Wtsi/Afap1l2+ (more )
Structure Level Pattern Image Note
TS28: ileum Present UC Davis_1858221

Specimen UC Davis_1858222: postnatal adult; Afap1l2tm1b(KOMP)Wtsi/Afap1l2+ (more )
Structure Level Pattern Image Note
TS28: metanephros Present UC Davis_1858222 kidney

Specimen UC Davis_1858223: postnatal adult; Afap1l2tm1b(KOMP)Wtsi/Afap1l2+ (more )
Structure Level Pattern Image Note
TS28: metanephros Present UC Davis_1858223 kidney

Specimen UC Davis_1858224: postnatal adult; Afap1l2tm1b(KOMP)Wtsi/Afap1l2+ (more )
Structure Level Pattern Image Note
TS28: metanephros Present UC Davis_1858224 kidney

Specimen UC Davis_1858225: postnatal adult; Afap1l2tm1b(KOMP)Wtsi/Afap1l2+ (more )
Structure Level Pattern Image Note
TS28: metanephros Present UC Davis_1858225 kidney

Specimen UC Davis_1858226: postnatal adult; Afap1l2tm1b(KOMP)Wtsi/Afap1l2+ (more )
Structure Level Pattern Image Note
TS28: quadriceps femoris muscle Present UC Davis_1858226

Specimen UC Davis_1858227: postnatal adult; Afap1l2tm1b(KOMP)Wtsi/Afap1l2+ (more )
Structure Level Pattern Image Note
TS28: quadriceps femoris muscle Present UC Davis_1858227

Specimen UC Davis_1858228: postnatal adult; Afap1l2tm1b(KOMP)Wtsi/Afap1l2+ (more )
Structure Level Pattern Image Note
TS28: sciatic nerve Present UC Davis_1858228

Specimen UC Davis_1858229: postnatal adult; Afap1l2tm1b(KOMP)Wtsi/Afap1l2+ (more )
Structure Level Pattern Image Note
TS28: tongue Present UC Davis_1858229

Specimen UC Davis_1858230: postnatal adult; Afap1l2tm1b(KOMP)Wtsi/Afap1l2+ (more )
Structure Level Pattern Image Note
TS28: tongue Present UC Davis_1858230

Specimen UC Davis_1858231: postnatal adult; Afap1l2tm1b(KOMP)Wtsi/Afap1l2+ (more )
Structure Level Pattern Image Note
TS28: tongue Present UC Davis_1858231

Specimen UC Davis_1858232: postnatal adult; Afap1l2tm1b(KOMP)Wtsi/Afap1l2+ (more )
Structure Level Pattern Image Note
TS28: diaphragm Present UC Davis_1858232

Specimen UC Davis_1858233: postnatal adult; Afap1l2tm1b(KOMP)Wtsi/Afap1l2+ (more )
Structure Level Pattern Image Note
TS28: spinal cord Present UC Davis_1858233

Specimen UC Davis_1858234: postnatal adult; Afap1l2tm1b(KOMP)Wtsi/Afap1l2+ (more )
Structure Level Pattern Image Note
TS28: spinal cord Present UC Davis_1858234

Specimen UC Davis_1858235: postnatal adult; Afap1l2tm1b(KOMP)Wtsi/Afap1l2+ (more )
Structure Level Pattern Image Note
TS28: eye Present UC Davis_1858235

Specimen UC Davis_1858236: postnatal adult; Afap1l2tm1b(KOMP)Wtsi/Afap1l2+ (more )
Structure Level Pattern Image Note
TS28: Harderian gland Present UC Davis_1858236

Specimen UC Davis_1858237: postnatal adult; Afap1l2tm1b(KOMP)Wtsi/Afap1l2+ (more )
Structure Level Pattern Image Note
TS28: Harderian gland Present UC Davis_1858237

Specimen UC Davis_1858238: postnatal adult; Afap1l2tm1b(KOMP)Wtsi/Afap1l2+ (more )
Structure Level Pattern Image Note
TS28: gonadal fat pad Present UC Davis_1858238

Specimen UC Davis_1858239: postnatal adult; Afap1l2tm1b(KOMP)Wtsi/Afap1l2+ (more )
Structure Level Pattern Image Note
TS28: skin Present UC Davis_1858239

Specimen UC Davis_1858240: postnatal adult; Afap1l2tm1b(KOMP)Wtsi/Afap1l2+ (more )
Structure Level Pattern Image Note
TS28: skin Present UC Davis_1858240

Specimen UC Davis_1858241: postnatal adult; Afap1l2tm1b(KOMP)Wtsi/Afap1l2+ (more )
Structure Level Pattern Image Note
TS28: brown fat Present UC Davis_1858241

Specimen UC Davis_1858242: postnatal adult; Afap1l2tm1b(KOMP)Wtsi/Afap1l2+ (more )
Structure Level Pattern Image Note
TS28: olfactory lobe Present UC Davis_1858242

Specimen UC Davis_1858243: postnatal adult; Afap1l2tm1b(KOMP)Wtsi/Afap1l2+ (more )
Structure Level Pattern Image Note
TS28: olfactory lobe Present UC Davis_1858243

Specimen UC Davis_1858247: postnatal adult; Afap1l2tm1b(KOMP)Wtsi/Afap1l2+ (more )
Structure Level Pattern Image Note
TS28: midbrain Present UC Davis_1858247

Specimen UC Davis_1858249: postnatal adult; Afap1l2tm1b(KOMP)Wtsi/Afap1l2+ (more )
Structure Level Pattern Image Note
TS28: cerebellum Present UC Davis_1858249

Specimen UC Davis_1858250: postnatal adult; Afap1l2tm1b(KOMP)Wtsi/Afap1l2+ (more )
Structure Level Pattern Image Note
TS28: trigeminal nerve Present UC Davis_1858250

Specimen UC Davis_1858251: postnatal adult; Afap1l2tm1b(KOMP)Wtsi/Afap1l2+ (more )
Structure Level Pattern Image Note
TS28: trigeminal nerve Present UC Davis_1858251

Specimen UC Davis_1858252: postnatal adult; Afap1l2tm1b(KOMP)Wtsi/Afap1l2+ (more )
Structure Level Pattern Image Note
TS28: bladder Present UC Davis_1858252

Specimen UC Davis_1858253: postnatal adult; Afap1l2tm1b(KOMP)Wtsi/Afap1l2+ (more )
Structure Level Pattern Image Note
TS28: bladder Present UC Davis_1858253

Specimen UC Davis_1858254: postnatal adult; Afap1l2tm1b(KOMP)Wtsi/Afap1l2+ (more )
Structure Level Pattern Image Note
TS28: bladder Present UC Davis_1858254

Specimen UC Davis_1858255: postnatal adult; Afap1l2tm1b(KOMP)Wtsi/Afap1l2+ (more )
Structure Level Pattern Image Note
TS28: testis Present UC Davis_1858255

Specimen UC Davis_1858256: postnatal adult; Afap1l2tm1b(KOMP)Wtsi/Afap1l2+ (more )
Structure Level Pattern Image Note
TS28: epididymis Present UC Davis_1858256

Specimen UC Davis_1858257: postnatal adult; Afap1l2tm1b(KOMP)Wtsi/Afap1l2+ (more )
Structure Level Pattern Image Note
TS28: epididymis Present UC Davis_1858257

Specimen UC Davis_1858258: postnatal adult; Afap1l2tm1b(KOMP)Wtsi/Afap1l2+ (more )
Structure Level Pattern Image Note
TS28: prostate gland Present UC Davis_1858258

Specimen UC Davis_1858259: postnatal adult; Afap1l2tm1b(KOMP)Wtsi/Afap1l2+ (more )
Structure Level Pattern Image Note
TS28: penis Present UC Davis_1858259

Specimen UC Davis_1858260: postnatal adult; Afap1l2tm1b(KOMP)Wtsi/Afap1l2+ (more )
Structure Level Pattern Image Note
TS28: penis Present UC Davis_1858260

Specimen UC Davis_1858261: postnatal adult; Afap1l2tm1b(KOMP)Wtsi/Afap1l2+ (more )
Structure Level Pattern Image Note
TS28: penis Present UC Davis_1858261

Specimen UC Davis_1858262: postnatal adult; Afap1l2tm1b(KOMP)Wtsi/Afap1l2+ (more )
Structure Level Pattern Image Note
TS28: ductus deferens Present UC Davis_1858262 vas deferens

Specimen UC Davis_1858265: postnatal adult; Afap1l2tm1b(KOMP)Wtsi/Afap1l2+ (more )
Structure Level Pattern Image Note
TS28: seminal vesicle Present UC Davis_1858265 vesicular gland

Specimen UC Davis_1858266: postnatal adult; Afap1l2tm1b(KOMP)Wtsi/Afap1l2+ (more )
Structure Level Pattern Image Note
TS28: seminal vesicle Present UC Davis_1858266 vesicular gland

Specimen UC Davis_1858312: postnatal adult; Afap1l2tm1b(KOMP)Wtsi/Afap1l2+ (more )
Structure Level Pattern Image Note
TS28: tongue Present UC Davis_1858312

Specimen UC Davis_1858313: postnatal adult; Afap1l2tm1b(KOMP)Wtsi/Afap1l2+ (more )
Structure Level Pattern Image Note
TS28: spleen Present UC Davis_1858313

Specimen UC Davis_1858314: postnatal adult; Afap1l2tm1b(KOMP)Wtsi/Afap1l2+ (more )
Structure Level Pattern Image Note
TS28: pancreas Present UC Davis_1858314

Specimen UC Davis_1858315: postnatal adult; Afap1l2tm1b(KOMP)Wtsi/Afap1l2+ (more )
Structure Level Pattern Image Note
TS28: quadriceps femoris muscle Present UC Davis_1858315

Specimen UC Davis_1858316: postnatal adult; Afap1l2tm1b(KOMP)Wtsi/Afap1l2+ (more )
Structure Level Pattern Image Note
TS28: sciatic nerve Present UC Davis_1858316

Specimen UC Davis_1858317: postnatal adult; Afap1l2tm1b(KOMP)Wtsi/Afap1l2+ (more )
Structure Level Pattern Image Note
TS28: olfactory lobe Present UC Davis_1858317

Specimen UC Davis_1858320: postnatal adult; Afap1l2tm1b(KOMP)Wtsi/Afap1l2+ (more )
Structure Level Pattern Image Note
TS28: midbrain Present UC Davis_1858320

Specimen UC Davis_1858321: postnatal adult; Afap1l2tm1b(KOMP)Wtsi/Afap1l2+ (more )
Structure Level Pattern Image Note
TS28: cerebellum Present UC Davis_1858321

Specimen UC Davis_1858322: postnatal adult; Afap1l2tm1b(KOMP)Wtsi/Afap1l2+ (more )
Structure Level Pattern Image Note
TS28: brain Present UC Davis_1858322

Specimen UC Davis_1858323: postnatal adult; Afap1l2tm1b(KOMP)Wtsi/Afap1l2+ (more )
Structure Level Pattern Image Note
TS28: metanephros Present UC Davis_1858323 kidney

Specimen UC Davis_1858324: postnatal adult; Afap1l2tm1b(KOMP)Wtsi/Afap1l2+ (more )
Structure Level Pattern Image Note
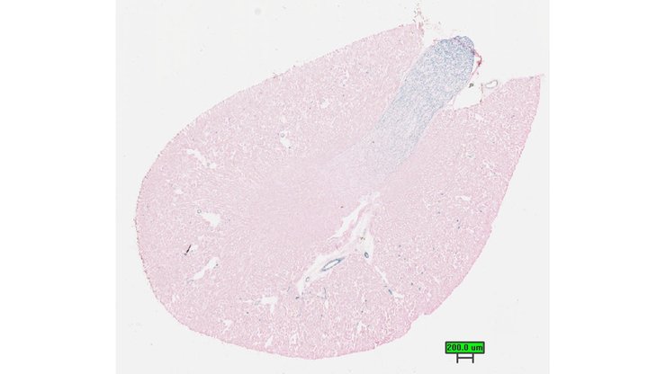
TS28: adrenal gland Present UC Davis_1858324

Specimen UC Davis_1858325: postnatal adult; Afap1l2tm1b(KOMP)Wtsi/Afap1l2+ (more )
Structure Level Pattern Image Note
TS28: skin Present UC Davis_1858325

Specimen UC Davis_1858326: postnatal adult; Afap1l2tm1b(KOMP)Wtsi/Afap1l2+ (more )
Structure Level Pattern Image Note
TS28: trachea Present UC Davis_1858326

Specimen UC Davis_1858327: postnatal adult; Afap1l2tm1b(KOMP)Wtsi/Afap1l2+ (more )
Structure Level Pattern Image Note
TS28: esophagus Present UC Davis_1858327

Specimen UC Davis_1858328: postnatal adult; Afap1l2tm1b(KOMP)Wtsi/Afap1l2+ (more )
Structure Level Pattern Image Note
TS28: thyroid gland Present UC Davis_1858328

Specimen UC Davis_1858329: postnatal adult; Afap1l2tm1b(KOMP)Wtsi/Afap1l2+ (more )
Structure Level Pattern Image Note
TS28: spinal cord Present UC Davis_1858329

Specimen UC Davis_1858330: postnatal adult; Afap1l2tm1b(KOMP)Wtsi/Afap1l2+ (more )
Structure Level Pattern Image Note
TS28: stomach Present UC Davis_1858330

Specimen UC Davis_1858331: postnatal adult; Afap1l2tm1b(KOMP)Wtsi/Afap1l2+ (more )
Structure Level Pattern Image Note
TS28: duodenum Present UC Davis_1858331

Specimen UC Davis_1858332: postnatal adult; Afap1l2tm1b(KOMP)Wtsi/Afap1l2+ (more )
Structure Level Pattern Image Note
TS28: jejunum Present UC Davis_1858332

Specimen UC Davis_1858333: postnatal adult; Afap1l2tm1b(KOMP)Wtsi/Afap1l2+ (more )
Structure Level Pattern Image Note
TS28: ileum Present UC Davis_1858333

Specimen UC Davis_1858334: postnatal adult; Afap1l2tm1b(KOMP)Wtsi/Afap1l2+ (more )
Structure Level Pattern Image Note
TS28: cecum Present UC Davis_1858334

Specimen UC Davis_1858335: postnatal adult; Afap1l2tm1b(KOMP)Wtsi/Afap1l2+ (more )
Structure Level Pattern Image Note
TS28: colon Present UC Davis_1858335

Specimen UC Davis_1858336: postnatal adult; Afap1l2tm1b(KOMP)Wtsi/Afap1l2+ (more )
Structure Level Pattern Image Note
TS28: mesenteric lymph node Present UC Davis_1858336

Specimen UC Davis_1858337: postnatal adult; Afap1l2tm1b(KOMP)Wtsi/Afap1l2+ (more )
Structure Level Pattern Image Note
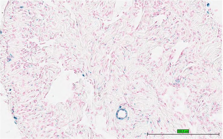
TS28: mesenteric adipose tissue Present UC Davis_1858337

Specimen UC Davis_1858338: postnatal adult; Afap1l2tm1b(KOMP)Wtsi/Afap1l2+ (more )
Structure Level Pattern Image Note
TS28: bladder Present UC Davis_1858338

Specimen UC Davis_1858339: postnatal adult; Afap1l2tm1b(KOMP)Wtsi/Afap1l2+ (more )
Structure Level Pattern Image Note
TS28: seminal vesicle Present UC Davis_1858339 vesicular gland

Specimen UC Davis_1858340: postnatal adult; Afap1l2tm1b(KOMP)Wtsi/Afap1l2+ (more )
Structure Level Pattern Image Note
TS28: penis Present UC Davis_1858340

Specimen UC Davis_1858342: postnatal adult; Afap1l2tm1b(KOMP)Wtsi/Afap1l2+ (more )
Structure Level Pattern Image Note
TS28: thoracic segment skeleton Present UC Davis_1858342 chest bone


Contributing Projects:
Mouse Genome Database (MGD), Gene Expression Database (GXD), Mouse Models of Human Cancer database (MMHCdb) (formerly Mouse Tumor Biology (MTB)), Gene Ontology (GO)
Citing These Resources
Funding Information
Warranty Disclaimer, Privacy Notice, Licensing, & Copyright
Send questions and comments to User Support.
last database update
01/20/2026
MGI 6.24
The Jackson Laboratory