About   Help   FAQ
Gene Expression Data
Assay Details
Assay
Reference: J:228563 Koscielny G, et al., The International Mouse Phenotyping Consortium Web Portal, a unified point of access for knockout mice and related phenotyping data. Nucleic Acids Res. 2014 Jan;42(Database issue):D802-9
Assay type: In situ reporter (knock in)
MGI Accession ID: MGI:6692434
Gene symbol: Spata2
Gene name: spermatogenesis associated 2
Reporter: lacZ
Direct Detection
Results
Specimen UC Davis_1875726: postnatal adult; Spata2tm1.1(KOMP)Vlcg/Spata2+ (more )
Structure Level Pattern Image Note
TS28: sublingual gland Present UC Davis_1875726

Specimen UC Davis_1875727: postnatal adult; Spata2tm1.1(KOMP)Vlcg/Spata2+ (more )
Structure Level Pattern Image Note
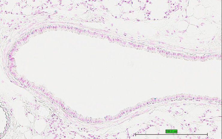
TS28: trachea Present UC Davis_1875727

Specimen UC Davis_1875728: postnatal adult; Spata2tm1.1(KOMP)Vlcg/Spata2+ (more )
Structure Level Pattern Image Note
TS28: esophagus Present UC Davis_1875728

Specimen UC Davis_1875729: postnatal adult; Spata2tm1.1(KOMP)Vlcg/Spata2+ (more )
Structure Level Pattern Image Note
TS28: esophagus Present UC Davis_1875729

Specimen UC Davis_1875730: postnatal adult; Spata2tm1.1(KOMP)Vlcg/Spata2+ (more )
Structure Level Pattern Image Note
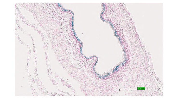
TS28: aorta Present UC Davis_1875730

Specimen UC Davis_1875731: postnatal adult; Spata2tm1.1(KOMP)Vlcg/Spata2+ (more )
Structure Level Pattern Image Note
TS28: lung Present UC Davis_1875731

Specimen UC Davis_1875734: postnatal adult; Spata2tm1.1(KOMP)Vlcg/Spata2+ (more )
Structure Level Pattern Image Note
TS28: stomach Present UC Davis_1875734

Specimen UC Davis_1875735: postnatal adult; Spata2tm1.1(KOMP)Vlcg/Spata2+ (more )
Structure Level Pattern Image Note
TS28: stomach Present UC Davis_1875735

Specimen UC Davis_1875736: postnatal adult; Spata2tm1.1(KOMP)Vlcg/Spata2+ (more )
Structure Level Pattern Image Note
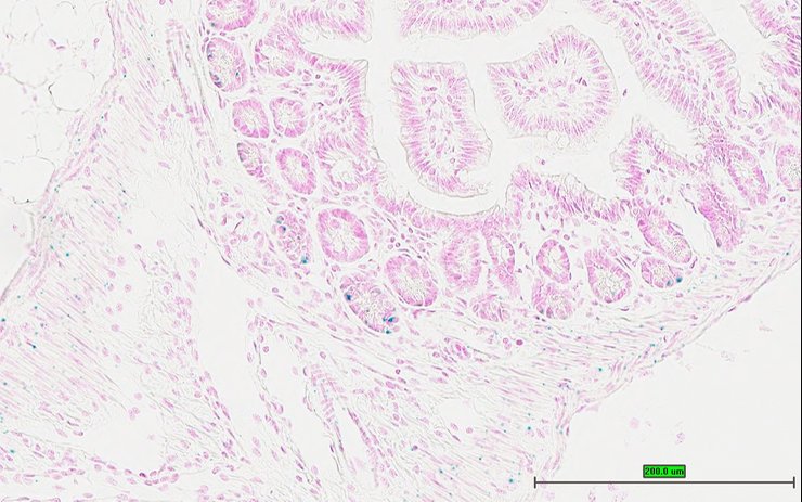
TS28: duodenum Present UC Davis_1875736

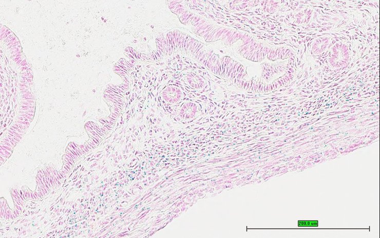
Specimen UC Davis_1875737: postnatal adult; Spata2tm1.1(KOMP)Vlcg/Spata2+ (more )
Structure Level Pattern Image Note
TS28: duodenum Present UC Davis_1875737

Specimen UC Davis_1875738: postnatal adult; Spata2tm1.1(KOMP)Vlcg/Spata2+ (more )
Structure Level Pattern Image Note
TS28: ileum Present UC Davis_1875738

Specimen UC Davis_1875739: postnatal adult; Spata2tm1.1(KOMP)Vlcg/Spata2+ (more )
Structure Level Pattern Image Note
TS28: colon Present UC Davis_1875739

Specimen UC Davis_1875740: postnatal adult; Spata2tm1.1(KOMP)Vlcg/Spata2+ (more )
Structure Level Pattern Image Note
TS28: colon Present UC Davis_1875740

Specimen UC Davis_1875741: postnatal adult; Spata2tm1.1(KOMP)Vlcg/Spata2+ (more )
Structure Level Pattern Image Note
TS28: cecum Present UC Davis_1875741

Specimen UC Davis_1875742: postnatal adult; Spata2tm1.1(KOMP)Vlcg/Spata2+ (more )
Structure Level Pattern Image Note
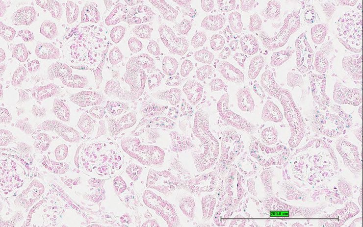
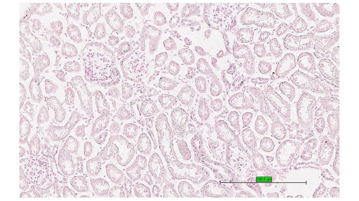
TS28: metanephros Present UC Davis_1875742 kidney

Specimen UC Davis_1875743: postnatal adult; Spata2tm1.1(KOMP)Vlcg/Spata2+ (more )
Structure Level Pattern Image Note
TS28: metanephros Present UC Davis_1875743 kidney

Specimen UC Davis_1875744: postnatal adult; Spata2tm1.1(KOMP)Vlcg/Spata2+ (more )
Structure Level Pattern Image Note
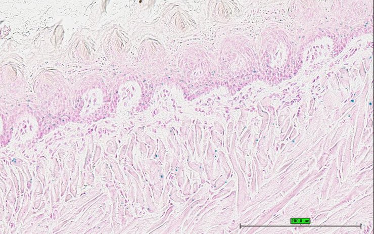
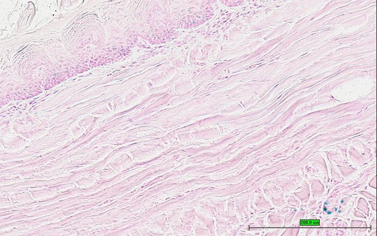
TS28: tongue Present UC Davis_1875744

Specimen UC Davis_1875745: postnatal adult; Spata2tm1.1(KOMP)Vlcg/Spata2+ (more )
Structure Level Pattern Image Note
TS28: tongue Present UC Davis_1875745

Specimen UC Davis_1875746: postnatal adult; Spata2tm1.1(KOMP)Vlcg/Spata2+ (more )
Structure Level Pattern Image Note
TS28: tongue Present UC Davis_1875746

Specimen UC Davis_1875747: postnatal adult; Spata2tm1.1(KOMP)Vlcg/Spata2+ (more )
Structure Level Pattern Image Note
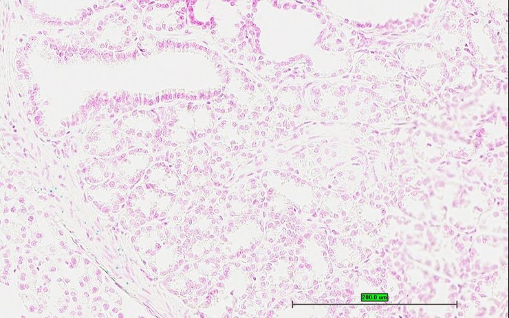
TS28: adrenal gland Present UC Davis_1875747

Specimen UC Davis_1875748: postnatal adult; Spata2tm1.1(KOMP)Vlcg/Spata2+ (more )
Structure Level Pattern Image Note
TS28: pituitary gland Present UC Davis_1875748

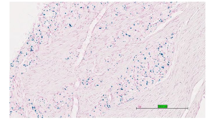
Specimen UC Davis_1875749: postnatal adult; Spata2tm1.1(KOMP)Vlcg/Spata2+ (more )
Structure Level Pattern Image Note
TS28: spinal cord Present UC Davis_1875749

Specimen UC Davis_1875750: postnatal adult; Spata2tm1.1(KOMP)Vlcg/Spata2+ (more )
Structure Level Pattern Image Note
TS28: spinal cord Present UC Davis_1875750

Specimen UC Davis_1875751: postnatal adult; Spata2tm1.1(KOMP)Vlcg/Spata2+ (more )
Structure Level Pattern Image Note
TS28: spinal cord Present UC Davis_1875751

Specimen UC Davis_1875752: postnatal adult; Spata2tm1.1(KOMP)Vlcg/Spata2+ (more )
Structure Level Pattern Image Note
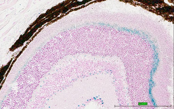
TS28: eye Present UC Davis_1875752

Specimen UC Davis_1875753: postnatal adult; Spata2tm1.1(KOMP)Vlcg/Spata2+ (more )
Structure Level Pattern Image Note
TS28: eye Present UC Davis_1875753

Specimen UC Davis_1875754: postnatal adult; Spata2tm1.1(KOMP)Vlcg/Spata2+ (more )
Structure Level Pattern Image Note
TS28: eye Present UC Davis_1875754

Specimen UC Davis_1875755: postnatal adult; Spata2tm1.1(KOMP)Vlcg/Spata2+ (more )
Structure Level Pattern Image Note
TS28: eye Present UC Davis_1875755

Specimen UC Davis_1875756: postnatal adult; Spata2tm1.1(KOMP)Vlcg/Spata2+ (more )
Structure Level Pattern Image Note
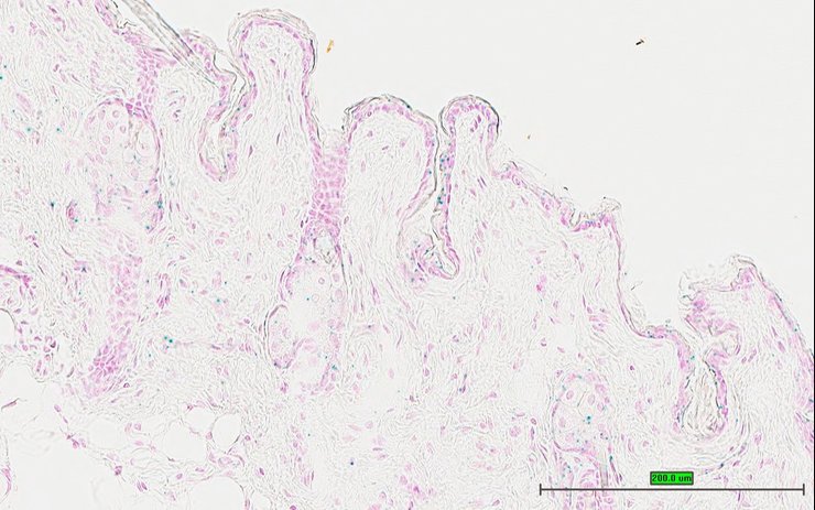
TS28: skin Present UC Davis_1875756

Specimen UC Davis_1875757: postnatal adult; Spata2tm1.1(KOMP)Vlcg/Spata2+ (more )
Structure Level Pattern Image Note
TS28: skin Present UC Davis_1875757

Specimen UC Davis_1875758: postnatal adult; Spata2tm1.1(KOMP)Vlcg/Spata2+ (more )
Structure Level Pattern Image Note
TS28: olfactory lobe Present UC Davis_1875758

Specimen UC Davis_1875762: postnatal adult; Spata2tm1.1(KOMP)Vlcg/Spata2+ (more )
Structure Level Pattern Image Note
TS28: midbrain Present UC Davis_1875762

Specimen UC Davis_1875764: postnatal adult; Spata2tm1.1(KOMP)Vlcg/Spata2+ (more )
Structure Level Pattern Image Note
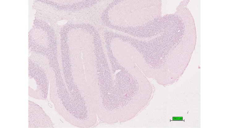
TS28: cerebellum Present UC Davis_1875764

Specimen UC Davis_1875765: postnatal adult; Spata2tm1.1(KOMP)Vlcg/Spata2+ (more )
Structure Level Pattern Image Note
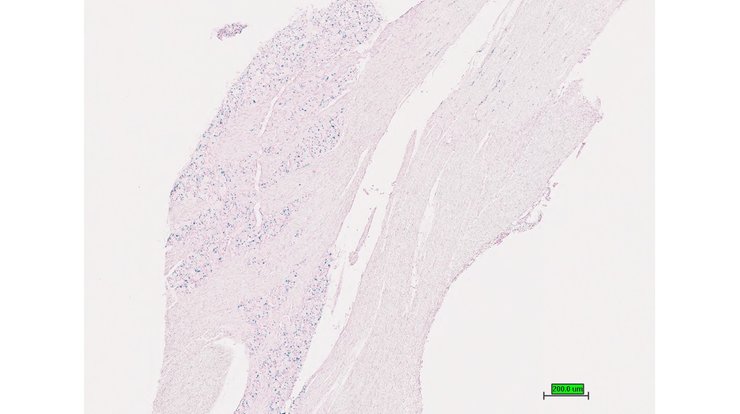
TS28: trigeminal nerve Present UC Davis_1875765

Specimen UC Davis_1875766: postnatal adult; Spata2tm1.1(KOMP)Vlcg/Spata2+ (more )
Structure Level Pattern Image Note
TS28: trigeminal nerve Present UC Davis_1875766

Specimen UC Davis_1875767: postnatal adult; Spata2tm1.1(KOMP)Vlcg/Spata2+ (more )
Structure Level Pattern Image Note
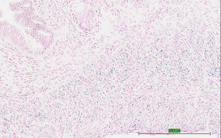
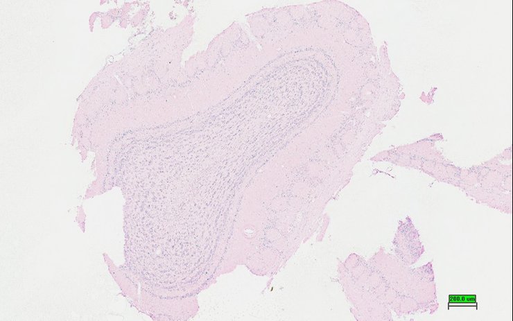
TS28: uterus Present UC Davis_1875767

Specimen UC Davis_1875768: postnatal adult; Spata2tm1.1(KOMP)Vlcg/Spata2+ (more )
Structure Level Pattern Image Note
TS28: uterus Present UC Davis_1875768

Specimen UC Davis_1875769: postnatal adult; Spata2tm1.1(KOMP)Vlcg/Spata2+ (more )
Structure Level Pattern Image Note
TS28: vagina Present UC Davis_1875769

Specimen UC Davis_1875770: postnatal adult; Spata2tm1.1(KOMP)Vlcg/Spata2+ (more )
Structure Level Pattern Image Note
TS28: bladder Present UC Davis_1875770

Specimen UC Davis_1875771: postnatal adult; Spata2tm1.1(KOMP)Vlcg/Spata2+ (more )
Structure Level Pattern Image Note
TS28: bladder Present UC Davis_1875771

Specimen UC Davis_1875699: postnatal adult; Spata2tm1.1(KOMP)Vlcg/Spata2+ (more )
Structure Level Pattern Image Note
TS28: ileum Present UC Davis_1875699

Specimen UC Davis_1875700: postnatal adult; Spata2tm1.1(KOMP)Vlcg/Spata2+ (more )
Structure Level Pattern Image Note
TS28: ileum Present UC Davis_1875700

Specimen UC Davis_1875701: postnatal adult; Spata2tm1.1(KOMP)Vlcg/Spata2+ (more )
Structure Level Pattern Image Note
TS28: colon Present UC Davis_1875701

Specimen UC Davis_1875702: postnatal adult; Spata2tm1.1(KOMP)Vlcg/Spata2+ (more )
Structure Level Pattern Image Note
TS28: metanephros Present UC Davis_1875702 kidney

Specimen UC Davis_1875703: postnatal adult; Spata2tm1.1(KOMP)Vlcg/Spata2+ (more )
Structure Level Pattern Image Note
TS28: metanephros Present UC Davis_1875703 kidney

Specimen UC Davis_1875704: postnatal adult; Spata2tm1.1(KOMP)Vlcg/Spata2+ (more )
Structure Level Pattern Image Note
TS28: spinal cord Present UC Davis_1875704

Specimen UC Davis_1875705: postnatal adult; Spata2tm1.1(KOMP)Vlcg/Spata2+ (more )
Structure Level Pattern Image Note
TS28: spinal cord Present UC Davis_1875705

Specimen UC Davis_1875706: postnatal adult; Spata2tm1.1(KOMP)Vlcg/Spata2+ (more )
Structure Level Pattern Image Note
TS28: eye Present UC Davis_1875706

Specimen UC Davis_1875707: postnatal adult; Spata2tm1.1(KOMP)Vlcg/Spata2+ (more )
Structure Level Pattern Image Note
TS28: skin Present UC Davis_1875707

Specimen UC Davis_1875708: postnatal adult; Spata2tm1.1(KOMP)Vlcg/Spata2+ (more )
Structure Level Pattern Image Note
TS28: olfactory lobe Present UC Davis_1875708

Specimen UC Davis_1875712: postnatal adult; Spata2tm1.1(KOMP)Vlcg/Spata2+ (more )
Structure Level Pattern Image Note
TS28: midbrain Present UC Davis_1875712

Specimen UC Davis_1875715: postnatal adult; Spata2tm1.1(KOMP)Vlcg/Spata2+ (more )
Structure Level Pattern Image Note
TS28: cerebellum Present UC Davis_1875715

Specimen UC Davis_1875716: postnatal adult; Spata2tm1.1(KOMP)Vlcg/Spata2+ (more )
Structure Level Pattern Image Note
TS28: trigeminal nerve Present UC Davis_1875716

Specimen UC Davis_1875717: postnatal adult; Spata2tm1.1(KOMP)Vlcg/Spata2+ (more )
Structure Level Pattern Image Note
TS28: trigeminal nerve Present UC Davis_1875717

Specimen UC Davis_1875718: postnatal adult; Spata2tm1.1(KOMP)Vlcg/Spata2+ (more )
Structure Level Pattern Image Note
TS28: bladder Present UC Davis_1875718

Specimen UC Davis_1875719: postnatal adult; Spata2tm1.1(KOMP)Vlcg/Spata2+ (more )
Structure Level Pattern Image Note
TS28: bladder Present UC Davis_1875719

Specimen UC Davis_1875720: postnatal adult; Spata2tm1.1(KOMP)Vlcg/Spata2+ (more )
Structure Level Pattern Image Note
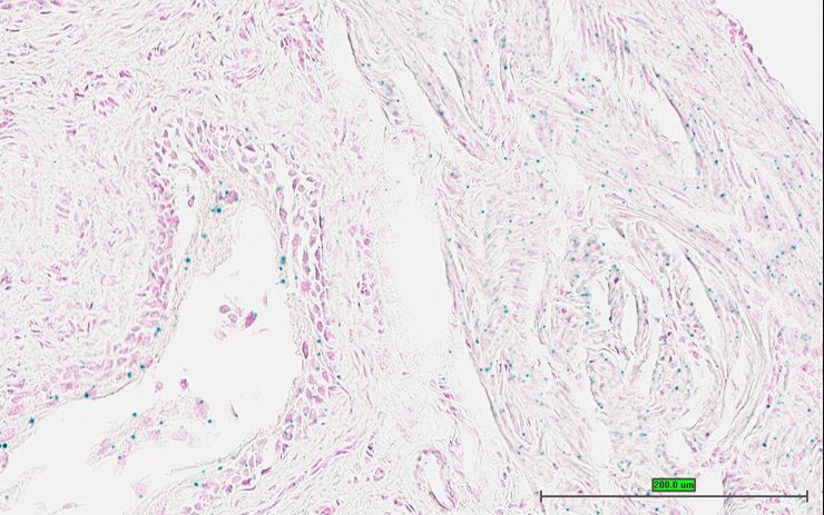
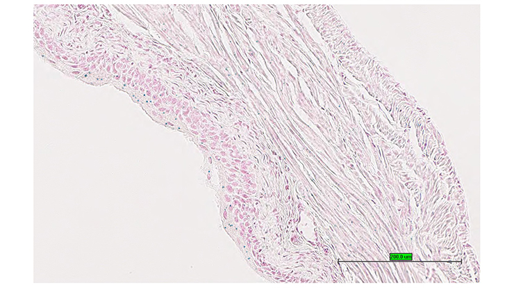
TS28: epididymis Present UC Davis_1875720

Specimen UC Davis_1875721: postnatal adult; Spata2tm1.1(KOMP)Vlcg/Spata2+ (more )
Structure Level Pattern Image Note
TS28: penis Present UC Davis_1875721

Specimen UC Davis_1875722: postnatal adult; Spata2tm1.1(KOMP)Vlcg/Spata2+ (more )
Structure Level Pattern Image Note
TS28: penis Present UC Davis_1875722

Specimen UC Davis_1875723: postnatal adult; Spata2tm1.1(KOMP)Vlcg/Spata2+ (more )
Structure Level Pattern Image Note
TS28: ductus deferens Present UC Davis_1875723 vas deferens


Contributing Projects:
Mouse Genome Database (MGD), Gene Expression Database (GXD), Mouse Models of Human Cancer database (MMHCdb) (formerly Mouse Tumor Biology (MTB)), Gene Ontology (GO)
Citing These Resources
Funding Information
Warranty Disclaimer, Privacy Notice, Licensing, & Copyright
Send questions and comments to User Support.
last database update
01/20/2026
MGI 6.24
The Jackson Laboratory