About   Help   FAQ
Gene Expression Data
Assay Details
Assay
Reference: J:228563 Koscielny G, et al., The International Mouse Phenotyping Consortium Web Portal, a unified point of access for knockout mice and related phenotyping data. Nucleic Acids Res. 2014 Jan;42(Database issue):D802-9
Assay type: In situ reporter (knock in)
MGI Accession ID: MGI:6692424
Gene symbol: Dhx29
Gene name: DExH-box helicase 29
Reporter: lacZ
Direct Detection
Results
Specimen JAX_1127281: embryonic day 12.5; Dhx29tm1.1(KOMP)Vlcg/Dhx29+ (more )
Structure Level Pattern Image Note
TS20: embryo Present JAX_1127281

Specimen JAX_1127283: embryonic day 12.5; Dhx29tm1.1(KOMP)Vlcg/Dhx29+ (more )
Structure Level Pattern Image Note
TS20: embryo Present JAX_1127283

Specimen JAX_1127285: embryonic day 12.5; Dhx29tm1.1(KOMP)Vlcg/Dhx29+ (more )
Structure Level Pattern Image Note
TS20: embryo Present JAX_1127285

Specimen JAX_1127287: embryonic day 12.5; Dhx29tm1.1(KOMP)Vlcg/Dhx29+ (more )
Structure Level Pattern Image Note
TS20: embryo Present JAX_1127287

Specimen JAX_1127273: embryonic day 12.5; Dhx29tm1.1(KOMP)Vlcg/Dhx29+ (more )
Structure Level Pattern Image Note
TS20: embryo Present JAX_1127273

Specimen JAX_1127275: embryonic day 12.5; Dhx29tm1.1(KOMP)Vlcg/Dhx29+ (more )
Structure Level Pattern Image Note
TS20: embryo Present JAX_1127275

Specimen JAX_1127277: embryonic day 12.5; Dhx29tm1.1(KOMP)Vlcg/Dhx29+ (more )
Structure Level Pattern Image Note
TS20: embryo Present JAX_1127277

Specimen JAX_1127279: embryonic day 12.5; Dhx29tm1.1(KOMP)Vlcg/Dhx29+ (more )
Structure Level Pattern Image Note
TS20: embryo Present JAX_1127279

Specimen JAX_1371646: postnatal adult; Dhx29tm1.1(KOMP)Vlcg/Dhx29+ (more )
Structure Level Pattern Image Note
TS28: thalamus Present JAX_1371646

Specimen JAX_1371647: postnatal adult; Dhx29tm1.1(KOMP)Vlcg/Dhx29+ (more )
Structure Level Pattern Image Note
TS28: vascular system Present JAX_1371647

Specimen JAX_1371648: postnatal adult; Dhx29tm1.1(KOMP)Vlcg/Dhx29+ (more )
Structure Level Pattern Image Note
TS28: submandibular gland Present JAX_1371648

Specimen JAX_1371649: postnatal adult; Dhx29tm1.1(KOMP)Vlcg/Dhx29+ (more )
Structure Level Pattern Image Note
TS28: brown fat Present JAX_1371649

Specimen JAX_1371650: postnatal adult; Dhx29tm1.1(KOMP)Vlcg/Dhx29+ (more )
Structure Level Pattern Image Note
TS28: bladder Present JAX_1371650

Specimen JAX_1371651: postnatal adult; Dhx29tm1.1(KOMP)Vlcg/Dhx29+ (more )
Structure Level Pattern Image Note
TS28: corpus striatum Present JAX_1371651

Specimen JAX_1371652: postnatal adult; Dhx29tm1.1(KOMP)Vlcg/Dhx29+ (more )
Structure Level Pattern Image Note
TS28: peripheral nervous system Present JAX_1371652

Specimen JAX_1371653: postnatal adult; Dhx29tm1.1(KOMP)Vlcg/Dhx29+ (more )
Structure Level Pattern Image Note
TS28: olfactory lobe Present JAX_1371653

Specimen JAX_1371654: postnatal adult; Dhx29tm1.1(KOMP)Vlcg/Dhx29+ (more )
Structure Level Pattern Image Note
TS28: hypothalamus Present JAX_1371654

Specimen JAX_1371655: postnatal adult; Dhx29tm1.1(KOMP)Vlcg/Dhx29+ (more )
Structure Level Pattern Image Note
TS28: cerebral cortex Present JAX_1371655

Specimen JAX_1371656: postnatal adult; Dhx29tm1.1(KOMP)Vlcg/Dhx29+ (more )
Structure Level Pattern Image Note
TS28: cartilage Present JAX_1371656

Specimen JAX_1371657: postnatal adult; Dhx29tm1.1(KOMP)Vlcg/Dhx29+ (more )
Structure Level Pattern Image Note
TS28: pancreas Present JAX_1371657

Specimen JAX_1371658: postnatal adult; Dhx29tm1.1(KOMP)Vlcg/Dhx29+ (more )
Structure Level Pattern Image Note
TS28: lung Present JAX_1371658

Specimen JAX_1371659: postnatal adult; Dhx29tm1.1(KOMP)Vlcg/Dhx29+ (more )
Structure Level Pattern Image Note
TS28: white fat Present JAX_1371659

Specimen JAX_1371660: postnatal adult; Dhx29tm1.1(KOMP)Vlcg/Dhx29+ (more )
Structure Level Pattern Image Note
TS28: spinal cord Present JAX_1371660

Specimen JAX_1371661: postnatal adult; Dhx29tm1.1(KOMP)Vlcg/Dhx29+ (more )
Structure Level Pattern Image Note
TS28: esophagus Present JAX_1371661

Specimen JAX_1371662: postnatal adult; Dhx29tm1.1(KOMP)Vlcg/Dhx29+ (more )
Structure Level Pattern Image Note
TS28: uterus Present JAX_1371662

Specimen JAX_1371663: postnatal adult; Dhx29tm1.1(KOMP)Vlcg/Dhx29+ (more )
Structure Level Pattern Image Note
TS28: oviduct Present JAX_1371663

Specimen JAX_1371664: postnatal adult; Dhx29tm1.1(KOMP)Vlcg/Dhx29+ (more )
Structure Level Pattern Image Note
TS28: ovary Present JAX_1371664

Specimen JAX_1371665: postnatal adult; Dhx29tm1.1(KOMP)Vlcg/Dhx29+ (more )
Structure Level Pattern Image Note
TS28: metanephros Present JAX_1371665 kidney

Specimen JAX_1371666: postnatal adult; Dhx29tm1.1(KOMP)Vlcg/Dhx29+ (more )
Structure Level Pattern Image Note
TS28: heart Present JAX_1371666

Specimen JAX_1371667: postnatal adult; Dhx29tm1.1(KOMP)Vlcg/Dhx29+ (more )
Structure Level Pattern Image Note
TS28: adrenal gland Present JAX_1371667

Specimen JAX_1371625: postnatal adult; Dhx29tm1.1(KOMP)Vlcg/Dhx29+ (more )
Structure Level Pattern Image Note
TS28: midbrain Present JAX_1371625

Specimen JAX_1371626: postnatal adult; Dhx29tm1.1(KOMP)Vlcg/Dhx29+ (more )
Structure Level Pattern Image Note
TS28: epididymis Present JAX_1371626

Specimen JAX_1371627: postnatal adult; Dhx29tm1.1(KOMP)Vlcg/Dhx29+ (more )
Structure Level Pattern Image Note
TS28: hippocampus Present JAX_1371627

Specimen JAX_1371628: postnatal adult; Dhx29tm1.1(KOMP)Vlcg/Dhx29+ (more )
Structure Level Pattern Image Note
TS28: cerebellum Present JAX_1371628

Specimen JAX_1371629: postnatal adult; Dhx29tm1.1(KOMP)Vlcg/Dhx29+ (more )
Structure Level Pattern Image Note
TS28: brainstem Present JAX_1371629

Specimen JAX_1371630: postnatal adult; Dhx29tm1.1(KOMP)Vlcg/Dhx29+ (more )
Structure Level Pattern Image Note
TS28: spleen Present JAX_1371630

Specimen JAX_1371631: postnatal adult; Dhx29tm1.1(KOMP)Vlcg/Dhx29+ (more )
Structure Level Pattern Image Note
TS28: aorta Present JAX_1371631

Specimen JAX_1371632: postnatal adult; Dhx29tm1.1(KOMP)Vlcg/Dhx29+ (more )
Structure Level Pattern Image Note
TS28: small intestine Present JAX_1371632

Specimen JAX_1371633: postnatal adult; Dhx29tm1.1(KOMP)Vlcg/Dhx29+ (more )
Structure Level Pattern Image Note
TS28: skeletal muscle tissue Present JAX_1371633

Specimen JAX_1371634: postnatal adult; Dhx29tm1.1(KOMP)Vlcg/Dhx29+ (more )
Structure Level Pattern Image Note
TS28: pituitary gland Present JAX_1371634

Specimen JAX_1371635: postnatal adult; Dhx29tm1.1(KOMP)Vlcg/Dhx29+ (more )
Structure Level Pattern Image Note
TS28: thyroid gland Present JAX_1371635

Specimen JAX_1371636: postnatal adult; Dhx29tm1.1(KOMP)Vlcg/Dhx29+ (more )
Structure Level Pattern Image Note
TS28: large intestine Present JAX_1371636

Specimen JAX_1371637: postnatal adult; Dhx29tm1.1(KOMP)Vlcg/Dhx29+ (more )
Structure Level Pattern Image Note
TS28: trachea Present JAX_1371637

Specimen JAX_1371638: postnatal adult; Dhx29tm1.1(KOMP)Vlcg/Dhx29+ (more )
Structure Level Pattern Image Note
TS28: thymus Present JAX_1371638

Specimen JAX_1371639: postnatal adult; Dhx29tm1.1(KOMP)Vlcg/Dhx29+ (more )
Structure Level Pattern Image Note
TS28: testis Present JAX_1371639

Specimen JAX_1371640: postnatal adult; Dhx29tm1.1(KOMP)Vlcg/Dhx29+ (more )
Structure Level Pattern Image Note
TS28: stomach Present JAX_1371640

Specimen JAX_1371641: postnatal adult; Dhx29tm1.1(KOMP)Vlcg/Dhx29+ (more )
Structure Level Pattern Image Note
TS28: skin Present JAX_1371641

Specimen JAX_1371643: postnatal adult; Dhx29tm1.1(KOMP)Vlcg/Dhx29+ (more )
Structure Level Pattern Image Note
TS28: liver Present JAX_1371643

Specimen JAX_1371644: postnatal adult; Dhx29tm1.1(KOMP)Vlcg/Dhx29+ (more )
Structure Level Pattern Image Note
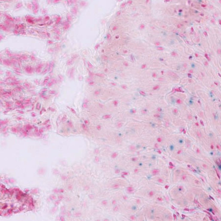
TS28: eye Present JAX_1371644

Specimen JAX_1371645: postnatal adult; Dhx29tm1.1(KOMP)Vlcg/Dhx29+ (more )
Structure Level Pattern Image Note
TS28: brain Present JAX_1371645


Contributing Projects:
Mouse Genome Database (MGD), Gene Expression Database (GXD), Mouse Models of Human Cancer database (MMHCdb) (formerly Mouse Tumor Biology (MTB)), Gene Ontology (GO)
Citing These Resources
Funding Information
Warranty Disclaimer, Privacy Notice, Licensing, & Copyright
Send questions and comments to User Support.
last database update
01/20/2026
MGI 6.24
The Jackson Laboratory