About   Help   FAQ
Gene Expression Data
Assay Details
Assay
Reference: J:228563 Koscielny G, et al., The International Mouse Phenotyping Consortium Web Portal, a unified point of access for knockout mice and related phenotyping data. Nucleic Acids Res. 2014 Jan;42(Database issue):D802-9
Assay type: In situ reporter (knock in)
MGI Accession ID: MGI:6692413
Gene symbol: Vezt
Gene name: vezatin, adherens junctions transmembrane protein
Reporter: lacZ
Direct Detection
Results
Specimen JAX_1123839: embryonic day 12.5; Vezttm1b(EUCOMM)Hmgu/Vezt+ (more )
Structure Level Pattern Image Note
TS20: embryo Present JAX_1123839

Specimen JAX_1123841: embryonic day 12.5; Vezttm1b(EUCOMM)Hmgu/Vezt+ (more )
Structure Level Pattern Image Note
TS20: embryo Present JAX_1123841

Specimen JAX_1123843: embryonic day 12.5; Vezttm1b(EUCOMM)Hmgu/Vezt+ (more )
Structure Level Pattern Image Note
TS20: embryo Present JAX_1123843

Specimen JAX_1123845: embryonic day 12.5; Vezttm1b(EUCOMM)Hmgu/Vezt+ (more )
Structure Level Pattern Image Note
TS20: embryo Present JAX_1123845

Specimen JAX_1123831: embryonic day 12.5; Vezttm1b(EUCOMM)Hmgu/Vezt+ (more )
Structure Level Pattern Image Note
TS20: embryo Present JAX_1123831

Specimen JAX_1123833: embryonic day 12.5; Vezttm1b(EUCOMM)Hmgu/Vezt+ (more )
Structure Level Pattern Image Note
TS20: embryo Present JAX_1123833

Specimen JAX_1123835: embryonic day 12.5; Vezttm1b(EUCOMM)Hmgu/Vezt+ (more )
Structure Level Pattern Image Note
TS20: embryo Present JAX_1123835

Specimen JAX_1123837: embryonic day 12.5; Vezttm1b(EUCOMM)Hmgu/Vezt+ (more )
Structure Level Pattern Image Note
TS20: embryo Present JAX_1123837

Specimen JAX_1803753: postnatal adult; Vezttm1b(EUCOMM)Hmgu/Vezt+ (more )
Structure Level Pattern Image Note
TS28: vascular system Present JAX_1803753

Specimen JAX_1803754: postnatal adult; Vezttm1b(EUCOMM)Hmgu/Vezt+ (more )
Structure Level Pattern Image Note
TS28: corpus striatum Present JAX_1803754

Specimen JAX_1803755: postnatal adult; Vezttm1b(EUCOMM)Hmgu/Vezt+ (more )
Structure Level Pattern Image Note
TS28: peripheral nervous system Present JAX_1803755

Specimen JAX_1803756: postnatal adult; Vezttm1b(EUCOMM)Hmgu/Vezt+ (more )
Structure Level Pattern Image Note
TS28: aorta Present JAX_1803756

Specimen JAX_1803757: postnatal adult; Vezttm1b(EUCOMM)Hmgu/Vezt+ (more )
Structure Level Pattern Image Note
TS28: lung Present JAX_1803757

Specimen JAX_1803758: postnatal adult; Vezttm1b(EUCOMM)Hmgu/Vezt+ (more )
Structure Level Pattern Image Note
TS28: small intestine Present JAX_1803758

Specimen JAX_1803759: postnatal adult; Vezttm1b(EUCOMM)Hmgu/Vezt+ (more )
Structure Level Pattern Image Note
TS28: spinal cord Present JAX_1803759

Specimen JAX_1803760: postnatal adult; Vezttm1b(EUCOMM)Hmgu/Vezt+ (more )
Structure Level Pattern Image Note
TS28: esophagus Present JAX_1803760

Specimen JAX_1803761: postnatal adult; Vezttm1b(EUCOMM)Hmgu/Vezt+ (more )
Structure Level Pattern Image Note
TS28: uterus Present JAX_1803761

Specimen JAX_1803762: postnatal adult; Vezttm1b(EUCOMM)Hmgu/Vezt+ (more )
Structure Level Pattern Image Note
TS28: stomach Present JAX_1803762

Specimen JAX_1803763: postnatal adult; Vezttm1b(EUCOMM)Hmgu/Vezt+ (more )
Structure Level Pattern Image Note
TS28: skin Present JAX_1803763

Specimen JAX_1803764: postnatal adult; Vezttm1b(EUCOMM)Hmgu/Vezt+ (more )
Structure Level Pattern Image Note
TS28: oviduct Present JAX_1803764

Specimen JAX_1803765: postnatal adult; Vezttm1b(EUCOMM)Hmgu/Vezt+ (more )
Structure Level Pattern Image Note
TS28: ovary Present JAX_1803765

Specimen JAX_1803766: postnatal adult; Vezttm1b(EUCOMM)Hmgu/Vezt+ (more )
Structure Level Pattern Image Note
TS28: metanephros Present JAX_1803766 kidney

Specimen JAX_1803767: postnatal adult; Vezttm1b(EUCOMM)Hmgu/Vezt+ (more )
Structure Level Pattern Image Note
TS28: heart Present JAX_1803767

Specimen JAX_1803768: postnatal adult; Vezttm1b(EUCOMM)Hmgu/Vezt+ (more )
Structure Level Pattern Image Note
TS28: brain Present JAX_1803768

Specimen JAX_1803769: postnatal adult; Vezttm1b(EUCOMM)Hmgu/Vezt+ (more )
Structure Level Pattern Image Note
TS28: adrenal gland Present JAX_1803769

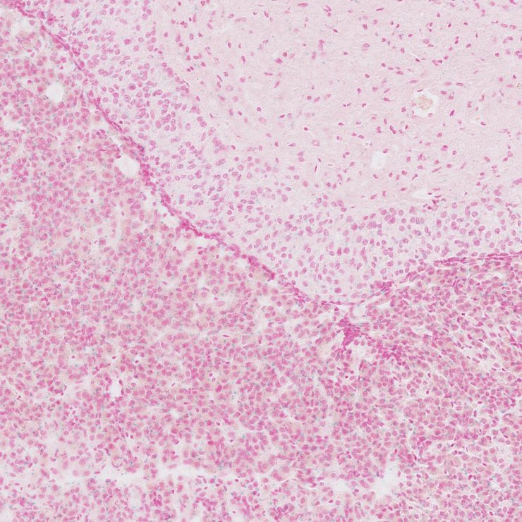
Specimen JAX_1803736: postnatal adult; Vezttm1b(EUCOMM)Hmgu/Vezt+ (more )
Structure Level Pattern Image Note
TS28: thalamus Present JAX_1803736

Specimen JAX_1803737: postnatal adult; Vezttm1b(EUCOMM)Hmgu/Vezt+ (more )
Structure Level Pattern Image Note
TS28: midbrain Present JAX_1803737

Specimen JAX_1803738: postnatal adult; Vezttm1b(EUCOMM)Hmgu/Vezt+ (more )
Structure Level Pattern Image Note
TS28: epididymis Present JAX_1803738

Specimen JAX_1803739: postnatal adult; Vezttm1b(EUCOMM)Hmgu/Vezt+ (more )
Structure Level Pattern Image Note
TS28: bladder Present JAX_1803739

Specimen JAX_1803740: postnatal adult; Vezttm1b(EUCOMM)Hmgu/Vezt+ (more )
Structure Level Pattern Image Note
TS28: olfactory lobe Present JAX_1803740

Specimen JAX_1803741: postnatal adult; Vezttm1b(EUCOMM)Hmgu/Vezt+ (more )
Structure Level Pattern Image Note
TS28: hypothalamus Present JAX_1803741

Specimen JAX_1803742: postnatal adult; Vezttm1b(EUCOMM)Hmgu/Vezt+ (more )
Structure Level Pattern Image Note
TS28: hippocampus Present JAX_1803742

Specimen JAX_1803743: postnatal adult; Vezttm1b(EUCOMM)Hmgu/Vezt+ (more )
Structure Level Pattern Image Note
TS28: cerebellum Present JAX_1803743

Specimen JAX_1803744: postnatal adult; Vezttm1b(EUCOMM)Hmgu/Vezt+ (more )
Structure Level Pattern Image Note
TS28: cerebral cortex Present JAX_1803744

Specimen JAX_1803745: postnatal adult; Vezttm1b(EUCOMM)Hmgu/Vezt+ (more )
Structure Level Pattern Image Note
TS28: cartilage Present JAX_1803745

Specimen JAX_1803746: postnatal adult; Vezttm1b(EUCOMM)Hmgu/Vezt+ (more )
Structure Level Pattern Image Note
TS28: brainstem Present JAX_1803746

Specimen JAX_1803747: postnatal adult; Vezttm1b(EUCOMM)Hmgu/Vezt+ (more )
Structure Level Pattern Image Note
TS28: pituitary gland Present JAX_1803747

Specimen JAX_1803748: postnatal adult; Vezttm1b(EUCOMM)Hmgu/Vezt+ (more )
Structure Level Pattern Image Note
TS28: large intestine Present JAX_1803748

Specimen JAX_1803749: postnatal adult; Vezttm1b(EUCOMM)Hmgu/Vezt+ (more )
Structure Level Pattern Image Note
TS28: trachea Present JAX_1803749

Specimen JAX_1803750: postnatal adult; Vezttm1b(EUCOMM)Hmgu/Vezt+ (more )
Structure Level Pattern Image Note
TS28: testis Present JAX_1803750

Specimen JAX_1803752: postnatal adult; Vezttm1b(EUCOMM)Hmgu/Vezt+ (more )
Structure Level Pattern Image Note
TS28: eye Present JAX_1803752


Contributing Projects:
Mouse Genome Database (MGD), Gene Expression Database (GXD), Mouse Models of Human Cancer database (MMHCdb) (formerly Mouse Tumor Biology (MTB)), Gene Ontology (GO)
Citing These Resources
Funding Information
Warranty Disclaimer, Privacy Notice, Licensing, & Copyright
Send questions and comments to User Support.
last database update
01/20/2026
MGI 6.24
The Jackson Laboratory